The Positive Allosteric Modulation of alpha7-Nicotinic Cholinergic Receptors by GAT107 Increases Bacterial Lung Clearance in Hyperoxic Mice by Decreasing Oxidative Stress in Macrophages
Abstract
1. Introduction
2. Materials and Methods
2.1. Cell Culture and Special Reagents
2.2. Animal Studies
2.3. Exposure to Hyperoxia
2.4. Bronchoalveolar Lavage
2.5. Quantitative Bacteriology
2.6. Assay for Oxidative Stress and Antioxidant Potential
2.7. Phagocytosis Assay and Actin Stress Filament Formation
2.8. Measurement of SOD1 Activity
2.9. The Detection of Reactive Oxygen Species (ROS) Using 2’,7’-Dichlorofluorescin Diacetate (DCFH-DA)
2.10. Total Protein Oxidation Assay
2.11. Western Blot Analysis
2.12. Nrf2 Activation Assay
2.13. Statistical Analysis
3. Results
3.1. The Systemic Administration of GAT107 Increases Bacterial Clearance and Attenuates the Hyperoxia-Induced Redox Imbalance in Mice Challenged with Pseudomonas Aeruginosa (PA)
3.2. GAT107 Restores Hyperoxia-Compromised Macrophage Phagocytic Function in a Macrophage Cell Line and Primary Macrophages
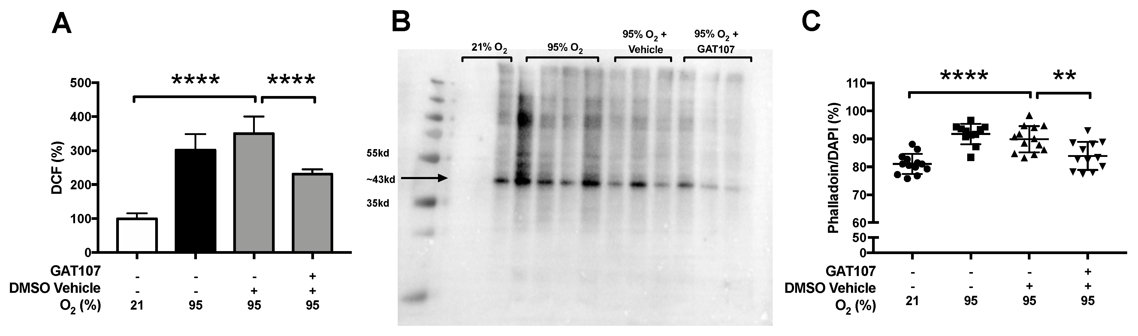
3.3. GAT107 Decreases Hyperoxia-Induced Actin Oxidation and Alterations in Polymerization
3.4. GAT107 Restores Hyperoxia-Compromised SOD1 Function
3.5. GAT107 Activates the Nrf2/HO-1 Antioxidant Pathway
4. Discussion
4.1. GAT107-Mediated Attenuation of Oxidative Stress Contributes to the Attenuation of Hyperoxia-Compromised Bacterial Clearance Functions of Mice with PA Lung Infection
4.2. GAT107 Significantly Attenuates Impaired Macrophage Innate Immune Functions Produced by Hyperoxia by Decreasing the Oxidation of Actin
4.3. GAT107 Decreases Oxidative Stress and Restores Antioxidant Functions
4.4. GAT107 Activates Nrf2 and Upregulates HO-1
5. Conclusions
Author Contributions
Funding
Institutional Review Board Statement
Informed Consent Statement
Data Availability Statement
Acknowledgments
Conflicts of Interest
References
- Magnet, F.S.; Storre, J.H.; Windisch, W. Home Oxygen Therapy: Evidence versus Reality. Expert Rev. Respir. Med. 2017, 11, 425–441. [Google Scholar] [CrossRef] [PubMed]
- Branson, R.D. Oxygen Therapy in COPD. Respir Care 2018, 63, 734–748. [Google Scholar] [CrossRef] [PubMed]
- Walsh, B.K.; Smallwood, C.D. Pediatric Oxygen Therapy: A Review and Update. Respir Care 2017, 62, 645–661. [Google Scholar] [CrossRef] [PubMed]
- Renda, T.; Corrado, A.; Iskandar, G.; Pelaia, G.; Abdalla, K.; Navalesi, P. High-Flow Nasal Oxygen Therapy in Intensive Care and Anaesthesia. Br. J. Anaesth. 2018, 120, 18–27. [Google Scholar] [CrossRef] [PubMed]
- Wang, D.; Hu, B.; Hu, C.; Zhu, F.; Liu, X.; Zhang, J.; Wang, B.; Xiang, H.; Cheng, Z.; Xiong, Y.; et al. Clinical Characteristics of 138 Hospitalized Patients With 2019 Novel Coronavirus–Infected Pneumonia in Wuhan, China. JAMA 2020, 323, 1061–1069. [Google Scholar] [CrossRef] [PubMed]
- Kallet, R.H.; Matthay, M.A. Hyperoxic Acute Lung Injury. Respir. Care 2013, 58, 123–141. [Google Scholar] [CrossRef]
- Pham, T.; Brochard, L.J.; Slutsky, A.S. Mechanical Ventilation: State of the Art. Mayo Clin. Proc. 2017, 92, 1382–1400. [Google Scholar] [CrossRef]
- Bassi, G.L.; Ferrer, M.; Marti, J.D.; Comaru, T.; Torres, A. Ventilator-Associated Pneumonia. Semin. Respir. Crit. Care Med. 2014, 35, 469–481. [Google Scholar] [CrossRef]
- Oliveira, J.; Zagalo, C.; Cavaco-Silva, P. Prevention of Ventilator-Associated Pneumonia. Rev. Port. Pneumol. 2014, 20, 152–161. [Google Scholar] [CrossRef]
- Rello, J. Bench-to-Bedside Review: Therapeutic Options and Issues in the Management of Ventilator-Associated Bacterial Pneumonia. Crit Care 2005, 9, 259–265. [Google Scholar] [CrossRef][Green Version]
- Rello, J.; Ollendorf, D.A.; Oster, G.; Vera-Llonch, M.; Bellm, L.; Redman, R.; Kollef, M.H. Epidemiology and Outcomes of Ventilator-Associated Pneumonia in a Large US Database. Chest J. 2002, 122, 2115–2121. [Google Scholar] [CrossRef] [PubMed]
- Spalding, M.C.; Cripps, M.W.; Minshall, C.T. Ventilator-Associated Pneumonia. Crit. Care Clin. 2017, 33, 277–292. [Google Scholar] [CrossRef] [PubMed]
- Allard, B.; Panariti, A.; Martin, J.G. Alveolar Macrophages in the Resolution of Inflammation, Tissue Repair, and Tolerance to Infection. Front. Immunol. 2018, 9. [Google Scholar] [CrossRef] [PubMed]
- Byrne, A.J.; Mathie, S.A.; Gregory, L.G.; Lloyd, C.M. Pulmonary Macrophages: Key Players in the Innate Defence of the Airways. Thorax 2015, 70, 1189–1196. [Google Scholar] [CrossRef]
- Craven, D.E.; Kunches, L.M.; Kilinsky, V.; Lichtenberg, D.A.; Make, B.J.; McCabe, W.R. Risk Factors for Pneumonia and Fatality in Patients Receiving Continuous Mechanical Ventilation. Am. Rev. Respir Dis. 1986, 133, 792–796. [Google Scholar]
- Baleeiro, C.E.; Wilcoxen, S.E.; Morris, S.B.; Standiford, T.J.; Paine, R., 3rd. Sublethal Hyperoxia Impairs Pulmonary Innate Immunity. J. Immunol. 2003, 171, 955–963. [Google Scholar] [CrossRef]
- Barbier, F.; Andremont, A.; Wolff, M.; Bouadma, L. Hospital-Acquired Pneumonia and Ventilator-Associated Pneumonia: Recent Advances in Epidemiology and Management. Curr. Opin. Pulm. Med. 2013, 19, 216–228. [Google Scholar] [CrossRef]
- Chastre, J.; Fagon, J.Y. Ventilator-Associated Pneumonia. Am. J. Respir. Crit. Care Med. 2002, 165, 867. [Google Scholar] [CrossRef]
- Freeman, B.A.; Topolosky, M.K.; Crapo, J.D. Hyperoxia Increases Oxygen Radical Production in Rat Lung Homogenates. Arch. Biochem. Biophys. 1982, 216, 477–484. [Google Scholar] [CrossRef]
- O’Donovan, D.J.; Fernandes, C.J. Mitochondrial Glutathione and Oxidative Stress: Implications for Pulmonary Oxygen Toxicity in Premature Infants. Mol. Genet. Metab. 2000, 71, 352–358. [Google Scholar] [CrossRef]
- Pagano, A.; Barazzone-Argiroffo, C. Alveolar Cell Death in Hyperoxia-Induced Lung Injury. Ann. N. Y. Acad. Sci. 2003, 1010, 405–416. [Google Scholar] [CrossRef]
- Morrow, D.M.P.; Entezari-Zaher, T.; Romashko, J., III; Azghani, A.O.; Javdan, M.; Ulloa, L.; Miller, E.J.; Mantell, L.L. Antioxidants Preserve Macrophage Phagocytosis of Pseudomonas Aeruginosa during Hyperoxia. Free Radic. Biol. Med. 2007, 42, 1338–1349. [Google Scholar] [CrossRef]
- O’Reilly, P.J.; Hickman-Davis, J.M.; Davis, I.C.; Matalon, S. Hyperoxia Impairs Antibacterial Function of Macrophages through Effects on Actin. Am. J. Respir. Cell Mol. Biol. 2003, 28, 443–450. [Google Scholar] [CrossRef]
- Hartwig, J.H.; Yin, H.L. The Organization and Regulation of the Macrophage Actin Skeleton. Cell Motil. 1988, 10, 117–125. [Google Scholar] [CrossRef]
- Patel, V.; Dial, K.; Wu, J.; Gauthier, A.G.; Wu, W.; Lin, M.; Espey, M.G.; Thomas, D.D.; Ashby, C.R.; Mantell, L.L. Dietary Antioxidants Significantly Attenuate Hyperoxia-Induced Acute Inflammatory Lung Injury by Enhancing Macrophage Function via Reducing the Accumulation of Airway HMGB1. Int. J. Mol. Sci. 2020, 21, 977. [Google Scholar] [CrossRef]
- Arita, Y.; Kazzaz, J.A.; Joseph, A.; Koo, H.; Li, Y.; Davis, J.M. Antioxidants Improve Antibacterial Function in Hyperoxia-Exposed Macrophages. Free Radic. Biol. Med. 2007, 42, 1517–1523. [Google Scholar] [CrossRef][Green Version]
- Ulloa, L. The Vagus Nerve and the Nicotinic Anti-Inflammatory Pathway. Nat. Rev. Drug Discov. 2005, 4, 673–684. [Google Scholar] [CrossRef]
- Wang, H.; Liao, H.; Ochani, M.; Justiniani, M.; Lin, X.; Yang, L.; Al-Abed, Y.; Wang, H.; Metz, C.; Miller, E.J. Cholinergic Agonists Inhibit HMGB1 Release and Improve Survival in Experimental Sepsis. Nat. Med. 2004, 10, 1216–1221. [Google Scholar] [CrossRef]
- Báez-Pagán, C.A.; Delgado-Vélez, M.; Lasalde-Dominicci, J.A. Activation of the Macrophage A7 Nicotinic Acetylcholine Receptor and Control of Inflammation. J. Neuroimmune Pharm. 2015, 10, 468–476. [Google Scholar] [CrossRef]
- Bagdas, D.; Wilkerson, J.L.; Kulkarni, A.; Toma, W.; AlSharari, S.; Gul, Z.; Lichtman, A.H.; Papke, R.L.; Thakur, G.A.; Damaj, M.I. The A7 Nicotinic Receptor Dual Allosteric Agonist and Positive Allosteric Modulator GAT107 Reverses Nociception in Mouse Models of Inflammatory and Neuropathic Pain. Br. J. Pharm. 2016, 173, 2506–2520. [Google Scholar] [CrossRef]
- Papke, R.L.; Stokes, C.; Damaj, M.I.; Thakur, G.A.; Manther, K.; Treinin, M.; Bagdas, D.; Kulkarni, A.R.; Horenstein, N.A. Persistent Activation of A7 Nicotinic ACh Receptors Associated with Stable Induction of Different Desensitized States. Br. J. Pharm. 2018, 175, 1838–1854. [Google Scholar] [CrossRef] [PubMed]
- Hoover, D.B. Cholinergic Modulation of the Immune System Presents New Approaches for Treating Inflammation. Pharmacol. Ther. 2017, 179, 1–16. [Google Scholar] [CrossRef] [PubMed]
- Skok, M.V. Editorial: To Channel or Not to Channel? Functioning of Nicotinic Acetylcholine Receptors in Leukocytes. J. Leukoc. Biol. 2009, 86, 1–3. [Google Scholar] [CrossRef] [PubMed]
- Villiger, Y.; Szanto, I.; Jaconi, S.; Blanchet, C.; Buisson, B.; Krause, K.-H.; Bertrand, D.; Romand, J.-A. Expression of an Alpha7 Duplicate Nicotinic Acetylcholine Receptor-Related Protein in Human Leukocytes. J. Neuroimmunol. 2002, 126, 86–98. [Google Scholar] [CrossRef]
- de Jonge, W.J.; van der Zanden, E.P.; The, F.O.; Bijlsma, M.F.; van Westerloo, D.J.; Bennink, R.J.; Berthoud, H.-R.; Uematsu, S.; Akira, S.; van den Wijngaard, R.M.; et al. Stimulation of the Vagus Nerve Attenuates Macrophage Activation by Activating the Jak2-STAT3 Signaling Pathway. Nat. Immunol. 2005, 6, 844–851. [Google Scholar] [CrossRef]
- Wang, H.; Yu, M.; Ochani, M.; Amella, C.A.; Tanovic, M.; Susarla, S.; Li, J.H.; Wang, H.; Yang, H.; Ulloa, L.; et al. Nicotinic Acetylcholine Receptor Alpha7 Subunit Is an Essential Regulator of Inflammation. Nature 2003, 421, 384–388. [Google Scholar] [CrossRef]
- Sitapara, R.A.; Gauthier, A.G.; Patel, V.S.; Lin, M.; Zur, M.; Ashby, C.R.; Mantell, L.L. The A7 Nicotinic Acetylcholine Receptor Agonist GTS-21 Improves Bacterial Clearance in Mice by Restoring Hyperoxia-Compromised Macrophage Function. Mol. Med. 2020, 26. [Google Scholar] [CrossRef]
- Horenstein, N.A.; Papke, R.L.; Kulkarni, A.R.; Chaturbhuj, G.U.; Stokes, C.; Manther, K.; Thakur, G.A. Critical Molecular Determinants of A7 Nicotinic Acetylcholine Receptor Allosteric Activation: Separation of Direct Allosteric Activation and Positive Allosteric Modulation. J. Biol. Chem. 2016. [Google Scholar] [CrossRef]
- Papke, R.L.; Chojnacka, K.; Horenstein, N.A. The Minimal Pharmacophore for Silent Agonism of the A7 Nicotinic Acetylcholine Receptor. J. Pharm. Exp. Ther. 2014, 350, 665–680. [Google Scholar] [CrossRef]
- Thakur, G.A.; Kulkarni, A.R.; Deschamps, J.R.; Papke, R.L. Expeditious Synthesis, Enantiomeric Resolution and Enantiomer Functional Characterization of (4-(4-Bromophenyl)-3a, 4, 5, 9b-Tetrahydro-3H-Cyclopenta[c]Quinoline-8-Sulfonamide (4BP-TQS): An Allosteric Agonist-Positive Allosteric Modulator of A7 Nicotinic Acetylcholine Receptors. J. Med. Chem. 2013, 56, 8943–8947. [Google Scholar] [CrossRef]
- Richards, M.J.; Edwards, J.R.; Culver, D.H.; Gaynes, R.P. Nosocomial Infections in Medical Intensive Care Units in the United States. National Nosocomial Infections Surveillance System. Crit. Care Med. 1999, 27, 887–892. [Google Scholar] [CrossRef] [PubMed]
- Patel, V.S.; Sitapara, R.A.; Gore, A.; Phan, B.; Sharma, L.; Sampat, V.; Li, J.H.; Yang, H.; Chavan, S.S.; Wang, H. High Mobility Group Box–1 Mediates Hyperoxia-Induced Impairment of Pseudomonas Aeruginosa Clearance and Inflammatory Lung Injury in Mice. Am. J. Respir. Cell Mol. Biol. 2013, 48, 280–287. [Google Scholar] [CrossRef] [PubMed]
- Beauchamp, C.; Fridovich, I. Superoxide Dismutase: Improved Assays and an Assay Applicable to Acrylamide Gels. Anal. Biochem. 1971, 44, 276–287. [Google Scholar] [CrossRef]
- Patel, V.S.; Sampat, V.; Espey, M.G.; Sitapara, R.; Wang, H.; Yang, X.; Ashby, C.R.J.; Thomas, D.D.; Mantell, L.L. Ascorbic Acid Attenuates Hyperoxia-Compromised Host Defense against Pulmonary Bacterial Infection. Am. J. Respir. Cell Mol. Biol. 2016, 55, 511–520. [Google Scholar] [CrossRef]
- Otterbein, L.E.; Kolls, J.K.; Mantell, L.L.; Cook, J.L.; Alam, J.; Choi, A.M.K. Exogenous Administration of Heme Oxygenase-1 by Gene Transfer Provides Protection against Hyperoxia-Induced Lung Injury. J. Clin. Investig. 1999, 103, 1047–1054. [Google Scholar] [CrossRef]
- Reddy, N.M.; Kleeberger, S.R.; Kensler, T.W.; Yamamoto, M.; Hassoun, P.M.; Reddy, S.P. Disruption of nrf2 impairs the resolution of hyperoxia-induced acute lung injury and inflammation in mice. J. Immunol. 2009, 182, 7264. [Google Scholar] [CrossRef]
- Wang, X.; Wang, Y.; Kim, H.P.; Nakahira, K.; Ryter, S.W.; Choi, A.M.K. Carbon Monoxide Protects against Hyperoxia-Induced Endothelial Cell Apoptosis by Inhibiting Reactive Oxygen Species Formation. J. Biol. Chem. 2007, 282, 1718–1726. [Google Scholar] [CrossRef]
- Faure, E.; Kwong, K.; Nguyen, D. Pseudomonas Aeruginosa in Chronic Lung Infections: How to Adapt Within the Host? Front. Immunol. 2018, 9. [Google Scholar] [CrossRef]
- Sadikot, R.T.; Blackwell, T.S.; Christman, J.W.; Prince, A.S. Pathogen–Host Interactions in Pseudomonas Aeruginosa Pneumonia. Am. J. Respir Crit. Care Med. 2005, 171, 1209–1223. [Google Scholar] [CrossRef]
- Wang, M.; Gauthier, A.; Daley, L.; Dial, K.; Wu, J.; Woo, J.; Lin, M.; Ashby, C.R.; Mantell, L. Nuclear Damage Associated Molecular Pattern (DAMP) Molecule HMGB1 in the Pathogenesis of Lung Diseases. Antioxid. Redox Signal. 2019. [Google Scholar] [CrossRef]
- Kallet, R.H.; Branson, R.D. Should Oxygen Therapy Be Tightly Regulated to Minimize Hyperoxia in Critically Ill Patients? Respir. Care 2016, 61, 801–817. [Google Scholar] [CrossRef] [PubMed]
- Koenig, S.M.; Truwit, J.D. Ventilator-Associated Pneumonia: Diagnosis, Treatment, and Prevention. Clin. Microbiol. Rev. 2006, 19, 637–657. [Google Scholar] [CrossRef] [PubMed]
- Mach, W.J.; Thimmesch, A.R.; Pierce, J.T.; Pierce, J.D. Consequences of Hyperoxia and the Toxicity of Oxygen in the Lung. Nurs. Res. Pract. 2011, 2011, 1–7. [Google Scholar] [CrossRef] [PubMed]
- Six, S.; Jaffal, K.; Ledoux, G.; Jaillette, E.; Wallet, F.; Nseir, S. Hyperoxemia as a Risk Factor for Ventilator-Associated Pneumonia. Crit. Care 2016, 20, 195. [Google Scholar] [CrossRef] [PubMed]
- Borovikova, L.V.; Ivanova, S.; Zhang, M.; Yang, H.; Botchkina, G.I.; Watkins, L.R.; Wang, H.; Abumrad, N.; Eaton, J.W.; Tracey, K.J. Vagus Nerve Stimulation Attenuates the Systemic Inflammatory Response to Endotoxin. Nature 2000, 405, 458–462. [Google Scholar] [CrossRef] [PubMed]
- Huston, J.M.; Gallowitsch-Puerta, M.; Ochani, M.; Ochani, K.; Yuan, R.; Rosas-Ballina, M.; Ashok, M.; Goldstein, R.S.; Chavan, S.; Pavlov, V.A.; et al. Transcutaneous Vagus Nerve Stimulation Reduces Serum High Mobility Group Box 1 Levels and Improves Survival in Murine Sepsis *. Crit. Care Med. 2007, 35, 2762–2768. [Google Scholar]
- Kessler, W.; Diedrich, S.; Menges, P.; Ebker, T.; Nielson, M.; Partecke, L.I.; Traeger, T.; Cziupka, K.; van der Linde, J.; Puls, R.; et al. The Role of the Vagus Nerve: Modulation of the Inflammatory Reaction in Murine Polymicrobial Sepsis. Mediat. Inflamm. 2012, 2012, 1–9. [Google Scholar] [CrossRef]
- Wang, D.-W.; Yin, Y.-M.; Yao, Y.-M. Vagal Modulation of the Inflammatory Response in Sepsis. Int. Rev. Immunol. 2016, 35, 415–433. [Google Scholar] [CrossRef]
- Garg, B.K.; Loring, R.H. GTS-21 Has Cell-Specific Anti-Inflammatory Effects Independent of A7 Nicotinic Acetylcholine Receptors. PLoS ONE 2019, 14, e0214942. [Google Scholar] [CrossRef]
- Rael, L.T.; Bar-Or, R.; Salottolo, K.; Mains, C.W.; Slone, D.S.; Offner, P.J.; Bar-Or, D. Injury Severity and Serum Amyloid A Correlate with Plasma Oxidation-Reduction Potential in Multi-Trauma Patients: A Retrospective Analysis. Scand. J. Trauma Resusc. Emerg. Med. 2009, 17, 57. [Google Scholar] [CrossRef]
- Huang, C.; Wang, Y.; Li, X.; Ren, L.; Zhao, J.; Hu, Y.; Zhang, L.; Fan, G.; Xu, J.; Gu, X.; et al. Clinical Features of Patients Infected with 2019 Novel Coronavirus in Wuhan, China. Lancet 2020, 395, 497–506. [Google Scholar] [CrossRef]
- Andersson, U.; Ottestad, W.; Tracey, K.J. Extracellular HMGB1: A Therapeutic Target in Severe Pulmonary Inflammation Including COVID-19? Mol. Med. 2020, 26, 42. [Google Scholar] [CrossRef]
- Staats, P.; Giannakopoulos, G.; Blake, J.; Liebler, E.; Levy, R.M. The Use of Non-Invasive Vagus Nerve Stimulation to Treat Respiratory Symptoms Associated With COVID-19: A Theoretical Hypothesis and Early Clinical Experience. Neuromodulation 2020. [Google Scholar] [CrossRef]
- Wang, M.; Gorasiya, S.; Antoine, D.J.; Sitapara, R.A.; Wu, W.; Sharma, L.; Yang, H.; Ashby, C.R.; Vasudevan, D.; Zur, M.; et al. The Compromise of Macrophage Functions by Hyperoxia Is Attenuated by Ethacrynic Acid via Inhibition of NF-ΚB–Mediated Release of High-Mobility Group Box-1. Am. J. Respir Cell Mol. Biol. 2015, 52, 171–182. [Google Scholar] [CrossRef] [PubMed]
- Fonseca, R.C.; Bassi, G.S.; Brito, C.C.; Rosa, L.B.; David, B.A.; Araújo, A.M.; Nóbrega, N.; Diniz, A.B.; Jesus, I.C.G.; Barcelos, L.S.; et al. Vagus Nerve Regulates the Phagocytic and Secretory Activity of Resident Macrophages in the Liver. Brain Behav. Immun. 2019, 81, 444–454. [Google Scholar] [CrossRef] [PubMed]
- May, R.C.; Machesky, L.M. Phagocytosis and the Actin Cytoskeleton. J. Cell Sci. 2001, 114, 1061–1077. [Google Scholar]
- Park, J.-B. Phagocytosis Induces Superoxide Formation and Apoptosis in Macrophages. Exp. Mol. Med. 2003, 35, 325–335. [Google Scholar] [CrossRef]
- Chia, S.B.; Elko, E.A.; Aboushousha, R.; Manuel, A.M.; van de Wetering, C.; Druso, J.E.; van der Velden, J.; Seward, D.J.; Anathy, V.; Irvin, C.G.; et al. Dysregulation of the Glutaredoxin/S-Glutathionylation Redox Axis in Lung Diseases. Am. J. Physiol. Cell Physiol. 2019, 318, C304–C327. [Google Scholar] [CrossRef]
- Rudyk, O.; Eaton, P. Biochemical Methods for Monitoring Protein Thiol Redox States in Biological Systems. Redox Biol. 2014, 2, 803–813. [Google Scholar] [CrossRef]
- van der Vliet, A.; Janssen-Heininger, Y.M.W.; Anathy, V. Oxidative Stress in Chronic Lung Disease: From Mitochondrial Dysfunction to Dysregulated Redox Signaling. Mol. Asp. Med. 2018, 63, 59–69. [Google Scholar] [CrossRef]
- Huston, J.M.; Rosas-Ballina, M.; Xue, X.; Dowling, O.; Ochani, K.; Ochani, M.; Yeboah, M.M.; Chatterjee, P.K.; Tracey, K.J.; Metz, C.N. Cholinergic Neural Signals to the Spleen Down-Regulate Leukocyte Trafficking via CD11b. J. Immunol. 2009, 183, 552–559. [Google Scholar] [CrossRef] [PubMed]
- Gore, A.; Gauthier, A.G.; Lin, M.; Patel, V.; Thomas, D.D.; Ashby, C.R.; Mantell, L.L. The Nitric Oxide Donor, (Z)-1-[N-(2-Aminoethyl)-N-(2-Ammonioethyl)Amino]Diazen-1-Ium-1,2-Diolate (DETA-NONOate/D-NO), Increases Survival by Attenuating Hyperoxia-Compromised Innate Immunity in Bacterial Clearance in a Mouse Model of Ventilator-Associated Pneumonia. Biochem. Pharmacol. 2020, 113817. [Google Scholar] [CrossRef]
- Dinesh, P.; Rasool, M. Berberine, an Isoquinoline Alkaloid Suppresses TXNIP Mediated NLRP3 Inflammasome Activation in MSU Crystal Stimulated RAW 264.7 Macrophages through the Upregulation of Nrf2 Transcription Factor and Alleviates MSU Crystal Induced Inflammation in Rats. Int. Immunopharmacol. 2017, 44, 26–37. [Google Scholar] [CrossRef]
- Wilson, C.; Terman, J.R.; González-Billault, C.; Ahmed, G. Actin Filaments—A Target for Redox Regulation. Cytoskeleton 2016, 73, 577–595. [Google Scholar] [CrossRef] [PubMed]
- Cho, H.-Y.; Jedlicka, A.E.; Reddy, S.P.M.; Kensler, T.W.; Yamamoto, M.; Zhang, L.-Y.; Kleeberger, S.R. Role of NRF2 in Protection Against Hyperoxic Lung Injury in Mice. Am. J. Respir Cell Mol. Biol. 2002, 26, 175–182. [Google Scholar] [CrossRef]
- Patel, H.; McIntire, J.; Ryan, S.; Dunah, A.; Loring, R. Anti-Inflammatory Effects of Astroglial A7 Nicotinic Acetylcholine Receptors Are Mediated by Inhibition of the NF-ΚB Pathway and Activation of the Nrf2 Pathway. J. Neuroinflamm. 2017, 14. [Google Scholar] [CrossRef]
- Tsoyi, K.; Jang, H.J.; Kim, J.W.; Chang, H.K.; Lee, Y.S.; Pae, H.-O.; Kim, H.J.; Seo, H.G.; Lee, J.H.; Chung, H.-T.; et al. Stimulation of Alpha7 Nicotinic Acetylcholine Receptor by Nicotine Attenuates Inflammatory Response in Macrophages and Improves Survival in Experimental Model of Sepsis Through Heme Oxygenase-1 Induction. Antioxid. Redox Signal. 2011, 14, 2057–2070. [Google Scholar] [CrossRef]
- Zhang, Q.; Lai, Y.; Deng, J.; Wang, M.; Wang, Z.; Wang, M.; Zhang, Y.; Yang, X.; Zhou, X.; Jiang, H. Vagus Nerve Stimulation Attenuates Hepatic Ischemia/Reperfusion Injury via the Nrf2/HO-1 Pathway. Oxid. Med. Cell. Longev. 2019, 2019, 1–10. [Google Scholar] [CrossRef]
- Choi, A.M.; Alam, J. Heme Oxygenase-1: Function, Regulation, and Implication of a Novel Stress-Inducible Protein in Oxidant-Induced Lung Injury. Am. J. Respir Cell Mol. Biol. 1996, 15, 9–19. [Google Scholar] [CrossRef]
- Ryter, S.W.; Choi, A.M.K. Targeting Heme Oxygenase-1/Carbon Monoxide for Therapeutic Modulation of Inflammation. Transl. Res. 2016, 167, 7–34. [Google Scholar] [CrossRef]
- Suliman, H.B.; Keenan, J.E.; Piantadosi, C.A. Mitochondrial Quality-Control Dysregulation in Conditional HO-1-/- Mice. Jci Insight 2017, 2, e89676. [Google Scholar] [CrossRef] [PubMed]
- Dennery, P.A.; Spitz, D.R.; Yang, G.; Tatarov, A.; Lee, C.S.; Shegog, M.L.; Poss, K.D. Oxygen Toxicity and Iron Accumulation in the Lungs of Mice Lacking Heme Oxygenase-2. J. Clin. Investig. 1998, 101, 1001–1011. [Google Scholar] [CrossRef] [PubMed]
- Soares, M.P.; Hamza, I. Macrophages and Iron Metabolism. Immunity 2016, 44, 492–504. [Google Scholar] [CrossRef] [PubMed]
- Chung, S.W.; Liu, X.; Macias, A.A.; Baron, R.M.; Perrella, M.A. Heme Oxygenase-1–Derived Carbon Monoxide Enhances the Host Defense Response to Microbial Sepsis in Mice. J. Clin. Investig. 2008, 118, 239–247. [Google Scholar] [CrossRef]
- Dennery, P.A.; Visner, G.; Weng, Y.H.; Nguyen, X.; Lu, F.; Zander, D.; Yang, G. Resistance to Hyperoxia with Heme Oxygenase-1 Disruption: Role of Iron. Free Radic. Biol. Med. 2003, 34, 124–133. [Google Scholar] [CrossRef]
- Gauthier, A.G.; Lin, M.; Wu, J.; Kennedy, T.P.; Daley, L.; Ashby, C.R., Jr.; Mantell, L.L. From Nicotine to the Cholinergic Anti-Inflammatory Reflex - Can Nicotine Alleviate the Dysregulated Inflammation in COVID-19? J. Immunotoxicol. 2021, 1875085. [Google Scholar] [CrossRef]






Publisher’s Note: MDPI stays neutral with regard to jurisdictional claims in published maps and institutional affiliations. |
© 2021 by the authors. Licensee MDPI, Basel, Switzerland. This article is an open access article distributed under the terms and conditions of the Creative Commons Attribution (CC BY) license (http://creativecommons.org/licenses/by/4.0/).
Share and Cite
Gauthier, A.G.; Wu, J.; Lin, M.; Sitapara, R.; Kulkarni, A.; Thakur, G.A.; Schmidt, E.E.; Perron, J.C.; Ashby, C.R., Jr.; Mantell, L.L. The Positive Allosteric Modulation of alpha7-Nicotinic Cholinergic Receptors by GAT107 Increases Bacterial Lung Clearance in Hyperoxic Mice by Decreasing Oxidative Stress in Macrophages. Antioxidants 2021, 10, 135. https://doi.org/10.3390/antiox10010135
Gauthier AG, Wu J, Lin M, Sitapara R, Kulkarni A, Thakur GA, Schmidt EE, Perron JC, Ashby CR Jr., Mantell LL. The Positive Allosteric Modulation of alpha7-Nicotinic Cholinergic Receptors by GAT107 Increases Bacterial Lung Clearance in Hyperoxic Mice by Decreasing Oxidative Stress in Macrophages. Antioxidants. 2021; 10(1):135. https://doi.org/10.3390/antiox10010135
Chicago/Turabian StyleGauthier, Alex G., Jiaqi Wu, Mosi Lin, Ravikumar Sitapara, Abhijit Kulkarni, Ganesh A. Thakur, Edward E. Schmidt, Jeanette C. Perron, Charles R. Ashby, Jr., and Lin L. Mantell. 2021. "The Positive Allosteric Modulation of alpha7-Nicotinic Cholinergic Receptors by GAT107 Increases Bacterial Lung Clearance in Hyperoxic Mice by Decreasing Oxidative Stress in Macrophages" Antioxidants 10, no. 1: 135. https://doi.org/10.3390/antiox10010135
APA StyleGauthier, A. G., Wu, J., Lin, M., Sitapara, R., Kulkarni, A., Thakur, G. A., Schmidt, E. E., Perron, J. C., Ashby, C. R., Jr., & Mantell, L. L. (2021). The Positive Allosteric Modulation of alpha7-Nicotinic Cholinergic Receptors by GAT107 Increases Bacterial Lung Clearance in Hyperoxic Mice by Decreasing Oxidative Stress in Macrophages. Antioxidants, 10(1), 135. https://doi.org/10.3390/antiox10010135

