The cAMP Inducers Modify N-Acetylaspartate Metabolism in Wistar Rat Brain
Abstract
:1. Introduction
2. Materials and Methods
2.1. Materials
2.2. Animals (In Vivo Studies)
2.3. Primary Cultures (In Vitro Studies)
2.4. Embryonic Primary Neurons (PR)
2.5. Embryonic Neural Stem Cells (NSC)
2.6. Treatment Strategy
- (A)
- control (no maturating factor);
- (B)
- 10 ng/mL nerve growth factor (nerve growth factor—dependent differentiation pathway) [19];
- (C)
- 1 mM dibutyryl-cAMP (cAMP—protein kinase A—dependent CREB pathway activation) [20];
- (D)
- 10 µM theophylline (cAMP—protein kinase A—dependent CREB pathway activation) [20];
- (E)
- 20 µM forskolin (cAMP—protein kinase A—dependent CREB pathway activation) [20].
- (F)
- 1 µM trans-retinoic acid (retinoic acid-dependent CRAB pathway activation) [16].
2.7. Sample Preparation
2.8. Enzymatic Assays
2.9. Metabolic Assays
2.10. Morphology Imaging and Analysis by NeuronJ (ImageJ Plugin)
2.11. Proliferation and Viability Assays
2.12. Real-Time RT-qPCR Analysis of NAT8L and Chat mRNA Levels
2.13. Western Blot Analysis
2.14. Protein Assay
2.15. Statistics
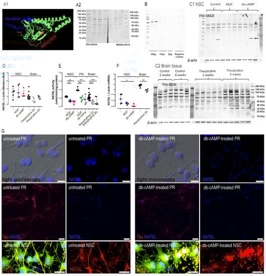
3. Results
3.1. Differentiation Factors Did Not Affect Neural Stem Cell Viability
3.2. Differentiation Factors Moderated Primary Cell Culture Energy Metabolism
3.3. Acute Theophylline Treatment Did Not Affect Brain Energy State
3.4. Time-Dependent Impact of cAMP on the NAA Network
4. Discussion
5. Conclusions
Supplementary Materials
Author Contributions
Funding
Institutional Review Board Statement
Informed Consent Statement
Data Availability Statement
Acknowledgments
Conflicts of Interest
Abbreviations
References
- Baslow, M.H. Functions of N-acetyl-l-aspartate and N-acetyl-l-aspartylglutamate in the vertebrate brain: Role in glial cell-specific signaling. J. Neurochem. 2000, 75, 453–459. [Google Scholar] [CrossRef]
- Moffett, J.R.; Ross, B.; Arun, P.; Madhavarao, C.N.; Namboodiri, A.M. N-Acetylaspartate in the CNS: From neurodiagnostics to neurobiology. Prog. Neurobiol. 2007, 81, 89–131. [Google Scholar] [CrossRef] [Green Version]
- Szutowicz, A.; Bielarczyk, H.; Jankowska-Kulawy, A.; Pawełczyk, T.; Ronowska, A. Acetyl-CoA the key factor for survival or death of cholinergic neurons in course of neurodegenerative diseases. Neurochem. Res. 2013, 38, 1523–1542. [Google Scholar] [CrossRef] [Green Version]
- Nitta, A.; Noike, H.; Sumi, K.; Miyanishi, H.; Tanaka, T.; Takaoka, K.; Nagakura, M.; Iegaki, N.; Kaji, J.I.; Miyamoto, Y.; et al. Nicotinic Acetylcholine Receptor Signaling in Neuroprotection; Springer: Singapore, 2018; Chapter 1; pp. 89–111. [Google Scholar]
- Sumi, K.; Uno, K.; Noike, H.; Tomohiro, T.; Hatanaka, Y.; Furukawa-Hibi, Y.; Nabeshima, T.; Miyamoto, Y.; Nitta, A. Behavioral impairment in SHATI/NAT8L knockout mice via dysfunction of myelination development. Sci. Rep. 2017, 7, 16872. [Google Scholar] [CrossRef] [PubMed] [Green Version]
- Demougeot, C.; Garnier, P.; Mossiat, C.; Bertrand, N.; Giroud, M.; Beley, A.; Marie, C. N-Acetylaspartate, a marker of both cellular dysfunction and neuronal loss: Its relevance to studies of acute brain injury. J. Neurochem. 2001, 77, 408–415. [Google Scholar] [CrossRef] [PubMed] [Green Version]
- Friedman, S.D.; Brooks, W.M.; Jung, R.E.; Hart, B.L.; Yeo, R.A. Proton MR spectroscopic findings correspond to neuropsychological function in traumatic brain injury. Am. J. Neuroradiol. 1998, 19, 1879–1885. [Google Scholar] [PubMed]
- Gazdzinski, S.; Millin, R.; Kaiser, L.G.; Durazzo, T.C.; Mueller, S.G.; Weiner, M.W.; Meyerhoff, D.J. BMI and neuronal integrity in healthy, cognitively normal elderly: A proton magnetic resonance spectroscopy study. Silver Spring 2010, 18, 743–748. [Google Scholar] [CrossRef]
- Gazdzinski, S.; Durazzo, T.C.; Mon, A.; Meyerhoff, D.J. Body mass index is associated with brain metabolite levels in alcohol dependence--a multimodal magnetic resonance study. Alcohol. Clin. Exp. Res. 2010, 34, 2089–2096. [Google Scholar] [CrossRef]
- Jessen, F.; Lewczuk, P.; Gür, O.; Block, W.; Ende, G.; Frölich, L.; Hammen, T.; Arlt, S.; Kornhuber, J.; Kucinski, T.; et al. Association of N-acetylaspartate and cerebrospinal fluid Aβ42 in dementia. J. Alzheimers. Dis. 2011, 27, 393–399. [Google Scholar] [CrossRef]
- Jung, R.E.; Yeo, R.A.; Chiulli, S.J.; Sibbitt, W.L.; Weers, D.C.; Hart, B.L.; Brooks, W.M. Biochemical markers of cognition: A proton MR spectroscopy study of normal human brain. Neuroreport 1999, 10, 3327–3331. [Google Scholar] [CrossRef]
- Zaroff, S.; Leone, P.; Markov, V.; Francis, J.S. Transcriptional regulation of N-acetylaspartate metabolism in the 5xFAD model of Alzheimer’s disease: Evidence for neuron-glia communication during energetic crisis. Mol. Cell. Neurosci. 2015, 6, 5143–5152. [Google Scholar] [CrossRef] [PubMed] [Green Version]
- Miyamoto, Y.; Ishikawa, Y.; Iegaki, N.; Sumi, K.; Fu, K.; Sato, K.; Furukawa-Hibi, Y.; Muramatsu, S.; Nabeshima, T.; Uno, K.; et al. Overexpression of Shati/Nat8l, an N-acetyltransferase, in the nucleus accumbens attenuates the response to methamphetamine via activation of group II mGluRs in mice. Int. J. Neuropsychopharmacol. 2014, 17, 1283–1294. [Google Scholar] [CrossRef] [PubMed] [Green Version]
- Niwa, M.; Nitta, A.; Mizoguchi, H.; Ito, Y.; Noda, Y.; Nagai, T.; Nabeshima, T. A novel molecule “shati” is involved in methamphetamine-induced hyperlocomotion, sensitization, and conditioned place preference. J. Neurosci. 2007, 27, 7604–7615. [Google Scholar] [CrossRef] [PubMed] [Green Version]
- Uno, K.; Miyazaki, T.; Sodeyama, K.; Miyamoto, Y.; Nitta, A. Methamphetamine induces Shati/Nat8L expression in the mouse nucleus accumbens via CREB- and dopamine D1 receptor-dependent mechanism. PLoS ONE. 2017, 12, e0174196. [Google Scholar] [CrossRef] [PubMed]
- Zyśk, M.; Bielarczyk, H.; Gul-Hinc, S.; Dyś, A.; Gapys, B.; Ronowska, A.; Sakowicz-Burkiewicz, M.; Szutowicz, A. Phenotype-Dependent Interactions between N-acetyl-L-Aspartate and Acetyl-CoA in Septal SN56 Cholinergic Cells Exposed to an Excess of Zinc. J. Alzheimers. Dis. 2017, 56, 1145–1158. [Google Scholar] [CrossRef]
- Zyśk, M.; Sakowicz-Burkiewicz, M.; Pikul, P.; Kowalski, R.; Michno, A.; Pawełczyk, T. The impact of acetyl-CoA and aspartate shortages on the N-acetylaspartate level in different models of cholinergic neurons. Antioxidants 2020, 9, 522. [Google Scholar] [CrossRef] [PubMed]
- Zyśk, M.; Pikul, P.; Kowalski, R.; Lewandowski, K.; Sakowicz-Burkiewicz, M.; Pawełczyk, T. Neither excessive nitric oxide accumulation nor acute hyperglycemia affects the n-acetylaspartate network in Wistar rat brain cells. Int. J. Mol. Sci. 2020, 21, 8541. [Google Scholar] [CrossRef]
- Yang, X.D.; Liu, Z.; Liu, H.X.; Wang, L.H.; Ma, C.H.; Li, Z.Z. Regulatory effect of nerve growth factor on release of substance P in cultured dorsal root ganglion neurons of rat. Neurosci. Bulletin. 2007, 23, 215–220. [Google Scholar] [CrossRef] [PubMed]
- Ivins, J.K.; Parry, M.K.; Long, D.A. A Novel cAMP-Dependent Pathway Activates Neuronal Integrin Function in Retinal Neurons. J. Neurosci. 2004, 24, 1212–1216. [Google Scholar] [CrossRef]
- Contreras-Sanz, A.; Scott-Ward, T.S.; Gill, H.S.; Jacoby, J.C.; Birch, R.E.; Malone-Lee, J.; Taylor, K.M.G.; Peppiatt-Wildman, C.M.; Wildman, S.S.P. Simultaneous quantification of 12 different nucleotides and nucleosides released from renal epithelium and in human urine samples using ion-pair reversed-phase HPLC. Purinergic. Signal. 2012, 8, 741–751. [Google Scholar] [CrossRef] [Green Version]
- Hempe, J.M.; Ory-Ascani, J. Simultaneous analysis of reduced glutathione and glutathione disulfide by capillary zone electrophoresis. Electrophoresis 2014, 35, 967–971. [Google Scholar] [CrossRef]
- Gibon, Y.; Larher, F. Cycling assay for nicotinamide adenine dinucleotides: NaCl precipitation and ethanol solubilization of the reduced tetrazolium. Anal. Biochem. 1997, 251, 153–157. [Google Scholar] [CrossRef] [PubMed]
- Pemberton, K.; Mersman, B.; Xu, F. Using ImageJ to Assess Neurite Outgrowth in Mammalian Cell Cultures: Research Data Quantification Exercises in Undergraduate Neuroscience Lab. J. Undergrad Neurosci. Educ. 2018, 16, A186–A194. [Google Scholar]
- Zhou, X.; He, P. Improved measurements of intracellular nitric oxide in intact microvessels using 4,5-diaminofluorescein diacetate. Am. J. Physiol. Heart Circ. Physiol. 2011, 301, H108–H114. [Google Scholar] [CrossRef] [PubMed]
- Zhang, X.J.; Liu, S.F.; Lu, Y.; Wang, J.Y.; Chen, K.S. Immunomodulatory activity of a fructooligosaccharide isolated from burdock roots. RSC Adv. 2019, 9, 11092–11100. [Google Scholar] [CrossRef] [Green Version]
- Mainz, E.R.; Gunasekara, D.B.; Caruso, G.; Jensen, D.T.; Hulvey, M.K.; Fracassi Da Silva, J.A.; Metto, E.C.; Culbertson, A.H.; Culbertson, C.T.; Lunte, S.M. Monitoring intracellular nitric oxide production using microchip electrophoresis and laser-induced fluorescence detection. Anal. Methods 2012, 4, 414–420. [Google Scholar] [CrossRef] [Green Version]
- Shimoyama, H.; Shibata, T.K.; Ito, M.; Oda, T.; Itoh, T.; Mukai, M.; Matsuya-Ogawa, M.; Adachi, M.; Murakami, H.; Nakayama, T.; et al. Partial silencing of fucosyltransferase 8 gene expression inhibits proliferation of Ishikawa cells, a cell line of endometrial cancer. Biochem. Biophys. Rep. 2020, 22, 100740. [Google Scholar] [CrossRef] [PubMed]
- Mahinpour, R.; Riazi, G.; Shokrgozar, M.A.; Sarbolouki, M.N.; Ahmadian, S.; Douraghi, M.; Alijanvand, H.H.; Azadmanesh, K.; Heidari, M.; Gheshlaghi, Z.N.; et al. Disruption of tubulin polymerization and cell proliferation by 1-naphthylarsonic acid. Cell Biol. Int. 2012, 36, 403–408. [Google Scholar] [CrossRef] [PubMed]
- Zyśk, M.; Gapys, B.; Ronowska, A.; Gul-Hinc, S.; Erlandsson, A.; Iwanicki, A.; Sakowicz-Burkiewicz, M.; Szutowicz, A.; Bielarczyk, H. Protective effects of voltage-gated calcium channel antagonists against zinc toxicity in SN56 neuroblastoma cholinergic cells. PLoS ONE 2018, 13, e0209363. [Google Scholar] [CrossRef] [PubMed] [Green Version]
- Bradford, M.M. A rapid and sensitive method for the quantitation of microgram quantities of protein utilizing the principle of protein-dye binding. Anal. Biochem. 1976, 72, 248–254. [Google Scholar] [CrossRef]
- Han, Z.; Wang, C.P.; Cong, N.; Gu, Y.Y.; Ma, R.; Chi, F.L. Therapeutic value of nerve growth factor in promoting neural stem cell survival and differentiation and protecting against neuronal hearing loss. Mol. Cell. Biochem. 2017, 428, 149–159. [Google Scholar] [CrossRef] [PubMed]
- Nagpal, I.; Wei, L.N. All-trans retinoic acid as a versatile cytosolic signal modulator mediated by CRABP1. Int. J. Mol. Sci. 2019, 20, 3610. [Google Scholar] [CrossRef] [Green Version]
- Kim, G.; Choe, Y.; Park, J.; Cho, S.; Kim, K. Activation of protein kinase A induces neuronal differentiation of HiB5 hippocampal progenitor cells. Mol. Brain. Res. 2002, 109, 134–145. [Google Scholar] [CrossRef]
- Abbaci, M.; Stines, J.R.; Barberi-Heyob, M.; Blondel, W.; Dumas, D.; Guillemin, F.; Didelon, J. In vitro characterization of gap junctional intercellular communication by gap-FRAP technique. In Progress in Biomedical Optics and Imaging; Optical Society of America: Rochester, NY, USA, 2005; pp. 1–8. [Google Scholar]
- Chi, L.Y.; Tai, M.L.; Summers, R.; Kale, Y.; Gopishetty, S.; Subramanian, M. Two distinct pathways for metabolism of theophylline and caffeine are coexpressed in Pseudomonas putida CBB5. J. Bacteriol. 2009, 191, 4624–4632. [Google Scholar]
- Szutowicz, A.; Bielarczyk, H.; Ronowska, A.; Gul-Hinc, S.; Klimaszewska-Łata, J.; Dyś, A.; Zyśk, M.; Pawełczyk, T. Intracellular redistribution of acetyl-CoA, the pivotal point in differential susceptibility of cholinergic neurons and glial cells to neurodegenerative signals. Biochem. Soc. Trans. 2014, 42, 1101–1106. [Google Scholar] [CrossRef] [Green Version]
- Stefanovich, V. Influence of theophylline on concentrations of cyclic 3′,5′-adenosine monophosphate and cyclic 3′,5′-guanosine monophosphate of rat brain. Neurochem. Res. 1979, 4, 587–594. [Google Scholar] [CrossRef]
- Spina, D.; Page, C.P. Handbook of Experimental Pharmacology; Springer: Singapore, 2016; Volume 237, pp. 63–91. [Google Scholar]
- Marwick, J.A.; Wallis, G.; Meja, K.; Kuster, B.; Bouwmeester, T.; Chakravarty, P.; Fletcher, D.; Whittaker, P.A.; Barnes, P.J.; Ito, K.; et al. Oxidative stress modulates theophylline effects on steroid responsiveness. Biochem. Biophys. Res. Commun. 2008, 377, 797–802. [Google Scholar] [CrossRef] [PubMed]
- Cosio, B.G.; Tsaprouni, L.; Ito, K.; Jazrawi, E.; Adcock, I.M.; Barnes, P.J. Theophylline restores histone deacetylase activity and steroid responses in COPD macrophages. J. Exp. Med. 2004, 200, 689–695. [Google Scholar] [CrossRef] [Green Version]
- Haddar, M.; Uno, K.; Hamatani, K.; Muramatsu, S.I.; Nitta, A. Regulatory system of mGluR group II in the nucleus accumbens for methamphetamine-induced dopamine increase by the medial prefrontal cortex. Neuropsychopharmacol. Rep. 2019, 39, 209–216. [Google Scholar] [CrossRef]
- Haddar, M.; Uno, K.; Azuma, K.; Muramatsu, S.I.; Nitta, A. Inhibitory effects of Shati/Nat8l overexpression in the medial prefrontal cortex on methamphetamine-induced conditioned place preference in mice. Addict. Biol. 2020, 25, e12749. [Google Scholar] [CrossRef] [Green Version]
- Haddar, M.; Azuma, K.; Izuo, N.; Kyosuke, U.; Asano, T.; Muramatsu, S.I.; Nitta, A. Impairment of cognitive function induced by Shati/Nat8l overexpression in the prefrontal cortex of mice. Behav. Brain. Res. 2021, 397, 112938. [Google Scholar] [CrossRef]
- Arun, P.; Madhavarao, C.N.; Moffett, J.R.; Namboodiri, M.A. Regulation of N-acetylaspartate and N-acetylaspartylglutamate biosynthesis by protein kinase activators. J. Neurochem. 2006, 98, 2034–2042. [Google Scholar] [CrossRef]
- Reitman, Z.J.; Jin, G.; Karoly, E.D.; Spasojevic, I.; Yang, J.; Kinzler, K.W.; He, Y.; Bigner, D.D.; Vogelstein, B.; Yan, H. Profiling the effects of isocitrate dehydrogenase 1 and 2 mutations on the cellular metabolome. Proc. Nat. Acad. Sci. USA 2011, 108, 3270–3275. [Google Scholar] [CrossRef] [Green Version]
- Long, P.M.; Moffett, J.R.; Namboodiri, A.M.; Viapiano, M.S.; Lawler, S.E.; Jaworski, D.M. N-acetylaspartate (NAA) and N-acetylaspartylglutamate (NAAG) promote growth and inhibit differentiation of glioma stem-like cells. J. Biol. Chem. 2013, 288, 26188–26200. [Google Scholar] [CrossRef] [Green Version]
- Maier, H.; Wang-Eckhardt, L.; Hartmann, D.; Gieselmann, V.; Eckhardt, M. N-acetylaspartate synthase deficiency corrects the myelin phenotype in a canavan disease mouse model but does not affect survival time. J. Neurosci. 2015, 35, 14501–14516. [Google Scholar] [CrossRef] [PubMed] [Green Version]
- Namboodiri, A.M.; Peethambaran, A.; Mathew, R.; Sambhu, P.A.; Hershfield, J.; Moffett, J.R.; Madhavarao, C.N. Canavan disease and the role of N-acetylaspartate in myelin synthesis. Mol. Cell. Endocrinol. 2006, 252, 216–223. [Google Scholar] [CrossRef]
- Sumi, K.; Uno, K.; Matsumura, S.; Miyamoto, Y.; Furukawa-Hibi, Y.; Muramatsu, S.I.; Nabeshima, T.; Nitta, A. Induction of neuronal axon outgrowth by Shati/Nat8l by energy metabolism in mice cultured neurons. NeuroReport 2015, 26, 740–746. [Google Scholar] [CrossRef] [Green Version]
- Toriumi, K.; Ikami, M.; Kondo, M.; Mouri, A.; Koseki, T.; Ibi, D.; Furukawa-Hibi, Y.; Nagai, T.; Mamiya, T.; Nitta, A.; et al. SHATI/NAT8L regulates neurite outgrowth via microtubule stabilization. J. Neurosci. Res. 2013, 91, 1525–1532. [Google Scholar] [CrossRef] [PubMed]
- Wulaer, B.; Kunisawa, K.; Hada, K.; Jaya Suento, W.; Kubota, H.; Iida, T.; Kosuge, A.; Nagai, T.; Yamada, K.; Nitta, A.; et al. Shati/Nat8l deficiency disrupts adult neurogenesis and causes attentional impairment through dopaminergic neuronal dysfunction in the dentate gyrus. J. Neurochem. 2021, 157, 642–655. [Google Scholar] [CrossRef] [PubMed]
- Madhavarao, C.N.; Chinopoulos, C.; Chandrasekaran, K.; Namboodiri, M.A.A. Characterization of the N-acetylaspartate biosynthetic enzyme from rat brain. J. Neurochem. 2003, 86, 824–835. [Google Scholar] [CrossRef]
- Schwartz, J.; Passonneau, V.; Johnson, G.S.; Pastan, I. The effect of growth conditions on NAD+ and NADH concentrations and the NAD+: NADH ratio in normal and transformed fibroblasts. J. Biol. Chem. 1974, 249, 4138–4143. [Google Scholar] [CrossRef]
- Pessentheiner, A.R.; Pelzmann, H.J.; Walenta, E.; Schweiger, M.; Groschner, L.N.; Graier, W.F.; Kolb, D.; Uno, K.; Miyazaki, T.; Nitta, A.; et al. NAT8L (N-acetyltransferase 8-like) accelerates lipid turnover and increases energy expenditure in brown adipocytes. J. Biol. Chem. 2013, 288, 36040–36051. [Google Scholar] [CrossRef] [Green Version]
- Bannerman, P.; Guo, F.; Chechneva, O.; Burns, T.; Zhu, X.; Wang, Y.; Kim, B.; Singhal, N.K.; McDonough, J.A.; Pleasure, D. Brain Nat8l Knockdown Suppresses Spongiform Leukodystrophy in an Aspartoacylase-Deficient Canavan Disease Mouse Model. Mol. Ther. 2018, 26, 793–800. [Google Scholar] [CrossRef] [PubMed] [Green Version]
- Hull, V.; Wang, Y.; Burns, T.; Zhang, S.; Sternbach, S.; McDonough, J.; Guo, F.; Pleasure, D. Antisense Oligonucleotide Reverses Leukodystrophy in Canavan Disease Mice. Ann. Neurol. 2020, 87, 480–485. [Google Scholar] [CrossRef] [PubMed]







| Target Protein | Type of Antibody | Company |
|---|---|---|
| β-actin | mouse primary monoclonal | Sigma Aldrich |
| Aspartate N-acetyltransferase | rabbit primary polyclonal | Thermo Fisher Sc. |
| Aspartate N-acetyltransferase | rabbit primary polyclonal | MyBioSource |
| β-III-tubulin | rabbit primary monoclonal | Cell Signaling |
| Choline acetyltransferase | rabbit primary polyclonal | MyBioSource |
| 2′,3′-cyclic-nucleotide 3′-phosphodiesterase | mouse primary monoclonal | Sigma Aldrich |
| EAAT1 | rabbit primary monoclonal | Santa Cruz SCBT |
| Glial fibrillary acidic protein | rabbit primary polyclonal | DAKO |
| Glyceraldehyde 3-phosphate dehydrogenase | mouse primary monoclonal | Abcam |
| Goat IgG | rabbit secondary polyclonal, AP—conjugated | Sigma Aldrich |
| Mouse IgG | goat secondary polyclonal, AP—conjugated | Sigma Aldrich |
| Mouse IgG1 | goat secondary polyclonal, 488—conjugated | Thermo Fisher Sc. |
| Tau protein | rabbit primary monoclonal | ThermoFisher Sc. |
| Rabbit IgG | goat secondary polyclonal, AP—conjugated | Santa Cruz SCBT |
| Rabbit IgG | goat secondary polyclonal, 555—conjugated | Thermo Fisher Sc. |
| S100β | mouse | Sigma Aldrich |
| Synaptophysin | rabbit primary polyclonal | Abcam |
| Gene Transcript | Primers | TaqMan Probe | Transcript of Reference Gene |
|---|---|---|---|
| Nat8l NM_001191681.1 | (F) tggctgacattgaacagtactaca (R) cacaacattgccgtccag | Universal ProbeLibrary Probe #83 (Roche, Cat #04689062001 | Universal ProbeLibrary Rat Actb Gene Assay (Roche, Cat #05046203001) |
| Chat NM_001170593.1 | (F) gaagcttccaagccactttc (R) gtagtagagcctcagacgacgac | Universal ProbeLibrary Probe #66 (Roche, Cat #0468851001) | Universal ProbeLibrary Rat Actb Gene Assay (Roche, Cat #05046203001) |
| Pyruvate | Lactate | |
|---|---|---|
| Wistar rats’ brains | ||
| Sham | 14.3 (7.4–20.4) | 24.5 (17.0–29.9) |
| Theophylline | 15.5 (11.7–18.6) | 21.0 (16.3–26.2) |
| primary neurons (PR) | ||
| Control | 33.2 (22.3–41.1) | 18.8 (16.4–21.9) |
| NGF | 11.3 (6.5–17.7) | 21.3 (13.7–28.4) |
| db-cAMP | 19.7 (11.5–28.2) | 24.8 (15.9–35.2) |
| neural stem cells (NSC) | ||
| Control | 46.3 (29.5–78.6) | 71.0 (30.7–104.2) |
| NGF | 61.3 (31.0–89.2) | 67.0 (34.5–78.3) |
| db-cAMP | 32.2 (17.1–63.0) | 51.0 (41.2–82.4) |
| LDH * | SC ** | Aco ** | IDH ** | |
|---|---|---|---|---|
| Wistar rats’ brains | ||||
| Sham | 1.12 (1.07–1.34) | 44.9 (33.3–55.8) | 30.1 (24.5–37.1) | 14.3 (12.2–17.0) |
| Theophylline | 1.44 (1.19–1.68) * | 68.0 (46.1–77.3) | 28.4 (18.5–34.8) | 11.2 (8.4–14.2) * |
| primary neurons (PR) | ||||
| Control | 0.81 (0.73–0.91) | N.A. | 38.3 (29.3–45.6) | 81.7 (62.7–102.4) |
| NGF | 0.88 (0.81–0.96) | N.A. | 40.0 (26.6–52.0) | 86.4 (65.0–106.1) |
| db-cAMP | 0.90 (0.69–0.97) | N.A. | 33.2 (21.5–45.7) | 73.4 (60.7–89.2) |
| neural stem cells (NSC) | ||||
| Control | 0.33 (0.24–0.43) | N.A. | 24.0 (16.8–32.7) | 56.4 (43.0–70.8) |
| NGF | 0.29 (0.19–0.38) | N.A. | 23.4 (19.0–27.3) | 50.6 (38.5–61.2) |
| db-cAMP | 0.24 (0.13–0.37) | N.A. | 26.3 (18.5–33.3) | 32.9 (26.5–41.1) |
Publisher’s Note: MDPI stays neutral with regard to jurisdictional claims in published maps and institutional affiliations. |
© 2021 by the authors. Licensee MDPI, Basel, Switzerland. This article is an open access article distributed under the terms and conditions of the Creative Commons Attribution (CC BY) license (https://creativecommons.org/licenses/by/4.0/).
Share and Cite
Kowalski, R.; Pikul, P.; Lewandowski, K.; Sakowicz-Burkiewicz, M.; Pawełczyk, T.; Zyśk, M. The cAMP Inducers Modify N-Acetylaspartate Metabolism in Wistar Rat Brain. Antioxidants 2021, 10, 1404. https://doi.org/10.3390/antiox10091404
Kowalski R, Pikul P, Lewandowski K, Sakowicz-Burkiewicz M, Pawełczyk T, Zyśk M. The cAMP Inducers Modify N-Acetylaspartate Metabolism in Wistar Rat Brain. Antioxidants. 2021; 10(9):1404. https://doi.org/10.3390/antiox10091404
Chicago/Turabian StyleKowalski, Robert, Piotr Pikul, Krzysztof Lewandowski, Monika Sakowicz-Burkiewicz, Tadeusz Pawełczyk, and Marlena Zyśk. 2021. "The cAMP Inducers Modify N-Acetylaspartate Metabolism in Wistar Rat Brain" Antioxidants 10, no. 9: 1404. https://doi.org/10.3390/antiox10091404
APA StyleKowalski, R., Pikul, P., Lewandowski, K., Sakowicz-Burkiewicz, M., Pawełczyk, T., & Zyśk, M. (2021). The cAMP Inducers Modify N-Acetylaspartate Metabolism in Wistar Rat Brain. Antioxidants, 10(9), 1404. https://doi.org/10.3390/antiox10091404

