Newcastle Disease Virus Expressing Cap Gene of Porcine Circovirus Type 2 Confers Protection in Mice and Induced Long-Lasting Neutralizing Antibodies in Pigs
Abstract
1. Introduction
2. Materials and Methods
2.1. Virus and Cell Line
2.2. Generation of Recombinant NDV Containing the Cap Gene of PCV2
2.3. Characterization of the Virus
2.4. Confirmation of Virus Stability
2.5. In-Vivo Animal Experimental Studies
2.6. Evaluation of Humoral Immunity in Mice and Pigs
2.6.1. Enzyme-Linked Immunosorbent Assay
2.6.2. Serum Neutralization Test
2.7. Evaluation of Cell-Mediated Immunity
2.8. Challenge Studies
2.9. Statistical Analysis
3. Results
3.1. Stability of Recombinant Virus
3.2. Molecular and Biological Characterization of Recombination Viruses
3.3. Immunogenicity Studies of the Recombinant Viruses as Vaccine Candidates in Mice and Pigs
3.3.1. Immunization with Recombinant Viruses Induce Protective Immune Response in Mice
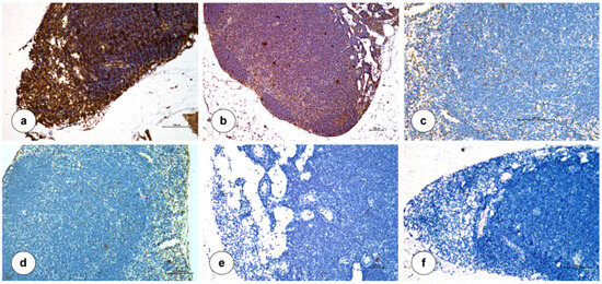
3.3.2. Estimation of PCV2 Viral Load in Challenged Mice
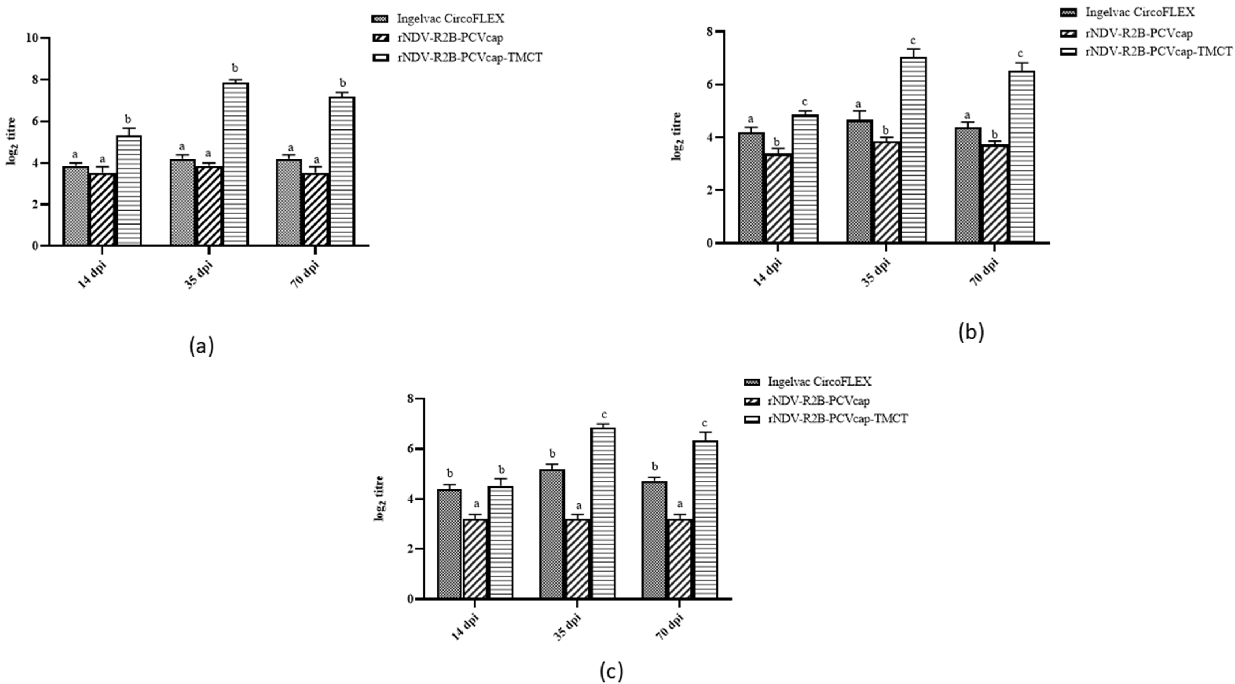
3.3.3. Immunization with Recombinant Virus Induces Long-Lasting Immune Response in Pigs
4. Discussion
Author Contributions
Funding
Institutional Review Board Statement
Informed Consent Statement
Data Availability Statement
Acknowledgments
Conflicts of Interest
References
- Karuppannan, A.K.; Opriessnig, T. Porcine circovirus type 2 (PCV2) vaccines in the context of current molecular epidemiology. Viruses 2017, 9, 99. [Google Scholar] [CrossRef] [PubMed]
- Darwich, L.; Mateu, E. Immunology of Porcine circovirus type 2 (PCV2). Virus Res. 2012, 164, 61–67. [Google Scholar] [CrossRef] [PubMed]
- Nawagitgul, P.; Morozov, I.; Bolin, S.R.; Harms, P.A.; Sorden, S.D.; Paul, P.S. Open reading frame 2 of Porcine circovirus type 2 encodes a major capsid protein. J. Gen. Virol. 2000, 81, 2281–2287. [Google Scholar] [CrossRef]
- Franzo, G.; Segalés, J. Porcine Circovirus 2 (PCV-2) Genotype update and proposal of a new genotyping methodology. PLoS ONE 2018, 13, e0208585. [Google Scholar] [CrossRef] [PubMed]
- Bhattacharjee, U.; Sen, A.; Sharma, I. A retrospective study reveals the Porcine circovirus-2f genotype predominant in the indigenous pig population of north-eastern India. Infect. Genet. Evol. 2021, 96, 105100. [Google Scholar] [CrossRef]
- Kumar, R.; Ranganatha, S.; Ravishankar, C. Isolation and genetic analysis of porcine circovirus 2 in southern India evidences high circulation of porcine circovirus 2d genotype. Mol. Bio. Rep. 2022, 49, 11829–11846. [Google Scholar]
- Kumar, K.A.; Sujatha, P.L.; Devendran, P. A comprehensive analysis of circulating porcine circovirus 2 (PCV2) genotypes from 2008 to 2023 in India. Pharma Innov. J. 2023, 12, 990–996. [Google Scholar]
- Chellappa, M.M.; Dey, S.; Gaikwad, S.; Pathak, D.; Vakharia, V.N. Rescue of a recombinant Newcastle disease virus strain R2B expressing green fluorescent protein. Virus Genes 2017, 53, 410–417. [Google Scholar] [CrossRef]
- Kong, D.; Wen, Z.; Su, H.; Ge, J.; Chen, W.; Wang, X.; Wu, C.; Yang, C.; Chen, H.; Bu, Z. Newcastle disease virus-vectored Nipah Encephalitis vaccines induce B and T cell responses in mice and long-lasting neutralizing antibodies in pigs. Virology 2012, 432, 327–335. [Google Scholar] [CrossRef]
- Chen, X.; Yang, J.; Ji, Y.; Okoth, E.; Liu, B.; Li, X.; Yin, H.; Zhu, Q. Recombinant Newcastle Disease virus expressing African Swine Fever Virus protein 72 is safe and immunogenic in mice. Virol. Sin. 2016, 31, 150–159. [Google Scholar] [CrossRef]
- Nath, B.; Vandna Saini, H.M.; Prasad, M.; Kumar, S. Evaluation of Japanese Encephalitis virus E and NS1 proteins immunogenicity using a recombinant Newcastle disease virus in mice. Vaccine 2020, 38, 1860–1868. [Google Scholar] [CrossRef]
- Zhang, H.; Nan, F.; Li, Z.; Zhao, G.; Xie, C.; Ha, Z.; Zhang, J.; Han, J.; Xiao, P.; Zhuang, X.; et al. Construction and immunological evaluation of recombinant Newcastle Disease virus vaccines expressing highly pathogenic porcine reproductive and respiratory syndrome virus GP3/GP5 proteins in pigs. Vet. Microbiol. 2019, 239, 108490. [Google Scholar] [CrossRef] [PubMed]
- Huang, Z.; Elankumaran, S.; Panda, A.; Samal, S. Recombinant Newcastle disease virus as a vaccine vector. Poult. Sci. 2003, 82, 899–906. [Google Scholar] [CrossRef] [PubMed]
- Hu, Z.; Ni, J.; Cao, Y.; Liu, X. Newcastle disease virus as a vaccine vector for 20 years: A focus on maternally derived antibody interference. Vaccines 2020, 8, 222. [Google Scholar] [CrossRef] [PubMed]
- Sergel, T.A.; McGinnes, L.W.; Morrison, T.G. A single amino acid change in the Newcastle disease virus fusion protein alters the requirement for HN protein in fusion. J. Virol. 2000, 74, 5101–5107. [Google Scholar] [CrossRef]
- Melanson, V.R.; Iorio, R.M. Addition of N-glycans in the stalk of the Newcastle disease virus HN protein blocks its interaction with the F protein and prevents fusion. J. Virol. 2006, 80, 623–633. [Google Scholar] [CrossRef]
- Ouyang, T.; Liu, X.H.; Ouyang, H.S.; Ren, L.Z. Mouse models of porcine circovirus 2 infection. Anim. Model. Exp. Med. 2018, 1, 23–28. [Google Scholar] [CrossRef]
- Kiupel, M.; Stevenson, G.W.; Galbreath, E.J.; North, A.; HogenEsch, H.; Mittal, S.K. Porcine circovirus type 2 (PCV2) causes apoptosis in experimentally inoculated BALB/c mice. BMC Vet. Res. 2005, 1, 7. [Google Scholar] [CrossRef]
- Chellappa, M.M.; Dey, S.; Pathak, D.C.; Singh, A.; Ramamurthy, N.; Ramakrishnan, S.; Mariappan, A.K.; Dhama, K.; Vakharia, V.N. Newcastle disease virus vectored chicken infectious anaemia vaccine induces robust immune response in chickens. Viruses 2021, 13, 1985. [Google Scholar] [CrossRef]
- Panda, A.; Huang, Z.; Elankumaran, S.; Rockemann, D.D.; Samal, S.K. Role of fusion protein cleavage site in the virulence of Newcastle disease virus. Microb. Pathog. 2004, 36, 1–10. [Google Scholar] [CrossRef]
- Alexander, D.J.; Senne, D. Newcastle disease, other avian paramyxovirus and pneumovirus infection. In Diseases of Poultry, 12th ed.; Saif, Y.M., Ed.; Blackwell Publishing: Ames, IA, USA, 2008; pp. 75–115. [Google Scholar]
- Yadhapura, V.R.; Dey, S.; Buragohain, L.; Chellappa, M.M.; Pathak, D.C.; Singh, A.; Murugasamy, R.; Manivasagam, V.; Barman, N.N. Development of recombinant capsid protein-based single serum dilution ELISA for sero-detection of porcine circovirus type 2 infection in pigs. Vet. Res. Commun. 2024, 48, 1149–1159. [Google Scholar] [CrossRef] [PubMed]
- Fort, M.; Sibila, M.; Allepuz, A.; Mateu, E.; Roerink, F.; Segalés, J. Porcine circovirus type 2 (PCV2) vaccination of conventional pigs prevents viremia against PCV2 isolates of different genotypes and geographic origins. Vaccine 2008, 26, 1063–1071. [Google Scholar] [CrossRef] [PubMed]
- Zhang, H.; Qian, P.; Liu, L.; Qian, S.; Chen, H.; Li, X. Virus-like particles of chimeric recombinant porcine circovirus type 2 as antigen vehicle carrying foreign epitopes. Viruses 2014, 6, 4839–4855. [Google Scholar] [CrossRef]
- Kim, K.; Choi, K.; Shin, M.; Hahn, T.-W. A porcine circovirus type 2d-based virus-like particle vaccine induces humoral and cellular immune responses and effectively protects pigs against PCV2d challenge. Front. Microbiol. 2024, 14, 1334968. [Google Scholar] [CrossRef]
- Guo, X.-Q.; Wang, L.-Q.; Qiao, H.; Yang, X.-W.; Yang, M.-F.; Chen, H.-Y. Enhancement of the immunogenicity of a porcine circovirus type 2 DNA vaccine by a recombinant plasmid co-expressing capsid protein and porcine Interleukin-6 in mice. Microbiol. Immunol. 2015, 59, 174–180. [Google Scholar] [CrossRef] [PubMed]
- Chellappa, M.M.; Dey, S.; Gaikwad, S.; Kataria, J.M.; Vakharia, V.N. Complete genome sequence of Newcastle disease virus mesogenic vaccine strain R2B from India. J. Virol. 2012, 86, 13814–13815. [Google Scholar] [CrossRef]
- Dey, S.; Chellappa, M.M.; Pathak, D.C.; Gaikwad, S.; Yadav, K.; Ramakrishnan, S.; Vakharia, V.N. Newcastle disease virus vectored bivalent vaccine against virulent infectious bursal disease and Newcastle disease of chickens. Vaccines 2017, 5, 31. [Google Scholar] [CrossRef] [PubMed]
- Saikia, D.P.; Yadav, K.; Pathak, D.C.; Ramamurthy, N.; D’Silva, A.L.; Marriappan, A.K.; Ramakrishnan, S.; Vakharia, V.N.; Chellappa, M.M.; Dey, S. Recombinant Newcastle disease virus (NDV) expressing sigma C protein of avian reovirus (ARV) protects against both ARV and NDV in chickens. Pathogens 2019, 8, 145. [Google Scholar] [CrossRef]
- Debnath, A.; Pathak, D.C.; D’Silva, A.L.; Ramamurthy, N.; Vakharia, V.N.; Chellappa, M.M.; Dey, S. Newcastle disease virus vectored rabies vaccine induces strong humoral and cell mediated immune responses in mice. Vet. Microbiol. 2020, 251, 108890. [Google Scholar] [CrossRef]
- Liu, J.; Huang, L.; Wei, Y.; Tang, Q.; Liu, D.; Wang, Y.; Li, S.; Guo, L.; Wu, H.; Liu, C. Amino acid mutations in the capsid protein produce novel porcine circovirus type 2 neutralizing epitopes. Vet. Microbiol. 2013, 165, 260–267. [Google Scholar] [CrossRef]
- Gava, D.; Serrão, V.H.B.; Fernandes, L.T.; Cantão, M.E.; Ciacci-Zanella, J.R.; Morés, N.; Schaefer, R. Structure analysis of capsid protein of porcine circovirus type 2 from pigs with systemic disease. Braz. J. Microbiol. 2017, 49, 351–357. [Google Scholar] [CrossRef] [PubMed]
- Ponce-de-León, S.; Torres, M.; Soto-Ramírez, L.E.; Calva, J.J.; Santillán-Doherty, P.; Carranza-Salazar, D.E.; Carreño, J.M.; Carranza, C.; Juárez, E.; Carreto-Binaghi, L.E.; et al. Interim safety and immunogenicity results from an NDV-based COVID-19 vaccine phase I trial in Mexico. NPJ Vaccines 2023, 8, 67. [Google Scholar] [CrossRef]
- Sun, W.; Liu, Y.; Amanat, F.; González-Domínguez, I.; McCroskery, S.; Slamanig, S.; Coughlan, L.; Rosado, V.; Lemus, N.; Jangra, S.; et al. A Newcastle disease virus expressing a stabilized spike protein of SARS-CoV-2 induces protective immune responses. Nat. Commun. 2021, 12, 6197. [Google Scholar] [CrossRef] [PubMed]
- Barrett, C.T.; Dutch, R.E. Viral membrane fusion and the transmembrane domain. Viruses 2020, 12, 693. [Google Scholar] [CrossRef] [PubMed]
- Shi, R.; Hou, L.; Liu, J. Host immune response to infection with porcine circoviruses. Anim. Dis. 2021, 1, 23. [Google Scholar] [CrossRef]
- Dvorak, C.M.T.; Yang, Y.; Haley, C.; Sharma, N.; Murtaugh, M.P. National reduction in porcine circovirus type 2 prevalence following introduction of vaccination. Vet. Microbiol. 2016, 189, 86–90. [Google Scholar] [CrossRef]
- Venegas-Vargas, C.; Taylor, L.P.; Foss, D.L.; Godbee, T.K.; Philip, R.; Bandrick, M. Cellular and humoral immunity following vaccination with two different PCV2 vaccines (containing PCV2a or PCV2a/PCV2b) and challenge with virulent PCV2d. Vaccine 2021, 39, 5615–5625. [Google Scholar] [CrossRef]
- Chen, J.-Y.; Wu, C.-M.; Chia, M.-Y.; Huang, C.; Chien, M.-S. A prospective CSFV-PCV2 bivalent vaccine effectively protects against classical swine fever virus and porcine circovirus type 2 dual challenge and prevents horizontal transmission. Vet. Res. 2023, 54, 57. [Google Scholar] [CrossRef]
- Wang, Y.; Su, M.; Huang, Y.; Ren, J.; Niu, S.; Zhao, Y.; Yan, F.; Yan, Y.; Tian, W. Development of a novel PCV2 and PCV3 vaccine using virus-like vesicles incorporating Venezuelan equine encephalomyelitis virus-containing vesicular stomatitis virus glycoprotein. Front. Vet. Sci. 2024, 11, 1359421. [Google Scholar] [CrossRef]
- Ilha, M.; Nara, P.; Ramamoorthy, S. Early antibody responses map to non-protective, PCV2 capsid protein epitopes. Virology 2020, 540, 23–29. [Google Scholar] [CrossRef]
- Opriessnig, T.; Xiao, C.-T.; Halbur, P.G.; Gerber, P.F.; Matzinger, S.R.; Meng, X.-J. A commercial porcine circovirus (PCV) type 2a-based vaccine reduces PCV2d viremia and shedding and prevents PCV2d transmission to naïve pigs under experimental conditions. Vaccine 2017, 35, 248. [Google Scholar] [CrossRef]
- Park, C.; Seo, H.W.; Han, K.; Chae, C. Comparison of four commercial one-dose porcine circovirus type 2 (PCV2) vaccines administered to pigs challenged with PCV2 and porcine reproductive and respiratory syndrome virus at 17 weeks postvaccination to control porcine respiratory disease complex under Korean field conditions. Clin. Vaccine Immunol. 2014, 21, 399–406. [Google Scholar]
- Peswani, A.R.; Narkpuk, J.; Krueger, A.; Bracewell, D.G.; Lekcharoensuk, P.; Haslam, S.M.; Dell, A.; Jaru-Ampornpan, P.; Robinson, C. Novel constructs and 1-step chromatography protocols for the production of porcine circovirus 2d (PCV2d) and circovirus 3 (PCV3) subunit vaccine candidates. Food Bioprod. Process. 2022, 131, 125–135. [Google Scholar] [CrossRef]
- Steiner, E.; Balmelli, C.; Gerber, H.; Summerfield, A.; McCullough, K. Cellular adaptive immune response against porcine circovirus type 2 in sub-clinically infected pigs. BMC Vet. Res. 2009, 5, 45. [Google Scholar] [CrossRef] [PubMed]
- Zhang, G.; Jia, P.; Cheng, G.; Jiao, S.; Ren, L.; Ji, S.; Hu, T.; Liu, H.; Du, Y. Enhanced immune response to inactivated porcine circovirus type 2 (PCV2) vaccine by conjugation of chitosan oligosaccharides. Carbohydr. Polym. 2017, 166, 64–72. [Google Scholar] [CrossRef] [PubMed]
- Meng, X.J. Porcine circovirus type 2 (PCV2): Pathogenesis and interaction with the immune system. Annu. Rev. Anim. Biosci. 2013, 1, 43–64. [Google Scholar] [CrossRef] [PubMed]
- Darwich, L.; Segalés, J.; Resendes, A.; Balasch, M.; Plana-Durán, J.; Mateu, E. Transient correlation between viremia levels and IL-10 expression in pigs subclinically infected with porcine circovirus type 2 (PCV2). Res. Vet. Sci. 2008, 84, 194–198. [Google Scholar] [CrossRef] [PubMed]
- Meerts, P.; Van Gucht, S.; Cox, E.; Vandebosch, A.; Nauwynck, H.J. Correlation between type of adaptive immune response against porcine circovirus type 2 and level of virus replication. Viral Immunol. 2005, 18, 333–341. [Google Scholar] [CrossRef]
- Ferrari, L.; Borghetti, P.; De Angelis, E.; Martelli, P. Memory T cell proliferative responses and IFN-γ productivity sustain long-lasting efficacy of a cap-based PCV2 vaccine upon PCV2 natural infection and associated disease. Vet. Res. 2014, 45, 44. [Google Scholar] [CrossRef]
- Jung, B.K.; Kim, H.R.; Lee, Y.H.; Jang, H.; Chang, K.S. Comparison of immune responses to the PCV2 replicase-capsid and capsid virus-like particle vaccines in mice. J. Microbiol. Biotechnol. 2019, 29, 482–488. [Google Scholar] [CrossRef]
- Kekarainen, T.; McCullough, K.; Fort, M.; Fossum, C.; Segalés, J.; Allan, G.M. Immune responses and vaccine-induced immunity against porcine circovirus type 2. Vet. Immunol. Immunopathol. 2010, 136, 185–193. [Google Scholar] [CrossRef]
- Li, J.; Yu, J.; Xu, S.; Shi, J.; Xu, S.; Wu, X.; Fu, F.; Peng, Z.; Zhang, L.; Zheng, S.; et al. Immunogenicity of porcine circovirus type 2 nucleic acid vaccine containing CpG motif for mice. Virol. J. 2016, 13, 185. [Google Scholar] [CrossRef]
- Zhang, G.; Shen, Y.; Wang, Z.; Hao, G.; Wang, F. Immunization of mice with delayed lysis Salmonella expressing PCV2b cap protein enhanced mucosal and innate immunity and reduced viral load. Vet. Vaccine 2024, 3, 100069. [Google Scholar] [CrossRef]
- Kekarainen, T.; Montoya, M.; Dominguez, J.; Mateu, E.; Segalés, J. Porcine circovirus type 2 (PCV2) viral components immunomodulate recall antigen responses. Vet. Immunol. Immunopathol. 2008, 124, 41–49. [Google Scholar] [CrossRef] [PubMed]
- Wu, K.; Hu, W.; Zhou, B.; Li, B.; Li, X.; Yan, Q.; Chen, W.; Li, Y.; Ding, H.; Zhao, M.; et al. Immunogenicity and immunoprotection of PCV2 virus-like particles incorporating dominant T and B cell antigenic epitopes paired with CD154 molecules in piglets and mice. Int. J. Mol. Sci. 2022, 23, 14126. [Google Scholar] [CrossRef]
- Beach, N.M.; Meng, X.-J. Efficacy and future prospects of commercially available and experimental vaccines against porcine circovirus type 2 (PCV2). Virus Res. 2012, 164, 33–42. [Google Scholar] [CrossRef]
- Sylla, S.; Cong, Y.-L.; Sun, Y.-X.; Yang, G.-L.; Ding, X.-M.; Yang, Z.-Q.; Zhou, Y.-L.; Yang, M.; Wang, C.-F.; Ding, Z. Protective immunity conferred by porcine circovirus 2 ORF2-based DNA vaccine in mice. Microbiol. Immunol. 2014, 58, 398–408. [Google Scholar] [CrossRef]
- Segalés, J. Porcine Circovirus Type 2 (PCV2) infections: Clinical signs, pathology and laboratory diagnosis. Virus Res. 2012, 164, 10–19. [Google Scholar] [CrossRef]
- Opriessnig, T.; Madson, D.M.; Prickett, J.R.; Kuhar, D.; Lunney, J.K.; Elsener, J.; Halbur, P.G. Effect of porcine circovirus type 2 (PCV2) vaccination on porcine reproductive and respiratory syndrome virus (PRRSV) and PCV2 coinfection. Vet. Microbiol. 2008, 131, 103–114. [Google Scholar] [CrossRef] [PubMed]










Disclaimer/Publisher’s Note: The statements, opinions and data contained in all publications are solely those of the individual author(s) and contributor(s) and not of MDPI and/or the editor(s). MDPI and/or the editor(s) disclaim responsibility for any injury to people or property resulting from any ideas, methods, instructions or products referred to in the content. |
© 2024 by the authors. Licensee MDPI, Basel, Switzerland. This article is an open access article distributed under the terms and conditions of the Creative Commons Attribution (CC BY) license (https://creativecommons.org/licenses/by/4.0/).
Share and Cite
Dey, S.; Murugasamy, R.; Buragohain, L.; D’silva, A.L.; Sarma, J.; Bharali, A.; Ramakrishnan, S.; Saminathan, M.; Barman, N.N.; Vakharia, V.N.; et al. Newcastle Disease Virus Expressing Cap Gene of Porcine Circovirus Type 2 Confers Protection in Mice and Induced Long-Lasting Neutralizing Antibodies in Pigs. Vaccines 2024, 12, 1285. https://doi.org/10.3390/vaccines12111285
Dey S, Murugasamy R, Buragohain L, D’silva AL, Sarma J, Bharali A, Ramakrishnan S, Saminathan M, Barman NN, Vakharia VN, et al. Newcastle Disease Virus Expressing Cap Gene of Porcine Circovirus Type 2 Confers Protection in Mice and Induced Long-Lasting Neutralizing Antibodies in Pigs. Vaccines. 2024; 12(11):1285. https://doi.org/10.3390/vaccines12111285
Chicago/Turabian StyleDey, Sohini, Rudhreswaran Murugasamy, Lukumoni Buragohain, Ajai Lawrence D’silva, Jayashree Sarma, Arpita Bharali, Saravanan Ramakrishnan, Mani Saminathan, Nagendra Nath Barman, Vikram N. Vakharia, and et al. 2024. "Newcastle Disease Virus Expressing Cap Gene of Porcine Circovirus Type 2 Confers Protection in Mice and Induced Long-Lasting Neutralizing Antibodies in Pigs" Vaccines 12, no. 11: 1285. https://doi.org/10.3390/vaccines12111285
APA StyleDey, S., Murugasamy, R., Buragohain, L., D’silva, A. L., Sarma, J., Bharali, A., Ramakrishnan, S., Saminathan, M., Barman, N. N., Vakharia, V. N., & Chellappa, M. M. (2024). Newcastle Disease Virus Expressing Cap Gene of Porcine Circovirus Type 2 Confers Protection in Mice and Induced Long-Lasting Neutralizing Antibodies in Pigs. Vaccines, 12(11), 1285. https://doi.org/10.3390/vaccines12111285

