Boosting Mouse Defense against Lethal Toxoplasma gondii Infection with Full-Length and Soluble SAG1 Recombinant Protein
Abstract
1. Introduction
2. Materials and Methods
2.1. Mice and Parasites
2.2. Cloning and Expression of Full-Length SAG1 Recombinant Proteins in Prokaryotic Expression System
2.3. Mouse Immunization and Challenge with T. gondii Tachyzoite
2.4. Measurement of Humoral Response
2.5. Spleen Lymphocyte Proliferation Assay
2.6. Cytokine Assays
2.7. Flow Cytometry Analysis
2.8. Statistical Analysis
3. Results
3.1. Full-Length SAG1 Recombinant Protein Expression and Purification In Vitro
3.2. The SAG1 Recombinant Protein Stimulated High Levels of IgG Production in Mice, Including Subtypes IgG1, IgG2a, IgG2b, and IgG3
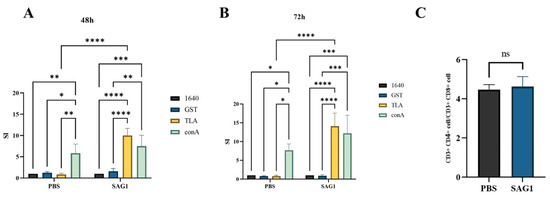
3.3. TLA Specially Stimulated the Proliferation of Splenocyte in the Immunization Group
3.4. Immunized Mice Showed Substantial Increases in Th1 (IFN-γ, IL-2, IL-12p70, and TNF-α) and Th2 (IL-10) Cytokine Levels
3.5. Full-Length SAG1 Recombinant Protein Immunization Enhanced Mouse Resistance to Lethal T. gondii Infection
4. Discussion
5. Conclusions
Supplementary Materials
Author Contributions
Funding
Institutional Review Board Statement
Informed Consent Statement
Data Availability Statement
Conflicts of Interest
References
- Furtado, J.M.; Smith, J.R.; Belfort, R., Jr.; Gattey, D.; Winthrop, K.L. Toxoplasmosis: A global threat. J. Glob. Infect. Dis. 2011, 3, 281–284. [Google Scholar] [CrossRef] [PubMed]
- Tenter, A.M.; Heckeroth, A.R.; Weiss, L.M. Toxoplasma gondii: From animals to humans. Int. J. Parasitol. 2000, 30, 1217–1258. [Google Scholar] [CrossRef]
- Bierly, A.L.; Shufesky, W.J.; Sukhumavasi, W.; Morelli, A.E.; Denkers, E.Y. Dendritic cells expressing plasmacytoid marker PDCA-1 are Trojan horses during Toxoplasma gondii infection. J. Immunol. 2008, 181, 8485–8491. [Google Scholar] [CrossRef] [PubMed]
- Liu, Q.; Wei, F.; Gao, S.; Jiang, L.; Lian, H.; Yuan, B.; Yuan, Z.; Xia, Z.; Liu, B.; Xu, X.; et al. Toxoplasma gondii infection in pregnant women in China. Trans. R. Soc. Trop. Med. Hyg. 2009, 103, 162–166. [Google Scholar] [CrossRef] [PubMed]
- Pereira-Chioccola, V.L.; Vidal, J.E.; Su, C. Toxoplasma gondii infection and cerebral toxoplasmosis in HIV-infected patients. Future Microbiol. 2009, 4, 1363–1379. [Google Scholar] [CrossRef]
- Wang, Z.D.; Wang, S.C.; Liu, H.H.; Ma, H.Y.; Li, Z.Y.; Wei, F.; Zhu, X.Q.; Liu, Q. Prevalence and burden of Toxoplasma gondii infection in HIV-infected people: A systematic review and meta-analysis. Lancet HIV 2017, 4, e177–e188. [Google Scholar] [CrossRef]
- Li, X.L.; Wei, H.X.; Zhang, H.; Peng, H.J.; Lindsay, D.S. A meta analysis on risks of adverse pregnancy outcomes in Toxoplasma gondii infection. PLoS ONE 2014, 9, e97775. [Google Scholar] [CrossRef]
- Nayeri, T.; Sarvi, S.; Moosazadeh, M.; Amouei, A.; Hosseininejad, Z.; Daryani, A. The global seroprevalence of anti-Toxoplasma gondii antibodies in women who had spontaneous abortion: A systematic review and meta-analysis. PLoS Negl. Trop. Dis. 2020, 14, e0008103. [Google Scholar] [CrossRef]
- Nayeri, T.; Sarvi, S.; Moosazadeh, M.; Daryani, A. Global prevalence of Toxoplasma gondii infection in the aborted fetuses and ruminants that had an abortion: A systematic review and meta-analysis. Vet. Parasitol. 2021, 290, 109370. [Google Scholar] [CrossRef]
- Zeng, Y.B.; Zhu, S.H.; Dong, H.; Han, H.Y.; Jiang, L.L.; Wang, Q.; Cheng, J.; Zhao, Q.P.; Ma, W.J.; Huang, B. Great efficacy of sulfachloropyrazine-sodium against acute murine toxoplasmosis. Asian Pac. J. Trop. Biomed. 2012, 2, 70–75. [Google Scholar] [CrossRef]
- Wang, L.; Cheng, H.W.; Huang, K.Q.; Xu, Y.H.; Li, Y.N.; Du, J.; Yu, L.; Luo, Q.L.; Wei, W.; Jiang, L.; et al. Toxoplasma gondii prevalence in food animals and rodents in different regions of China: Isolation, genotyping and mouse pathogenicity. Parasites Vectors 2013, 6, 273. [Google Scholar] [CrossRef] [PubMed][Green Version]
- Kijlstra, A.; Jongert, E. Toxoplasma-safe meat: Close to reality? Trends Parasitol. 2009, 25, 18–22. [Google Scholar] [CrossRef] [PubMed]
- Buxton, D.; Innes, E.A. A commercial vaccine for ovine toxoplasmosis. Parasitology 1995, 110 (Suppl. S1), S11–S16. [Google Scholar] [CrossRef] [PubMed]
- Hiszczynska-Sawicka, E.; Brillowska-Dabrowska, A.; Dabrowski, S.; Pietkiewicz, H.; Myjak, P.; Kur, J. High yield expression and single-step purification of Toxoplasma gondii SAG1, GRA1, and GRA7 antigens in Escherichia coli. Protein Expr. Purif. 2003, 27, 150–157. [Google Scholar] [CrossRef] [PubMed]
- Rezaei, F.; Sarvi, S.; Sharif, M.; Hejazi, S.H.; Pagheh, A.S.; Aghayan, S.A.; Daryani, A. A systematic review of Toxoplasma gondii antigens to find the best vaccine candidates for immunization. Microb. Pathog. 2019, 126, 172–184. [Google Scholar] [CrossRef]
- Bulow, R.; Boothroyd, J.C. Protection of mice from fatal Toxoplasma gondii infection by immunization with p30 antigen in liposomes. J. Immunol. 1991, 147, 3496–3500. [Google Scholar] [CrossRef]
- Darcy, F.; Maes, P.; Gras-Masse, H.; Auriault, C.; Bossus, M.; Deslee, D.; Godard, I.; Cesbron, M.F.; Tartar, A.; Capron, A. Protection of mice and nude rats against toxoplasmosis by a multiple antigenic peptide construction derived from Toxoplasma gondii P30 antigen. J. Immunol. 1992, 149, 3636–3641. [Google Scholar] [CrossRef]
- Kasper, L.H.; Bradley, M.S.; Pfefferkorn, E.R. Identification of stage-specific sporozoite antigens of Toxoplasma gondii by monoclonal antibodies. J. Immunol. 1984, 132, 443–449. [Google Scholar] [CrossRef]
- Kasper, L.H.; Khan, I.A.; Ely, K.H.; Buelow, R.; Boothroyd, J.C. Antigen-specific (p30) mouse CD8+ T cells are cytotoxic against Toxoplasma gondii-infected peritoneal macrophages. J. Immunol. 1992, 148, 1493–1498. [Google Scholar] [CrossRef]
- Velge-Roussel, F.; Moretto, M.; Buzoni-Gatel, D.; Dimier-Poisson, I.; Ferrer, M.; Hoebeke, J.; Bout, D. Differences in immunological response to a T. gondii protein (SAG1) derived peptide between two strains of mice: Effect on protection in T. gondii infection. Mol. Immunol. 1997, 34, 1045–1053. [Google Scholar] [CrossRef]
- Chen, X.G.; Gong, Y.; Hua, L.; Lun, Z.R.; Fung, M.C. High-level expression and purification of immunogenic recombinant SAG1 (P30) of Toxoplasma gondii in Escherichia coli. Protein Expr. Purif. 2001, 23, 33–37. [Google Scholar] [CrossRef] [PubMed]
- He, X.L.; Grigg, M.E.; Boothroyd, J.C.; Garcia, K.C. Structure of the immunodominant surface antigen from the Toxoplasma gondii SRS superfamily. Nat. Struct. Biol. 2002, 9, 606–611. [Google Scholar] [CrossRef] [PubMed]
- Wu, K.; Chen, X.G.; Li, H.; Yan, H.; Yang, P.L.; Lun, Z.R.; Zhu, X.Q. Diagnosis of human toxoplasmosis by using the recombinant truncated surface antigen 1 of Toxoplasma gondii. Diagn. Microbiol. Infect. Dis. 2009, 64, 261–266. [Google Scholar] [CrossRef] [PubMed]
- Fang, R.; Feng, H.; Nie, H.; Wang, L.; Tu, P.; Song, Q.; Zhou, Y.; Zhao, J. Construction and immunogenicity of pseudotype baculovirus expressing Toxoplasma gondii SAG1 protein in BALB/c mice model. Vaccine 2010, 28, 1803–1807. [Google Scholar] [CrossRef]
- Majidiani, H.; Dalimi, A.; Ghaffarifar, F.; Pirestani, M.; Ghaffari, A.D. Computational probing of Toxoplasma gondii major surface antigen 1 (SAG1) for enhanced vaccine design against toxoplasmosis. Microb. Pathog. 2020, 147, 104386. [Google Scholar] [CrossRef]
- Sang, X.; Li, X.; Chen, R.; Feng, Y.; He, T.; Zhang, X.; El-Ashram, S.; Al-Olayan, E.; Yang, N. Co-Immunization with DNA Vaccines Expressing SABP1 and SAG1 Proteins Effectively Enhanced Mice Resistance to Toxoplasma gondii Acute Infection. Vaccines 2023, 11, 1190. [Google Scholar] [CrossRef]
- Zhang, N.Z.; Chen, J.; Wang, M.; Petersen, E.; Zhu, X.Q. Vaccines against Toxoplasma gondii: New developments and perspectives. Expert Rev. Vaccines 2013, 12, 1287–1299. [Google Scholar] [CrossRef]
- Agger, E.M.; Andersen, P. Tuberculosis subunit vaccine development: On the role of interferon-gamma. Vaccine 2001, 19, 2298–2302. [Google Scholar] [CrossRef]
- Baldwin, M.R.; Tepp, W.H.; Przedpelski, A.; Pier, C.L.; Bradshaw, M.; Johnson, E.A.; Barbieri, J.T. Subunit vaccine against the seven serotypes of botulism. Infect. Immun. 2008, 76, 1314–1318. [Google Scholar] [CrossRef]
- Devi, Y.S.; Mukherjee, P.; Yazdani, S.S.; Shakri, A.R.; Mazumdar, S.; Pandey, S.; Chitnis, C.E.; Chauhan, V.S. Immunogenicity of Plasmodium vivax combination subunit vaccine formulated with human compatible adjuvants in mice. Vaccine 2007, 25, 5166–5174. [Google Scholar] [CrossRef]
- Gao, F.; An, C.; Bian, L.; Wang, Y.; Zhang, J.; Cui, B.; He, Q.; Yuan, Y.; Song, L.; Yang, J.; et al. Establishment of the first Chinese national standard for protein subunit SARS-CoV-2 vaccine. Vaccine 2022, 40, 2233–2239. [Google Scholar] [CrossRef] [PubMed]
- Stephenson, I.; Nicholson, K.G.; Gluck, R.; Mischler, R.; Newman, R.W.; Palache, A.M.; Verlander, N.Q.; Warburton, F.; Wood, J.M.; Zambon, M.C. Safety and antigenicity of whole virus and subunit influenza A/Hong Kong/1073/99 (H9N2) vaccine in healthy adults: Phase I randomised trial. Lancet 2003, 362, 1959–1966. [Google Scholar] [CrossRef] [PubMed]
- Petersen, E.; Nielsen, H.V.; Christiansen, L.; Spenter, J. Immunisation with E. coli produced recombinant T. gondii SAG1 with alum as adjuvant protect mice against lethal infection with T. gondii. Vaccine 1998, 16, 1283–1289. [Google Scholar] [CrossRef] [PubMed]
- Letscher-Bru, V.; Villard, O.; Risse, B.; Zauke, M.; Klein, J.P.; Kien, T.T. Protective effect of vaccination with a combina tion of recombinant surface antigen 1 and interleukin-12 against toxo plasmosis in mice. Infect. Immun. 1998, 66, 4503–4506. [Google Scholar] [CrossRef] [PubMed]
- Letscher-Bru, V.; Pfaff, A.W.; Abou-Bacar, A.; Filisetti, D.; Antoni, E.; Villard, O.; Klein, J.P.; Candolfi, E. Vaccination with T. gondii SAG-1 protein is protective against congenital toxo plasmosis in BALB/c mice but not in CBA/J mice. Infect. Immun. 2003, 71, 6615–6619. [Google Scholar] [CrossRef]
- Batista-Duharte, A.; Lindblad, E.B.; Oviedo-Orta, E. Progress in understanding adjuvant immunotoxicity mecha nisms. Toxicol. Lett. 2011, 23, 97–105. [Google Scholar]
- Hunter, S.; Ashbaugh, L.; Hair, P.; Bozic, C.M.; Milhausen, M. Baculovirus-directed expression and secretion of a truncated version of Toxoplasma SAG1. Mol. Biochem. Parasitol. 1999, 103, 267–272. [Google Scholar] [CrossRef]
- Wang, Y.; Wang, G.; Zhang, D.; Yin, H.; Wang, M. Screening and identification of novel B cell epitopes of Toxoplasma gondii SAG1. Parasites Vectors 2013, 6, 125. [Google Scholar] [CrossRef]
- Godard, I.; Estaquier, J.; Zenner, L.; Bossus, M.; Auriault, C.; Darcy, F.; Gras-Masse, H.; Capron, A. Antigenicity and immunogenicity of P30-derived peptides in experimental models of toxoplasmosis. Mol. Immunol. 1994, 31, 1353–1363. [Google Scholar] [CrossRef]
- Cardona, N.; de-la-Torre, A.; Siachoque, H.; Patarroyo, M.A.; Gomez-Marin, J.E. Toxoplasma gondii: P30 peptides recognition pattern in human toxoplasmosis. Exp. Parasitol. 2009, 123, 199–202. [Google Scholar] [CrossRef]
- Wang, J.L.; Zhang, N.Z.; Li, T.T.; He, J.J.; Elsheikha, H.M.; Zhu, X.Q. Advances in the Development of Anti-Toxoplasma gondii Vaccines: Challenges, Opportunities, and Perspectives. Trends Parasitol. 2019, 35, 239–253. [Google Scholar] [CrossRef] [PubMed]
- Bela, S.R.; Dutra, M.S.; Mui, E.; Montpetit, A.; Oliveira, F.S.; Oliveira, S.C.; Arantes, R.M.; Antonelli, L.R.; McLeod, R.; Gazzinelli, R.T. Impaired innate immunity in mice deficient in interleukin-1 receptor-associated kinase 4 leads to defective type 1 T cell responses, B cell expansion, and enhanced susceptibility to infection with Toxoplasma gondii. Infect. Immun. 2012, 80, 4298–4308. [Google Scholar] [CrossRef] [PubMed]
- Pagheh, A.S.; Sarvi, S.; Sharif, M.; Rezaei, F.; Ahmadpour, E.; Dodangeh, S.; Omidian, Z.; Hassannia, H.; Mehrzadi, S.; Daryani, A. Toxoplasma gondii surface antigen 1 (SAG1) as a potential candidate to develop vaccine against toxoplasmosis: A systematic review. Comp. Immunol. Microbiol. Infect. Dis. 2020, 69, 101414. [Google Scholar] [CrossRef] [PubMed]
- Bergmann-Leitner, E.S.; Leitner, W.W. Adjuvants in the Driver’s Seat: How Magnitude, Type, Fine Specificity and Longevity of Immune Responses Are Driven by Distinct Classes of Immune Potentiators. Vaccines 2014, 2, 252–296. [Google Scholar] [CrossRef] [PubMed]
- Dowling, J.K.; Mansell, A. Toll-like receptors: The swiss army knife of immunity and vaccine development. Clin. Transl. Immunol. 2016, 5, e85. [Google Scholar] [CrossRef]
- Haumont, M.; Delhaye, L.; Garcia, L.; Jurado, M.; Mazzu, P.; Daminet, V.; Verlant, V.; Bollen, A.; Biemans, R.; Jacquet, A. Protective immunity against congenital toxoplasmosis with recombinant SAG1 protein in a guinea pig mode. Infect. Immun. 2000, 68, 4948–4953. [Google Scholar] [CrossRef]





Disclaimer/Publisher’s Note: The statements, opinions and data contained in all publications are solely those of the individual author(s) and contributor(s) and not of MDPI and/or the editor(s). MDPI and/or the editor(s) disclaim responsibility for any injury to people or property resulting from any ideas, methods, instructions or products referred to in the content. |
© 2023 by the authors. Licensee MDPI, Basel, Switzerland. This article is an open access article distributed under the terms and conditions of the Creative Commons Attribution (CC BY) license (https://creativecommons.org/licenses/by/4.0/).
Share and Cite
Li, X.; Yuan, W.; He, T.; Guo, R.; Du, X.; He, Y.; Li, X.; El-Ashram, S.; Al-Olayan, E.M.; Yang, N.; et al. Boosting Mouse Defense against Lethal Toxoplasma gondii Infection with Full-Length and Soluble SAG1 Recombinant Protein. Vaccines 2023, 11, 1678. https://doi.org/10.3390/vaccines11111678
Li X, Yuan W, He T, Guo R, Du X, He Y, Li X, El-Ashram S, Al-Olayan EM, Yang N, et al. Boosting Mouse Defense against Lethal Toxoplasma gondii Infection with Full-Length and Soluble SAG1 Recombinant Protein. Vaccines. 2023; 11(11):1678. https://doi.org/10.3390/vaccines11111678
Chicago/Turabian StyleLi, Xiang, Wei Yuan, Ting He, Ruiying Guo, Xiuxian Du, Yanhong He, Xuan Li, Saeed El-Ashram, Ebtesam M. Al-Olayan, Na Yang, and et al. 2023. "Boosting Mouse Defense against Lethal Toxoplasma gondii Infection with Full-Length and Soluble SAG1 Recombinant Protein" Vaccines 11, no. 11: 1678. https://doi.org/10.3390/vaccines11111678
APA StyleLi, X., Yuan, W., He, T., Guo, R., Du, X., He, Y., Li, X., El-Ashram, S., Al-Olayan, E. M., Yang, N., & Sang, X. (2023). Boosting Mouse Defense against Lethal Toxoplasma gondii Infection with Full-Length and Soluble SAG1 Recombinant Protein. Vaccines, 11(11), 1678. https://doi.org/10.3390/vaccines11111678

