COVID-19 Associated Choroidopathy
Abstract
:1. Introduction
2. Methods and Materials
2.1. Study Design and Participants
2.2. OCT Acquisition and Analysis
2.3. ICGA Acquisition and Analysis
2.4. Statistical Analysis
3. Results
3.1. Demographic Characteristics of Patients
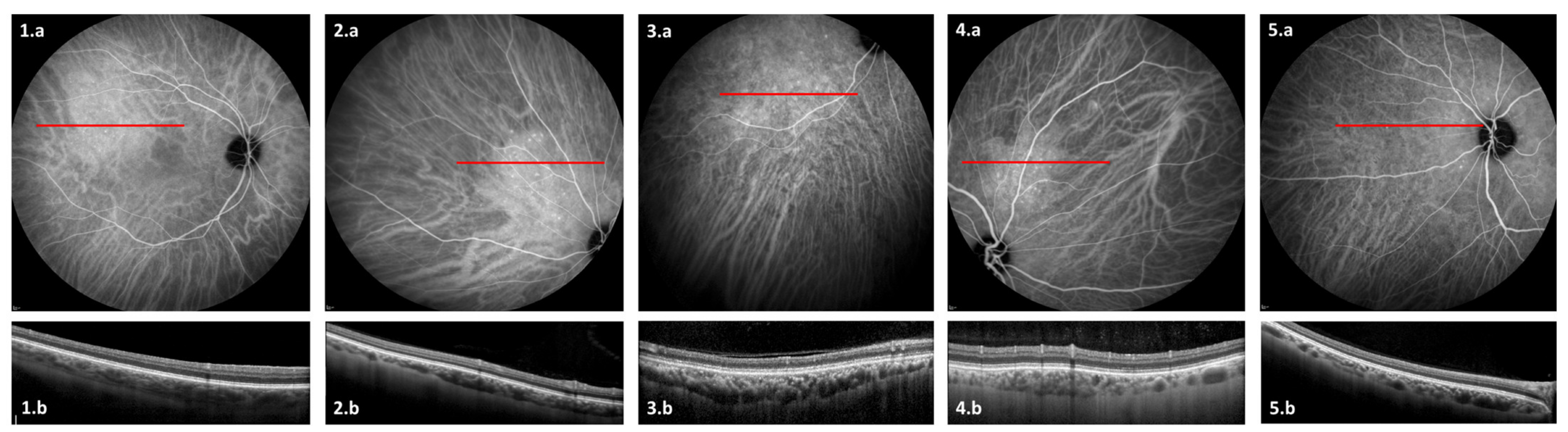
3.2. OCT Findings
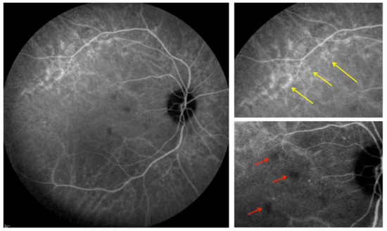
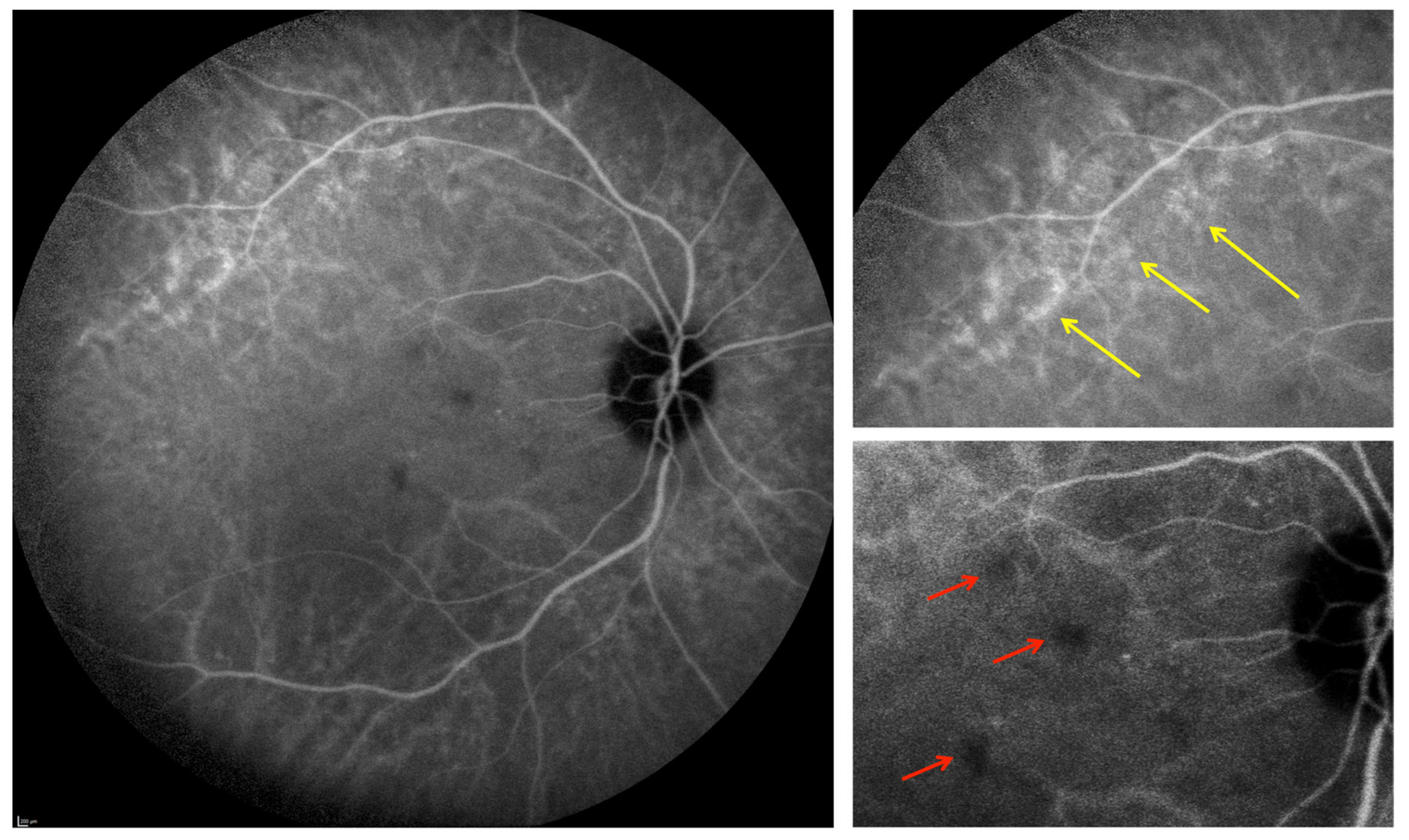
3.3. ICGA Findings
4. Discussion
5. Conclusions
Author Contributions
Funding
Institutional Review Board Statement
Informed Consent Statement
Data Availability Statement
Conflicts of Interest
References
- Cucinotta, D.; Vanelli, M. WHO Declares COVID-19 a Pandemic. Acta Bio-Med. Atenei Parm. 2020, 91, 157–160. [Google Scholar] [CrossRef]
- Zhou, F.; Yu, T.; Du, R.; Fan, G.; Liu, Y.; Liu, Z.; Xiang, J.; Wang, Y.; Song, B.; Gu, X.; et al. Clinical Course and Risk Factors for Mortality of Adult Inpatients with COVID-19 in Wuhan, China: A Retrospective Cohort Study. Lancet 2020, 395, 1054–1062. [Google Scholar] [CrossRef]
- Driggin, E.; Madhavan, M.V.; Bikdeli, B.; Chuich, T.; Laracy, J.; Biondi-Zoccai, G.; Brown, T.S.; Der Nigoghossian, C.; Zidar, D.A.; Haythe, J.; et al. Cardiovascular Considerations for Patients, Health Care Workers, and Health Systems During the COVID-19 Pandemic. J. Am. Coll. Cardiol. 2020, 75, 2352–2371. [Google Scholar] [CrossRef]
- Xu, L.; Mao, Y.; Chen, G. Risk Factors for 2019 Novel Coronavirus Disease (COVID-19) Patients Progressing to Critical Illness: A Systematic Review and Meta-Analysis. Aging 2020, 12, 12410–12421. [Google Scholar] [CrossRef]
- Zheng, Z.; Peng, F.; Xu, B.; Zhao, J.; Liu, H.; Peng, J.; Li, Q.; Jiang, C.; Zhou, Y.; Liu, S.; et al. Risk Factors of Critical & Mortal COVID-19 Cases: A Systematic Literature Review and Meta-Analysis. J. Infect. 2020, 81, e16–e25. [Google Scholar] [CrossRef]
- Castro, P.; Palomo, M.; Moreno-Castaño, A.B.; Fernández, S.; Torramadé-Moix, S.; Pascual, G.; Martinez-Sanchez, J.; Richardson, E.; Téllez, A.; Nicolas, J.M.; et al. Is the Endothelium the Missing Link in the Pathophysiology and Treatment of COVID-19 Complications? Cardiovasc. Drugs Ther. 2021, 1–14. [Google Scholar] [CrossRef]
- Nägele, M.P.; Haubner, B.; Tanner, F.C.; Ruschitzka, F.; Flammer, A.J. Endothelial Dysfunction in COVID-19: Current Findings and Therapeutic Implications. Atherosclerosis 2020, 314, 58–62. [Google Scholar] [CrossRef]
- Marietta, M.; Coluccio, V.; Luppi, M. COVID-19, Coagulopathy and Venous Thromboembolism: More Questions than Answers. Intern. Emerg. Med. 2020, 15, 1375–1387. [Google Scholar] [CrossRef] [PubMed]
- Ponzetto, A.; Figura, N.; Bernardini, G. COVID-19, Coagulopathy and Venous Thromboembolism: More Questions than Answers-Comment. Intern. Emerg. Med. 2021, 16, 525–526. [Google Scholar] [CrossRef] [PubMed]
- Yamaoka-Tojo, M. Vascular Endothelial Glycocalyx Damage in COVID-19. Int. J. Mol. Sci. 2020, 21, 9712. [Google Scholar] [CrossRef] [PubMed]
- Yamaoka-Tojo, M. Endothelial Glycocalyx Damage as a Systemic Inflammatory Microvascular Endotheliopathy in COVID-19. Biomed. J. 2020, 43, 399–413. [Google Scholar] [CrossRef]
- Nasiri, N.; Sharifi, H.; Bazrafshan, A.; Noori, A.; Karamouzian, M.; Sharifi, A. Ocular Manifestations of COVID-19: A Systematic Review and Meta-Analysis. J. Ophthalmic Vis. Res. 2021, 16, 103–112. [Google Scholar] [CrossRef]
- Casagrande, M.; Fitzek, A.; Püschel, K.; Aleshcheva, G.; Schultheiss, H.-P.; Berneking, L.; Spitzer, M.S.; Schultheiss, M. Detection of SARS-CoV-2 in Human Retinal Biopsies of Deceased COVID-19 Patients. Ocul. Immunol. Inflamm. 2020, 28, 721–725. [Google Scholar] [CrossRef] [PubMed]
- Marinho, P.M.; Marcos, A.A.A.; Romano, A.C.; Nascimento, H.; Belfort, R.J. Retinal Findings in Patients with COVID-19. Lancet Lond. Engl. 2020, 395, 1610. [Google Scholar] [CrossRef]
- Savastano, M.C.; Gambini, G.; Cozzupoli, G.M.; Crincoli, E.; Savastano, A.; De Vico, U.; Culiersi, C.; Falsini, B.; Martelli, F.; Minnella, A.M.; et al. Retinal Capillary Involvement in Early Post-COVID-19 Patients: A Healthy Controlled Study. Graefes Arch. Clin. Exp. Ophthalmol. Albrecht Graefes Arch. Klin. Exp. Ophthalmol. 2021, 1–9. [Google Scholar] [CrossRef]
- Kocamiş, Ö.; Temel, E.; Hizmali, L.; Aşikgarip, N.; Örnek, K.; Sezgin, F.M. Structural Alterations of the Choroid Evaluated by Enhanced-Depth Imaging Optical Coherence Tomography in Patients with COVID-19. BMC Ophthalmol. 2021. [Google Scholar] [CrossRef]
- Abrishami, M.; Emamverdian, Z.; Daneshvar, R.; Saeedian, N.; Tohidinezhad, F.; Seddigh-Shamsi, M.; Mazloumi, M.; Eslami, S. Choroidal Thickening in Patients with Coronavirus Disease—2019. J. Ophthalmic Inflamm. Infect. 2021. [Google Scholar] [CrossRef]
- De Souza, E.C.; de Campos, V.E.; Duker, J.S. Atypical Unilateral Multifocal Choroiditis in a COVID-19 Positive Patient. Am. J. Ophthalmol. Case Rep. 2021, 22, 101034. [Google Scholar] [CrossRef]
- Providência, J.; Fonseca, C.; Henriques, F.; Proença, R. Serpiginous Choroiditis Presenting after SARS-CoV-2 Infection: A New Immunological Trigger? Eur. J. Ophthalmol. 2020, 1120672120977817. [Google Scholar] [CrossRef]
- Sonoda, S.; Sakamoto, T.; Yamashita, T.; Shirasawa, M.; Uchino, E.; Terasaki, H.; Tomita, M. Choroidal Structure in Normal Eyes and after Photodynamic Therapy Determined by Binarization of Optical Coherence Tomographic Images. Investig. Ophthalmol. Vis. Sci. 2014, 55, 3893–3899. [Google Scholar] [CrossRef]
- Sakurada, Y.; Leong, B.C.S.; Parikh, R.; Fragiotta, S.; Freund, K.B. Association Between Choroidal Caverns And Choroidal Vascular Hyperpermeability In Eyes With Pachychoroid Diseases. Retina 2018, 38, 1977–1983. [Google Scholar] [CrossRef]
- Dansingani, K.K.; Balaratnasingam, C.; Naysan, J.; Freund, K.B. En Face Imaging Of Pachychoroid Spectrum Disorders With Swept-Source Optical Coherence Tomography. Retina 2016, 36, 499–516. [Google Scholar] [CrossRef]
- Spaide, R.F. The Ambiguity of Pachychoroid. Retina 2021, 41, 231–237. [Google Scholar] [CrossRef]
- Spaide, R.F.; Ledesma-Gil, G.; Gemmy Cheung, C.M. Intervortex Venous Anastomosis In Pachychoroid-Related Disorders. Retina 2021, 41, 997–1004. [Google Scholar] [CrossRef] [PubMed]
- Querques, G.; Costanzo, E.; Miere, A.; Capuano, V.; Souied, E.H. Choroidal Caverns: A Novel Optical Coherence Tomography Finding in Geographic Atrophy. Investig. Ophthalmol. Vis. Sci. 2016, 57, 2578–2582. [Google Scholar] [CrossRef] [Green Version]
- Carnevali, A.; Sacconi, R.; Corbelli, E.; Querques, L.; Bandello, F.; Querques, G. Choroidal Caverns: A Previously Unreported Optical Coherence Tomography Finding in Best Vitelliform Dystrophy. Ophthalmic Surg. Lasers Imaging Retina 2018, 49, 284–287. [Google Scholar] [CrossRef] [PubMed]
- Dolz-Marco, R.; Glover, J.P.; Gal-Or, O.; Litts, K.M.; Messinger, J.D.; Zhang, Y.; Cozzi, M.; Pellegrini, M.; Freund, K.B.; Staurenghi, G.; et al. Choroidal and Sub-Retinal Pigment Epithelium Caverns: Multimodal Imaging and Correspondence with Friedman Lipid Globules. Ophthalmology 2018, 125, 1287–1301. [Google Scholar] [CrossRef]
- Koina, M.E.; Baxter, L.; Adamson, S.J.; Arfuso, F.; Hu, P.; Madigan, M.C.; Chan-Ling, T. Evidence for Lymphatics in the Developing and Adult Human Choroid. Investig. Ophthalmol. Vis. Sci. 2015, 56, 1310–1327. [Google Scholar] [CrossRef] [PubMed] [Green Version]
- Hazeldine, J.; Lord, J.M. Neutrophils and COVID-19: Active Participants and Rational Therapeutic Targets. Front. Immunol. 2021, 12, 680134. [Google Scholar] [CrossRef]
- Madjid, M.; Safavi-Naeini, P.; Solomon, S.D.; Vardeny, O. Potential Effects of Coronaviruses on the Cardiovascular System: A Review. JAMA Cardiol. 2020, 5, 831–840. [Google Scholar] [CrossRef] [Green Version]
- Yao, X.H.; Li, T.Y.; He, Z.C.; Ping, Y.F.; Liu, H.W.; Yu, S.C.; Mou, H.M.; Wang, L.H.; Zhang, H.R.; Fu, W.J.; et al. A pathological report of three COVID-19 cases by minimal invasive autopsies. Zhonghua Bing Li Xue Za Zhi 2020, 49, 411–417. [Google Scholar] [CrossRef]
- Yang, Y.; Schmidt, E.P. The Endothelial Glycocalyx: An Important Regulator of the Pulmonary Vascular Barrier. Tissue Barriers 2013, 1, e23494. [Google Scholar] [CrossRef] [Green Version]
- Grandoch, M.; Bollyky, P.L.; Fischer, J.W. Hyaluronan: A Master Switch Between Vascular Homeostasis and Inflammation. Circ. Res. 2018, 122, 1341–1343. [Google Scholar] [CrossRef]
- Fraser, D.D.; Patterson, E.K.; Slessarev, M.; Gill, S.E.; Martin, C.; Daley, M.; Miller, M.R.; Patel, M.A.; Dos Santos, C.C.; Bosma, K.J.; et al. Endothelial Injury and Glycocalyx Degradation in Critically Ill Coronavirus Disease 2019 Patients: Implications for Microvascular Platelet Aggregation. Crit. Care Explor. 2020, 2, e0194. [Google Scholar] [CrossRef] [PubMed]
- Rovas, A.; Osiaevi, I.; Buscher, K.; Sackarnd, J.; Tepasse, P.-R.; Fobker, M.; Kühn, J.; Braune, S.; Göbel, U.; Thölking, G.; et al. Microvascular Dysfunction in COVID-19: The MYSTIC Study. Angiogenesis 2021, 24, 145–157. [Google Scholar] [CrossRef] [PubMed]
- Pereira, L.A.; Soares, L.C.M.; Nascimento, P.A.; Cirillo, L.R.N.; Sakuma, H.T.; da Veiga, G.L.; Fonseca, F.L.A.; Lima, V.L.; Abucham-Neto, J.Z. Retinal Findings in Hospitalised Patients with Severe COVID-19. Br. J. Ophthalmol. 2020. [Google Scholar] [CrossRef] [PubMed]
- Virgo, J.; Mohamed, M. Paracentral Acute Middle Maculopathy and Acute Macular Neuroretinopathy Following. Eye Lond. Engl. 2020, 34, 2352–2353. [Google Scholar] [CrossRef]
- Turker, I.C.; Dogan, C.U.; Guven, D.; Kutucu, O.K.; Gul, C. Optical Coherence Tomography Angiography Findings in Patients with COVID-19. Can. J. Ophthalmol. J. Can. Ophtalmol. 2021, 56, 83–87. [Google Scholar] [CrossRef] [PubMed]
- Li, J.; Qi, Z.; Li, D.; Huang, X.; Qi, B.; Feng, J.; Qu, J.; Wang, X. Alveolar Epithelial Glycocalyx Shedding Aggravates the Epithelial Barrier and Disrupts Epithelial Tight Junctions in Acute Respiratory Distress Syndrome. Biomed. Pharmacother. Biomed. Pharmacother. 2021, 133, 111026. [Google Scholar] [CrossRef]
- Bower, B.A.; Zhao, M.; Zawadzki, R.J.; Izatt, J.A. Real-Time Spectral Domain Doppler Optical Coherence Tomography and Investigation of Human Retinal Vessel Autoregulation. J. Biomed. Opt. 2007, 12, 041214. [Google Scholar] [CrossRef]
- Pechauer, A.D.; Jia, Y.; Liu, L.; Gao, S.S.; Jiang, C.; Huang, D. Optical Coherence Tomography Angiography of Peripapillary Retinal Blood Flow Response to Hyperoxia. Investig. Ophthalmol. Vis. Sci. 2015, 56, 3287–3291. [Google Scholar] [CrossRef]
- Hayreh, S.S. In Vivo Choroidal Circulation and Its Watershed Zones. Eye Lond. Engl. 1990, 4, 273–289. [Google Scholar] [CrossRef] [PubMed] [Green Version]
- Porzionato, A.; Emmi, A.; Barbon, S.; Boscolo-Berto, R.; Stecco, C.; Stocco, E.; Macchi, V.; De Caro, R. Sympathetic Activation: A Potential Link between Comorbidities and COVID-19. FEBS J. 2020, 287, 3681–3688. [Google Scholar] [CrossRef] [PubMed]
- Del Rio, R.; Marcus, N.J.; Inestrosa, N.C. Potential Role of Autonomic Dysfunction in Covid-19 Morbidity and Mortality. Front. Physiol. 2020, 11, 561749. [Google Scholar] [CrossRef]
- Nickla, D.L.; Wallman, J. The Multifunctional Choroid. Prog. Retin. Eye Res. 2010, 29, 144–168. [Google Scholar] [CrossRef] [PubMed] [Green Version]




| Variables | |
|---|---|
| Age in year (mean ± SD) | 58.2 ± 11.4 |
| Gender | |
| - Male - Female | 9 (64%) 5 (36%) |
| COVID-19 diagnosis method | |
| - PCR - CT-scan - PCR + CT-scan | 4 (29%) 6 (43%) 4 (29%) |
| Causes of hospitalization | |
| ARDS Neurologic | 11 (79%) 5 (36%) |
| Oxygen need | 10 (71%) |
| Intensive care unit admission | 8 (57%) |
| Corticosteroid use | 5 (29%) |
| Variables | |
|---|---|
| Visual acuity in ETDRS letters (mean ± SD) | 82.2 ± 10.1 |
| IOP (mean ± SD) | 15.3 ± 3.2 |
| ICGA anomalies | Number of eyes (%) |
| Vessel leakage and/or staining Hypofluorescent spots Pintpoint leakage Intervortex shunts “Hemangioma-like” lesion | 20 (71%) 19 (68%) 15 (54%) 10 (36%) 5 (18%) |
| OCT anomalies | Number of eyes (%) |
| Pachyvessels Focal choroidal thickening Caverns | 25 (89%) 7 (25%) 6 (21%) |
| Choroidal thickness in μm (mean ± SD (range)) | 265.3 ± 73.3 (67–432) |
| Central macular thickness in μm (mean ± SD (range)) | 273.4 ± 26.7 (183–320) |
| ICG Signs | OCT Signs | Other Anomalies | |||||||||||||
|---|---|---|---|---|---|---|---|---|---|---|---|---|---|---|---|
| Patient Number | Sex | Age in Years | Hospitalization Reasons | ARDS Stage | Intensive Care Unit Admission | Corticosteroid Use | Hypofluorescent Spots | “Hemangioma-Like” Lesion | Intervortex Shunts | Pintpoint Leakage | Vessel Leakage and/or Staining | Caverns | Pachyvessels | Focal Choroidal Thickness | |
| 1 | Male | 64 | ARDS with myasthenia decompensation | ND | No | Yes | Yes | No | Yes | Yes | No | No | Yes | Yes | Choroidal folds |
| 2 | Male | 48 | ARDS with DKA and ARF | Moderate | Yes | No | No | No | No | Yes | Yes | No | Yes | No | |
| 3 | Male | 70 | ARDS with PE and HF | Severe | Yes | No | Yes | Yes | No | Yes | Yes | Yes | No | No | Retinal atrophy |
| 4 | Female | 63 | ARDS with DKA | ND | No | No | Yes | No | No | Yes | Yes | No | Yes | Yes | |
| 5 | Male | 65 | ARDS | Severe | Yes | Yes | Yes | No | Yes | Yes | No | Yes | Yes | No | |
| 6 | Female | 27 | Idiopathic cerebral hypertension | NA | No | No | Yes | No | No | No | Yes | No | Yes | No | Papillary edema |
| 7 | Male | 66 | ARDS | ND | Yes | No | Yes | Yes | Yes | Yes | Yes | Yes | Yes | Yes | |
| 8 | Male | 55 | ARDS | Severe | Yes | Yes | Yes | No | Yes | Yes | Yes | No | Yes | Yes | |
| 9 | Male | 74 | Ischemic CVA | NA | No | No | Yes | No | No | No | Yes | No | Yes | No | Pseudodrusen |
| 10 | Male | 59 | Ischemic CVA | NA | No | No | Yes | Yes | Yes | Yes | Yes | Yes | Yes | No | |
| 11 | Female | 65 | ARDS | Severe | Yes | Yes | Yes | No | Yes | Yes | Yes | No | Yes | No | PAMM |
| 12 | Male | 61 | ARDS | Severe | Yes | No | No | Yes | Yes | Yes | No | No | Yes | Yes | CSR |
| 13 | Female | 55 | ARDS with cerebral thrombophlebitis, intraparenchymatous hematoma and febrile confusion | Moderate | No | No | No | No | Yes | No | Yes | No | Yes | Yes | |
| 14 | Female | 49 | ARDS | Severe | Yes | No | Yes | Yes | No | Yes | Yes | Yes | Yes | Yes | |
| Patient Number | SE in D | Foveal Choroidal Thickness in µm | Choroidal Thickness 600 µm Nasal to the Fovea in µm | Choroidal Thickness 600 µm Temporal to the Fovea in µm | CVI in % |
|---|---|---|---|---|---|
| 1 | 3 | 190 | 173 | 213 | 70 |
| 3.5 | 200 | 186 | 158 | 71 | |
| 2 | 0 | 337 | 324 | 337 | 69 |
| 0 | 304 | 317 | 317 | 69 | |
| 3 | −1 | 325 | 325 | 303 | 73 |
| −1 | 290 | 269 | 255 | 68 | |
| 4 | 0 | 268 | 235 | 308 | 70 |
| 0 | 272 | 291 | 269 | 67 | |
| 5 | 0 | 232 | 220 | 241 | 69 |
| 0 | 242 | 234 | 201 | 71 | |
| 6 | −1.25 | 351 | 338 | 386 | 68 |
| −1 | 432 | 407 | 392 | 70 | |
| 7 | 0 | 291 | 282 | 304 | 72 |
| 0 | 197 | 158 | 204 | 69 | |
| 8 | 0 | 302 | 282 | 282 | 70 |
| 0 | 287 | 290 | 311 | 73 | |
| 9 | 2.5 | 185 | 117 | 145 | 63 |
| 2.75 | 67 | 90 | 41 | 66 | |
| 10 | 1.25 | 356 | 386 | 330 | 72 |
| 2 | 294 | 382 | 207 | 67 | |
| 11 | 1.25 | 156 | 165 | 172 | 67 |
| 1.5 | 176 | 179 | 200 | 65 | |
| 12 | 3.5 | 322 | 344 | 234 | 64 |
| 2.75 | 280 | 345 | 325 | 71 | |
| 13 | −3.5 | 274 | 189 | 291 | 66 |
| −2.75 | 248 | 207 | 159 | 66 | |
| 14 | 5.25 | 248 | 276 | 207 | 72 |
| 7 | 302 | 276 | 310 | 72 |
Publisher’s Note: MDPI stays neutral with regard to jurisdictional claims in published maps and institutional affiliations. |
© 2021 by the authors. Licensee MDPI, Basel, Switzerland. This article is an open access article distributed under the terms and conditions of the Creative Commons Attribution (CC BY) license (https://creativecommons.org/licenses/by/4.0/).
Share and Cite
Abdelmassih, Y.; Azar, G.; Bonnin, S.; Scemama Timsit, C.; Vasseur, V.; Spaide, R.F.; Behar-Cohen, F.; Mauget-Faysse, M. COVID-19 Associated Choroidopathy. J. Clin. Med. 2021, 10, 4686. https://doi.org/10.3390/jcm10204686
Abdelmassih Y, Azar G, Bonnin S, Scemama Timsit C, Vasseur V, Spaide RF, Behar-Cohen F, Mauget-Faysse M. COVID-19 Associated Choroidopathy. Journal of Clinical Medicine. 2021; 10(20):4686. https://doi.org/10.3390/jcm10204686
Chicago/Turabian StyleAbdelmassih, Youssef, Georges Azar, Sophie Bonnin, Claire Scemama Timsit, Vivien Vasseur, Richard F. Spaide, Francine Behar-Cohen, and Martine Mauget-Faysse. 2021. "COVID-19 Associated Choroidopathy" Journal of Clinical Medicine 10, no. 20: 4686. https://doi.org/10.3390/jcm10204686
APA StyleAbdelmassih, Y., Azar, G., Bonnin, S., Scemama Timsit, C., Vasseur, V., Spaide, R. F., Behar-Cohen, F., & Mauget-Faysse, M. (2021). COVID-19 Associated Choroidopathy. Journal of Clinical Medicine, 10(20), 4686. https://doi.org/10.3390/jcm10204686

