Tumoral Phenocopies of Hypertrophic Cardiomyopathy: The Role of Cardiac Magnetic Resonance
Abstract
1. Introduction
2. Methods
3. Cardiac Tumors
4. Tumoral Phenocopies of Hypertrophic Cardiomyopathy (HCM) in Literature
4.1. Inadequate Acoustic Window
4.2. Adequate Acoustic Window
4.3. Apical HCM
4.4. Malignant Phenocopies Red Flags
4.4.1. Echocardiographic Red Flags
4.4.2. Clinical Red Flags
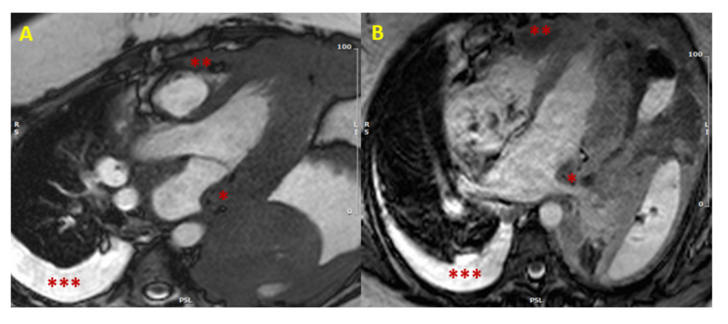
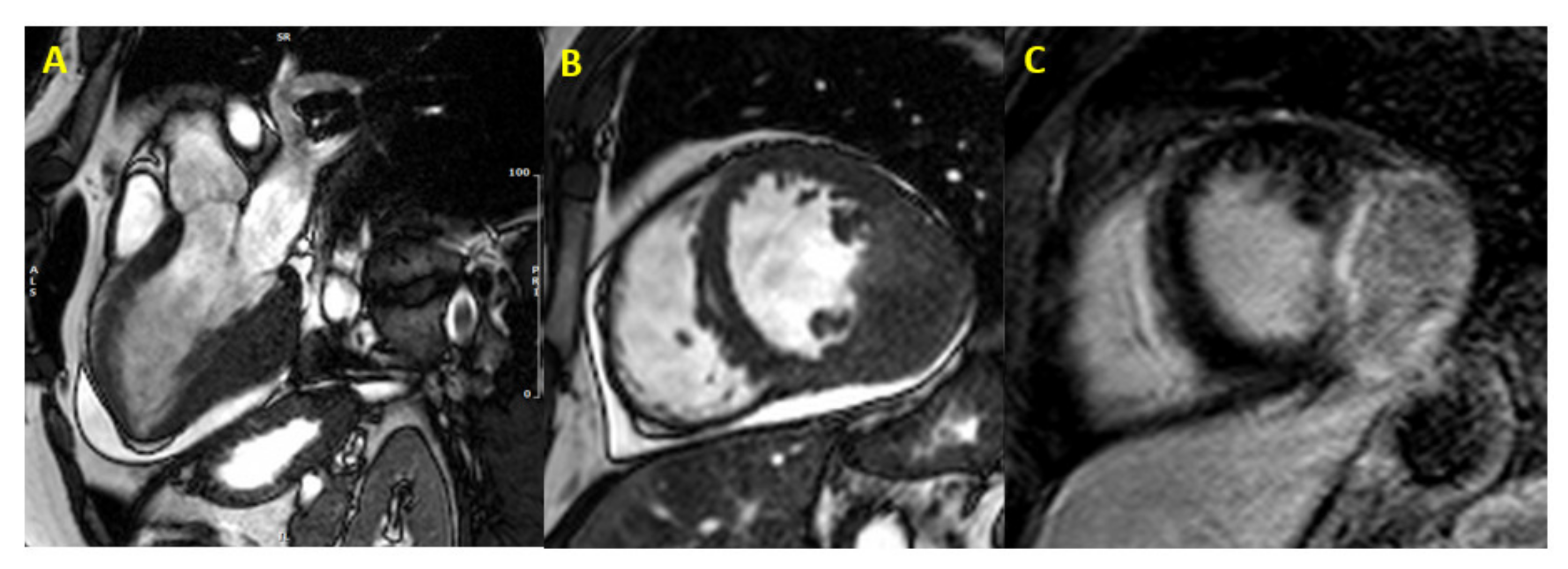
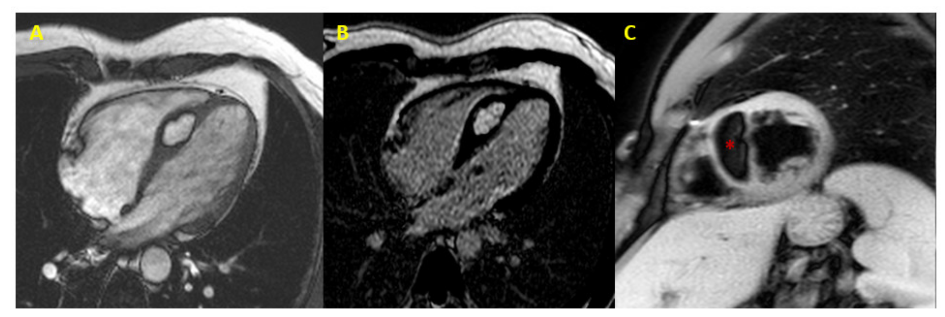
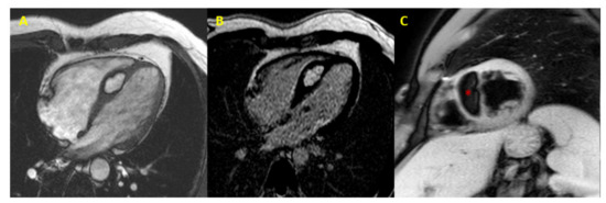
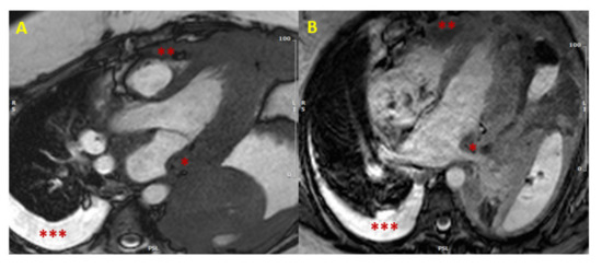
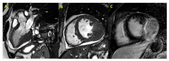
5. Imaging of Tumoral Phenocopies
5.1. Echocardiography
5.2. Second-Level Imaging
6. Discussion
7. Conclusions
Author Contributions
Funding
Conflicts of Interest
Abbreviations
| HCM | Hypertrophic cardiomyopathy |
| LV | Left ventricle |
| LVOTO | Left ventricular outflow tract obstruction |
| CMR | Cardiac magnetic resonance |
| HCC | Hepatocellular carcinoma |
| TSC1 | Tuberous sclerosis complex 1 |
| TSC2 | Tuberous sclerosis complex 2 |
| PTCH1 | Patched 1 gene |
| AHCM | Apical HCMECV = Extracellular volume |
| LGE | Late gadolinium enhancement |
| STIR | Short-tau inversion recovery |
| SSFP | steady-state free precession |
| LVH | LV hypertrophy |
| ECG | Electrocardiogram |
| OHCM | Obstructive HCM |
| SAM | Systolic anterior motion |
| CT | Computed tomography |
| ICD | Implanted cardioverter-defibrillator |
| SCD | Sudden cardiac death |
| ESC | European Society of Cardiology |
| AHA/ACC | American Heart Association/American College of Cardiology |
| SCMR | Society for Cardiovascular Magnetic Resonance |
References
- Teare, D. Asymmetrical hypertrophy of the heart in young adults. Br. Heart J. 1958, 20, 1. [Google Scholar] [CrossRef] [PubMed]
- Richard, P.; Charron, P.; Carrier, L.; Ledeuil, C.; Cheav, T.; Pichereau, C.; Benaiche, A.; Isnard, R.; Dubourg, O.; Burban, M.; et al. Hypertrophic cardiomyopathy. Circulation 2003, 107, 2227–2232. [Google Scholar] [CrossRef]
- Alfares, A.A.; Kelly, M.A.; McDermott, G.; Funke, B.H.; Lebo, M.S.; Baxter, S.B.; Shen, J.; McLaughlin, H.M.; Clark, E.H.; Babb, L.J.; et al. Results of clinical genetic testing of 2,912 probands with hypertrophic cardiomyopathy: Expanded panels offer limited additional sensitivity. Genet. Med. 2015, 17, 880–888. [Google Scholar] [CrossRef]
- Ingles, J.; Sarina, T.; Yeates, L.; Hunt, L.; Macciocca, I.; McCormack, L.; Winship, I.; McGaughran, J.; Atherton, J.; Semsarian, C. Clinical predictors of genetic testing outcomes in hypertrophic cardiomyopathy. Genet. Med. 2013, 15, 972–977. [Google Scholar] [CrossRef]
- Semsarian, C.; Ingles, J.; Maron, M.S.; Maron, B.J. New perspectives on the prevalence of hypertrophic cardiomyopathy. J. Am. Coll. Cardiol. 2015, 65, 1249–1254. [Google Scholar] [CrossRef]
- Authors/Task Force Members; Elliott, P.M.; Anastasakis, A.; Borger, M.A.; Borggrefe, M.; Cecchi, F.; Charron, P.; Hagege, A.A.; Lafont, A.; Limongelli, G.; et al. 2014 ESC Guidelines on diagnosis and management of hypertrophic cardiomyopathy: The task force for the diagnosis and management of hypertrophic cardiomyopathy of the European Society of Cardiology (ESC). Eur. Heart J. 2014, 35, 2733–2779. [Google Scholar] [CrossRef] [PubMed]
- Bogaert, J.; Olivotto, I. MR Imaging in hypertrophic cardiomyopathy: From magnet to bedside. Radiology 2014, 273, 329–348. [Google Scholar] [CrossRef] [PubMed]
- Roberts, W.C. Frequency of primary tumors of the heart. Am. J. Cardiol. 1996, 77, 107. [Google Scholar]
- Basso, C.; Rizzo, S.; Valente, M.; Thiene, G. Cardiac masses and tumours. Heart 2016, 102, 1230–1245. [Google Scholar] [CrossRef]
- Bussani, R.; De-Giorgio, F.; Abbate, A.; Silvestri, F. Cardiac metastases. J. Clin. Pathol. 2007, 60, 27–34. [Google Scholar] [CrossRef] [PubMed]
- Maleszewski, J.J.; Anavekar, N.S.; Moynihan, T.J.; Klarich, K.W. Pathology, imaging, and treatment of cardiac tumours. Nat. Rev. Cardiol. 2017, 14, 536–549. [Google Scholar] [CrossRef] [PubMed]
- Vaughan, C.J.; Veugelers, M.; Basson, C.T. Tumors and the heart: Molecular genetic advances. Curr. Opin. Cardiol. 2001, 16, 195–200. [Google Scholar] [CrossRef]
- Curatolo, P.; Bombardieri, R.; Jozwiak, S. Tuberous sclerosis. Lancet 2008, 372, 657–668. [Google Scholar] [CrossRef]
- Tworetzky, W.; McElhinney, D.B.; Margossian, R.; Moon-Grady, A.J.; Sallee, D.; Goldmuntz, E.; van der Velde, M.E.; Silverman, N.H.; Allan, L.D. Association between cardiac tumors and tuberous sclerosis in the fetus and neonate. Am. J. Cardiol. 2003, 92, 487–489. [Google Scholar] [CrossRef]
- Evans, D.G.; Ladusans, E.J.; Rimmer, S.; Burnell, L.D.; Thakker, N.; Farndon, P.A. Complications of the naevoid basal cell carcinoma syndrome: Results of a population based study. J. Med. Genet. 1993, 30, 460–464. [Google Scholar] [CrossRef] [PubMed]
- Correa, R.; Salpea, P.; Stratakis, C.A. Carney complex: An update. Eur. J. Endocrinol. 2015, 173, M85–M97. [Google Scholar] [CrossRef]
- Hovasse, T.; Unterseeh, T.; Garot, J. Unusual form of ‘obstructive hypertrophic cardiomyopathy’: Unique contribution of comprehensive cardiovascular magnetic resonance. Eur. Heart J. 2008, 30, 384. [Google Scholar] [CrossRef] [PubMed]
- Dinh, M.H.; Galvin, J.M.; Aretz, T.H.; Torchiana, D.F. Left ventricular hamartoma associated with ventricular tachycardia. Ann. Thorac. Surg. 2001, 71, 1673–1675. [Google Scholar] [CrossRef]
- Gilman, G.; Wright, R.S.; Glockner, J.F.; Starrett, R.S.; Hansen, W.H.; Sinak, L.J.; Tazelaar, H.D.; Tajik, A.J.; Dearani, J.A. Ventricular septal hamartoma mimicking hypertrophic cardiomyopathy in a 41-year-old woman presenting with paroxysmal supraventricular tachycardia. J. Am. Soc. Echocardiogr. 2005, 18, 272–274. [Google Scholar] [CrossRef]
- Torres, I.R.; Bonmatí, L.M.; González, A.P. Tumor cardíaco que simula miocardiopatía hipertrófica. Rev. Esp. Cardiol. 2003, 56, 734. [Google Scholar] [CrossRef]
- Veinot, J.; Omurchu, B.; Tazelaar, H.; Orszulak, T.; Seward, J. Cardiac fibroma mimicking apical hypertrophic cardiomyopathy: A case report and differential diagnosis. J. Am. Soc. Echocardiogr. 1996, 9, 94–99. [Google Scholar] [CrossRef]
- Ateńska-Pawłowska, J.I.; Sterliński, M.; Oręziak, A.; Sobiech, M.; Lewandowski, M. Left ventricular tumour masquerading as hypertrophic cardiomyopathy: How one can be misled by transthoracic echocardiography. Kardiol. Polska 2017, 75, 280. [Google Scholar] [CrossRef] [PubMed]
- Nucifora, G.; Pasotti, E.; Pedrazzini, G.; Moccetti, T.; Faletra, F.F.; Gallino, A. Cardiac fibroma mimicking hypertrophic cardiomyopathy: Role of magnetic resonance imaging in the differential diagnosis. Int. J. Cardiol. 2012, 154, e11–e13. [Google Scholar] [CrossRef] [PubMed]
- Mani, A.; Gopalakrishnan, A.; Ayyappan, A.; Valaparambil, A. Image of the month: Ventricular myxoma mimicking hypertrophic cardiomyopathy. Clin. Med. 2019, 19, 131–132. [Google Scholar] [CrossRef] [PubMed]
- Brown, M.R.; Dettrick, A.; Javorsky, G.; McKenzie, S.C.; Platts, D.G. Indolent cardiac angioma mimicking hypertrophic obstructive cardiomyopathy and causing right ventricular outflow tract obstruction. Eur. Heart J. Cardiovasc. Imaging 2013, 14, 718. [Google Scholar] [CrossRef][Green Version]
- Papadopoulos, C.E.; Matsiras, S.; Vassilikos, V. A rare case of lipomatous hypertrophy of the interventricular septum. J. Cardiovasc. Ultrasound 2016, 24, 170–171. [Google Scholar] [CrossRef][Green Version]
- Stephant, E.; Barthelet, M.; Leroux, P.-Y.; Revel, D. Lipomatous hypertrophy of the interventricular septum. Circulation 2008, 118, e71–e72. [Google Scholar] [CrossRef]
- Nikolić, A.; Jovovic, L.; Angelkov, L.; Oprić, M. Uncommon presentation of asymmetric hypertrophic cardiomyopathy or something else. Int. J. Cardiol. 2007, 121, e17–e18. [Google Scholar] [CrossRef]
- Kuchynka, P.; Palecek, T.; Lambert, L.; Masek, M.; Knotkova, V. Cardiac involvement in lymphoma mimicking hypertrophic cardiomyopathy. Kardiol. Polska 2018, 76, 1278. [Google Scholar] [CrossRef]
- Bergler-Klein, J.; Knoebl, P.; Kos, T.; Streubel, B.; Becherer, A.; Schwarzinger, I.; Maurer, G.; Binder, T. Myocardial involvement in a patient with Burkitt’s lymphoma mimicking hypertrophic cardiomyopathy. J. Am. Soc. Echocardiogr. 2003, 16, 1326–1330. [Google Scholar] [CrossRef]
- Cabin, H.S.; Costello, R.M.; Vasudevan, G.; Maron, B.J.; Roberts, W.C. Cardiac lymphoma mimicking hypertrophic cardiomyopathy. Am. Heart J. 1981, 102, 466–468. [Google Scholar] [CrossRef]
- Kim, D.-H.; Kim, Y.-H.; Song, W.-H.; Ahn, J.-C. Primary cardiac lymphoma presenting as an atypical type of hypertrophic cardiomyopathy. Echocardiography 2013, 31, 115–119. [Google Scholar] [CrossRef] [PubMed]
- Bin Yap, L.; Faizura, I.; Khan, S.K.A.; Tamin, S.S.; Chew, D.S.P. Diff use cardiac B-cell lymphoma presenting with pericardial eff usion or mimicking hypertrophic cardiomyopathy. Acta Cardiol. 2015, 70, 367–368. [Google Scholar] [CrossRef] [PubMed]
- Lee, P.; Woo, K.; Chow, L.T.; Ng, H.; Chan, W.W.; Yu, C.; Lo, A.W. Images in cardiovascular medicine. Diffuse infiltration of lymphoma of the myocardium mimicking clinical hypertrophic cardiomyopathy. Circulation 2006, 113, e662–e664. [Google Scholar] [CrossRef]
- Santhosh, S.; Bahl, A.; Saikia, U.N.; Lad, D.; Mittal, B.R.; Malhotra, P.; Varma, S. FDG PET/CT in the staging and follow-up of primary cardiac ‘T’ cell lymphoma presenting as hypertrophic cardiomyopathy. J. Nucl. Cardiol. 2015, 23, 581–584. [Google Scholar] [CrossRef]
- Greco, A.; De Masi, R.; Orlando, S.; Metrangolo, A.; Zecca, V.; Morciano, G.; Bagordo, F.; Piccinni, G.; De Donno, A. Metastases of hepatocellular carcinoma misdiagnosed as isolated hypertrophic cardiomyopathy. Ann. Hepatol. 2017, 16, 966–969. [Google Scholar] [CrossRef]
- Karass, M.; Mondal, P.; Alkayem, M.; Ojo, A.; Aronow, W.S.; Puccio, C. A rare presentation of acute heart failure secondary to aggressive uterine leiomyosarcoma metastatic to the myocardium initially diagnosed as hypertrophic obstructive cardiomyopathy. Ann. Transl. Med. 2016, 4, 374. [Google Scholar] [CrossRef]
- Ciesek, S.; Kirchhoff, T.; Niehaus, M.; Manns, M.P.; Greten, T.F. Verdacht auf neu aufgetretene hypertrophe obstruktive Kardiomyopathie bei hepatozellulärem Karzinom. DMW Dtsch. Med. Wochenschr. 2008, 133, 2209–2212. [Google Scholar] [CrossRef]
- Kondo, T.; Kitazawa, R.; Kawata, E.; Mori, K.; Kitazawa, S. Diffuse cardiac lymphatic involvement by metastatic neuroendocrine carcinoma mimicking hypertrophic cardiomyopathy: A case report. Cases J. 2009, 2, 9127. [Google Scholar] [CrossRef][Green Version]
- Lopci, E.; Monti, L.; Balzarini, L.; Chiti, A. Cardiac and acoustic metastases in relapsing melanoma. Clin. Nucl. Med. 2013, 38, e85–e88. [Google Scholar] [CrossRef]
- Friedel, I.; Burchert, W.; Horstkotte, D.; Faber, L. A Rare Case of Cardiac Melanoma Mimicking Hypertrophic Cardiomyopathy. Can. J. Cardiol. 2017, 33, 950.e1–950.e3. [Google Scholar] [CrossRef]
- Ommen, S.R.; Mital, S.; Burke, M.A.; Day, S.M.; Deswal, A.; Elliott, P.; Evanovich, L.L.; Hung, J.; Joglar, J.A.; Kantor, P.; et al. 2020 AHA/ACC guideline for the diagnosis and treatment of patients with hypertrophic cardiomyopathy. J. Am. Coll. Cardiol. 2020, 76, e159–e240. [Google Scholar] [CrossRef] [PubMed]
- Maron, M.S.; Maron, B.J.; Harrigan, C.; Buros, J.; Gibson, C.M.; Olivotto, I.; Biller, L.; Lesser, J.R.; Udelson, J.E.; Manning, W.J.; et al. Hypertrophic cardiomyopathy phenotype revisited after 50 years with cardiovascular magnetic resonance. J. Am. Coll. Cardiol. 2009, 54, 220–228. [Google Scholar] [CrossRef] [PubMed]
- Eriksson, M.J.; Sonnenberg, B.; Woo, A.; Rakowski, P.; Parker, T.G.; Wigle, E.; Rakowski, H. Long-term outcome in patients with apical hypertrophic cardiomyopathy. J. Am. Coll. Cardiol. 2002, 39, 638–645. [Google Scholar] [CrossRef]
- Siontis, B.L.; Zhao, L.; Leja, M.; McHugh, J.B.; Shango, M.M.; Baker, L.H.; Schuetze, S.M.; Chugh, R. Primary cardiac sarcoma: A rare, aggressive malignancy with a high propensity for brain metastases. Sarcoma 2019, 2019, 1960593. [Google Scholar] [CrossRef] [PubMed]
- Suehiro, S.; Matsuda, M.; Hirata, T.; Taniyama, D.; Kuraoka, K.; Takasaki, T.-I.; Segawa, T.; Oka, T.; Tamura, R.; Sugino, H. Primary cardiac rhabdomyosarcoma developed after receiving radiotherapy for left breast cancer 18 years prior. J. Cardiol. Cases 2017, 15, 181–183. [Google Scholar] [CrossRef]
- Riles, E.; Gupta, S.; Wang, D.D.; Tobin, K. Primary cardiac angiosarcoma: A diagnostic challenge in a young man with recurrent pericardial effusions. Exp. Clin. Cardiol. 2012, 17, 39–42. [Google Scholar] [PubMed]
- Leiner, T.; Bogaert, J.; Friedrich, M.G.; Mohiaddin, R.; Muthurangu, V.; Myerson, S.; Powell, A.J.; Raman, S.V.; Pennell, D.J. SCMR Position Paper (2020) on clinical indications for cardiovascular magnetic resonance. J. Cardiovasc. Magn. Reson. 2020, 22, 1–37. [Google Scholar] [CrossRef] [PubMed]
- Ferrari, V. The EACVI Textbook of Cardiovascular Magnetic Resonance; Lombardi, M., Plein, S., Petersen, S., Eds.; Oxford University Press: Oxford, UK, 2018. [Google Scholar]
- Fussen, S.; De Boeck, B.W.; Zellweger, M.J.; Bremerich, J.; Goetschalckx, K.; Zuber, M.; Buser, P.T. Cardiovascular magnetic resonance imaging for diagnosis and clinical management of suspected cardiac masses and tumours. Eur. Heart J. 2011, 32, 1551–1560. [Google Scholar] [CrossRef]
- Pazos-López, P.; Pozo, E.; Siqueira, M.E.; García-Lunar, I.; Cham, M.; Jacobi, A.; Macaluso, F.; Fuster, V.; Narula, J.; Sanz, J. Value of CMR for the differential diagnosis of cardiac masses. JACC Cardiovasc. Imaging 2014, 7, 896–905. [Google Scholar] [CrossRef]
- Moscatelli, S.; Nardi, B.; Indolfi, E.; Fazzari, F.; Montini, O.; Coppini, L.; Monti, L. P586An unusual phenocopy of hypertrophic cardiomyopathy: A case report. Eur. Heart J. Cardiovasc. Imaging 2019, 20, 586. [Google Scholar] [CrossRef]
- Gallamini, A.; Zwarthoed, C.; Borra, A. Positron emission tomography (PET) in oncology. Cancers 2014, 6, 1821–1889. [Google Scholar] [CrossRef] [PubMed]
- Burke, A.; Tavora, F. The 2015 WHO classification of tumors of the heart and pericardium. J. Thorac. Oncol. 2016, 11, 441–452. [Google Scholar] [CrossRef] [PubMed]
- Graziani, F.; Laurito, M.; Pieroni, M.; Pennestrì, F.; Lanza, G.A.; Coluccia, V.; Camporeale, A.; Pedicino, D.; Verrecchia, E.; Manna, R.; et al. Right ventricular hypertrophy, systolic function, and disease severity in anderson-fabry disease: An echocardiographic study. J. Am. Soc. Echocardiogr. 2017, 30, 282–291. [Google Scholar] [CrossRef]
- Binder, C.; Duca, F.; Binder, T.; Rettl, R.; Dachs, T.M.; Seirer, B.; Ligios, L.C.; Dusik, F.; Capelle, C.; Qin, H.; et al. Prognostic implications of pericardial and pleural effusion in patients with cardiac amyloidosis. Clin. Res. Cardiol. 2020, 1–12. [Google Scholar] [CrossRef]



| Syndrome | Trasmission | Mutation | Cardiac Tumor | Frequency | Extracardiac Signs and Symptoms | Reference |
|---|---|---|---|---|---|---|
| Tuberous Sclerosis | Autosomal dominant | TSC1 or TSC2 | Rhabdomyoma | 80% | Hamartomas in several organs, including heart rhabdomyomas and hamartomas of brain, skin, eyes, kidney, lung, and liver | [13,14] |
| Gorlin Syndrome | Autosomal dominant | PTCH1 | Cardiac Fibroma | 3% | Predisposition to skin cancer, unusual brain tumors, skeletal abnormalities (such as bifid ribs), and macrocephaly | [15] |
| Carney complex | Autosomal dominant | PRKAR1A | Myxoma | 5% | Endocrine overactivity, with Cushing’s syndrome or acromegaly, and spotty skin pig-mentation (i.e., lentiginosis) | [16] |
| Tumor | Typical Location | Histologic Features | CMR Features | Notes | Case Reports in Literature |
|---|---|---|---|---|---|
| Benign congenital | |||||
| Rhabdomyoma | Ventricle | Large and vacuolated myocytes (spider cell) | T1 isointense, T2 iso/hyperintense, no/minimal contrast enhancement | Strongly (80%) associated with tuberous sclerosis | [17] |
| Hamartoma of mature cardiac myocytes | Ventricle | Enlarged, highly disorganized cardiomyocytes | T1 Isointense T2 inhomogeneously hyperintense | Very similar to HCM | [18,19] |
| Cardiac fibroma | Ventricle and ventricular septum | Tumor cells resemble fibroblasts, calcification is common | T1 and T2 hypointense, heterogeneous late contrast enhancement with hypoenhancing core | Found in 3% of patients with Gorlin syndrome | [20,21,22,23] |
| Benign acquired | |||||
| Myxoma | Left atrium, right atrium, interatrial septum | Splinde-shaped cells (myxoma cells), calcification can be present | T1 iso/hypointense, T2 hyperintense, heterogeneous late contrast enhancement of >50% of the mass area | 5% are a manifestation of the Carney complex. In case of haemorrhage and haemosiderin deposition, hypointense in all sequences | [24] |
| Hemangioma | Left atrium, right atrium | Variably sized blood vessels | T1 iso/hyperintense, T2 hyperintense, peripheral nodular contrast enhancement and progressive centripetal fill | Sometimes with heterogeneous enhancement due to calcifications and septations of the mass | [25] |
| Lipomatous Hypertrophy | Interatrial septum | Brown fat and cardiac myocytes | T1 and T2 hyperintese, no contrast enhancement | Intensity reduced with fat suppression technique | [26,27,28] |
| Malignant | |||||
| Lymphoma | Right atrium | Malignant lymphocytes | T1 and T2 isointense, heterogeneous enhancement | Highly abnormal T2 relaxation times (up to 140 ms) with T2 -mapping | [29,30,31,32,33,34,35] |
| Metastases | Variable | Infiltrating malignant cells | Heterogeneous enhancement | [36,37,38,39] | |
| Metastases of melanoma | Variable | Infiltrating malignant cells | T1 hyperintense, T2 hypointense | Due to the T1 relaxation time-shortening properties of melanin | [40,41] |
| Tumoral Phenocopy of HCM | Patient | Symptoms | ECG Suggestive | Echocardiography | CMR Depiction | Notes | Reference | ||
|---|---|---|---|---|---|---|---|---|---|
| Age | Gender | Mass | Mass | Diagnostic | |||||
| Rhabdomyoma | 50 | Male | Yes | No | No | Yes | Yes | [17] | |
| Hamartoma of mature cardiac myocytes | 33 | Male | Yes | NR | Not at first evaluation | Yes | No | Definitive diagnosis obtained with histology of the tumor excised | [18] |
| Hamartoma of mature cardiac myocytes | 41 | Female | Yes | Yes | Not at first evaluation | Yes | No | Definitive diagnosis obtained with histology of biopsy | [19] |
| Cardiac fibroma | 55 | Male | Yes | Yes | Not at first evaluation | Yes | Yes | Precedent misdiagnosis of HCM | [21] |
| Cardiac fibroma | 40 | Male | No | Yes | Inadequate window | Yes | Yes | [20] | |
| Cardiac fibroma | 59 | Female | Yes | Yes | No | Yes | Yes | [23] | |
| Myxoma | 5 | Male | No | Yes | Not at first evaluation | Yes | Yes | [24] | |
| Cardiac angioma | 20 | Female | Yes | Yes | No | No | No | Precedent misdiagnosis of HCM; definitive diagnosis obtained with histology of septal myectomy sample | [25] |
| Lipomatous hypertrophy of interventricular septum | 46 | Male | No | No | No | Yes | Yes | [26] | |
| Lipomatous hypertrophy of interventricular septum | 17 | Male | No | No | No | Yes | Yes | [27] | |
| Non-Hodgkin Lymphoma | 38 | Male | No | NR | No | No | Yes | At CMR myocardial involvement compatible with lymphoproliferative disease | [29] |
| Burkitt’s Lymphoma | 34 | Female | No | Yes | No | No | No | Concomitant oncological history; definitive diagnosis with 18-FDG PET and regression after chemotheraphy | [30] |
| Metastases Melanoma | 45 | Female | No | NR | NR | Yes | Yes | Known history of malignant melanoma | [40] |
| Metastases Hepatocellular Carcinoma | 61 | Male | Yes | Yes | Not at first evaluation | Yes | No | Previous diagnosis of HCC and misdiagnosis of HCM; myocardial biopsy needed for conclusive diagnosis | [36] |
| Red Flag | Description | Rationale |
|---|---|---|
| Clinical | Prior clinical history of malignancy | Secondary cardiac metastases can occur many years after the diagnosis of a primary tumor |
| Extracardiac syndromic signs and symptoms | A subset of cardiac tumors is associated to genetic syndromes: Tuberous sclerosis; Gorlin syndrome; Carney complex. | |
| Echocardiografic | Concomitant hypertrophy of RV, atria, or IAS | Their presence imply a higher probability of a phenocopy (tumors, amyloid or Fabry disease) and make the diagnosis of HCM less likely |
| Atypical pattern of LVH | ||
| Pericardial and/or pleural effusion at least moderate | ||
| Absence of ancillary findings of HCM | Tumoral phenocopies of HCM described never show the ancillary echocardiographic findings often associated with typical HCM (anomalies of papillary muscles, elongated mitral valve leaflets, myocardial clefts). |
Publisher’s Note: MDPI stays neutral with regard to jurisdictional claims in published maps and institutional affiliations. |
© 2021 by the authors. Licensee MDPI, Basel, Switzerland. This article is an open access article distributed under the terms and conditions of the Creative Commons Attribution (CC BY) license (https://creativecommons.org/licenses/by/4.0/).
Share and Cite
Bombace, S.; My, I.; Francone, M.; Monti, L. Tumoral Phenocopies of Hypertrophic Cardiomyopathy: The Role of Cardiac Magnetic Resonance. J. Clin. Med. 2021, 10, 1683. https://doi.org/10.3390/jcm10081683
Bombace S, My I, Francone M, Monti L. Tumoral Phenocopies of Hypertrophic Cardiomyopathy: The Role of Cardiac Magnetic Resonance. Journal of Clinical Medicine. 2021; 10(8):1683. https://doi.org/10.3390/jcm10081683
Chicago/Turabian StyleBombace, Sara, Ilaria My, Marco Francone, and Lorenzo Monti. 2021. "Tumoral Phenocopies of Hypertrophic Cardiomyopathy: The Role of Cardiac Magnetic Resonance" Journal of Clinical Medicine 10, no. 8: 1683. https://doi.org/10.3390/jcm10081683
APA StyleBombace, S., My, I., Francone, M., & Monti, L. (2021). Tumoral Phenocopies of Hypertrophic Cardiomyopathy: The Role of Cardiac Magnetic Resonance. Journal of Clinical Medicine, 10(8), 1683. https://doi.org/10.3390/jcm10081683

