Evaluation of a FlpA Glycoconjugate Vaccine with Ten N-Heptasaccharide Glycan Moieties to reduce Campylobacter jejuni Colonisation in Chickens
Abstract
1. Introduction
2. Materials and Methods
2.1. Design of a Construct for Expression of FlpA with up to 10 N-Heptasaccharide Glycan Moieties (FlpA-10×GT)
2.2. Protein Expression and Purification
2.3. Culture of Campylobacter jejuni
2.4. Development of a Challenge Model to Mimic Natural Transmission of C. jejuni
2.5. Trials to Evaluate the Efficacy of FlpA and FlpA-10×GT as Subunit Vaccines against C. jejuni
2.6. Analysis of Vaccine-Induced Humoral Immune Responses
2.7. Statistical Analysis
3. Results
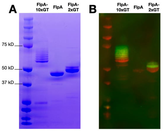
3.1. FlpA-10×GT Is N-Glycosylated to a Substantially Greater Extent Than FlpA-2×GT
3.2. Development of a Challenge Model to Mimic Natural Transmission of C. jejuni
3.3. Vaccination of Chickens with FlpA or FlpA-10×GT Does Not Significantly Reduce Caecal C. jejuni Colonisation
3.4. Antigen-Specific Humoral Immune Responses
4. Discussion
Supplementary Materials
Author Contributions
Funding
Institutional Review Board Statement
Informed Consent Statement
Data Availability Statement
Acknowledgments
Conflicts of Interest
References
- Havelaar, A.H.; Kirk, M.D.; Torgerson, P.R.; Gibb, H.J.; Hald, T.; Lake, R.J.; Praet, N.; Bellinger, D.C.; de Silva, N.R.; Gargouri, N.; et al. World Health Organization foodborne disease burden epidemiology reference group world health organization global estimates and regional comparisons of the burden of foodborne disease in 2010. PLoS Med. 2015, 12, e1001923. [Google Scholar] [CrossRef] [PubMed]
- Tam, C.C.; Rodrigues, L.C.; Viviani, L.; Dodds, J.P.; Evans, M.R.; Hunter, P.R.; Gray, J.J.; Letley, L.H.; Rait, G.; Tompkins, D.S.; et al. IID2 Study Executive Committee Longitudinal study of infectious intestinal disease in the UK (IID2 study): Incidence in the community and presenting to general practice. Gut 2012, 61, 69–77. [Google Scholar] [CrossRef] [PubMed]
- Tam, C.C.; O’Brien, S.J. Economic cost of Campylobacter, Norovirus and Rotavirus disease in the United Kingdom. PLoS ONE 2016, 11, e0138526. [Google Scholar] [CrossRef] [PubMed]
- Tam, C.C.; Higgins, C.D.; Neal, K.R.; Rodrigues, L.C.; Millership, S.E.; O’Brien, S.J. Campylobacter Case-Control Study Group Chicken consumption and use of acid-suppressing medications as risk factors for Campylobacter enteritis, England. Emerg. Infect. Dis. 2009, 15, 1402–1408. [Google Scholar] [CrossRef] [PubMed]
- Food Standards Agency, United Kingdom. A Microbiological Survey of Campylobacter Contamination in Fresh Whole UK-Produced Chilled Chickens at Retail Sale (Y5). Available online: https://www.food.gov.uk/print/pdf/node/6701 (accessed on 1 February 2024).
- Humphrey, S.; Chaloner, G.; Kemmett, K.; Davidson, N.; Williams, N.; Kipar, A.; Humphrey, T.; Wigley, P. Campylobacter jejuni is not merely a commensal in commercial broiler chickens and affects bird welfare. mBio 2014, 5, e01364-14. [Google Scholar] [CrossRef]
- Awad, W.A.; Molnár, A.; Aschenbach, J.R.; Ghareeb, K.; Khayal, B.; Hess, C.; Liebhart, D.; Dublecz, K.; Hess, M. Campylobacter infection in chickens modulates the intestinal epithelial barrier function. Innate Immun. 2014, 21, 151–160. [Google Scholar] [CrossRef] [PubMed]
- Awad, W.A.; Smorodchenko, A.; Hess, C.; Aschenbach, J.R.; Molnár, A.; Dublecz, K.; Khayal, B.; Pohl, E.E.; Hess, M. Increased intracellular calcium level and impaired nutrient absorption are important pathogenicity traits in the chicken intestinal epithelium during Campylobacter jejuni colonization. Appl. Microbiol. Biotechnol. 2015, 99, 6431–6441. [Google Scholar] [CrossRef] [PubMed]
- Rosenquist, H.; Nielsen, N.L.; Sommer, H.M.; Nørrung, B.; Christensen, B.B. Quantitative risk assessment of human campylobacteriosis associated with thermophilic Campylobacter species in chickens. Int. J. Food Microbiol. 2003, 83, 87–103. [Google Scholar] [CrossRef]
- Romero-Barrios, P.; Hempen, M.; Messens, W.; Stella, P.; Hugas, M. Quantitative microbiological risk assessment (QMRA) of food-borne zoonoses at the European level. Food Control 2013, 29, 343–349. [Google Scholar] [CrossRef]
- Garcia-Quintanilla, F.; Iwashkiw, J.A.; Price, N.L.; Stratilo, C.; Feldman, M.F. Production of a recombinant vaccine candidate against Burkholderia pseudomallei exploiting the bacterial N-glycosylation machinery. Front. Microbiol. 2014, 5, 381. [Google Scholar] [CrossRef]
- Wacker, M.; Wang, L.; Kowarik, M.; Dowd, M.; Lipowsky, G.; Faridmoayer, A.; Shields, K.; Park, S.; Alaimo, C.; Kelley, K.A.; et al. Prevention of Staphylococcus aureus infections by glycoprotein vaccines synthesized in Escherichia coli. J. Infect. Dis. 2014, 209, 1551–1561. [Google Scholar] [CrossRef] [PubMed]
- Riddle, M.S.; Kaminski, R.W.; Di Paolo, C.; Porter, C.K.; Gutierrez, R.L.; Clarkson, K.A.; Weerts, H.E.; Duplessis, C.; Castellano, A.; Alaimo, C.; et al. Safety and immunogenicity of a candidate bioconjugate vaccine against Shigella flexneri 2a administered to healthy adults: A single-blind, randomized Phase I Study. Clin. Vaccine Immunol. 2016, 23, 908–917. [Google Scholar] [CrossRef] [PubMed]
- Nothaft, H.; Davis, B.; Lock, Y.Y.; Perez-Munoz, M.E.; Vinogradov, E.; Walter, J.; Coros, C.; Szymanski, C.M. Engineering the Campylobacter jejuni N-glycan to create an effective chicken vaccine. Sci. Rep. 2016, 6, 26511. [Google Scholar] [CrossRef] [PubMed]
- Vohra, P.; Chintoan-Uta, C.; Bremner, A.; Mauri, M.; Terra, V.S.; Cuccui, J.; Wren, B.W.; Vervelde, L.; Stevens, M.P. Glycoengineering of Veterinary Vaccines Consortium. Evaluation of a Campylobacter jejuni N-glycan-ExoA glycoconjugate vaccine to reduce C. jejuni colonisation in chickens. Vaccine 2021, 39, 7413–7420. [Google Scholar] [CrossRef]
- Price, N.L.; Goyette-Desjardins, G.; Nothaft, H.; Valguarnera, E.; Szymanski, C.M.; Segura, M.; Feldman, M.F. Glycoengineered outer membrane vesicles: A novel platform for bacterial vaccines. Sci. Rep. 2016, 6, 24931. [Google Scholar] [CrossRef] [PubMed]
- Vohra, P.; Bremner, A.; Nicholls, B.; Chintoan-Uta, C.; Corona-Torres, R.; Stevens, M.P. Glycoengineering of Veterinary Vaccines Consortium. Evaluation of N-glycan-decorated live attenuated Escherichia coli and outer membrane vesicles as vaccines against Campylobacter jejuni colonisation in chickens. Vaccine 2023, 41, 4295–4301. [Google Scholar] [CrossRef] [PubMed]
- Vohra, P.; Chintoan-Uta, C.; Terra, V.S.; Bremner, A.; Cuccui, J.; Wren, B.W.; Vervelde, L.; Stevens, M.P. Glycoengineering of Veterinary Vaccines Consortium. Evaluation of glycosylated FlpA and SodB as subunit vaccines against Campylobacter jejuni colonisation in chickens. Vaccines 2020, 8, 520. [Google Scholar] [CrossRef] [PubMed]
- Neal-McKinney, J.M.; Samuelson, D.R.; Eucker, T.P.; Nissen, M.S.; Crespo, R.; Konkel, M.E. Reducing Campylobacter jejuni colonization of poultry via vaccination. PLoS ONE 2014, 9, e114254. [Google Scholar] [CrossRef] [PubMed]
- Marshall, L.E.; Nelson, M.; Davies, C.H.; Whelan, A.O.; Jenner, D.C.; Moule, M.G.; Denman, C.; Cuccui, J.; Atkins, T.P.; Wren, B.W.; et al. An O-antigen glycoconjugate vaccine produced using protein glycan coupling technology is protective in an inhalational rat model of tularemia. J. Immunol. Res. 2018, 2018, 8087916. [Google Scholar] [CrossRef]
- Valdivia, R.H.; Falkow, S. Bacterial genetics by flow cytometry: Rapid isolation of Salmonella typhimurium acid-inducible promoters by differential fluorescence induction. Mol. Microbiol. 1996, 22, 367–378. [Google Scholar] [CrossRef]
- Mauri, M.; Sannasiddappa, T.H.; Vohra, P.; Corona-Torres, R.; Smith, A.A.; Chintoan-Uta, C.; Bremner, A.; Terra, V.S.; Abouelhadid, S.; Stevens, M.P.; et al. Multivalent poultry vaccine development using Protein Glycan Coupling Technology. Microb. Cell Fact. 2021, 20, 193. [Google Scholar] [CrossRef] [PubMed]
- Gilroy, R.; Chaloner, G.; Wedley, A.; Lacharme-Lora, L.; Jopson, S.; Wigley, P. Campylobacter jejuni transmission and colonisation in broiler chickens is inhibited by faecal microbiota transplantation. BioRxiv 2018, 476119. [Google Scholar] [CrossRef]
- Lacharme-Lora, L.; Chaloner, G.; Gilroy, R.; Humphrey, S.; Gibbs, K.; Jopson, S.; Wright, E.; Reid, W.; Ketley, J.; Humphrey, T.; et al. B lymphocytes play a limited role in clearance of Campylobacter jejuni from the chicken intestinal tract. Sci. Rep. 2017, 7, 45090. [Google Scholar] [CrossRef] [PubMed]
- Schusser, B.; Collarini, E.J.; Yi, H.; Izquierdo, S.M.; Fesler, J.; Pedersen, D.; Klasing, K.C.; Kaspers, B.; Harriman, W.D.; van de Lavoir, M.C.; et al. Immunoglobulin knockout chickens via efficient homologous recombination in primordial germ cells. Proc. Natl. Acad. Sci. USA 2013, 110, 20170–20175. [Google Scholar] [CrossRef] [PubMed]
- Nothaft, H.; Perez-Muñoz, M.E.; Yang, T.; Murugan, A.V.M.; Miller, M.; Kolarich, D.; Plastow, G.S.; Walter, J.; Szymanski, C.M. Improving chicken responses to glycoconjugate vaccination against Campylobacter jejuni. Front. Microbiol. 2021, 12, 734526. [Google Scholar] [CrossRef] [PubMed]
- Nothaft, H.; Perez-Muñoz, M.E.; Gouveia, G.J.; Duar, R.M.; Wanford, J.J.; Lango-Scholey, L.; Panagos, C.G.; Srithayakumar, V.; Plastow, G.S.; Coros, C.; et al. Co-administration of the Campylobacter jejuni N-glycan based vaccine with probiotics improves vaccine performance in broiler chickens. Appl. Environ. Microbiol. 2017, 83, e01523-17. [Google Scholar] [CrossRef] [PubMed]
- Wyszyńska, A.; Raczko, A.; Lis, M.; Jagusztyn-Krynicka, E.K. Oral immunization of chickens with avirulent Salmonella vaccine strain carrying C. jejuni 72Dz/92 cjaA gene elicits specific humoral immune response associated with protection against challenge with wild-type Campylobacter. Vaccine 2004, 22, 1379–1389. [Google Scholar] [CrossRef] [PubMed]
- Buckley, A.M.; Wang, J.; Hudson, D.L.; Grant, A.J.; Jones, M.A.; Maskell, D.J.; Stevens, M.P. Evaluation of live-attenuated Salmonella vaccines expressing Campylobacter antigens for control of C. jejuni in poultry. Vaccine 2010, 28, 1094–1105. [Google Scholar] [CrossRef]
- Łaniewski, P.; Kuczkowski, M.; Chrząstek, K.; Woźniak, A.; Wyszyńska, A.; Wieliczko, A.; Jagusztyn-Krynicka, E.K. Evaluation of the immunogenicity of Campylobacter jejuni CjaA protein delivered by Salmonella enterica sv. Typhimurium strain with regulated delayed attenuation in chickens. World J. Microbiol. Biotechnol. 2014, 30, 281–292. [Google Scholar] [CrossRef]
- Layton, S.L.; Morgan, M.J.; Cole, K.; Kwon, Y.M.; Donoghue, D.J.; Hargis, B.M.; Pumford, N.R. Evaluation of Salmonella-vectored Campylobacter peptide epitopes for reduction of Campylobacter jejuni in broiler chickens. Clin. Vaccine Immunol. 2011, 18, 449–454. [Google Scholar] [CrossRef]
- Diard, M.; Bakkeren, E.; Lentsch, V.; Rocker, A.; Bekele, N.A.; Hoces, D.; Aslani, S.; Arnoldini, M.; Böhi, F.; Schumann-Moor, K.; et al. A rationally designed oral vaccine induces immunoglobulin A in the murine gut that directs the evolution of attenuated Salmonella variants. Nat. Microbiol. 2021, 6, 830–841. [Google Scholar] [CrossRef] [PubMed]





Disclaimer/Publisher’s Note: The statements, opinions and data contained in all publications are solely those of the individual author(s) and contributor(s) and not of MDPI and/or the editor(s). MDPI and/or the editor(s) disclaim responsibility for any injury to people or property resulting from any ideas, methods, instructions or products referred to in the content. |
© 2024 by the authors. Licensee MDPI, Basel, Switzerland. This article is an open access article distributed under the terms and conditions of the Creative Commons Attribution (CC BY) license (https://creativecommons.org/licenses/by/4.0/).
Share and Cite
Corona-Torres, R.; Vohra, P.; Chintoan-Uta, C.; Bremner, A.; Terra, V.S.; Mauri, M.; Cuccui, J.; Vervelde, L.; Wren, B.W.; Stevens, M.P., on behalf of the Glycoengineering of Veterinary Vaccines Consortium. Evaluation of a FlpA Glycoconjugate Vaccine with Ten N-Heptasaccharide Glycan Moieties to reduce Campylobacter jejuni Colonisation in Chickens. Vaccines 2024, 12, 395. https://doi.org/10.3390/vaccines12040395
Corona-Torres R, Vohra P, Chintoan-Uta C, Bremner A, Terra VS, Mauri M, Cuccui J, Vervelde L, Wren BW, Stevens MP on behalf of the Glycoengineering of Veterinary Vaccines Consortium. Evaluation of a FlpA Glycoconjugate Vaccine with Ten N-Heptasaccharide Glycan Moieties to reduce Campylobacter jejuni Colonisation in Chickens. Vaccines. 2024; 12(4):395. https://doi.org/10.3390/vaccines12040395
Chicago/Turabian StyleCorona-Torres, Ricardo, Prerna Vohra, Cosmin Chintoan-Uta, Abi Bremner, Vanessa S. Terra, Marta Mauri, Jon Cuccui, Lonneke Vervelde, Brendan W. Wren, and Mark P. Stevens on behalf of the Glycoengineering of Veterinary Vaccines Consortium. 2024. "Evaluation of a FlpA Glycoconjugate Vaccine with Ten N-Heptasaccharide Glycan Moieties to reduce Campylobacter jejuni Colonisation in Chickens" Vaccines 12, no. 4: 395. https://doi.org/10.3390/vaccines12040395
APA StyleCorona-Torres, R., Vohra, P., Chintoan-Uta, C., Bremner, A., Terra, V. S., Mauri, M., Cuccui, J., Vervelde, L., Wren, B. W., & Stevens, M. P., on behalf of the Glycoengineering of Veterinary Vaccines Consortium. (2024). Evaluation of a FlpA Glycoconjugate Vaccine with Ten N-Heptasaccharide Glycan Moieties to reduce Campylobacter jejuni Colonisation in Chickens. Vaccines, 12(4), 395. https://doi.org/10.3390/vaccines12040395

