Clinical Features and Natural History in a Cohort of Chinese Patients with RPE65-Associated Inherited Retinal Dystrophy
Abstract
1. Introduction
2. Subjects and Methods
2.1. Subjects and Clinical Evaluation
2.2. Genetic Testing and Bioinformatics Analysis
2.3. Statistical Analysis
3. Results
3.1. RPE65 Variants
3.2. Patient Demographics
3.3. The Relationship between Visual Acuity and Age
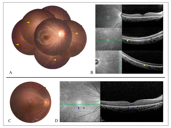
3.4. Fundus Features
3.5. Central Retinal Structural Features Evaluated by SD-OCT
3.6. Longitudinal Observation of the 13 Followed Patients
4. Discussion
Supplementary Materials
Author Contributions
Funding
Institutional Review Board Statement
Informed Consent Statement
Data Availability Statement
Conflicts of Interest
References
- Redmond, T.M. Focus on molecules: RPE65, the visual cycle retinol isomerase. Exp. Eye Res. 2009, 88, 846–847. [Google Scholar] [CrossRef] [PubMed]
- Daich Varela, M.; Cabral de Guimaraes, T.A.; Georgiou, M.; Michaelides, M. Leber congenital amaurosis/early-onset severe retinal dystrophy: Current management and clinical trials. Br. J. Ophthalmol. 2021. [Google Scholar] [CrossRef] [PubMed]
- Chacon-Camacho, O.F.; Zenteno, J.C. Review and update on the molecular basis of Leber congenital amaurosis. World J. Clin. Cases 2015, 3, 112–124. [Google Scholar] [CrossRef] [PubMed]
- Kumaran, N.; Moore, A.T.; Weleber, R.G.; Michaelides, M. Leber congenital amaurosis/early-onset severe retinal dystrophy: Clinical features, molecular genetics and therapeutic interventions. Br. J. Ophthalmol. 2017, 101, 1147–1154. [Google Scholar] [CrossRef]
- Astuti, G.D.; Bertelsen, M.; Preising, M.N.; Ajmal, M.; Lorenz, B.; Faradz, S.M.; Qamar, R.; Collin, R.W.; Rosenberg, T.; Cremers, F.P. Comprehensive genotyping reveals RPE65 as the most frequently mutated gene in Leber congenital amaurosis in Denmark. Eur. J. Hum. Genet. 2016, 24, 1071–1079. [Google Scholar] [CrossRef]
- Li, S.; Xiao, X.; Yi, Z.; Sun, W.; Wang, P.; Zhang, Q. RPE65 mutation frequency and phenotypic variation according to exome sequencing in a tertiary centre for genetic eye diseases in China. Acta Ophthalmol. 2020, 98, e181–e190. [Google Scholar] [CrossRef]
- Xu, K.; Xie, Y.; Sun, T.; Zhang, X.; Chen, C.; Li, Y. Genetic and clinical findings in a Chinese cohort with Leber congenital amaurosis and early onset severe retinal dystrophy. Br. J. Ophthalmol. 2020, 104, 932–937. [Google Scholar] [CrossRef]
- Gao, F.J.; Wang, D.D.; Li, J.K.; Hu, F.Y.; Xu, P.; Chen, F.; Qi, Y.H.; Liu, W.; Li, W.; Zhang, S.H.; et al. Frequency and phenotypic characteristics of RPE65 mutations in the Chinese population. Orphanet. J. Rare Dis. 2021, 16, 174. [Google Scholar] [CrossRef]
- Pierrache, L.H.M.; Ghafaryasl, B.; Khan, M.I.; Yzer, S.; van Genderen, M.M.; Schuil, J.; Boonstra, F.N.; Pott, J.W.R.; de Faber, J.; Tjon-Fo-Sang, M.J.H.; et al. Longitudinal study of RPE65- associated inherited retinal degenerations. Retina 2020, 40, 1812–1828. [Google Scholar] [CrossRef]
- Paunescu, K.; Wabbels, B.; Preising, M.; Lorenz, B. Longitudinal and cross-sectional study of patients with early-onset severe retinal dystrophy associated with RPE65 mutations. Graefes. Arch. Clin. Exp. Ophthalmol. 2005, 243, 417–426. [Google Scholar] [CrossRef]
- Chung, D.; Bertelsen, M.; Lorenz, B.; Pennesi, M.; Leroy, B.; Hamel, C.; Pierce, E.; Sallum, J.; Larsen, M.; Stieger, K.; et al. The natural history of inherited retinal dystrophy due to biallelic mutations in the RPE65 Gene. Am. J. Ophthalmol. 2019, 199, 58–70. [Google Scholar] [CrossRef] [PubMed]
- Hull, S.; Holder, G.E.; Robson, A.G.; Mukherjee, R.; Michaelides, M.; Webster, A.R.; Moore, A.T. Preserved visual function in retinal dystrophy due to hypomorphic RPE65 mutations. Br. J. Ophthalmol. 2016, 100, 1499–1505. [Google Scholar] [CrossRef] [PubMed]
- Lorenz, B.; Poliakov, E.; Schambeck, M.; Friedburg, C.; Preising, M.N.; Redmond, T.M. A comprehensive clinical and biochemical functional study of a novel RPE65 hypomorphic mutation. Investig. Ophthalmol. Vis. Sci. 2008, 49, 5235–5242. [Google Scholar] [CrossRef]
- Russell, S.; Bennett, J.; Wellman, J.A.; Chung, D.C.; Yu, Z.F.; Tillman, A.; Wittes, J.; Pappas, J.; Elci, O.; McCague, S.; et al. Efficacy and safety of voretigene neparvovec (AAV2-hRPE65v2) in patients with RPE65-mediated inherited retinal dystrophy: A randomised, controlled, open-label, phase 3 trial. Lancet 2017, 390, 849–860. [Google Scholar] [CrossRef]
- Wang, X.; Yu, C.; Tzekov, R.; Zhu, Y.; Li, W. The effect of human gene therapy for RPE65-associated Leber’s congenital amaurosis on visual function: A systematic review and meta-analysis. Orphanet. J. Rare Dis. 2020, 15, 49. [Google Scholar] [CrossRef] [PubMed]
- Apte, R.S. Gene therapy for retinal degeneration. Cell 2018, 173, 5. [Google Scholar] [CrossRef]
- Hussain, R.M.; Gregori, N.Z.; Ciulla, T.A.; Lam, B.L. Pharmacotherapy of retinal disease with visual cycle modulators. Expert Opin. Pharmacother. 2018, 19, 471–481. [Google Scholar] [CrossRef]
- Zhong, Z.; Rong, F.; Dai, Y.; Yibulayin, A.; Zeng, L.; Liao, J.; Wang, L.; Huang, Z.; Zhou, Z.; Chen, J. Seven novel variants expand the spectrum of RPE65-related Leber congenital amaurosis in the Chinese population. Mol. Vis. 2019, 25, 204–214. [Google Scholar]
- Huang, X.F.; Huang, F.; Wu, K.C.; Wu, J.; Chen, J.; Pang, C.P.; Lu, F.; Qu, J.; Jin, Z.B. Genotype-phenotype correlation and mutation spectrum in a large cohort of patients with inherited retinal dystrophy revealed by next-generation sequencing. Genet. Med. 2015, 17, 271–278. [Google Scholar] [CrossRef]
- Sun, T.; Xu, K.; Ren, Y.; Xie, Y.; Zhang, X.; Tian, L.; Li, Y. Comprehensive molecular screening in Chinese Usher Syndrome patients. Investig. Ophthalmol. Vis. Sci. 2018, 59, 1229–1237. [Google Scholar] [CrossRef]
- Xu, F.; Dong, Q.; Liu, L.; Li, H.; Liang, X.; Jiang, R.; Sui, R.; Dong, F. Novel RPE65 mutations associated with Leber congenital amaurosis in Chinese patients. Mol. Vis. 2012, 18, 744–750. [Google Scholar] [PubMed]
- Dan, H.; Huang, X.; Xing, Y.; Shen, Y. Application of targeted panel sequencing and whole exome sequencing for 76 Chinese families with retinitis pigmentosa. Mol. Genet. Genomic. Med. 2020, 8, e1131. [Google Scholar] [CrossRef] [PubMed]
- Mo, G.; Ding, Q.; Chen, Z.; Li, Y.; Yan, M.; Bu, L.; Song, Y.; Yin, G. A novel mutation in the RPE65 gene causing Leber congenital amaurosis and its transcriptional expression in vitro. PLoS ONE 2014, 9, e112400. [Google Scholar] [CrossRef] [PubMed][Green Version]
- Liu, J.; Bu, J. A Gene Scan Study of RPE65 in Chinese Patients with Leber Congenital Amaurosis. Chin. Med. J. 2017, 130, 2709–2712. [Google Scholar] [CrossRef]
- Fu, Q.; Wang, F.; Wang, H.; Xu, F.; Zaneveld, J.E.; Ren, H.; Keser, V.; Lopez, I.; Tuan, H.F.; Salvo, J.S.; et al. Next-generation sequencing-based molecular diagnosis of a Chinese patient cohort with autosomal recessive retinitis pigmentosa. Investig. Ophthalmol. Vis. Sci. 2013, 54, 4158–4166. [Google Scholar] [CrossRef][Green Version]
- Kumaran, N.; Rubin, G.S.; Kalitzeos, A.; Fujinami, K.; Bainbridge, J.W.B.; Weleber, R.G.; Michaelides, M. A cross-sectional and longitudinal study of retinal sensitivity in RPE65-associated Leber Congenital Amaurosis. Investig. Ophthalmol. Vis. Sci. 2018, 59, 3330–3339. [Google Scholar] [CrossRef]
- Schatz, P.; Preising, M.; Lorenz, B.; Sander, B.; Larsen, M.; Rosenberg, T. Fundus albipunctatus associated with compound heterozygous mutations in RPE65. Ophthalmology 2011, 118, 888–894. [Google Scholar] [CrossRef]
- Yang, G.; Liu, Z.; Xie, S.; Li, C.; Lv, L.; Zhang, M.; Zhao, J. Genetic and phenotypic characteristics of four Chinese families with fundus albipunctatus. Sci. Rep. 2017, 7, 46285. [Google Scholar] [CrossRef]
- Katagiri, S.; Hosono, K.; Hayashi, T.; Kurata, K.; Mizobuchi, K.; Matsuura, T.; Yoshitake, K.; Iwata, T.; Nakano, T.; Hotta, Y. Early onset flecked retinal dystrophy associated with new compound heterozygous RPE65 variants. Mol. Vis. 2018, 24, 286–296. [Google Scholar]
- Kumaran, N.; Georgiou, M.; Bainbridge, J.W.B.; Bertelsen, M.; Larsen, M.; Blanco-Kelly, F.; Ayuso, C.; Tran, H.V.; Munier, F.L.; Kalitzeos, A.; et al. Retinal structure in RPE65-associated retinal dystrophy. Investig. Ophthalmol. Vis. Sci. 2020, 61, 47. [Google Scholar] [CrossRef]
- Liew, G.; Strong, S.; Bradley, P.; Severn, P.; Moore, A.T.; Webster, A.R.; Mitchell, P.; Kifley, A.; Michaelides, M. Prevalence of cystoid macular oedema, epiretinal membrane and cataract in retinitis pigmentosa. Br. J. Ophthalmol. 2019, 103, 1163–1166. [Google Scholar] [CrossRef] [PubMed]






| Patient ID | Diagnosis | Gender | Age (Year) | Visual Acuity (logMAR) OD/OS | Initial Symptom | Nystag-mus | Fundus Apperence OU or; OD/OS | ERG | Variants | Co-Segregation | |||
|---|---|---|---|---|---|---|---|---|---|---|---|---|---|
| Onset | Exam | Allele1 | Allele2 | ||||||||||
| 0191288 | LCA | M | 0.4 | 1.0 | NA | NA | NB | Yes | TD | SD | p.(Cys448*) | p.(Ser269Metfs*4) | Yes |
| 019390 † | EOSRD | M | 2.0 | 4.0 | 0.52 | 0.52 | NB | No | TD, WD | NA | p.(Asp482Asn) | p.(Arg515Trp) | Yes |
| 0191577 | LCA | F | 0.1 | 4.5 | 0.70 | 0.70 | NB | Yes | TD | EX | p.(Thr317Ile) | p.(Gly333Arg) | Yes |
| 019227 † | EOSRD | M | 3.0 | 5.0 | NA | NA | NB | No | TD | NA | p.(Lys298Asnfs*27) | p.(Leu67Arg) | Yes |
| 019690 | EOSRD | F | 4.0 | 5.0 | 0.30 | 0.70 | NB | NA | TD, WD | NA | p.(Phe312Leu) | p.(Phe312Leu) | Yes |
| 0191451 | LCA | M | 0.5 | 5.0 | 0.60 | 0.70 | PA | Yes | TD | SD | p.(Glu404Trpfs*37) | c.1128 + 2del | Yes |
| 067200 † | LCA | M | 0.5 | 5.0 | 0.52 | 0.40 | NB | No | TD, WD # | NA | p.(Leu328Phe) | p.(Tyr275*) | Yes |
| 0191647 | LCA | F | 0.1 | 5.3 | NA | NA | PA | Yes | TD | EX | p.(Leu67Arg) | p.(Asn199Lysfs*35) | Yes |
| 019602 | EOSRD | M | 3.0 | 6.0 | 1.00 | 0.70 | NB | NA | TD | EX | p.(Arg91Trp) | p.(Arg91Trp) | Yes |
| A302 | EOSRD | M | 1.0 | 6.0 | 0.30 | 0.30 | NB | NA | TD | NA | p.(Thr306Ile) | p.(Tyr304*) | Yes |
| 019247 † | LCA | M | 1.0 | 6.0 | 0.22 | 0.40 | NB | No | TD, WD | SD | p.(Thr385Met) | p.(Thr306Ile) | Yes |
| 019747 † | LCA | M | 0.5 | 6.3 | 1.00 | 0.82 | NB | No | TD, WD | EX | p.(Phe16Ser) | p.(Ser121Leufs*6) | Yes |
| 019320 † | LCA | F | 0.3 | 10.8 | 1.10 | 1.10 | PA | Yes | TD, MD, EM | EX | p.(Arg44*) | p.(Glu417Gly) | Yes |
| 0191010 † | EOSRD | F | 3.0 | 11.8 | 0.30 | 0.40 | LV | No | TD, WD | SD | p.(Arg347His) | p.(Ala357_Ala360del) | Yes |
| 019926 † | LCA | M | 0.3 | 12.0 | 1.30 | 1.30 | NB | Yes | TD;/EM | EX | p.(Glu417Val) | p.(Glu417Val) | Yes |
| 0191373 | LCA | M | 0.6 | 18.5 | 1.85 | 1.85 | LV | Yes | TD, EM | EX | p.(Leu67Arg) | p.(Leu67Arg) | Yes |
| 0191373-3 | LCA | M | 0.9 | 19.5 | 1.30 | 1.40 | LV | Yes | TD, EM | EX | p.(Leu67Arg) | p.(Leu67Arg) | Yes |
| A250 | EOSRD | F | 3.0 | 21.0 | 0.92 | 0.92 | NB | NA | NA | NA | p.(Gly104Asp) | p.(Arg91Gln) | Yes |
| 0191306 | EOSRD | F | 2.0 | 23.0 | 2.30 | 2.30 | NB | Yes | TD, MD, EM | SD | p.(Tyr338Cys) | c.246-2A > G | Yes |
| 019190 † | EOSRD | M | 5.0 | 25.0 | 1.10 | 2.00 | LV | Yes | TD, EM, BS | NA | p.(Val257Serfs*68) | p.(Leu67Arg) | Yes |
| 0191167 | EOSRD | F | 5.0 | 25.5 | 1.22 | 1.22 | NB | Yes | TD, EM, BS | EX | p.(Cys112Tyr) | p.(Cys112Tyr) | Yes |
| 019481 † | LCA | F | 0.5 | 27.0 | 1.30 | 1.30 | NB | Yes | TD, EM, BS # | EX | p.(Arg44Gln) | c.858 + 1del | Yes |
| 0191069 † | LCA | M | 0.5 | 27.2 | 1.70 | 2.30 | NB | Yes | TD, EM, BS;/MD | EX | p.(Val353Glu) | p.(Val353Glu) | Yes |
| 0191536 | LCA | M | 0.5 | 28.0 | 2.70 | 1.30 | LV | Yes | NA/TD, MD, EM, BS # | NA | p.(Arg91Trp) | p.(Arg91Trp) | Yes |
| 019774 † | EOSRD | F | 3.0 | 31.5 | 1.40 | 1.30 | NB | No | TD, EM, BS;MD/ | EX | p.(Ser410Pro) | p.(Arg91Gln) | Yes |
| 0191211 | LCA | F | 0.1 | 35.0 | 1.70 | 2.00 | NB | Yes | TD, EM, BS | EX | p.(Cys329Tyr) | p.(Cys329Tyr) | Yes |
| 0191141 | EOSRD | M | 5.0 | 39.0 | 2.30 | 2.30 | NB | Yes | TD, MD, EM, BS | EX | p.(Phe418Tyr) | p.(Gly333Arg) | Yes |
| 019255 † | LCA | F | 0.1 | 39.5 | 1.85 | 1.85 | NB | No | TD, MD, EM, BS | NA | p.(Gly40Asp) | p.(Arg124*) | Yes |
| 019245 † | LCA | M | 1.0 | 43.5 | 1.85 | 1.52 | LV | No | TD, MD, EM, BS | EX | p.(Tyr426*) | p.(Tyr426*) | Yes |
| 019260 | LCA | M | 0.3 | 45.0 | 2.30 | 2.30 | NB | Yes | TD, MD, EM, BS # | NA | p.(Arg124*) | p.(Arg366Thr) | Yes |
| Patient ID | Gender | Age (Year) | Follow-Up Interval (Month/Year) | VA (logMAR, OD/OS) | Fundus Feature | |||
|---|---|---|---|---|---|---|---|---|
| First | Last | Fisrt | Last | Fisrt | Last (Change) | |||
| 0191577 | F | 4.0 | 4.5 | 6/0.5 | NA/NA | 0.70/0.70 | TD | Unremarkable |
| 0191451 | M | 3.2 | 5.0 | 21/1.8 | NA/NA | 0.60/0.70 | TD | Unremarkable |
| 019747 | M | 0.8 | 6.3 | 66/5.5 | NA/NA | 1.00/0.82 | TD, WD | WD decreased |
| 019320 | F | 2.5 | 10.8 | 100/8.3 | 1.40/1.40 | 1.10/1.10 | NA | TD, MD, EM |
| 0191010 | F | 7.8 | 11.8 | 48/4.0 | 0.52/0.52 | 0.30/0.40 | TD, WD | WD decreased |
| 0191373 | M | 16.5 | 18.5 | 24/2.0 | 1.85/1.85 | 1.85/1.85 | TD, EM | Unremarkable |
| 0191373-3 | M | 17.5 | 19.5 | 24/2.0 | 1.30/1.30 | 1.30/1.40 | TD, EM | vascular sheath |
| 0191306 | F | 20.7 | 23.0 | 28/2.3 | 2.00/2.00 | 2.30/2.30 | TD, MD, EM | Sporidic BS |
| 0191069 | M | 26.3 | 27.2 | 11/0.9 | 1.52/2.00 | 1.70/2.30 | TD, EM, BS;/MD | Unremarkable |
| 019774 | F | 25.9 | 31.5 | 67/5.6 | 1.00/1.00 | 1.40/1.30 | TD, MD, EM | Sporidic BS |
| 019255 | F | 30.8 | 39.5 | 104/8.7 | 0.92/1.00 | 1.85/1.85 | TD, MD, EM, BS | BS and MD increased |
| 019245 | M | 37.3 | 43.5 | 74/6.2 | 1.85/1.00 | 1.85/1.52 | TD, MD, EM, BS | BS and MD increased |
| 019260 | M | 36.3 | 45.0 | 104/8.7 | 2.30/2.30 | 2.30/2.30 | TD, MD, EM, BS | BS and MD increased |
Publisher’s Note: MDPI stays neutral with regard to jurisdictional claims in published maps and institutional affiliations. |
© 2021 by the authors. Licensee MDPI, Basel, Switzerland. This article is an open access article distributed under the terms and conditions of the Creative Commons Attribution (CC BY) license (https://creativecommons.org/licenses/by/4.0/).
Share and Cite
Shi, J.; Xu, K.; Hu, J.-P.; Xie, Y.; Zhang, X.; Zhang, X.-H.; Jin, Z.-B.; Li, Y. Clinical Features and Natural History in a Cohort of Chinese Patients with RPE65-Associated Inherited Retinal Dystrophy. J. Clin. Med. 2021, 10, 5229. https://doi.org/10.3390/jcm10225229
Shi J, Xu K, Hu J-P, Xie Y, Zhang X, Zhang X-H, Jin Z-B, Li Y. Clinical Features and Natural History in a Cohort of Chinese Patients with RPE65-Associated Inherited Retinal Dystrophy. Journal of Clinical Medicine. 2021; 10(22):5229. https://doi.org/10.3390/jcm10225229
Chicago/Turabian StyleShi, Jie, Ke Xu, Jian-Ping Hu, Yue Xie, Xin Zhang, Xiao-Hui Zhang, Zi-Bing Jin, and Yang Li. 2021. "Clinical Features and Natural History in a Cohort of Chinese Patients with RPE65-Associated Inherited Retinal Dystrophy" Journal of Clinical Medicine 10, no. 22: 5229. https://doi.org/10.3390/jcm10225229
APA StyleShi, J., Xu, K., Hu, J.-P., Xie, Y., Zhang, X., Zhang, X.-H., Jin, Z.-B., & Li, Y. (2021). Clinical Features and Natural History in a Cohort of Chinese Patients with RPE65-Associated Inherited Retinal Dystrophy. Journal of Clinical Medicine, 10(22), 5229. https://doi.org/10.3390/jcm10225229

