The Effect of Selective Retina Therapy with Automatic Real-Time Feedback-Controlled Dosimetry for Chronic Central Serous Chorioretinopathy: A Randomized, Open-Label, Controlled Clinical Trial
Abstract
1. Introduction
2. Methods
2.1. Participant Enrollment
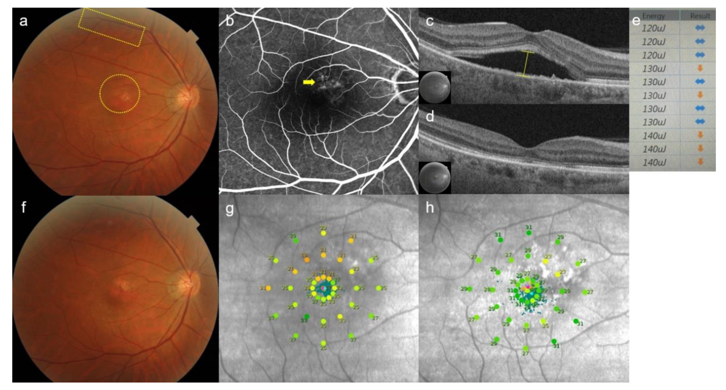
2.2. SRT Procedure
2.3. Clinical Outcome Evaluations
2.4. Statistical Analysis
3. Results
4. Discussion
5. Conclusions
Author Contributions
Funding
Institutional Review Board Statement
Informed Consent Statement
Data Availability Statement
Acknowledgments
Conflicts of Interest
References
- Nicholson, B.; Noble, J.; Forooghian, F.; Meyerle, C. Central serous chorioretinopathy: Update on pathophysiology and treatment. Surv. Ophthalmol. 2013, 58, 103–126. [Google Scholar] [CrossRef] [PubMed]
- Wang, M.; Munch, I.C.; Hasler, P.W.; Prünte, C.; Larsen, M. Central serous chorioretinopathy. Acta Ophthalmol. 2008, 86, 126–145. [Google Scholar] [CrossRef] [PubMed]
- Daruich, A.; Matet, A.; Dirani, A.; Bousquet, E.; Zhao, M.; Farman, N.; Jaisser, F.; Behar-Cohen, F. Central serous chorioretinopathy: Recent findings and new physiopathology hypothesis. Prog. Retin. Eye Res. 2015, 48, 82–118. [Google Scholar] [CrossRef] [PubMed]
- Singh, S.R.; Matet, A.; van Dijk, E.H.C.; Daruich, A.; Fauser, S.; Yzer, S.; Peiretti, E.; Sivaprasad, S.; Lotery, A.J.; Boon, C.J.F.; et al. Discrepancy in current central serous chorioretinopathy classification. Br. J. Ophthalmol. 2019, 103, 737–742. [Google Scholar] [CrossRef]
- Piccolino, F.C.; de la Longrais, R.R.; Ravera, G.; Eandi, C.M.; Ventre, L.; Abdollahi, A.; Manea, M. The foveal photoreceptor layer and visual acuity loss in central serous chorioretinopathy. Am. J. Ophthalmol. 2005, 139, 87–99. [Google Scholar] [CrossRef]
- Klein, M.L.; Van Buskirk, E.M.; Friedman, E.; Gragoudas, E.; Chandra, S. Experience with nontreatment of central serous choroidopathy. Arch. Ophthalmol. 1974, 91, 247–250. [Google Scholar] [CrossRef]
- Mehta, P.H.; Meyerle, C.; Sivaprasad, S.; Boon, C.; Chhablani, J. Preferred practice pattern in central serous chorioretinopathy. Br. J. Ophthalmol. 2017, 101, 587–590. [Google Scholar] [CrossRef]
- Loo, R.H.; Scott, I.U.; Flynn, H.W., Jr.; Gass, J.D.; Murray, T.G.; Lewis, M.L.; Rosenfeld, P.J.; Smiddy, W.E. Factors associated with reduced visual acuity during long-term follow-up of patients with idiopathic central serous chorioretinopathy. Retina 2002, 22, 19–24. [Google Scholar] [CrossRef]
- Leaver, P.; Williams, C. Argon laser photocoagulation in the treatment of central serous retinopathy. Br. J. Ophthalmol. 1979, 63, 674–677. [Google Scholar] [CrossRef]
- Cardillo Piccolino, F.; Eandi, C.M.; Ventre, L.; Rigault de la Longrais, R.C.; Grignolo, F.M. Photodynamic therapy for chronic central serous chorioretinopathy. Retina 2003, 23, 752–763. [Google Scholar] [CrossRef]
- Erikitola, O.C.; Crosby-Nwaobi, R.; Lotery, A.J.; Sivaprasad, S. Photodynamic therapy for central serous chorioretinopathy. Eye 2014, 28, 944–957. [Google Scholar] [CrossRef]
- Chan, W.M.; Lai, T.Y.; Liu, D.T.; Lam, D.S. Intravitreal bevacizumab (avastin) for choroidal neovascularization secondary to central serous chorioretinopathy, secondary to punctate inner choroidopathy, or of idiopathic origin. Am. J. Ophthalmol. 2007, 143, 977–983. [Google Scholar] [CrossRef]
- Torres-Soriano, M.E.; García-Aguirre, G.; Kon-Jara, V.; Ustariz-Gonzáles, O.; Abraham-Marín, M.; Ober, M.D.; Quiroz-Mercado, H. A pilot study of intravitreal bevacizumab for the treatment of central serous chorioretinopathy (case reports). Graefes Arch. Clin. Exp. Ophthalmol. 2008, 246, 1235–1239. [Google Scholar] [CrossRef]
- Chhablani, J.; Kozak, I.; Pichi, F.; Chenworth, M.; Berrocal, M.H.; Bedi, R.; Singh, R.P.; Wu, L.; Meyerle, C.; Casella, A.M.; et al. Outcomes of Treatment of Choroidal Neovascularization Associated with Central Serous Chorioretinopathy with Intravitreal Antiangiogenic Agents. Retina 2015, 35, 2489–2497. [Google Scholar] [CrossRef]
- Chhablani, J.; Roh, Y.J.; Jobling, A.I.; Fletcher, E.L.; Lek, J.J.; Bansal, P.; Guymer, R.; Luttrull, J.K. Restorative retinal laser therapy: Present state and future directions. Surv. Ophthalmol. 2018, 63, 307–328. [Google Scholar] [CrossRef]
- Brinkmann, R.; Roider, J.; Birngruber, R. Selective retina therapy (SRT): A review on methods, techniques, preclinical and first clinical results. Bull. Soc. Belg. Ophtalmol. 2006, 302, 51–69. [Google Scholar]
- Richert, E.; Koinzer, S.; Tode, J.; Schlott, K.; Brinkmann, R.; Hillenkamp, J.; Klettner, A.; Roider, J. Release of Different Cell Mediators During Retinal Pigment Epithelium Regeneration Following Selective Retina Therapy. Investig. Ophthalmol. Vis. Sci. 2018, 59, 1323–1331. [Google Scholar] [CrossRef]
- Treumer, F.; Klettner, A.; Baltz, J.; Hussain, A.A.; Miura, Y.; Brinkmann, R.; Roider, J.; Hillenkamp, J. Vectorial release of matrix metalloproteinases (MMPs) from porcine RPE-choroid explants following selective retina therapy (SRT): Towards slowing the macular ageing process. Exp. Eye Res. 2012, 97, 63–72. [Google Scholar] [CrossRef]
- Klatt, C.; Saeger, M.; Oppermann, T.; Pörksen, E.; Treumer, F.; Hillenkamp, J.; Fritzer, E.; Brinkmann, R.; Birngruber, R.; Roider, J. Selective retina therapy for acute central serous chorioretinopathy. Br. J. Ophthalmol. 2011, 95, 83–88. [Google Scholar] [CrossRef]
- Framme, C.; Walter, A.; Berger, L.; Prahs, P.; Alt, C.; Theisen-Kunde, D.; Kowal, J.; Brinkmann, R. Selective Retina Therapy in Acute and Chronic-Recurrent Central Serous Chorioretinopathy. Ophthalmologica 2015, 234, 177–188. [Google Scholar] [CrossRef]
- Kang, S.; Park, Y.G.; Kim, J.R.; Seifert, E.; Theisen-Kunde, D.; Brinkmann, R.; Roh, Y.J. Selective Retina Therapy in Patients with Chronic Central Serous Chorioretinopathy: A Pilot Study. Medicine 2016, 95, e2524. [Google Scholar] [CrossRef] [PubMed]
- Park, Y.G.; Kang, S.; Kim, M.; Yoo, N.; Roh, Y.J. Selective retina therapy with automatic real-time feedback-controlled dosimetry for chronic central serous chorioretinopathy in Korean patients. Graefes Arch. Clin. Exp. Ophthalmol. 2017, 255, 1375–1383. [Google Scholar] [CrossRef] [PubMed]
- Büttner, M.; Luger, B.; Abou Moulig, W.; Junker, B.; Framme, C.; Jacobsen, C.; Knoll, K.; Pielen, A. Selective retina therapy (SRT) in patients with therapy refractory persistent acute central serous chorioretinopathy (CSC): 3 months functional and morphological results. Graefes Arch. Clin. Exp. Ophthalmol. 2020, 259, 1401–1410. [Google Scholar] [CrossRef] [PubMed]
- Park, Y.G.; Kim, J.R.; Kang, S.; Seifert, E.; Theisen-Kunde, D.; Brinkmann, R.; Roh, Y.J. Safety and efficacy of selective retina therapy (SRT) for the treatment of diabetic macular edema in Korean patients. Graefes Arch. Clin. Exp. Ophthalmol. 2016, 254, 1703–1713. [Google Scholar] [CrossRef]
- Kim, M.; Park, Y.G.; Roh, Y.J. One-Year Functional and Anatomical Outcomes After Selective Retina Therapy with Real-Time Feedback-Controlled Dosimetry in Patients with Intermediate Age-Related Macular Degeneration: A Pilot Study. Lasers Surg Med. 2021, 53, 499–513. [Google Scholar] [CrossRef]
- Schuele, G.; Elsner, H.; Framme, C.; Roider, J.; Birngruber, R.; Brinkmann, R. Optoacoustic real-time dosimetry for selective retina treatment. J. Biomed. Opt. 2005, 10, 064022. [Google Scholar] [CrossRef][Green Version]
- Framme, C.; Walter, A.; Prahs, P.; Theisen-Kunde, D.; Brinkmann, R. Comparison of threshold irradiances and online dosimetry for selective retina treatment (SRT) in patients treated with 200 nanoseconds and 1.7 microseconds laser pulses. Lasers Surg. Med. 2008, 40, 616–624. [Google Scholar] [CrossRef]
- Seifert, E.; Tode, J.; Pielen, A.; Theisen-Kunde, D.; Framme, C.; Roider, J.; Miura, Y.; Birngruber, R.; Brinkmann, R. Selective retina therapy: Toward an optically controlled automatic dosing. J. Biomed. Opt. 2018, 23, 1–12. [Google Scholar] [CrossRef]
- Park, Y.G.; Seifert, E.; Roh, Y.J.; Theisen-Kunde, D.; Kang, S.; Brinkmann, R. Tissue response of selective retina therapy by means of a feedback-controlled energy ramping mode. Clin. Exp. Ophthalmol. 2014, 42, 846–855. [Google Scholar] [CrossRef]
- Kim, H.D.; Jang, S.Y.; Lee, S.H.; Kim, Y.S.; Ohn, Y.H.; Brinkmann, R.; Park, T.K. Retinal Pigment Epithelium Responses to Selective Retina Therapy in Mouse Eyes. Investig. Ophthalmol. Vis. Sci. 2016, 57, 3486–3495. [Google Scholar] [CrossRef]
- Lee, W.J.; Lee, J.H.; Lee, B.R. Fundus autofluorescence imaging patterns in central serous chorioretinopathy according to chronicity. Eye 2016, 30, 1336–1342. [Google Scholar] [CrossRef]
- Van Rijssen, T.J.; van Dijk, E.H.C.; Yzer, S.; Ohno-Matsui, K.; Keunen, J.E.E.; Schlingemann, R.O.; Sivaprasad, S.; Querques, G.; Downes, S.M.; Fauser, S.; et al. Central serous chorioretinopathy: Towards an evidence-based treatment guideline. Prog. Retin. Eye Res. 2019, 73, 100770. [Google Scholar] [CrossRef]
- Daruich, A.; Matet, A.; Marchionno, L.; De Azevedo, J.D.; Ambresin, A.; Mantel, I.; Behar-Cohen, F. Acute Central Serous Chorioretinopathy: Factors Influencing Episode Duration. Retina 2017, 37, 1905–1915. [Google Scholar] [CrossRef]
- Van Dijk, E.H.C.; Fauser, S.; Breukink, M.B.; Blanco-Garavito, R.; Groenewoud, J.M.M.; Keunen, J.E.E.; Peters, P.J.H.; Dijkman, G.; Souied, E.H.; MacLaren, R.E.; et al. Half-Dose Photodynamic Therapy versus High-Density Subthreshold Micropulse Laser Treatment in Patients with Chronic Central Serous Chorioretinopathy: The PLACE Trial. Ophthalmology 2018, 125, 1547–1555. [Google Scholar] [CrossRef]
- Minhee, K.; Park, Y.G.; Kang, S.; Roh, Y.J. Comparison of the tissue response of selective retina therapy with or without real-time feedback-controlled dosimetry. Graefes Arch. Clin. Exp. Ophthalmol. 2018, 256, 1639–1651. [Google Scholar] [CrossRef]
- Yasui, A.; Yamamoto, M.; Hirayama, K.; Shiraki, K.; Theisen-Kunde, D.; Brinkmann, R.; Miura, Y.; Kohno, T. Retinal sensitivity after selective retina therapy (SRT) on patients with central serous chorioretinopathy. Graefes Arch. Clin. Exp. Ophthalmol. 2017, 255, 243–254. [Google Scholar] [CrossRef]
- Kyo, A.; Yamamoto, M.; Hirayama, K.; Kohno, T.; Theisen-Kunde, D.; Brinkmann, R.; Miura, Y.; Honda, S. Factors affecting resolution of subretinal fluid after selective retina therapy for central serous chorioretinopathy. Sci. Rep. 2021, 11, 8973. [Google Scholar] [CrossRef]
- Unverzagt, S.; Prondzinsky, R.; Peinemann, F. Single-center trials tend to provide larger treatment effects than multicenter trials: A systematic review. J. Clin. Epidemiol. 2013, 66, 1271–1280. [Google Scholar] [CrossRef]







| Control Group (n = 22) | SRT Group (n = 22) | p-Value | |
|---|---|---|---|
| Age (years) | 47.1 ± 9.1 | 43.6 ± 7.7 | 0.181 |
| Sex, male/female (n) | 19/3 | 17/5 | 0.696 |
| Laterality, OD/OS (n) | 14/8 | 13/9 | 1.000 |
| Type of leakages by FFA (n, focal: diffuse) | 8:14 | 6:16 | 1.000 |
| FAF pattern at SRD (n, hyper-/hypo-autofluorescent) | 13/9 | 14/8 | 0.757 |
| Duration of symptom (months) | 12.9 ± 8.1 | 13.7 ± 12.7 | 0.822 |
| Prior intravitreal anti-VEGF injection, n (%) | 10 (45.5%) | 9 (40.9%) | 1.000 |
| BCVA (LogMAR) | 0.20 ± 0.14 | 0.25 ± 0.22 | 0.428 |
| Central macular thickness (μm) | 316.1 ± 94.0 | 335.0 ± 110.5 | 0.545 |
| Subretinal fluid height (μm) | 186.5 ± 84.1 | 173.4 ± 88.6 | 0.617 |
| Central choroidal thickness (μm) | 369.8 ± 76.2 | 351.4 ± 63.0 | 0.566 |
| Mean retinal sensitivity (dB) | 19.3 ± 3.8 | 19.5 ± 3.7 | 0.904 |
| Control Group (n = 21) | SRT Group (n = 22) | p-Value | |
|---|---|---|---|
| Mean SRF height (μm) | 158.5 ± 115.8 | 79.2 ± 130.4 | 0.041 * |
| Mean CMT (μm) | 298.6 ± 91.9 | 258.2 ± 121.9 | 0.228 |
| Central choroidal thickness (μm) | 373.4 ± 71.8 | 348.1 ± 58.4 | 0.211 |
| BCVA (LogMAR) | 0.18 ± 0.14 | 0.23 ± 0.23 | 0.344 |
| Mean retinal sensitivity (DB) | 20.0 ± 4.2 | 22.3 ± 4.0 | 0.085 |
| Complete resolution rate of SRF (%) | 5/21 (23.8%) | 14/22 (63.6%) | 0.009 * |
| SRF Height (μm) | CMT (μm) | CCT (μm) | BCVA (LogMAR) | |||||
|---|---|---|---|---|---|---|---|---|
| Control Group | SRT Group | Control Group | SRT Group | Control Group | SRT Group | Control Group | SRT Group | |
| Baseline | 186.5 ± 84.1 | 173.4 ± 88.6 | 316.1 ± 94.0 | 335.0 ± 110.5 | 369.8 ± 76.2 | 351.4 ± 62.9 | 0.20 ± 0.14 | 0.25 ± 0.22 |
| 3 weeks (p-value) | 153.0 ± 95.2 (0.036 *) | 78.5 ± 89.8 (<0.001 *) | 293.2 ± 79.5 (0.109) | 261.0 ± 81.5 (<0.001 *) | 365.1 ± 70.4 (0.298) | 354.3 ± 59.9 (0.361) | 0.20 ± 0.14 (0.266) | 0.25 ± 0.24 (1.000) |
| 6 weeks (p-value) | 158.5 ± 115.8 (0.137) | 79.2 ± 130.4 (<0.001 *) | 298.6 ± 91.9 (0.243) | 258.2 ± 121.9 (0.004 *) | 373.4 ± 71.8 (0.506) | 348.1 ± 58.4 (0.324) | 0.18 ± 0.14 (0.186) | 0.23 ± 0.23 (0.549) |
| Mean SRF Height (μm) | Mean CMT (μm) | Mean CCT (μm) | Mean BCVA (LogMAR) | |||||
|---|---|---|---|---|---|---|---|---|
| Crossover Group | Retreatment Group | Crossover Group | Retreatment Group | Crossover Group | Retreament Group | Crossover Group | Retreatment Group | |
| 6 weeks | 213.4 ± 83.1 | 217.9 ± 128.3 | 330.9 ± 85.7 | 369.6 ± 145.1 | 373.6 ± 83.9 | 344.1 ± 53.5 | 0.20 ± 0.15 | 0.41 ± 0.26 |
| 12 weeks (p-value) | 52.7 ± 82.9 (<0.001 *) | 138.1 ± 48.8 (0.153) | 225.8 ± 62.1 (0.002 *) | 333.8 ± 161.9 (0.474) | 371.0 ± 83.8 (0.535) | 347.1 ± 43.5 (0.730) | 0.16 ± 0.14 (0.028 *) | 0.40 ± 0.28 (0.351) |
Publisher’s Note: MDPI stays neutral with regard to jurisdictional claims in published maps and institutional affiliations. |
© 2021 by the authors. Licensee MDPI, Basel, Switzerland. This article is an open access article distributed under the terms and conditions of the Creative Commons Attribution (CC BY) license (https://creativecommons.org/licenses/by/4.0/).
Share and Cite
Lee, J.-y.; Kim, M.-h.; Jeon, S.-h.; Lee, S.-h.; Roh, Y.-j. The Effect of Selective Retina Therapy with Automatic Real-Time Feedback-Controlled Dosimetry for Chronic Central Serous Chorioretinopathy: A Randomized, Open-Label, Controlled Clinical Trial. J. Clin. Med. 2021, 10, 4295. https://doi.org/10.3390/jcm10194295
Lee J-y, Kim M-h, Jeon S-h, Lee S-h, Roh Y-j. The Effect of Selective Retina Therapy with Automatic Real-Time Feedback-Controlled Dosimetry for Chronic Central Serous Chorioretinopathy: A Randomized, Open-Label, Controlled Clinical Trial. Journal of Clinical Medicine. 2021; 10(19):4295. https://doi.org/10.3390/jcm10194295
Chicago/Turabian StyleLee, Ji-young, Min-hee Kim, Seung-hee Jeon, Seung-hoon Lee, and Young-jung Roh. 2021. "The Effect of Selective Retina Therapy with Automatic Real-Time Feedback-Controlled Dosimetry for Chronic Central Serous Chorioretinopathy: A Randomized, Open-Label, Controlled Clinical Trial" Journal of Clinical Medicine 10, no. 19: 4295. https://doi.org/10.3390/jcm10194295
APA StyleLee, J.-y., Kim, M.-h., Jeon, S.-h., Lee, S.-h., & Roh, Y.-j. (2021). The Effect of Selective Retina Therapy with Automatic Real-Time Feedback-Controlled Dosimetry for Chronic Central Serous Chorioretinopathy: A Randomized, Open-Label, Controlled Clinical Trial. Journal of Clinical Medicine, 10(19), 4295. https://doi.org/10.3390/jcm10194295

