Ocular Manifestations of Behçet’s Disease: An Update on Diagnostic Challenges and Disease Management
Abstract
:1. Introduction
2. Materials and Methods
3. Results
3.1. Etiopathogenesis
3.2. Diagnostic Criteria
ICBD Criteria
- Ocular lesions (uveitis, retinal vasculitis, chorioretinitis, papillitis)—two points;
- Oral aphthosis of at least three times/year—two points;
- Recurrent genital aphthosis—two points;
- Skin lesions (papulopustular rash, erythema nodosum)—one point;
- CNS lesions (parenchymal CNS involvement, venous sinus thrombosis)—one point;
- Vascular manifestations (venous thromboembolism, superficial thrombophlebitis, arterial thrombosis, aneurysm—especially aortic and pulmonary)—one point;
- The positive pathergy test—one point;
- A patient scoring ≥ 4 points is classified as having BD [24].
3.3. Extra-Ocular Manifestations
3.4. Ocular Manifestations
3.5. Diagnostic Tools
3.5.1. Spectral Domain Optical Coherence Tomography (SD OCT)
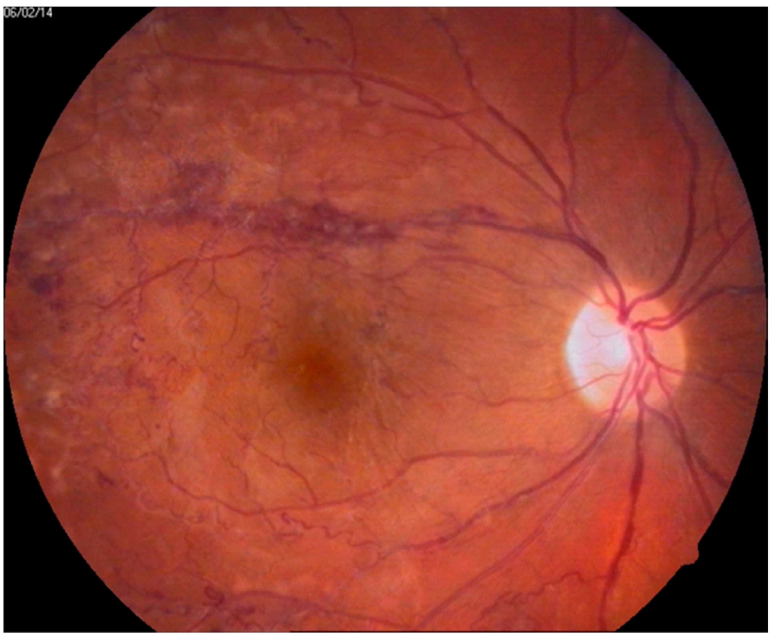
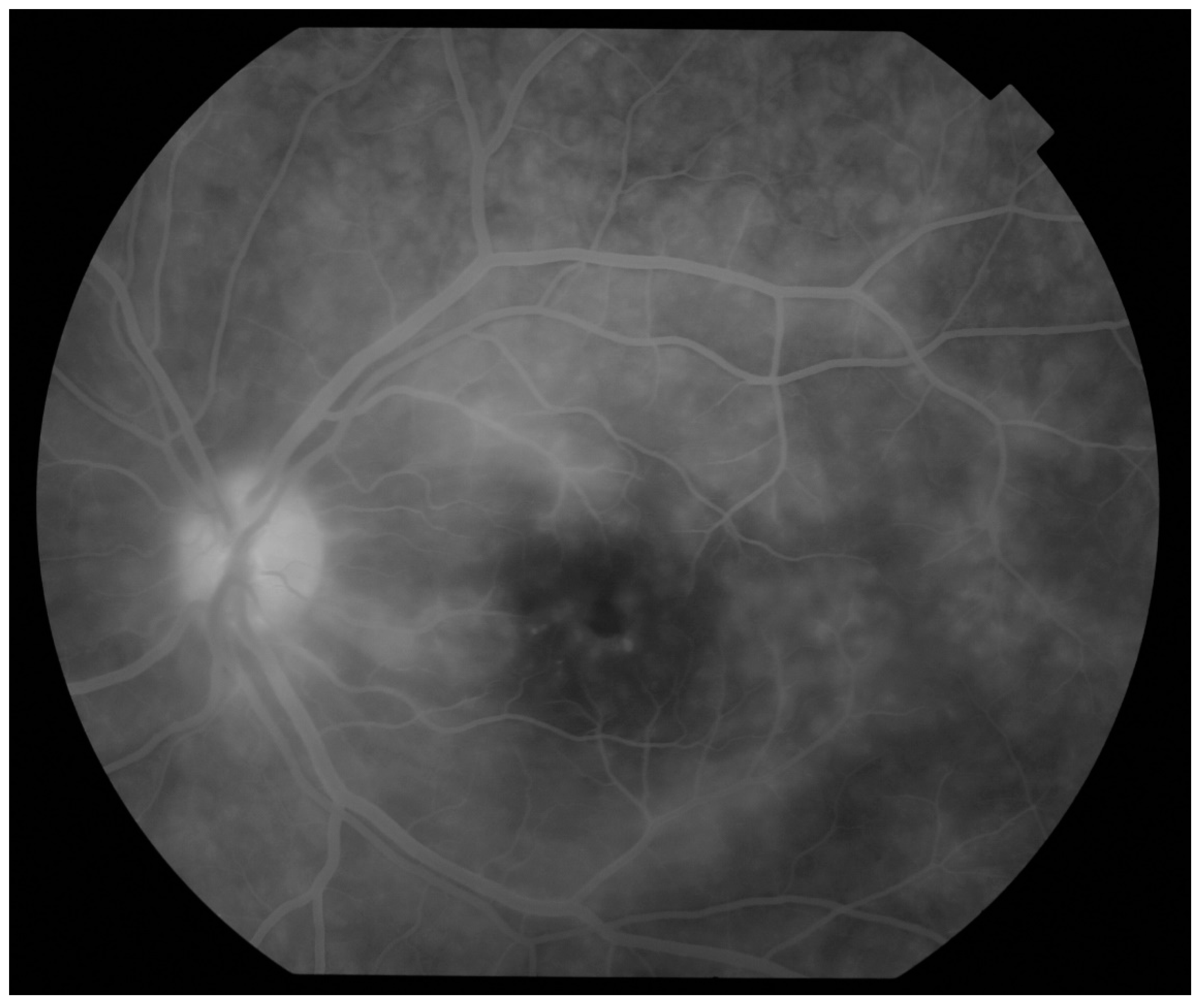
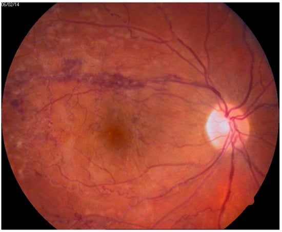
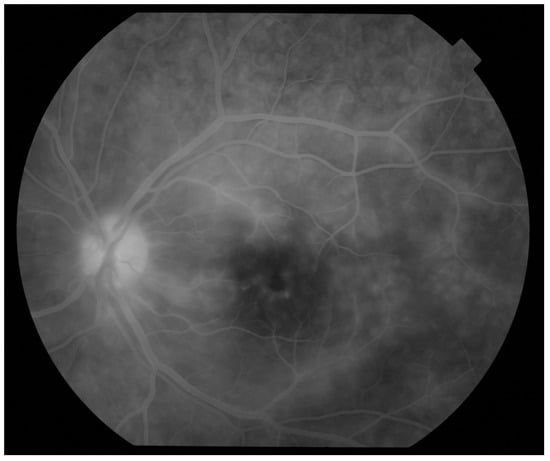
3.5.2. Fluorescein Angiography
3.5.3. Other Diagnostic Methods
3.6. Differential Diagnosis
3.7. Treatment
3.7.1. Corticosteroids
3.7.2. Immunosuppressive Treatment
3.7.3. Biological Treatment
4. Discussion
Author Contributions
Funding
Data Availability Statement
Conflicts of Interest
References
- Accorinti, M.; Pesci, F.R.; Pirraglia, M.P.; Abicca, I.; Pivetti-Pezzi, P. Ocular Behçet’s Disease: Changing Patterns Over Time, Complications and Long-Term Visual Prognosis. Ocul. Immunol. Inflamm. 2017, 25, 29–36. [Google Scholar] [CrossRef] [PubMed]
- Özdal, P. Çakar Behçet’s Uveitis: Current Diagnostic and Therapeutic Approach. Turk. J. Ophthalmol. 2020, 50, 169–182. [Google Scholar] [CrossRef] [PubMed]
- Bowling, B. Choroba behçeta. In Kanski Okulistyka Kliniczna; Elsevier: Sydney, NSW, Australia, 2016; pp. 424–426. [Google Scholar]
- Yalçindag, N.; Köse, H.C. Comparison of the Treatment Results for Behçet Uveitis in Patients Treated with Infliximab and Interferon. Ocul. Immunol. Inflamm. 2020, 28, 305–314. [Google Scholar] [CrossRef]
- Celiker, H.; Kazokoglu, H.; Direskeneli, H. Conventional immunosuppressive therapy in severe Behcet’s Uveitis: The switch rate to the biological agents. BMC Ophthalmol. 2018, 18, 1–7. [Google Scholar] [CrossRef]
- Nida Sen, H.; Albini, T.A.; Burkholder, B.M.; Dahr, S.S.; Dodds, E.M.; Leveque, T.K.; Smith, W.M.; Vasconcelos-Santos, D.M. Behcet disease. In Uveitis and Ocular Inflammation. Basic Ophthalmology Science Course 2019–2020; American Academy of Ophthalmology: San Francisco, CA, USA, 2019; pp. 233–243. [Google Scholar]
- Karadag, O.; Bolek, E.C. Management of Behcet’s syndrome. Rheumatology 2020, 59, iii108–iii117. [Google Scholar] [CrossRef] [PubMed]
- Posarelli, C.; Maglionico, M.N.; Talarico, R.; Covello, G.; Figus, M. Behçet’s syndrome and ocular involvement: Changes over time. Clin. Exp. Rheumatol. 2020, 38, 86–93. [Google Scholar] [PubMed]
- Tugal-Tutkun, I.; Gupta, V.; Cunningham, E.T. Differential Diagnosis of Behçet Uveitis. Ocul. Immunol. Inflamm. 2013, 21, 337–350. [Google Scholar] [CrossRef]
- Kitaichi, N.; Miyazaki, A.; Iwata, D.; Ohno, S.; Stanford, M.R.; Chams, H. Ocular features of Behcet’s disease: An international collaborative study. Br. J. Ophthalmol. 2007, 91, 1579–1582. [Google Scholar] [CrossRef] [Green Version]
- Diwo, E.; Gueudry, J.; Saadoun, D.; Weschler, B.; LeHoang, P.; Bodaghi, B. Long-term Efficacy of Interferon in Severe Uveitis Associated with Behçet Disease. Ocul. Immunol. Inflamm. 2017, 25, 76–84. [Google Scholar] [CrossRef]
- Kotulska, A.; Kucharz, E.J.; Kopec, M. Behçet’s disease in Poland. Clin. Rheumatol. 2005, 24, 667–668. [Google Scholar] [CrossRef]
- Mahr, A.; Maldini, C. Épidémiologie de la maladie de Behçet. Revue Méd. Interne 2014, 35, 81–89. [Google Scholar] [CrossRef]
- Shahram, F.; Mæhlen, M.T.; Akhlaghi, M.; Davatchi, F.; Liao, Y.J.; Weyand, C.M. Geographical variations in ocular and extra-ocular manifestations in Behçet’s disease. Eur. J. Rheumatol. 2019, 6, 199–206. [Google Scholar] [CrossRef] [PubMed]
- Papoutsis, N.G.; Abdel-Naser, M.B.; Altenburg, A.; Orawa, H.; Kötter, I.; Krause, L.; Pleyer, U.; Djawari, D.; Stadler, R.; Wollina, U.; et al. Prevalence of Adamantiades-Behçet’s disease in Germany and the municipality of Berlin: Results of a nationwide survey. Clin. Exp. Rheumatol. 2006, 24, 125. [Google Scholar]
- Horie, Y.; Meguro, A.; Ohta, T.; Lee, E.B.; Namba, K.; Mizuuchi, K.; Iwata, D.; Mizuki, N.; Ota, M.; Inoko, H.; et al. HLA-B51 Carriers are Susceptible to Ocular Symptoms of Behçet Disease and the Association between the Two Becomes Stronger towards the East along the Silk Road: A Literature Survey. Ocul. Immunol. Inflamm. 2015, 25, 37–40. [Google Scholar] [CrossRef] [PubMed]
- Gül, A.; Uyar, F.A.; Inanc, M.; Öcal, L.; Tugal-Tutkun, I.; Aral, O.; Koniçe, M.; Saruhan-Direskeneli, G. Lack of association of HLA-B*51 with a severe disease course in Behcet’s disease. Rheumatology 2001, 40, 668–672. [Google Scholar] [CrossRef] [PubMed] [Green Version]
- Kato, H.; Takeuchi, M.; Horita, N.; Ishido, T.; Mizuki, R.; Kawagoe, T.; Shibuya, E.; Yuda, K.; Ishido, M.; Mizuki, Y.; et al. HLA-A26 is a risk factor for Behçet’s disease ocular lesions. Mod. Rheumatol. 2021, 31, 214–218. [Google Scholar] [CrossRef]
- Mahr, A.; Belarbi, L.; Wechsler, B.; Jeanneret, D.; Dhote, R.; Fain, O.; Lhote, F.; Ramanoelina, J.; Coste, J.; Guillevin, L. Population-based prevalence study of Behçet’s disease: Differences by ethnic origin and low variation by age at immigration. Arthritis Rheum. 2008, 58, 3951–3959. [Google Scholar] [CrossRef]
- Kötter, I.; Vonthein, R.; Gűnaydin, I.; Müller, C.; Kanz, L.; Zierhut, M.; Stübiger, N. Behçet’s Disease in Patients of German and Turkish Origin—A Comparative Study. Results Probl. Cell Differ. 2003, 528, 53–58. [Google Scholar] [CrossRef]
- Hussein, M.A.; Eissa, I.M.; Dahab, A.A. Vision-Threatening Behcet’s Disease: Severity of Ocular Involvement Predictors. J. Ophthalmol. 2018, 2018, 1–6. [Google Scholar] [CrossRef]
- Evereklioglu, C. Current Concepts in the Etiology and Treatment of Behçet Disease. Surv. Ophthalmol. 2005, 50, 297–350. [Google Scholar] [CrossRef]
- Leccese, P.; Alpsoy, E. Behçet’s Disease: An Overview of Etiopathogenesis. Front. Immunol. 2019, 10, 1–8. [Google Scholar] [CrossRef] [PubMed]
- Hussein, M.A.; Ellawindi, M.I.; Ragab, G. Performance of classification criteria for Behcet’s disease in an Egyptian cohort. Indian J. Rheumatol. 2017, 12, 152. [Google Scholar] [CrossRef]
- Yazici, H.; Seyahi, E.; Hatemi, G.; Yazici, Y. Behçet syndrome: A contemporary view. Nat. Rev. Rheumatol. 2018, 14, 107–119. [Google Scholar] [CrossRef] [PubMed]
- Gürlü, V.; Güçlü, H.; Özal, A. Thickness Changes in Foveal, Macular, and Ganglion Cell Complex Regions Associated with Behçet Uveitis during Remission. Eur. J. Ophthalmol. 2015, 26, 347–350. [Google Scholar] [CrossRef] [PubMed]
- Tugal-Tutkun, I.; Onal, S.; Stanford, M.; Akman, M.; Twisk, J.W.; Boers, M.; Oray, M.; Özdal, P.Ç.; Kadayifcilar, S.; Amer, R.; et al. An Algorithm for the Diagnosis of Behçet Disease Uveitis in Adults. Ocul. Immunol. Inflamm. 2020, 1–10. [Google Scholar] [CrossRef]
- Kang, H.M.; Koh, H.J.; Lee, S.C. Spectral domain optical coherence tomography as an adjunctive tool for screening Behçet uveitis. PLoS ONE 2018, 13, e0208254. [Google Scholar] [CrossRef]
- Keino, H. Evaluation of disease activity in uveoretinitis associated with Behçet’s disease. Immunol. Med. 2021, 44, 86–97. [Google Scholar] [CrossRef] [PubMed]
- Yalcinbayir, O.; Caliskan, E.; Gunduz, G.U.; Gelisken, O.; Kaderli, B.; Yucel, A.A. Efficacy of Dexamethasone Implants in Uveitic Macular Edema in Cases with Behçet Disease. Ophthalmology 2019, 241, 190–194. [Google Scholar] [CrossRef]
- Chams, H.; Mohtasham, N.; Davatchi, F.; Shahram, F.; Naji, A.; Harandi, Z.A.; Karimi, N. Ophthalmic findings in Behcet׳s disease: Cases without apparent ocular signs. J. Curr. Ophthalmol. 2015, 27, 46–50. [Google Scholar] [CrossRef] [Green Version]
- Tugal-Tutkun, I.; Ozdal, P.C.; Oray, M.; Onal, S. Review for Diagnostics of the Year: Multimodal Imaging in Behçet Uveitis. Ocul. Immunol. Inflamm. 2017, 25, 7–19. [Google Scholar] [CrossRef] [Green Version]
- Tugal-Tutkun, I.; Onal, S.; Özyazgan, Y.; Soylu, M.; Akman, M. Validity and Agreement of Uveitis Experts in Interpretation of Ocular Photographs for Diagnosis of Behçet Uveitis. Ocul. Immunol. Inflamm. 2013, 22, 461–468. [Google Scholar] [CrossRef]
- Chung, Y.-R.; Cho, E.H.; Jang, S.; Lee, S.Y.; Lee, E.-S.; Lee, K. Choroidal Thickness Indicates Subclinical Ocular and Systemic Inflammation in Eyes with Behçet Disease without Active Inflammation. Korean J. Ophthalmol. 2018, 32, 290–295. [Google Scholar] [CrossRef]
- Emre, S.; Güven-Yılmaz, S.; Ulusoy, M.O.; Ateş, H. Optical coherence tomography angiography findings in Behcet patients. Int. Ophthalmol. 2019, 39, 2391–2399. [Google Scholar] [CrossRef]
- Zarei, M.; Pesarakli, H.; Yaseri, M.; Etesali, H.; Ebrahimiadib, N. Peripapillary optical coherence tomography as an alternative to fluorescein angiography for monitoring Behcet’s retinal vasculitis. Sci. Rep. 2021, 11, 1–8. [Google Scholar] [CrossRef]
- Leder, H.A.; Campbell, J.P.; Sepah, Y.J.; Gan, T.; Dunn, J.P.; Hatef, E.; Cho, B.; Ibrahim, M.; Bittencourt, M.; Channa, R.; et al. Ultra-wide-field retinal imaging in the management of non-infectious retinal vasculitis. J. Ophthalmic Inflamm. Infect. 2013, 3, 30. [Google Scholar] [CrossRef] [Green Version]
- Tugal-Tutkun, I.; Herbort, C.P. Laser flare photometry: A noninvasive, objective, and quantitative method to measure intraocular inflammation. Int. Ophthalmol. 2010, 30, 453–464. [Google Scholar] [CrossRef] [PubMed]
- Tugal-Tutkun, I.; Cingü, K.; Kir, N.; Yeniad, B.; Urgancioglu, M.; Gül, A. Use of laser flare-cell photometry to quantify intraocular inflammation in patients with Behçet Uveitis. Graefe’s Arch. Clin. Exp. Ophthalmol. 2008, 246, 1169–1177. [Google Scholar] [CrossRef] [PubMed]
- Kardum, Ž.; Ahić, J.M.; Lukinac, A.M.; Ivelj, R.; Prus, V. Optic neuritis as a presenting feature of Behçet’s disease: Case-based review. Rheumatol. Int. 2021, 41, 189–195. [Google Scholar] [CrossRef] [PubMed]
- Mahgoub, M.Y.; Elmohamady, M.N. Consistency of Visual Evoked Potential in Extraocular Manifestationsof Behcet Disease and Impact of Corticosteroid Treatment. J. Clin. Neurophysiol. 2019, 38, 43–46. [Google Scholar] [CrossRef] [PubMed]
- Bettiol, A.; Hatemi, G.; Vannozzi, L.; Barilaro, A.; Prisco, D.; Emmi, G. Treating the Different Phenotypes of Behçet’s Syndrome. Front. Immunol. 2019, 10, 2830. [Google Scholar] [CrossRef]
- Cankaya, C.; Kalayci, B.N. Corneal Biomechanical Characteristics in Patients with Behcet Disease. Semin. Ophthalmol. 2016, 31, 439–445. [Google Scholar] [CrossRef] [PubMed]
- Ozbek-Uzman, S.; Sungur, G.K.; Yalniz-Akkaya, Z.; Orman, G.; Burcu, A.; Ornek, F. Anterior segment parameters in Behçet’s patients with ocular involvement. Int. Ophthalmol. 2020, 40, 1387–1395. [Google Scholar] [CrossRef] [PubMed]
- Demircan, E.; Citirik, M.; Berker, N.; Unverdi, H.; Hucumenoglu, S. Conjunctival Cytological Alterations in Ocular Behçet Disease. Cornea 2016, 35, 1454–1458. [Google Scholar] [CrossRef] [PubMed]
- Karaca, I.; Palamar, M.; Yilmaz, S.G.; Ates, H. Evaluation of Ocular Surface and Meibomian Glands Alterations with Meibography in Patients with Inactive Behçet’s Uveitis. Curr. Eye Res. 2018, 44, 356–359. [Google Scholar] [CrossRef] [PubMed]
- Tanaka, R.; Murata, H.; Takamoto, M.; Ohtomo, K.; Okinaga, K.; Yoshida, A.; Kawashima, H.; Nakahara, H.; Fujino, Y.; Kaburaki, T. Behçet’s disease ocular attack score 24 and visual outcome in patients with Behçet’s disease. Br. J. Ophthalmol. 2015, 100, 990–994. [Google Scholar] [CrossRef] [PubMed]
- Herbort, C.P.; Rao, N.A.; Mochizuki, M. The Members of The Scientific members of Scientific Committee of First International Workshop on Ocular Sarcoidosis International Criteria for the Diagnosis of Ocular Sarcoidosis: Results of the First International Workshop on Ocular Sarcoidosis (IWOS). Ocul. Immunol. Inflamm. 2009, 17, 160–169. [Google Scholar] [CrossRef]
- Gupta, A.; Bansal, R.; Gupta, V.; Sharma, A.; Bambery, P. Ocular Signs Predictive of Tubercular Uveitis. Am. J. Ophthalmol. 2010, 149, 562–570. [Google Scholar] [CrossRef]
- Margo, C.E.; Hamed, L.M. Ocular syphilis. Surv. Ophthalmol. 1992, 37, 203–220. [Google Scholar] [CrossRef]
- Bitik, B.; Tufan, A.; Sahin, K.; Karadag, Y.S.; Sandikci, S.C.; Mercan, R.; Ak, F.; Karaaslan, Y.; Ozturk, M.A.; Goker, B.; et al. The association between the parenchymal neurological involvement and posterior uveitis in Behçet’s syndrome. Clin. Exp. Rheumatol. 2016, 34, 82–85. [Google Scholar]
- Zou, J.; Luo, J.-F.; Shen, Y.; Cai, J.-F.; Guan, J.-L. Cluster analysis of phenotypes of patients with Behçet’s syndrome: A large cohort study from a referral center in China. Arthritis Res. 2021, 23, 1–9. [Google Scholar] [CrossRef]
- Hasanreisoglu, M.; Cubuk, M.O.; Ozdek, S.; Gurelik, G.; Aktas, Z.; Hasanreisoglu, B. Interferon Alpha-2a Therapy in Patients with Refractory Behçet Uveitis. Ocul. Immunol. Inflamm. 2017, 25, 71–75. [Google Scholar] [CrossRef]
- Yalçindaĝ, F.N.; Can, E.; Özdemir, Ö. Intravenous Methylprednisolone Pulse Therapy for Acute Posterior Segment Uveitis Attacks in Behçet’s Disease. Ann. Ophthalmol. 2007, 39, 194–197. [Google Scholar] [CrossRef]
- Hatemi, G.; Robin, C.; Bang, D.; Bodaghi, B.; Celik, A.F.; Fortune, F.; Gaudric, J.; Gul, A.; Kötter, I.; Lecesse, P.; et al. 2018 update of the EULAR recommandations for the management of Behçet’s syndrome. Ann. Rheum. Dis. 2018, 77, 808–818. [Google Scholar] [PubMed]
- Uke, P.; Gorodkin, R.; Beare, N. Biologic therapy for Behçet’s uveitis: A systematic review. Br. J. Ophthalmol. 2020, 104, 1045–1051. [Google Scholar] [CrossRef] [PubMed]
- Akman-Demir, G.; Ayranci, O.; Kurtuncu, M.; Vanli, E.N.; Mutlu, M.; Tugal-Tutkun, I.; Expand, A. Cyclosporine for Behçet’s uveitis: Is it associated with an increased risk of neurological in-volvement? Clin. Exp. Rheumatol. 2008, 26, 84–90. [Google Scholar]
- Kötter, I.; Günaydin, I.; Batra, M.; Vonthein, R.; Stübiger, N.; Fierlbeck, G.; Melms, A. CNS involvement occurs more frequently in patients with Behçet’s disease under cyclosporin A (CSA) than under other medications—Results of a retrospective analysis of 117 cases. Clin. Rheumatol. 2005, 25, 482–486. [Google Scholar] [CrossRef] [PubMed]
- Foster, C.S.; Kothari, S.; Anesi, S.D.; Vitale, A.T.; Chu, D.; Metzinger, J.L.; Cerón, O. The Ocular Immunology and Uveitis Foundation preferred practice patterns of uveitis management. Surv. Ophthalmol. 2016, 61, 1–17. [Google Scholar] [CrossRef]
- Markomichelakis, N.; Delicha, E.; Masselos, S.; Fragiadaki, K.; Kaklamanis, P.; Sfikakis, P.P. A single infliximab infusion vs corticosteroids for acute panuveitis attacks in Behcet’s disease: A comparative 4-week study. Rheumatology 2011, 50, 593–597. [Google Scholar] [CrossRef] [Green Version]
- Duica, I.; Voinea, L.-M.; Mitulescu, C.; Istrate, S.; Coman, I.-C.; Ciuluvica, R. The use of biologic therapies in uveitis. Romanian J. Ophthalmol. 2018, 61, 105–113. [Google Scholar] [CrossRef]
- Thomas, A.S. Biologics for the treatment of noninfectious uveitis. Curr. Opin. Ophthalmol. 2019, 30, 138–150. [Google Scholar] [CrossRef]
- Fabiani, C.; Vitale, A.; Emmi, G.; Vannozzi, L.; Lopalco, G.; Guerriero, S.; Orlando, I.; Franceschini, R.; Bacherini, D.; Cimino, L.; et al. Efficacy and safety of adalimumab in Behçet’s disease-related uveitis: A multicenter retrospective observational study. Clin. Rheumatol. 2017, 36, 183–189. [Google Scholar] [CrossRef]
- Shi, J.; Zhao, C.; Zhou, J.; Liu, J.; Wang, L.; Gao, F.; Zeng, X.; Zhang, M.; Zheng, W. Effectiveness and safety of interferon α2a as an add-on treatment for refractory Behçet’s uveitis. Ther. Adv. Chronic Dis. 2019, 10, 1–9. [Google Scholar] [CrossRef] [Green Version]
- Levy-Clarke, G.; Jabs, D.A.; Read, R.W.; Rosenbaum, J.T.; Vitale, A.; Van Gelder, R.N. Expert Panel Recommendations for the Use of Anti–Tumor Necrosis Factor Biologic Agents in Patients with Ocular Inflammatory Disorders. Ophthalmology 2014, 121, 785–796.e3. [Google Scholar] [CrossRef] [PubMed]
- Atienza-Mateo, B.; Martin-Varillas, J.L.; Calvo-Rio, V.; Demetrio-Pablo, R.; Beltran, E.; Sanchez-Burson, J.; Mesquida, M.; Adan, A.; Hernandez, M.V. Comparative Study of Infliximab Versus Adalimumab in Refractory Uveitis due to Behçet’s Disease National Multicenter Study of 177 Cases. Arthritis Rheumatol. 2019, 71, 2081–2089. [Google Scholar] [CrossRef] [Green Version]
- Martín-Varillas, J.L.; Atienza-Mateo, B.; Calvo-Rio, V.; Beltrán, E.; Sánchez-Bursón, J.; Adán, A.; Hernández-Garfella, M.; Valls-Pascual, E.; Sellas-Fernández, A.; Ortego, N.; et al. Long-term Follow-up and Optimization of Infliximab in Refractory Uveitis Due to Behçet Disease: National Study of 103 White Patients. J. Rheumatol. 2021, 48, 741–750. [Google Scholar] [CrossRef]
- Horiguchi, N.; Kamoi, K.; Horie, S.; Iwasaki, Y.; Kurozumi-Karube, H.; Takase, H.; Ohno-Matsui, K. A 10-year follow-up of infliximab monotherapy for refractory uveitis in Behçet’s syndrome. Sci. Rep. 2020, 10, 1–10. [Google Scholar] [CrossRef]
- Tugal-Tutkun, I.; Mudun, A.; Urgancioglu, M.; Kamali, S.; Kasapoglu, E.; Inanc, M.; Gül, A. Efficacy of infliximab in the treatment of uveitis that is resistant to treatment with the combination of azathioprine, cyclosporine, and corticosteroids in behçet’s disease: An open-label trial. Arthritis Rheum. 2005, 52, 2478–2484. [Google Scholar] [CrossRef] [PubMed]
- Sota, J.; Cantarini, L.; Vitale, A.; Sgheri, A.; Gentileschi, S.; Caggiano, V.; Gelardi, V.; Frediani, B.; Tosi, G.M.; Fabiani, C. Long-Term Outcomes of Behçet’s Syndrome-Related Uveitis: A Monocentric Italian Experience. Mediat. Inflamm. 2020, 2020, 1–8. [Google Scholar] [CrossRef] [PubMed]
- Keino, H.; Watanabe, T.; Nakayama, M.; Komagata, Y.; Fukuoka, K.; Okada, A. Long-term efficacy of early infliximab-induced remission for refractory uveoretinitis associated with Behçet’s disease. Br. J. Ophthalmol. 2021, 105, 1525–1533. [Google Scholar] [CrossRef]



| Region | Prevalence Rate per 100,000 Inhabitants |
|---|---|
| Turkey | 20–420 [13] |
| Iran | 80–100 [14] |
| Northern Europe | 0.3–4.9 [13] |
| Sweden | 2.3–4.9 [13] |
| Germany | 0.3–4.87 [13,15] |
| England | 0.27–0.64 [13] |
| Southern Europe | 1.5–15.9 [2,13] |
| Italy | 3.8–15.9 [13] |
| Spain | 7.5 [13] |
| France | 7.1 [13] |
| Portugal | 1.53 [13] |
| United States | 5.2 [14] |
| Differential Diagnosis | Characteristic Features |
|---|---|
| Sarcoidosis | Intermediate uveitis, snowballs, focal retinal leakage, choroidal nodules, iris nodules, optic disc nodules, mutton-fat keratic precipitates, segmental/nodular periphlebitis (candle-like drippings) [48] |
| Tuberculosis | Usually associated with anterior segment inflammation, peripheral ischemia, snowballs, perivascular choroidal scars, broad-based posterior synechiae, serpiginous-like choroiditis [9,49] |
| Syphilis | Iritis, iridocyclitis, wedge shaped, ground-glass retinitis with inner retinal precipitates, chorioretinitis, placoid lesions at the level of retinal pigmented epithelium [50] |
| Viral retinitis | Massive necrotizing retinitis, CMV: absence of intense vitreous haze with severe retinitis [9] |
| Toxoplasmosis | Granulomatous keratic precipitates, hypertensive anterior uveitis [9] |
| HLA-B27-associated acute anterior uveitis | Slow response to topical steroids, fibrinous exudate, sticky hypopyon [9] |
| Primary intraocular lymphoma and leukemia | Smooth-layered hypopyon with mild ciliary injection [9] |
Publisher’s Note: MDPI stays neutral with regard to jurisdictional claims in published maps and institutional affiliations. |
© 2021 by the authors. Licensee MDPI, Basel, Switzerland. This article is an open access article distributed under the terms and conditions of the Creative Commons Attribution (CC BY) license (https://creativecommons.org/licenses/by/4.0/).
Share and Cite
Zając, H.; Turno-Kręcicka, A. Ocular Manifestations of Behçet’s Disease: An Update on Diagnostic Challenges and Disease Management. J. Clin. Med. 2021, 10, 5174. https://doi.org/10.3390/jcm10215174
Zając H, Turno-Kręcicka A. Ocular Manifestations of Behçet’s Disease: An Update on Diagnostic Challenges and Disease Management. Journal of Clinical Medicine. 2021; 10(21):5174. https://doi.org/10.3390/jcm10215174
Chicago/Turabian StyleZając, Hanna, and Anna Turno-Kręcicka. 2021. "Ocular Manifestations of Behçet’s Disease: An Update on Diagnostic Challenges and Disease Management" Journal of Clinical Medicine 10, no. 21: 5174. https://doi.org/10.3390/jcm10215174
APA StyleZając, H., & Turno-Kręcicka, A. (2021). Ocular Manifestations of Behçet’s Disease: An Update on Diagnostic Challenges and Disease Management. Journal of Clinical Medicine, 10(21), 5174. https://doi.org/10.3390/jcm10215174
