Preliminary Study on Type I Interferon as a Mucosal Adjuvant for Human Respiratory Syncytial Virus F Protein
Abstract
1. Introduction
2. Materials and Methods
2.1. Cells and Animals
2.2. Major Instruments and Reagents
2.3. Construction of F Protein and IFN Adjuvants
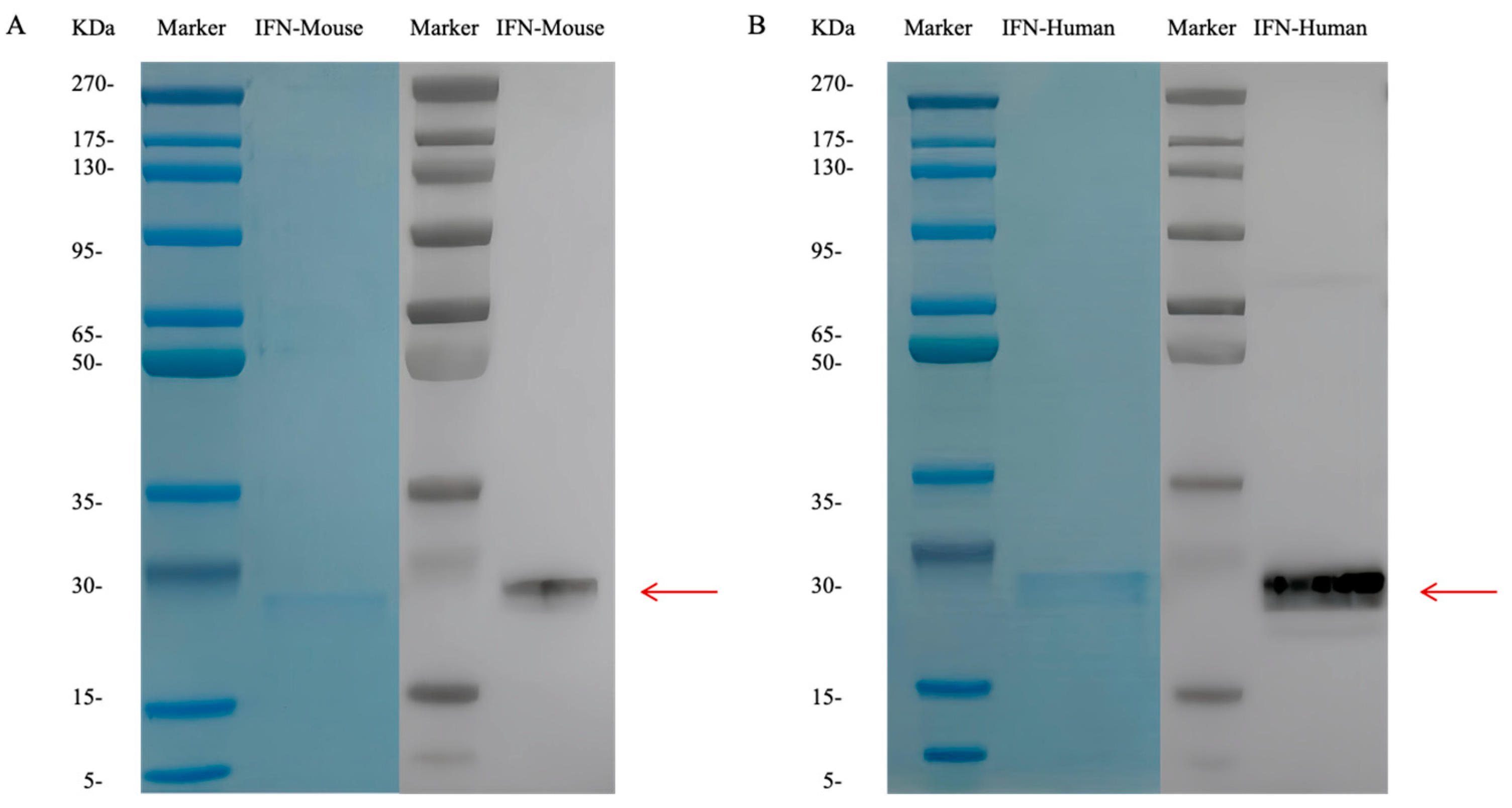
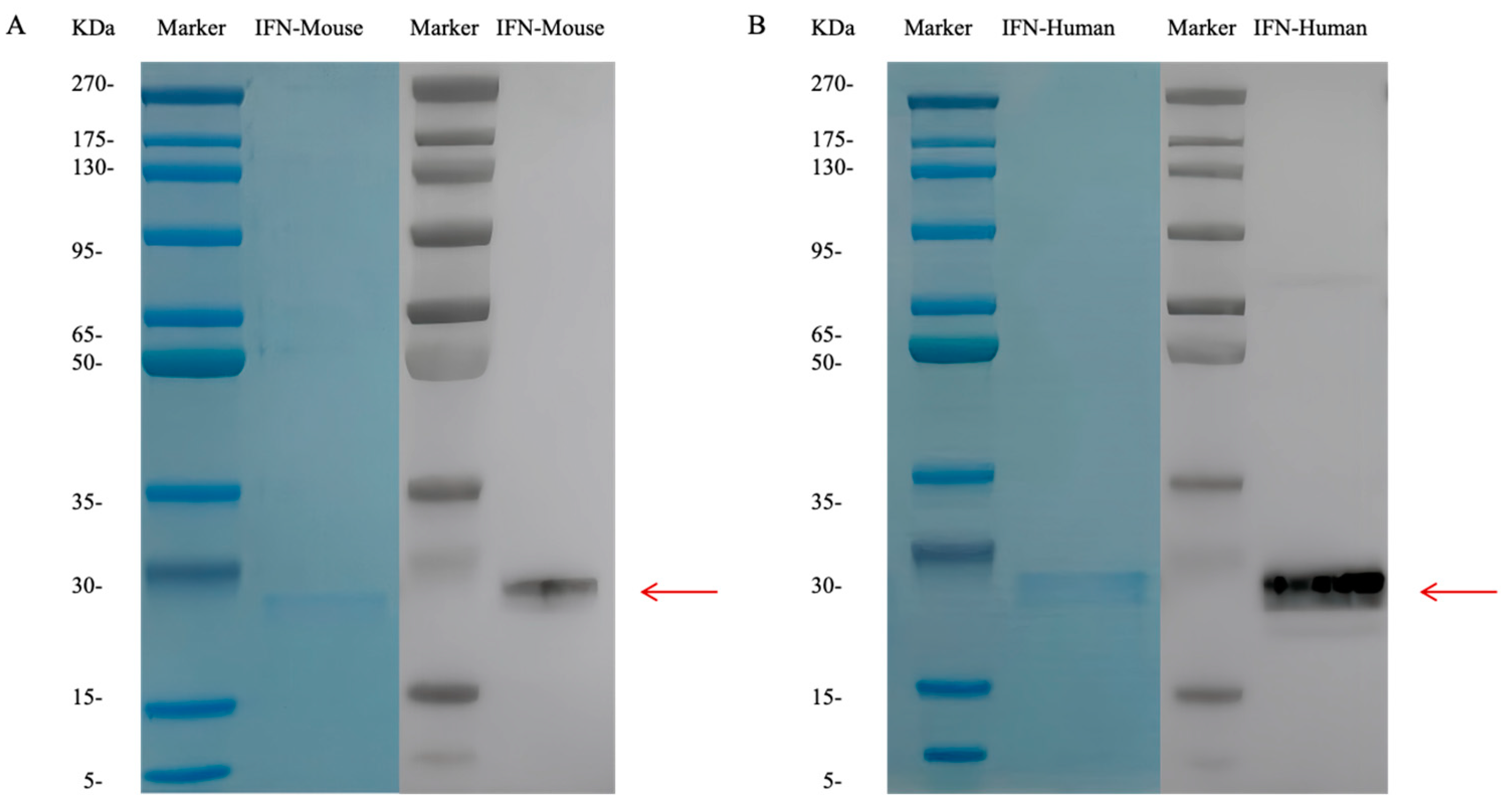
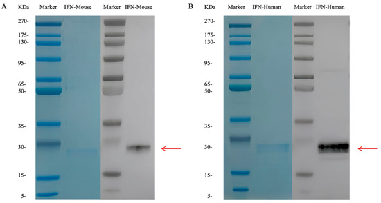
2.4. Expression and Purification Verification of IFN Adjuvants
2.5. Mouse Immunization Strategy
2.6. Sodium Dodecyl Sulfate Polyacrylamide Gel Electrophoresis (SDS-PAGE)
2.7. Enzyme-Linked Immunosorbent Assay (ELISA)
2.8. HRSV Neutralization Assay
2.9. Enzyme-Linked Immunospot Assay (ELISPOT)
2.10. Measurement of Viral Load in Mouse Lung Tissues
2.11. Statistical Analysis
3. Results
3.1. Expression Identification of Two Types of IFN Mucosal Adjuvants
3.2. IFN as a Mucosal Adjuvant Induces Humoral and Cellular Immune Responses in Mice
3.3. IFN as a Mucosal Adjuvant Induces Polarization of Immune Response in Mice
3.4. IgA Antibody Titers, Lung Viral Load, and Body Weight Changes in Mice After Nasal Mucosal Immunization and Challenge
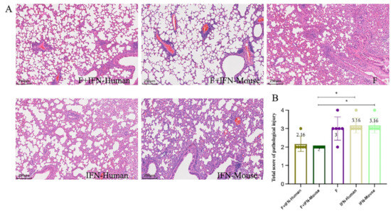
3.5. Pathological Damage in Lung Tissue of Mice After Nasal Mucosal Immunization and Challenge
4. Discussion
Author Contributions
Funding
Institutional Review Board Statement
Informed Consent Statement
Data Availability Statement
Conflicts of Interest
References
- Rossey, I.; McLellan, J.S.; Saelens, X.; Schepens, B. Clinical Potential of Prefusion RSV F-specific Antibodies. Trends Microbiol. 2018, 26, 209–219. [Google Scholar] [CrossRef] [PubMed]
- Checchia, P.A.; Nalysnyk, L.; Fernandes, A.W.; Mahadevia, P.J.; Xu, Y.; Fahrbach, K.; Welliver, R.C. Mortality and morbidity among infants at high risk for severe respiratory syncytial virus infection receiving prophylaxis with palivizumab: A systematic literature review and meta-analysis. Pediatr. Crit. Care Med. 2011, 12, 580–588. [Google Scholar] [CrossRef] [PubMed]
- Li, Y.; Wang, X.; Blau, D.M.; Caballero, M.T.; Feikin, D.R.; Gill, C.J.; A Madhi, S.; Omer, S.B.; Simões, E.A.F.; Campbell, H.; et al. Global, regional, and national disease burden estimates of acute lower respiratory infections due to respiratory syncytial virus in children younger than 5 years in 2019: A systematic analysis. Lancet 2022, 399, 2047–2064. [Google Scholar]
- Sigurs, N.; Gustafsson, P.M.; Bjarnason, R.; Lundberg, F.; Schmidt, S.; Sigurbergsson, F.; Kjellman, B. Severe respiratory syncytial virus bronchiolitis in infancy and asthma and allergy at age 13. Am. J. Respir. Crit. Care Med. 2005, 171, 137–141. [Google Scholar] [PubMed]
- Shi, T.; Denouel, A.; Tietjen, A.K.; Campbell, I.; Moran, E.; Li, X.; Campbell, H.; Demont, C.; O Nyawanda, B.; Chu, H.Y.; et al. Global Disease Burden Estimates of Respiratory Syncytial Virus-Associated Acute Respiratory Infection in Older Adults in 2015: A Systematic Review and Meta-Analysis. J. Infect. Dis. 2020, 222 (Suppl. 7), S577–S583. [Google Scholar] [CrossRef]
- Fleming, D.M.; Taylor, R.J.; Lustig, R.L.; Schuck-Paim, C.; Haguinet, F.; Webb, D.J.; Logie, J.; Matias, G.; Taylor, S. Modelling estimates of the burden of Respiratory Syncytial virus infection in adults and the elderly in the United Kingdom. BMC Infect. Dis. 2015, 15, 443. [Google Scholar]
- Xu, L.; Gao, H.; Zeng, J.; Liu, J.; Lu, C.; Guan, X.; Qian, S.; Xie, Z. A fatal case associated with respiratory syncytial virus infection in a young child. BMC Infect. Dis. 2018, 18, 217. [Google Scholar]
- Habibi, M.S.; Jozwik, A.; Makris, S.; Dunning, J.; Paras, A.; DeVincenzo, J.P.; de Haan, C.A.M.; Wrammert, J.; Openshaw, P.J.M.; Chiu, C. Impaired Antibody-mediated Protection and Defective IgA B-Cell Memory in Experimental Infection of Adults with Respiratory Syncytial Virus. Am. J. Respir. Crit. Care Med. 2015, 191, 1040–1049. [Google Scholar] [CrossRef]
- Zeng, L. Mucosal adjuvants: Opportunities and challenges. Hum. Vaccines Immunother. 2016, 12, 2456–2458. [Google Scholar]
- Garlapati, S.; Garg, R.; Brownlie, R.; Latimer, L.; Simko, E.; Hancock, R.; Babiuk, L.; Gerdts, V.; Potter, A.; Hurk, S.v.D.L.-V.D. Enhanced immune responses and protection by vaccination with respiratory syncytial virus fusion protein formulated with CpG oligodeoxynucleotide and innate defense regulator peptide in polyphosphazene microparticles. Vaccine 2012, 30, 5206–5214. [Google Scholar] [CrossRef]
- Tiboni, M.; Casettari, L.; Illum, L. Nasal vaccination against SARS-CoV-2: Synergistic or alternative to intramuscular vaccines? Int. J. Pharm. 2021, 603, 120686. [Google Scholar] [PubMed]
- Wang, X.; Meng, D. Innate endogenous adjuvants prime to desirable immune responses via mucosal routes. Protein Cell 2015, 6, 170–184. [Google Scholar] [CrossRef] [PubMed]
- Wijesundara, D.K.; Xi, Y.; Ranasinghe, C. Unraveling the convoluted biological roles of type I interferons in infection and immunity: A way forward for therapeutics and vaccine design. Front. Immunol. 2014, 5, 412. [Google Scholar]
- Hijano, D.R.; Siefker, D.T.; Shrestha, B.; Jaligama, S.; Vu, L.D.; Tillman, H.; Finkelstein, D.; Saravia, J.; You, D.; Cormier, S.A. Type I Interferon Potentiates IgA Immunity to Respiratory Syncytial Virus Infection During Infancy. Sci. Rep. 2018, 8, 11034. [Google Scholar] [CrossRef] [PubMed]
- Li, H.; Ren, H.; Cao, L.; Guo, J.; Zhang, Y.; Fang, Q.; Xu, W. Comparison of the efficacy and safety of different immunization routes induced by human respiratory syncytial virus F protein with CpG adjuvant in mice. Biochem. Biophys. Res. Commun. 2022, 618, 54–60. [Google Scholar] [CrossRef]
- Ren, H.; Li, H.; Cao, L.; Wang, Z.; Zhou, Y.; Guo, J.; Zhang, Y.; Liu, H.; Xu, W. Intranasal immunization with HRSV prefusion F protein and CpG adjuvant elicits robust protective effects in mice. Vaccine 2022, 40, 6830–6838. [Google Scholar] [CrossRef] [PubMed]
- Beilharz, M.W.; Cummins, M.J.; Bennett, A.L.; Cummins, J.M. Oromucosal Administration of Interferon to Humans. Pharmaceuticals 2010, 3, 323–344. [Google Scholar] [CrossRef]
- Mettelman, R.C.; Allen, E.K.; Thomas, P.G. Mucosal immune responses to infection and vaccination in the respiratory tract. Immunity 2022, 55, 749–780. [Google Scholar] [CrossRef]
- Fraser, R.; Orta-Resendiz, A.; Mazein, A.; Dockrell, D.H. Upper respiratory tract mucosal immunity for SARS-CoV-2 vaccines. Trends Mol. Med. 2023, 29, 255–267. [Google Scholar] [CrossRef]
- Buchholz, U.J.; Cunningham, C.K.; Muresan, P.; Gnanashanmugam, D.; Sato, P.; Siberry, G.K.; Rexroad, V.; Valentine, M.; Perlowski, C.; Schappell, E.; et al. Live Respiratory Syncytial Virus (RSV) Vaccine Candidate Containing Stabilized Temperature-Sensitivity Mutations Is Highly Attenuated in RSV-Seronegative Infants and Children. J. Infect. Dis. 2018, 217, 1338–1346. [Google Scholar] [CrossRef]
- Cicconi, P.; Jones, C.; Sarkar, E.; Silva-Reyes, L.; Klenerman, P.; de Lara, C.; Hutchings, C.; Moris, P.; Janssens, M.; Fissette, L.A.; et al. First-in-Human Randomized Study to Assess the Safety and Immunogenicity of an Investigational Respiratory Syncytial Virus (RSV) Vaccine Based on Chimpanzee-Adenovirus-155 Viral Vector-Expressing RSV Fusion, Nucleocapsid, and Antitermination Viral Proteins in Healthy Adults. Clin. Infect. Dis. 2020, 70, 2073–2081. [Google Scholar]
- Ruckwardt, T.J.; Morabito, K.M.; Phung, E.; Crank, M.C.; Costner, P.J.; Holman, L.A.; Chang, L.A.; Hickman, S.P.; Berkowitz, N.M.; Gordon, I.J.; et al. Safety, tolerability, and immunogenicity of the respiratory syncytial virus prefusion F subunit vaccine DS-Cav1: A phase 1, randomised, open-label, dose-escalation clinical trial. Lancet Respir. Med. 2021, 9, 1111–1120. [Google Scholar] [CrossRef] [PubMed]
- Espeseth, A.S.; Cejas, P.J.; Citron, M.P.; Wang, D.; DiStefano, D.J.; Callahan, C.; Donnell, G.O.; Galli, J.D.; Swoyer, R.; Touch, S.; et al. Modified mRNA/lipid nanoparticle-based vaccines expressing respiratory syncytial virus F protein variants are immunogenic and protective in rodent models of RSV infection. NPJ Vaccines 2020, 5, 16. [Google Scholar] [CrossRef]
- Sun, B.W.; Zhang, P.P.; Wang, Z.H.; Yao, X.; He, M.L.; Bai, R.T.; Che, H.; Lin, J.; Xie, T.; Hui, Z.; et al. Prevention and Potential Treatment Strategies for Respiratory Syncytial Virus. Molecules 2024, 29, 598. [Google Scholar] [CrossRef] [PubMed] [PubMed Central]
- Wilkins, D.; Hamrén, U.W.; Chang, Y.; Clegg, L.E.; Domachowske, J.; Englund, J.A.; Muller, W.J.; Leach, A.; Kelly, E.J.; Villafana, T. RSV Neutralizing Antibodies Following Nirsevimab and Palivizumab Dosing. Pediatrics 2024, 154, e2024067174. [Google Scholar] [CrossRef] [PubMed]
- Sun, S.; Cai, Y.; Song, T.-Z.; Pu, Y.; Cheng, L.; Xu, H.; Sun, J.; Meng, C.; Lin, Y.; Huang, H.; et al. Interferon-armed RBD dimer enhances the immunogenicity of RBD for sterilizing immunity against SARS-CoV-2. Cell Res. 2021, 31, 1011–1023. [Google Scholar] [CrossRef]
- McNab, F.; Mayer-Barber, K.; Sher, A.; Wack, A.; O’Garra, A. Type I interferons in infectious disease. Nat. Rev. Immunol. 2015, 15, 87–103. [Google Scholar] [CrossRef]
- Kiefer, K.; Oropallo, M.A.; Cancro, M.P.; Marshak-Rothstein, A. Role of type I interferons in the activation of autoreactive B cells. Immunol. Cell Biol. 2012, 90, 498–504. [Google Scholar] [CrossRef]
- de Weerd, N.A.; Samarajiwa, S.A.; Hertzog, P.J. Type I interferon receptors: Biochemistry and biological functions. J. Biol. Chem. 2007, 282, 20053–20057. [Google Scholar] [CrossRef] [PubMed]
- Murira, A.; Lamarre, A. Type-I Interferon Responses: From Friend to Foe in the Battle against Chronic Viral Infec tion. Front. Immunol. 2016, 7, 609. [Google Scholar] [CrossRef] [PubMed]
- Hervas-Stubbs, S.; Perez-Gracia, J.L.; Rouzaut, A.; Sanmamed, M.F.; Le Bon, A.; Melero, I. Direct effects of type I interferons on cells of the immune system. Clin. Cancer Res. 2011, 17, 2619–2627. [Google Scholar] [CrossRef] [PubMed]
- Hijano, D.R.; Vu, L.D.; Kauvar, L.M.; Tripp, R.A.; Polack, F.P.; Cormier, S.A. Role of Type I Interferon (IFN) in the Respiratory Syncytial Virus (RSV) Immune Response and Disease Severity. Front. Immunol. 2019, 10, 566. [Google Scholar] [CrossRef] [PubMed]
- Bracci, L.; Canini, I.; Venditti, M.; Spada, M.; Puzelli, S.; Donatelli, I.; Belardelli, F.; Proietti, E. Type I IFN as a vaccine adjuvant for both systemic and mucosal vaccination against influenza virus. Vaccine 2006, 24 (Suppl. 2), S56–S57. [Google Scholar] [CrossRef]
- Couch, R.B.; Atmar, R.L.; Cate, T.R.; Quarles, J.M.; Keitel, W.A.; Arden, N.H.; Wells, J.; Niño, D.; Wyde, P.R. Contrasting effects of type I interferon as a mucosal adjuvant for influenza vaccine in mice and humans. Vaccine 2009, 27, 5344–5348. [Google Scholar] [CrossRef][Green Version]





| Group (n = 6) | Antigen | Adjuvant | Route | Day |
|---|---|---|---|---|
| F + IFN-Human | F | IFN-Human | i.n | 0, 21 |
| F + IFN-Mouse | F | IFN-Mouse | i.n | 0, 21 |
| F | F | / | i.n | 0, 21 |
| IFN-Human | / | IFN-Human | i.n | 0, 21 |
| IFN-Mouse | / | IFN-Mouse | i.n | 0, 21 |
Disclaimer/Publisher’s Note: The statements, opinions and data contained in all publications are solely those of the individual author(s) and contributor(s) and not of MDPI and/or the editor(s). MDPI and/or the editor(s) disclaim responsibility for any injury to people or property resulting from any ideas, methods, instructions or products referred to in the content. |
© 2024 by the authors. Licensee MDPI, Basel, Switzerland. This article is an open access article distributed under the terms and conditions of the Creative Commons Attribution (CC BY) license (https://creativecommons.org/licenses/by/4.0/).
Share and Cite
Hu, H.; Zhang, L.; Cao, L.; Jiang, J.; Shi, Y.; Guo, H.; Wang, Y.; Li, H.; Zhang, Y. Preliminary Study on Type I Interferon as a Mucosal Adjuvant for Human Respiratory Syncytial Virus F Protein. Vaccines 2024, 12, 1297. https://doi.org/10.3390/vaccines12111297
Hu H, Zhang L, Cao L, Jiang J, Shi Y, Guo H, Wang Y, Li H, Zhang Y. Preliminary Study on Type I Interferon as a Mucosal Adjuvant for Human Respiratory Syncytial Virus F Protein. Vaccines. 2024; 12(11):1297. https://doi.org/10.3390/vaccines12111297
Chicago/Turabian StyleHu, Hongqiao, Li Zhang, Lei Cao, Jie Jiang, Yuqing Shi, Hong Guo, Yang Wang, Hai Li, and Yan Zhang. 2024. "Preliminary Study on Type I Interferon as a Mucosal Adjuvant for Human Respiratory Syncytial Virus F Protein" Vaccines 12, no. 11: 1297. https://doi.org/10.3390/vaccines12111297
APA StyleHu, H., Zhang, L., Cao, L., Jiang, J., Shi, Y., Guo, H., Wang, Y., Li, H., & Zhang, Y. (2024). Preliminary Study on Type I Interferon as a Mucosal Adjuvant for Human Respiratory Syncytial Virus F Protein. Vaccines, 12(11), 1297. https://doi.org/10.3390/vaccines12111297

