Cardiovascular Calcification as a Marker of Increased Cardiovascular Risk and a Surrogate for Subclinical Atherosclerosis: Role of Echocardiography
Abstract
1. Introduction
1.1. Current Cardiovascular Risk Prediction: Algorithms and Limitations
1.2. The Role of Imaging in Detecting Subclinical Atherosclerosis and Reclassify Patients Risk
- Detecting atherosclerosis (the consequences of which we aim to avoid) is better than simply identifying TRF exposure;
- Reclassification of low-risk subjects into higher-risk strata may guide appropriate therapy;
- Disease visualization might improve adherence to risk-modifying interventions by increasing awareness.
1.2.1. Two-Dimensional (2D) Ultrasound of Carotid Arteries
1.2.2. Coronary Artery Calcium Score (CACs)
2. Definition and Epidemiology of Cardiac Calcifications
3. Clinical Implications of Cardiac Calcifications
4. How to Detect Cardiac Calcification?
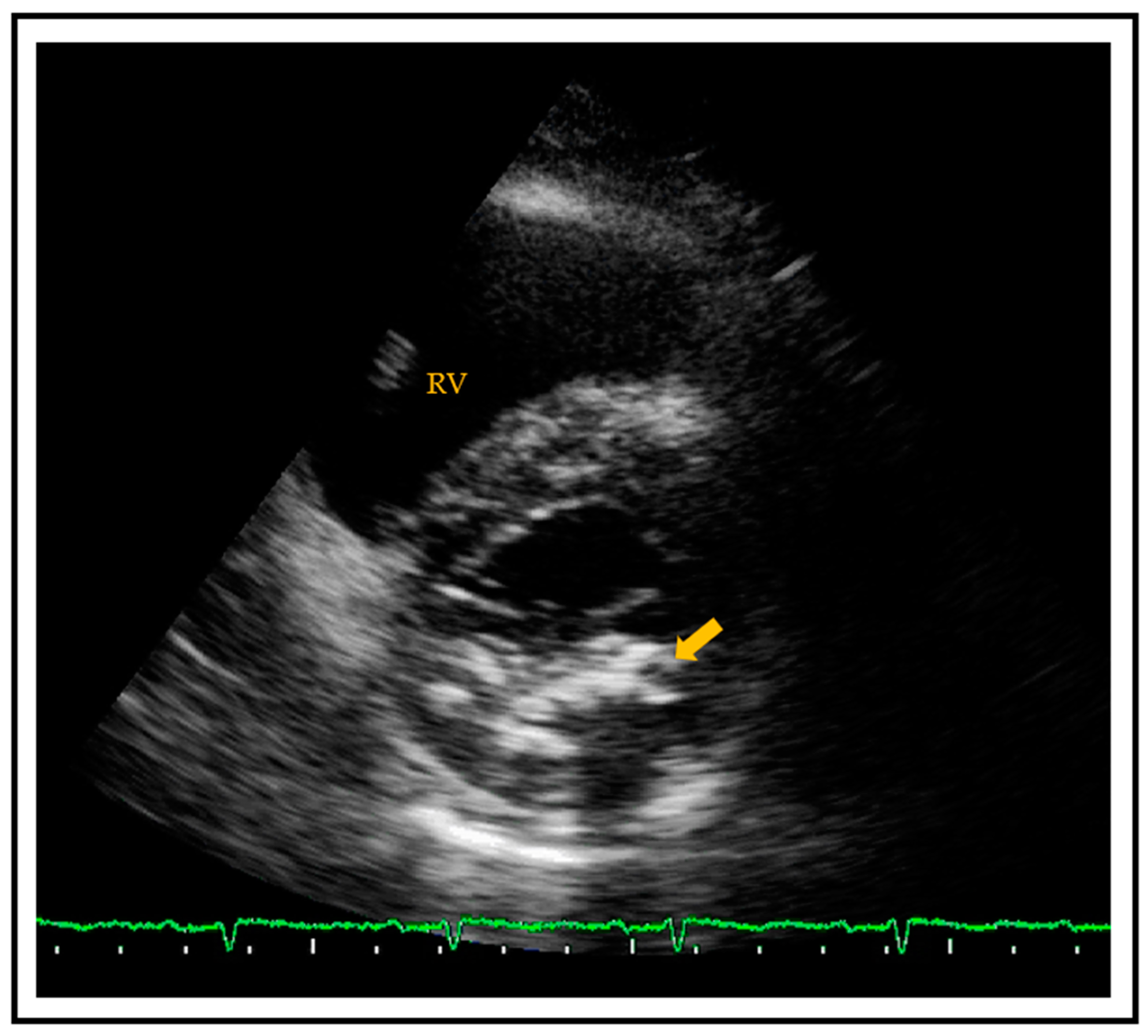
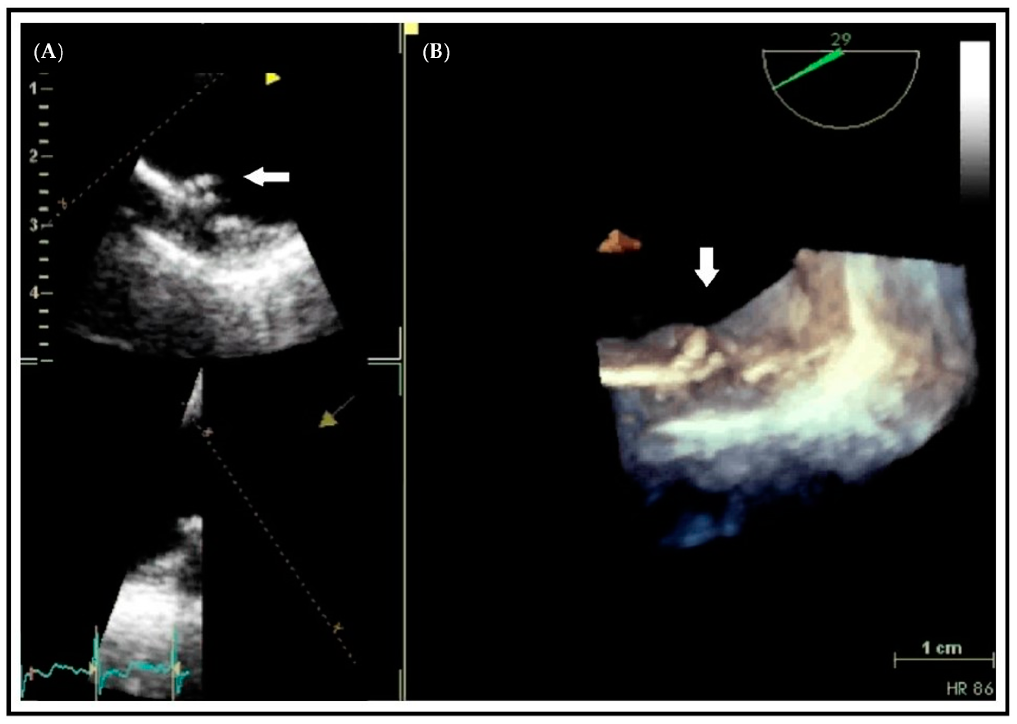
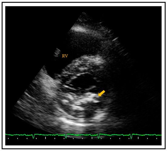
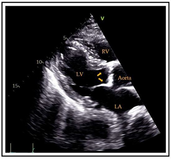
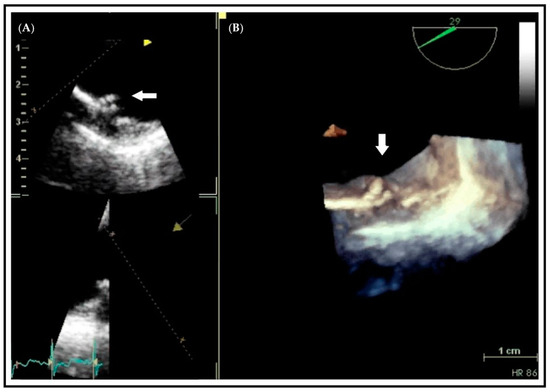
4.1. Ultrasound
4.2. Comparison between Techniques: Ultrasound vs. Cardiac CT
5. Conclusions
Supplementary Materials
Author Contributions
Funding
Data Availability Statement
Conflicts of Interest
References
- Mensah, G.A.; Roth, G.A.; Fuster, V. The Global Burden of Cardiovascular Diseases and Risk Factors: 2020 and Beyond. J. Am. Coll. Cardiol. 2019. [Google Scholar] [CrossRef]
- Mureddu, G.F.; Brandimarte, F.; Faggiano, P.; Rigo, F.; Nixdorff, U. Between risk charts and imaging: How should we stratify cardiovascular risk in clinical practice? Eur. Heart J. Cardiovasc. Imaging 2013. [Google Scholar] [CrossRef] [PubMed]
- Conroy, R.M.; Pyörälä, K.; Fitzgerald, A.P.; Sans, S.; Menotti, A.; De Backer, G.; De Bacquer, D.; Ducimetière, P.; Jousilahti, P.; Keil, U.; et al. Estimation of ten-year risk of fatal cardiovascular disease in Europe: The SCORE project. Eur. Heart J. 2003. [Google Scholar] [CrossRef]
- Arnett, D.K.; Blumenthal, R.S.; Albert, M.A.; Buroker, A.B.; Goldberger, Z.D.; Hahn, E.J.; Himmelfarb, C.D.; Khera, A.; Lloyd-Jones, D.; McEvoy, J.W.; et al. ACC/AHA Guideline on the Primary Prevention of Cardiovascular Disease: A Report of the American College of Cardiology/American Heart Association Task Force on Clinical Practice Guidelines. J. Am. Coll. Cardiol. 2019, 74, e177–e232. [Google Scholar] [CrossRef]
- Lloyd-Jones, D.M.; Wilson, P.W.; Larson, M.G.; Betiser, A.; Leip, E.P.; D’Agostino, R.B.; Levy, D. Framingham risk score and prediction of lifetime risk for coronary heart disease. Am. J. Cardiol. 2004. [Google Scholar] [CrossRef]
- Piepoli, M.F.; Hoes, A.W.; Agewall, S.; Albus, C.; Brotons, C.; Catapano, A.L.; Cooney, M.T.; Corra, U.; Cosyns, B.; Deaton, C.; et al. European Guidelines on cardiovascular disease prevention in clinical practice. Eur. Heart J. 2016. [Google Scholar] [CrossRef]
- Greenland, P.; Alpert, J.S.; Beller, G.A.; Benjamin, E.J.; Budoff, M.J.; Fayad, Z.A.; Foster, E.; Hlatky, M.A.; Hodgson, J.M..; Kushner, F.G.; et al. 2010 ACCF/AHA guideline for assessment of cardiovascular risk in asymptomatic adults: Executive summary: A report of the American College of cardiology foundation/American Heart association task force on practice guidelines. Circulation 2010. [Google Scholar] [CrossRef]
- Rajagopalan, S.; Brauer, M.; Bhatnagar, A.; Bhatt, D.L.; Brook, J.R.; Huang, W.; Münzel, T.; Newby, D.; Siegel, J.; Brook, R.D. Personal-Level Protective Actions against Particulate Matter Air Pollution Exposure: A Scientific Statement from the American Heart Association. Circulation 2020. [Google Scholar] [CrossRef]
- Rose, G. Sick individuals and sick populations. Int. J. Epidemiol. 2001. [Google Scholar] [CrossRef] [PubMed]
- Mitu, O.; Crisan, A.; Redwood, S.; Cazacu-Davidescu, I.-E.; Mitu, I.; Costache, I.-I.; Onofrei, V.; Miftode, R.-S.; Costache, A.-D.; Haba, C.; et al. The Relationship between Cardiovascular Risk Scores and Several Markers of Subclinical Atherosclerosis in an Asymptomatic Population. J. Clin. Med. 2021, 10, 955. [Google Scholar] [CrossRef]
- Steyerberg, E.W.; Vicketrs, A.J.; Cook, N.R.; Gerds, T.; Gonen, M.; Obuchowski, N.; Pencina, M.J.; Kattan, M.W. Assessing the performance of prediction models: A framework for traditional and novel measures. Epidemiology 2010. [Google Scholar] [CrossRef]
- Pencina, M.J.; D’Agostino, R.B.; D’Agostino, R.B.; Vasan, R.S. Evaluating the added predictive ability of a new marker: From area under the ROC curve to reclassification and beyond. Stat. Med. 2008. [Google Scholar] [CrossRef]
- Karim, R.; Hodis, H.N.; Detrano, R.; Liu, C.R.; Liu, C.H.; Mack, W.J. Relation of Framingham Risk Score to Subclinical Atherosclerosis Evaluated Across Three Arterial Sites. Am. J. Cardiol. 2008. [Google Scholar] [CrossRef]
- Shah, P.K. Screening Asymptomatic Subjects for Subclinical Atherosclerosis. Can We, Does It Matter, and Should We? J. Am. Coll. Cardiol. 2010. [Google Scholar] [CrossRef]
- Monti, C.B.; Capra, D.; Malavazos, A.; Florini, G.; Parietti, C.; Schiaffino, S.; Sardanelli, F.; Secchi, F. Subcutaneous, Paracardiac, and Epicardial Fat CT Density Before/After Contrast Injection: Any Correlation with CAD? J. Clin. Med. 2021, 10, 735. [Google Scholar] [CrossRef] [PubMed]
- Johri, A.M.; Nambi, V.; Naqvi, T.Z.; Feinstein, S.B.; Kim, E.S.; Park, M.M.; Becher, H.; Sillesen, H. Recommendations for the Assessment of Carotid Arterial Plaque by Ultrasound for the Characterization of Atherosclerosis and Evaluation of Cardiovascular Risk: From the American Society of Echocardiography. J. Am. Soc. Echocardiogr. 2020. [Google Scholar] [CrossRef] [PubMed]
- Lorenz, M.W.; Markus, H.S.; Bots, M.L.; Rosvall, M.; Sitzer, M. Prediction of clinical cardiovascular events with carotid intima-media thickness: A systematic review and meta-analysis. Circulation 2007. [Google Scholar] [CrossRef]
- Costanzo, P.; Perrone-Filardi, P.; Vassallo, E.; Paolillo, S.; Cesarano, P.; Brevetti, G.; Chiariello, M. Does carotid intima-media thickness regression predict reduction of cardiovascular events? A meta-analysis of 41 randomized trials. J. Am. Coll. Cardiol. 2010. [Google Scholar] [CrossRef]
- Inaba, Y.; A Chen, J.; Bergmann, S.R.; Stein, J.H.; Von Schacky, C. Carotid Intima–Media Thickness and Cardiovascular Eventsn. Engl. J. Med. 2011. [Google Scholar] [CrossRef]
- Ruijter, H.M.D.; Peters, S.A.E.; Anderson, T.J.; Britton, A.R.; Dekker, J.M.; Eijkemans, M.J.; Engström, G.; Evans, G.W.; De Graaf, J.; Grobbee, D.E.; et al. Common carotid intima-media thickness measurements incardiovascular risk prediction: A meta-analysis. JAMA J. Am. Med. Assoc. 2012. [Google Scholar] [CrossRef]
- Mancia, G.; Laurent, S.; Agabiti-Rosei, E.; Ambrosioni, E.; Burnier, M.; Caulfield, M.J.; Cifkova, R.; Clément, D.; Coca, A.; Dominiczak, A.; et al. Reappraisal of European guidelines on hypertension management: A European Society of Hypertension Task Force document. J. Hypertens. 2009. [Google Scholar] [CrossRef]
- Peters, S.A.E.; den Ruijter, H.M.; Bots, M.L.; Moons, K.G.M. Improvements in risk stratification for the occurrence of cardiovascular disease by imaging subclinical atherosclerosis: A systematic review. Heart 2012. [Google Scholar] [CrossRef]
- Sillesen, H.; Sartori, S.; Sandholt, B.; Baber, U.; Mehran, R.; Fuster, V. Carotid plaque thickness and carotid plaque burden predict future cardiovascular events in asymptomatic adult Americans. Eur. Heart J. Cardiovasc. Imaging 2018. [Google Scholar] [CrossRef]
- Giannarelli, C.; Ibanez, B.; Cimmino, G.; Ruiz, J.M.G.; Faita, F.; Bialnchini, E.; Zafar, M.U.; Fuster, V.; Garcia, M.J.; Badimon, J.J. Contrast-enhanced ultrasound imaging detects intraplaque neovascularization in an experimental model of atherosclerosis. JACC Cardiovasc. Imaging 2010. [Google Scholar] [CrossRef]
- Schindler, A.; Schinner, R.; Altaf, N.; Hosseini, A.A.; Simpson, R.J.; Esposito-Bauer, L.; Singh, N.; Kwee, R.M.; Kurosaki, Y.; Yamagata, S.; et al. Prediction of Stroke Risk by Detection of Hemorrhage in Carotid Plaques: Meta-Analysis of Individual Patient Data. JACC Cardiovasc. Imaging 2020. [Google Scholar] [CrossRef]
- Faggiano, P.; Dasseni, N.; Gaibazzi, N.; Rossi, A.; Henein, M.; Pressman, G. Cardiac calcification as a marker of subclinical atherosclerosis and predictor of cardiovascular events: A review of the evidence. Eur. J. Prev. Cardiol. 2019. [Google Scholar] [CrossRef] [PubMed]
- Arad, Y.; Goodman, K.J.; Roth, M.; Newstein, D.; Guerci, A.D. Coronary calcification, coronary disease risk factors, C-reactive protein, and atherosclerotic cardiovascular disease events: The St. Francis heart study. J. Am. Coll. Cardiol. 2005. [Google Scholar] [CrossRef]
- Sarwar, A.; Shaw, L.J.; Shapiro, M.D.; Blankstein, R.; Hoffman, U.; Cury, R.C.; Abbara, S.; Brady, T.J.; Budoff, M.J.; Blumenthal, R.S.; et al. Diagnostic and Prognostic Value of Absence of Coronary Artery Calcification. JACC Cardiovasc. Imaging 2009. [Google Scholar] [CrossRef] [PubMed]
- Erbel, R.; Möhlenkamp, S.; Moebus, S.; Schmermund, A.; Lehmann, N.; Stang, A.; Dragano, N.; Grönemeyer, D.; Seibel, R.; Kälsch, H.; et al. Coronary risk stratification, discrimination, and reclassification improvement based on quantification of Subclinical coronary atherosclerosis: The Heinz Nixdorf Recall study. J. Am. Coll. Cardiol. 2010. [Google Scholar] [CrossRef]
- Polonsky, T.S. Coronary artery calcium score and risk classification for coronary heart disease prediction. JAMA J. Am. Med. Assoc. 2010. [Google Scholar] [CrossRef]
- Sandesara, P.B.; Mehta, A.; O’Neal, W.T.; Kelli, H.M.; Sathiyakumar, V.; Martin, S.S.; Blaha, M.J.; Blumenthal, R.S.; Sperling, L.S. Clinical significance of zero coronary artery calcium in individuals with LDL cholesterol ≥190mg/dL: The Multi-Ethnic Study of Atherosclerosis. Atherosclerosis 2020. [Google Scholar] [CrossRef] [PubMed]
- Mortensen, M.B.; Dzaye, O.; Steffensen, F.H.; Bøtker, H.E.; Jensen, J.M.; Sand, N.P.R.; Kragholm, K.H.; Sørensen, H.T.; Leipsic, J.; Mæng, M.; et al. Impact of Plaque Burden Versus Stenosis on Ischemic Events in Patients with Coronary Atherosclerosis. J. Am. Coll. Cardiol. 2020. [Google Scholar] [CrossRef]
- Chow, L.S.; Alhassani, S.D.; Crean, A.M.; Small, G.R.; Coronary, C.T. Angiography Guided Medical Therapy in Subclinical Atherosclerosis. J. Clin. Med. 2021, 10, 625. [Google Scholar] [CrossRef] [PubMed]
- Lorenz, M.W.; Schaefer, C.; Steinmetz, H.; Sitzer, M. Is Carotid intima media thickness useful for individual prediction of cardiovascular risk? Ten-year results from the Carotid Atherosclerosis Progression Study (CAPS). Eur. Heart J. 2010. [Google Scholar] [CrossRef]
- Asselbergs, F.W.; Mozaffarian, D.; Katz, R.; Kestenbaum, B.; Fried, L.F.; Gottdiener, J.S.; Shlipak, M.G.; Siscovick, D.S. Association of renal function with cardiac calcifications in older adults: The cardiovascular health study. Nephrol. Dial. Transpl. 2009. [Google Scholar] [CrossRef]
- Kanjanauthai, S.; Nasir, K.; Katz, R.; Rivera, J.J.; Takasu, J.; Blumenthal, R.S.; Eng, J.; Budoff, M.J. Relationships of mitral annular calcification to cardiovascular risk factors: The Multi-Ethnic Study of Atherosclerosis (MESA). Atherosclerosis 2010. [Google Scholar] [CrossRef] [PubMed]
- Allison, M.A.; Cheung, P.; Criqui, M.H.; Langer, R.D.; Wright, C.M. Mitral and aortic annular calcification are highly associated with systemic calcified atherosclerosis. Circulation 2006. [Google Scholar] [CrossRef] [PubMed]
- Simon, M.A.; Liu, S.F. Calcification of the mitral valve annulus and its relation to functional valvular disturbance. Am. Heart J. 1954. [Google Scholar] [CrossRef]
- Rossi, A.; Targher, G.; Zoppini, G.; Cicoira, M.; Bonapace, S.; Negri, C.; Stoico, V.; Faggiano, P.; Vassanelli, C.; Bonora, E. Aortic and mitral annular calcifications are predictive of all-cause and cardiovascular mortality in patients with type 2 diabetes. Diabetes Care 2012. [Google Scholar] [CrossRef] [PubMed]
- Budoff, M.J.; Takasu, J.; Katz, R.; Mao, S.; Shavelle, D.M.; O’Brien, K.D.; Blumenthal, R.S.; Carr, J.J.; Kronmal, R. Reproducibility of CT measurements of aortic valve calcification, mitral annulus calcification, and aortic wall calcification in the multi-ethnic study of atherosclerosis. Acad. Radiol. 2006. [Google Scholar] [CrossRef]
- Agatston, S.; Janowitz, W.R.; Hildner, F.J.; Zusmer, N.R.; Viamonte, M.; Detrano, R. Quantification of coronary artery calcium using ultrafast computed tomography. J. Am. Coll. Cardiol. 1990. [Google Scholar] [CrossRef]
- Abramowitz, Y.; Jilaihawi, H.; Chakravarty, T.; Mack, M.J.; Makkar, R.R. Mitral Annulus Calcification. J. Am. Coll. Cardiol. 2015. [Google Scholar] [CrossRef] [PubMed]
- Faggiano, P.; Faggiano, A.; Pressman, G. MAC in CKD and dialysis patients: Pathophysiological doubts and clinical implications. Int. J. Cardiol. 2019. [Google Scholar] [CrossRef]
- Roberts, W.C. The senile cardiac calcification syndrome. Am. J. Cardiol. 1986. [Google Scholar] [CrossRef]
- Boon, B.; Cheriex, E.; Lodder, J.; Kessels, F. Cardiac valve calcification: Characteristics of patients with calcification of the mitral annulus or aortic valve. Heart 1997. [Google Scholar] [CrossRef] [PubMed]
- Elmariah, S.; Budoff, M.J.; Delaney, J.A.C.; Hamirani, Y.; Eng, J.; Fuster, V.; Kronmal, R.A.; Halperin, J.L.; O’Brien, K.D. Risk factors associated with the incidence and progression of mitral annulus calcification: The multi-ethnic study of atherosclerosis. Am. Heart J. 2013. [Google Scholar] [CrossRef]
- Faggiano, P.; Antonini-Canterin, F.; Erlicher, A.; Romeo, C.; Cervesato, E.; Pavan, D.; Piazza, R.; Huang, G.; Nicolosi, G.L. Progression of aortic valve sclerosis to aortic stenosis. Am. J. Cardiol. 2003. [Google Scholar] [CrossRef]
- Movva, R.; Murthy, K.; Romero-Corral, A.; Rammohan, H.R.S.; Fumo, P.; Pressman, G.S. Calcification of the mitral valve and annulus: Systematic evaluation of effects on valve anatomy and function. J. Am. Soc. Echocardiogr. 2013. [Google Scholar] [CrossRef]
- Pressman, G.S.; Agarwal, A.; Braitman, L.E.; Muddassir, S.M. Mitral Annular Calcium Causing Mitral Stenosis. Am. J. Cardiol. 2010. [Google Scholar] [CrossRef]
- Carabello, B.A. Aortic Sclerosis—A Window to the Coronary Arteries? N. Engl. J. Med. 1999. [Google Scholar] [CrossRef]
- Rossi, A.; Faggiano, P.; Amado, A.E.; Cicoira, M.; Bonapace, S.; Franceschini, L.; Dini, F.L.; Ghio, S.; Agricola, E.; Temporelli, P.L.; et al. Mitral and aortic valve sclerosis/calcification and carotid atherosclerosis: Results from 1065 patients. Heart Vessel. 2014. [Google Scholar] [CrossRef]
- Otto, M.; Lind, B.K.; Kitzman, D.W.; Gersh, B.J.; Siscovick, D.S. Association of Aortic-Valve Sclerosis with Cardiovascular Mortality and Morbidity in the Elderly. N. Engl. J. Med. 1999. [Google Scholar] [CrossRef]
- Owens, D.S.; Budoff, M.J.; Katz, R.; Takasu, J.; Shavelle, D.M.; Carr, J.J.; Heckbert, S.R.; Otto, C.M.; Probstfield, J.L.; Kronmal, R.A.; et al. Aortic valve calcium independently predicts coronary and cardiovascular events in a primary prevention population. JACC Cardiovasc. Imaging 2012. [Google Scholar] [CrossRef]
- Nasir, K.; Katz, R.; Al-Mallah, M.; Takasu, J.; Shavelle, D.M.; Carr, J.J.; Kronmal, R.; Blumenthal, R.S.; O’Brien, K.; Budoff, M.J. Relationship of aortic valve calcification with coronary artery calcium severity: The Multi-Ethnic Study of Atherosclerosis (MESA). J. Cardiovasc. Comput. Tomogr. 2010. [Google Scholar] [CrossRef]
- Blaha, M.J.; Budoff, M.J.; Rivera, J.J.; Khan, A.N.; Santos, R.D.; Shaw, L.J.; Raggi, P.; Berman, D.; Rumberger, J.A.; Blumenthal, R.S.; et al. Relation of aortic valve calcium detected by cardiac computed tomography to all-cause mortality. Am. J. Cardiol. 2010. [Google Scholar] [CrossRef]
- Fox, C.S.; Vasan, R.S.; Parise, H.; Levy, D.; O’Donnell, C.J.; D’Agostino, R.B.; Benjamin, E.J. Mitral annular calcification predicts cardiovascular morbidity and mortality: The Framingham Heart Study. Circulation 2003. [Google Scholar] [CrossRef] [PubMed]
- Adler, Y.; Herz, I.; Vaturi, M.; Fusman, R.; Shohat-Zabarski, R.; Fink, N.; Porter, A.; Shapira, Y.; Assali, A.; Sagie, A. Mitral annular calcium detected by transthoracic echocardiography is a marker for high prevalence and severity of coronary artery disease in patients undergoing coronary angiography. Am. J. Cardiol. 1998. [Google Scholar] [CrossRef]
- Adler, Y.; Vaturi, M.; Fink, N.; Tanne, D.; Shapira, Y.; Weisenberg, D.; Sela, N.; Sagie, A. Association between mitral annulus calcification and aortic atheroma: A prospective transesophageal echocardiographic study. Atherosclerosis 2000. [Google Scholar] [CrossRef]
- Adler, Y.; Koren, A.; Fink, N.; Tanne, D.; Fusman, R.; Assali, A.; Yahav, J.; Zelikovski, A.; Sagie, A. Association between mitral annulus calcification and carotid atherosclerotic disease. Stroke 1998. [Google Scholar] [CrossRef] [PubMed]
- Hamirani, Y.S.; Nasir, K.; Blumenthal, R.S.; Takasu, J.; Shavelle, D.; Kronmal, R.; Budoff, M. Relation of mitral annular calcium and coronary calcium (from the multi-ethnic study of atherosclerosis [MESA]). Am. J. Cardiol. 2011. [Google Scholar] [CrossRef] [PubMed]
- Coffey, S.; Cox, B.; Williams, M.J.A. The prevalence, incidence, progression, and risks of aortic valve sclerosis: A systematic review and meta-analysis. J. Am. Coll. Cardiol. 2014. [Google Scholar] [CrossRef] [PubMed]
- Di Minno, M.N.D.; Di Minno, A.; Ambrosino, P.; Songia, P.; Pepi, M.; Tremoli, E.; Poggio, P. Cardiovascular morbidity and mortality in patients with aortic valve sclerosis: A systematic review and meta-analysis. Int. J. Cardiol. 2018. [Google Scholar] [CrossRef] [PubMed]
- Pradelli, D.; Faden, G.; Mureddu, G.; Rossi, A.; Cioffi, G.; Gaibazzi, N.; Soranna, D.; Corrao, G.; Faggiano, P. Impact of aortic or mitral valve sclerosis and calcification on cardiovascular events and mortality: A meta-analysis. Int. J. Cardiol. 2013. [Google Scholar] [CrossRef]
- Rossi, A.; Barbieri, A.; Benfari, G.; Gaibazzi, N.; Erlicher, A.; Mureddu, G.; Frattini, S.; Faden, G.; Manicardi, M.; Beraldi, M.; et al. Heart valve calcification and cardiac hemodynamics. Echocardiography 2021, 2020, 1–6. [Google Scholar] [CrossRef]
- Alamir, M.A.; Rădulescu, V.; Goyfman, M.; Mohler, E.R.; Gao, Y.L.; Budoff, M.J. Prevalence and correlates of mitral annular calcification in adults with chronic kidney disease: Results from CRIC study. Atherosclerosis 2015. [Google Scholar] [CrossRef] [PubMed]
- Chan, K.L.; Teo, K.; Dumesnil, J.G.; Ni, A.; Tam, J. Effect of lipid lowering with rosuvastatin on progression of aortic stenosis: Results of the aortic stenosis progression observation: Measuring effects of rosuvastatin (Astronomer) trial. Circulation 2010, 121, 306–314. [Google Scholar] [CrossRef] [PubMed]
- Farmer, J.A. Intensive lipid lowering with simvastatin and ezetimibe in aortic stenosis (the SEAS trial). Curr. Atheroscler. Rep. 2009, 11, 82–83. [Google Scholar]
- Gaibazzi, N.; Baldari, C.; Faggiano, P.; Albertini, L.; Faden, G.; Pigazzani, F.; Rossi, C.; Reverberi, C. Cardiac calcium score on 2D echo: Correlations with cardiac and coronary calcium at multi-detector computed tomography. Cardiovasc. Ultrasound 2014. [Google Scholar] [CrossRef]
- Nucifora, G.; Schuijf, J.D.; Van Werkhoven, J.M.; Trines, S.A.; Kajander, S.; Tops, L.F.; Turta, O.; Jukema, J.W.; Schreur, J.H.M.; Heijenbrok, M.W.; et al. Relationship between obstructive coronary artery disease and abnormal stress testing in patients with paroxysmal or persistent atrial fibrillation. Int. J. Cardiovasc. Imaging 2011. [Google Scholar] [CrossRef]
- Goff, D.C.; Lloyd-Jones, D.M.; Bennett, G.; Coady, S.; D’Agostino, R.B.; Gibbons, R.; Greenland, P.; Lackland, D.T.; Levy, D.; O’Donnell, C.J.; et al. 2013 ACC/AHA guideline on the assessment of cardiovascular risk: A report of the American college of cardiology/American heart association task force on practice guidelines. Circulation 2014. [Google Scholar] [CrossRef]
- Gaibazzi, N.; Sicari, R.; Agricola, E.; Cioffi, G.; Mazzone, C.; Albertini, L.; Faden, G.; Molinaro, S.; Regazzoli, D.; Di Lenarda, A.; et al. Cardiac calcification at transthoracic echocardiography predicts stress echo results: A multicentre study. Int. J. Cardiol. 2014. [Google Scholar] [CrossRef] [PubMed]
- Gaibazzi, N.; Porter, T.R.; Agricola, E.; Cioffi, G.; Mazzone, C.; Lorenzoni, V.; Albertini, L.; Faden, G.; Pasha, M.C.; Biabhav, B.; et al. Prognostic value of echocardiographic calcium score in patients with a clinical indication for stress echocardiography. JACC Cardiovasc. Imaging 2015. [Google Scholar] [CrossRef] [PubMed]
- Tolstrup, K.; Roldan, C.A.; Qualls, C.R.; Crawford, M.H. Aortic valve sclerosis, mitral annular calcium, and aortic root sclerosis as markers of atherosclerosis in men. Am. J. Cardiol. 2002. [Google Scholar] [CrossRef]
- Corciu, A.I.; Siciliano, V.; Poggianti, E.; Petersen, C.; Venneri, L.; Picano, E. Cardiac calcification by transthoracic echocardiography in patients with known or suspected coronary artery disease. Int. J. Cardiol. 2010. [Google Scholar] [CrossRef] [PubMed]
- Gaibazzi, N.; Rigo, F.; Facchetti, R.; Carerj, S.; Giannattasio, C.; Moreo, A.; Mureddu, G.F.; Salvetti, M.; Grolla, E.; Faden, G.; et al. Differential incremental value of ultrasound carotid intima-media thickness, carotid plaque, and cardiac calcium to predict angiographic coronary artery disease across Framingham risk score strata in the APRES multicentre study. Eur. Heart J. Cardiovasc. Imaging 2016. [Google Scholar] [CrossRef] [PubMed]
- Saha, S.A.; Beatty, A.L.; Mishra, R.K.; Whooley, M.A.; Schiller, N.B. Usefulness of an echocardiographic composite cardiac calcium score to predict death in patients with stable coronary artery disease (from the Heart and Soul Study). Am. J. Cardiol. 2015. [Google Scholar] [CrossRef]
- Pressman, G.S.; Crudu, V.; Parameswaran-Chandrika, A.; Romero-Corral, A.; Purushottam, B.; Figueredo, V.M. Can total cardiac calcium predict the coronary calcium score? Int. J. Cardiol. 2011. [Google Scholar] [CrossRef]
- Krishnamoorthy, P.; Gupta, S.; Lu, M.; Friend, E.J.; Pressman, G.S. Usefulness of the Echocardiographic Calcium Score to Refine Risk of Major Adverse Cardiovascular Events Beyond the Traditional Framingham Risk Score. Am. J. Cardiol. 2019, 123, 392–395. [Google Scholar] [CrossRef]
- Lu, M.L.R.; Gupta, S.; Romero-Corral, A.; Matejková, M.; De Venecia, T.; Obasare, E.; Bhalla, V.; Pressman, G.S. Cardiac Calcifications on Echocardiography Are Associated with Mortality and Stroke. J. Am. Soc. Echocardiogr. 2016, 29, 1171–1178. [Google Scholar] [CrossRef]
- Hirschberg, K.; Reinhart, M.; Konstandin, M.; Uhlmann, L.; Katus, H.A.; Mereles, D. Diagnostic and prognostic value of a novel cardiac calcification score for coronary artery disease by transthoracic echocardiography. Int. J. Cardiol. 2015. [Google Scholar] [CrossRef]
- Hirschberg, K.; Reinhart, M.; Mereles, D.; Uhlmann, L.; André, F.; Riffel, J.; Ochs, M.; Katus, H.A. Echocardiographic calcification score in patients with low/intermediate cardiovascular risk. Clin. Res. Cardiol. 2019. [Google Scholar] [CrossRef] [PubMed]
- Gaibazzi, N.; Bianconcini, M.; Marziliano, N.; Parrini, I.; Conte, M.R.; Siniscalchi, C.; Faden, G.; Faggiano, P.; Pigazzani, F.; Grassi, F.; et al. Scar Detection by Pulse-Cancellation Echocardiography: Validation by CMR in Patients with Recent STEMI. JACC Cardiovasc. Imaging 2016. [Google Scholar] [CrossRef] [PubMed]
- Weissler-Snir, A.; Greenberg, G.; Shapira, Y.; Weisenberg, D.; Monakier, D.; Nevzorov, R.; Sagie, A.; Vaturi, M. Transoesophageal echocardiography of aortic atherosclerosis: The additive value of three-dimensional over two-dimensional imaging. Eur. Heart J. Cardiovasc. Imaging 2015. [Google Scholar] [CrossRef]
- Liu, S.; Wang, Y.; Yang, X.; Lei, B.; Liu, L.; Li, S.X.; Ni, D.; Wang, T. Deep learning in medical ultrasound analysis: A review. Engineering 2019, 261–275. [Google Scholar] [CrossRef]



| (A) Tolstrup et al. [73] | Grade | Aortic Valve Sclerosis | Mitral Annulus Calcification | Aortic Atheromatous Disease | |||||
| Final Score Range: 0–10 | 0 | No thickening | Normal | Normal, <2 mm intimal thickness | |||||
| 1 | Slight ↑ reflectance, thickness < 2 mm | <5 mm | Intimal thickness 2–4 mm | ||||||
| 2 | Mild ↑ reflectance, thickness 2–4 mm | 5–10 mm | Intimal thickness > 4 mm | ||||||
| 3 | Generalized hyper-reflectance, thickness > 4 mm | >10 mm | Any protruding/mobile plaque | ||||||
| 4 | Markedly hyper-reflectant masses, thickness > 6 mm | ||||||||
| (B) Corciu et al. [74] | Grade | Papillary Muscle Calcium | Mitral Annular Calcium | Aortic Valve Sclerosis | Aorta Root Calcium | ||||
| Final Score Range: 0–8 | 0 | Absent | Absent | Normal cusp thickness (<2mm) and normal reflectivity | Absent | ||||
| 1 | Present | <5 mm | Cusp thickness > 2 mm and/or increased reflectivity | Present | |||||
| 2 | 5–10 mm | Thickness > 4 mm and/or diffuse or focal cusp hyperreflectivity | |||||||
| 3 | >10 mm | Thickness > 6mm and/or marked echoreflectivity | |||||||
| (C) Pressman et al. [77] | Grade | Posterior Annulus Calcium | Posterior Mitral Leaflet Restriction | Anterior Annulus Calcium | Anterior Mitral Leaflet Restriction | Mitral Valve Calcium | Subvalvular Apparatus Calcium | Aortic Valve Calcium | Aortic Root Calcium |
| Final Score Range: 0–13 | 0 | Absent | Absent | Absent | Absent | Absent | Absent | Absent | Absent |
| 1 | 1/3 of annulus | Present | Present (any mobility reduction) | Present (valve opening <10mm) | Mild | Present | Nodules in <3 leaflets | Present | |
| 2 | 2/3 of annulus | >Mild | Nodules in 3 leaflets but non-restrictive | ||||||
| 3 | 3/3 of annulus | Restrictive (meam gradient > 15 mmHg or reduced leaflets motion) | |||||||
| (D) Hirschberg et al. [80] | Grade | Papillary Muscle Calcium | Mitral Annular Calcium | Aortic Valve Sclerosis | Aorta Root Calcium | Septal Calcium | |||
| Final Score Range: 0–5 | 0 | Absent | Absent | Absent | Absent | Absent | |||
| 1 | Present | Present | Present | Absent | Present | ||||
Publisher’s Note: MDPI stays neutral with regard to jurisdictional claims in published maps and institutional affiliations. |
© 2021 by the authors. Licensee MDPI, Basel, Switzerland. This article is an open access article distributed under the terms and conditions of the Creative Commons Attribution (CC BY) license (https://creativecommons.org/licenses/by/4.0/).
Share and Cite
Faggiano, A.; Santangelo, G.; Carugo, S.; Pressman, G.; Picano, E.; Faggiano, P. Cardiovascular Calcification as a Marker of Increased Cardiovascular Risk and a Surrogate for Subclinical Atherosclerosis: Role of Echocardiography. J. Clin. Med. 2021, 10, 1668. https://doi.org/10.3390/jcm10081668
Faggiano A, Santangelo G, Carugo S, Pressman G, Picano E, Faggiano P. Cardiovascular Calcification as a Marker of Increased Cardiovascular Risk and a Surrogate for Subclinical Atherosclerosis: Role of Echocardiography. Journal of Clinical Medicine. 2021; 10(8):1668. https://doi.org/10.3390/jcm10081668
Chicago/Turabian StyleFaggiano, Andrea, Gloria Santangelo, Stefano Carugo, Gregg Pressman, Eugenio Picano, and Pompilio Faggiano. 2021. "Cardiovascular Calcification as a Marker of Increased Cardiovascular Risk and a Surrogate for Subclinical Atherosclerosis: Role of Echocardiography" Journal of Clinical Medicine 10, no. 8: 1668. https://doi.org/10.3390/jcm10081668
APA StyleFaggiano, A., Santangelo, G., Carugo, S., Pressman, G., Picano, E., & Faggiano, P. (2021). Cardiovascular Calcification as a Marker of Increased Cardiovascular Risk and a Surrogate for Subclinical Atherosclerosis: Role of Echocardiography. Journal of Clinical Medicine, 10(8), 1668. https://doi.org/10.3390/jcm10081668

