Comparison of the Uptake of Hepatocellular Carcinoma on Pre-Therapeutic MDCT, CACT, and SPECT/CT, and the Correlation with Post-Therapeutic PET/CT in Patients Undergoing Selective Internal Radiation Therapy
Abstract
:1. Introduction
2. Materials and Methods
2.1. Study Population
2.2. Image Acquisition
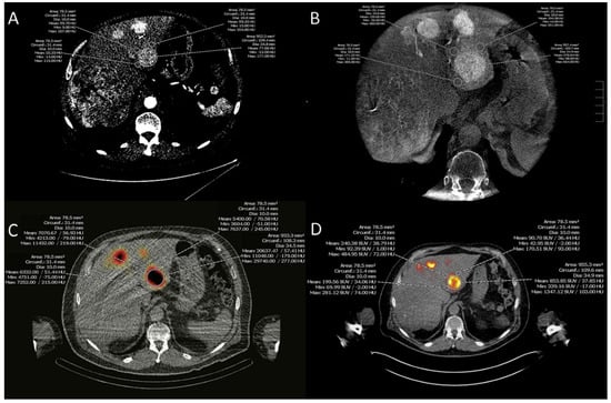
2.2.1. MDCT
2.2.2. CACT
2.2.3. SPECT/CT
2.2.4. PET/CT
2.3. Image Analysis
2.4. Statistics
3. Results
3.1. Study Population
3.2. Image Acquisition
3.3. Image Analysis
4. Discussion
5. Conclusions
Author Contributions
Funding
Institutional Review Board Statement
Informed Consent Statement
Data Availability Statement
Conflicts of Interest
References
- Jakobs, T.F.; Hoffmann, R.-T.; Poepperl, G.; Schmitz, A.; Lutz, J.; Koch, W.; Tatsch, K.; Lubiensky, A.; Reiser, M.F.; Helmberger, T. Mid-term results in otherwise treatment refractory primary or secondary liver confined tumours treated with selective internal radiation therapy (SIRT) using 90Yttrium resin-microspheres. Eur. Radiol. 2007, 17, 1320–1330. [Google Scholar] [CrossRef]
- Forner, A.; Reig, M.E.; Rodriguez de Lope, C.; Bruix, J. Current Strategy for Staging and Treatment: The BCLC Update and Future Prospects. Semin. Liver Dis. 2010, 30, 61–74. [Google Scholar] [CrossRef]
- Chow, P.K.H.; Gandhi, M.; Tan, S.-B.; Khin, M.W.; Khasbazar, A.; Ong, J.; Choo, S.P.; Cheow, P.C.; Chotipanich, C.; Lim, K.; et al. SIRveNIB: Selective Internal Radiation Therapy Versus Sorafenib in Asia-Pacific Patients With Hepatocellular Carcinoma. J. Clin. Oncol. 2018, 36, 1913–1921. [Google Scholar] [CrossRef]
- Vilgrain, V.; Pereira, H.; Assenat, E.; Guiu, B.; Ilonca, A.D.; Pageaux, G.-P.; Sibert, A.; Bouattour, M.; Lebtahi, R.; Allaham, W.; et al. Efficacy and safety of selective internal radiotherapy with yttrium-90 resin microspheres compared with sorafenib in locally advanced and inoperable hepatocellular carcinoma (SARAH): An open-label randomised controlled phase 3 trial. Lancet Oncol. 2017, 18, 1624–1636. [Google Scholar] [CrossRef]
- Ricke, J.; Klümpen, H.J.; Amthauer, H.; Bargellini, I.; Bartenstein, P.; de Toni, E.N.; Gasbarrini, A.; Pech, M.; Peck-Radosavljevic, M.; Popovič, P.; et al. Impact of combined selective internal radiation therapy and sorafenib on survival in advanced hepatocellular carcinoma. J. Hepatol. 2019, 71, 1164–1174. [Google Scholar] [CrossRef]
- Garin, E.; Lenoir, L.; Edeline, J.; Laffont, S.; Mesbah, H.; Poree, P.; Sulpice, L.; Boudjema, K.; Mesbah, M.; Guillygomarc’h, A.; et al. Boosted selective internal radiation therapy with 90Y-loaded glass microspheres (B-SIRT) for hepatocellular carcinoma patients: A new personalized promising concept. Eur. J. Nucl. Med. Mol. Imaging 2013, 40, 1057–1068. [Google Scholar] [CrossRef] [PubMed] [Green Version]
- Toskich, B.B.; Liu, D.M. Y90 Radioembolization Dosimetry: Concepts for the Interventional Radiologist. Tec. Vas. Interv. Radiol. 2019, 22, 100–111. [Google Scholar] [CrossRef] [PubMed]
- Grosser, O.S.; Ruf, J.; Kupitz, D.; Pethe, A.; Ulrich, G.; Genseke, P.; Mohnike, K.; Pech, M.; Richter, W.S.; Ricke, J.; et al. Pharmacokinetics of 99mTc-MAA- and 99mTc-HSA-Microspheres Used in Preradioembolization Dosimetry: Influence on the Liver-Lung Shunt. J. Nucl. Med. 2016, 57, 925–927. [Google Scholar] [CrossRef] [PubMed] [Green Version]
- Ertreo, M.; Choi, H.; Field, D.; Lischalk, J.W.; Cohen, E.; Lynskey, G.E.; Caridi, T.; Buckey, D.; Unger, K.; Kim, A.Y. Comparison of Cone-Beam Tomography and Cross-Sectional Imaging for Volumetric and Dosimetric Calculations in Resin Yttrium-90 Radioembolization. Cardiovasc. Intervent. Radiol. 2018, 41, 1857–1866. [Google Scholar] [CrossRef] [PubMed]
- O’Connor, P.J.; Pasik, S.D.; van der Bom, I.M.; Bishay, V.; Radaelli, A.; Kim, E. Feasibility of Yttrium-90 Radioembolization Dose Calculation Utilizing Intra-procedural Open Trajectory Cone Beam CT. Cardiovasc. Intervent. Radiol. 2020, 43, 295–301. [Google Scholar] [CrossRef] [PubMed]
- Jafargholi Rangraz, E.; Coudyzer, W.; Maleux, G.; Baete, K.; Deroose, C.M.; Nuyts, J. Multi-modal image analysis for semi-automatic segmentation of the total liver and liver arterial perfusion territories for radioembolization. EJNMMI Res. 2019, 9, 19. [Google Scholar] [CrossRef]
- Reiner, C.S.; Goetti, R.; Burger, I.A.; Fischer, M.A.; Frauenfelder, T.; Knuth, A.; Pfammatter, T.; Schaefer, N.; Alkadhi, H. Liver Perfusion Imaging in Patients with Primary and Metastatic Liver Malignancy. Acad. Radiol. 2012, 19, 613–621. [Google Scholar] [CrossRef] [PubMed]
- Spahr, N.; Schilling, P.; Thoduka, S.; Abolmaali, N.; Schenk, A. Predictive SIRT dosimetry based on a territorial model. EJNMMI Phys. 2017, 4, 25. [Google Scholar] [CrossRef] [PubMed] [Green Version]
- Jones, A.K.; Mahvash, A. Evaluation of the potential utility of flat panel CT for quantifying relative contrast enhancement: Potential utility of FPCT for quantifying relative enhancement. Med Phys. 2012, 39, 4149–4154. [Google Scholar] [CrossRef] [PubMed]
- Meyer, B.C.; Frericks, B.B.; Voges, M.; Borchert, M.; Martus, P.; Justiz, J.; Wolf, K.-J.; Wacker, F.K. Visualization of Hypervascular Liver Lesions During TACE: Comparison of Angiographic C-Arm CT and MDCT. Am. J. Roentgenol. 2008, 190, W263–W269. [Google Scholar] [CrossRef]
- Lencioni, R.; Llovet, J. Modified RECIST (mRECIST) Assessment for Hepatocellular Carcinoma. Semin. Liver Dis. 2010, 30, 52–60. [Google Scholar] [CrossRef] [PubMed] [Green Version]
- Ilhan, H.; Goritschan, A.; Paprottka, P.; Jakobs, T.F.; Wolfgang, P.F.; Todica, A.; Bartenstein, P.; Hacker, M.; Haug, A.R. Predictive Value of 99mTc-MAA SPECT for 90Y-Labeled Resin Microsphere Distribution in Radioembolization of Primary and Secondary Hepatic Tumors. J. Nucl. Med. 2015, 56, 1654–1660. [Google Scholar] [CrossRef] [PubMed] [Green Version]
- Kafrouni, M.; Allimant, C.; Fourcade, M.; Vauclin, S.; Guiu, B.; Goulart-Mariano, D.; Bouallegue, F.B. Analysis of differences between 99mTc-MAA SPECT- and 90Y-microsphere PET-based dosimetry for hepatocellular carcinoma selective internal radiation therapy. EJNMMI Res. 2019, 9, 62. [Google Scholar] [CrossRef] [PubMed] [Green Version]
- Hinrichs, J.B.; Shin, H.-O.; Kaercher, D.; Hasdemir, D.; Murray, T.; Kaireit, T.; Lutat, C.; Vogel, A.; Meyer, B.C.; Wacker, F.K.; et al. Parametric response mapping of contrast-enhanced biphasic CT for evaluating tumour viability of hepatocellular carcinoma after TACE. Eur. Radiol. 2016, 26, 3447–3455. [Google Scholar] [CrossRef]
- Martin, M.; Hocquelet, A.; Debordeaux, F.; Bordenave, L.; Blanc, J.-F.; Papadopoulos, P.; Lapuyade, B.; Trillaud, H.; Pinaquy, J.-B. Comparison of perfused volume segmentation between cone-beam CT and 99mTc-MAA SPECT/CT for treatment dosimetry before selective internal radiation therapy using 90Y-glass microspheres. Diagn. Interv. Imaging 2021, 102, 45–52. [Google Scholar] [CrossRef]
- Bapst, B.; Lagadec, M.; Breguet, R.; Vilgrain, V.; Ronot, M. Cone Beam Computed Tomography (CBCT) in the Field of Interventional Oncology of the Liver. Cardiovasc. Intervent. Radiol. 2016, 39, 8–20. [Google Scholar] [CrossRef] [PubMed]
- Henry, E.C.; Mawko, G.; Tonkopi, E.; Frampton, J.; Kehoe, S.; Boyd, D.; Abraham, R.; Gregoire, M.; O′Connell, K.; Kappadath, S.C. Quantification of the inherent radiopacity of glass microspheres for precision dosimetry in yttrium-90 radioembolization. Biomed. Phys. Eng. Express. 2019, 5, 055011. [Google Scholar] [CrossRef]
- Jiang, M.; Nowakowski, F.S.; Wang, J.; Heiba, S.; Zhang, Z.; Weintraub, J.; Kim, E.; Machac, J. Characterization of Extrahepatic Distribution of Tc-99m Macroaggregated Albumin in Hepatic Perfusion Imaging Studies Prior to Yttrium-90 Microsphere Therapy. Cancer Biother. Radiopharm. 2011, 26, 511–518. [Google Scholar] [CrossRef] [PubMed]
- Gates, V.L.; Marshall, K.G.; Salzig, K.; Williams, M.; Lewandowski, R.J.; Salem, R. Outpatient Single-Session Yttrium-90 Glass Microsphere Radioembolization. J. Vas. Interv. Radiol. 2014, 25, 266–270. [Google Scholar] [CrossRef]
- Gabr, A.; Kallini, J.R.; Gates, V.L.; Hickey, R.; Kulik, L.; Desai, K.; Thornburg, B.; Marshall, K.; Salzig, K.; Williams, M.; et al. Same-day 90Y radioembolization: Implementing a new treatment paradigm. Eur. J. Nucl. Med. Mol. Imaging 2016, 43, 2353–2359. [Google Scholar] [CrossRef]

| Study Population | |
|---|---|
| Gender (Male/Female) Age | 17/5 70 ± 9 |
| Child-Pugh-Score | |
| A | 17 |
| B | 5 |
| BCLC stage | |
| B | 11 |
| C | 11 |
| Primary liver disease | |
| ASH | 6 |
| NASH | 2 |
| HBV | 5 |
| HCV | 2 |
| PBC | 1 |
| C1-esterase-deficiency | 1 |
| Cryptogenic | 5 |
| Prior therapy | |
| Transarterial chemoembolization | 42 |
| Transarterial radioembolization | 7 |
| Transarterial chemosaturation | 1 |
| Microwave/radiofrequency ablation | 2 |
| Friedman-Test | Nemenyi-Posthoc-Test | |
|---|---|---|
| TBRMDCT/TBRCACT | p = 0.012 | |
| TBRMDCT/TBRSPECT/CT | p < 0.001 | p < 0.001 |
| TBRCACT/TBRSPECT/CT | p < 0.001 |
| TBRMDCT | TBRCACT | TBRSPECT/CT | TBRPET/CT | |
|---|---|---|---|---|
| TBRMDCT | - | r = 0.506 p = 0.003 * | r = 0.089 p = 0.632 | r = 0.116 p = 0.534 |
| TBRCACT | r = 0.506 p = 0.003 * | - | r = 0.498 p = 0.004 * | r = 0.365 p = 0.043 |
| TBRSPECT/CT | r = 0.089 p = 0.632 | r = 0.498 p = 0.004 * | - | r = 0.706 p < 0.001 * |
| TBRPET/CT | r = 0.116 p = 0.534 | r = 0.365 p = 0.043 | r = 0.706 p < 0.001 * | - |
Publisher’s Note: MDPI stays neutral with regard to jurisdictional claims in published maps and institutional affiliations. |
© 2021 by the authors. Licensee MDPI, Basel, Switzerland. This article is an open access article distributed under the terms and conditions of the Creative Commons Attribution (CC BY) license (https://creativecommons.org/licenses/by/4.0/).
Share and Cite
Meine, T.C.; Brunkhorst, T.; Werncke, T.; Schütze, C.; Vogel, A.; Kirstein, M.M.; Dewald, C.L.A.; Becker, L.S.; Maschke, S.K.; Kretschmann, N.; et al. Comparison of the Uptake of Hepatocellular Carcinoma on Pre-Therapeutic MDCT, CACT, and SPECT/CT, and the Correlation with Post-Therapeutic PET/CT in Patients Undergoing Selective Internal Radiation Therapy. J. Clin. Med. 2021, 10, 3837. https://doi.org/10.3390/jcm10173837
Meine TC, Brunkhorst T, Werncke T, Schütze C, Vogel A, Kirstein MM, Dewald CLA, Becker LS, Maschke SK, Kretschmann N, et al. Comparison of the Uptake of Hepatocellular Carcinoma on Pre-Therapeutic MDCT, CACT, and SPECT/CT, and the Correlation with Post-Therapeutic PET/CT in Patients Undergoing Selective Internal Radiation Therapy. Journal of Clinical Medicine. 2021; 10(17):3837. https://doi.org/10.3390/jcm10173837
Chicago/Turabian StyleMeine, Timo C., Thomas Brunkhorst, Thomas Werncke, Christian Schütze, Arndt Vogel, Martha M. Kirstein, Cornelia L. A. Dewald, Lena S. Becker, Sabine K. Maschke, Nils Kretschmann, and et al. 2021. "Comparison of the Uptake of Hepatocellular Carcinoma on Pre-Therapeutic MDCT, CACT, and SPECT/CT, and the Correlation with Post-Therapeutic PET/CT in Patients Undergoing Selective Internal Radiation Therapy" Journal of Clinical Medicine 10, no. 17: 3837. https://doi.org/10.3390/jcm10173837
APA StyleMeine, T. C., Brunkhorst, T., Werncke, T., Schütze, C., Vogel, A., Kirstein, M. M., Dewald, C. L. A., Becker, L. S., Maschke, S. K., Kretschmann, N., Wacker, F. K., Hinrichs, J. B., & Meyer, B. C. (2021). Comparison of the Uptake of Hepatocellular Carcinoma on Pre-Therapeutic MDCT, CACT, and SPECT/CT, and the Correlation with Post-Therapeutic PET/CT in Patients Undergoing Selective Internal Radiation Therapy. Journal of Clinical Medicine, 10(17), 3837. https://doi.org/10.3390/jcm10173837

