Potentillae argenteae herba—Antioxidant and DNA-Protective Activities, and Microscopic Characters
Abstract
1. Introduction
2. Materials and Methods
2.1. Chemicals and Reagents
2.2. Plant Material Collection, Identification and Obtaining the Dry Tincture
2.3. Gas Chromatography–Mass Spectrometry (GC-MS) Quantification of Chemical Composition
2.4. Total Phenolic Assay and HPLC Quantification
2.5. Determination of Biological Activities
2.5.1. Antioxidant Activity Assays
2.5.2. DNA Protective Capacity Assay
2.6. Light Microscopy Assay of Herbal Drug (Potentillae argenteae herba)
2.7. Statistical Methods
3. Results
3.1. Chemical Composition of the Dry Tincture (DT)
3.1.1. GC-MS Identification
3.1.2. HPLC Phenolic Profile
3.2. Biological Activities Evaluation
3.2.1. Antioxidant Capacity
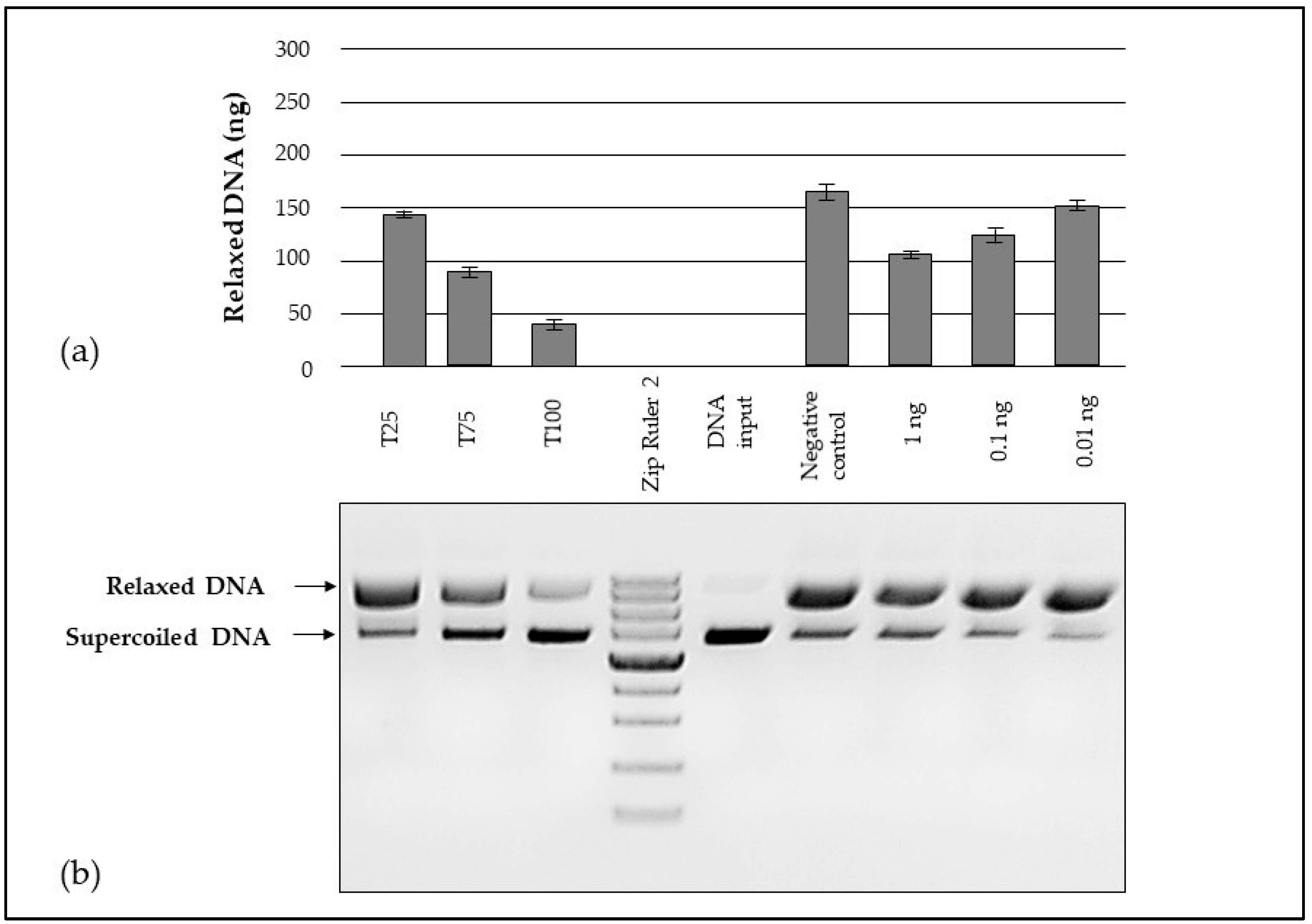
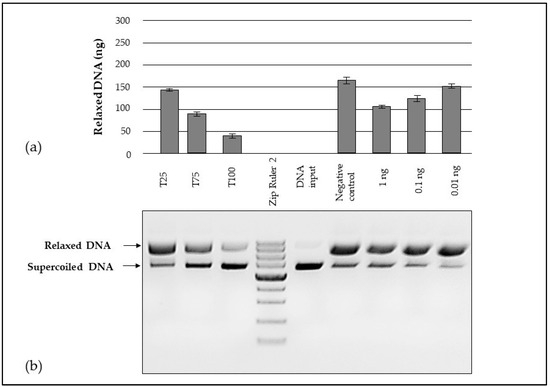
3.2.2. DNA Protective Capacity
3.3. Microscopic Diagnostic Features of the Potentillae argenteae herba
4. Discussion
5. Conclusions
Supplementary Materials
Author Contributions
Funding
Institutional Review Board Statement
Informed Consent Statement
Data Availability Statement
Conflicts of Interest
References
- Kumari, S.; Seth, A.; Sharma, S.; Attri, C. A Holistic Overview of Different Species of Potentilla a Medicinally Important Plant along with Their Pharmaceutical Significance: A Review. J. Herb. Med. 2021, 29, 100460. [Google Scholar] [CrossRef]
- Ding, Z.; Liu, L.; Yu, J.; Ma, R.; Yang, Z. Concentrating the Extract of Traditional Chinese Medicine by Direct Contact Membrane Distillation. J. Membr. Sci. 2008, 310, 539–549. [Google Scholar] [CrossRef]
- Tomczyk, M.; Latté, K.P. Potentilla—A Review of Its Phytochemical and Pharmacological Profile. J. Ethnopharmacol. 2009, 122, 184–204. [Google Scholar] [CrossRef]
- Tomczyk, M.; Drozdowska, D.; Bielawska, A.; Bielawski, K.; Gudej, J. Human DNA Topoisomerase Inhibitors from Potentilla argentea and Their Cytotoxic Effect against MCF-7. Pharmazie 2008, 63, 389–393. [Google Scholar] [CrossRef]
- Tomczyk, M.; Pleszczyńska, M.; Wiater, A. Variation in Total Polyphenolics Contents of Aerial Parts of Potentilla Species and Their Anticariogenic Activity. Molecules 2010, 15, 4639–4651. [Google Scholar] [CrossRef]
- Augustynowicz, D.; Lemieszek, M.K.; Strawa, J.W.; Wiater, A.; Tomczyk, M. Anticancer Potential of Acetone Extracts from Selected Potentilla Species against Human Colorectal Cancer Cells. Front. Pharmacol. 2022, 13, 1027315. [Google Scholar] [CrossRef]
- Cлiпченкo, Ю.O. Дoслiдження Miкpoбioлoгiчниx Bлaстивoстeй i Xiмiчнoгo Cклaдy Potentilla argentea Ta Potentilla reptans. 2024. Available online: https://dspace.uzhnu.edu.ua/jspui/bitstream/lib/63788/1/ (accessed on 15 January 2025).
- Uysal, S.; Zengin, G.; Locatelli, M.; Bahadori, M.B.; Mocan, A.; Bellagamba, G.; De Luca, E.; Mollica, A.; Aktumsek, A. Cytotoxic and Enzyme Inhibitory Potential of Two Potentilla Species (P. speciosa L. and P. reptans Willd.) and Their Chemical Composition. Front. Pharmacol. 2017, 8, 290. [Google Scholar] [CrossRef]
- Uysal, S.; Zengin, G.; Mahomoodally, M.F.; Yilmaz, M.A.; Aktumsek, A. Chemical Profile, Antioxidant Properties and Enzyme Inhibitory Effects of the Root Extracts of Selected Potentilla Species. S. Afr. J. Bot. 2019, 120, 124–128. [Google Scholar] [CrossRef]
- Nikolov, S. (Ed.) Specialized Encyclopedia of Medicinal Plants in Bulgaria; Bulgarian Encyclopedia, Trud: Sofia, Bulgaria, 2006; p. 325. [Google Scholar]
- Mamedov, N.; Gardner, Z.; Craker, L.E. Medicinal Plants Used in Russia and Central Asia for the Treatment of Selected Skin Conditions. J. Herbs Spices Med. Plants 2005, 11, 191–222. [Google Scholar] [CrossRef]
- Rahman, I.U.; Ijaz, F.; Afzal, A.; Iqbal, Z.; Ali, N.; Khan, S.M. Contributions to the Phytotherapies of Digestive Disorders: Traditional Knowledge and Cultural Drivers of Manoor Valley, Northern Pakistan. J. Ethnopharmacol. 2016, 192, 30–52. [Google Scholar] [CrossRef]
- Sut, S.; Dall’Acqua, S.; Uysal, S.; Zengin, G.; Aktumsek, A.; Picot-Allain, C.; Mahomoodally, F. LC-MS, NMR Fingerprint of Potentilla argentea and Potentilla recta Extracts and Their in Vitro Biopharmaceutical Assessment. Ind. Crops Prod. 2019, 131, 125–133. [Google Scholar] [CrossRef]
- Hřibová, P.; Khazneh, E.; Žemlička, M.; Švajdlenka, E.; Ghoneim, M.M.; Elokely, K.M.; Ross, S.A. Antiurease Activity of Plants Growing in the Czech Republic. Nat. Prod. Res. 2014, 28, 868–873. [Google Scholar] [CrossRef] [PubMed]
- Tomczyk, M.; Bazylko, A.; Bonarewicz, J. Method Development and Validation for Optimized Separation of Quercetin Derivatives in Selected Potentilla Species Using High-Performance Thin-Layer Chromatography Photodensitometry Method. J. Pharm. Biomed. Anal. 2012, 61, 265–270. [Google Scholar] [CrossRef] [PubMed]
- Paduch, R.; Wiater, A.; Locatelli, M.; Pleszczyńska, M.; Tomczyk, M. Aqueous Extracts of Selected Potentilla Species Modulate Biological Activity of Human Normal Colon Cells. Curr. Drug Targets 2015, 16, 1495–1502. [Google Scholar] [CrossRef]
- Pilipović, S.; Šober, M.; Redžić, S.; Marjanović, A.; Ibrulj, A. Total Phenolic and Antioxidant Capacity of the Potentilla argentea and Potentilla tommasiniana (Rosaceae) Extracts. Planta Med. 2008, 74, PA201. [Google Scholar] [CrossRef]
- Andonova, T.; Muhovski, Y.; Apostolova, E.; Naimov, S.; Mladenova, S.; Slavov, I.; Dincheva, I.; Georgiev, V.; Pavlov, A.; Dimitrova-Dyulgerova, I. DNA-Protective, Antioxidant and Anti-Carcinogenic Potential of Meadowsweet (Filipendula Ulmaria) Dry Tincture. Antioxidants 2024, 13, 1200. [Google Scholar] [CrossRef]
- European Pharmacopoeia 10.0; General Monographs; European Directorate for the Quality of Medicines & Health Care of the Council of Europe (EDQM): Strasbourg, France, 2019; Volume 1, p. 867.
- NIST Mass Spectrometry Data Center. Standard Reference Database 1A: NIST/EPA/NIH Mass Spectral Library (NIST 08) and NIST Mass Spectral Search Program (Version 2.0f) Manual; NIST08; US Department of Commerce, National Institute of Standards and Technology: Gaithersburg, MD, USA, 2008. [Google Scholar]
- Krasteva, G.; Berkov, S.; Pavlov, A.; Georgiev, V. Metabolite Profiling of Gardenia Jasminoides Ellis In Vitro Cultures with Different Levels of Differentiation. Molecules 2022, 27, 8906. [Google Scholar] [CrossRef]
- Andonova, T.; Muhovski, Y.; Slavov, I.; Vrancheva, R.; Georgiev, V.; Apostolova, E.; Naimov, S.; Mladenov, R.; Pavlov, A.; Dimitrova-Dyulgerova, I. Phenolic Profile, Antioxidant and DNA-Protective Capacity, and Microscopic Characters of Ailanthus altissima Aerial Substances. Plants 2023, 12, 920. [Google Scholar] [CrossRef]
- Rajiv, C.; Roy, S.S.; Tamreihao, K.; Kshetri, P.; Singh, T.S.; Sanjita Devi, H.; Sharma, S.K.; Ansari, M.A.; Devi, E.D.; Devi, A.K.; et al. Anticarcinogenic and Antioxidant Action of an Edible Aquatic Flora Jussiaea repens L. Using In Vitro Bioassays and In Vivo Zebrafish Model. Molecules 2021, 26, 2291. [Google Scholar] [CrossRef]
- Statistics Kingdom. One-Way ANOVA Calculator and Tukey HSD. 2017. Available online: https://www.statskingdom.com/outlier-calculator.html (accessed on 9 August 2024).
- Tomczyk, M.; Paduch, R.; Wiater, A.; Pleszczynska, M.; Kandefer-Szerszen, M.; Szczodrak, J. The Influence of Aqueous Extracts of Selected Potentilla Species on Normal Human Colon Cells. Acta Pol. Pharm. 2013, 3, 523–531. [Google Scholar]
- Senbagalakshmi, P.; Muthukrishnan, S.; Jebasingh, T.; Kumar, T.S.; Rao, M.V.; Senbagalakshmi, P. Squalene, Biosynthesis and Its Role in Production of Bioactive Compounds, a Proper Scientific Challenge—A Review. J. Emerg. Technol. Innov. Res. 2019, 6, 505–526. [Google Scholar]
- Kaplan, A. Evaluation of Phytochemical Constituents in the Whole Plant Parts of Hexane Extract of Some Traditional Medicinal Plants by GC-MS Analysis. Middle East J. Sci. 2020, 6, 57–67. [Google Scholar] [CrossRef]
- Ahmed, H.H.; Abd-Rabou, A.A.; Hassan, A.Z.; Kotob, S.E. Phytochemical Analysis and Anti-Cancer Investigation of Boswellia serrata Bioactive Constituents In Vitro. Asian Pac. J. Cancer Prev. 2015, 16, 7179–7188. [Google Scholar] [CrossRef] [PubMed]
- Omale, J.; Gideon, A.; Justina, A.I.; Rahmat, A.E.; Ageitu, A.C.; Ojochenemi, O.G. Chemical profiling, antioxidant and antimicrobial effects of Saba florida root bark extract. In Proceedings of the CAS23-102 Conference on The Sustainability and Development Initiatives of the Caribbean, UWI, St. Augustine, Trinidad and Tobago, 24–25 November 2023; pp. 411–420. Available online: https://www.researchgate.net/publication/377220698 (accessed on 15 January 2025).
- Xing, Q.; Song, J.; You, X.; Xu, D.; Wang, K.; Song, J.; Guo, Q.; Li, P.; Wu, C.; Hu, H. Microemulsions Containing Long-Chain Oil Ethyl Oleate Improve the Oral Bioavailability of Piroxicam by Increasing Drug Solubility and Lymphatic Transportation Simultaneously. Int. J. Pharm. 2016, 511, 709–718. [Google Scholar] [CrossRef]
- Jesus, A.; Mota, S.; Torres, A.; Cruz, M.T.; Sousa, E.; Almeida, I.F.; Cidade, H. Antioxidants in Sunscreens: Which and What For? Antioxidants 2023, 12, 138. [Google Scholar] [CrossRef]
- Bidossi, A.; Bortolin, M.; Toscano, M.; De Vecchi, E.; Romanò, C.L.; Mattina, R.; Drago, L. In vitro comparison between α-tocopheryl acetate and α-tocopheryl phosphate against bacteria responsible of prosthetic and joint infections. PLoS ONE 2017, 12, e0182323. [Google Scholar] [CrossRef]
- Müller, M.; Schäfer, C.; Litta, G.; Klünter, A.; Traber, M.G.; Wyss, A.; Ralla, T.; Eggersdorfer, M.; Bonrath, W. 100 Years of Vitamin E: From Discovery to Commercialization. Eur. J. Org. Chem. 2022, 2022, e202201190. [Google Scholar] [CrossRef]
- Ribeiro, A.M.; Estevinho, B.N.; Rocha, F. The Progress and Application of Vitamin E Encapsulation—A Review. Food Hydrocoll. 2021, 121, 106998. [Google Scholar] [CrossRef]
- Sytar, O.; Hemmerich, I.; Zivcak, M.; Rauh, C.; Brestic, M. Comparative Analysis of Bioactive Phenolic Compounds Composition from 26 Medicinal Plants. Saudi J. Biol. Sci. 2018, 25, 631–641. [Google Scholar] [CrossRef]
- Nadeem, M.; Imran, M.; Aslam Gondal, T.; Imran, A.; Shahbaz, M.; Muhammad Amir, R.; Wasim Sajid, M.; Batool Qaisrani, T.; Atif, M.; Hussain, G.; et al. Therapeutic Potential of Rosmarinic Acid: A Comprehensive Review. Appl. Sci. 2019, 9, 3139. [Google Scholar] [CrossRef]
- Gullón, B.; Lú-Chau, T.A.; Moreira, M.T.; Lema, J.M.; Eibes, G. Rutin: A Review on Extraction, Identification and Purification Methods, Biological Activities and Approaches to Enhance Its Bioavailability. Trends Food Sci. Technol. 2017, 67, 220–235. [Google Scholar] [CrossRef]
- Chen, F.; Zhang, X.; Wang, J.; Wang, F.; Mao, J. P-Coumaric Acid: Advances in Pharmacological Research Based onOxidative Stress. Curr. Top. Med. Chem. 2024, 24, 416–436. [Google Scholar] [CrossRef] [PubMed]
- Yerlikaya, S.; Baloglu, M.C.; Altunoglu, Y.C.; Diuzheva, A.; Jekő, J.; Cziáky, Z.; Zengin, G. Exploring of Coronilla varia L. Extracts as a Source of High-Value Natural Agents: Chemical Profiles and Biological Connections. S. Afr. J. Bot. 2021, 143, 382–392. [Google Scholar] [CrossRef]
- Das, S.; Hallur, R.L.S.; Mandal, A.B. Evaluation of Semecarpus kurzii Engler from Bay Islands for Oxidative DNA Damage Protective Activity and in Vitro Antioxidant Potential. Biomedicine 2023, 43, 595–602. [Google Scholar] [CrossRef]
- Kim, D.; Choi, M.; Shin, H. Extracts of Moringa oleifera Leaves from Different Cultivation Regions Show Both Antioxidant and Antiobesity Activities. J. Food Biochem. 2020, 44, e13282. [Google Scholar] [CrossRef]





| Peak | RT | RIcalc | RIlit | Compound | Content (mg/g dt) |
|---|---|---|---|---|---|
| 1 | 12.34 | 1802 | 1800 | n-Octadecane | 7.64 h ± 0.04 |
| 2 | 12.72 | 1837 | 1841 | Neophytadiene | 2.36 n ± 0.15 |
| 3 | 13.02 | 1870 | 1872 | o-Acetylsalicylic acid 1TMS | 3.85 l ± 0.05 |
| 4 | 14.21 | 1902 | 1900 | n-Nonadecane | 1.44 o ± 0.15 |
| 5 | 14.78 | 1958 | 1960 | Ethyl palmitate | 14.50 e ± 0.10 |
| 6 | 17.49 | 2162 | 2163 | Ethyl linoleate | 6.56 i ± 0.17 |
| 7 | 17.58 | 2171 | 2169 | Ethyl oleate | 15.24 d ± 0.06 |
| 8 | 18.04 | 2195 | 2192 | Ethyl stearate | 4.71 j ± 0.06 |
| 9 | 19.78 | 2303 | 2300 | n-Tricosane | 18.36 c ± 0.14 |
| 10 | 21.24 | 2390 | 2392 | Ethyl arachidate | 1.44 o ± 0.04 |
| 11 | 21.35 | 2398 | 2400 | n-Tetracosane | 3.21 m ± 0.01 |
| 12 | 22.90 | 2501 | 2500 | n-Pentacosane | 10.60 f ± 0.10 |
| 13 | 24.30 | 2593 | 2590 | Ethyl docosanoate | 2.50 n ± 0.14 |
| 14 | 25.84 | 2702 | 2700 | n-Heptacosane | 8.94 g ± 0.07 |
| 15 | 27.42 | 2817 | 2814 | Squalene | 28.88 b ± 0.18 |
| 16 | 28.63 | 2901 | 2900 | n-Nonacosane | 39.38 a ± 0.18 |
| 17 | 31.23 | 3100 | 3100 | n-Hentriacontane | 4.31 k ± 0.03 |
| 18 | 31.52 | 3131 | 3140 | α-Tocopherol acetate | 6.62 i ± 0.04 |
| Total identified compounds, % | 98.95 | ||||
| № | Compounds | Content, mg/g dt |
|---|---|---|
| Flavonoids | ||
| 1 | Rutin | 10.52 a ± 0.16 |
| 2 | Hesperidin | NF * |
| 3 | Quercetin | ULOQ ** |
| 4 | Kaempferol | 0.07 c ± 0.03 |
| 5 | (+)-Catechin | NF |
| 6 | (−)-Epicatechin | NF |
| Phenolic acids | ||
| 7 | Gallic acid | NF |
| 8 | Protocatechuic acid | NF |
| 9 | Vanillic acid | NF |
| 10 | Syringic acid | NF |
| 11 | p-Coumaric acid | 5.54 b ± 1.44 |
| 12 | Salicylic acid | 4.99 b ± 0.19 |
| 13 | Chlorogenic acid | NF |
| 14 | Caffeic acid | NF |
| 15 | Ferulic acid | NF |
| 16 | Rosmarinic acid | 10.83 a ± 0.01 |
| Total phenolic content (Folin–Ciocalteu) | 440.78 ± 59.67 mg GAE/g dt *** | |
| Sample | ABTS-Assay μM TE/g dt | DPPH-Assay μM TE/g dt | FRAP-Assay μM TE/g dt | CUPRAC-Assay μM TE/g dt |
|---|---|---|---|---|
| P. argentea DT | 938.35 c ± 60.08 | 2258.53 b ± 109.47 | 3025.71 b ± 126.20 | 8617.54 a ± 225.71 |
| BHT | 1781.25 b ± 157.37 | 1900.29 c ± 82.92 | 1794.57 c ± 41.11 | 3499.42 c ± 198.29 |
| L-Ascorbic acid | 2762.72 a ± 114.93 | 7471.97 a ± 167.70 | 8197.22 a ± 98.78 | 7492.40 b ± 88.87 |
Disclaimer/Publisher’s Note: The statements, opinions and data contained in all publications are solely those of the individual author(s) and contributor(s) and not of MDPI and/or the editor(s). MDPI and/or the editor(s) disclaim responsibility for any injury to people or property resulting from any ideas, methods, instructions or products referred to in the content. |
© 2025 by the authors. Licensee MDPI, Basel, Switzerland. This article is an open access article distributed under the terms and conditions of the Creative Commons Attribution (CC BY) license (https://creativecommons.org/licenses/by/4.0/).
Share and Cite
Andonova, T.; Muhovski, Y.; Naimov, S.; Apostolova, E.; Mladenova, S.; Dincheva, I.; Georgiev, V.; Pavlov, A.; Mladenov, R.; Dimitrova-Dyulgerova, I. Potentillae argenteae herba—Antioxidant and DNA-Protective Activities, and Microscopic Characters. Antioxidants 2025, 14, 487. https://doi.org/10.3390/antiox14040487
Andonova T, Muhovski Y, Naimov S, Apostolova E, Mladenova S, Dincheva I, Georgiev V, Pavlov A, Mladenov R, Dimitrova-Dyulgerova I. Potentillae argenteae herba—Antioxidant and DNA-Protective Activities, and Microscopic Characters. Antioxidants. 2025; 14(4):487. https://doi.org/10.3390/antiox14040487
Chicago/Turabian StyleAndonova, Tsvetelina, Yordan Muhovski, Samir Naimov, Elena Apostolova, Silviya Mladenova, Ivayla Dincheva, Vasil Georgiev, Atanas Pavlov, Rumen Mladenov, and Ivanka Dimitrova-Dyulgerova. 2025. "Potentillae argenteae herba—Antioxidant and DNA-Protective Activities, and Microscopic Characters" Antioxidants 14, no. 4: 487. https://doi.org/10.3390/antiox14040487
APA StyleAndonova, T., Muhovski, Y., Naimov, S., Apostolova, E., Mladenova, S., Dincheva, I., Georgiev, V., Pavlov, A., Mladenov, R., & Dimitrova-Dyulgerova, I. (2025). Potentillae argenteae herba—Antioxidant and DNA-Protective Activities, and Microscopic Characters. Antioxidants, 14(4), 487. https://doi.org/10.3390/antiox14040487

