Intravenous Administration of Ad26.COV2.S Does Not Induce Thrombocytopenia or Thrombotic Events or Affect SARS-CoV-2 Spike Protein Bioavailability in Blood Compared with Intramuscular Vaccination in Rabbits
Abstract
:1. Introduction
2. Materials and Methods
2.1. Ethics Statement
2.2. Vaccines
2.3. Animals and Housing
2.4. Study Design and Animal Procedures
2.5. Droplet Digital PCR to Measure Adenovirus DNA Copies in Blood
2.6. Hematology, Clinical Chemistry, Coagulation, and C-Reactive Protein (CRP) Analysis
2.7. Serum Amyloid A Analysis
2.8. Histopathology
2.9. Detection of S Protein in Blood Using Electrochemiluminescence
2.10. Statistical Analysis
3. Results
3.1. IV or IM Administration of Ad26.COV2.S Was Not Associated with Changes in Hematologic, Coagulation Time, or Clinical Chemistry Parameters
3.2. Administration of Ad26.COV2.S Led to a Transient Increase in Acute Phase Proteins
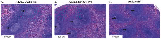
3.3. IV Administration of Ad26.COV2.S and Vehicle Control Induced Comparable Histopathology Findings in Rabbits
3.4. Ad26 DNA Copies Detected in the Blood 30 Min after IV and IM Administration of Ad26.COV2.S or Ad26.ZIKV.001 in Rabbits
3.5. IV and IM Administration of Ad26.COV2.S Vector Induced Detectable Levels of S Protein in Rabbit Serum
4. Discussion
5. Conclusions
Author Contributions
Funding
Institutional Review Board Statement
Informed Consent Statement
Data Availability Statement
Acknowledgments
Conflicts of Interest
Appendix A




| Time Point | Group | Red Blood Cell Count | Hematocrit | Hemoglobin | Mean Cell Volume | Reticulocytes | Reticulocytes | Mean Cell Hemoglobin | Mean Cell Hemoglobin Concentration | White Blood Cells | Neutrophils | Lymphocytes | Monocytes | Eosinophils | Basophils | Large Unstained Cells |
|---|---|---|---|---|---|---|---|---|---|---|---|---|---|---|---|---|
| 106/µL | % | g/dL | fl | % | 109/L | pg | g/dL | 103/µL | 103/µL | 103/µL | 103/µL | 103/µL | 103/µL | 103/µL | ||
| Day−8 (pre-treatment) | Vehicle, IV | 5.97 (0.096) | 40.5 (0.76) | 12.9 (0.27) | 67.9 (0.91) | 1.6 (0.20) | 96.8 (12.02) | 21.6 (0.29) | 31.9 (0.13) | 7.01 (0.419) | 0.93 (0.161) | 5.52 (0.503) | 0.12 (0.026) | 0.08 (0.017) | 0.34 (0.031) | 0.03 (0.009) |
| Vehicle, IM | 6.20 (0.166) | 39.6 (0.97) | 12.7 (0.29) | 64.0 (0.74) | 1.3 (0.18) | 80.6 (12.91) | 20.5 (0.17) | 32.1 (0.20) | 7.84 (0.443) | 0.98 (0.108) | 6.21 (0.309) | 0.08 (0.012) | 0.10 (0.019) | 0.44 (0.062) | 0.02 (0.004) | |
| Ad26.COV2.S 0.2 × 109 vp/kg, IV | 6.07 (0.155) | 39.4 (0.86) | 12.8 (0.28) | 65.1 (1.66) | 1.9 (0.32) | 111.0 (17.21) | 21.2 (0.53) | 32.6 (0.11) | 7.70 (0.814) | 1.01 (0.166) | 6.09 (0.712) | 0.11 (0.027) | 0.09 (0.015) | 0.38 (0.066) | 0.03 (0.012) | |
| Ad26.COV2.S 1 × 109 vp/kg, IV | 6.17 (0.190) | 40.7 (1.23) | 13.1 (0.33) | 66.1 (1.36) | 1.8 (0.16) | 107.3 (8.05) | 21.3 (0.48) | 32.3 (0.24) | 6.63 (0.312) | 0.90 (0.078) | 5.11 (0.309) | 0.11 (0.015) | 0.10 (0.012) | 0.38 (0.014) | 0.03 (0.010) | |
| Ad26.COV2.S 5 × 109 vp/kg, IV | 6.04 (0.068) | 39.2 (0.50) | 12.8 (0.19) | 65.0 (0.90) | 1.8 (0.29) | 110.0 (17.32) | 21.3 (0.22) | 32.8 (0.28) | 7.40 (0.406) | 1.14 (0.049) | 5.70 (0.353) | 0.11 (0.024) | 0.08 (0.007) | 0.35 (0.044) | 0.02 (0.005) | |
| Ad26.COV2.S 5 × 109 vp/kg, IM | 6.30 (0.122) | 41.9 (0.67) | 13.5 (0.12) | 66.6 (1.88) | 1.5 (0.08) | 93.0 (4.10) | 21.5 (0.50) | 32.3 (0.29) | 8.36 (0.397) | 1.20 (0.039) | 6.21 (0.383) | 0.15 (0.038) | 0.11 (0.025) | 0.46 (0.035) | 0.03 (0.010) | |
| Ad26.ZIKV.001 5 × 109 vp/kg, IV | 6.60 (0.073) | 41.8 (1.11) | 13.3 (0.23) | 63.2 (1.11) | 2.0 (0.29) | 131.6 (18.94) | 20.2 (0.24) | 31.9 (0.37) | 6.81 (0.867) | 1.10 (0.209) | 5.13 (0.651) | 0.11 (0.014) | 0.08 (0.010) | 0.37 (0.081) | 0.02 (0.002) | |
| Ad26.ZIKV.001 5 × 109 vp/kg, IM | 6.51 (0.092) | 41.3 (0.71) | 13.3 (0.07) | 63.6 (1.04) | 1.7 (0.24) | 112.2 (14.49) | 20.5 (0.20) | 32.2 (0.42) | 8.48 (0.626) | 1.29 (0.164) | 6.28 (0.409) | 0.23 (0.059) | 0.09 (0.012) | 0.56 (0.060) | 0.04 (0.016) | |
| MMR, IV | 6.75 (0.261) | 42.9 (1.42) | 13.7 (0.36) | 63.6 (0.88) | 1.5 (0.13) | 103.0 (6.35) | 20.4 (0.30) | 32.0 (0.29) | 7.53 (0.615) | 1.11 (0.084) | 5.74 (0.584) | 0.24 (0.058) | 0.08 (0.012) | 0.32 (0.054) | 0.03 (0.009) | |
| 24 h post dosing | Vehicle, IV | 5.69 (0.071) | 38.2 (0.40) | 12.1 (0.12) | 67.1 (0.25) | 2.9 (0.24) | 165.1 (13.36) | 21.3 (0.24) | 31.7 (0.28) | 6.84 (0.306) | 0.97 (0.066) | 5.33 (0.380) | 0.14 (0.043) | 0.06 (0.003) | 0.31 (0.011) | 0.02 (0.003) |
| Vehicle, IM | 6.10 (0.260) | 39.0 (1.46) | 12.4 (0.48) | 64.0 (0.77) | 3.2 (0.27) | 192.9 (15.78) | 20.3 (0.24) | 31.7 (0.18) | 8.84 (0.402) | 1.08 (0.118) | 6.80 (0.173) | 0.20 (0.068) | 0.11 (0.020) | 0.46 (0.084) | 0.02 (0.005) | |
| Ad26.COV2.S 0.2 × 109 vp/kg, IV | 5.79 (0.273) | 37.3 (0.80) | 11.9 (0.30) | 64.7 (1.85) | 3.7 (0.28) | 210.4 (7.31) | 20.7 (0.68) | 32.0 (0.26) | 9.59 (0.728) | 1.06 (0.102) | 7.62 (0.598) | 0.20 (0.049) | 0.08 (0.008) | 0.61 (0.094) | 0.03 (0.009) | |
| Ad26.COV2.S 1 × 109 vp/kg, IV | 5.93 (0.092) | 38.4 (0.62) | 12.5 (0.18) | 64.8 (1.44) | 3.2 (0.17) | 190.7 (9.49) | 21.2 (0.51) | 32.7 (0.20) | 6.75 (0.633) | 0.91 (0.106) | 5.18 (0.554) | 0.15 (0.025) | 0.09 (0.012) | 0.39 (0.032) | 0.01 (0.002) | |
| Ad26.COV2.S 5 × 109 vp/kg, IV | 5.75 (0.062) | 37.4 (0.76) | 12.3 (0.21) | 65.1 (1.08) | 3.6 (0.14) | 206.7 (9.15) | 21.4 (0.31) | 32.8 (0.15) | 7.31 (0.579) | 1.04 (0.064) | 5.66 (0.431) | 0.24 (0.081) | 0.04 (0.008) | 0.29 (0.051) | 0.03 (0.011) | |
| Ad26.COV2.S 5 × 109 vp/kg, IM | 5.72 (0.129) | 37.8 (0.38) | 12.3 (0.15) | 66.2 (1.82) | 2.6 (0.09) | 149.8 (6.52) | 21.6 (0.64) | 32.5 (0.12) | 6.37 (0.465) | 1.66 (0.138) | 4.25 (0.516) | 0.10 (0.036) | 0.04 (0.017) | 0.30 (0.059) | 0.03 (0.004) | |
| Ad26.ZIKV.001 5 × 109 vp/kg, IV | 6.09 (0.045) | 38.2 (0.73) | 12.4 (0.19) | 62.7 (1.01) | 3.3 (0.07) | 203.7 (5.83) | 20.3 (0.21) | 32.4 (0.24) | 7.15 (0.595) | 0.97 (0.117) | 5.45 (0.459) | 0.23 (0.039) | 0.07 (0.013) | 0.39 (0.064) | 0.04 (0.015) | |
| Ad26.ZIKV.001 5 × 109 vp/kg, IM | 5.99 (0.164) | 37.8 (0.76) | 12.3 (0.31) | 63.2 (1.00) | 2.8 (0.32) | 163.4 (15.63) | 20.6 (0.24) | 32.6 (0.34) | 6.93 (0.403) | 1.38 (0.201) | 4.90 (0.359) | 0.21 (0.028) | 0.05 (0.011) | 0.36 (0.050) | 0.03 (0.004) | |
| MMR, IV | 6.24 (0.105) | 40.4 (0.52) | 12.7 (0.27) | 64.7 (1.14) | 3.3 (0.17) | 207.0 (12.89) | 20.4 (0.43) | 31.5 (0.28) | 8.81 (0.699) | 1.30 (0.200) | 6.86 (0.488) | 0.17 (0.053) | 0.08 (0.007) | 0.39 (0.066) | 0.01 (0.003) | |
| 48 h post dosing | Vehicle, IV | 5.67 (0.145) | 38.2 (0.95) | 12.1 (0.20) | 67.3 (0.44) | 3.1 (0.17) | 175.4 (10.38) | 21.3 (0.28) | 31.7 (0.45) | 6.31 (0.479) | 0.96 (0.097) | 4.72 (0.532) | 0.24 (0.030) | 0.06 (0.004) | 0.30 (0.031) | 0.02 (0.012) |
| Vehicle, IM | 5.86 (0.246) | 37.2 (1.32) | 12.1 (0.43) | 63.6 (0.81) | 3.2 (0.25) | 185.5 (12.61) | 20.6 (0.24) | 32.5 (0.31) | 8.29 (0.643) | 1.12 (0.160) | 6.34 (0.386) | 0.25 (0.086) | 0.09 (0.017) | 0.45 (0.068) | 0.03 (0.011) | |
| Ad26.COV2.S 0.2 × 109 vp/kg, IV | 5.76 (0.240) | 37.4 (1.19) | 12.2 (0.28) | 65.1 (1.60) | 3.6 (0.30) | 207.0 (12.66) | 21.2 (0.60) | 32.6 (0.43) | 9.36 (0.974) | 1.02 (0.121) | 7.54 (0.788) | 0.13 (0.020) | 0.11 (0.020) | 0.54 (0.125) | 0.03 (0.006) | |
| Ad26.COV2.S 1 × 109 vp/kg, IV | 5.92 (0.121) | 38.5 (0.54) | 12.5 (0.19) | 65.2 (1.35) | 3.5 (0.13) | 207.2 (8.38) | 21.1 (0.49) | 32.4 (0.12) | 8.42 (0.503) | 1.16 (0.123) | 6.36 (0.471) | 0.22 (0.060) | 0.13 (0.010) | 0.51 (0.037) | 0.04 (0.004) | |
| Ad26.COV2.S 5 × 109 vp/kg, IV | 5.62 (0.168) | 37.5 (1.45) | 11.9 (0.32) | 66.8 (1.92) | 4.1 (0.16) | 230.7 (15.47) | 21.3 (0.40) | 31.9 (0.52) | 8.44 (0.066) | 0.97 (0.054) | 6.75 (0.153) | 0.28 (0.084) | 0.08 (0.021) | 0.33 (0.027) | 0.03 (0.005) | |
| Ad26.COV2.S 5 × 109 vp/kg, IM | 5.32 (0.157) | 36.0 (0.96) | 11.7 (0.14) | 67.8 (0.29) | 2.6 (0.07) | 139.3 (5.00) | 22.1 (0.40) | 32.5 (0.45) | 7.82 (0.872) | 0.77 (0.157) | 6.19 (0.946) | 0.35 (0.093) | 0.05 (0.003) | 0.42 (0.053) | 0.04 (0.007) | |
| Ad26.ZIKV.001 5 × 109 vp/kg, IV | 5.88 (0.093) | 37.1 (0.69) | 11.9 (0.22) | 63.1 (0.81) | 3.6 (0.14) | 210.1 (5.07) | 20.3 (0.23) | 32.2 (0.11) | 7.50 (0.300) | 0.87 (0.034) | 5.70 (0.373) | 0.40 (0.058) | 0.09 (0.010) | 0.42 (0.060) | 0.03 (0.004) | |
| Ad26.ZIKV.001 5 × 109 vp/kg, IM | 5.90 (0.168) | 37.1 (0.79) | 12.1 (0.23) | 63.0 (1.12) | 2.9 (0.31) | 169.6 (14.54) | 20.6 (0.24) | 32.6 (0.28) | 8.35 (0.670) | 0.73 (0.093) | 6.82 (0.586) | 0.26 (0.076) | 0.06 (0.007) | 0.43 (0.053) | 0.04 (0.008) | |
| MMR, IV | 5.98 (0.048) | 38.2 (0.60) | 12.3 (0.17) | 63.9 (1.09) | 3.4 (0.20) | 202.8 (12.61) | 20.6 (0.27) | 32.2 (0.17) | 8.57 (0.736) | 1.40 (0.126) | 6.41 (0.527) | 0.26 (0.050) | 0.11 (0.022) | 0.35 (0.065) | 0.04 (0.019) | |
| 72 h post dosing | Vehicle, IV | 5.15 (0.055) | 34.9 (0.46) | 11.2 (0.20) | 67.8 (0.26) | 3.7 (0.46) | 190.4 (22.50) | 21.9 (0.18) | 32.3 (0.19) | 7.74 (0.905) | 1.08 (0.203) | 5.89 (0.731) | 0.30 (0.032) | 0.09 (0.027) | 0.35 (0.068) | 0.02 (0.003) |
| Vehicle, IM | 5.41 (0.081) | 34.9 (0.76) | 11.2 (0.24) | 64.5 (0.65) | 3.6 (0.26) | 199.1 (11.78) | 20.6 (0.30) | 32.0 (0.43) | 9.01 (0.673) | 1.12 (0.109) | 6.96 (0.403) | 0.27 (0.111) | 0.09 (0.010) | 0.54 (0.106) | 0.03 (0.008) | |
| Ad26.COV2.S 0.2 × 109 vp/kg, IV | 5.46 (0.333) | 35.1 (1.14) | 11.2 (0.34) | 64.6 (2.37) | 4.4 (0.35) | 240.0 (14.73) | 20.7 (1.06) | 32.0 (0.47) | 10.43 (1.088) | 1.19 (0.214) | 8.28 (0.883) | 0.12 (0.023) | 0.19 (0.044) | 0.61 (0.140) | 0.04 (0.022) | |
| Ad26.COV2.S 1 × 109 vp/kg, IV | 5.48 (0.081) | 36.7 (0.56) | 11.9 (0.13) | 66.9 (0.66) | 3.9 (0.26) | 212.5 (13.23) | 21.7 (0.27) | 32.4 (0.21) | 7.73 (0.996) | 1.19 (0.189) | 5.56 (0.751) | 0.30 (0.111) | 0.11 (0.010) | 0.51 (0.042) | 0.05 (0.018) | |
| Ad26.COV2.S 5 × 109 vp/kg, IV | 5.36 (0.088) | 35.0 (0.69) | 11.4 (0.13) | 65.4 (0.84) | 4.7 (0.24) | 250.8 (14.72) | 21.3 (0.33) | 32.6 (0.40) | 8.55 (0.475) | 1.19 (0.117) | 6.50 (0.427) | 0.28 (0.055) | 0.10 (0.010) | 0.42 (0.045) | 0.07 (0.034) | |
| Ad26.COV2.S 5 × 109 vp/kg, IM | 5.34 (0.081) | 35.3 (0.69) | 11.6 (0.23) | 66.2 (1.35) | 4.0 (0.34) | 212.7 (18.92) | 21.7 (0.49) | 32.8 (0.14) | 8.07 (0.623) | 0.96 (0.130) | 6.09 (0.560) | 0.39 (0.090) | 0.06 (0.005) | 0.50 (0.027) | 0.07 (0.018) | |
| Ad26.ZIKV.001 5 × 109 vp/kg, IV | 5.58 (0.045) | 35.2 (0.87) | 11.4 (0.23) | 63.1 (1.10) | 4.2 (0.26) | 235.8 (16.10) | 20.5 (0.27) | 32.5 (0.13) | 7.59 (0.276) | 0.93 (0.092) | 5.89 (0.256) | 0.23 (0.054) | 0.10 (0.010) | 0.42 (0.052) | 0.03 (0.005) | |
| Ad26.ZIKV.001 5 × 109 vp/kg, IM | 5.86 (0.156) | 37.0 (0.68) | 12.1 (0.24) | 63.1 (0.97) | 3.8 (0.27) | 224.2 (14.18) | 20.6 (0.29) | 32.6 (0.09) | 8.64 (0.576) | 1.02 (0.103) | 6.51 (0.499) | 0.49 (0.049) | 0.08 (0.009) | 0.51 (0.023) | 0.03 (0.004) | |
| MMR, IV | 5.72 (0.121) | 37.1 (0.77) | 11.9 (0.19) | 64.9 (1.39) | 3.8 (0.24) | 215.5 (17.46) | 20.8 (0.32) | 32.1 (0.28) | 8.39 (0.475) | 1.14 (0.099) | 6.49 (0.416) | 0.27 (0.031) | 0.10 (0.013) | 0.36 (0.055) | 0.03 (0.010) | |
| Day 7 | Vehicle, IV | 5.37 (0.152) | 36.5 (0.79) | 11.7 (0.21) | 68.1 (0.51) | 4.4 (0.31) | 236.9 (14.12) | 21.8 (0.37) | 32.0 (0.35) | 6.93 (0.571) | 0.93 (0.101) | 5.37 (0.523) | 0.16 (0.039) | 0.07 (0.013) | 0.40 (0.050) | 0.02 (0.007) |
| Vehicle, IM | 5.93 (0.260) | 38.2 (1.42) | 12.3 (0.43) | 64.5 (0.69) | 3.9 (0.32) | 234.3 (21.25) | 20.8 (0.27) | 32.2 (0.21) | 8.46 (0.314) | 1.01 (0.061) | 6.72 (0.193) | 0.13 (0.024) | 0.08 (0.020) | 0.48 (0.079) | 0.04 (0.015) | |
| Ad26.COV2.S 0.2 × 109 vp/kg, IV | 5.39 (0.217) | 35.9 (0.78) | 11.6 (0.22) | 66.6 (1.43) | 5.3 (0.39) | 286.5 (22.62) | 21.5 (0.58) | 32.3 (0.25) | 9.02 (0.868) | 1.07 (0.125) | 7.18 (0.719) | 0.09 (0.014) | 0.15 (0.016) | 0.52 (0.103) | 0.02 (0.004) | |
| Ad26.COV2.S 1 × 109 vp/kg, IV | 5.66 (0.167) | 38.4 (1.26) | 12.4 (0.34) | 67.8 (1.14) | 4.8 (0.33) | 269.8 (20.00) | 22.0 (0.29) | 32.4 (0.20) | 7.34 (0.837) | 1.05 (0.086) | 5.59 (0.811) | 0.11 (0.029) | 0.15 (0.033) | 0.40 (0.048) | 0.05 (0.009) | |
| Ad26.COV2.S 5 × 109 vp/kg, IV | 5.41 (0.119) | 36.6 (0.75) | 11.6 (0.14) | 67.7 (1.11) | 4.9 (0.09) | 265.9 (6.47) | 21.4 (0.37) | 31.7 (0.30) | 8.58 (0.203) | 1.04 (0.061) | 6.78 (0.152) | 0.18 (0.038) | 0.12 (0.016) | 0.42 (0.038) | 0.03 (0.012) | |
| Ad26.COV2.S 5 × 109 vp/kg, IM | 5.42 (0.146) | 36.8 (0.71) | 11.7 (0.20) | 68.1 (1.49) | 4.1 (0.27) | 220.2 (11.93) | 21.5 (0.48) | 31.7 (0.09) | 8.15 (0.256) | 1.12 (0.104) | 6.18 (0.263) | 0.27 (0.068) | 0.08 (0.007) | 0.46 (0.028) | 0.04 (0.020) | |
| Ad26.ZIKV.001 5 × 109 vp/kg, IV | 5.74 (0.124) | 37.3 (1.26) | 11.8 (0.35) | 65.0 (1.55) | 4.3 (0.25) | 245.9 (12.53) | 20.5 (0.34) | 31.7 (0.27) | 7.37 (0.292) | 0.90 (0.031) | 5.64 (0.305) | 0.22 (0.026) | 0.11 (0.012) | 0.46 (0.056) | 0.03 (0.012) | |
| Ad26.ZIKV.001 5 × 109 vp/kg, IM | 5.76 (0.099) | 37.1 (0.57) | 11.9 (0.13) | 64.4 (1.15) | 4.4 (0.25) | 254.7 (11.37) | 20.7 (0.30) | 32.1 (0.28) | 7.76 (0.396) | 1.07 (0.254) | 5.89 (0.424) | 0.14 (0.037) | 0.10 (0.019) | 0.54 (0.027) | 0.02 (0.013) | |
| MMR, IV | 5.76 (0.156) | 37.3 (0.84) | 11.9 (0.31) | 64.9 (0.99) | 4.6 (0.34) | 266.0 (25.48) | 20.7 (0.39) | 31.9 (0.18) | 9.01 (0.551) | 1.27 (0.083) | 7.08 (0.624) | 0.10 (0.010) | 0.10 (0.018) | 0.43 (0.045) | 0.02 (0.005) | |
| Day 14 | Vehicle, IV | 5.54 (0.135) | 38.0 (0.70) | 12.1 (0.18) | 68.6 (0.49) | 3.8 (0.34) | 210.3 (17.81) | 21.9 (0.29) | 32.0 (0.24) | 6.77 (0.460) | 0.98 (0.071) | 5.14 (0.428) | 0.20 (0.068) | 0.07 (0.007) | 0.37 (0.025) | 0.02 (0.002) |
| Vehicle, IM | 6.17 (0.354) | 39.9 (2.04) | 12.6 (0.67) | 64.8 (0.74) | 3.4 (0.21) | 208.9 (16.48) | 20.5 (0.26) | 31.6 (0.16) | 8.39 (0.771) | 1.07 (0.248) | 6.43 (0.512) | 0.23 (0.051) | 0.11 (0.012) | 0.52 (0.066) | 0.03 (0.013) | |
| Ad26.COV2.S 0.2 × 109 vp/kg, IV | 5.76 (0.247) | 38.5 (1.14) | 12.3 (0.33) | 67.0 (1.55) | 4.1 (0.25) | 234.8 (12.79) | 21.5 (0.53) | 32.0 (0.16) | 8.39 (1.024) | 1.09 (0.130) | 6.62 (0.895) | 0.15 (0.020) | 0.09 (0.013) | 0.40 (0.100) | 0.03 (0.015) | |
| Ad26.COV2.S 1 × 109 vp/kg, IV | 5.99 (0.129) | 39.6 (0.62) | 12.8 (0.21) | 66.2 (1.52) | 3.6 (0.13) | 215.3 (6.14) | 21.4 (0.61) | 32.3 (0.29) | 7.22 (0.775) | 1.22 (0.108) | 5.28 (0.677) | 0.16 (0.038) | 0.11 (0.015) | 0.42 (0.067) | 0.04 (0.012) | |
| Ad26.COV2.S 5 × 109 vp/kg, IV | 5.61 (0.123) | 37.4 (0.40) | 12.0 (0.14) | 66.8 (0.89) | 3.7 (0.23) | 208.8 (11.20) | 21.3 (0.37) | 31.9 (0.15) | 8.18 (0.329) | 1.00 (0.065) | 6.55 (0.333) | 0.16 (0.033) | 0.09 (0.014) | 0.36 (0.040) | 0.02 (0.005) | |
| Ad26.COV2.S 5 × 109 vp/kg, IM | 5.50 (0.100) | 37.0 (0.37) | 12.0 (0.18) | 67.4 (1.41) | 3.2 (0.22) | 174.8 (9.74) | 21.8 (0.51) | 32.4 (0.28) | 8.16 (0.872) | 1.61 (0.369) | 5.74 (0.491) | 0.22 (0.067) | 0.10 (0.012) | 0.47 (0.049) | 0.02 (0.005) | |
| Ad26.ZIKV.001 5 × 109 vp/kg, IV | 6.05 (0.109) | 38.9 (1.19) | 12.4 (0.37) | 64.2 (1.19) | 3.2 (0.21) | 194.5 (9.77) | 20.4 (0.28) | 31.8 (0.31) | 7.70 (0.433) | 0.90 (0.037) | 6.09 (0.406) | 0.16 (0.033) | 0.08 (0.009) | 0.43 (0.049) | 0.03 (0.008) | |
| Ad26.ZIKV.001 5 × 109 vp/kg, IM | 6.06 (0.091) | 38.7 (0.20) | 12.5 (0.04) | 64.0 (1.05) | 3.0 (0.15) | 181.4 (6.39) | 20.8 (0.29) | 32.4 (0.24) | 8.06 (0.666) | 1.02 (0.111) | 6.00 (0.501) | 0.32 (0.066) | 0.08 (0.007) | 0.60 (0.061) | 0.03 (0.009) | |
| MMR, IV | 6.24 (0.093) | 40.9 (0.69) | 12.9 (0.17) | 65.6 (0.83) | 3.8 (0.16) | 236.2 (9.48) | 20.8 (0.31) | 31.7 (0.27) | 8.07 (0.432) | 1.14 (0.068) | 6.24 (0.445) | 0.24 (0.042) | 0.08 (0.009) | 0.36 (0.045) | 0.02 (0.002) | |
| Day 21 | Vehicle, IV | 5.72 (0.127) | 38.9 (0.72) | 12.3 (0.21) | 68.1 (0.41) | 3.4 (0.23) | 191.9 (12.05) | 21.6 (0.27) | 31.8 (0.25) | 7.09 (0.381) | 1.02 (0.059) | 5.31 (0.450) | 0.24 (0.052) | 0.09 (0.012) | 0.39 (0.031) | 0.04 (0.009) |
| Vehicle, IM | 6.07 (0.220) | 38.7 (1.18) | 12.5 (0.34) | 63.7 (0.94) | 2.6 (0.36) | 159.2 (25.25) | 20.7 (0.39) | 32.5 (0.23) | 8.87 (0.512) | 1.03 (0.123) | 6.88 (0.432) | 0.18 (0.048) | 0.13 (0.014) | 0.62 (0.053) | 0.03 (0.010) | |
| Ad26.COV2.S 0.2 × 109 vp/kg, IV | 5.75 (0.192) | 38.2 (0.83) | 12.4 (0.22) | 66.6 (1.58) | 3.6 (0.27) | 204.5 (13.29) | 21.6 (0.57) | 32.5 (0.24) | 8.98 (0.984) | 1.17 (0.147) | 7.01 (0.880) | 0.18 (0.037) | 0.11 (0.017) | 0.47 (0.079) | 0.03 (0.009) | |
| Ad26.COV2.S 1 × 109 vp/kg, IV | 6.05 (0.211) | 39.6 (0.52) | 12.9 (0.17) | 65.7 (1.67) | 3.0 (0.22) | 180.1 (10.94) | 21.4 (0.55) | 32.5 (0.24) | 8.49 (0.513) | 1.36 (0.117) | 6.13 (0.570) | 0.26 (0.048) | 0.12 (0.017) | 0.59 (0.044) | 0.04 (0.008) | |
| Ad26.COV2.S 5 × 109 vp/kg, IV | 5.78 (0.084) | 39.0 (0.20) | 12.5 (0.04) | 67.5 (1.00) | 3.5 (0.11) | 200.9 (6.54) | 21.7 (0.34) | 32.2 (0.22) | 8.85 (0.558) | 1.10 (0.085) | 6.95 (0.468) | 0.20 (0.042) | 0.12 (0.017) | 0.44 (0.051) | 0.03 (0.010) | |
| Ad26.COV2.S 5 × 109 vp/kg, IM | 5.70 (0.120) | 38.9 (0.27) | 12.6 (0.11) | 68.4 (1.27) | 2.9 (0.13) | 164.1 (5.59) | 22.2 (0.53) | 32.4 (0.25) | 8.51 (0.418) | 1.39 (0.170) | 6.29 (0.445) | 0.20 (0.040) | 0.11 (0.010) | 0.49 (0.015) | 0.03 (0.010) | |
| Ad26.ZIKV.001 5 × 109 vp/kg, IV | 6.08 (0.070) | 39.4 (0.93) | 12.6 (0.28) | 64.8 (1.34) | 3.2 (0.19) | 192.4 (12.01) | 20.6 (0.31) | 31.9 (0.42) | 7.36 (0.414) | 0.98 (0.079) | 5.60 (0.381) | 0.22 (0.045) | 0.11 (0.009) | 0.42 (0.026) | 0.04 (0.007) | |
| Ad26.ZIKV.001 5 × 109 vp/kg, IM | 6.26 (0.109) | 40.5 (0.19) | 13.0 (0.07) | 64.8 (1.12) | 3.3 (0.18) | 203.7 (8.30) | 20.7 (0.27) | 32.0 (0.24) | 8.91 (0.690) | 1.12 (0.050) | 6.92 (0.692) | 0.18 (0.046) | 0.11 (0.009) | 0.55 (0.043) | 0.04 (0.014) | |
| MMR, IV | 6.13 (0.078) | 40.3 (0.65) | 12.9 (0.17) | 65.8 (0.86) | 3.2 (0.08) | 196.4 (6.57) | 21.0 (0.26) | 32.1 (0.24) | 9.74 (0.691) | 1.21 (0.095) | 7.55 (0.582) | 0.35 (0.053) | 0.11 (0.013) | 0.48 (0.059) | 0.03 (0.006) | |
| Day 28 | Vehicle, IV | 6.06 (0.168) | 41.1 (1.09) | 13.1 (0.24) | 67.8 (0.42) | 2.9 (0.26) | 174.9 (19.94) | 21.7 (0.33) | 32.0 (0.40) | 7.00 (0.532) | 1.01 (0.038) | 5.29 (0.495) | 0.23 (0.041) | 0.07 (0.012) | 0.35 (0.016) | 0.04 (0.011) |
| Vehicle, IM | 6.28 (0.117) | 40.3 (1.10) | 13.2 (0.30) | 64.2 (1.24) | 2.2 (0.33) | 135.9 (21.01) | 20.9 (0.31) | 32.6 (0.37) | 8.93 (0.989) | 1.02 (0.192) | 7.05 (0.709) | 0.19 (0.065) | 0.09 (0.013) | 0.55 (0.115) | 0.05 (0.018) | |
| Ad26.COV2.S 0.2 × 109 vp/kg, IV | 6.29 (0.300) | 41.8 (1.30) | 13.5 (0.34) | 66.8 (1.61) | 3.0 (0.23) | 185.4 (9.46) | 21.6 (0.61) | 32.4 (0.24) | 9.00 (0.989) | 1.21 (0.147) | 6.88 (0.850) | 0.27 (0.037) | 0.13 (0.009) | 0.46 (0.096) | 0.04 (0.016) | |
| Ad26.COV2.S 1 × 109 vp/kg, IV | 6.45 (0.107) | 42.2 (0.82) | 13.7 (0.21) | 65.5 (1.64) | 2.6 (0.19) | 164.6 (10.15) | 21.3 (0.49) | 32.5 (0.16) | 8.00 (0.419) | 1.30 (0.158) | 5.77 (0.547) | 0.23 (0.028) | 0.14 (0.015) | 0.54 (0.022) | 0.03 (0.006) | |
| Ad26.COV2.S 5 × 109 vp/kg, IV | 5.92 (0.082) | 40.0 (0.66) | 12.7 (0.18) | 67.7 (0.94) | 2.9 (0.14) | 171.2 (8.56) | 21.5 (0.26) | 31.7 (0.09) | 8.61 (0.379) | 1.14 (0.096) | 6.80 (0.370) | 0.12 (0.016) | 0.13 (0.024) | 0.40 (0.049) | 0.02 (0.007) | |
| Ad26.COV2.S 5 × 109 vp/kg, IM | 5.99 (0.146) | 40.3 (0.58) | 13.1 (0.09) | 67.4 (1.34) | 2.4 (0.13) | 143.8 (4.16) | 21.9 (0.48) | 32.5 (0.26) | 8.64 (0.392) | 1.31 (0.176) | 6.53 (0.486) | 0.23 (0.050) | 0.11 (0.007) | 0.43 (0.032) | 0.03 (0.008) | |
| Ad26.ZIKV.001 5 × 109 vp/kg, IV | 6.35 (0.080) | 40.5 (1.15) | 13.2 (0.28) | 63.7 (1.20) | 2.5 (0.27) | 158.5 (17.51) | 20.7 (0.24) | 32.5 (0.41) | 7.33 (0.422) | 0.96 (0.073) | 5.68 (0.451) | 0.20 (0.059) | 0.08 (0.003) | 0.37 (0.016) | 0.04 (0.008) | |
| Ad26.ZIKV.001 5 × 109 vp/kg, IM | 6.46 (0.154) | 41.2 (0.44) | 13.3 (0.17) | 63.9 (1.26) | 2.5 (0.17) | 165.0 (7.84) | 20.7 (0.36) | 32.4 (0.17) | 9.28 (1.279) | 1.08 (0.187) | 7.09 (0.877) | 0.37 (0.127) | 0.11 (0.015) | 0.58 (0.079) | 0.04 (0.018) | |
| MMR, IV | 6.56 (0.114) | 43.1 (0.69) | 13.8 (0.19) | 65.8 (0.98) | 2.8 (0.17) | 180.1 (10.23) | 21.1 (0.33) | 32.0 (0.09) | 8.51 (1.112) | 1.36 (0.093) | 6.21 (0.984) | 0.41 (0.057) | 0.11 (0.014) | 0.39 (0.074) | 0.03 (0.007) |
References
- Bos, R.; Rutten, L.; van der Lubbe, J.E.M.; Bakkers, M.J.G.; Hardenberg, G.; Wegmann, F.; Zuijdgeest, D.; de Wilde, A.H.; Koornneef, A.; Verwilligen, A.; et al. Ad26 vector-based COVID-19 vaccine encoding a prefusion-stabilized SARS-CoV-2 spike immunogen induces potent humoral and cellular immune responses. NPJ Vaccines 2020, 5, 91. [Google Scholar] [CrossRef] [PubMed]
- Sadoff, J.; Gray, G.; Vandebosch, A.; Cardenas, V.; Shukarev, G.; Grinsztejn, B.; Goepfert, P.A.; Truyers, C.; Van Dromme, I.; Spiessens, B.; et al. Final analysis of efficacy and safety of single-dose Ad26.COV2.S. N. Engl. J. Med. 2022, 386, 847–860. [Google Scholar] [CrossRef]
- Greinacher, A.; Thiele, T.; Warkentin, T.E.; Weisser, K.; Kyrle, P.A.; Eichinger, S. Thrombotic thrombocytopenia after ChAdOx1 nCov-19 vaccination. N. Engl. J. Med. 2021, 384, 2092–2101. [Google Scholar] [CrossRef]
- Sadoff, J.; Davis, K.; Douoguih, M. Thrombotic thrombocytopenia after Ad26.COV2.S vaccination—Response from the manufacturer. N. Engl. J. Med. 2021, 384, 1965–1966. [Google Scholar] [CrossRef] [PubMed]
- See, I.; Lale, A.; Marquez, P.; Streiff, M.B.; Wheeler, A.P.; Tepper, N.K.; Woo, E.J.; Broder, K.R.; Edwards, K.M.; Gallego, R.; et al. Case series of thrombosis with thrombocytopenia syndrome after COVID-19 vaccination-United States, December 2020 to August 2021. Ann. Intern. Med. 2022, 175, 513–522. [Google Scholar] [CrossRef] [PubMed]
- Tsilingiris, D.; Vallianou, N.G.; Karampela, I.; Dalamaga, M. Vaccine induced thrombotic thrombocytopenia: The shady chapter of a success story. Metabol. Open 2021, 11, 100101. [Google Scholar] [CrossRef] [PubMed]
- Padmanabhan, A.; Kanack, A.J.; Kaplan, R.B.; Sangli, S. COVID-19 mRNA-1273 vaccine induces production of vaccine-induced immune thrombotic thrombocytopenia antibodies. Am. J. Hematol. 2022, 97, E223–E225. [Google Scholar] [CrossRef]
- Devi, K.; Ali, N.; Nasir, N.; Mahmood, S.F. VITT with inactivated SARS-CoV-2 vaccine—Index case. Hum. Vaccin. Immunother. 2022, 18, 2036556. [Google Scholar] [CrossRef]
- Hosseinzadeh, R.; Barary, M.; Mehdinezhad, H.; Sio, T.T.; Langer, F.; Khosravi, S. Thrombotic thrombocytopenia after sinopharm BBIBP-CorV COVID-19 vaccination. Res. Pract. Thromb. Haemost. 2022, 6, e12750. [Google Scholar] [CrossRef]
- Herrera-Comoglio, R.; Lane, S. Vaccine-induced immune thrombocytopenia and thrombosis after the Sputnik V vaccine. N. Engl. J. Med. 2022, 387, 1431–1432. [Google Scholar] [CrossRef]
- Daviet, F.; Guervilly, C.; Baldesi, O.; Bernard-Guervilly, F.; Pilarczyk, E.; Genin, A.; Lefebvre, L.; Forel, J.M.; Papazian, L.; Camoin-Jau, L. Heparin-induced thrombocytopenia in severe COVID-19. Circulation 2020, 142, 1875–1877. [Google Scholar] [CrossRef] [PubMed]
- Taquet, M.; Husain, M.; Geddes, J.R.; Luciano, S.; Harrison, P.J. Cerebral venous thrombosis and portal vein thrombosis: A retrospective cohort study of 537,913 COVID-19 cases. EClinicalMedicine 2021, 39, 101061. [Google Scholar] [CrossRef] [PubMed]
- Buoninfante, A.; Andeweg, A.; Baker, A.T.; Borad, M.; Crawford, N.; Dogne, J.M.; Garcia-Azorin, D.; Greinacher, A.; Helfand, R.; Hviid, A.; et al. Understanding thrombosis with thrombocytopenia syndrome after COVID-19 vaccination. NPJ Vaccines 2022, 7, 141. [Google Scholar] [CrossRef] [PubMed]
- Praet, N. Janssen epidemiology activities to characterize the risk of vaccine-induced TTS. In Proceedings of the EMA Workshop on Thrombosis with Thrombocytopenia Syndrome, Virtual, 27 June 2022; Available online: https://www.ema.europa.eu/documents/presentation/presentation-janssen-epidemiology-activities-characterize-risk-tts-nicolas-praet_en.pdf (accessed on 15 August 2023).
- Shimabukuro, T. Thrombosis with Thrombocytopenia Syndrome (TTS) following Janssen COVID-19 Vaccine. CDC COVID-19 Vaccine Task Force Vaccine Safety Team. Available online: https://www.cdc.gov/vaccines/acip/meetings/downloads/slides-2021-05-12/07-COVID-Shimabukuro-508.pdf (accessed on 31 July 2023).
- Pavord, S.; Scully, M.; Hunt, B.J.; Lester, W.; Bagot, C.; Craven, B.; Rampotas, A.; Ambler, G.; Makris, M. Clinical features of vaccine-induced immune thrombocytopenia and thrombosis. N. Engl. J. Med. 2021, 385, 1680–1689. [Google Scholar] [CrossRef] [PubMed]
- Leung, H.H.L.; Perdomo, J.; Ahmadi, Z.; Zheng, S.S.; Rashid, F.N.; Enjeti, A.; Ting, S.B.; Chong, J.J.H.; Chong, B.H. NETosis and thrombosis in vaccine-induced immune thrombotic thrombocytopenia. Nat. Commun. 2022, 13, 5206. [Google Scholar] [CrossRef] [PubMed]
- Wang, J.J.; Armour, B.; Chataway, T.; Troelnikov, A.; Colella, A.; Yacoub, O.; Hockley, S.; Tan, C.W.; Gordon, T.P. Vaccine-induced immune thrombotic thrombocytopenia is mediated by a stereotyped clonotypic antibody. Blood 2022, 140, 1738–1742. [Google Scholar] [CrossRef] [PubMed]
- Huynh, A.; Kelton, J.G.; Arnold, D.M.; Daka, M.; Nazy, I. Antibody epitopes in vaccine-induced immune thrombotic thrombocytopaenia. Nature 2021, 596, 565–569. [Google Scholar] [CrossRef]
- Nicolai, L.; Leunig, A.; Pekayvaz, K.; Esefeld, M.; Anjum, A.; Rath, J.; Riedlinger, E.; Ehreiser, V.; Mader, M.; Eivers, L.; et al. Thrombocytopenia and splenic platelet-directed immune responses after IV ChAdOx1 nCoV-19 administration. Blood 2022, 140, 478–490. [Google Scholar] [CrossRef]
- Kowarz, E.; Krutzke, L.; Külp, M.; Streb, P.; Larghero, P.; Reis, J.; Bracharz, S.; Engler, T.; Kochanek, S.; Marschalek, R. Vaccine-induced COVID-19 mimicry syndrome. Elife 2022, 11, e74974. [Google Scholar] [CrossRef]
- Baker, A.T.; Boyd, R.J.; Sarkar, D.; Teijeira-Crespo, A.; Chan, C.K.; Bates, E.; Waraich, K.; Vant, J.; Wilson, E.; Truong, C.D.; et al. ChAdOx1 interacts with CAR and PF4 with implications for thrombosis with thrombocytopenia syndrome. Sci. Adv. 2021, 7, eabl8213. [Google Scholar] [CrossRef]
- Zhang, S.; Liu, Y.; Wang, X.; Yang, L.; Li, H.; Wang, Y.; Liu, M.; Zhao, X.; Xie, Y.; Yang, Y.; et al. SARS-CoV-2 binds platelet ACE2 to enhance thrombosis in COVID-19. J. Hematol. Oncol. 2020, 13, 120. [Google Scholar] [CrossRef] [PubMed]
- American Veterinary Medical Association. AVMA Guidelines for the Euthanasia of Animals: 2020 Edition. Available online: https://www.avma.org/sites/default/files/2020-02/Guidelines-on-Euthanasia-2020.pdf (accessed on 15 August 2023).
- Widjojoatmodjo, M.N.; Bogaert, L.; Meek, B.; Zahn, R.; Vellinga, J.; Custers, J.; Serroyen, J.; Radosevic, K.; Schuitemaker, H. Recombinant low-seroprevalent adenoviral vectors Ad26 and Ad35 expressing the respiratory syncytial virus (RSV) fusion protein induce protective immunity against RSV infection in cotton rats. Vaccine 2015, 33, 5406–5414. [Google Scholar] [CrossRef] [PubMed]
- Zahn, R.; Gillisen, G.; Roos, A.; Koning, M.; van der Helm, E.; Spek, D.; Weijtens, M.; Grazia Pau, M.; Radosevic, K.; Weverling, G.J.; et al. Ad35 and Ad26 vaccine vectors induce potent and cross-reactive antibody and T-cell responses to multiple filovirus species. PLoS ONE 2012, 7, e44115. [Google Scholar] [CrossRef] [PubMed]
- Salisch, N.C.; Stephenson, K.E.; Williams, K.; Cox, F.; van der Fits, L.; Heerwegh, D.; Truyers, C.; Habets, M.N.; Kanjilal, D.G.; Larocca, R.A.; et al. A double-blind, randomized, placebo-controlled phase 1 study of Ad26.ZIKV.001, an Ad26-vectored anti-Zika virus vaccine. Ann. Intern. Med. 2021, 174, 585–594. [Google Scholar] [CrossRef] [PubMed]
- Sheets, R.L.; Stein, J.; Bailer, R.T.; Koup, R.A.; Andrews, C.; Nason, M.; He, B.; Koo, E.; Trotter, H.; Duffy, C.; et al. Biodistribution and toxicological safety of adenovirus type 5 and type 35 vectored vaccines against human immunodeficiency virus-1 (HIV-1), Ebola, or Marburg are similar despite differing adenovirus serotype vector, manufacturer’s construct, or gene inserts. J. Immunotoxicol. 2008, 5, 315–335. [Google Scholar] [CrossRef] [PubMed]
- Sellers, R.S.; Nelson, K.; Bennet, B.; Wolf, J.; Tripathi, N.; Chamanza, R.; Perron Lepage, M.F.; Adkins, K.; Laurent, S.; Troth, S.P. Scientific and Regulatory Policy Committee points to consider: Approaches to the conduct and interpretation of vaccine safety studies for clinical and anatomic pathologists. Toxicol. Pathol. 2020, 48, 257–276. [Google Scholar] [CrossRef]
- Destexhe, E.; Prinsen, M.K.; van Schöll, I.; Kuper, C.F.; Garçon, N.; Veenstra, S.; Segal, L. Evaluation of C-reactive protein as an inflammatory biomarker in rabbits for vaccine nonclinical safety studies. J. Pharmacol. Toxicol. Methods 2013, 68, 367–373. [Google Scholar] [CrossRef]
- Green, M.D. Acute phase responses to novel, investigational vaccines in toxicology studies: The relationship between C-reactive protein and other acute phase proteins. Int. J. Toxicol. 2015, 34, 379–383. [Google Scholar] [CrossRef]
- Cichon, G.; Schmidt, H.H.; Benhidjeb, T.; Löser, P.; Ziemer, S.; Haas, R.; Grewe, N.; Schnieders, F.; Heeren, J.; Manns, M.P.; et al. Intravenous administration of recombinant adenoviruses causes thrombocytopenia, anemia and erythroblastosis in rabbits. J. Gene Med. 1999, 1, 360–371. [Google Scholar] [CrossRef]
- Wolins, N.; Lozier, J.; Eggerman, T.L.; Jones, E.; Aguilar-Córdova, E.; Vostal, J.G. Intravenous administration of replication-incompetent adenovirus to rhesus monkeys induces thrombocytopenia by increasing in vivo platelet clearance. Br. J. Haematol. 2003, 123, 903–905. [Google Scholar] [CrossRef]
- Coughlan, L. Factors which contribute to the immunogenicity of non-replicating adenoviral vectored vaccines. Front. Immunol. 2020, 11, 909. [Google Scholar] [CrossRef] [PubMed]
- Hemsath, J.R.; Liaci, A.M.; Rubin, J.D.; Parrett, B.J.; Lu, S.C.; Nguyen, T.V.; Turner, M.A.; Chen, C.Y.; Cupelli, K.; Reddy, V.S.; et al. Ex vivo and in vivo CD46 receptor utilization by species D human adenovirus serotype 26 (HAdV26). J. Virol. 2022, 96, e0082621. [Google Scholar] [CrossRef] [PubMed]
- Michalik, S.; Siegerist, F.; Palankar, R.; Franzke, K.; Schindler, M.; Reder, A.; Seifert, U.; Cammann, C.; Wesche, J.; Steil, L.; et al. Comparative analysis of ChAdOx1 nCoV-19 and Ad26.COV2.S SARS-CoV-2 vector vaccines. Haematologica 2022, 107, 947–957. [Google Scholar] [CrossRef]
- Ali, S.B.; Perkins, G.; Ryoo, D.; Lee, M.; Tunbridge, M.; Yuson, C.; Smith, W.; Hissaria, P.; Le, T.T. AstraZeneca ChAdOx1-S COVID-19 vaccine can be safely administered in patients with EDTA allergy. Allergy Asthma Clin. Immunol. 2022, 18, 22. [Google Scholar] [CrossRef] [PubMed]
- Mussbacher, M.; Schrottmaier, W.C.; Salzmann, M.; Brostjan, C.; Schmid, J.A.; Starlinger, P.; Assinger, A. Optimized plasma preparation is essential to monitor platelet-stored molecules in humans. PLoS ONE 2017, 12, e0188921. [Google Scholar] [CrossRef] [PubMed]
- Robles, J.P.; Zamora, M.; Adan-Castro, E.; Siqueiros-Marquez, L.; Martinez de la Escalera, G.; Clapp, C. The spike protein of SARS-CoV-2 induces endothelial inflammation through integrin α5β1 and NF-κB signaling. J. Biol. Chem. 2022, 298, 101695. [Google Scholar] [CrossRef] [PubMed]
- Trougakos, I.P.; Terpos, E.; Alexopoulos, H.; Politou, M.; Paraskevis, D.; Scorilas, A.; Kastritis, E.; Andreakos, E.; Dimopoulos, M.A. Adverse effects of COVID-19 mRNA vaccines: The spike hypothesis. Trends Mol. Med. 2022, 28, 542–554. [Google Scholar] [CrossRef] [PubMed]
- Warkentin, T.E.; Baskin-Miller, J.; Raybould, A.L.; Sheppard, J.I.; Daka, M.; Nazy, I.; Moll, S. Adenovirus-associated thrombocytopenia, thrombosis, and VITT-like antibodies. N. Engl. J. Med. 2023, 389, 574–577. [Google Scholar] [CrossRef]
- Abbink, P.; Lemckert, A.A.; Ewald, B.A.; Lynch, D.M.; Denholtz, M.; Smits, S.; Holterman, L.; Damen, I.; Vogels, R.; Thorner, A.R.; et al. Comparative seroprevalence and immunogenicity of six rare serotype recombinant adenovirus vaccine vectors from subgroups B and D. J. Virol. 2007, 81, 4654–4663. [Google Scholar] [CrossRef]
- Röltgen, K.; Nielsen, S.C.A.; Silva, O.; Younes, S.F.; Zaslavsky, M.; Costales, C.; Yang, F.; Wirz, O.F.; Solis, D.; Hoh, R.A.; et al. Immune imprinting, breadth of variant recognition, and germinal center response in human SARS-CoV-2 infection and vaccination. Cell 2022, 185, 1025–1040.e14. [Google Scholar] [CrossRef]
- Li, C.; Lee, A.; Grigoryan, L.; Arunachalam, P.S.; Scott, M.K.D.; Trisal, M.; Wimmers, F.; Sanyal, M.; Weidenbacher, P.A.; Feng, Y.; et al. Mechanisms of innate and adaptive immunity to the Pfizer-BioNTech BNT162b2 vaccine. Nat. Immunol. 2022, 23, 543–555. [Google Scholar] [CrossRef] [PubMed]
- Yonker, L.M.; Swank, Z.; Bartsch, Y.C.; Burns, M.D.; Kane, A.; Boribong, B.P.; Davis, J.P.; Loiselle, M.; Novak, T.; Senussi, Y.; et al. Circulating spike protein detected in post-COVID-19 mRNA vaccine myocarditis. Circulation 2023, 147, 867–876. [Google Scholar] [CrossRef] [PubMed]
- Ogata, A.F.; Cheng, C.A.; Desjardins, M.; Senussi, Y.; Sherman, A.C.; Powell, M.; Novack, L.; Von, S.; Li, X.; Baden, L.R.; et al. Circulating severe acute respiratory syndrome coronavirus 2 (SARS-CoV-2) vaccine antigen detected in the plasma of mRNA-1273 vaccine recipients. Clin. Infect. Dis. 2022, 74, 715–718. [Google Scholar] [CrossRef] [PubMed]
- Heinz, F.X.; Stiasny, K. Distinguishing features of current COVID-19 vaccines: Knowns and unknowns of antigen presentation and modes of action. NPJ Vaccines 2021, 6, 104. [Google Scholar] [CrossRef]



Disclaimer/Publisher’s Note: The statements, opinions and data contained in all publications are solely those of the individual author(s) and contributor(s) and not of MDPI and/or the editor(s). MDPI and/or the editor(s) disclaim responsibility for any injury to people or property resulting from any ideas, methods, instructions or products referred to in the content. |
© 2023 by the authors. Licensee MDPI, Basel, Switzerland. This article is an open access article distributed under the terms and conditions of the Creative Commons Attribution (CC BY) license (https://creativecommons.org/licenses/by/4.0/).
Share and Cite
Khan, S.; Marquez-Martinez, S.; Erkens, T.; de Wilde, A.; Costes, L.M.M.; Vinken, P.; De Jonghe, S.; Roosen, W.; Talia, C.; Chamanza, R.; et al. Intravenous Administration of Ad26.COV2.S Does Not Induce Thrombocytopenia or Thrombotic Events or Affect SARS-CoV-2 Spike Protein Bioavailability in Blood Compared with Intramuscular Vaccination in Rabbits. Vaccines 2023, 11, 1792. https://doi.org/10.3390/vaccines11121792
Khan S, Marquez-Martinez S, Erkens T, de Wilde A, Costes LMM, Vinken P, De Jonghe S, Roosen W, Talia C, Chamanza R, et al. Intravenous Administration of Ad26.COV2.S Does Not Induce Thrombocytopenia or Thrombotic Events or Affect SARS-CoV-2 Spike Protein Bioavailability in Blood Compared with Intramuscular Vaccination in Rabbits. Vaccines. 2023; 11(12):1792. https://doi.org/10.3390/vaccines11121792
Chicago/Turabian StyleKhan, Selina, Sonia Marquez-Martinez, Tim Erkens, Adriaan de Wilde, Lea M. M. Costes, Petra Vinken, Sandra De Jonghe, Wendy Roosen, Chiara Talia, Ronnie Chamanza, and et al. 2023. "Intravenous Administration of Ad26.COV2.S Does Not Induce Thrombocytopenia or Thrombotic Events or Affect SARS-CoV-2 Spike Protein Bioavailability in Blood Compared with Intramuscular Vaccination in Rabbits" Vaccines 11, no. 12: 1792. https://doi.org/10.3390/vaccines11121792
APA StyleKhan, S., Marquez-Martinez, S., Erkens, T., de Wilde, A., Costes, L. M. M., Vinken, P., De Jonghe, S., Roosen, W., Talia, C., Chamanza, R., Serroyen, J., Tolboom, J., Zahn, R. C., & Wegmann, F. (2023). Intravenous Administration of Ad26.COV2.S Does Not Induce Thrombocytopenia or Thrombotic Events or Affect SARS-CoV-2 Spike Protein Bioavailability in Blood Compared with Intramuscular Vaccination in Rabbits. Vaccines, 11(12), 1792. https://doi.org/10.3390/vaccines11121792

