Ankle Osteoarthritis Aetiology
Abstract
:1. Introduction
2. Pathophysiology: Peculiarities of Tibiotalar Cartilage
3. Predisposing Factors for Ankle Osteoarthritis
3.1. Microscopic Cartilage Damage
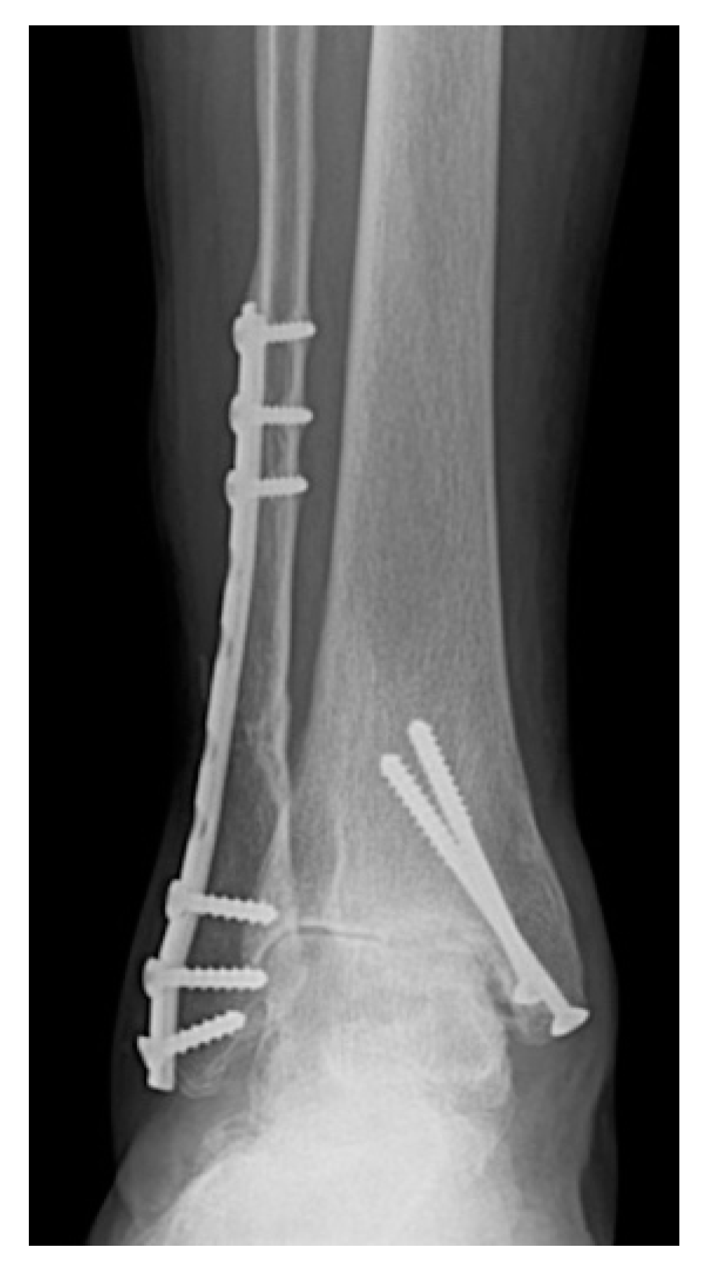
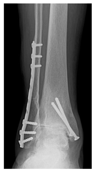
3.2. Macroscopic Cartilage Damage
3.3. Joint Incongruence
3.4. Instability
3.5. Malalignment
3.6. Proinflammatory Mediators in Synovial Fluid
3.7. Ageing
4. Conclusions
Author Contributions
Funding
Institutional Review Board Statement
Informed Consent Statement
Data Availability Statement
Conflicts of Interest
References
- Goldberg, A.J.; MacGregor, A.; Dawson, J.; Singh, D.; Cullen, N.; Sharp, R.J.; Cooke, P.H. The demand incidence of symptomatic ankle osteoarthritis presenting to foot & ankle surgeons in the United Kingdom. Foot 2012, 22, 163–166. [Google Scholar] [CrossRef]
- Valderrabano, V.; Horisberger, M.; Russell, I.; Dougall, H.; Hintermann, B. Etiology of ankle osteoarthritis. Clin. Orthop. Relat. Res. 2009, 467, 1800–1806. [Google Scholar] [CrossRef] [PubMed] [Green Version]
- Thomas, R.H.; Daniels, T.R. Ankle arthritis. J. Bone Joint Surg. Am. 2003, 85, 923–936. [Google Scholar] [CrossRef]
- Glazebrook, M.; Daniels, T.; Younger, A.; Foote, C.J.; Penner, M.; Wing, K.; Lau, J.; Leighton, R.; Dunbar, M. Comparison of health-related quality of life between patients with end-stage ankle and hip arthrosis. J. Bone Joint Surg. Am. 2008, 90, 499–505. [Google Scholar] [CrossRef] [PubMed]
- Stufkens, S.A.; Knupp, M.; Horisberger, M.; Lampert, C.; Hintermann, B. Cartilage lesions and the development of osteoarthritis after internal fixation of ankle fractures: A prospective study. J. Bone Joint Surg. Am. 2010, 92, 279–286. [Google Scholar] [CrossRef] [Green Version]
- Horisberger, M.; Valderrabano, V.; Hintermann, B. Posttraumatic ankle osteoarthritis after ankle-related fractures. J. Orthop. Trauma 2009, 23, 60–67. [Google Scholar] [CrossRef]
- Saltzman, C.L.; Salamon, M.L.; Blanchard, G.M.; Huff, T.; Hayes, A.; Buckwalter, J.A.; Amendola, A. Epidemiology of ankle arthritis: Report of a consecutive series of 639 patients from a tertiary orthopaedic center. Iowa Orthop. J. 2005, 25, 44–46. [Google Scholar]
- Harrington, K.D. Degenerative arthritis of the ankle secondary to long-standing lateral ligament instability. J. Bone Joint Surg. Am. 1979, 61, 354–361. [Google Scholar] [CrossRef]
- Lindsjö, U. Operative treatment of ankle fractures. Acta Orthop. Scand Suppl. 1981, 189, 1–131. [Google Scholar] [CrossRef] [Green Version]
- Kraeutler, M.J.; Kaenkumchorn, T.; Pascual-Garrido, C.; Wimmer, M.A.; Chubinskaya, S. Peculiarities in Ankle Cartilage. Cartilage 2017, 8, 12–18. [Google Scholar] [CrossRef] [Green Version]
- Kuettner, K.E.; Cole, A.A. Cartilage degeneration in different human joints. Osteoarthr. Cartil. 2005, 13, 93–103. [Google Scholar] [CrossRef] [PubMed] [Green Version]
- Treppo, S.; Koepp, H.; Quan, E.C.; Cole, A.A.; Kuettner, K.E.; Grodzinsky, A.J. Comparison of biomechanical and biochemical properties of cartilage from human knee and ankle pairs. J. Orthop. Res. 2000, 18, 739–748. [Google Scholar] [CrossRef] [PubMed]
- Adams, S.B.; Setton, L.A.; Bell, R.D.; Easley, M.E.; Huebner, J.L.; Stabler, T.; Kraus, V.B.; Leimer, E.M.; Olson, S.A.; Nettles, D.L. Inflammatory Cytokines and Matrix Metalloproteinases in the Synovial Fluid After Intra-articular Ankle Fracture. Foot Ankle Int. 2015, 36, 1264–1271. [Google Scholar] [CrossRef] [PubMed]
- Tochigi, Y.; Rudert, M.J.; McKinley, T.O.; Pedersen, D.R.; Brown, T.D. Correlation of dynamic cartilage contact stress aberrations with severity of instability in ankle incongruity. J. Orthop. Res. 2008, 26, 1186–1193. [Google Scholar] [CrossRef] [Green Version]
- Buckwalter, J.A.; Anderson, D.D.; Brown, T.D.; Tochigi, Y.; Martin, J.A. The Roles of Mechanical Stresses in the Pathogenesis of Osteoarthritis: Implications for Treatment of Joint Injuries. Cartilage 2013, 4, 286–294. [Google Scholar] [CrossRef] [PubMed]
- Tochigi, Y.; Buckwalter, J.A.; Martin, J.A.; Hillis, S.L.; Zhang, P.; Vaseenon, T.; Lehman, A.D.; Brown, T.D. Distribution and progression of chondrocyte damage in a whole-organ model of human ankle intra-articular fracture. J. Bone Joint Surg. Am. 2011, 93, 533–539. [Google Scholar] [CrossRef] [PubMed] [Green Version]
- Day, G.A.; Swanson, C.E.; Hulcombe, B.G. Operative treatment of ankle fractures: A minimum ten-year follow-up. Foot Ankle Int. 2001, 22, 102–106. [Google Scholar] [CrossRef]
- Hintermann, B.; Regazzoni, P.; Lampert, C.; Stutz, G.; Gächter, A. Arthroscopic findings in acute fractures of the ankle. J. Bone Joint Surg. Br. 2000, 82, 345–351. [Google Scholar] [CrossRef]
- Nilsson, G.M.; Jonsson, K.; Ekdahl, C.S.; Eneroth, M. Unsatisfactory outcome following surgical intervention of ankle fractures. Foot Ankle Surg. 2005, 11, 11–16. [Google Scholar] [CrossRef]
- Martijn, H.A.; Lambers, K.T.A.; Dahmen, J.; Stufkens, S.A.S.; Kerkhoffs, G.M.M.J. High incidence of (osteo)chondral lesions in ankle fractures. Knee Surg. Sports Traumatol. Arthrosc. 2021, 29, 1523–1534. [Google Scholar] [CrossRef]
- Toth, M.J.; Yoon, R.S.; Liporace, F.A.; Koval, K.J. What’s new in ankle fractures. Injury 2017, 48, 2035–2041. [Google Scholar] [CrossRef] [PubMed]
- McKinley, T.O.; Rudert, M.J.; Tochigi, Y.; Pedersen, D.R.; Koos, D.C.; Baer, T.E.; Brown, T.D. Incongruity-dependent changes of contact stress rates in human cadaveric ankles. J. Orthop. Trauma 2006, 20, 732–738. [Google Scholar] [CrossRef] [PubMed]
- McKinley, T.O.; Tochigi, Y.; Rudert, M.J.; Brown, T.D. The effect of incongruity and instability on contact stress directional gradients in human cadaveric ankles. Osteoarthr. Cartil. 2008, 16, 1363–1369. [Google Scholar] [CrossRef] [Green Version]
- Verhage, S.M.; Hoogendoorn, J.M.; Krijnen, P.; Schipper, I.B. When and how to operate the posterior malleolus fragment in trimalleolar fractures: A systematic literature review. Arch. Orthop. Trauma Surg. 2018, 138, 1213–1222. [Google Scholar] [CrossRef]
- Valderrabano, V.; Hintermann, B.; Horisberger, M.; Fung, T.S. Ligamentous posttraumatic ankle osteoarthritis. Am. J. Sports Med. 2006, 34, 612–620. [Google Scholar] [CrossRef] [PubMed]
- Hashimoto, T.; Inokuchi, S. A kinematic study of ankle joint instability due to rupture of the lateral ligaments. Foot Ankle Int. 1997, 18, 729–734. [Google Scholar] [CrossRef]
- Yi, Y.; Lee, W. Peri-talar re-alignment osteotomy for joint preservation in asymmetrical ankle osteoarthritis. EFORT Open Rev. 2017, 2, 324–331. [Google Scholar] [CrossRef]
- Nwankwo, E.C., Jr.; Labaran, L.A.; Athas, V.; Olson, S.; Adams, S.B. Pathogenesis of Posttraumatic Osteoarthritis of the Ankle. Orthop. Clin. N. Am. 2019, 50, 529–537. [Google Scholar] [CrossRef]
- Xie, K.; Jiang, X.; Han, X.; Ai, S.; Qu, X.; Yan, M. Association between Knee Malalignment and Ankle Degeneration in Patients with End-Stage Knee Osteoarthritis. J. Arthroplast. 2018, 33, 3694–3698.e1. [Google Scholar] [CrossRef]
- Suero, E.M.; Sabbagh, Y.; Westphal, R.; Hawi, N.; Citak, M.; Wahl, F.M.; Krettek, C.; Liodakis, E. Effect of medial opening wedge high tibial osteotomy on intraarticular knee and ankle contact pressures. J. Orthop. Res. 2015, 33, 598–604. [Google Scholar] [CrossRef]
- Adams, S.B.; Leimer, E.M.; Setton, L.A.; Bell, R.D.; Easley, M.E.; Huebner, J.L.; Stabler, T.V.; Kraus, V.B.; Olson, S.A.; Nettles, D.L. Inflammatory Microenvironment Persists After Bone Healing in Intra-articular Ankle Fractures. Foot Ankle Int. 2017, 38, 479–484. [Google Scholar] [CrossRef]
- Furman, B.D.; Kimmerling, K.A.; Zura, R.D.; Reilly, R.M.; Zlowodzki, M.P.; Huebner, J.L.; Kraus, V.B.; Guilak, F.; Olson, S.A. Articular ankle fracture results in increased synovitis, synovial macrophage infiltration, and synovial fluid concentrations of inflammatory cytokines and chemokines. Arthritis Rheumatol. 2015, 67, 1234–1239. [Google Scholar] [CrossRef] [PubMed] [Green Version]
- Gelber, A.C.; Hochberg, M.C.; Mead, L.A.; Wang, N.Y.; Wigley, F.M.; Klag, M.J. Joint injury in young adults and risk for subsequent knee and hip osteoarthritis. Ann. Intern. Med. 2000, 133, 321–328. [Google Scholar] [CrossRef]
- Loeser, R.F. Aging and osteoarthritis. Curr. Opin. Rheumatol. 2011, 23, 492–496. [Google Scholar] [CrossRef] [PubMed] [Green Version]
- Jeon, O.H.; David, N.; Campisi, J.; Elisseeff, J.H. Senescent cells and osteoarthritis: A painful connection. J. Clin. Investig. 2018, 128, 1229–1237. [Google Scholar] [CrossRef] [PubMed]
- Martin, J.A.; Buckwalter, J.A. The role of chondrocyte senescence in the pathogenesis of osteoarthritis and in limiting cartilage repair. J. Bone Joint Surg. Am. 2003, 85-A, 106–110. [Google Scholar] [CrossRef]


Publisher’s Note: MDPI stays neutral with regard to jurisdictional claims in published maps and institutional affiliations. |
© 2021 by the authors. Licensee MDPI, Basel, Switzerland. This article is an open access article distributed under the terms and conditions of the Creative Commons Attribution (CC BY) license (https://creativecommons.org/licenses/by/4.0/).
Share and Cite
Herrera-Pérez, M.; González-Martín, D.; Vallejo-Márquez, M.; Godoy-Santos, A.L.; Valderrabano, V.; Tejero, S. Ankle Osteoarthritis Aetiology. J. Clin. Med. 2021, 10, 4489. https://doi.org/10.3390/jcm10194489
Herrera-Pérez M, González-Martín D, Vallejo-Márquez M, Godoy-Santos AL, Valderrabano V, Tejero S. Ankle Osteoarthritis Aetiology. Journal of Clinical Medicine. 2021; 10(19):4489. https://doi.org/10.3390/jcm10194489
Chicago/Turabian StyleHerrera-Pérez, Mario, David González-Martín, Mercedes Vallejo-Márquez, Alexandre L. Godoy-Santos, Victor Valderrabano, and Sergio Tejero. 2021. "Ankle Osteoarthritis Aetiology" Journal of Clinical Medicine 10, no. 19: 4489. https://doi.org/10.3390/jcm10194489
APA StyleHerrera-Pérez, M., González-Martín, D., Vallejo-Márquez, M., Godoy-Santos, A. L., Valderrabano, V., & Tejero, S. (2021). Ankle Osteoarthritis Aetiology. Journal of Clinical Medicine, 10(19), 4489. https://doi.org/10.3390/jcm10194489

