Temporary Proximal Tibial Epiphysiodesis for Correction of Leg Length Discrepancy in Children—Should Proximal Fibular Epiphysiodesis Be Performed Concomitantly?
Abstract
1. Introduction
2. Materials and Methods
2.1. Patients
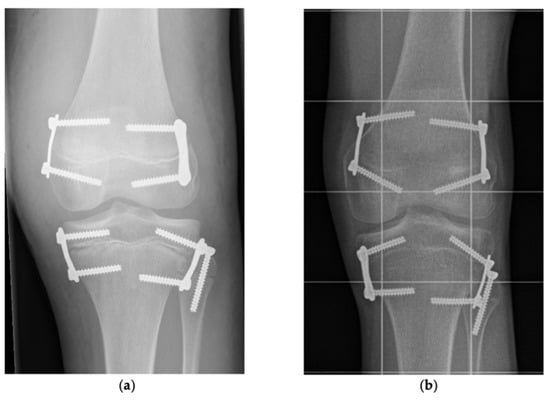
2.2. Indication, Operative Technique, and Applied Implants
2.3. Implants Applied for Epiphysiodesis
2.4. Clinical Analysis
2.5. Radiographic Analysis
2.6. Statistical Report
3. Results
3.1. Patient Characteristics and Surgical Parameters
3.2. Radiographic Outcome Regarding Tibiofibular Relation
3.2.1. Comparison in Each of the Groups Treated with and without PFE
3.2.2. Comparison between the Groups Treated with and without PFE
3.3. Clinical Outcome
4. Discussion
5. Conclusions
Author Contributions
Funding
Institutional Review Board Statement
Informed Consent Statement
Data Availability Statement
Acknowledgments
Conflicts of Interest
References
- Canale, S.T.; Christian, C.A. Techniques for epiphysiodesis about the knee. Clin. Orthop. Relat. Res. 1990, 255, 81–85. [Google Scholar] [CrossRef]
- Vogt, B.; Schiedel, F.; Rodl, R. Guided growth in children and adolescents. Correction of leg length discrepancies and leg axis deformities. Orthopade 2014, 43, 267–284. [Google Scholar] [CrossRef] [PubMed]
- Blount, W.P.; Clarke, G.R. Control of bone growth by epiphyseal stapling; a preliminary report. J. Bone Jt. Surg. Am. 1949, 31a, 464–478. [Google Scholar] [CrossRef]
- Ghanem, I.; Karam, J.A.; Widmann, R.F. Surgical epiphysiodesis indications and techniques: Update. Curr. Opin. Pediatr. 2011, 23, 53–59. [Google Scholar] [CrossRef] [PubMed]
- Bowen, J.R.; Johnson, W.J. Percutaneous epiphysiodesis. Clin. Orthop. Relat. Res. 1984, 190, 170–173. [Google Scholar] [CrossRef]
- Phemister, D.B. Operative arrestment of longitudinal growth of bones in the treatment of deformities JBJS 1933, 15, 1–15. JBJS 1933, 15, 1–15. [Google Scholar]
- Pendleton, A.M.; Stevens, P.M.; Hung, M. Guided growth for the treatment of moderate leg-length discrepancy. Orthopedics 2013, 36, e575–e580. [Google Scholar] [CrossRef]
- Metaizeau, J.P.; Wong-Chung, J.; Bertrand, H.; Pasquier, P. Percutaneous epiphysiodesis using transphyseal screws (pets). J. Pediatric Orthop. 1998, 18, 363–369. [Google Scholar] [CrossRef]
- Siedhoff, M.; Ridderbusch, K.; Breyer, S.; Stucker, R.; Rupprecht, M. Temporary epiphyseodesis for limb-length discrepancy. 8- to 15-year follow-up of 34 children. Acta Orthop. 2014, 85, 626–632. [Google Scholar] [CrossRef]
- Makarov, M.R.; Dunn, S.H.; Singer, D.E.; Rathjen, K.E.; Ramo, B.A.; Chukwunyerenwa, C.K.; Birch, J.G. Complications associated with epiphysiodesis for management of leg length discrepancy. J. Pediatric Orthop. 2018, 38, 370–374. [Google Scholar] [CrossRef]
- McCarthy, J.J.; Burke, T.; McCarthy, M.C. Need for concomitant proximal fibular epiphysiodesis when performing a proximal tibial epiphysiodesis. J. Pediatric Orthop. 2003, 23, 52–54. [Google Scholar] [CrossRef]
- Porat, S.; Peyser, A.; Robin, G.C. Equalization of lower limbs by epiphysiodesis: Results of treatment. J. Pediatric Orthop. 1991, 11, 442–448. [Google Scholar] [CrossRef]
- Gabriel, K.R.; Crawford, A.H.; Roy, D.R.; True, M.S.; Sauntry, S. Percutaneous epiphyseodesis. J. Pediatric Orthop. 1994, 14, 358–362. [Google Scholar] [CrossRef]
- Boyle, J.; Makarov, M.R.; Podeszwa, D.A.; Rodgers, J.A.; Jo, C.-H.; Birch, J.G. Is proximal fibula epiphysiodesis necessary when performing a proximal tibial epiphysiodesis? J. Pediatric Orthop. 2020, 40, e984–e989. [Google Scholar] [CrossRef] [PubMed]
- Stephens, D.C.; Herrick, W.; MacEwen, G.D. Epiphysiodesis for limb length inequality: Results and indications. Clin. Orthop. Relat. Res. 1978, 136, 41–48. [Google Scholar] [CrossRef]
- Frommer, A.; Niemann, M.; Gosheger, G.; Toporowski, G.; Laufer, A.; Eveslage, M.; Broking, J.N.; Rodl, R.; Vogt, B. A new standard radiographic reference for proximal fibular height in children. Acta Orthop. 2020, 1–6. [Google Scholar] [CrossRef] [PubMed]
- Paley, D.; Bhave, A.; Herzenberg, J.E.; Bowen, J.R. Multiplier method for predicting limb-length discrepancy. J. Bone Jt. Surg. Am. 2000, 82, 1432–1446. [Google Scholar] [CrossRef] [PubMed]
- Moseley, C.F. A straight-line graph for leg-length discrepancies. J. Bone Jt. Surg. Am. 1977, 59, 174–179. [Google Scholar] [CrossRef]
- Panchbhavi, V.K.; Gurbani, B.N.; Mason, C.B.; Fischer, W. Radiographic assessment of fibular length variance: The case for “fibula minus”. J. Foot Ankle Surg. 2018, 57, 91–94. [Google Scholar] [CrossRef]
- Ruzbarsky, J.J.; Goodbody, C.; Dodwell, E. Closing the growth plate: A review of indications and surgical options. Curr. Opin. Pediatr. 2017, 29, 80–86. [Google Scholar] [CrossRef] [PubMed]
- Raab, P.; Wild, A.; Seller, K.; Krauspe, R. Correction of length discrepancies and angular deformities of the leg by blount’s epiphyseal stapling. Eur. J. Pediatrics 2001, 160, 668–674. [Google Scholar] [CrossRef] [PubMed]
- Stevens, P.M.; Maguire, M.; Dales, M.D.; Robins, A.J. Physeal stapling for idiopathic genu valgum. J. Pediatric Orthop. 1999, 19, 645–649. [Google Scholar] [CrossRef]
- Mielke, C.H.; Stevens, P.M. Hemiepiphyseal stapling for knee deformities in children younger than 10 years: A preliminary report. J. Pediatric Orthop. 1996, 16, 423–429. [Google Scholar] [CrossRef]
- Green, W.T.; Anderson, M. Experiences with epiphyseal arrest in correcting discrepancies in length of the lower extremities in infantile paralysis; a method of predicting the effect. J. Bone Jt. Surg. Am. 1947, 29, 659–675. [Google Scholar]
- Green, W.T.; Anderson, M. Epiphyseal arrest for the correction of discrepancies in length of the lower extremities. J. Bone Jt. Surg. Am. 1957, 39-A, 853–872. [Google Scholar] [CrossRef]
- Timperlake, R.W.; Bowen, J.R.; Guille, J.T.; Choi, I.H. Prospective evaluation of fifty-three consecutive percutaneous epiphysiodeses of the distal femur and proximal tibia and fibula. J. Pediatric Orthop. 1991, 11, 350–357. [Google Scholar] [CrossRef]
- Pritchett, J.W. Growth and growth prediction of the fibula. Clin. Orthop. Relat. Res. 1997, 334, 251–256. [Google Scholar] [CrossRef]








| Implant | n (58) |
|---|---|
| eight-PlateTM | 31 |
| PediPlateTM | 6 |
| FlexTackTM | 5 |
| RigidTackTM | 16 |
| Length | n (27) |
|---|---|
| 30 mm | 2 |
| 32 mm | 15 |
| 36 mm | 10 |
| Number of Patients | 58 |
| Male | 39 (67%) |
| Female | 19 (33%) |
| Mean age in years at surgery (range) | 12.2 (7–15) |
| Male | 12.5 (7–15) |
| Female | 11.7 (9–14) |
| Mean age in years at implant removal (range) | 14.7 (9–18) |
| Male | 14.9 (9–18) |
| Female | 14.3 (12–17) |
| Type and number of operations | 58 |
| Exclusively proximal tibial epiphysiodesis | 7 (12%) |
| Combined proximal tibial and distal femoral epiphysiodesis | 51 (88%) |
| Concomitant proximal fibular epiphysiodesis | 27 (47%) |
| Etiology | n |
|---|---|
| Congenital LLD | |
| Fibular hemimelia | 5 |
| Developmental or acquired LLD | |
| Idiopathic | 17 |
| Hemihypertrophy | 16 |
| Posttraumatic | 6 |
| Hip pathology | 6 |
| Club foot | 4 |
| Neuromuscular | 2 |
| Post-infectious | 1 |
| Trisomy X | 1 |
| Group Treated with PFE (n = 27) | Group Treated without PFE (n = 31) | ΔMD | |||||||
|---|---|---|---|---|---|---|---|---|---|
| Before Implantation | At Implant Removal | p-Value | MD | Before Implantation | At Implant Removal | p-Value | MD | p-Value | |
| Age (years) | 11.6 (7–15) | 13.5 (8–18) | / | 2.3 (1–5) | 12.7 (9–15) | 15 (12–18) | / | 2.5 (1–6) | / |
| LLD (cm) | 3.2 (2–5) | 1.5 (0–4) | <0.001 | 1.8 (0.2–3.5) | 2.4 (2–5) | 1.2 (0–4) | <0.001 | 1.3 (0.2–3.4) | 0.062 |
| Predicted LLD (cm) | 3.8 (2–5) | / | / | / | 2.7 (2–5) | / | / | / | / |
| MAD (mm) | −1 (−15–11) | −3 (−27–29) | 0.234 | 8.3 (0–27) | −2 (−17–11) | 3 (−17–27) | 0.006 | 8.2 (1–29) | 0.837 |
| JLCA (°) | 1.2 (0–2.6) | 1.2 (0–4.5) | 0.841 | 1.1 (0–3.2) | 1.2 (0.1–5.0) | 1.1 (0–4.1) | 0.436 | 0.8 (0–4.1) | 0.185 |
| Total tibial length (cm) | 35.6 (29.6–41.0) | 37.6 (31.5–43.2) | <0.001 | 2.0 (0.2–5.3) | 38.3 (33.7–43.1) | 39.6 (35.2–43.9) | <0.001 | 1.8 (0.1–5.4) | 0.755 |
| Total fibular length (cm) | 35.6 (28.9–41.3) | 37.5 (30.9–43.2) | <0.001 | 2.1 (0.2–5.7) | 38.5 (32.8–44.0) | 40.5 (34.4–45.0) | <0.001 | 2.3 (0.1–6.3) | 0.819 |
| Tibia-Fibula ratio | 1.00 (0.96–1.09) | 1.00 (0.96–1.05) | 0.427 | 0 (0–0.1) | 0.99 (0.95–1.04) | 0.98 (0.95–1.02) | <0.001 | 0 (0–0.1) | 0.250 |
| Distance proximal tibial physis to fibular head (mm; dPTFH) [16] | −3.4 (−12.7–3.5) | −5.1 (−14.8–6.4) | 0.223 | 3.7 (0.1–12) | −3.7 (−13.0–5.9) | −1.2 (−16.7–13.3) | 0.005 | 3.9 (0–15) | 0.876 |
| dPTFH within physiological range (%) | 21/27 (78) | 21/26 (81) | 1.000 | / | 25/31 (81) | 21/ 30 (70) | 0.508 | / | / |
| Distal tibio-fibular distance (cm; dDTDF) [18] | 2.2 (1.4–2.9) | 2.1 (0.8–3.0) | 0.171 | 0.2 (0–0.6) | 2.3 (1.5–3.5) | 2.5 (1.8–3.4) | <0.001 | 0.3 (0–0.6) | 0.335 |
| Before Implantation | At Implant Removal | |||||
|---|---|---|---|---|---|---|
| With PFE | Without PFE | p-Value | With PFE | Without PFE | p-Value | |
| Tibia-Fibula ratio | 1.00 (0.96–1.09) | 0.99 (0.95–1.04) | 0.798 | 1.00 (0.96–1.05) | 0.98 (0.95–1.2) | <0.001 |
| Distance proximal tibial physis to fibular head (dPTFH; mm) [16] | −3.4 (−12.7–3.5) | −3.7 (−13.0–5.9) | 0.546 | −5.1 (−14.8–6.4) | −1.2 (−16.7–13.3) | 0.018 |
| dPTFH within physiological range (%) | 77.8 | 80.6 | 1.000 | 80.8 | 70.0 | 0.508 |
| Distal tibio-fibular distance (dDTDF; cm) [18] | 2.2 (1.4–2.9) | 2.3 (1.5–3.5) | 0.236 | 2.1 (0.8–3.4) | 2.5 (1.8–3.4) | <0.001 |
| dPTFH (mm) | |||||||||
|---|---|---|---|---|---|---|---|---|---|
| Before Implantation | At Implant Removal | Change | |||||||
| RC | 95% CI | p-Value | RC | 95% CI | p-Value | RC | 95% CI | p-Value | |
| Intercept | −4.2 | (−5.7; −2.7) | <0.001 | −1.9 | (−4.1; 0.2) | 0.077 | 4.0 | (2.7; 5.3) | <0.001 |
| PFE (yes vs. no) | 1.4 | (−0.9; 3.7) | 0.234 | −2.5 | (−5.7; 0.8) | 0.142 | −0.4 | (−2.4; 1.6) | 0.677 |
| Predicted LLD (cm) centered at mean | −1.5 | (−2.8; −0.3) | 0.012 | −1.7 | (−3.5; −0.01) | 0.048 | 0.2 | (−0.8; 1.3) | 0.677 |
| Tibia-Fibula Ratio | |||||||||
|---|---|---|---|---|---|---|---|---|---|
| Before Implantation | At Implant Removal | Change | |||||||
| RC | 95% CI | p-Value | RC | 95% CI | p-Value | RC | 95% CI | p-Value | |
| Intercept | 0.997 | (0.989; 1.005) | <0.001 | 0.981 | (0.974; 0.988) | <0.001 | −0.016 | (−0.022; −0.010) | <0.001 |
| PFE (yes vs. no) | −0.002 | (−0.014; 0.009) | 0.678 | 0.019 | (0.008; 0.029) | 0.001 | 0.019 | (0.010; 0.028) | <0.001 |
| Predicted LLD (cm) centered at mean | 0.008 | (0.002; 0.014) | 0.010 | 0.005 | (−0.001; 0.011) | 0.083 | −0.002 | (−0.007; 0.002) | 0.332 |
| Group Treated with PFE (n = 27) | Group Treated without PFE (n = 31) | |||||
|---|---|---|---|---|---|---|
| Before Implantation | At Implant Removal | p-Value | Before Implantation | At Implant Removal | p-Value | |
| dPTFH out of physiological range [16] | 6/27 (22%) | 5/26 (19%) | 1.000 | 6/31 (19%) | 9/30 (30%) | 0.508 |
| Proximal fibular overgrowth | 1/27 (4%) | 2/26 (8%) | 0.500 | 2/31 (6%) | 6/30 (20%) | 0.219 |
| Newly developed overgrowth | / | 2/26 (8%) | / | / | 5/30 (17%) | / |
| Proximal fibular shortening | 5/27 (19%) | 3/26 (12%) | 0.687 | 4/31 (13%) | 3/30 (10%) | 1.000 |
| Newly developed shortening | / | 2/26 (8%) | / | / | 1 (3%) | / |
Publisher’s Note: MDPI stays neutral with regard to jurisdictional claims in published maps and institutional affiliations. |
© 2021 by the authors. Licensee MDPI, Basel, Switzerland. This article is an open access article distributed under the terms and conditions of the Creative Commons Attribution (CC BY) license (http://creativecommons.org/licenses/by/4.0/).
Share and Cite
Frommer, A.; Niemann, M.; Gosheger, G.; Eveslage, M.; Toporowski, G.; Laufer, A.; Ackmann, T.; Roedl, R.; Vogt, B. Temporary Proximal Tibial Epiphysiodesis for Correction of Leg Length Discrepancy in Children—Should Proximal Fibular Epiphysiodesis Be Performed Concomitantly? J. Clin. Med. 2021, 10, 1245. https://doi.org/10.3390/jcm10061245
Frommer A, Niemann M, Gosheger G, Eveslage M, Toporowski G, Laufer A, Ackmann T, Roedl R, Vogt B. Temporary Proximal Tibial Epiphysiodesis for Correction of Leg Length Discrepancy in Children—Should Proximal Fibular Epiphysiodesis Be Performed Concomitantly? Journal of Clinical Medicine. 2021; 10(6):1245. https://doi.org/10.3390/jcm10061245
Chicago/Turabian StyleFrommer, Adrien, Maike Niemann, Georg Gosheger, Maria Eveslage, Gregor Toporowski, Andrea Laufer, Thomas Ackmann, Robert Roedl, and Bjoern Vogt. 2021. "Temporary Proximal Tibial Epiphysiodesis for Correction of Leg Length Discrepancy in Children—Should Proximal Fibular Epiphysiodesis Be Performed Concomitantly?" Journal of Clinical Medicine 10, no. 6: 1245. https://doi.org/10.3390/jcm10061245
APA StyleFrommer, A., Niemann, M., Gosheger, G., Eveslage, M., Toporowski, G., Laufer, A., Ackmann, T., Roedl, R., & Vogt, B. (2021). Temporary Proximal Tibial Epiphysiodesis for Correction of Leg Length Discrepancy in Children—Should Proximal Fibular Epiphysiodesis Be Performed Concomitantly? Journal of Clinical Medicine, 10(6), 1245. https://doi.org/10.3390/jcm10061245

