Vanishing Bile Duct Syndrome in an Adult Patient: Case Report and Review of the Literature
Abstract
1. Introduction
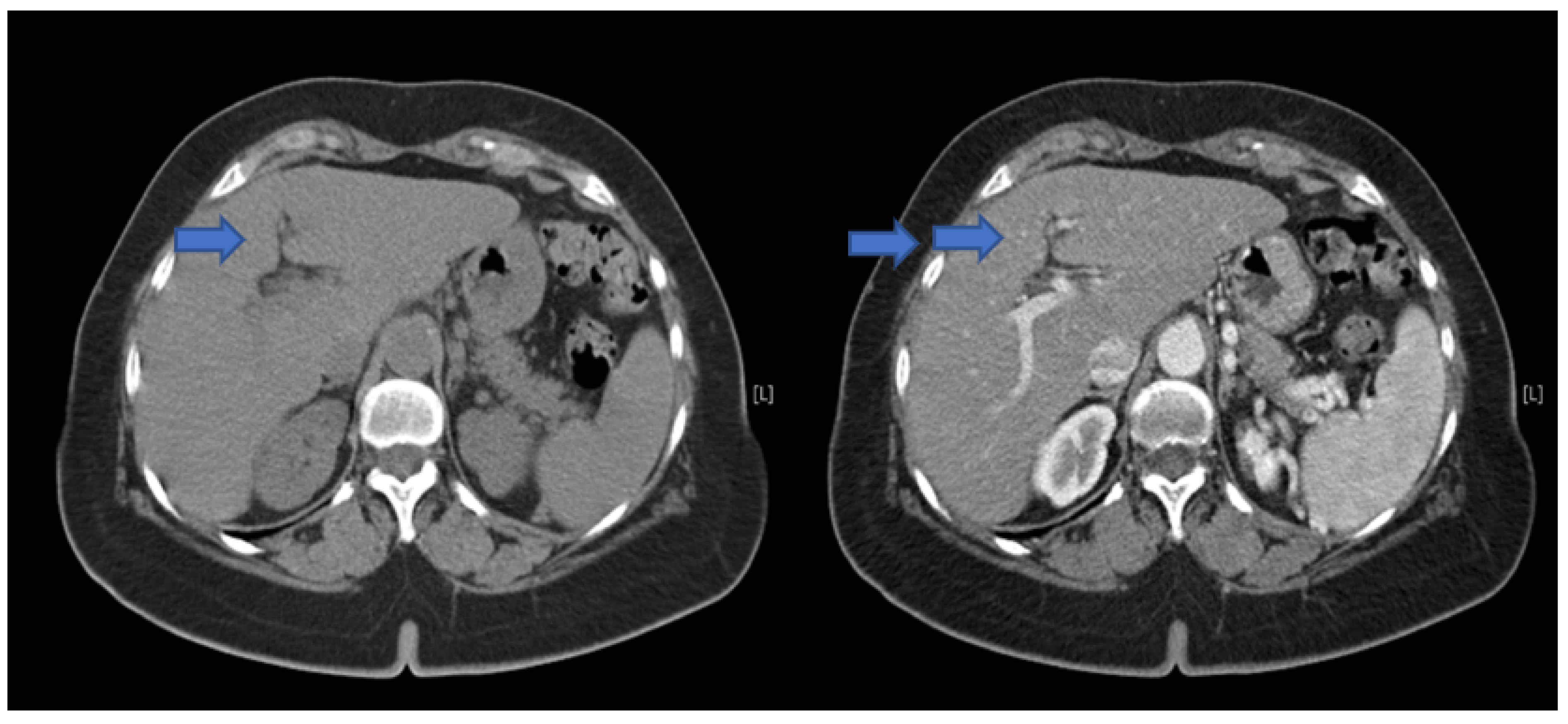
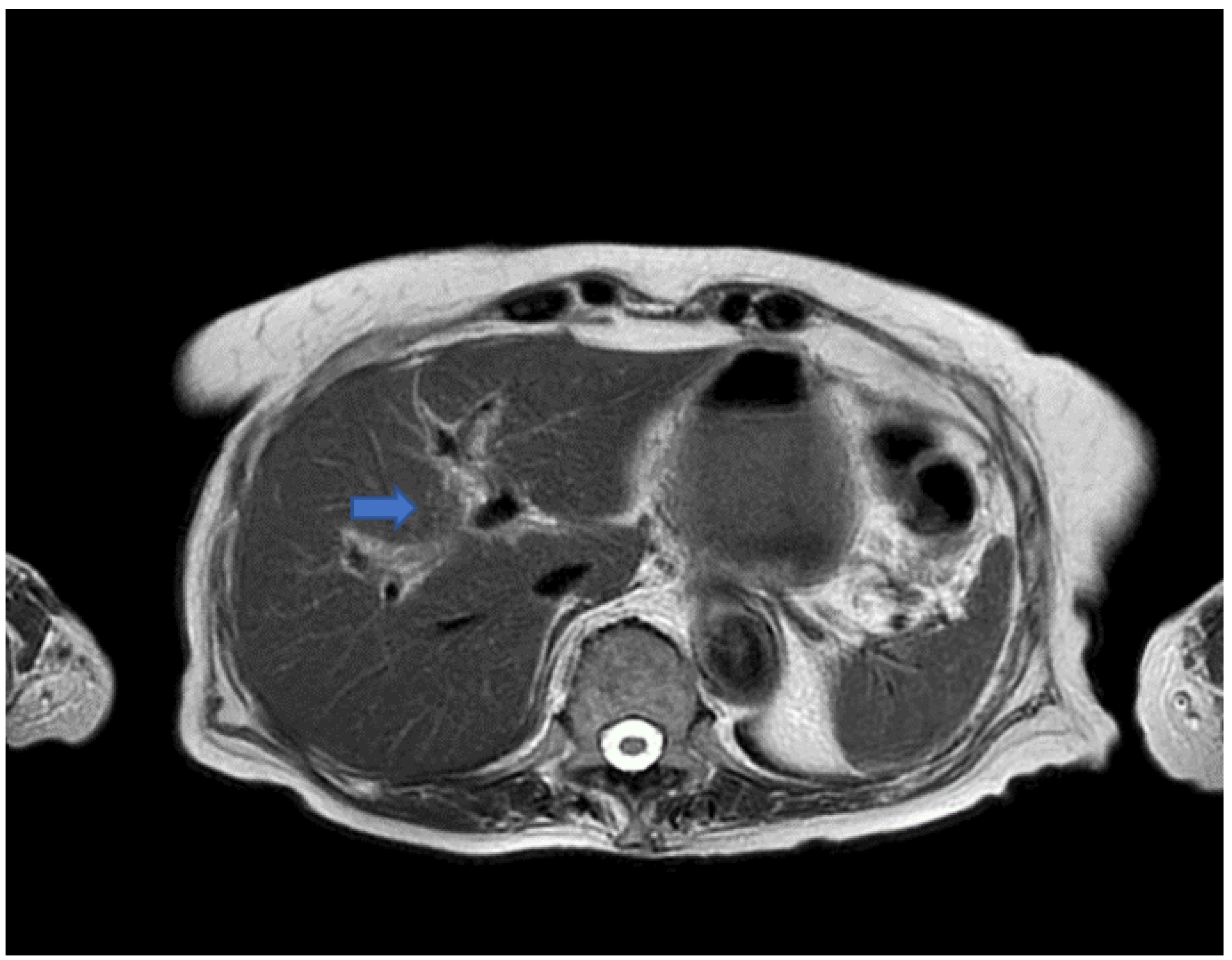
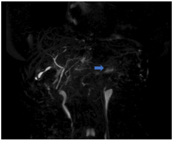
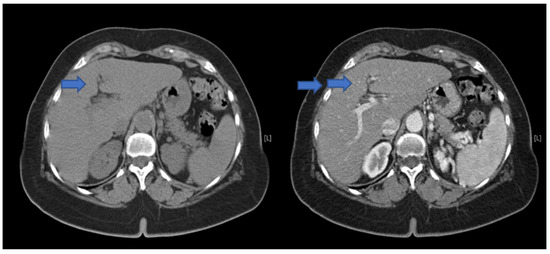
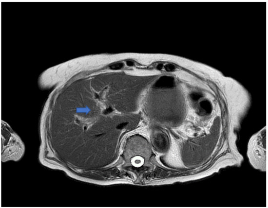
2. Case Presentation and Results
3. Discussion
4. Conclusions
Author Contributions
Funding
Institutional Review Board Statement
Informed Consent Statement
Conflicts of Interest
References
- Nakanuma, Y.; Tsuneyama, K.; Harada, K. Pathology and pathogenesis of intrahepatic bile duct loss. J. Hepatobiliary Pancreat. Surg. 2001, 8, 303–315. [Google Scholar] [CrossRef] [PubMed]
- Reau, N.S.; Jensen, D.M. Vanishing bile duct syndrome. Clin. Liver Dis. 2008, 12, 203–217. [Google Scholar] [CrossRef] [PubMed]
- Gagnier, J.J.; Kienle, G.; Altman, D.G.; Moher, D.; Sox, H.; Riley, D.; CARE Group. The CARE guidelines: Consensus-based clinical case reporting guideline development. BMJ Case Rep. 2013, 2013, bcr2013201554. [Google Scholar] [CrossRef] [PubMed]
- Ludwig, J.; Wiesner, R.H.; Batts, K.P.; Perkins, J.D.; Krom, R.A.F. The acute vanishing bile duct syndrome (acute irreversible rejection) after orthotopic liver transplantation. Hepatology 1987, 7, 476–483. [Google Scholar] [CrossRef] [PubMed]
- Kita, H.; Matsumura, S.; He, X.S.; Ansari, A.A.; Lian, Z.X.; Van de Water, J.; Coppel, R.L.; Kaplan, M.M.; Gershwin, M.E. Quantitative and functional analysis of PDC-E2-specific autoreactive cytotoxic T lymphocytes in primary biliary cirrhosis. J. Clin. Investig. 2002, 109, 1231–1240. [Google Scholar] [CrossRef] [PubMed][Green Version]
- Geenes, V.; Williamson, C. Intrahepatic cholestasis of pregnancy. World J. Gastroenterol. 2009, 15, 2049–2066. [Google Scholar] [CrossRef] [PubMed]
- Hoffmann, R.M.; Gunther, C.; Diepolder, H.M.; Zachval, R.; Eissner, H.J.; Forst, H.; Anthuber, M.; Paumgartner, G.; Pape, G.R. Hepatitis C virus infection as a possible risk factor for ductopenic rejection (vanishing bile duct syndrome) after liver transplantation. Transpl. Int. 1995, 8, 353–359. [Google Scholar] [CrossRef] [PubMed]
- Bonkovsky, H.L.; Kleiner, D.E.; Gu, J.; Odin, J.A.; Russo, M.W.; Navarro, V.M.; Fontana, R.J.; Ghabril, M.S.; Barnhart, H.; Hoofnagle, J.H.; et al. Clinical presentations and outcomes of bile duct loss caused by drugs and herbal and dietary supplements. Hepatology 2017, 65, 1267–1277. [Google Scholar] [CrossRef] [PubMed]
- Kochar, R.; Nevah, M.I.; Lukens, F.J.; Fallon, M.B.; Machicao, V.I. Vanishing bile duct syndrome in human immunodeficiency virus: Nevirapine hepatotoxicity revisited. World J. Gastroenterol. 2010, 16, 3335–3338. [Google Scholar] [CrossRef] [PubMed]
- Ceccarelli, G.; Andolfi, E.; Fontani, A.; Calise, F.; Rocca, A.; Giuliani, A. Robot-assisted liver surgery in a general surgery unit with a “Referral Centre Hub&Spoke Learning Program”. Early outcomes after our first 70 consecutive patients. Minerva Chir. 2018, 73, 460–468. [Google Scholar] [CrossRef] [PubMed]
- Rocca, A.; Cipriani, F.; Belli, G.; Berti, S.; Boggi, U.; Bottino, V.; Cillo, U.; Cescon, M.; Cimino, M.; Corcione, F.; et al. The Italian Consensus on minimally invasive simultaneous resections for synchronous liver metastasis and primary colorectal cancer: A Delphi methodology. Updates Surg. 2021, 73, 1247–1265. [Google Scholar] [CrossRef] [PubMed]
- LiverTox. Clinical and Research Information on Drug-Induced Liver Injury; National Institute of Diabetes and Digestive and Kidney Diseases: Bethesda, MD, USA, 2021.
- Visentin, M.; Lenggenhager, D.; Gai, Z.; Kullak-Ublick, G.A. Drug-induced bile duct injury. Biochim. Biophys. Acta 2017, 1864, 1498–1506. [Google Scholar] [CrossRef] [PubMed]
- Tajiri, H.; Etani, Y.; Mushiake, S.; Ozono, K.; Nakayama, M. A favorable response to steroid therapy in a child with drug-associated acute vanishing bile duct syndrome and skin disorder. J. Paediatr. Child. Health 2008, 44, 234–236. [Google Scholar] [CrossRef] [PubMed]
- Pusl, T.; Beuers, U. Ursodeoxycholic acid treatment of vanishing bile duct syndromes. World J. Gastroenterol. 2006, 12, 3487–3495. [Google Scholar] [CrossRef] [PubMed]
- O’Brien, C.B.; Shields, D.S.; Saul, S.H.; Reddy, K.R. Drug-induced vanishing bile duct syndrome: Response to ursodiol. Am. J. Gastroenterol. 1996, 91, 1456–1457. [Google Scholar]



| Day after Admission | AST | ALT | gammaGT | Alkaline Phosphatase | Total Bilirubine | Direct Bilirubine |
|---|---|---|---|---|---|---|
| 1st | 370 U/L | 400 U/L | 760 U/L | 1600 U/L | 28.68 mg/dL | 25.57 mg/dL |
| 7th * | 320 U/L | 380 U/L | 771 U/L | 1523 U/L | 32.15 mg/dL | 30.12 mg/dL |
| 10th | 152 U/L | 170 U/L | 579 U/L | 780 U/L | 30.10 mg/dL | 29.45 mg/dL |
| 14th | 52 U/L | 90 U/L | 457 U/L | 284 U/L | 29.65 mg/dL | 27.78 mg/dL |
| 18th | 35 U/L | 58 U/L | 123 U/L | 201 U/L | 15.12 mg/dL | 13.82 mg/dL |
| 23rd | 21 U/L | 23 U/L | 78 U/L | 104 U/L | 7.55 mg/dL | 5.12 mg/dL |
| 25th | 17 U/L | 19 U/L | 56 U/L | 98 U/L | 5.00 mg/dL | 3.78 mg/dL |
Publisher’s Note: MDPI stays neutral with regard to jurisdictional claims in published maps and institutional affiliations. |
© 2022 by the authors. Licensee MDPI, Basel, Switzerland. This article is an open access article distributed under the terms and conditions of the Creative Commons Attribution (CC BY) license (https://creativecommons.org/licenses/by/4.0/).
Share and Cite
Izzo, P.; Gallo, G.; Codacci Pisanelli, M.; D’Onghia, G.; Macci, L.; Gabriele, R.; Polistena, A.; Izzo, L.; Izzo, S.; Basso, L. Vanishing Bile Duct Syndrome in an Adult Patient: Case Report and Review of the Literature. J. Clin. Med. 2022, 11, 3253. https://doi.org/10.3390/jcm11123253
Izzo P, Gallo G, Codacci Pisanelli M, D’Onghia G, Macci L, Gabriele R, Polistena A, Izzo L, Izzo S, Basso L. Vanishing Bile Duct Syndrome in an Adult Patient: Case Report and Review of the Literature. Journal of Clinical Medicine. 2022; 11(12):3253. https://doi.org/10.3390/jcm11123253
Chicago/Turabian StyleIzzo, Paolo, Gaetano Gallo, Massimo Codacci Pisanelli, Giuliano D’Onghia, Leonardo Macci, Raimondo Gabriele, Andrea Polistena, Luciano Izzo, Sara Izzo, and Luigi Basso. 2022. "Vanishing Bile Duct Syndrome in an Adult Patient: Case Report and Review of the Literature" Journal of Clinical Medicine 11, no. 12: 3253. https://doi.org/10.3390/jcm11123253
APA StyleIzzo, P., Gallo, G., Codacci Pisanelli, M., D’Onghia, G., Macci, L., Gabriele, R., Polistena, A., Izzo, L., Izzo, S., & Basso, L. (2022). Vanishing Bile Duct Syndrome in an Adult Patient: Case Report and Review of the Literature. Journal of Clinical Medicine, 11(12), 3253. https://doi.org/10.3390/jcm11123253

