Is the Adrenal Incidentaloma Functionally Active? An Approach-To-The-Patient-Based Review
Abstract
:1. Introduction
2. Primary Aldosteronism
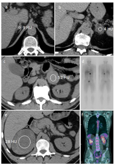
2.1. Case 1
2.2. Diagnosis and Subtype Classification of Primary Aldosteronism
2.3. Perioperative Management of Primary Aldosteronism
3. Cortisol-Secreting Adenoma
3.1. Case 2
3.2. Diagnosis of Cortisol-Secreting Adenoma
3.3. Perioperative Management of Cortisol-Secreting Adenoma
4. Pheochromocytoma
4.1. Case 3
4.2. Diagnosis of Pheochromocytoma
4.3. Perioperative Management of Pheochromocytoma
5. Potentially Malignant Adrenal Mass
5.1. Case 4
5.2. Perioperative Management of a Potentially Malignant Adrenal Mass
6. Conclusions
Author Contributions
Funding
Institutional Review Board Statement
Informed Consent Statement
Data Availability Statement
Conflicts of Interest
References
- Terzolo, M.; Stigliano, A.; Chiodini, I.; Loli, P.; Furlani, L.; Arnaldi, G.; Reimondo, G.; Pia, A.; Toscano, V.; Zini, M.; et al. AME position statement on adrenal incidentaloma. Eur. J. Endocrinol. 2011, 164, 851–870. [Google Scholar] [CrossRef] [Green Version]
- Expert Panel on Urological Imaging; Mody, R.N.; Remer, E.M.; Nikolaidis, P.; Khatri, G.; Dogra, V.S.; Ganeshan, D.; Gore, J.L.; Gupta, R.T.; Heilbrun, M.E.; et al. ACR Appropriateness Criteria(R) Adrenal Mass Evaluation: 2021 Update. J. Am. Coll. Radiol. 2021, 18, S251–S267. [Google Scholar] [CrossRef]
- Young, W.F., Jr. Clinical practice. The incidentally discovered adrenal mass. N. Engl. J. Med. 2007, 356, 601–610. [Google Scholar] [CrossRef]
- Fassnacht, M.; Arlt, W.; Bancos, I.; Dralle, H.; Newell-Price, J.; Sahdev, A.; Tabarin, A.; Terzolo, M.; Tsagarakis, S.; Dekkers, O.M. Management of adrenal incidentalomas: European Society of Endocrinology Clinical Practice Guideline in collaboration with the European Network for the Study of Adrenal Tumors. Eur. J. Endocrinol. 2016, 175, G1–G34. [Google Scholar] [CrossRef] [Green Version]
- Mansmann, G.; Lau, J.; Balk, E.; Rothberg, M.; Miyachi, Y.; Bornstein, S.R. The clinically inapparent adrenal mass: Update in diagnosis and management. Endocr. Rev. 2004, 25, 309–340. [Google Scholar] [CrossRef]
- Angeli, A.; Osella, G.; Ali, A.; Terzolo, M. Adrenal incidentaloma: An overview of clinical and epidemiological data from the National Italian Study Group. Horm. Res. 1997, 47, 279–283. [Google Scholar] [CrossRef]
- Candel, A.G.; Gattuso, P.; Reyes, C.V.; Prinz, R.A.; Castelli, M.J. Fine-needle aspiration biopsy of adrenal masses in patients with extraadrenal malignancy. Surgery 1993, 114, 1132–1136; discussion 1136–1137. [Google Scholar]
- Ross, E.J.; Linch, D.C. Cushing’s syndrome--killing disease: Discriminatory value of signs and symptoms aiding early diagnosis. Lancet 1982, 2, 646–649. [Google Scholar] [CrossRef]
- Nieman, L.K.; Biller, B.M.; Findling, J.W.; Newell-Price, J.; Savage, M.O.; Stewart, P.M.; Montori, V.M. The diagnosis of Cushing’s syndrome: An Endocrine Society Clinical Practice Guideline. J. Clin. Endocrinol. Metab. 2008, 93, 1526–1540. [Google Scholar] [CrossRef]
- Rossi, G.P.; Bisogni, V.; Bacca, A.V.; Belfiore, A.; Cesari, M.; Concistre, A.; Del Pinto, R.; Fabris, B.; Fallo, F.; Fava, C.; et al. The 2020 Italian Society of Arterial Hypertension (SIIA) practical guidelines for the management of primary aldosteronism. Int. J. Cardiol. Hypertens 2020, 5, 100029. [Google Scholar] [CrossRef]
- Feeney, T.; Madiedo, A.; Knapp, P.E.; Gupta, A.; McAneny, D.; Drake, F.T. Incidental Adrenal Masses: Adherence to Guidelines and Methods to Improve Initial Follow-Up: A Systematic Review. J. Surg. Res. 2022, 269, 18–27. [Google Scholar] [CrossRef]
- Turcu, A.F.; Auchus, R. Approach to the Patient with Primary Aldosteronism: Utility and Limitations of Adrenal Vein Sampling. J. Clin. Endocrinol. Metab. 2021, 106, 1195–1208. [Google Scholar] [CrossRef]
- Rossi, G.P.; Bisogni, V. The Aldosterone Renin Ratio (ARR) APP as Tool to Enhance the Detection Rate of Primary Aldosteronism. High Blood Press Cardiovasc. Prev. 2016, 23, 147–149. [Google Scholar] [CrossRef]
- Funder, J.W.; Carey, R.M.; Mantero, F.; Murad, M.H.; Reincke, M.; Shibata, H.; Stowasser, M.; Young, W.F., Jr. The Management of Primary Aldosteronism: Case Detection, Diagnosis, and Treatment: An Endocrine Society Clinical Practice Guideline. J. Clin. Endocrinol. Metab. 2016, 101, 1889–1916. [Google Scholar] [CrossRef]
- Rossi, G.P.; Auchus, R.J.; Brown, M.; Lenders, J.W.; Naruse, M.; Plouin, P.F.; Satoh, F.; Young, W.F., Jr. An expert consensus statement on use of adrenal vein sampling for the subtyping of primary aldosteronism. Hypertension 2014, 63, 151–160. [Google Scholar] [CrossRef]
- Maiolino, G.; Rossitto, G.; Bisogni, V.; Cesari, M.; Seccia, T.M.; Plebani, M.; Rossi, G.P.; PAPY Study Investigators. Quantitative Value of Aldosterone-Renin Ratio for Detection of Aldosterone-Producing Adenoma: The Aldosterone-Renin Ratio for Primary Aldosteronism (AQUARR) Study. J. Am. Heart Assoc. 2017, 6, e005574. [Google Scholar] [CrossRef]
- Arlt, W.; Lang, K.; Sitch, A.J.; Dietz, A.S.; Rhayem, Y.; Bancos, I.; Feuchtinger, A.; Chortis, V.; Gilligan, L.C.; Ludwig, P.; et al. Steroid metabolome analysis reveals prevalent glucocorticoid excess in primary aldosteronism. JCI Insight 2017, 2, 93136. [Google Scholar] [CrossRef]
- Rossi, G.P.; Bernini, G.; Caliumi, C.; Desideri, G.; Fabris, B.; Ferri, C.; Ganzaroli, C.; Giacchetti, G.; Letizia, C.; Maccario, M.; et al. A prospective study of the prevalence of primary aldosteronism in 1,125 hypertensive patients. J. Am. Coll. Cardiol. 2006, 48, 2293–2300. [Google Scholar] [CrossRef]
- De Sousa, K.; Boulkroun, S.; Baron, S.; Nanba, K.; Wack, M.; Rainey, W.E.; Rocha, A.; Giscos-Douriez, I.; Meatchi, T.; Amar, L.; et al. Genetic, Cellular, and Molecular Heterogeneity in Adrenals with Aldosterone-Producing Adenoma. Hypertension 2020, 75, 1034–1044. [Google Scholar] [CrossRef]
- Williams, T.A.; Burrello, J.; Sechi, L.A.; Fardella, C.E.; Matrozova, J.; Adolf, C.; Baudrand, R.; Bernardi, S.; Beuschlein, F.; Catena, C.; et al. Computed Tomography and Adrenal Venous Sampling in the Diagnosis of Unilateral Primary Aldosteronism. Hypertension 2018, 72, 641–649. [Google Scholar] [CrossRef]
- Burton, T.J.; Mackenzie, I.S.; Balan, K.; Koo, B.; Bird, N.; Soloviev, D.V.; Azizan, E.A.; Aigbirhio, F.; Gurnell, M.; Brown, M.J. Evaluation of the sensitivity and specificity of (11)C-metomidate positron emission tomography (PET)-CT for lateralizing aldosterone secretion by Conn’s adenomas. J. Clin. Endocrinol. Metab. 2012, 97, 100–109. [Google Scholar] [CrossRef] [Green Version]
- Choi, S.H.; Kwon, T.G.; Kim, T.H. Active potassium supplementation might be mandatory during laparoscopic adrenalectomy for primary hyperaldosteronism. J. Endourol. 2012, 26, 666–669. [Google Scholar] [CrossRef]
- Fischer, E.; Hanslik, G.; Pallauf, A.; Degenhart, C.; Linsenmaier, U.; Beuschlein, F.; Bidlingmaier, M.; Mussack, T.; Ladurner, R.; Hallfeldt, K.; et al. Prolonged zona glomerulosa insufficiency causing hyperkalemia in primary aldosteronism after adrenalectomy. J. Clin. Endocrinol. Metab. 2012, 97, 3965–3973. [Google Scholar] [CrossRef] [Green Version]
- Papotti, M.; Libe, R.; Duregon, E.; Volante, M.; Bertherat, J.; Tissier, F. The Weiss score and beyond-histopathology for adrenocortical carcinoma. Horm. Cancer 2011, 2, 333–340. [Google Scholar] [CrossRef] [Green Version]
- Araujo-Castro, M.; Parra Ramirez, P.; Robles Lazaro, C.; Garcia Centeno, R.; Gracia Gimeno, P.; Fernandez-Ladreda, M.T.; Sampedro Nunez, M.A.; Marazuela, M.; Escobar-Morreale, H.F.; Valderrabano, P. Predictors of Tumour Growth and Autonomous Cortisol Secretion Development during Follow-Up in Non-Functioning Adrenal Incidentalomas. J. Clin. Med. 2021, 10, 5509. [Google Scholar] [CrossRef]
- Nieman, L.K.; Biller, B.M.; Findling, J.W.; Murad, M.H.; Newell-Price, J.; Savage, M.O.; Tabarin, A.; Endocrine, S. Treatment of Cushing’s Syndrome: An Endocrine Society Clinical Practice Guideline. J. Clin. Endocrinol. Metab. 2015, 100, 2807–2831. [Google Scholar] [CrossRef] [Green Version]
- van der Pas, R.; Leebeek, F.W.; Hofland, L.J.; de Herder, W.W.; Feelders, R.A. Hypercoagulability in Cushing’s syndrome: Prevalence, pathogenesis and treatment. Clin. Endocrinol. 2013, 78, 481–488. [Google Scholar] [CrossRef]
- Puglisi, S.; Perotti, P.; Barbot, M.; Cosio, P.; Scaroni, C.; Stigliano, A.; Lardo, P.; Morelli, V.; Polledri, E.; Chiodini, I.; et al. Preoperative Treatment with Metyrapone in Patients with Cushing’s Syndrome Due to Adrenal Adenoma. Endocr. Connect. 2018, 7, 1227–1235. [Google Scholar] [CrossRef] [Green Version]
- Di Dalmazi, G.; Berr, C.M.; Fassnacht, M.; Beuschlein, F.; Reincke, M. Adrenal function after adrenalectomy for subclinical hypercortisolism and Cushing’s syndrome: A systematic review of the literature. J. Clin. Endocrinol. Metab. 2014, 99, 2637–2645. [Google Scholar] [CrossRef]
- Eller-Vainicher, C.; Morelli, V.; Salcuni, A.S.; Torlontano, M.; Coletti, F.; Iorio, L.; Cuttitta, A.; Ambrosio, A.; Vicentini, L.; Carnevale, V.; et al. Post-surgical hypocortisolism after removal of an adrenal incidentaloma: Is it predictable by an accurate endocrinological work-up before surgery? Eur. J. Endocrinol. 2010, 162, 91–99. [Google Scholar] [CrossRef] [Green Version]
- Eller-Vainicher, C.; Morelli, V.; Aresta, C.; Salcuni, A.S.; Falchetti, A.; Carnevale, V.; Persani, L.; Scillitani, A.; Chiodini, I. Defining Nonfunctioning Adrenal Adenomas on the Basis of the Occurrence of Hypocortisolism after Adrenalectomy. J. Endocr. Soc. 2020, 4, bvaa079. [Google Scholar] [CrossRef]
- Voltan, G.; Boscaro, M.; Armanini, D.; Scaroni, C.; Ceccato, F. A multidisciplinary approach to the management of adrenal incidentaloma. Expert Rev. Endocrinol. Metab. 2021, 16, 201–212. [Google Scholar] [CrossRef]
- Lenders, J.W.; Duh, Q.Y.; Eisenhofer, G.; Gimenez-Roqueplo, A.P.; Grebe, S.K.; Murad, M.H.; Naruse, M.; Pacak, K.; Young, W.F., Jr.; Endocrine, S. Pheochromocytoma and paraganglioma: An endocrine society clinical practice guideline. J. Clin. Endocrinol. Metab. 2014, 99, 1915–1942. [Google Scholar] [CrossRef]
- Yu, R.; Wei, M. False positive test results for pheochromocytoma from 2000 to 2008. Exp. Clin. Endocrinol. Diabetes 2010, 118, 577–585. [Google Scholar] [CrossRef]
- Eisenhofer, G.; Goldstein, D.S.; Walther, M.M.; Friberg, P.; Lenders, J.W.; Keiser, H.R.; Pacak, K. Biochemical diagnosis of pheochromocytoma: How to distinguish true- from false-positive test results. J. Clin. Endocrinol. Metab. 2003, 88, 2656–2666. [Google Scholar] [CrossRef]
- Neumann, H.P.; Bausch, B.; McWhinney, S.R.; Bender, B.U.; Gimm, O.; Franke, G.; Schipper, J.; Klisch, J.; Altehoefer, C.; Zerres, K.; et al. Germ-line mutations in nonsyndromic pheochromocytoma. N. Engl. J. Med. 2002, 346, 1459–1466. [Google Scholar] [CrossRef] [Green Version]
- Mannelli, M.; Castellano, M.; Schiavi, F.; Filetti, S.; Giacche, M.; Mori, L.; Pignataro, V.; Bernini, G.; Giache, V.; Bacca, A.; et al. Clinically guided genetic screening in a large cohort of italian patients with pheochromocytomas and/or functional or nonfunctional paragangliomas. J. Clin. Endocrinol. Metab. 2009, 94, 1541–1547. [Google Scholar] [CrossRef] [Green Version]
- Armaiz-Pena, G.; Flores, S.K.; Cheng, Z.M.; Zhang, X.; Esquivel, E.; Poullard, N.; Vaidyanathan, A.; Liu, Q.; Michalek, J.; Santillan-Gomez, A.A.; et al. Genotype-Phenotype Features of Germline Variants of the TMEM127 Pheochromocytoma Susceptibility Gene: A 10-Year Update. J. Clin. Endocrinol. Metab. 2021, 106, e350–e364. [Google Scholar] [CrossRef]
- Patel, D. Surgical approach to patients with pheochromocytoma. Gland. Surg. 2020, 9, 32–42. [Google Scholar] [CrossRef]
- Neumann, H.P.H.; Tsoy, U.; Bancos, I.; Amodru, V.; Walz, M.K.; Tirosh, A.; Kaur, R.J.; McKenzie, T.; Qi, X.; Bandgar, T.; et al. Comparison of Pheochromocytoma-Specific Morbidity and Mortality Among Adults with Bilateral Pheochromocytomas Undergoing Total Adrenalectomy vs Cortical-Sparing Adrenalectomy. JAMA Netw. Open 2019, 2, e198898. [Google Scholar] [CrossRef]
- Lenders, J.W.M.; Eisenhofer, G. Update on Modern Management of Pheochromocytoma and Paraganglioma. Endocrinol. Metab. 2017, 32, 152–161. [Google Scholar] [CrossRef]
- Araujo-Castro, M.; Garcia Centero, R.; Lopez-Garcia, M.C.; Alvarez Escola, C.; Calatayud Gutierrez, M.; Blanco Carrera, C.; De Miguel Novoa, P.; Valdes Gallego, N.; Hanzu, F.A.; Gracia Gimeno, P.; et al. Surgical outcomes in the pheochromocytoma surgery. Results from the PHEO-RISK STUDY. Endocrine 2021, 74, 676–684. [Google Scholar] [CrossRef]
- Gaujoux, S.; Mihai, R.; Joint Working Group of ESES and ENSAT. European Society of Endocrine Surgeons (ESES) and European Network for the Study of Adrenal Tumours (ENSAT) recommendations for the surgical management of adrenocortical carcinoma. Br. J. Surg. 2017, 104, 358–376. [Google Scholar] [CrossRef] [Green Version]
- Crucitti, F.; Bellantone, R.; Ferrante, A.; Boscherini, M.; Crucitti, P. The Italian Registry for Adrenal Cortical Carcinoma: Analysis of a multiinstitutional series of 129 patients. The ACC Italian Registry Study Group. Surgery 1996, 119, 161–170. [Google Scholar] [CrossRef]
- Cavallaro, G.; Tarallo, M.; Chiappini, A.; Crocetti, D.; Polistena, A.; Petramala, L.; Sibio, S.; De Toma, G.; Fiori, E.; Letizia, C. Surgical Management of Adrenocortical Carcinoma: Current Highlights. Biomedicines 2021, 9, 909. [Google Scholar] [CrossRef]
- Fukuoka, H.; Shigemura, K.; Kanzawa, M.; Kanda, T.; Yamamoto, M.; Kitagawa, K.; Sakamoto, M.; Iguchi, G.; Ogawa, W.; Fujisawa, M.; et al. The impact of adrenal tumor multidisciplinary team meetings on clinical outcomes. Endocrine 2020, 69, 519–525. [Google Scholar] [CrossRef]

| Condition | Screening Tests | Confirmatory Tests | Next Steps |
|---|---|---|---|
| Primary aldosteronism | ARR | Saline infusion test Captopril challenge test | Subtype classification by adrenal vein sampling |
| Autonomous cortisol secretion | 1 mg overnight dexamethasone suppression test | 24-h urinary cortisol LNSC; ACTH | |
| Pheochromocytoma | Fractionated methanefrines (urine or plasma) | Not routinely performed | Genetic testing |
Publisher’s Note: MDPI stays neutral with regard to jurisdictional claims in published maps and institutional affiliations. |
© 2022 by the authors. Licensee MDPI, Basel, Switzerland. This article is an open access article distributed under the terms and conditions of the Creative Commons Attribution (CC BY) license (https://creativecommons.org/licenses/by/4.0/).
Share and Cite
Bernardi, S.; Calabrò, V.; Cavallaro, M.; Lovriha, S.; Eramo, R.; Fabris, B.; de Manzini, N.; Dobrinja, C. Is the Adrenal Incidentaloma Functionally Active? An Approach-To-The-Patient-Based Review. J. Clin. Med. 2022, 11, 4064. https://doi.org/10.3390/jcm11144064
Bernardi S, Calabrò V, Cavallaro M, Lovriha S, Eramo R, Fabris B, de Manzini N, Dobrinja C. Is the Adrenal Incidentaloma Functionally Active? An Approach-To-The-Patient-Based Review. Journal of Clinical Medicine. 2022; 11(14):4064. https://doi.org/10.3390/jcm11144064
Chicago/Turabian StyleBernardi, Stella, Veronica Calabrò, Marco Cavallaro, Sara Lovriha, Rita Eramo, Bruno Fabris, Nicolò de Manzini, and Chiara Dobrinja. 2022. "Is the Adrenal Incidentaloma Functionally Active? An Approach-To-The-Patient-Based Review" Journal of Clinical Medicine 11, no. 14: 4064. https://doi.org/10.3390/jcm11144064
APA StyleBernardi, S., Calabrò, V., Cavallaro, M., Lovriha, S., Eramo, R., Fabris, B., de Manzini, N., & Dobrinja, C. (2022). Is the Adrenal Incidentaloma Functionally Active? An Approach-To-The-Patient-Based Review. Journal of Clinical Medicine, 11(14), 4064. https://doi.org/10.3390/jcm11144064

