Our Experience on Temporal Bone Fractures: Retrospective Analysis of 141 Cases
Abstract
1. Introduction
2. Experimental Section
- Initial stage: neurosurgeons and intensivists work to stabilize vital signs and assess the neurological status of the patient;
- Secondary stage: neurologists and otolaryngologists work to perform an otoneurological evaluation to treat any neurological outcomes and otological complications.
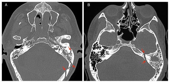
- high-resolution computed tomography (HRCT) examination of the temporal bone;
- otological examination;
- pure tone audiometry (PTA);
- vestibular examination;
- electromyography (EMG).
3. Results
- otorrhagia—in 115 cases (89.84%);
- hemotympanum—in 100 cases (78.12%);
- vertigo—in 86 cases (67.18%);
- conductive hearing loss (CHL)—in 70 cases (54.68%);
- sensorineural hearing loss (SNHL)—in 30 cases (23.43%);
- perforation of the tympanic membrane (TM)—in 45 cases (35.15%);
- facial nerve paralysis (FNP)—in 11 cases (8.59%);
- cerebrospinal fluid (CSF) leakage—in 9 cases (7.03%).
- Vertigo occurred in 86 patients: 64 (74.42%) had canalolithiasis and 22 (25.58%) had acute vestibular deficit (AVD). Canalolithiasis was treated with a canaltih repositioning procedure maneuver and AVD was treated with pharmacotherapy and vestibular rehabilitation. Among the patients who suffered canalolithiasis, dizziness persisted for more than three months in 38 (59.37%). They were treated with vestibular rehabilitation and the symptoms resolved in all cases within 18 months. In patients with AVD, vestibular compensation occurred within 4–7 months.
4. Discussion
5. Conclusions
- FNP: Partial and/or delayed facial paralysis has a favorable overall prognosis with conservative treatment only. Early paralysis generally does not culminate in spontaneous resolution since it is caused by an interruption of nervous conduction for a nerve section or nerve compression by bone segments. The monitoring of neural function by EMG is crucial. The invasive character of the surgical approach used to treat geniculate ganglion lesions justifies the rigorous selection of patients who might benefit from surgery in terms of prognosis. This selection is based on clinical (time of onset), radiologic (fracture line), and EMG data. Indications for surgical exploration and decompression are as follows:
- complete paralysis resulting from a nerve section documented on CT;
- complete paralysis with EMG-documented degeneration;
- complete facial paralysis that persists for 6–8 months after trauma with EMG signs of degeneration;
- CSF leakage: Most CSF leaks will resolve within two weeks with only conservative measures, including head elevation (20–30°), bed rest, stool softeners, avoidance of nose blowing/sneezing, compressive head bandages, and, in selected patients, placement of a lumbar drain. Surgical repair of the leak is possible in a few refractory cases.
- Hearing loss: Hearing loss is most commonly conductive in nature and its management has not presented remarkable difficulties. SNHL is less frequent and is irreversible.
- Vertigo: Vertigo often has an advantageous prognosis.
Author Contributions
Funding
Institutional Review Board Statement
Informed Consent Statement
Data Availability Statement
Conflicts of Interest
References
- Brodie, H.A.; Thompson, T.C. Management of complications from 820 temporal bone fractures. Am. J. Otol. 1997, 18, 188–197. [Google Scholar]
- Nosan, D.; Beneckejr, J.; Murr, R. Current perspective on temporal bone trauma. Otolaryngol. Head Neck Surg. 1997, 117, 67–71. [Google Scholar] [CrossRef]
- Grobman, L.R.; Pollak, A.; Fisch, U. Entrapment injury of the facial nerve resulting from longitudinal fracture of the temporal bone. Otolaryngol. Head Neck Surg. 1989, 101, 404–408. [Google Scholar] [CrossRef] [PubMed]
- Samii, M.; Tatagiba, M. Skull base trauma: Diagnosis and management. Neurol. Res. 2002, 24, 147–156. [Google Scholar] [CrossRef] [PubMed]
- Honeybrook, A.; Patki, A.; Chapurin, N.; Woodard, C. Hearing and mortality outcomes following temporal bone fractures. Craniomaxillofacial Trauma Reconstr. 2017, 10, 281–285. [Google Scholar] [CrossRef] [PubMed]
- Little, S.C.; Kesser, B.W. Radiographic classification of temporal bone fractures. Arch. Otolaryngol. Head Neck Surg. 2006, 132, 1300–1304. [Google Scholar] [CrossRef]
- Cannon, C.R.; Jahrsdoerfer, R.A. Temporal bone fractures: Review of 90 cases. Arch. Otolaryngol. Head Neck Surg. 1983, 109, 285–288. [Google Scholar] [CrossRef]
- Kanona, H.; Anderson, C.; Lambert, A.; Al-Abdulwahed, R.; O’Byrne, L.; Vakharia, N.; Motter, D.; Offiah, C.; Adams, A.; Seymour, K.; et al. A large case series of temporal bone fractures at a UK major trauma centre with an evidence-based management protocol. J. Laryngol. Otol. 2020, 134, 205–212. [Google Scholar] [CrossRef]
- Johnson, F.; Semaan, M.T.; Megerian, C.A. Temporal bone fracture: Evaluation and management in the modern era. Otolaryngol. Clin. N. Am. 2008, 41, 597–618. [Google Scholar] [CrossRef]
- Gordts, F.; Foulon, I.; Hachimi-Idrissi, S. Basilar skull fractures: The petrous bone. B-ENT 2016, 1 (Suppl. 26), 193–201. [Google Scholar]
- Hato, N.; Nota, J.; Hakuba, N.; Gyo, K.; Yanagihara, N. Facial nerve decompression surgery in patients with temporal bone trauma: Analysis of 66 cases. J. Trauma 2011, 71, 1789–1793. [Google Scholar] [CrossRef]
- Rafferty, M.A.; Mc Conn Walsh, R.; Walsh, M.A. A comparison of temporal bone fracture classification systems. Clin. Otolaryngol. 2006, 31, 287–291. [Google Scholar] [CrossRef] [PubMed]
- Ishman, S.L.; Friedland, D.R. Temporal bone fractures: Traditional classification and clinical relevance. Laryngoscope 2004, 114, 1734–1741. [Google Scholar] [CrossRef] [PubMed]
- Bernal-Sprekelsen, M.; Bleda-Vázquez, C.; Carrau, R.L. Ascending meningitis secondary to traumatic cerebrospinal fluid leaks. Am. J. Otol. 2000, 14, 257–259. [Google Scholar] [CrossRef] [PubMed]
- Jadhav, A.B.; Fellows, D.; Hand, A.R.; Tadinada, A.; Lurie, A.G. Classification and volumetric analysis of temporal bone pneumatization using cone beam computed tomography. Oral Surg. Oral Med. Oral Pathol. Oral Radiol. 2014, 117, 376–384. [Google Scholar] [CrossRef] [PubMed]
- Amin, Z.; Sayuti, R.; Kahairi, A.; Islah, W.; Ahmad, R. Head injury with temporal bone fracture: One year review of case incidence, causes, clinical features and outcome. Med. J. Malays. 2008, 63, 373–376. [Google Scholar]
- Wood, C.P.; Hunt, C.H.; Bergen, D.C.; Carlson, M.L.; Diehn, F.E.; Schwartz, K.M.; McKenzie, G.A.; Morreale, R.F.; Lane, J.I. Tympanic plate fractures in temporal bone trauma: Prevalence and associated injuries. Am. J. Neuroradiol. 2014, 35, 186–190. [Google Scholar] [CrossRef]
- Fisch, U. Facial paralysis in fractures of the petrous bone. Laryngoscope 1974, 84, 2141–2154. [Google Scholar] [CrossRef]
- Lambert, P.R.; Brackmann, D.E. Facial paralysis in longitudinal temporal bone fractures. Laryngoscope 1984, 94, 1022–1026. [Google Scholar] [CrossRef]
- Darrouzet, V.; Duclos, J.-Y.; Liguoro, D.; Truilhe, Y.; De Bonfils, C.; Bebear, J.P. Management of facial paralysis resulting from temporal bone fractures: Our experience in 115 cases. Otolaryngol. Head Neck Surg. 2001, 125, 77–84. [Google Scholar] [CrossRef]
- Ilea, A.; Butnaru, A.; Sfrângeu, S.A.; Hedeşiu, M.; Dudescu, C.M.; Berce, P.; Chezan, H.; Hurubeanu, L.; Trombiţaş, V.E.; Câmpian, R.S.; et al. Role of mastoid pneumatization in temporal bone fractures. Am. J. Neuroradiol. 2014, 35, 1398–1404. [Google Scholar] [CrossRef] [PubMed]
- Kang, T.K.; Ha, R.; Oh, J.H.; Sunwoo, W. The potential protective effects of temporal bone pneumatization: A shock absorber in temporal bone fracture. PLoS ONE 2019, 14, e0217682. [Google Scholar] [CrossRef] [PubMed]
- Ghorayeb, B.Y.; Yeakley, J.W.; Hall, J.W.; Jones, B.E. Unusual complications of temporal bone fractures. Arch. Otolaryngol. Head Neck Surg. 1987, 113, 749–753. [Google Scholar] [CrossRef] [PubMed]
- Lyos, A.T.; Marsh, M.A.; Jenkins, H.A.; Coker, N.J. Progressive hearing loss after transverse temporal bone fracture. Arch. Otolaryngol. Head Neck Surg. 1995, 121, 795–799. [Google Scholar] [CrossRef] [PubMed]
- Shea, J.J.; Ge, X.; Orchik, D.J. Traumatic endolymphatic hydrops. Am. J. Otol. 1995, 16, 235–240. [Google Scholar] [PubMed]
- Magliulo, G.; Appiani, M.C.; Iannella, G.; Artico, M. Petrous bone fractures violating otic capsule. Otol. Neurotol. 2012, 33, 1558–1561. [Google Scholar] [CrossRef]
- Alvi, A.; Bereliani, A. Acute intracranial complications of temporal bone trauma. Otolaryngol. Head Neck Surg. 1998, 119, 609–613. [Google Scholar] [CrossRef]
- Ratilal, B.O.; Costa, J.; Sampaio, C.; Pappamikail, L. Antibiotic prophylaxis for preventing meningitis in patients with basilar skull fractures. Cochrane Database Syst. Rev. 2015, 4, CD004884. [Google Scholar] [CrossRef]
- Jackler, R.K. Fractures of the cranial base, encephalocele of the middle fossa floor, cerebrospinal fluid leak. In Atlas of Skull Base Surgery and Neurotology; Jackler, R.K., Ed.; Thieme: New York, NY, USA, 2009; pp. 181–193. [Google Scholar]
- Nash, J.J.; Friedland, D.R.; Boorsma, K.J.; Rhee, J.S. Management and outcomes of facial paralysis from intratemporal blunt trauma: A systematic review. Laryngoscope 2010, 120, 1397–1404. [Google Scholar] [CrossRef]
- Dahiya, R.; Keller, J.D.; Litofsky, N.S.; Bankey, P.E.; Bonassar, L.J.; Megerian, C.A. Temporal bone fractures: Otic capsule sparing versus otic capsule violating clinical and radiographic considerations. J. Trauma 1999, 47, 1079–1083. [Google Scholar] [CrossRef]
- Honnurappa, V.; Vijayendra, V.K.; Mahajan, N.; Redleaf, M. Facial nerve decompression after temporal bone fracture-the Bangalore protocol. Front. Neurol. 2019, 10, 1067. [Google Scholar] [CrossRef] [PubMed]

| TL-TBF | EL-TBF | |
|---|---|---|
| None | 16 | 2 |
| Mild | 8 | 64 |
| Complete | 0 | 38 |
| EL-TBF (n = 105) | TL-TBF (n = 23) | All TBF (n = 128) | p-Value | |
|---|---|---|---|---|
| Vertigo | 64 (60.95%) | 22 (95.65%) | 86 (67.18%) | 0.0013 |
| Otorrhagia | 94 (89.52%) | 21 (91.30%) | 115 (89.84%) | 0.7979 |
| Hemotympanum | 82 (78.09%) | 18 (78.26%) | 100 (78.12%) | 0.9861 |
| Sensorineural hearing loss (HL) | 8 (7.61%) | 22 (95.65%) | 30 (23.43%) | 0.0001 |
| Conductive HL | 69 (65.71%) | 1 (4.34%) | 70 (54.68%) | 0.0001 |
| TM perforation | 37 (35.23%) | 8 (34.78%) | 45 (35.15%) | 0.9669 |
| FNP | 2 (1.90%) | 9 (39.13%) | 11 (8.59%) | 0.0001 |
| CSF leak | 0 (0%) | 9 (39.13%) | 9 (7.03%) | 0.0001 |
| TL-TBF | EL-TBF | |
|---|---|---|
| Mild | 0 | 20 |
| Moderate | 0 | 42 |
| Severe | 3 | 16 |
| Profound/anacusis | 19 | 0 |
Publisher’s Note: MDPI stays neutral with regard to jurisdictional claims in published maps and institutional affiliations. |
© 2021 by the authors. Licensee MDPI, Basel, Switzerland. This article is an open access article distributed under the terms and conditions of the Creative Commons Attribution (CC BY) license (http://creativecommons.org/licenses/by/4.0/).
Share and Cite
Ricciardiello, F.; Mazzone, S.; Longo, G.; Russo, G.; Piccirillo, E.; Sequino, G.; Cavaliere, M.; Accardo, N.; Oliva, F.; Salomone, P.; et al. Our Experience on Temporal Bone Fractures: Retrospective Analysis of 141 Cases. J. Clin. Med. 2021, 10, 201. https://doi.org/10.3390/jcm10020201
Ricciardiello F, Mazzone S, Longo G, Russo G, Piccirillo E, Sequino G, Cavaliere M, Accardo N, Oliva F, Salomone P, et al. Our Experience on Temporal Bone Fractures: Retrospective Analysis of 141 Cases. Journal of Clinical Medicine. 2021; 10(2):201. https://doi.org/10.3390/jcm10020201
Chicago/Turabian StyleRicciardiello, Filippo, Salvatore Mazzone, Giuseppe Longo, Giuseppe Russo, Enrico Piccirillo, Giuliano Sequino, Michele Cavaliere, Nunzio Accardo, Flavia Oliva, Pasquale Salomone, and et al. 2021. "Our Experience on Temporal Bone Fractures: Retrospective Analysis of 141 Cases" Journal of Clinical Medicine 10, no. 2: 201. https://doi.org/10.3390/jcm10020201
APA StyleRicciardiello, F., Mazzone, S., Longo, G., Russo, G., Piccirillo, E., Sequino, G., Cavaliere, M., Accardo, N., Oliva, F., Salomone, P., Perrella, M., Zeccolini, F., Romano, D., Di Maro, F., Viola, P., Cifali, R., Muto, F., & Galli, J. (2021). Our Experience on Temporal Bone Fractures: Retrospective Analysis of 141 Cases. Journal of Clinical Medicine, 10(2), 201. https://doi.org/10.3390/jcm10020201

