Extensive Ossification of the Achilles Tendon with and without Acute Fracture: A Scoping Review
Abstract
1. Introduction
2. Materials and Methods
2.1. Research Question
2.2. Identifying Relevant Research
2.3. Screening and Selection
3. Results
4. Discussion
4.1. Presentation
4.2. Diagnostic Criteria
4.3. Histology
4.4. Pathobiology and Risk Factors
4.5. Treatment
5. Conclusions
Author Contributions
Funding
Conflicts of Interest
References
- Maffulli, N.; Longo, U.; Kadakia, A.; Spiezia, F. Achilles Tendinopathy. Foot Ankle Surg. 2020, 26, 240–249. [Google Scholar] [CrossRef] [PubMed]
- Yu, J.; Witte, D.; Resnick, D.; Pogue, W. Ossification of the Achilles Tendon: Imaging abnormalities in 12 patients. Skelet. Radiol. 1994, 23, 127–131. [Google Scholar] [CrossRef] [PubMed]
- Oliva, F.; Via, A.G.; Maffulli, N. Physiopathology of intratendinous calcific deposition. BMC Med. 2012, 10, 95. [Google Scholar] [CrossRef]
- Mady, F.; Vajda, A. Bilateral Ossification of the Achilles Tendon: A case report. Foot Ankle Int. 2000, 21, 1015–1018. [Google Scholar] [CrossRef] [PubMed]
- Battaglia, T.C.; Chandler, J.T. Ossific Tendonitis of the Achilles with Tendon Fracture. Orthopedics 2006, 29, 453–455. [Google Scholar] [CrossRef]
- O’brien, E.; Frank, C.; Shrive, N.; Hallgrímsson, B.; Hart, D. Heterotopic mineralization (ossification or calcification) in tendinopathy or following surgical tendon trauma. Int. J. Exp. Pathol. 2012, 93, 319–331. [Google Scholar] [CrossRef] [PubMed]
- Akhaddar, A. Painless Extensive Ossification of the Achilles Tendon: A diagnostic trap? Pan Afr. Med J. 2014, 17. [Google Scholar] [CrossRef]
- Haddad, F.S.; Ting, P.; Goddard, N.J. Successful non-operative management of an Achilles fracture. J. R. Soc. Med. 1999, 92, 85–86. [Google Scholar] [CrossRef]
- Arora, A.J.; Arora, R. Ossification of the bilateral Achilles Tendon: A rare entity. Acta Radiol. Open 2015, 4, 205846011559918. [Google Scholar] [CrossRef]
- Manfreda, F.; Ceccarini, P.; Corzani, M.; Petruccelli, R.; Antinolfi, P.; Rinonapoli, G.; Caraffa, A. A silent massive ossification of Achilles Tendon as a suspected rare late effect of surgery for club foot. SAGE Open Med Case Rep. 2018, 6, 2050313X18775587. [Google Scholar] [CrossRef] [PubMed]
- Romano, N.; Brunetti, N.; Melani, E. Imaging presentation of ossified Achilles Tendon fracture. Diagn. Interv. Imaging 2020, 101, 627–628. [Google Scholar] [CrossRef]
- Ishikura, H.; Fukui, N.; Takamure, H.; Ohashi, S.; Iwasawa, M.; Takagi, K.; Horita, A.; Saito, I.; Mori, T. Successful treatment of a fracture of a huge Achilles Tendon ossification with autologous hamstring tendon graft and gastrocnemius fascia flap: A case report. BMC Musculoskelet. Disord. 2015, 16, 365. [Google Scholar] [CrossRef][Green Version]
- Gendera, H.; Lambers-Heerspink, F.; Bruls, V.; Drees, M. Extensive Achilles Tendon ossification: Repair using a fascia lata graft. Foot 2020, 43, 101663. [Google Scholar] [CrossRef]
- Ross, K.A.; Smyth, N.A.; Hannon, C.P.; Seaworth, C.M.; Dicarlo, E.F.; Kennedy, J.G. An atraumatic case of extensive Achilles Tendon ossification. Foot Ankle Surg. 2014, 20, e59–e64. [Google Scholar] [CrossRef]
- Fink, R.J.; Corn, R.C. Fracture of an Ossified Achilles Tendon. Clin. Orthop. Relat. Res. 1982, 169, 148–150. [Google Scholar] [CrossRef]
- Arksey, H.; O’malley, L. Scoping studies: Towards a methodological framework. Int. J. Soc. Res. Methodol. 2005, 8, 19–32. [Google Scholar] [CrossRef]
- Majeed, H.; Deall, C.; Mann, A.; Mcbride, D.J. Multiple intratendinous ossified deposits of the Achilles Tendon: Case report of an unusual pattern of ossification. Foot Ankle Surg. 2015, 21, e33–e35. [Google Scholar] [CrossRef] [PubMed]
- Mallinson, F. Ossification of Both Achilles Tendons with Traumatic Fracture of One. Br. Med. J. 1932, 2, 836–837. [Google Scholar]
- Brotherton, B.; Ball, J. Fracture of an ossified Achilles Tendon. Injury 1979, 10, 245–247. [Google Scholar] [CrossRef]
- Proctor, M.; Epps, C. Post Traumatic Ossification of the Achilles Tendon. J. Natl. Med. Assoc. 1976, 68, 368–370. [Google Scholar] [PubMed]
- Weseley, M.S.; Barenfeld, P.A.; Eisenstein, A.L. Fracture of an ossific mass in the Achilles Tendon. Bull. Hosp. Jt. Dis. 1976, 37, 159–163. [Google Scholar]
- Raynor, K.J. Ossification of the Achilles Tendon. J. Am. Podiatr. Med Assoc. 1986, 76, 688–690. [Google Scholar] [CrossRef]
- Suso, S.; Peidro, L.; Ramon, R. Fracture of an ossification of the tendo calcaneus. Acta Orthop. Belg. 1988, 54, 391–393. [Google Scholar]
- Friedman, L. Achilles Tendon ossification and fracture. S. Afr. Med. J. 1991, 79, 170. [Google Scholar] [PubMed]
- Banerjee, A. Ruptured calcified tendo Achillis: Successful non-operative treatment. Injury 1992, 23, 496–497. [Google Scholar] [CrossRef]
- Joshi, N.; Diaz, E.; Massons, J. Achilles Tendon Ossification. Acta Med. Belg. 1994, 60, 432–433. [Google Scholar]
- Parton, M.; Walter, D.; Ritchie, D.; Luke, L. Case report: Fracture of an ossified Achilles Tendon—MR appearances. Clin. Radiol. 1998, 53, 538–540. [Google Scholar] [CrossRef]
- Marino, A. Fracture of ossified Achilles Tendon: Report of operative repair. Foot 1999, 9, 193–194. [Google Scholar] [CrossRef]
- Sobel, E.; Giorgini, R.; Hilfer, J.; Rostkowski, T. Ossification of a ruptured Achilles Tendon: A case report in a diabetic patient. J. Foot Ankle Surg. 2002, 41, 330–334. [Google Scholar] [CrossRef]
- Sasaki, D.; Hatori, M.; Kotajima, S.; Tanaka, K.; Kokubun, S. Ossification of the Achilles Tendon—A Case Report. Scott. Med J. 2005, 50, 174–175. [Google Scholar] [CrossRef]
- Richards, P.J.; Braid, J.C.; Carmont, M.R.; Maffulli, N. Achilles Tendon ossification: Pathology, imaging and aetiology. Disabil. Rehabil. 2008, 30, 1651–1665. [Google Scholar] [CrossRef]
- Tamam, C.; Yildirim, D.; Tamam, M.; Mulazimoglu, M.; Ozpacacr, T. Bilateral Achilles Tendon ossification: Diagnosis with ultrasonography and Single Photon Emission Computed Tomography/Computed Tomography. Case report. Med. Ultrason. 2011, 13, 320–322. [Google Scholar]
- Wick, M.; Rieger, M. Rupture of a Calcified Achilles’ tendon. N. Engl. J. Med. 2008, 358, 2618. [Google Scholar] [CrossRef]
- Lin, W.; Li, Y.; Kuo, J.; Chao, C.; Huang, P. Rupture of the Whole Calcified Achilles’ Tendon. Am. J. Med. Sci. 2012, 344, 233. [Google Scholar] [CrossRef] [PubMed]
- Sullivan, D.; Thurston, M. Acute fracture of extensive Achilles Tendon Calcific Tendinopathy. J. Osteopath. Med. 2021, 121, 523–524. [Google Scholar] [CrossRef]
- Hatori, M.; Matsuda, M.; Kokubun, S. Ossification of Achilles Tendon—Report of three cases. Arch. Orthop. Trauma Surg. 2002, 122, 414–417. [Google Scholar] [CrossRef]
- Cortbaoui, C.; Matta, J.; Elkattah, R. Could ossification of the Achilles Tendon have a hereditary component? Case Rep. Orthop. 2013, 2013, 539740. [Google Scholar] [CrossRef] [PubMed]
- Howell, M.A.; McConn, T.P.; Saltrick, K.R.; Catanzariti, A.R. Calcific Insertional Achilles Tendinopathy-Achilles Repair With Flexor Hallucis Longus Tendon Transfer: Case Series and Surgical Technique. J. Foot Ankle Surg. 2019, 58, 236–242. [Google Scholar] [CrossRef]
- Hannallah, D.; Peng, H.; Young, B.; Usas, A.; Gearhart, B.; Huard, J. Retroviral delivery of Noggin inhibits the formation of heterotopic ossification induced by BMP-4, demineralized bone matrix, and trauma in an animal model. J. Bone Jt. Surg Am. 2004, 86, 80–91. [Google Scholar] [CrossRef] [PubMed]
- Lin, L.; Shen, Q.; Xue, T.; Yu, C. Heterotopic ossification induced by Achilles tenotomy via endochondral bone formation: Expression of bone and cartilage related genes. Bone 2010, 46, 425–431. [Google Scholar] [CrossRef] [PubMed]
- Shimono, K.; Tung, W.-E.; Macolino, C.; Chi, A.H.T.; Didizian, J.H.; Mundy, C.; Chandraratna, R.A.; Mishina, Y.; Enomoto-Iwamoto, M.; Pacifici, M.; et al. Potent inhibition of heterotopic ossification by nuclear retinoic acid receptor-γ agonists. Nat. Med. 2011, 17, 454–460. [Google Scholar] [CrossRef] [PubMed]
- O’brien, E.; Shrive, N.; Rosvold, J.; Thornton, G.; Frank, C.; Hart, D. Tendon mineralization is accelerated bilaterally and creep of contralateral tendons is increased after unilateral needle injury of murine Achilles Tendons. J. Orthop. Res. 2013, 31, 1520–1528. [Google Scholar] [CrossRef] [PubMed]
- Peterson, J.R.; Agarwal, S.; Brownley, R.C.; Loder, S.J.; Ranganathan, K.; Cederna, P.S.; Mishina, Y.; Wang, S.C.; Levi, B. Direct Mouse Trauma/Burn Model of Heterotopic Ossification. J. Vis. Exp. 2015. [Google Scholar] [CrossRef]
- Agarwal, S.; Loder, S.J.; Sorkin, M.; Li, S.; Shrestha, S.; Zhao, B.; Mishina, Y.; James, A.W.; Levi, B. Analysis of Bone-Cartilage-Stromal Progenitor Populations in Trauma Induced and Genetic Models of Heterotopic Ossification. Stem Cells 2016, 34, 1692–1701. [Google Scholar] [CrossRef] [PubMed]
- Zhang, K.; Asai, S.; Hast, M.W.; Liu, M.; Usami, Y.; Iwamoto, M.; Soslowsky, L.J.; Enomoto-Iwamotoa, M. Tendon mineralization is progressive and associated with deterioration of tendon biomechanical properties, and requires BMP-Smad signaling in the mouse Achilles Tendon injury model. Matrix Biol. 2016, 52–54, 315–324. [Google Scholar] [CrossRef]
- Wang, X.; Li, F.; Xie, L.; Crane, J.; Zhen, G.; Mishina, Y.; Deng, R.; Gao, B.; Chen, H.; Liu, S.; et al. Inhibition of overactive TGF-β attenuates progression of heterotopic ossification in mice. Nat. Commun. 2018, 9, 1–13. [Google Scholar] [CrossRef] [PubMed]
- Tuzmen, C.; Verdelis, K.; Weiss, L.; Campbell, P. Crosstalk between substance P and calcitonin gene-related peptide during heterotopic ossification in murine Achilles Tendon. J. Orthop. Res. 2018, 36, 1444–1455. [Google Scholar] [CrossRef]
- Chen, Y.; Xie, Y.; Liu, M.; Hu, J.; Tang, C.; Huang, J.; Qin, T.; Chen, X.; Chen, W.; Shen, W.; et al. Controlled-release curcumin attenuates progression of tendon ectopic calcification by regulating the differentiation of tendon stem/progenitor cells. Mater. Sci. Eng. C 2019, 103, 109711. [Google Scholar] [CrossRef]
- Ateschrang, A.; Gratzer, C.; Weise, K. Incidence and effect of calcifications after open-augmented Achilles Tendon repair. Arch. Orthop. Trauma Surg. 2007, 128, 1087–1092. [Google Scholar] [CrossRef] [PubMed]
- Ateschrang, A.; Körner, D.; Joisten, K.; Ahrend, M.D.; Schröter, S.; Stöckle, U.; Riedmann, S. Incidence and risk factors for postoperative Achilles Tendon calcifications after percutaneous repair. Arch. Orthop. Trauma Surg. 2017, 138, 203–210. [Google Scholar] [CrossRef]
- Garland, D.E. A Clinical Perspective on Common Forms of Acquired Heterotopic Ossification. Clin. Orthop. Relat. Res. 1991. [Google Scholar] [CrossRef]
- Dobbs, M.B.; Gurnett, C.A. Update on Clubfoot: Etiology and Treatment. Clin. Orthop. Relat. Res. 2009, 467, 1146–1153. [Google Scholar] [CrossRef] [PubMed]
- Hwang, Z.A.; Suh, K.J.; Chen, D.; Chan, W.P.; Wu, J.S. Imaging Features of Soft-Tissue Calcifications and Related Diseases: A Systematic Approach. Korean J. Radiol. 2018, 19, 1147–1160. [Google Scholar] [CrossRef]
- Jukes, C.; Scott, G.; Solan, M. Posterior heel pain. Orthop. Trauma 2019, 34, 3–9. [Google Scholar] [CrossRef][Green Version]
- Zhang, Q.; Zhou, D.; Wang, H.; Tan, J. Heterotopic ossification of tendon and ligament. J. Cell. Mol. Med. 2020, 24, 5428–5437. [Google Scholar] [CrossRef] [PubMed]
- Leong, N.L.; Kator, J.L.; Clemens, T.L.; James, A.; Enamoto-Iwamoto, M.; Jiang, J. Tendon and Ligament healing and current approaches to tendon and Ligament regeneration. J. Orthop. Res. 2019, 38, 7–12. [Google Scholar] [CrossRef]
- Rowe, C.R. Calcific tendinitis. Instr. Course Lect. 1985, 34, 196–198. [Google Scholar]
- Chan, E.D.; Morales, D.V.; Welsh, C.H.; McDermott, M.T.; Schwarz, M.I. Calcium deposition with or without bone formation in the lung. Am. J. Respir. Crit. Care Med. 2002, 165, 1654–1669. [Google Scholar] [CrossRef]
- Goyal, S.; Vadhva, M. Fracture of ossified Achilles Tendon. Arch. Orthop. Trauma Surg. 1997, 116, 312–314. [Google Scholar] [CrossRef]
- Shore, E.; Kaplan, F.S. Inherited human diseases of heterotopic bone formation. Nat. Rev. Rheumatol. 2010, 6, 518–527. [Google Scholar] [CrossRef]


| Author(s), Year | Main Findings |
|---|---|
| Mallinson, 1932 [18] | A 56-year-old man. Bilateral ossification with fracture of one AT; born with a deformity of both feet (bilateral talipes equinus) with a tenotomy performed at 8 years old. Treated surgically: made an incision up the tendon, drilled holes in the tendon, and used wires to bring the ends of the fracture together. |
| Brotherton, 1979 [19] | A 71-year-old man. Fracture of Achilles Tendon (AT) with Extensive Ossification; history of soft tissue injury to right calf 15 years prior and subcutaneous tenotomy of the left AT as an infant. Treated by holding the two ends of the fracture in place with a figure eight wire, equinus for 4 weeks, then bore weight in a cast 3 weeks after. |
| Proctor and Epps, 1976 [20] | A 29-year-old man. Progressive ossification of AT following kick injury to left heel. Initially treated conservatively and placed in walking cast for 4 weeks but pain persisted with thickened heel cord. 10 weeks post injury he had worsening pain with X-ray revealing early ossification. 5 months post injury he had impaired function with continued ossification progression that continued for 2 months until surgical excision. Patient placed in leg cast for 6 weeks. Five months post-op had no tenderness and could run without difficulty. |
| Weseley, 1976 [21] | A 58-year-old man. Fracture of AT with ossification; history of poliomyelitis as a child with several operations to help him walk better, no history of trauma. Treated by splint for 6 weeks with no tenderness and good healing, but patient had another injury to the tendon month later. Two large fragments were removed and remnants of the Achilles Tendon were repaired. Reconstruction and reinforcement of the tendon was performed using the peroneus brevis tendon. |
| Fink, 1982 [15] | A 42-year-old woman. Fracture of ossified AT; no history of trauma to tendon; treated surgically. The plantaris tendon was incorporated into the bony mass upon exploration during surgery. Used a tendon graft from the gastrocnemius-soleus muscle with the ossification left in place. Cast with knee in 30 degrees of flexion and in maximal plantarflexion. Immobilized for 11 weeks followed by range of motion and stretching exercises. |
| Raynor, 1986 [22] | A 57-year-old man. Ossification of AT with intermittent burning pain and swelling over left heel that progressively worsened over one year. No past history of trauma to involved area but did have history of acute gouty arthritis in first metatarsophalangeal joints of both feet. Treated through surgical excision of retrocalcaneal exostosis and ossified deposits within the Achilles Tendon. |
| Suso, 1988 [23] | A 20-year-old man. Transverse fracture of AT with ossification of almost entire Achilles Tendon. Long-distance runner experienced sudden pain and swelling during athletic competition; history of mild pain in posterior left ankle during sports for previous 2 years. Treated with surgery: the ossification was removed, and reconstruction of the tendon, which did not show loss of continuity, was performed using the Bosworth technique. |
| Friedman, 1991 [24] | A 41-year-old woman. Fracture of AT with Extensive Ossification by twisting left ankle; history of complete union of left distal tibial fracture one year previously. Due to persistent pain, treatment involved surgical excision of ossific masses. |
| Banerjee, 1992 [25] | A 79-year-old man. Sharp sudden pain with palpable gap in Achilles and tendons that felt hard, positive squeeze test.Treated with a below-knee-plaster-of-Paris cast in full equinus. Wore cast for 6 weeks, then 2 weeks of a Hartshill splint. Afterward, there was continuity of the Achilles. |
| Joshi et al., 1994 [26] | A 42-year-old woman. Ossified AT without fracture, with pain; history of AT rupture as a 13-year-old requiring surgical repair; treated conservatively. |
| Parton et al., 1998 [27] | An 84-year-old man. Ossified Achilles Tendon fracture with examination revealing extensive bilateral AT ossification; history of bilateral surgical repair for clubfoot at 6 years old. Treated conservatively with cast immobilization for 2 months followed by gradual mobilization. Three months after injury the patient was mobile with stiffness and discomfort at site. |
| Marino, 1999 [28] | A 58-year-old man. Fracture of ossified AT onset suddenly while walking. Patient had taken repeated courses of oral steroids for chronic bronchitis and was taking a short course at the time of injury onset. He had no prior ankle problems and no history of club foot repair. Repair was completed with a modified Kessler suture through bone and tendon. Serial casts were used for 8 weeks, and the patient began weight bearing at 6 weeks. Six months post op the patient was ambulating without pain or difficulty and had 80% active plantarflexion/dorsiflexion which was maintained 1 year post op. |
| Haddad et al., 1999 [8] | A 67-year-old woman. Avulsion fraction to AT with Extensive Ossification; no history of previous trauma to AT. Non-operative management due to poor skin, obesity, hypertension, and her wish to avoid surgical intervention. Placed in equinus below-knee plaster for 6 weeks with gradually decreasing equinus for 3 additional weeks. Six months after injury the patient was able to walk with aid. |
| Mady, 2000 [4] | A 57-year-old man. Bilateral AT ossification with fracture on one side; history of bilateral clubfoot treatment with serial plaster casts. Treated surgically followed by short leg cast for 6 weeks. 7 years post-op the patient showed full recovery with complete healing. |
| Sobel et al., 2002 [29] | A 61-year-old woman. Ossification of a ruptured Achilles with fracture of the ossified mass; history of diabetes mellitus for 15 years. 1 year of conservative treatment consisting of immobilization, ultrasound therapy, stretching and NSAIDs did not relieve pain. The mass was then removed surgically with reattachment of the tendon, followed by casting. 1-year follow-up showed the AT remained indurated but with resolution of symptoms. |
| Sasaki et al., 2005 [30] | A 51-year-old man. Bilateral ossifications of the AT with dull pain (15mm on left, 55mm on right). Left sided mass surgically removed with consequent reduction in pain, with the right sided mass conservatively treated. At 61 years old, the patient presented again with a 10mm ossification of the left AT proximal to the previous site. The right ossification enlarged to 60mm. Conservative treatment with etidronate disodium tried for 2 years with both ossifications growing in size. The left mass was then excised to relieve pain. |
| Battaglia, 2006 [5] | A 55-year-old man. Fracture of ossification within AT; history of AT rupture at 25 years prior. Failed non-operative treatment for 3 months, subsequently underwent debridement with reconstruction using the flexor hallucis longus tendon. Serial casting in equinus was completed for 8 weeks. The patient then was placed in a fixed ankle walker for the following 6 weeks. At 14 weeks he had full, painless range of motion. At 6 months follow up, he was prescribed physical therapy. One year post operation the patient had ROM bilaterally and at 18 months had no restrictions. |
| Richards et al., 2008 [31] | A 53-year-old woman. Peritendinous edema associated with Extensive Ossification of Achilles Tendon; history of injury to right calf with torn Achilles 4 years prior. Patient treated with therapeutic injection followed by other non-operative treatments. |
| Tamam et al., 2011 [32] | A 41-year-old man. Bilateral ossification to the AT near the calcaneus insertion; no history of direct trauma or previous AT surgery. Patient was managed conservatively. Authors noted repetitive microtrauma to the AT as the cause of the ossifications based on the bilateral presentation. |
| Ross et al., 2014 [14] | A 57-year-old woman. Unilateral ossification of the AT; patient symptomatic for 10 years with a “popping” sensation. No history of acute trauma, but the patient often participated in running ang yoga. Treated with surgical removal of the ossification and placement of an autograft of the flexor hallucis longus tendon; cast for 6 weeks and began physical therapy 12 weeks after surgery. |
| Arora, 2015 [9] | A 48-year-old woman. Bilateral AT ossification with no history of trauma or surgery; CT revealed multiple ossified bone fragments within AT bilaterally; diagnosed with Type 2 AT ossification. |
| Majeed et al., 2015 [17] | A 24-year-old man. Multiple ossifications in the right AT; history of bilateral club foot repair with AT elongation as a child. Ossifications were removed with special care to preserve as much of the AT as possible; 12 weeks post-op the patient had complete resolution of symptoms. |
| Ishikura et al., 2015 [12] | A 50-year-old woman. Fracture of right ossified AT; history of right ankle dislocation and partial AT rupture in high school, which was poorly managed post manual reduction. The patient had pain and swelling in area for years, but fracture occurred 10 days after starting anti-inflammatories. The ossification was removed and the hamstring tendons, the ipsilateral semitendinosus and gracilis tendons were harvested for AT reconstruction. To the authors’ knowledge, this is the first time hamstring tendons had been used for EOAT repair. |
| Manfreda et al., 2018 [10] | A 66-year-old man. Spontaneous AT rupture while running with extensive asymptomatic ossification of distal AT; history of surgical release for clubfoot as child. Surgical repair of rupture revealed the Extensive Ossification and subsequent removal of entire ossified portion, followed by tendon reconstruction. |
| Author(s), Year | Main Findings | |
|---|---|---|
| Wick and Rieger, 2008 a [33] | A 69-year-old man. This image submission includes two x-ray images of a complete rupture of a calcified Achilles’ tendon of a 69-year-old male (Images A and B). Arrows indicate the presence of a complete rupture of the calcified Achilles Tendon. The man reported previous partial cutting of his Achilles’ tendon when he was a teenager. The man felt a sudden pain while standing from a seated position, where he proceeded to the emergency room for imaging. | ![]() |
| Lin et al., 2012 b [34] | A 70-year-old woman. This image submission includes two radiographs of a 70-year-old woman (Image C). The patient presented with a sudden stabbing ankle pain. She denied any history of trauma or surgery but did report frequent local injections of her right ankle for pain and soreness. Radiographs demonstrate complete rupture of the calcified Achilles Tendon and a 3 cm separation shown in the first radiograph. Direct suture repair was performed and the follow-up radiograph revealed minimal gap in the tendon (Image D). | ![]() |
| Akhaddar, 2014 c [7] | A 52-year-old man. This image submission included plain radiographs with a lateral and an antero-posterior view of the right leg and ankle. Arrows indicate a 10-cm ossification of the Achilles Tendon without a fracture (Images E and F). The patient presented after acute trauma to the foot, and the ossified mass was an incidental finding. The patient had no symptoms of the lower leg at presentation and had no history of metabolic or systemic illness nor ankle trauma. Surgery was not performed due to the lack of symptoms. | ![]() |
| Romano et al., 2020 d [11] | A 58-year-old woman. This image submission includes a lateral view X-ray (Image G), ultrasound (Image H), MRI (Image I), and STIR image (Image J). In image G the asterisk represents the gap separating the two ossifications (arrows) within the Achilles Tendon. Image H demonstrates a hyperechoic gap (asterisk) between tendon ends (arrows) which is suggestive of a complete rupture of the ossification. Images I and J demonstrate hemorrhage and edema (asterisk) filling the space between the separated ends of the Achilles Tendon. The patient had a palpable gap on examination of the Achilles Tendon. The images confirmed the diagnosis of a complete rupture of ossified tendon. The patient had no history of trauma or surgery in the area. The patient was managed with immobilization in a plaster cast. The patient’s recovery status was not reported. | ![]() |
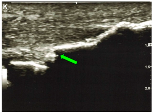
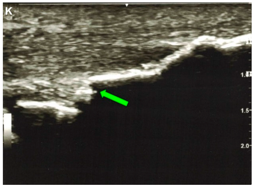
| Sullivan and Thurston, 2021 e [35] | A 72-year-old man. This image submission includes an ultrasound (Image K), lateral view x-ray (Image L), and an MRI (Image M) of a patient who presented to an orthopedic sports medicine clinic after feeling a “pop” while mowing his lawn. Image K is an ultrasound of the Achilles Tendon that depicts a segment of discontinuity (green arrow) within a linear hyperechoic signal. Image L and Image M show ossification of the Achilles Tendon and arrows (red and blue, respectively) indicate fracture of the ossified mass. The patient had no knowledge of the ossification, but he reported having lower leg surgery as a 2-year-old to correct for in-toeing. The patient was treated conservatively with casting and physical therapy. One year after the ossification and coexisting fracture of the ossified mass was discovered, he reported being fully functional without pain. | ![]() ![]() |
| Author(s), Year | Age (years) | Male | Female | Fracture of Ossification | Treated Conservatively | Treated Surgically | History of Trauma |
|---|---|---|---|---|---|---|---|
| Brotherton, 1979 [19] | 71 | ✓ | ✓ | ✓ | ✓ | ||
| Mallinson, 1932 [18] | 56 | ✓ | ✓ | ✓ | ✓ | ||
| Proctor and Epps, 1976 [20] | 29 | ✓ | ✓ | ✓ | |||
| Weseley, 1976 [21] | 58 | ✓ | ✓ | ✓ | ✓ | ✓ | |
| Fink and Corn, 1982 [15] | 42 | ✓ | ✓ | ✓ | |||
| Raynor, 1986 [22] | 57 | ✓ | ✓ | ||||
| Suso, 1988 [23] | 20 | ✓ | ✓ | ✓ | ✓ | ||
| Friedman, 1991 [24] | 41 | ✓ | ✓ | ✓ | ✓ | ||
| Banerjee, 1992 [25] | 79 | ✓ | ✓ | ✓ | |||
| Joshi et al., 1994 [26] | 42 | ✓ | ✓ | ✓ | |||
| Parton et al., 1998 [27] | 84 | ✓ | ✓ | ✓ | ✓ | ||
| Marino, 1999 [28] | 58 | ✓ | ✓ | ✓ | |||
| Haddad et al., 1999 [8] | 67 | ✓ | ✓ | ||||
| Mady and Vajda, 2000 [4] | 57 | ✓ | ✓ | ✓ | ✓ | ||
| Sobel et al., 2002 [29] | 61 | ✓ | ✓ | ✓ | |||
| Sasaki et al., 2005 [30] | 51 | ✓ | ✓ | ✓ | |||
| Battaglia and Chandler, 2006 [5] | 55 | ✓ | ✓ | ✓ | ✓ | ||
| Richards et al., 2008 [31] | 53 | ✓ | ✓ | ✓ | |||
| Wick & Rieger, 2008 [33] | 69 | ✓ | ✓ | N/A | N/A | ✓ | |
| Tamam et al., 2011 [32] | 41 | ✓ | ✓ | ||||
| Lin et al., 2012 [34] | 70 | ✓ | ✓ | ✓ | |||
| Akhaddar, 2014 [7] | 52 | ✓ | ✓ | ||||
| Ross et al., 2014 [14] | 57 | ✓ | ✓ | ✓ | |||
| Arora, 2015 [9] | 48 | ✓ | N/A | ||||
| Majeed et al., 2015 [17] | 24 | ✓ | ✓ | ✓ | |||
| Ishikura et al., 2015 [12] | 50 | ✓ | ✓ | ✓ | ✓ | ||
| Manfreda et al., 2018 [10] | 66 | ✓ | ✓ | ✓ | |||
| Gendera et al., 2020 [13] | 70 | ✓ | ✓ | ✓ | |||
| Romano et al., 2020 [11] | 58 | ✓ | ✓ | ✓ | |||
| Sullivan & Thurston, 2021 [35] | 72 | ✓ | ✓ | ✓ | ✓ | ||
| Totals Percentage | 19/30 (63%) | 10/30 (33%) | 18/30 (60%) | 12/30 (40%) | 17/30 (56%) | 16/30 (53%) |
| Author(s), Year | Main Findings |
|---|---|
| Yu et al., 1994 [2] | 16 ossified ATs from 12 patient were imaged to characterize the imaging abnormalities associated with AT ossification, with the most constant finding being thickening of the tendon at the site of ossification. The authors also noted that ossification occurred in the substance of the tendon in 8 tendons, while in 8 tendons ossification occurred within 2 cm of insertion. |
| Hatori et al., 2002 [36] | Three men who all had atraumatic ossification of bilateral AT with no history of direct trauma, surgery, or club foot release. The patients with pain underwent surgical removal ossification, and the one patient without pain did not undergo surgical correction. All symptoms improved with treatment. Ossification in the AT was found to be a product of both endochondral and intramembranous ossification and was likely to be the result of repetitive microtraumas. |
| Cortbaoui et al., 2013 [37] | Three siblings (50-year-old female, 64-year-old female, 54-year-old male), all previously healthy, with ossification of the Achilles Tendon (OAT), suggesting a possible genetic predisposition of OAT. |
| Howell et al., 2019 [38] | Retrospectively reviewed the outcomes of patient-reported satisfaction in 45 patients with past surgical management of calcific insertional Achilles Tendinopathy. The success rate with nonsurgical treatment decreases when the patient has tendinosis changes as well. The study suggested that surgical treatment should be considered after 3–6 months of failed conservative therapy. |
| Author(s), Year | Main Findings |
|---|---|
| Hannallah et al., 2004 [39] | The delivery of Noggin mediated by muscle-derived stem cells can inhibit heterotopic ossification caused by BMP-4, demineralized bone matrix, and trauma in an animal model. Used a retroviral vector and muscle-derived stem cells to deliver Noggin to mouse model. |
| Lin et al., 2010 [40] | Rat model for heterotopic ossification (HO) induced by Achilles tenotomy evaluated for mRNA and protein expression levels at 3, 5, and 10 weeks. HO induced by Achilles tenotomy is by endochondral bone formation, and HIF-1 alpha activation plays an important role during chondrogenesis in this model. |
| Shimono et al., 2011 [41] | Displayed inhibition of HO through the use of RARγ agonists targeting the BMP-2 Smad pathway in standard muscle trauma-associated HO mouse model. |
| O’Brien et al., 2013 [42] | 20-week long study in mice evaluating the biomechanical responses of mineralized tendons and effect of mineralization on contralateral tendon through the murine needle injury model. The study found that the mean volume of tendon mineralization in the contralateral limbs of injured mice was three times greater compared with the limbs from the controls. |
| Peterson et al., 2015 [43] | The authors describe a burn/tenotomy mouse model to produce HO in predictable locations. |
| Agarwal et al., 2016 [44] | Focuses on the cells involved in HO formation (bone–cartilage–stromal progenitor cells). Mouse model of HO (trauma and genetic models) and evaluation of human samples. Adventitial cells, but not pericytes, appear to play a supportive role in HO formation. Findings indicated that, rarely, BCSPs are derived from a systemic source outside of the local tissue environment. |
| Zhang et al., 2016 [45] | Injury-induced ectopic tendon mineralization is progressive by 10-week and 25-week samples. In vitro mechanical testing showed that max force, max stress and mid-substance modulus in the 25-weeks samples were significantly lower than the 10-weeks samples. Treatment with the BMP receptor kinase inhibitor significantly inhibited injury-induced tendon mineralization. Phosphorylation of both Smad1 and Smad3 were highly increased in injured tendons as early as 1-week post-injury and remained high in ectopic chondrogenic lesions 4 weeks post-injury. |
| Wang et al., 2018 [46] | TGF-β inhibition through the use of both antibodies and gene knockout prevents HO progression. |
| Tuzmen et al., 2018 [47] | Evaluated the effects of neuropeptides substance P and calcitonin gene-related peptide on heterotopic ossification in murine model in Achilles Tendons. Substance P caused HO and calcitonin gene-related peptide inhibited HO formation by Substance P. |
| Chen et al., 2019 [48] | The use of curcumin in rodent tendon ectopic calcification models partially rescued tendon calcification. |
| Author(s), Year | Main Findings |
|---|---|
| Ateschrang et al., 2007 [49] | Retrospective study that analyzed post-op AT calcification after open-augmented repair on 104 patients with Achilles Tendon rupture. Incidence of tendon calcification was 14.4%, with the low incidence attributed to the NSAID diclofenac and its anti-calcifying effects. |
| Ateschrang et al., 2017 [50] | Analyzed the risk factors and potential clinical impact of postoperative tendon calcification after percutaneous Achilles Tendon repair in 126 patients with an acute, complete Achilles Tendon rupture, with 81 patients available for follow-up. PTC incidence was 11.1% (9 patients), with male gender and advanced age being risk factors. The authors postulated that the use of NSAIDs aided in the low incidence rates. |
| Author(s), Year | Main Findings |
|---|---|
| Garland, 1990 [51] | Author discusses the commonalities in the clinical courses of HO including the most common signs and symptoms, treatment modalities, and surgical timing. |
| Dobbs and Burnett, 2009 [52] | Provides an update on clubfoot etiology and current treatment strategies in order to aid in determining prognosis and the selection of appropriate treatment. A tenotomy of the AT is commonly performed with casting for the correction of clubfoot. |
| Oliva et al., 2012 [3] | The authors undergo a review of Calcific Tendinopathy (CT) in order to inform future treatment modalities, while advising for the use of ‘Calcific Tendinopathy’ and ‘insertional Calcific Tendinopathy’ to distinguish between different pathogenic mechanisms. |
| O’Brien et al., 2012 [6] | Reported 15% of cases following repair of the Achilles Tendon have mineralization with no negative effects on clinical outcome as measured by the Thermann score. Endochondral ossification (most frequent) and Intramembranous ossification are both thought to happen in the human Achilles Tendon. BMP signaling seems to play a role in heterotopic ossification, while hypoxia and hypoxia-inducible transcription factor (HIF) signaling critical to EO process. |
| Hwang, 2018 [53] | By systematically using the distribution pattern of the calcified lesions, such as ossification of the Achilles Tendon, shown in this review, additional laboratory testing, and clinical history, appropriate differential diagnoses can be approached. |
| Jukes et al., 2019 [54] | Focuses on the diagnosis and management of posterior heel pain including Achilles Tendinopathy, both insertional and non-insertional; provides treatment recommendations for symptoms of varying lengths. |
| Maffulli et al., 2020 [1] | Discusses options for treatment of Achilles Tendinopathy. Defines tendinopathy as a failed healing response with changes in collagen fibers caused by a combination of intrinsic and extrinsic factors. Recommends that patients be treated with non-operative care for a minimum of 3–6 months before undergoing surgery. |
| Zhang, 2020 [55] | A variety of signal pathways involve heterotopic ossification of tendon and ligament (HOTL) with multiple roles in different stages of heterotopic ossification formation. The review summarizes the progress and provides an up-to-date understanding of HOTL. |
Publisher’s Note: MDPI stays neutral with regard to jurisdictional claims in published maps and institutional affiliations. |
© 2021 by the authors. Licensee MDPI, Basel, Switzerland. This article is an open access article distributed under the terms and conditions of the Creative Commons Attribution (CC BY) license (https://creativecommons.org/licenses/by/4.0/).
Share and Cite
Sullivan, D.; Pabich, A.; Enslow, R.; Roe, A.; Borchert, D.; Barr, K.; Cook, B.; Brooks, A. Extensive Ossification of the Achilles Tendon with and without Acute Fracture: A Scoping Review. J. Clin. Med. 2021, 10, 3480. https://doi.org/10.3390/jcm10163480
Sullivan D, Pabich A, Enslow R, Roe A, Borchert D, Barr K, Cook B, Brooks A. Extensive Ossification of the Achilles Tendon with and without Acute Fracture: A Scoping Review. Journal of Clinical Medicine. 2021; 10(16):3480. https://doi.org/10.3390/jcm10163480
Chicago/Turabian StyleSullivan, Daniel, Allison Pabich, Ryan Enslow, Avery Roe, Donald Borchert, Keenan Barr, Bailey Cook, and Amanda Brooks. 2021. "Extensive Ossification of the Achilles Tendon with and without Acute Fracture: A Scoping Review" Journal of Clinical Medicine 10, no. 16: 3480. https://doi.org/10.3390/jcm10163480
APA StyleSullivan, D., Pabich, A., Enslow, R., Roe, A., Borchert, D., Barr, K., Cook, B., & Brooks, A. (2021). Extensive Ossification of the Achilles Tendon with and without Acute Fracture: A Scoping Review. Journal of Clinical Medicine, 10(16), 3480. https://doi.org/10.3390/jcm10163480







