Organoprotective Effects of Spironolactone on Top of Ramipril Therapy in a Mouse Model for Alport Syndrome
Abstract
1. Introduction
2. Materials and Methods
2.1. Animals and Treatment
2.2. Kidney Function Parameters
2.3. Immunohistology
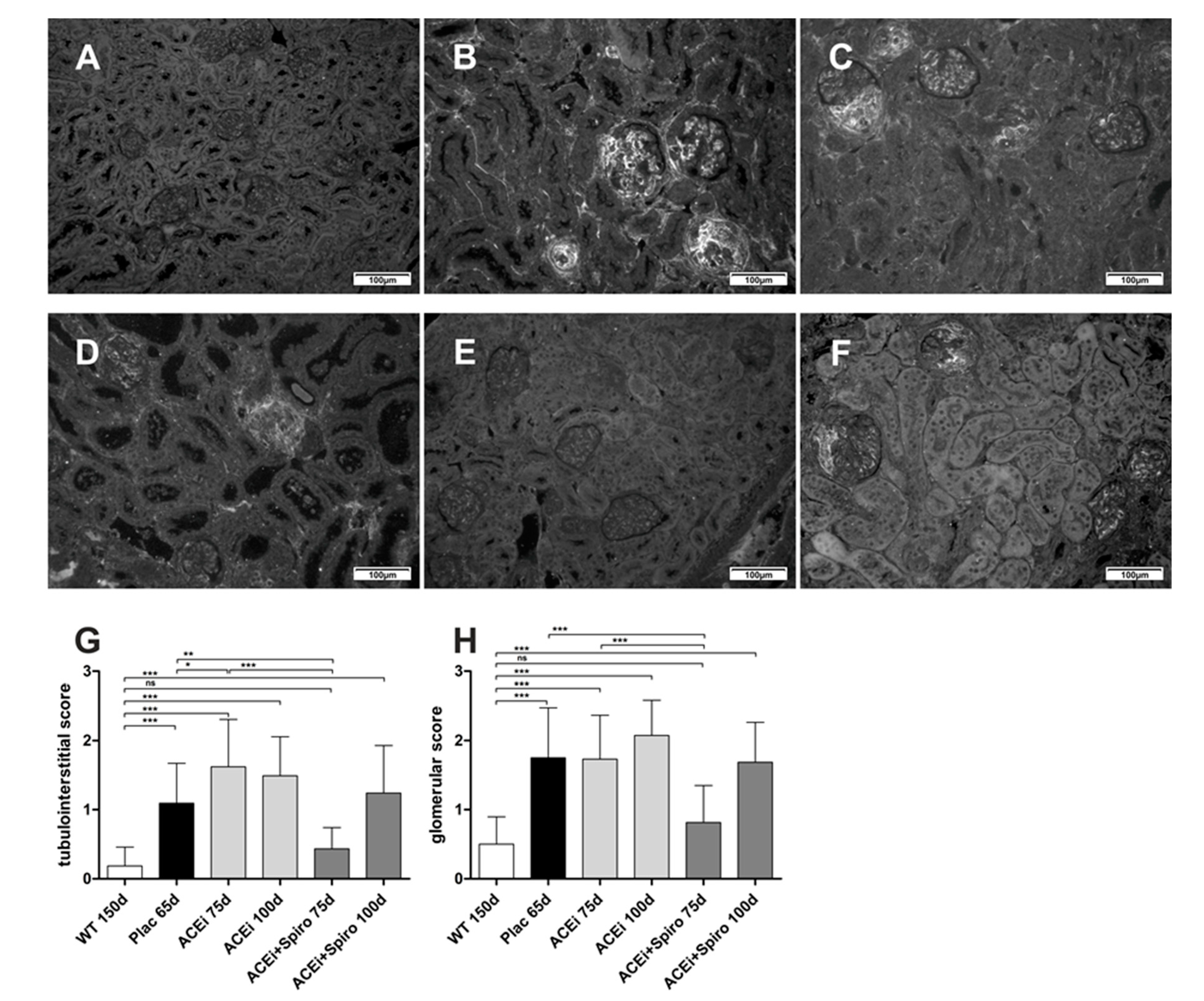
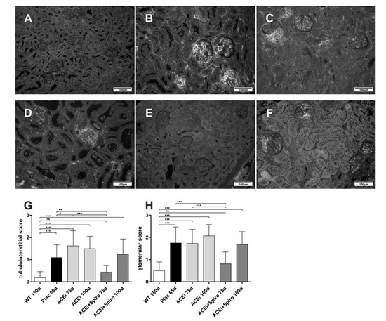
2.4. Scoring of Immunohistology
2.5. Statistical Analysis
3. Results
3.1. Effect on Aldosterone Levels
3.2. Effect on Proteinuria and Kidney Function Parameters
3.3. Effect on Matrix Accumulation and Fibrosis during Pathogenesis of Alport Syndrome
3.4. Effect on Lifespan until Death Prior to End-Stage Renal Failure in Alport Mice
3.5. Side-Effects of Dual RAAS-Blockade in Alport Mice
4. Discussion
5. Conclusions
Author Contributions
Funding
Institutional Review Board Statement
Informed Consent Statement
Data Availability Statement
Acknowledgments
Conflicts of Interest
References
- Zhou, J.; Leinonen, A.; Tryggvason, K. Structure of the human type IV collagen COL4A5 gene. J. Biol. Chem. 1994, 269, 6608–6614. [Google Scholar] [CrossRef]
- Lemmink, H.H.; Mochizuki, T.; van den Heuvel, L.P.; Schröder, C.H.; Barrientos, A.; Monnens, L.A.; van Oost, B.A.; Brunner, H.G.; Reeders, S.T.; Smeets, H.J. Mutations in the type IV collagen alpha 3 (COL4A3) gene in autosomal recessive Alport syndrome. Hum. Mol. Genet. 1994, 3, 1269–1273. [Google Scholar] [CrossRef]
- Boye, E.; Mollet, G.; Forestier, L.; Cohen-Solal, L.; Heidet, L.; Cochat, P.; Grünfeld, J.P.; Palcoux, J.B.; Gubler, M.C.; Antignac, C. Determination of the genomic structure of the COL4A4 gene and of novel mutations causing autosomal recessive Alport syndrome. Am. J. Hum. Genet. 1998, 63, 1329–1340. [Google Scholar] [CrossRef]
- Flinter, F. Alport’s syndrome. J. Med. Genet. 1997, 34, 326–330. [Google Scholar] [CrossRef]
- Jais, J.P.; Knebelmann, B.; Giatras, I.; De Marchi, M.A.R.I.O.; Rizzoni, G.; Renieri, A.; Weber, M.; GROSS, O.; Netzer, K.O.; Flinter, F.; et al. X-linked Alport syndrome: Natural history in 195 families and genotype-phenotype correlations in males. J. Am. Soc. Nephrol. 2000, 11, 649–657. [Google Scholar] [CrossRef]
- Bekheirnia, M.R.; Reed, B.; Gregory, M.C.; McFann, K.; Shamshirsaz, A.A.; Masoumi, A.; Schrier, R.W. Genotype-phenotype correlation in X-linked Alport syndrome. J. Am. Soc. Nephrol 2010, 21, 876–883. [Google Scholar] [CrossRef]
- Wang, Y.; Sivakumar, V.; Mohammad, M.; Colville, D.; Storey, H.; Flinter, F.; Dagher, H.; Savige, J. Clinical and genetic features in autosomal recessive and X-linked Alport syndrome. Pediatr. Nephrol. 2014, 29, 391–396. [Google Scholar] [CrossRef]
- Lee, J.M.; Nozu, K.; Choi, D.E.; Kang, H.G.; Ha, I.S.; Cheong, H.I. Features of Autosomal Recessive Alport Syndrome: A Systematic Review. J. Clin. Med. 2019, 8, 178. [Google Scholar] [CrossRef]
- Zhang, Y.; Böckhaus, J.; Wang, F.; Wang, S.; Rubel, D.; Gross, O.; Ding, J. Genotype-phenotype correlations and nephroprotective effects of RAAS inhibition in patients with autosomal recessive Alport syndrome. Pediatr. Nephrol. 2021. online ahead of print. [Google Scholar] [CrossRef]
- Gross, O.; Beirowski, B.; Koepke, M.L.; Kuck, J.; Reiner, M.; Addicks, K.; Smyth, N.; Schulze-Lohoff, E.; Weber, M. Preemptive ramipril therapy delays renal failure and reduces renal fibrosis in COL4A3-knockout mice with Alport syndrome. Kidney Int. 2003, 63, 438–446. [Google Scholar] [CrossRef]
- Gross, O.; Schulze-Lohoff, E.; Koepke, M.L.; Beirowski, B.; Addicks, K.; Bloch, W.; Smyth, N.; Weber, M. Antifibrotic, nephroprotective potential of ACE inhibitor vs AT1 antagonist in a murine model of renal fibrosis. Nephrol. Dial. Transplant. 2004, 19, 1716–1723. [Google Scholar] [CrossRef]
- Gross, O.; Licht, C.; Anders, H.J.; Hoppe, B.; Beck, B.; Tönshoff, B.; Höcker, B.; Wygoda, S.; Ehrich, J.H.; Pape, L.; et al. Early angiotensin-converting enzyme inhibition in Alport syndrome delays renal failure and improves life expectancy. Kidney Int. 2012, 81, 494–501. [Google Scholar] [CrossRef] [PubMed]
- Webb, N.J.; Lam, C.; Shahinfar, S.; Strehlau, J.; Wells, T.G.; Gleim, G.W.; Le Bailly De Tilleghem, C. Efficacy and safety of losartan in children with Alport syndrome--results from a subgroup analysis of a prospective, randomized, placebo- or amlodipine-controlled trial. Nephrol. Dial. Transplant. 2011, 26, 2521–2526. [Google Scholar] [CrossRef] [PubMed]
- Zhang, Y.; Wang, F.; Ding, J.; Zhang, H.; Liu, X.; Wang, S.; Xiao, H.; Yao, Y.; Liu, J.; Zhong, X.; et al. Long-term treatment by ACE inhibitors and angiotensin receptor blockers in children with Alport syndrome. Pediatr. Nephrol. 2016, 31, 67–72. [Google Scholar] [CrossRef]
- ESCAPE Trial Group; Wühl, E.; Trivelli, A.; Picca, S.; Litwin, M.; Peco-Antic, A.; Zurowska, A.; Testa, S.; Jankauskiene, A.; Emre, S.; et al. Strict blood-pressure control and progression of renal failure in children. N. Engl. J. Med. 2009, 361, 1639–1650. [Google Scholar]
- Schjoedt, K.J.; Andersen, S.; Rossing, P.; Tarnow, L.; Parving, H.H. Aldosterone escape during blockade of the renin-angiotensin-aldosterone system in diabetic nephropathy is associated with enhanced decline in glomerular filtration rate. Diabetologia 2004, 47, 1936–1939. [Google Scholar] [CrossRef]
- Bianchi, S.; Bigazzi, R.; Campese, V.M. Antagonists of aldosterone and proteinuria in patients with CKD: An uncontrolled pilot study. Am. J. Kidney Dis. 2005, 46, 45–51. [Google Scholar] [CrossRef] [PubMed]
- Yang, C.T.; Kor, C.T.; Hsieh, Y.P. Long-term effects of spironolactone on kidney function and hyperkalemia-associated hospitalization in patients with chronic kidney disease. J. Clin. Med. 2018, 7, 459. [Google Scholar] [CrossRef] [PubMed]
- Kim, H.Y.; Bae, E.H.; Ma, S.K.; Kim, S.W. Effects of spironolactone in combination with angiotensin-converting enzyme inhibitors or Angiotensin receptor blockers in patients with proteinuria. Kidney Blood Press. Res. 2014, 39, 573–580. [Google Scholar] [CrossRef] [PubMed]
- Hase, M.; Babazono, T.; Ujihara, N.; Uchigata, Y. Comparison of spironolactone and trichlormethiazide as add-on therapy to renin-angiotensin blockade for reduction of albuminuria in diabetic patients. J. Diabetes Investig. 2013, 4, 316–319. [Google Scholar] [CrossRef]
- Makhlough, A.; Kashi, Z.; Akha, O.; Zaboli, E.; Yazdanicharati, J. Effect of spironolactone on diabetic nephropathy compared to the combination of spironolactone and losartan. Nephrourol. Mon. 2014, 6, e12148. [Google Scholar] [CrossRef]
- Selvaraj, S.; Claggett, B.; Shah, S.J.; Anand, I.; Rouleau, J.L.; O’Meara, E.; Desai, A.S.; Lewis, E.F.; Pitt, B.; Sweitzer, N.K.; et al. Prognostic value of albuminuria and influence of spironolactone in heart failure with preserved ejection fraction. Circ. Heart Fail. 2018, 11, e005288. [Google Scholar] [CrossRef]
- Stubnova, V.; Os, I.; Grundtvig, M.; Atar, D.; Waldum-Grevbo, B. Spironolactone treatment and effect on survival in chronic heart failure patients with reduced renal function: A propensity-matched study. Cardiorenal Med. 2017, 7, 128–136. [Google Scholar] [CrossRef][Green Version]
- Kaito, H.; Nozu, K.; Iijima, K.; Nakanishi, K.; Yoshiya, K.; Kanda, K.; Krol, R.P.; Yoshikawa, N.; Matsuo, M. The effect of aldosterone blockade in patients with Alport syndrome. Pediatr. Nephrol. 2006, 21, 1824–1829. [Google Scholar] [CrossRef]
- Issa, N.; Ortiz, F.; Reule, S.A.; Kukla, A.; Kasiske, B.L.; Mauer, M.; Jackson, S.; Matas, A.J.; Ibrahim, H.N. The renin-aldosterone axis in kidney transplant recipients and its association with allograft function and structure. Kidney Int. 2014, 85, 404–415. [Google Scholar] [CrossRef][Green Version]
- Gant, C.M.; Laverman, G.D.; Vogt, L.; Slagman, M.C.; Heerspink, H.J.; Waanders, F.; Hemmelder, M.H.; Navis, G. Renoprotective RAAS inhibition does not affect the association between worse renal function and higher plasma aldosterone levels. BMC Nephrol. 2017, 18, 370. [Google Scholar] [CrossRef]
- Wang, C.-C.; Lee, A.-S.; Liu, S.-H.; Chang, K.-C.; Shen, M.-Y.; Chang, C.-T. Spironolactone ameliorates endothelial dysfunction through inhibition of the AGE/RAGE axis in a chronic renal failure rat model. BMC Nephrol. 2019, 20, 351. [Google Scholar] [CrossRef]
- Kong, E.-l.; Zhang, J.-m.; An, N.; Tao, Y.; Yu, W.-f.; Wu, F.-x. Spironolactone rescues renal dysfunction in obstructive jaundice rats by upregulating ACE2 expression. J. Cell Commun. Signal. 2019, 13, 17–26. [Google Scholar] [CrossRef]
- Torra, R.; Furlano, M. New therapeutic options for Alport syndrome. Nephrol. Dial. Transplant. 2019, 34, 1272–1279. [Google Scholar] [CrossRef] [PubMed]
- Yamamura, T.; Horinouchi, T.; Omori, T.; Sakakibara, N.; Aoto, Y.; Ishiko, S.; Nakanishi, K.; Shima, Y.; Nagase, H.; Takeda, H.; et al. Genotype-phenotype correlations influence the response to angiotensin-targeting drugs in Japanese patients with male X-linked Alport syndrome. Kidney Int. 2020, 98, 1605–1614. [Google Scholar] [CrossRef]






Publisher’s Note: MDPI stays neutral with regard to jurisdictional claims in published maps and institutional affiliations. |
© 2021 by the authors. Licensee MDPI, Basel, Switzerland. This article is an open access article distributed under the terms and conditions of the Creative Commons Attribution (CC BY) license (https://creativecommons.org/licenses/by/4.0/).
Share and Cite
Rubel, D.; Zhang, Y.; Sowa, N.; Girgert, R.; Gross, O. Organoprotective Effects of Spironolactone on Top of Ramipril Therapy in a Mouse Model for Alport Syndrome. J. Clin. Med. 2021, 10, 2958. https://doi.org/10.3390/jcm10132958
Rubel D, Zhang Y, Sowa N, Girgert R, Gross O. Organoprotective Effects of Spironolactone on Top of Ramipril Therapy in a Mouse Model for Alport Syndrome. Journal of Clinical Medicine. 2021; 10(13):2958. https://doi.org/10.3390/jcm10132958
Chicago/Turabian StyleRubel, Diana, Yanqin Zhang, Nenja Sowa, Rainer Girgert, and Oliver Gross. 2021. "Organoprotective Effects of Spironolactone on Top of Ramipril Therapy in a Mouse Model for Alport Syndrome" Journal of Clinical Medicine 10, no. 13: 2958. https://doi.org/10.3390/jcm10132958
APA StyleRubel, D., Zhang, Y., Sowa, N., Girgert, R., & Gross, O. (2021). Organoprotective Effects of Spironolactone on Top of Ramipril Therapy in a Mouse Model for Alport Syndrome. Journal of Clinical Medicine, 10(13), 2958. https://doi.org/10.3390/jcm10132958

