Melanoma Inhibitory Activity and Melanoma Inhibitory Activity 2 as Novel Immunohistochemical Markers of Oral Epithelial Dysplasia
Abstract
1. Introduction
2. Materials and Methods
2.1. Study Population
2.2. IHC Examination
2.3. Histopathological and IHC Evaluation
2.4. Statistical Analysis
3. Results
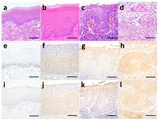
3.1. IHC Analysis of MIA Expression
3.2. IHC Analysis of MIA2 Expression
4. Discussion
5. Conclusions
Author Contributions
Funding
Institutional Review Board Statement
Informed Consent Statement
Data Availability Statement
Acknowledgments
Conflicts of Interest
References
- Reibel, J.; Gale, N.; Hille, J.; Hunt, J.L.; Lingen, M.; Muller, S.; Sloan, P.; Tilakaratne, W.M.; Westra, W.H.; Williams, M.D.; et al. Oral potentially malignant disorders and oral epithelial dysplasia. In WHO Classification of Head and Neck Tumours; El-Naggar, A.K., Chan, J.K.C., Grandis, J.R., Takata, T., Slootweg, P.J., Eds.; IARC Press: Lyon, France, 2017; pp. 112–113. [Google Scholar]
- Kujan, O.; Oliver, R.J.; Khattab, A.; Roberts, S.A.; Thakker, N.; Sloan, P. Evaluation of a new binary system of grading oral epithelial dysplasia for prediction of malignant transformation. Oral Oncol. 2006, 42, 987–993. [Google Scholar] [CrossRef] [PubMed]
- Nankivell, P.; Williams, H.; Matthews, P.; Suortamo, S.; Snead, D.; McConkey, C.; Mehanna, H. The binary oral dysplasia grading system: Validity testing and suggested improvement. Oral Surg. Oral Med. Oral Pathol. Oral Radiol. 2013, 115, 87–94. [Google Scholar] [CrossRef] [PubMed]
- Sloan, P.; Nylander, K.; Gale, N.; Reibel, J.; Hunter, K.; Salo, T.; Lingen, M.; Zain, R.B. Tumours of the oral cavity and mobile tongue. In WHO Classification of Head and Neck Tumours; El-Naggar, A.K., Chan, J.K.C., Grandis, J.R., Takata, T., Slootweg, P.J., Eds.; IARC Press: Lyon, France, 2017; pp. 109–111. [Google Scholar]
- Warnakulasuriya, S.; Ariyawardana, A. Malignant transformation of oral leukoplakia: A systematic review of observational studies. J. Oral Pathol. Med. 2016, 45, 155–166. [Google Scholar] [CrossRef] [PubMed]
- Speight, P.M.; Khurram, S.A.; Kujan, O. Oral potentially malignant disorders: Risk of progression to malignancy. Oral Surg. Oral Med. Oral Pathol. Oral Radiol. 2018, 125, 612–627. [Google Scholar] [CrossRef] [PubMed]
- Bogdahn, U.; Apfel, R.; Hahn, M.; Gerlach, M.; Behl, C.; Hoppe, J.; Martin, R. Autocrine tumor cell growth-inhibiting activities from human malignant melanoma. Cancer Res. 1989, 49, 5358–5363. [Google Scholar]
- Bosserhoff, A.K. Melanoma inhibitory activity (MIA): An important molecule in melanoma development and progression. Pigment Cell Res. 2005, 18, 411–416. [Google Scholar] [CrossRef]
- Bosserhoff, A.K.; Moser, M.; Scholmerich, J.; Buettner, R.; Hellerbrand, C. Specific expression and regulation of the new melanoma inhibitory activity-related gene MIA2 in hepatocytes. J. Biol. Chem. 2003, 278, 15225–15231. [Google Scholar] [CrossRef]
- Sasahira, T.; Kirita, T.; Nishiguchi, Y.; Kurihara, M.; Nakashima, C.; Bosserhoff, A.K.; Kuniyasu, H. A comprehensive expression analysis of the MIA gene family in malignancies: MIA gene family members are novel, useful markers of esophageal, lung, and cervical squamous cell carcinoma. Oncotarget 2016, 7, 31137–31152. [Google Scholar] [CrossRef]
- Bosserhoff, A.K.; Buettner, R. Expression, function and clinical relevance of MIA (melanoma inhibitory activity). Histol. Histopathol. 2002, 17, 289–300. [Google Scholar]
- Bosserhoff, A.K.; Hein, R.; Bogdahn, U.; Buettner, R. Structure and promoter analysis of the gene encoding the human melanoma-inhibiting protein MIA. J. Biol. Chem. 1996, 271, 490–495. [Google Scholar] [CrossRef]
- Messadi, D.V. Diagnostic aids for detection of oral precancerous conditions. Int. J. Oral Sci. 2013, 5, 59–65. [Google Scholar] [CrossRef]
- Allred, D.C.; Harvey, J.M.; Berardo, M.; Clark, G.M. Prognostic and predicitive factors in breast cancer by immunohistochemical analysis. Mod. Pathol. 1998, 11, 155–168. [Google Scholar]
- Bosserhoff, A.K.; Moser, M.; Hein, R.; Landthaler, M.; Buettner, R. In situ expression patterns of melanoma-inhibiting activity (MIA) in melanomas and breast cancers. J. Pathol. 1999, 187, 446–454. [Google Scholar] [CrossRef]
- Perez, R.P.; Zhang, P.; Bosserhoff, A.K.; Buettner, R.; Abu-Ha-did, M. Expression of melanoma inhibitory activity in melanoma and nonmelanoma tissue specimens. Hum. Pathol. 2000, 31, 1381–1388. [Google Scholar] [CrossRef]
- Bosserhoff, A.K.; Stoll, R.; Sleeman, J.P.; Bataille, F.; Buettner, R.; Holak, T.A. Active detachment involves inhibition of cell-matrix contacts of malignant melanoma cells by secretion of melanoma inhibitory activity. Lab. Investig. 2003, 83, 1583–1594. [Google Scholar] [CrossRef] [PubMed][Green Version]
- Gu, Q.H.; Li, D.; Xie, Z.H.; Shen, Q.B. The clinical significance of MIA gene in tumorigenesis of lung cancer. Neoplasma 2020, 67, 660–667. [Google Scholar] [CrossRef] [PubMed]
- Sasahira, T.; Nishiguchi, Y.; Fujiwara, R.; Kurihara, M.; Kirita, T.; Bosserhoff, A.K.; Kuniyasu, H. Storkhead box 2 and melanoma inhibitory activity promote oral squamous cell carcinoma progression. Oncotarget 2016, 7, 26751–26764. [Google Scholar] [CrossRef]
- Sasahira, T.; Bosserhoff, A.K.; Kirita, T. The importance of melanoma inhibitory activity gene family in the tumor progression of oral cancer. Pathol. Int. 2018, 68, 278–286. [Google Scholar] [CrossRef]
- Kurihara, M.; Kirita, T.; Sasahira, T.; Ohmori, H.; Matsushima, S.; Yamamoto, K.; Bosserhoff, A.K.; Kuniyasu, H. Protumoral roles of melanoma inhibitory activity 2 in oral squamous cell carcinoma. Br. J. Cancer 2013, 108, 1460–1469. [Google Scholar] [CrossRef]
- Hellerbrand, C.; Amann, T.; Schlegel, J.; Wild, P.; Bataille, F.; Spruss, T.; Hartmann, A.; Bosserhoff, A.K. The novel gene MIA2 acts as a tumour suppressor in hepatocellular carcinoma. Gut 2008, 57, 243–251. [Google Scholar] [CrossRef]
- Kong, B.; Wu, W.; Valkovska, N.; Jäger, C.; Hong, X.; Nitsche, U.; Friess, H.; Esposito, I.; Erkan, M.; Kleeff, J.; et al. A common genetic variation of melanoma inhibitory activity-2 labels a subtype of pancreatic adenocarcinoma with high endoplasmic reticulum stress levels. Sci. Rep. 2015, 5, 8109. [Google Scholar] [CrossRef] [PubMed]
- Wils, L.J.; Poell, J.B.; Evren, I.; Koopman, M.S.; Brouns, E.R.E.A.; de Visscher, J.G.A.M.; Brakenhoff, R.H.; Bloemena, E. Incorporation of differentiated dysplasia improves prediction of oral leukoplakia at increased risk of malignant progression. Mod. Pathol. 2020, 33, 1033–1040. [Google Scholar] [CrossRef] [PubMed]
- Nobusawa, A.; Sano, T.; Negishi, A.; Yokoo, S.; Oyama, T. Immunohistochemical staining patterns of cytokeratins 13, 14, and 17 in oral epithelial dysplasia including orthokeratotic dysplasia. Pathol. Int. 2014, 64, 20–27. [Google Scholar] [CrossRef]
- Ikeda, M.; Shima, K.; Kondo, T.; Semba, I. Atypical immunohistochemical patterns can complement the histopathological diagnosis of oral premalignant lesions. J. Oral Biosci. 2020, 62, 93–98. [Google Scholar] [CrossRef] [PubMed]
- Yagyuu, T.; Obayashi, C.; Ueyama, Y.; Takano, M.; Tanaka, Y.; Kawaguchi, M.; Takeda, M.; Kasai, T.; Kirita, T. Multivariate analyses of Ki-67, cytokeratin 13 and cytokeratin 17 in diagnosis and prognosis of oral precancerous lesions. J. Oral Pathol. Med. 2015, 44, 523–531. [Google Scholar] [CrossRef] [PubMed]

| Gender | Male (%) | Female (%) | ||
|---|---|---|---|---|
| NOM | 4 (40) | 6 (60) | ||
| LED | 17 (56.7) | 13 (43.3) | ||
| HED | 17 (56.7) | 13 (43.3) | ||
| OSCC | 22 (73.3) | 8 (26.7) | ||
| Age (years) | ||||
| NOM | 24–77 (Mean ± SD = 52.8 ± 17.3) | |||
| LED | 23–85 (Mean ± SD = 61.9 ± 15) | |||
| HED | 33–87 (Mean ± SD = 62.9 ± 15.5) | |||
| OSCC | 25–83 (Mean ± SD = 58.6 ± 15.5) | |||
| Site | Tongue | Gingiva | Buccal | Palate |
| NOM | 10 | 0 | 0 | 0 |
| LED | 16 | 5 | 6 | 3 |
| HED | 24 | 4 | 2 | 0 |
| OSCC | 30 | 0 | 0 | 0 |
| NOM n(%) | LED n(%) | HED n(%) | OSCC n(%) | p-Value | |
|---|---|---|---|---|---|
| MIA expression | |||||
| Cytoplasm only | 0 (0) | 7 (23.3) | 11 (36.7) a | 19 (63.3) ce | <0.001 |
| Nucleus only | 7 (70) | 4 (13.3) b | 3 (10) c | 4 (13.3) c | <0.001 |
| Both cytoplasm and nucleus | 0 (0) | 2 (6.7) | 2 (6.7) | 4 (13.3) | 0.681 |
| MIA2 expression | |||||
| Cytoplasm only | 0 (0) | 8 (26.7) | 12 (40) a | 18 (60) cd | <0.001 |
| Nucleus only | 0 (0) | 0 (0) | 0 (0) | 12 (40) afg | <0.001 |
| Both cytoplasm and nucleus | 0 (0) | 0 (0) | 0 (0) | 4 (13.3) | 0.039 |
Publisher’s Note: MDPI stays neutral with regard to jurisdictional claims in published maps and institutional affiliations. |
© 2021 by the authors. Licensee MDPI, Basel, Switzerland. This article is an open access article distributed under the terms and conditions of the Creative Commons Attribution (CC BY) license (https://creativecommons.org/licenses/by/4.0/).
Share and Cite
Kawai, R.; Sugita, Y.; Suzumura, T.; Hattori, T.; Yoshida, W.; Kubo, K.; Maeda, H. Melanoma Inhibitory Activity and Melanoma Inhibitory Activity 2 as Novel Immunohistochemical Markers of Oral Epithelial Dysplasia. J. Clin. Med. 2021, 10, 3661. https://doi.org/10.3390/jcm10163661
Kawai R, Sugita Y, Suzumura T, Hattori T, Yoshida W, Kubo K, Maeda H. Melanoma Inhibitory Activity and Melanoma Inhibitory Activity 2 as Novel Immunohistochemical Markers of Oral Epithelial Dysplasia. Journal of Clinical Medicine. 2021; 10(16):3661. https://doi.org/10.3390/jcm10163661
Chicago/Turabian StyleKawai, Ryoko, Yoshihiko Sugita, Toshikatsu Suzumura, Takehiro Hattori, Waka Yoshida, Katsutoshi Kubo, and Hatsuhiko Maeda. 2021. "Melanoma Inhibitory Activity and Melanoma Inhibitory Activity 2 as Novel Immunohistochemical Markers of Oral Epithelial Dysplasia" Journal of Clinical Medicine 10, no. 16: 3661. https://doi.org/10.3390/jcm10163661
APA StyleKawai, R., Sugita, Y., Suzumura, T., Hattori, T., Yoshida, W., Kubo, K., & Maeda, H. (2021). Melanoma Inhibitory Activity and Melanoma Inhibitory Activity 2 as Novel Immunohistochemical Markers of Oral Epithelial Dysplasia. Journal of Clinical Medicine, 10(16), 3661. https://doi.org/10.3390/jcm10163661
