You are currently viewing a new version of our website. To view the old version click .
Vaccines
  • Case Report
  • Open Access

20 October 2021

Sweet Syndrome Following SARS-CoV2 Vaccination

,
,
,
,
,
and
1
Department of Health Sciences, Section of Dermatology, University of Florence, 50125 Florence, Italy
2
Department of Health Sciences, Section of Pathological Anatomy, University of Florence, 50139 Florence, Italy
*
Author to whom correspondence should be addressed.
This article belongs to the Special Issue Advances in Skin Immune-Mediated Disease

Abstract

Vaccines are today considered one of the most effective means against the Sars-CoV-2 pandemic. The BNT162b2 vaccine by Pfizer/BioNTech has been massively administered throughout the globe; since its approval, a wide spectrum of cutaneous reactions has been reported. Here we report the case of a 52-year-old Caucasian male who presented with an acute febrile eruption that arose 72 h after the first dose of the BNT162b2 vaccine. The clinicopathological findings were consistent with Sweet’s syndrome. The short latency time suggested a possible role of the vaccine in triggering Sweet’s syndrome in this case.

1. Introduction

Since its outbreak in late 2019, coronavirus disease 19 (COVID-19) has resulted in over 4.8 million casualties [1]. Vaccines are today considered the most effective means to dampen a pandemic that has caused devastating medical, social, and economic consequences [2]. On 2 December 2020, a temporary emergency use authorization for Pfizer/BioNTech (BTN162b2) vaccine was approved in the UK; thereafter, numerous other approvals followed rapidly, leading to its massive use throughout the globe [3,4].
Since then, with the increasing number of vaccinated people, a variety of skin reactions to the BTN162b2 vaccine has been reported [5]. Here we present the case of a 52-year-old Caucasian male who presented with an acute febrile skin eruption after the first dose of the BTN162b2 vaccine.

2. Case

A 52-year-old man was referred to our department for an acute skin eruption that developed 72 h after the first dose of the Pfizer/BioNTech BNT162b2 mRNA vaccine.
His personal anamnesis was significant for a well-differentiated retroperitoneal liposarcoma treated in 2016 with radical surgery followed by adjuvant chemotherapy. The patient had no history of SARS-CoV-2 infection.
Physical examination revealed well demarcated, oval, tender, juicy plaques on the neck, trunk, and upper limbs. Most of them showed overwhelming vesicles and pustules, while others had a target-like appearance due to a central hemorrhagic crust (Figure 1).
Figure 1. Well demarcated, targetoid lesions diffused to the trunk, neck (a), and upper limbs (b); BNT162b2 vaccine injection site (c).
Mucous membranes were not involved. The patient was febrile (constantly above 39 °C) since the onset of the skin rash despite a daily intake of paracetamol 1 g. Additional symptoms included pain and dysesthesias of the distal phalanges of the hands.
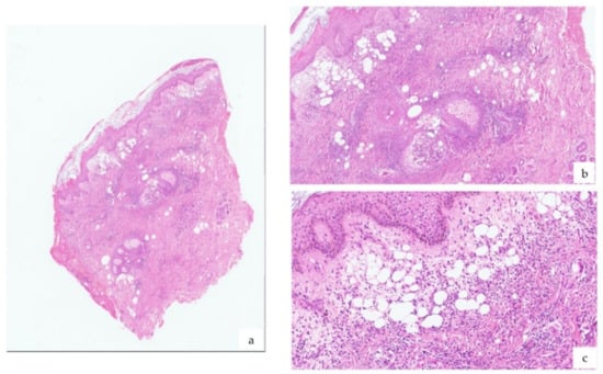
Our differential diagnosis included Sweet’s syndrome and linear IgA bullous dermatosis. Thus, a 5 mm punch biopsy was obtained from a lesion of the trunk for histopathological examination. A second skin biopsy was taken from the perilesional skin for direct immunofluorescence (DIF), alongside a peripheral blood sample for indirect immunofluorescence (IIF). Histopathology demonstrated a dense and diffuse mixed inflammatory infiltrate with a predominance of neutrophils, with subtle perivascular nuclear dust, dilatated capillaries, and prominent edema of the upper dermis (Figure 2). Either DIF or IIF gave negative results. Collectively, the clinicopathological findings were consistent with a diagnosis of Sweet’s syndrome.
Figure 2. Histopathological examination of a lesion showed a dense inflammatory infiltrate and edema of the papillary dermis (a) (H&E); up-close views (b,c) (H&E).
As soon as he received the diagnosis, the patient proceeded to report the event to the pharmacovigilance system.
The patient received methylprednisolone (4 mg/kg/die) intravenously for three consecutive days, followed by a tapering course of oral prednisone.
The patient achieved complete resolution of the skin rash within 3 weeks of treatment.

3. Discussion

BNT162b2 is a nucleoside mRNA vaccine formulated in lipidic nanoparticles, which deliver the non-replicating RNA into host cells, leading to transient expression of the SARS-CoV-2 S antigen [6]. The dose schedule consists of two 30 μg doses administered 21 days apart. A phase III trial, including 43,548 participants, reported mild–moderate cutaneous reactions, mainly consisting of redness and swelling at the injection site [7].
Real-world data show a wide spectrum of post-vaccination cutaneous reactions, including local injection site reactions, urticaria, and morbilliform eruptions, pernio/chilblains, and a number of immune-mediated dermatoses [8].
To our knowledge, only three cases of Sweet’s syndrome after Covid-19 vaccines have been reported [9,10,11] and only one of them after the BNT162b2 vaccine [10] (Table 1). One of them, as in our case, had only cutaneous involvement and was related to BNT162b2; the other two also displayed extracutaneous manifestations such as arthritis, polymyositis, acute encephalitis, and myoclonus and were associated with other COVID-19 vaccines.
Table 1. Sweet’s syndrome cases reported after Covid-19 vaccination.
Sweet’s syndrome, also known as “acute febrile neutrophilic dermatosis,” is characterized by tender erythematous plaques and nodules with concomitant systemic symptoms such as fever, arthralgia, or malaise and diffuse neutrophilic infiltrate in the papillary dermis [12]. Triggers of Sweet’s syndrome include malignancies, medication, infections [13], and also vaccines [14,15,16,17,18]. Sweet’s syndrome is considered a prototype of autoinflammatory disorders due to the pathogenic role of innate immunity cytokines, including IL-1, TNF-alfa, and IL-6 [19]. In addition, a dysregulated acquired immunity also contributes to Sweet’s syndrome pathogenesis, with increased activation of Th17 and Th1 cells in the lesional skin [20]. Histopathologically, due to the presence of variable nuclear dust around post-capillary venules, a close relationship between Sweet’s syndrome and leukocytoclastic vasculitis has been postulated [21].
Vaccines have been proposed as immune-mediated diseases triggers; moreover, they usually contain adjuvants, substances that enhance the innate immune system and boost T cell activation. The mRNA contained in the novel vaccines serves both as an immunogen and adjuvant, being directly responsible for the onset of immune-mediated adverse events [22,23].
On the other hand, some authors observed that the dermatologic reactions to mRNA vaccines are often mimickers of those that occurred during SARS-CoV2 infection itself, strengthening the hypothesis that the immune response to the virus is responsible for most of its manifestations [8]. Accordingly, some cases of Sweet’s syndrome following SarS-CoV-2 infection have been reported [24,25].
In conclusion, we reported a case of Sweet’s syndrome developed shortly after the first dose of an mRNA vaccine against SARS-CoV2 infection. The short latency time in this case strongly supports the pathogenic role of the vaccine as a cause of Sweet’s syndrome in our patient. In the near future, it is expected that the use of mRNA vaccines will increase significantly. As a result, further accumulation of immune-mediated skin reactions induced by this new technology is of paramount importance.

Author Contributions

Conceptualization, M.E.B., R.M. and E.A.; methodology, R.M., S.S. and N.G.; investigation, M.E.B., F.M. and D.M.; resources, D.M. and E.A.; writing—original draft preparation, M.E.B. and R.M.; writing—review and editing, F.M., S.S. and N.G.; supervision, D.M. and E.A. All authors have read and agreed to the published version of the manuscript.

Funding

This research received no external funding.

Institutional Review Board Statement

Ethical review and approval were waived for this study, since for case reports just informed consent from the patient is required.

Data Availability Statement

Data are available upon request to the corresponding author.

Conflicts of Interest

The authors declare no conflict of interest.

References

  1. WHO. Coronavirus (COVID-19) Dashboard. Available online: https://covid19.who.int/ (accessed on 16 October 2021).
  2. Pfizer. Pfizer and BioNTech Achieve First Authorization in the World for a Vaccine to Combat COVID-19 [Media Release]. Available online: https://www.pfizer.com/news/press-release/press-release-detail/pfizer-and-biontech-achieve-first-authorization-world (accessed on 2 December 2020).
  3. European Medicine Agency. The European Commission Authorized the First Vaccine to Prevent COVID-19 in the EU, Following Evaluation by EMA. Available online: https://ec.europa.eu/health/documents/community-register/html/h1528.htm (accessed on 16 October 2021).
  4. US Food and Drug Administration. FDA Takes Key Action in Fight against COVID-19 by Issuing Emergency Use Authorization for First COVID-19 Vaccine [Media Release]. Available online: https://www.fda.gov/news-events/press-announcements/fda-takes-key-action-fight-against-covid-19-issuing-emergency-use-authorization-first-covid-19 (accessed on 2 December 2020).
  5. Larson, V.; Seidenberg, R.; Caplan, A.; Brinster, N.K.; Meehan, S.A.; Kim, R.H. Clinical and histopathological spectrum of delayed adverse cutaneous reactions following COVID-19 vaccination. J. Cutan. Pathol. 2021, 22, 10. [Google Scholar] [CrossRef]
  6. European Medicines Agency. Covid-19 mRNA Vaccine (Comirnaty): EU Summary of Product Characteristics. Available online: https://www.ema.europa.eu/en/medicines/human/EPAR/comirnaty (accessed on 16 October 2021).
  7. Polack, F.P.; Thomas, S.J.; Kitchin, N.; Absalon, J.; Gurtman, A.; Lockhart, S.; Perez, J.L.; Marc, G.P.; Moreira, E.D.; Zerbini, C.; et al. Safety and efficacy of the BNT162b2 mRNA covid-19 vaccine. N. Engl. J. Med. 2020, 383, 2603–2615. [Google Scholar] [CrossRef] [PubMed]
  8. McMahon, D.E.; Amerson, E.; Rosenbach, M.; Lipoff, J.B.; Moustafa, D.; Tyagi, A.; Desai, S.R.; French, L.E.; Lim, H.W.; Thiers, B.H.; et al. Cutaneous reactions reported after Moderna and Pfizer COVID-19 vaccination: A registry-based study of 414 cases. J. Am. Acad. Dermatol. 2021, 85, 46–55. [Google Scholar] [CrossRef] [PubMed]
  9. Torrealba-Acosta, G.; Martin, J.C.; Huttenbach, Y.; Garcia, C.R.; Sohail, M.R.; Agarwal, S.K.; Wasko, C.; Bershad, E.M.; Hirzallah, M.I. Acute encephalitis, myoclonus and Sweet syndrome after mRNA-1273 vaccine. BMJ Case Rep. 2021, 14, e243173. [Google Scholar] [CrossRef] [PubMed]
  10. Darrigade, A.S.; Théophile, H.; Sanchez-Pena, P.; Milpied, B.; Colbert, M.; Pedeboscq, S.; Pistone, T.; Jullié, M.L.; Seneschal, J. Sweet syndrome induced by SARS-CoV-2 Pfizer-BioNTech mRNA vaccine. Allergy 2021, 76, 3194–3196. [Google Scholar] [CrossRef] [PubMed]
  11. Capassoni, M.; Ketabchi, S.; Cassisa, A.; Caramelli, R.; Molinu, A.A.; Galluccio, F.; Guiducci, S. AstraZeneca (AZD1222) COVID-19 vaccine-associated adverse drug event: A case report. J. Med. Virol. 2021, 93, 5718–5720. [Google Scholar] [CrossRef] [PubMed]
  12. Rochet, N.M.; Chavan, R.N.; Cappel, M.A.; Wada, D.A.; Gibson, L.E. Sweet syndrome: Clinical presentation, associations, and response to treatment in 77 patients. J. Am. Acad. Dermatol. 2013, 69, 557–564. [Google Scholar] [CrossRef] [PubMed]
  13. Heath, M.S.; Ortega-Loayza, A.G. Insights into the Pathogenesis of Sweet’s Syndrome. Front. Immunol. 2019, 10, 414. [Google Scholar] [CrossRef] [PubMed] [Green Version]
  14. Pedrosa, A.F.; Morais, P.; Nogueira, A.; Pardal, J.; Azevedo, F. Sweet’s syndrome triggered by pneumococcal vaccination. Cutan. Ocul. Toxicol. 2013, 32, 260–261. [Google Scholar] [CrossRef] [PubMed]
  15. Jovanovic, M.; Poljacki, M.; Vujanovic, L.; Duran, V. Acute febrile neutrophilic dermatosis (Sweet’s syndrome) after influenza vaccination. J. Am. Acad. Dermatol. 2005, 5, 367–369. [Google Scholar] [CrossRef] [PubMed]
  16. Carpentier, O.; Piette, F.; Delaporte, E. Sweet’s syndrome after BCG vaccination. Acta Derm. Venereol. 2002, 82, 221. [Google Scholar] [CrossRef] [PubMed]
  17. Maddox, P.R.; Motley, R.J. Sweet’s syndrome: A severe complication of pneumococcal vaccination following emergency splenectomy. Br. J. Surg. 1990, 77, 809–810. [Google Scholar] [CrossRef] [PubMed]
  18. Radeff, B.; Harms, M. Acute febrile neutrophilic dermatosis (Sweet’s syndrome) following BCG vaccination. Acta Derm. Venereol. 1986, 66, 357–358. [Google Scholar] [PubMed]
  19. Marzano, A.V.; Fanoni, D.; Antiga, E.; Quaglino, P.; Caproni, M.; Crosti, C.; Meroni, P.L.; Cugno, M. Expression of cytokines, chemokines and other effector molecules in two prototypic autoinflammatory skin diseases, pyoderma gangrenosum and Sweet’s syndrome. Clin. Exp. Immunol. 2014, 178, 48–56. [Google Scholar] [CrossRef] [PubMed]
  20. Antiga, E.; Maglie, R.; Volpi, W.; Bianchi, B.; Berti, E.; Marzano, A.V.; Caproni, M. T helper type 1-related molecules as well as interleukin-15 are hyperexpressed in the skin lesions of patients with pyoderma gangrenosum. Clin. Exp. Immunol. 2017, 189, 383–391. [Google Scholar] [CrossRef] [PubMed] [Green Version]
  21. Ratzinger, G.; Burgdorf, W.; Zelger, B.G.; Zelger, B. Acute febrile neutrophilic dermatosis: A histopathologic study of 31 cases with review of literature. Am. J. Dermatopathol. 2007, 29, 125–133. [Google Scholar] [CrossRef] [PubMed]
  22. Teijaro, J.R.; Farber, D.L. COVID-19 vaccines: Modes of immune activation and future challenges. Nat. Rev. Immunol. 2021, 21, 195–197. [Google Scholar] [CrossRef] [PubMed]
  23. Watad, A.; De Marco, G.; Mahajna, H.; Druyan, A.; Eltity, M.; Hijazi, N.; Haddad, A.; Elias, M.; Zisman, D.; Naffaa, M.E.; et al. Immune-Mediated Disease Flares or New-Onset Disease in 27 Subjects Following mRNA/DNA SARS-CoV-2 Vaccination. Vaccines 2021, 9, 435. [Google Scholar] [CrossRef] [PubMed]
  24. Taşkın, B.; Vural, S.; Altuğ, E.; Demirkesen, C.; Kocatürk, E.; Çelebi, İ.; Ferhanoğlu, B.; Alper, S. Coronavirus 19 presenting with atypical Sweet’s syndrome. J. Eur. Acad. Dermatol. Venereol. 2020, 34, e534–e535. [Google Scholar] [CrossRef] [PubMed]
  25. Berro, S.; Calas, A.; Sohier, P.; Darbord, D.; Dupin, N. Sweet’s Syndrome Three Weeks after a Severe COVID-19 Infection: A Case Report. Acta Derm. Venereol. 2021, 101, adv00486. [Google Scholar] [CrossRef] [PubMed]
Publisher’s Note: MDPI stays neutral with regard to jurisdictional claims in published maps and institutional affiliations.

Article Metrics

Citations

Article Access Statistics

Multiple requests from the same IP address are counted as one view.