Multiple Gene Deletion Mutants of Equine Herpesvirus 1 Exhibit Strong Protective Efficacy Against Wild Virus Challenge in a Murine Model
Abstract
1. Introduction
2. Materials and Methods
2.1. Virus
2.2. Ethical Statement
2.3. Experimental Design to Determine the Pathogenicity and Protective Efficacy of the vToH-DMV and vToH-QMV Vaccine Candidates in Mice
2.4. Sample Collection
2.5. Clinical Evaluation and Necropsy
2.6. Evaluation of Immune Responses in Immunized Mice
2.6.1. Estimation of Humoral Immune Response Using Serum Neutralization Assay
2.6.2. Estimation of Humoral Immune Response by Indirect ELISA Test
2.6.3. Determination of Isotyping of Antibody
2.6.4. Estimation of CD4+ and CD8+ Lymphocyte Populations by Flow Cytometry
2.7. Histopathology
2.8. Detection of EHV1 Antigen by Indirect Immunoperoxidase Test (IIPT)
2.9. EHV1 Viral Load Quantification by Quantitative PCR (qPCR)
2.10. Statistical Analysis
3. Results
3.1. Mice Immunized with the Mutant EHV1 Exhibited Higher EHV1-Specific Serum Neutralization Antibody Titers Compared to the Wild-Type Group
3.2. Cell-Mediated Immune Response Against a Virulent EHV1 Challenge
3.3. Assessment of Clinical Signs and Body Weights in Mice upon Immunization and Challenge
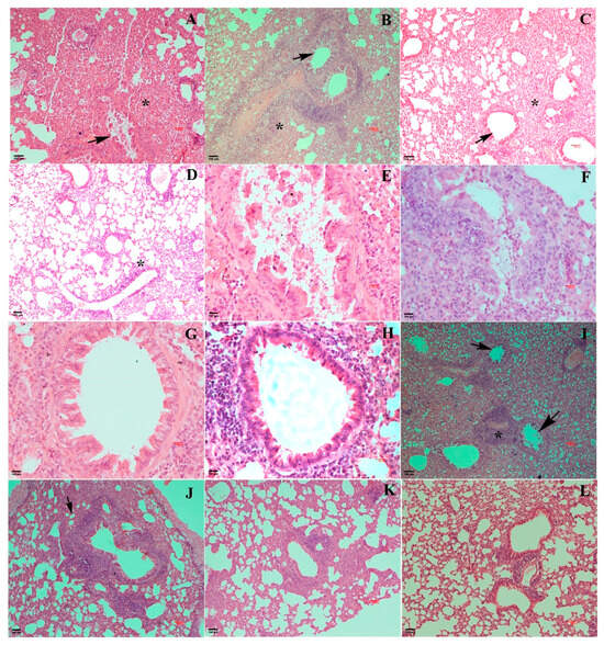
3.4. Pathological Changes Exhibited by EHV1 Mutants Vis-à-Vis Wt Post-Challenge
3.5. Nucleic Acid Quantification of EHV1 Mutants Against Wt Post Challenge by qPCR
4. Discussion
5. Conclusions
Supplementary Materials
Author Contributions
Funding
Institutional Review Board Statement
Data Availability Statement
Acknowledgments
Conflicts of Interest
References
- Laval, K.; Poelaert, K.C.; Van Cleemput, J.; Zhao, J.; Vandekerckhove, A.P.; Gryspeerdt, A.C.; Garré, B.; van der Meulen, K.; Baghi, H.B.; Dubale, H.N.; et al. The pathogenesis and immune evasive mechanisms of equine herpesvirus type 1. Front. Microbiol. 2021, 12, 662686. [Google Scholar] [CrossRef] [PubMed]
- Allen, G.P.; Kydd, J.H.; Slater, J.D.; Smith, K.C. Equid herpesvirus 1 and equid herpesvirus 4 infections. In Infectious Diseases of Livestock, Coetzer, J.A.W., Tustin, R.C., Eds.; 2nd ed.; Oxford Press: Cape Town, South Africa, 2004; Volume 2, pp. 829–859. [Google Scholar]
- Pavulraj, S.; Eschke, K.; Theisen, J.; Westhoff, S.; Reimers, G.; Andreotti, S.; Osterrieder, N.; Azab, W. Equine herpesvirus type 4 (EHV4) outbreak in Germany: Virological, serological, and molecular investigations. Pathogens 2021, 10, 810. [Google Scholar] [CrossRef]
- Stasiak, K.; Rola, J.; Ploszay, G.; Socha, W.; Zmudzinski, J.F. Detection of the neuropathogenic variant of equine herpesvirus 1 associated with abortions in mares in Poland. BMC Vet. Res. 2015, 11, 102. [Google Scholar] [CrossRef]
- Anagha, G.; Gulati, B.R.; Riyesh, T.; Virmani, N. Genetic characterization of equine herpesvirus 1 isolates from abortion outbreaks in India. Arch. Virol. 2017, 162, 157–163. [Google Scholar] [CrossRef]
- ICAR-NRCE Annual Report 2018-19. Available online: http://nrce.gov.in/wp-content/uploads/2020/05/NRCE-AR-2018-19_Final-16.pdf (accessed on 10 January 2024).
- Pusterla, N.; Barnum, S.; Miller, J.; Varnell, S.; Dallap-Schaer, B.; Aceto, H.; Simeone, A. Investigation of an EHV1 outbreak in the United States caused by a new H752 genotype. Pathogens 2021, 10, 747. [Google Scholar] [CrossRef] [PubMed]
- Sutton, G.; Normand, C.; Carnet, F.; Couroucé, A.; Garvey, M.; Castagnet, S.; Fortier, C.I.; Hue, E.S.; Marcillaud-Pitel, C.; Legrand, L.; et al. Equine herpesvirus 1 variant and new marker for epidemiologic surveillance, Europe, 2021. Emerg. Infect. Dis. 2021, 27, 2738–2739. [Google Scholar] [CrossRef] [PubMed]
- Bresgen, C.; Lämmer, M.; Wagner, B.; Osterrieder, N.; Damiani, A.M. Serological responses and clinical outcome after vaccination of mares and foals with equine herpesvirus type 1 and 4 (EHV1 and EHV4) vaccines. Vet. Microbiol. 2012, 160, 9–16. [Google Scholar] [CrossRef]
- Goodman, L.B.; Wagner, B.; Flaminio, M.J.B.F.; Sussman, K.H.; Metzger, S.M.; Holland, R.; Osterrieder, N. Comparison of the efficacy of inactivated combination and modified-live virus vaccines against challenge infection with neuropathogenic equine herpesvirus type 1 (EHV-1). Vaccine 2006, 24, 3636–3645. [Google Scholar] [CrossRef] [PubMed]
- Khusro, A.; Aarti, C.; Rivas-Caceres, R.R.; Barbabosa-Pliego, A. Equine Herpesvirus-I Infection in Horses: Recent Updates on its Pathogenicity, Vaccination, and Preventive Management Strategies. J. Equine Vet. Sci. 2020, 87, 102923. [Google Scholar] [CrossRef]
- Minke, J.M.; Audonnet, J.C.; Fischer, L. Equine viral vaccines: The past, present and future. Vet. Res. 2004, 35, 425–443. [Google Scholar] [CrossRef] [PubMed]
- Hussey, G.S.; Hussey, S.B.; Wagner, B.; Horohov, D.W.; Van de Walle, G.R.; Osterrieder, N.; Goehring, L.S.; Rao, S.; Lunn, D.P. Evaluation of immune responses following infection of ponies with an EHV1 ORF1/2 deletion mutant. Vet. Res. 2011, 42, 23. [Google Scholar] [CrossRef] [PubMed]
- Kydd, J.H.; Townsend, H.G.G.; Hannant, D. The equine immune response to equine herpesvirus-1: The virus and its vaccines. Vet. Immunol. Immunopathol. 2006, 111, 15–30. [Google Scholar] [CrossRef]
- Goodman, L.B.; Wimer, C.; Dubovi, E.J.; Gold, C.; Wagner, B. Immunological correlates of vaccination and infection for equine herpesvirus 1. Clin. Vaccine Immunol. 2012, 19, 235–241. [Google Scholar] [CrossRef]
- Damiani, A.M.; de Vries, M.; Reimers, G.; Winkler, S.; Osterrieder, N. A severe equine herpesvirus type 1 (EHV1) abortion outbreak caused by a neuropathogenic strain at a breeding farm in northern Germany. Vet. Microbiol. 2014, 172, 555–562. [Google Scholar] [CrossRef]
- Awan, A.R.; Chong, Y.C.; Field, H.J. The pathogenesis of equine herpesvirus type 1 in the mouse: A new model for studying host responses to the infection. J. Gen. Virol. 1990, 71, 1131–1140. [Google Scholar] [CrossRef] [PubMed]
- Osterrieder, N.; Holden, V.R.; Brandmuller, C.; Neubauer, A.; Kaaden, O.R.; O’Callaghan, D.J. The equine herpesvirus 1 IR6 protein is nonessential for virus growth in vitro and modified by serial virus passage in cell culture. Virology 1996, 217, 442–451. [Google Scholar] [CrossRef][Green Version]
- Van de Walle, G.R.; May, M.A.; Peters, S.T.; Metzger, S.M.; Rosas, C.T.; Osterrieder, N. A vectored equine herpesvirus type 1 (EHV-1) vaccine elicits protective immune responses against EHV-1 and H3N8 equine influenza virus. Vaccine 2010, 28, 1048–1055. [Google Scholar] [CrossRef] [PubMed]
- Kim, S.K.; Shakya, A.K.; O’Callaghan, D.J. Immunization with attenuated equine herpesvirus 1 strain KyA induces innate immune responses that protect mice from lethal challenge. J. Virol. 2016, 90, 8090–8104. [Google Scholar] [CrossRef]
- Balena, V.; Pradhan, S.S.; Bera, B.C.; Anand, T.; Sansanwal, R.; Khetmalis, R.; Madhwal, A.; Bernela, M.; Supriya, K.; Pavulraj, S.; et al. Double and quadruple deletion mutant of EHV1 is highly attenuated and induces optimal immune response. Vaccine 2023, 41, 1081–1093. [Google Scholar] [CrossRef] [PubMed]
- Rosas, C.T.; Goodman, L.B.; Von Einem, J.; Osterrieder, N. Equine herpesvirus type 1 modified live virus vaccines: Quo vaditis? Expert Rev. Vaccines 2006, 5, 119–131. [Google Scholar] [CrossRef] [PubMed]
- Singh, B.K.; Gulati, B.R.; Poonia, B. Differentiation of Indian Isolates of Equine Herpes Virus (EHV-1) by Restriction Endonuclease Digestion. Indian J. Biotechnol. 2002, 1, 397–400. [Google Scholar]
- Tsujimura, K.; Yamanaka, T.; Kondo, T.; Fukushi, H.; Matsumura, T. Pathogenicity and immunogenicity of equine herpesvirus type 1 mutants defective in either gI or gE gene in murine and hamster models. J. Vet. Med. Sci. 2006, 68, 1029–1038. [Google Scholar] [CrossRef] [PubMed]
- Luna, L.G. Manual of Histologic Methods of the Armed Forces Institute of Pathology, 3rd ed.; McGraw-Hill Book Company, Blakiston Division: New York, NY, USA, 1968; pp. 238–240. [Google Scholar]
- Pavulraj, S.; Virmani, N.; Bera, B.C.; Joshi, A.; Anand, T.; Virmani, M.; Singh, R.; Singh, R.K.; Tripathi, B.N. Immunogenicity and protective efficacy of inactivated equine influenza (H3N8) virus vaccine in murine model. Vet. Microbiol. 2017, 210, 188–196. [Google Scholar] [CrossRef]
- Virmani, N.; Panisup, A.D.; Singh, B.K. Immunohistochemical diagnosis of Equine herpesvirus-1 infection employing microwave irradiation for reducing the processing time. Indian J. Vet. Pathol. 2004, 28, 1–3. [Google Scholar]
- Chen, L.; Yu, B.; Hua, J.; Ye, W.; Ni, Z.; Yun, T.; Deng, X.; Zhang, C. Construction of a full-length infectious bacterial artificial chromosome clone of duck enteritis virus vaccine strain. Virol. J. 2013, 10, 328. [Google Scholar] [CrossRef]
- Schnabel, C.L.; Babasyan, S.; Rollins, A.; Freer, H.; Wimer, C.L.; Perkins, G.A.; Raza, F.; Osterrieder, N.; Wagner, B. An equine herpesvirus type 1 (EHV1) Ab4 open reading frame 2 deletion mutant provides immunity and protection from EHV1 infection and disease. J. Virol. 2019, 93, e01011-19. [Google Scholar] [CrossRef]
- McKendall, R.R.; Woo, W. Murine IgG subclass responses to herpes simplex virus type 1 and polypeptides. J. Gen. Virol. 1988, 69, 847–857. [Google Scholar] [CrossRef]
- Ishizaka, S.T.; Piacente, P.; Silva, J.; Mishkin, E.M. IgG subtype is correlated with efficiency of passive protection and effector function of anti-herpes simplex virus glycoprotein D monoclonal antibodies. J. Infect. Dis. 1995, 172, 1108–1111. [Google Scholar] [CrossRef]
- Perkins, G.; Babasyan, S.; Stout, A.E.; Freer, H.; Rollins, A.; Wimer, C.L.; Wagner, B. Intranasal IgG4/7 antibody responses protect horses against equid herpesvirus-1 (EHV1) infection including nasal virus shedding and cell-associated viremia. Virology 2019, 531, 219–232. [Google Scholar] [CrossRef] [PubMed]
- van der Meulen, K.M.; Favoreel, H.W.; Pensaert, M.B.; Nauwynck, H.J. Immune escape of equine herpesvirus 1 and other herpesviruses of veterinary importance. Vet. Immunol. Immunopathol. 2006, 111, 31–40. [Google Scholar] [CrossRef] [PubMed]
- O’Neill, T.; Kydd, J.H.; Allen, G.P.; Wattrang, E.; Mumford, J.A.; Hannant, D. Determination of equid herpesvirus 1-specific CD8+ cytotoxic T lymphocyte precursor frequencies in ponies. Vet. Immunol. Immunopathol. 1999, 70, 43–54. [Google Scholar] [CrossRef]
- Rusli, N.D.; Mat, K.B.; Harun, H.C. A review: Interactions of equine herpesvirus-1 with immune system and equine lymphocyte. Open J. Vet. Med. 2014, 4, 294–307. [Google Scholar] [CrossRef]
- Wimer, C.L.; Schnabel, C.L.; Perkins, G.; Babasyan, S.; Freer, H.; Stout, A.E.; Rollins, A.; Osterrieder, N.; Goodman, L.B.; Glaser, A.; et al. The deletion of the ORF1 and ORF71 genes reduces virulence of the neuropathogenic EHV1 strain Ab4 without compromising host immunity in horses. PLoS ONE 2018, 13, e0206679. [Google Scholar] [CrossRef] [PubMed]
- Hannant, D.; O’Neill, T.; Ostlund, E.; Kydd, J.; Hopkin, P.; Mumford, J. Equid herpesvirus-induced lymphoid circulating immunosuppression is due to cells and not soluble factors. Viral Immunol. 1999, 12, 313–321. [Google Scholar] [CrossRef]
- Kaech, S.M.; Wherry, E.J.; Ahmed, R. Effector and memory T-cell differentiation: Implications for vaccine development. Nat. Rev. Immunol. 2002, 2, 251–262. [Google Scholar] [CrossRef] [PubMed]
- Huang, T.; Lehmann, M.J.; Said, A.; Ma, G.; Osterrieder, N. Major histocompatibility complex class I downregulation induced by equine herpesvirus type 1 pUL56 is through dynamin-dependent endocytosis. J. Virol. 2014, 88, 12802–12815. [Google Scholar] [CrossRef]
- Wagner, B.; Perkins, G.; Babasyan, S.; Freer, H.; Keggan, A.; Goodman, L.B.; Björnsdóttir, S. Neonatal immunization with a single IL-4/antigen dose induces increased antibody responses after challenge infection with equine herpesvirus type 1 (EHV1) at weanling age. PLoS ONE 2017, 12, e0169072. [Google Scholar] [CrossRef]
- Walker, C.; Packiarajah, P.; Gilkerson, J.R.; Love, D.N.; Whalley, J.M. Primary and challenge infection of mice with equine herpesvirus strain HSV25A. Virus Res. 1998, 57, 151–162. [Google Scholar] [CrossRef]
- Bartels, T.; Steinbach, F.; Hahn, G.; Ludwig, H.; Borchers, K. In situ study on the pathogenesis and immune reaction of equine herpesvirus type 1 (EHV1) infections in mice. Immunology 1998, 93, 329–334. [Google Scholar] [CrossRef]
- Walker, C.; Love, D.N.; Whalley, J.M. Comparison of the pathogenesis of acute equine herpesvirus 1 (EHV1) infection in the horse and the mouse model: A review. Vet. Microbiol. 1999, 68, 3–13. [Google Scholar] [CrossRef]
- Kaashoek, M.J.; Moerman, A.; Madić, J.; Rijsewijk, F.A.M.; Quak, J.; Gielkens, A.L.J.; Van Oirschot, J.T. A conventionally attenuated glycoprotein E-negative strain of bovine herpesvirus type 1 is an efficacious and safe vaccine. Vaccine 1994, 12, 439–444. [Google Scholar] [CrossRef]
- Kruger, J.M.; Sussman, M.D.; Maes, R.K. Glycoproteins gI and gE of Feline Herpesvirus-1 are virulence genes: Safety and efficacy of a gI-gE− deletion mutant in the natural host. Virology 1996, 220, 299–308. [Google Scholar] [CrossRef] [PubMed]
- Damiani, A.M.; Matsumura, T.; Yokoyama, N.; Mikami, T.; Takahashi, E. A deletion in the gI and gE genes of equine herpesvirus type 4 reduces viral virulence in the natural host and affects virus transmission during cell-to-cell spread. Virus Res. 2000, 67, 189–202. [Google Scholar] [CrossRef]
- Rouse, B.T.; Sehrawat, S. Immunity and immunopathology to viruses: What decides the outcome? Nat. Rev. Immunol. 2010, 10, 514–526. [Google Scholar] [CrossRef] [PubMed]
- Galani, I.E.; Andreakos, E. Neutrophils in viral infections: Current concepts and caveats. J. Leucoc. Biol. 2015, 98, 557–564. [Google Scholar] [CrossRef] [PubMed]
- Schnabel, C.L.; Wimer, C.L.; Perkins, G.; Babasyan, S.; Freer, H.; Watts, C.; Rollins, A.; Osterrieder, N.; Wagner, B. Deletion of the ORF2 gene of the neuropathogenic equine herpesvirus type 1 strain Ab4 reduces virulence while maintaining strong immunogenicity. BMC Vet. Res. 2018, 14, 245. [Google Scholar] [CrossRef]
- Tsujimura, K.; Shiose, T.; Yamanaka, T.; Nemoto, M.; Kondo, T.; Matsumura, T. Equine herpesvirus type 1 mutant defective in glycoprotein E gene as candidate vaccine strain. J. Vet. Med. Sci. 2009, 71, 1439–1448. [Google Scholar] [CrossRef] [PubMed][Green Version]










Disclaimer/Publisher’s Note: The statements, opinions and data contained in all publications are solely those of the individual author(s) and contributor(s) and not of MDPI and/or the editor(s). MDPI and/or the editor(s) disclaim responsibility for any injury to people or property resulting from any ideas, methods, instructions or products referred to in the content. |
© 2025 by the authors. Licensee MDPI, Basel, Switzerland. This article is an open access article distributed under the terms and conditions of the Creative Commons Attribution (CC BY) license (https://creativecommons.org/licenses/by/4.0/).
Share and Cite
Pradhan, S.S.; Balena, V.; Bera, B.C.; Anand, T.; Khetmalis, R.; Madhwal, A.; Kandasamy, S.; Pavulraj, S.; Bernela, M.; Mor, P.; et al. Multiple Gene Deletion Mutants of Equine Herpesvirus 1 Exhibit Strong Protective Efficacy Against Wild Virus Challenge in a Murine Model. Vaccines 2025, 13, 45. https://doi.org/10.3390/vaccines13010045
Pradhan SS, Balena V, Bera BC, Anand T, Khetmalis R, Madhwal A, Kandasamy S, Pavulraj S, Bernela M, Mor P, et al. Multiple Gene Deletion Mutants of Equine Herpesvirus 1 Exhibit Strong Protective Efficacy Against Wild Virus Challenge in a Murine Model. Vaccines. 2025; 13(1):45. https://doi.org/10.3390/vaccines13010045
Chicago/Turabian StylePradhan, Stephanie S., Vekataramireddy Balena, Bidhan Chandra Bera, Taruna Anand, Rhushikesh Khetmalis, Aashwina Madhwal, Supriya Kandasamy, Selvaraj Pavulraj, Manju Bernela, Priya Mor, and et al. 2025. "Multiple Gene Deletion Mutants of Equine Herpesvirus 1 Exhibit Strong Protective Efficacy Against Wild Virus Challenge in a Murine Model" Vaccines 13, no. 1: 45. https://doi.org/10.3390/vaccines13010045
APA StylePradhan, S. S., Balena, V., Bera, B. C., Anand, T., Khetmalis, R., Madhwal, A., Kandasamy, S., Pavulraj, S., Bernela, M., Mor, P., Tripathi, B. N., & Virmani, N. (2025). Multiple Gene Deletion Mutants of Equine Herpesvirus 1 Exhibit Strong Protective Efficacy Against Wild Virus Challenge in a Murine Model. Vaccines, 13(1), 45. https://doi.org/10.3390/vaccines13010045

