Ecklonia cava Ameliorates Cognitive Impairment on Amyloid β-Induced Neurotoxicity by Modulating Oxidative Stress and Synaptic Function in Institute of Cancer Research (ICR) Mice
Abstract
1. Introduction
2. Materials and Methods
2.1. Materials and Reagents
2.2. Preparation of Extract of E. cava
2.3. Physiological Compounds Analysis
2.3.1. Ultra-Performance Liquid Chromatography–Quadrupole Time-of-Flight Mass Spectrometry (UPLC-Q-TOF-MS) System
2.3.2. DAD-HPLC System
2.4. Animals and Treatment
2.5. Behavioral Tests
2.5.1. Y-Maze
2.5.2. Passive Avoidance (PA)
2.5.3. Morris Water Maze (MWM)
2.6. Antioxidant Systems in Brain
2.6.1. Malondialdehyde (MDA) Content
2.6.2. Reduced Glutathione (GSH) Level
2.6.3. Superoxide Dismutase (SOD) Level
2.7. Mtitochondrial Function in Brain
2.7.1. Mitochondrial ROS Level
2.7.2. MMP
2.7.3. Mitochondrial ATP Content
2.8. ACh Content and Acetylcolinesterase (AChE) Activity
2.9. Western Blot Analysis
2.10. Statistical Analysis
3. Results
3.1. Physiological Compound of EE
3.2. Effect of EE on Behavioral Tests
3.3. Effect of EE on Antioxidant Systems in Brain
3.4. Effect of EE on Mitochondrial Function in Brain
3.5. Effect of EE on Neurotoxicity
3.6. Effect of EE on Neuroinflammation
3.7. Effect of EE on BBB Dysfunction
3.8. Effect of EE on Neuroplasticity
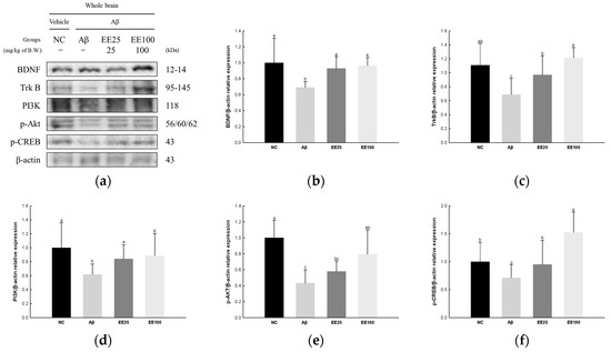
3.8.1. BDNF/AKT/CREB Pathway
3.8.2. Cholinergic System and Synaptic Proteins
4. Discussion
5. Conclusions
Supplementary Materials
Author Contributions
Funding
Institutional Review Board Statement
Informed Consent Statement
Data Availability Statement
Conflicts of Interest
Abbreviations
References
- Nandi, A.; Counts, N.; Chen, S.; Seligman, B.; Tortorice, D.; Vigo, D.; Bloom, D.E. Global and regional projections of the economic burden of Alzheimer’s disease and related dementias from 2019 to 2050: A value of statistical life approach. EClinicalMedicine 2022, 51, 101580. [Google Scholar] [CrossRef]
- Shen, Y.; Ye, B.; Chen, P.; Wang, Q.; Fan, C.; Shu, Y.; Xiang, M. Cognitive decline, dementia, Alzheimer’s disease and presbycusis: Examination of the possible molecular mechanism. Front. Neurosci. 2018, 12, 327937. [Google Scholar] [CrossRef]
- Dronse, J.; Fliessbach, K.; Bischof, G.N.; Von Reutern, B.; Faber, J.; Hammes, J.; Kuhnert, G.; Neumaier, B.; Onur, O.A.; Kukolja, J. In vivo patterns of tau pathology, amyloid-β burden, and neuronal dysfunction in clinical variants of Alzheimer’s disease. J. Alzheimers Dis. 2017, 55, 465–471. [Google Scholar] [CrossRef]
- Roda, A.R.; Serra-Mir, G.; Montoliu-Gaya, L.; Tiessler, L.; Villegas, S. Amyloid-beta peptide and tau protein crosstalk in Alzheimer’s disease. Neural Regen. Res. 2022, 17, 1666–1674. [Google Scholar]
- Cassidy, L.; Fernandez, F.; Johnson, J.B.; Naiker, M.; Owoola, A.G.; Broszczak, D.A. Oxidative stress in Alzheimer’s disease: A review on emergent natural polyphenolic therapeutics. Complement. Ther. Med. 2020, 49, 102294. [Google Scholar] [CrossRef]
- Wang, X.; Wang, W.; Li, L.; Perry, G.; Lee, H.-G.; Zhu, X. Oxidative stress and mitochondrial dysfunction in Alzheimer’s disease. Biochim. Biophys. Acta Mol. Basis. Dis. 2014, 1842, 1240–1247. [Google Scholar] [CrossRef]
- Kadry, H.; Noorani, B.; Cucullo, L. A blood–brain barrier overview on structure, function, impairment, and biomarkers of integrity. Fluids Barriers CNS 2020, 17, 69. [Google Scholar] [CrossRef]
- Rajmohan, R.; Reddy, P.H. Amyloid-beta and phosphorylated tau accumulations cause abnormalities at synapses of Alzheimer’s disease neurons. J. Alzheimers Dis. 2017, 57, 975–999. [Google Scholar] [CrossRef]
- Chen, Z.-R.; Huang, J.-B.; Yang, S.-L.; Hong, F.-F. Role of cholinergic signaling in Alzheimer’s disease. Molecules 2022, 27, 1816. [Google Scholar] [CrossRef]
- Zheng, H.; Zhao, Y.; Guo, L. A bioactive substance derived from brown seaweeds: Phlorotannins. Mar. Drugs 2022, 20, 742. [Google Scholar] [CrossRef]
- Lomartire, S.; Gonçalves, A.M. Marine macroalgae polyphenols as potential neuroprotective antioxidants in neurodegenerative diseases. Mar. Drugs 2023, 21, 261. [Google Scholar] [CrossRef] [PubMed]
- Wijesekara, I.; Yoon, N.Y.; Kim, S.K. Phlorotannins from Ecklonia cava (Phaeophyceae): Biological activities and potential health benefits. Biofactors 2010, 36, 408–414. [Google Scholar] [CrossRef] [PubMed]
- Park, S.K.; Kang, J.Y.; Kim, J.M.; Kim, H.-J.; Heo, H.J. Ecklonia cava attenuates PM2.5-induced cognitive decline through mitochondrial activation and anti-inflammatory effect. Mar. Drugs 2021, 19, 131. [Google Scholar] [CrossRef] [PubMed]
- Han, H.J.; Park, S.K.; Kang, J.Y.; Kim, J.M.; Yoo, S.K.; Kim, D.-O.; Kim, G.-H.; Heo, H.J. Mixture of phlorotannin and fucoidan from Ecklonia cava prevents the Aβ-induced cognitive decline with mitochondrial and cholinergic activation. Mar. Drugs 2021, 19, 434. [Google Scholar] [CrossRef] [PubMed]
- Lopes, G.; Barbosa, M.; Vallejo, F.; Gil-Izquierdo, Á.; Andrade, P.B.; Valentão, P.; Ferreres, F. Profiling phlorotannins from Fucus spp. of the Northern Portuguese coastline: Chemical approach by HPLC-DAD-ESI/MSn and UPLC-ESI-QTOF/MS. Algal Res. 2018, 29, 113–120. [Google Scholar] [CrossRef]
- Olate-Gallegos, C.; Barriga, A.; Vergara, C.; Fredes, C.; García, P.; Giménez, B.; Robert, P. Identification of polyphenols from chilean brown seaweeds extracts by LC-DAD-ESI-MS/MS. J. Aquat. Food Prod. Technol. 2019, 28, 375–391. [Google Scholar] [CrossRef]
- Cho, H.M.; Doan, T.P.; Ha, T.K.Q.; Kim, H.W.; Lee, B.W.; Pham, H.T.T.; Oh, W.K. Dereplication by high-performance liquid chromatography (HPLC) with quadrupole-time-of-flight mass spectroscopy (qTOF-MS) and antiviral activities of phlorotannins from Ecklonia cava. Mar. Drugs 2019, 17, 149. [Google Scholar] [CrossRef] [PubMed]
- Shrestha, S.; Zhang, W.; Begbie, A.J.; Pukala, T.L.; Smid, S.D. Ecklonia radiata extract containing eckol protects neuronal cells against Aβ 1–42 evoked toxicity and reduces aggregate density. Food Funct. 2020, 11, 6509–6516. [Google Scholar] [CrossRef] [PubMed]
- Davani, L.; Fu, X.; De Simone, A.; Li, P.; Montanari, S.; Lämmerhofer, M.; Andrisano, V. Aβ1-42 peptide toxicity on neuronal cells: A lipidomic study. J. Pharm. Biomed. Anal. 2022, 219, 114876. [Google Scholar] [CrossRef]
- Dalley, J.W.; Cardinal, R.N.; Robbins, T.W. Prefrontal executive and cognitive functions in rodents: Neural and neurochemical substrates. Neurosci. Biobehav. Rev. 2004, 28, 771–784. [Google Scholar] [CrossRef]
- Kwon, Y.J.; Kwon, O.I.; Hwang, H.J.; Shin, H.-C.; Yang, S. Therapeutic effects of phlorotannins in the treatment of neurodegenerative disorders. Front. Mol. Neurosci. 2023, 16, 1193590. [Google Scholar] [CrossRef]
- Myung, C.-S.; Shin, H.-C.; Bao, H.Y.; Yeo, S.J.; Lee, B.H.; Kang, J.S. Improvement of memory by dieckol and phlorofucofuroeckol in ethanol-treated mice: Possible involvement of the inhibition of acetylcholinesterase. Arch. Pharm. Res. 2005, 28, 691–698. [Google Scholar] [CrossRef] [PubMed]
- Olasehinde, T.A.; Olisah, C.; Olaniran, A.O. Neuroprotective effects of phlorotannins: Biochemical and molecular mechanisms of antineuroinflammatory activities and memory-enhancing effects. Stud. Nat. Prod. Chem. 2024, 81, 115–132. [Google Scholar]
- Yoon, J.-H.; Lee, N.; Youn, K.; Jo, M.R.; Kim, H.-R.; Lee, D.-S.; Ho, C.-T.; Jun, M. Dieckol ameliorates Aβ production via PI3K/Akt/GSK-3β regulated APP processing in SweAPP N2a cell. Mar. Drugs 2021, 19, 152. [Google Scholar] [CrossRef] [PubMed]
- Cui, Y.; Park, J.-Y.; Wu, J.; Lee, J.H.; Yang, Y.-S.; Kang, M.-S.; Jung, S.-C.; Park, J.M.; Yoo, E.-S.; Kim, S.-H. Dieckol attenuates microglia-mediated neuronal cell death via ERK, Akt and NADPH oxidase-mediated pathways. Korean J. Physiol. Pharmacol. 2015, 19, 219. [Google Scholar] [CrossRef] [PubMed]
- Cui, Y.; Amarsanaa, K.; Lee, J.H.; Rhim, J.-K.; Kwon, J.M.; Kim, S.-H.; Park, J.M.; Jung, S.-C.; Eun, S.-Y. Neuroprotective mechanisms of dieckol against glutamate toxicity through reactive oxygen species scavenging and nuclear factor-like 2/heme oxygenase-1 pathway. Korean J. Physiol. Pharmacol. 2019, 23, 121. [Google Scholar] [CrossRef] [PubMed]
- Hardy, J. Amyloid, the presenilins and Alzheimer’s disease. Trends Neurosci. 1997, 20, 154–159. [Google Scholar] [CrossRef]
- Whitehouse, P.J.; Price, D.L.; Struble, R.G.; Clark, A.W.; Coyle, J.T.; DeLong, M.R. Alzheimer’s disease and senile dementia: Loss of neurons in the basal forebrain. Science 1982, 215, 1237–1239. [Google Scholar] [CrossRef] [PubMed]
- Karran, E.; De Strooper, B. The amyloid hypothesis in Alzheimer disease: New insights from new therapeutics. Nat. Rev. Drug Discov. 2022, 21, 306–318. [Google Scholar] [CrossRef] [PubMed]
- Jeong, E.J.; Lee, H.K.; Lee, K.Y.; Jeon, B.J.; Kim, D.H.; Park, J.-H.; Song, J.-H.; Huh, J.; Lee, J.-H.; Sung, S.H. The effects of lignan-riched extract of Shisandra chinensis on amyloid-β-induced cognitive impairment and neurotoxicity in the cortex and hippocampus of mouse. J. Ethnopharmacol. 2013, 146, 347–354. [Google Scholar] [CrossRef]
- Zhang, X.; Wang, X.; Hu, X.; Chu, X.; Li, X.; Han, F. Neuroprotective effects of a Rhodiola crenulata extract on amyloid-β peptides (Aβ1-42)-induced cognitive deficits in rat models of Alzheimer’s disease. Phytomedicine 2019, 57, 331–338. [Google Scholar] [CrossRef] [PubMed]
- Um, M.Y.; Lim, D.W.; Son, H.J.; Cho, S.; Lee, C. Phlorotannin-rich fraction from Ishige foliacea brown seaweed prevents the scopolamine-induced memory impairment via regulation of ERK-CREB-BDNF pathway. J. Funct. Foods 2018, 40, 110–116. [Google Scholar] [CrossRef]
- Lee, J.W.; Lee, J.I.; Lim, S.Y. Influence of supplementation of Ecklonia cava polyphenols on learning, memory, and brain fatty acid composition in mice. Comb. Chem. High Throughput Screen. 2024, 27, 446–454. [Google Scholar] [CrossRef] [PubMed]
- Park, S.K.; Kang, J.Y.; Kim, J.M.; Yoo, S.K.; Han, H.J.; Chung, D.H.; Kim, D.-O.; Kim, G.-H.; Heo, H.J. Fucoidan-rich substances from Ecklonia cava improve trimethyltin-induced cognitive dysfunction via down-regulation of amyloid β production/tau hyperphosphorylation. Mar. Drugs 2019, 17, 591. [Google Scholar] [CrossRef] [PubMed]
- Oh, J.-K.; Song, K.-J.; Ji, M.-Y.; Yoon, J.-H. Effect of Ecklonia cava extracts supplementation on cognitive ability in mice. Korea J. Herbol. 2014, 29, 103–109. [Google Scholar] [CrossRef]
- Pratico, D. Evidence of oxidative stress in Alzheimer’s disease brain and antioxidant therapy: Lights and shadows. Ann. N. Y. Acad. Sci. 2008, 1147, 70–78. [Google Scholar] [CrossRef] [PubMed]
- Butterfield, D.A.; Lauderback, C.M. Lipid peroxidation and protein oxidation in Alzheimer’s disease brain: Potential causes and consequences involving amyloid β-peptide-associated free radical oxidative stress. Free Radic. Biol. Med. 2002, 32, 1050–1060. [Google Scholar] [CrossRef] [PubMed]
- Wojsiat, J.; Zoltowska, K.M.; Laskowska-Kaszub, K.; Wojda, U. Oxidant/antioxidant imbalance in Alzheimer’s disease: Therapeutic and diagnostic prospects. Oxid. Med. Cell. Longev. 2018, 2018, 6435861. [Google Scholar] [CrossRef] [PubMed]
- Nho, J.A.; Shin, Y.S.; Jeong, H.-R.; Cho, S.; Heo, H.J.; Kim, G.H.; Kim, D.-O. Neuroprotective effects of phlorotannin-rich extract from brown seaweed Ecklonia cava on neuronal PC-12 and SH-SY5Y cells with oxidative stress. J. Microbiol. Biotechnol. 2020, 30, 359. [Google Scholar] [CrossRef]
- Ashleigh, T.; Swerdlow, R.H.; Beal, M.F. The role of mitochondrial dysfunction in Alzheimer’s disease pathogenesis. Alzheimers Dement. 2023, 19, 333–342. [Google Scholar] [CrossRef]
- Kim, J.-J.; Kang, Y.-J.; Shin, S.-A.; Bak, D.-H.; Lee, J.W.; Lee, K.B.; Yoo, Y.C.; Kim, D.-K.; Lee, B.H.; Kim, D.W. Phlorofucofuroeckol improves glutamate-induced neurotoxicity through modulation of oxidative stress-mediated mitochondrial dysfunction in PC12 cells. PLoS ONE 2016, 11, e0163433. [Google Scholar] [CrossRef] [PubMed]
- Byun, K.-A.; Oh, S.; Yang, J.Y.; Lee, S.Y.; Son, K.H.; Byun, K. Ecklonia cava extracts decrease hypertension-related vascular calcification by modulating PGC-1α and SOD2. Biomed. Pharmacother. 2022, 153, 113283. [Google Scholar] [CrossRef] [PubMed]
- Bloom, G.S. Amyloid-β and tau: The trigger and bullet in Alzheimer disease pathogenesis. JAMA Neurol. 2014, 71, 505–508. [Google Scholar] [CrossRef]
- Choi, S.-B.; Kwon, S.; Kim, J.-H.; Ahn, N.-H.; Lee, J.-H.; Yang, S.-H. The molecular mechanisms of neuroinflammation in Alzheimer’s disease, the consequence of neural cell death. Int. J. Mol. Sci. 2023, 24, 11757. [Google Scholar] [CrossRef]
- Lin, L.; Yang, S.; Xiao, Z.; Hong, P.; Sun, S.; Zhou, C.; Qian, Z.-J. The inhibition effect of the seaweed polyphenol, 7-phloro-eckol from Ecklonia cava on alcohol-induced oxidative stress in HepG2/CYP2E1 cells. Mar. Drugs 2021, 19, 158. [Google Scholar] [CrossRef]
- Cai, Z.; Hussain, M.D.; Yan, L.-J. Microglia, neuroinflammation, and beta-amyloid protein in Alzheimer’s disease. Int. J. Neurosci. 2014, 124, 307–321. [Google Scholar] [CrossRef]
- Jia, L.; Liu, J.; Song, Z.; Pan, X.; Chen, L.; Cui, X.; Wang, M. Berberine suppresses amyloid-beta-induced inflammatory response in microglia by inhibiting nuclear factor-kappaB and mitogen-activated protein kinase signalling pathways. J. Pharm. Pharmacol. 2012, 64, 1510–1521. [Google Scholar] [CrossRef]
- Wang, C.; Zong, S.; Cui, X.; Wang, X.; Wu, S.; Wang, L.; Liu, Y.; Lu, Z. The effects of microglia-associated neuroinflammation on Alzheimer’s disease. Front. Immunol. 2023, 14, 1117172. [Google Scholar] [CrossRef] [PubMed]
- Wang, W.-Y.; Tan, M.-S.; Yu, J.-T.; Tan, L. Role of pro-inflammatory cytokines released from microglia in Alzheimer’s disease. Ann. Transl. Med. 2015, 3, 36. [Google Scholar]
- Jo, S.-L.; Yang, H.; Jeong, K.-J.; Lee, H.-W.; Hong, E.-J. Neuroprotective Effects of Ecklonia cava in a Chronic Neuroinflammatory Disease Model. Nutrients 2023, 15, 2007. [Google Scholar] [CrossRef]
- Jung, J.-I.; Kim, S.; Baek, S.-M.; Choi, S.-I.; Kim, G.-H.; Imm, J.-Y. Ecklonia cava extract exerts anti-inflammatory effect in human gingival fibroblasts and chronic periodontitis animal model by suppression of pro-inflammatory cytokines and chemokines. Foods 2021, 10, 1656. [Google Scholar] [CrossRef]
- Donahue, J.E.; Johanson, C.E. Apolipoprotein E, amyloid-β, and blood-brain barrier permeability in Alzheimer disease. J. Neuropathol. Exp. Neurol. 2008, 67, 261–270. [Google Scholar] [CrossRef] [PubMed]
- Yamazaki, Y.; Kanekiyo, T. Blood-brain barrier dysfunction and the pathogenesis of Alzheimer’s disease. Int. J. Mol. Sci. 2017, 18, 1965. [Google Scholar] [CrossRef]
- Marco, S.; Skaper, S.D. Amyloid β-peptide 1–42 alters tight junction protein distribution and expression in brain microvessel endothelial cells. Neurosci. Lett. 2006, 401, 219–224. [Google Scholar] [CrossRef]
- Kwak, J.H.; Yang, Z.; Yoon, B.; He, Y.; Uhm, S.; Shin, H.-C.; Lee, B.H.; Yoo, Y.C.; Lee, K.B.; Han, S.-Y. Blood-brain barrier-permeable fluorone-labeled dieckols acting as neuronal ER stress signaling inhibitors. Biomaterials 2015, 61, 52–60. [Google Scholar] [CrossRef]
- Amidfar, M.; de Oliveira, J.; Kucharska, E.; Budni, J.; Kim, Y.-K. The role of CREB and BDNF in neurobiology and treatment of Alzheimer’s disease. Life Sci. 2020, 257, 118020. [Google Scholar] [CrossRef]
- Ng, T.K.S.; Ho, C.S.H.; Tam, W.W.S.; Kua, E.H.; Ho, R.C.-M. Decreased serum brain-derived neurotrophic factor (BDNF) levels in patients with Alzheimer’s disease (AD): A systematic review and meta-analysis. Int. J. Mol. Sci. 2019, 20, 257. [Google Scholar] [CrossRef]
- Xiang, J.; Pan, J.; Chen, F.; Zheng, L.; Chen, Y.; Zhang, S.; Feng, W. L-3-n-butylphthalide improves cognitive impairment of APP/PS1 mice by BDNF/TrkB/PI3K/AKT pathway. Int. J. Clin. Exp. Med. 2014, 7, 1706. [Google Scholar] [PubMed]
- Pláteník, J.; Fišar, Z.; Buchal, R.; Jirák, R.; Kitzlerová, E.; Zvěřová, M.; Raboch, J. GSK3β, CREB, and BDNF in peripheral blood of patients with Alzheimer’s disease and depression. Prog. Neuropsychopharmacol. Biol. Psychiatry 2014, 50, 83–93. [Google Scholar] [CrossRef]
- Griffiths, J.; Grant, S.G. Synapse pathology in Alzheimer’s disease. Semin. Cell Dev. Biol. 2023, 139, 13–23. [Google Scholar] [CrossRef]
- Lee, H.L.; Kim, J.M.; Go, M.J.; Lee, H.S.; Kim, J.H.; Heo, H.J. Fermented Protaetia brevitarsis larvae improves neurotoxicity in chronic ethanol-induced-dementia mice via suppressing AKT and NF-κB signaling pathway. Int. J. Mol. Sci. 2024, 25, 2629. [Google Scholar] [CrossRef] [PubMed]
- Pákáski, M.; Kálmán, J. Interactions between the amyloid and cholinergic mechanisms in Alzheimer’s disease. Neurochem. Int. 2008, 53, 103–111. [Google Scholar] [CrossRef] [PubMed]
- Hidisoglu, E.; Kantar, D.; Ozdemir, S.; Yargicoglu, P. Cognitive dysfunctions and spontaneous EEG alterations induced by hippocampal amyloid pathology in rats. Adv. Med. Sci. 2022, 67, 328–337. [Google Scholar] [CrossRef] [PubMed]










| Antibody | Catalog | Manufacturer |
|---|---|---|
| p-c-Jun N-terminal kinase (p-JNK) | sc-6254 | Santa Cruz Biotech (Dallas, TX, USA) |
| p-Glycogen synthase kinase-3β (p-GSK-3β) | sc-373800 | Santa Cruz Biotech |
| p-Tau | sc-32275 | Santa Cruz Biotech |
| B-cell leukemia/lymphoma (BCL)-2 | sc-7382 | Santa Cruz Biotech |
| BCL-2 associated X (BAX) | sc-7480 | Santa Cruz Biotech |
| Caspase-3 | sc-56053 | Santa Cruz Biotech |
| Toll-like receptor (TLR)-4 | sc-293072 | Santa Cruz Biotech |
| Myeloid differentiation primary response 88 (MyD88) | sc-74532 | Santa Cruz Biotech |
| p-Nuclear factor kappa B (p-NF-κB) | sc-136548 | Santa Cruz Biotech |
| p-NF-κB inhibitor alpha (p-IκB-α) | sc-8404 | Santa Cruz Biotech |
| Interleukin 1β (IL-1β) | sc-515598 | Santa Cruz Biotech |
| Tumor necrosis factor α (TNF-α) | sc-33639 | Santa Cruz Biotech |
| Integrated development environment (IDE) | sc-393887 | Santa Cruz Biotech |
| Aβ | sc-28365 | Santa Cruz Biotech |
| Claudin-1 | sc-166338 | Santa Cruz Biotech |
| Occludin | sc-133256 | Santa Cruz Biotech |
| Zonula occludens-1 (ZO-1) | sc-33725 | Santa Cruz Biotech |
| AChE | sc-373901 | Santa Cruz Biotech |
| Synaptophysin (SYP) | sc-17750 | Santa Cruz Biotech |
| Postsynaptic density protein (PSD-95) | sc-32290 | Santa Cruz Biotech |
| Tropomyosin receptor kinase B (TrkB) | sc-377218 | Santa Cruz Biotech |
| Phosphoinositide 3-kinase (PI3K) | sc-1637 | Santa Cruz Biotech |
| p-Protein kinase B (p-AKT) | sc-514032 | Santa Cruz Biotech |
| Choline acetyltransferase (ChAT) | # 27269 | Cell Signaling Tech (Danvers, MA, USA) |
| Brain-derived neurotrophic factor (BDNF) | #47808 | Cell Signaling Tech |
| p-cAMP-response element binding protein (p-CREB) | #9198 | Cell Signaling Tech |
| β-actin | sc-69879 | Santa Cruz Biotech |
| Goat-anti-mouse IgG | AP124P | Sigma-Aldrich Chemical Co. |
| Goat-anti-rat IgG | #7077 | Cell signaling Tech |
| Goat-anti-rabbit IgG | #7074 | Cell signaling Tech |
| No. | Retention Time (RT) | Proposed Compound Name | m/z [M-H]- | Fragments |
|---|---|---|---|---|
| 1 | 3.24 | Triphloroethol/fucophloroethol | 373 | 233, 247, 229, 124, 189 |
| 2 | 4.55 | Eckol | 371 | 149, 201, 217, 245, 263 |
| 3 | 4.64 | 7-Phloroeckol | 495 | 154, 263, 297, 387 |
| 4 | 4.82 | 6,6′-Bieckol | 741 | 201, 229, 371, 477 |
| 5 | 4.88 | 6,8′-Bieckol | 741 | 260, 371, 479, 615 |
| 6 | 5.30 | Dibenzodioxin-fucodiphloroethol | 743 | 125, 139, 231, 353 |
| 7 | 6.02 | Diekcol | 741 | 201, 229, 261, 369, 371, 493, 615 |
| 8 | 6.89 | Phlorofucofuroeckol A | 601 | 244, 299, 385, 492, 493 |
| 9 | 6.96 | 2,7″-Phloroglucinol-6,6′-bieckol (PHB) | 973 | 229, 493, 601, 602, 741, 707, 973 |
| Dieckol Content | |
|---|---|
| 70% ethanol and water extract of Ecklonia cava (EE) | 90.89 ± 0.20 |
| Water extract of Ecklonia cava (WEE) | 14.08 ± 0.35 |
Disclaimer/Publisher’s Note: The statements, opinions and data contained in all publications are solely those of the individual author(s) and contributor(s) and not of MDPI and/or the editor(s). MDPI and/or the editor(s) disclaim responsibility for any injury to people or property resulting from any ideas, methods, instructions or products referred to in the content. |
© 2024 by the authors. Licensee MDPI, Basel, Switzerland. This article is an open access article distributed under the terms and conditions of the Creative Commons Attribution (CC BY) license (https://creativecommons.org/licenses/by/4.0/).
Share and Cite
Lee, H.L.; Go, M.J.; Lee, H.S.; Heo, H.J. Ecklonia cava Ameliorates Cognitive Impairment on Amyloid β-Induced Neurotoxicity by Modulating Oxidative Stress and Synaptic Function in Institute of Cancer Research (ICR) Mice. Antioxidants 2024, 13, 951. https://doi.org/10.3390/antiox13080951
Lee HL, Go MJ, Lee HS, Heo HJ. Ecklonia cava Ameliorates Cognitive Impairment on Amyloid β-Induced Neurotoxicity by Modulating Oxidative Stress and Synaptic Function in Institute of Cancer Research (ICR) Mice. Antioxidants. 2024; 13(8):951. https://doi.org/10.3390/antiox13080951
Chicago/Turabian StyleLee, Hyo Lim, Min Ji Go, Han Su Lee, and Ho Jin Heo. 2024. "Ecklonia cava Ameliorates Cognitive Impairment on Amyloid β-Induced Neurotoxicity by Modulating Oxidative Stress and Synaptic Function in Institute of Cancer Research (ICR) Mice" Antioxidants 13, no. 8: 951. https://doi.org/10.3390/antiox13080951
APA StyleLee, H. L., Go, M. J., Lee, H. S., & Heo, H. J. (2024). Ecklonia cava Ameliorates Cognitive Impairment on Amyloid β-Induced Neurotoxicity by Modulating Oxidative Stress and Synaptic Function in Institute of Cancer Research (ICR) Mice. Antioxidants, 13(8), 951. https://doi.org/10.3390/antiox13080951

