Brain Evaluation by Dual PET/CT with [18F] FDOPA and [18F] FDG in Differential Diagnosis of Parkinsonian Syndromes
Abstract
1. Introduction
2. Materials and Methods
2.1. General Description
2.2. Imaging Protocol
2.3. Imaging Analysis
2.4. Statistical Analysis
3. Results
3.1. General Characterization of the Studied Population
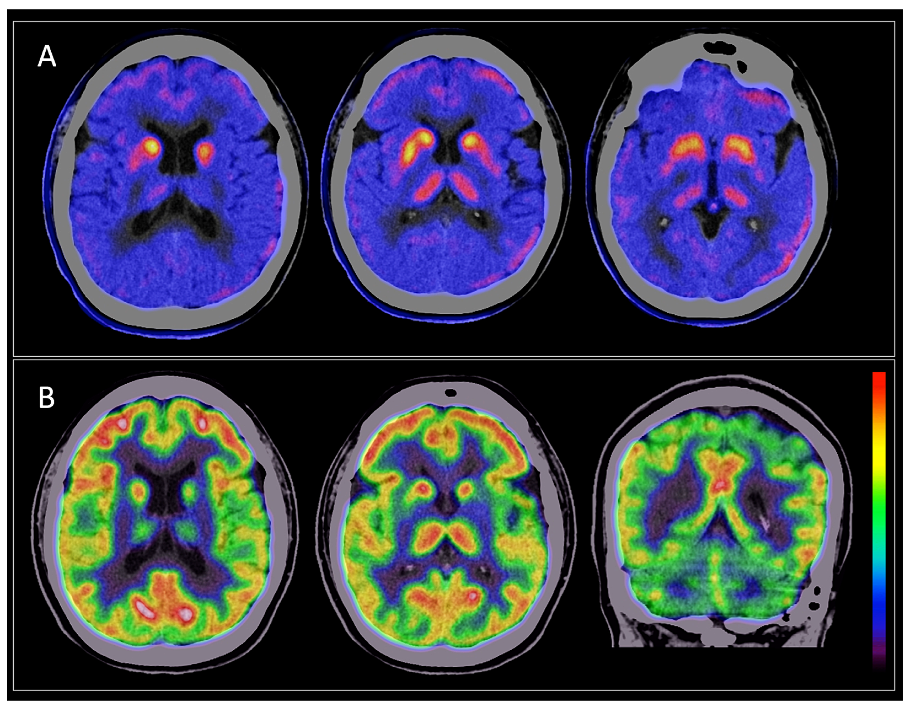
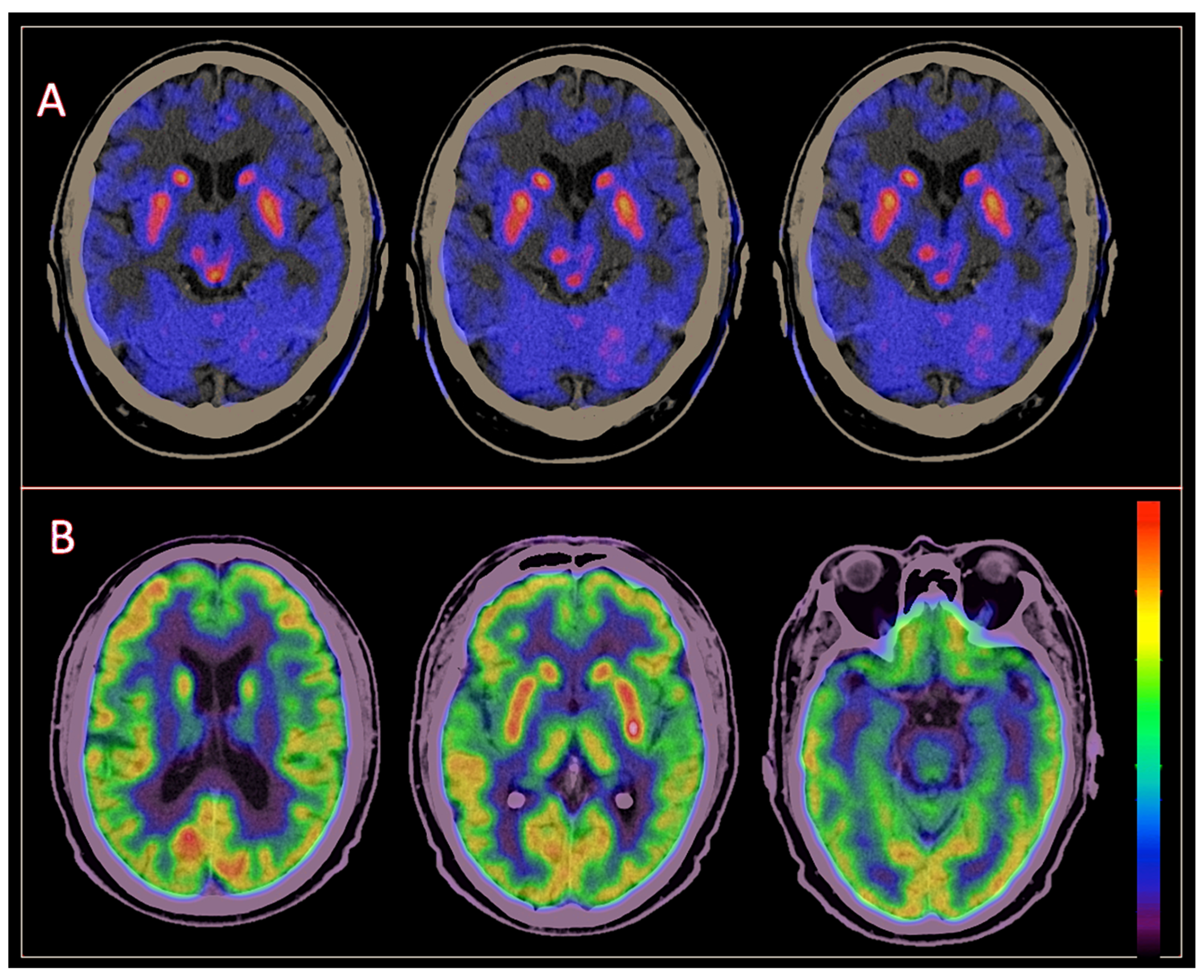
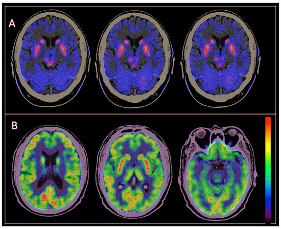
3.2. Brain [18F]DOPA PET/CT Findings
3.3. Brain [18F] FDG PET/CT Findings
3.4. Dual FDOPA–FDG PET/CT Diagnosis
3.5. Agreement Analysis between Initial Clinical Diagnosis and Dual PET/CT Diagnosis
4. Discussion
5. Conclusions

6. Patents
Author Contributions
Funding
Institutional Review Board Statement
Informed Consent Statement
Data Availability Statement
Acknowledgments
Conflicts of Interest
Abbreviations
| PD | Parkinson’s disease |
| PSP | Progressive Supranuclear Palsy |
| MSA | Multiple System Atrophy |
| CBD | Corticobasal Degeneration |
| DLB | Dementia with Lewy Bodies |
| PET | Positron Emission Tomography |
| PET/CT | Positron Emission Tomography/Computed Tomography |
| FDG | Fluorodeoxyglucose |
| FDOPA | Dihydroxyphenylalnine |
References
- Levin, J.; Kurz, A.; Arzberger, T.; Giese, A.; Höglinger, G. The Differential Diagnosis and Treatment of Atypical Parkinsonism. Dtsch. Arztebl. Int. 2016, 113, 61–69. [Google Scholar] [CrossRef] [PubMed]
- Erkkinen, M.G.; Kim, M.O.; Geschwind, M.D. Clinical Neurology and Epidemiology of the Major Neurodegenerative Diseases. Cold Spring Harb. Perspect. Biol. 2018, 10, a033118. [Google Scholar] [CrossRef]
- Geut, H.; Hepp, D.H.; Foncke, E.; Berendse, H.W.; Rozemuller, J.M.; Huitinga Van de Berg, W.D. Neuropathological correlates of parkinsonian disorders in a large Dutch autopsy series. Acta Neuropathol. Commun. 2020, 8, 39. [Google Scholar] [CrossRef] [PubMed]
- Nicastro, N.; Garibotto, V.; Burkhard, P.R. The role of molecular imaging in assessing degenerative parkinsonism—An updated review. Swiss Med. Wkly. 2018, 148, w14621. [Google Scholar] [CrossRef] [PubMed]
- Kanthan, M.; Cumming, P.; Hooker, J.M.; Vasdev, N. Classics in Neuroimaging: Imaging the Dopaminergic Pathway with PET. ACS Chem. Neurosci. 2017, 8, 1817–1819. [Google Scholar] [CrossRef]
- Wallert, E.D.; Van de Giessen, E.; Knol, R.J.J.; Beudel, M.; de Bie, R.M.A.; Booij, J. Imaging Dopaminergic Neurotransmission in Neurodegenerative Disorders. J. Nucl. Med. 2022, 63 (Suppl. S1), 27S–32S. [Google Scholar] [CrossRef]
- Saeed, U.; Lang, A.E.; Masellis, M. Neuroimaging Advances in Parkinson’s Disease and Atypical Parkinsonian Syndromes. Front. Neurol. 2020, 11, 572976. [Google Scholar] [CrossRef]
- Prange, S.; Theis, H.; Banwinkler, M.; van Eimeren, T. Molecular Imaging in Parkinsonian Disorders-What’s New and Hot? Brain Sci. 2022, 12, 1146. [Google Scholar] [CrossRef]
- Emsen, B.; Villafane, G.; David, J.P.; Evangelista, E.; Chalaye, J.; Lerman, L.; Authier, F.-J.; Gracies, J.-M.; Itti, E. Clinical impact of dual-tracer FDOPA and FDG PET/CT for the evaluation of patients with parkinsonian syndromes. Medicine 2020, 99, e23060. [Google Scholar] [CrossRef]
- Xian, W.B.; Shi, X.C.; Luo, G.H.; Yi, C.; Zhang, X.S.; Pei, Z. Co-registration Analysis of Fluorodopa and Fluorodeoxyglucose Positron Emission Tomography for Differentiating Multiple System Atrophy Parkinsonism Type from Parkinson’s Disease. Front. Aging Neurosci. 2021, 13, 648531. [Google Scholar] [CrossRef]
- Oh, M.; Lee, N.; Kim, C.; Son, H.J.; Sung, C.; Oh, S.J.; Lee, S.J.; Chung, S.J.; Lee, C.S.; Kim, J.S. Diagnostic accuracy of dual-phase 18F-FP-CIT PET imaging for detection and differential diagnosis of Parkinsonism. Sci. Rep. 2021, 11, 14992. [Google Scholar] [CrossRef] [PubMed]
- Mena, A.M.; Strafella, A.P. Imaging pathological tau in atypical parkinsonisms: A review. Clin. Park. Relat. Disord. 2022, 7, 100155. [Google Scholar] [CrossRef] [PubMed]
- Postuma, R.B.; Berg, D.; Stern, M.; Poewe, W.; Olanow, C.W.; Oertel, W.; Obeso, J.; Marek, K.; Litvan, I.; Lang, A.E.; et al. MDS clinical diagnostic criteria for Parkinson’s disease. Mov. Disord. 2015, 30, 1591–1601. [Google Scholar] [CrossRef] [PubMed]
- Höglinger, G.U.; Respondek, G.; Stamelou, M.; Kurz, C.; Josephs, K.A.; Lang, A.E.; Mollenhauer, B.; Müller, U.; Nilsson, C.; Whitwell, J.L.; et al. Clinical diagnosis of progressive supranuclear palsy: The movement disorder society criteria. Mov. Disord. 2017, 32, 853–864. [Google Scholar] [CrossRef]
- Wenning, G.K.; Stankovic, I.; Vignatelli, L.; Fanciulli, A.; Calandra-Buonaura, G.; Seppi, K.; Palma, J.-A.; Meissner, W.G.; Krismer, F.; Berg, D.; et al. The Movement Disorder Society Criteria for the Diagnosis of Multiple System Atrophy. Mov. Disord. 2022, 37, 1131–1148. [Google Scholar] [CrossRef]
- McKeith, I.G.; Boeve, B.F.; Dickson, D.W.; Halliday, G.; Taylor, J.P.; Weintraub, D.; Aarsland, D.; Galvin, J.; Attems, J.; Ballard, C.G.; et al. Diagnosis and management of dementia with Lewy bodies: Fourth consensus report of the DLB Consortium. Neurology 2017, 89, 88–100. [Google Scholar] [CrossRef]
- Armstrong, M.J.; Litvan, I.; Lang, A.E.; Bak, T.H.; Bhatia, K.P.; Borroni, B.; Boxer, A.L.; Dickson, D.W.; Grossman, M.; Hallett, M.; et al. Criteria for the diagnosis of corticobasal degeneration. Neurology 2013, 80, 496–503. [Google Scholar] [CrossRef]
- Benamer, H.T.S.; Patterson, J.; Wyper, D.J.; Hadley, D.M.; Macphee, G.J.A.; Grosset, D.G. Correlation of Parkinson’s disease severity and duration with 123I-FP-CIT SPECT striatal uptake. Mov. Disord. 2000, 15, 692–698. [Google Scholar] [CrossRef]
- Darcourt, J.; Schiazza, A.; Sapin, N.; Dufour, M.; Ouvrier, M.J.; Benisvy, D.; Fontana, X.; Koulibaly, P.M. 18F-FDOPA PET for the diagnosis of parkinsonian syndromes. Q. J. Nucl. Med. Mol. Imaging Off. Publ. Italian Assoc. Nucl. Med. Int. Assoc. Radiopharmacol. Sect. Soc. 2014, 58, 355–365. [Google Scholar]
- Stormezand, G.N.; Chaves, L.T.; García, D.V.; Doorduin, J.; De Jong, B.M.; Leenders, K.L.; Kremer, B.P.; Dierckx, R.A. Intrastriatal gradient analyses of 18F-FDOPA PET scans for differentiation of Parkinsonian disorders. NeuroImage Clin. 2020, 25, 102161. [Google Scholar] [CrossRef]
- Meyer, P.T.; Frings, L.; Rücker, G.; Hellwig, S. 18F-FDG PET in parkinsonism: Differential diagnosis and evaluation of cognitive impairment. J. Nucl. Med. 2017, 58, 1888–1898. [Google Scholar] [CrossRef] [PubMed]
- Seiffert, A.P.; Gómez-Grande, A.; Alonso-Gómez, L.; Méndez-Guerrero, A.; Villarejo-Galende, A.; Gómez, E.J.; Sánchez-González, P. Differences in Striatal Metabolism in [18F] FDG PET in Parkinson’s Disease and Atypical Parkinsonism. Diagnostics 2022, 13, 6. [Google Scholar] [CrossRef] [PubMed]
- Nurmi, E.; Ruottinen, H.M.; Bergman, J.; Haaparanta, M.; Solin, O.; Sonninen, P.; Rinne, J.O. Rate of progression in Parkinson’s disease: A 6-[18F]fluoro-L-dopa PET study. Mov Disord. 2001, 16, 608–615. [Google Scholar] [CrossRef] [PubMed]
- Broussolle, E.; Dentresangle, C.; Landais, P.; Garcia-Larrea, L.; Pollak, P.; Croisile, B. The relation of putamen and caudate nucleus 18F-Dopa uptake to motor and cognitive performances in Parkinson’s disease. J. Neurol. Sci. 1999, 166, 141–151. [Google Scholar] [CrossRef] [PubMed]
- Erro, R.; Schneider, S.A.; Stamelou, M.; Quinn, N.P.; Bhatia, K.P. What do patients with scans without evidence of dopaminergic deficit (SWEDD) have? New evidence and continuing controversies. J. Neurol. Neurosurg. Psychiatry 2016, 87, 319–323. [Google Scholar] [CrossRef]
- Thomas, A.J.; Attems, J.; Colloby, S.J.; O’Brien, J.T.; McKeith, I.; Walker, R.; Lee, L.; Burn, D.; Lett, D.J.; Walker, Z. Autopsy validation of 123I-FP-CIT dopaminergic neuroimaging for the diagnosis of DLB. Neurology 2017, 88, 276–283. [Google Scholar] [CrossRef]
- Nocker, M.; Seppi, K.; Donnemiller, E.; Virgolini, I.; Wenning, G.K.; Poewe, W.; Scherfler, C. Progression of dopamine transporter decline in patients with the Parkinson variant of multiple system atrophy: A voxel-based analysis of [123I] β-CIT SPECT. Eur. J. Nucl. Med. Mol. Imaging 2012, 39, 1012–1020. [Google Scholar] [CrossRef]
- Ling, H.; Kovacs, G.G.; Vonsattel, J.P.; Davey, K.; Mok, K.Y.; Hardy, J.; Morris, H.R.; Warner, T.T.; Holton, J.L.; Revesz, T. Astrogliopathy predominates the earliest stage of corticobasal degeneration pathology. Brain 2016, 139 Pt 12, 3237–3252. [Google Scholar] [CrossRef]
- Srulijes, K.; Reimold, M.; Liscic, R.M.; Bauer, S.; Dietzel, E.; Liepelt-Scarfone, I.; Berg, D.; Maetzler, W. Fluorodeoxyglucose positron emission tomography in Richardson’s syndrome and progressive supranuclear palsy-parkinsonism. Mov. Disord. 2012, 27, 151–155. [Google Scholar] [CrossRef]
- Mudali, D.; Teune, L.K.; Renken, R.J.; Leenders, K.L.; Roerdink, J.B. Classification of Parkinsonian syndromes from FDG-PET brain data using decision trees with SSM/PCA features. Comput. Math. Methods Med. 2015, 2015, 136921. [Google Scholar] [CrossRef]
- Garraux, G.; Phillips, C.; Schrouff, J.; Kreisler, A.; Lemaire, C.; Degueldre, C.; Delcour, C.; Hustinx, R.; Luxen, A.; Destée, A.; et al. Multiclass classification of FDG PET scans for the distinction between Parkinson’s disease and atypical parkinsonian syndromes. Neuroimage Clin. 2013, 2, 883–893. [Google Scholar] [CrossRef] [PubMed]






| Age (Years) a | 64 (55–72.2) |
| Gender | n (%) |
| Female | 68 (45.3) |
| Male | 82 (54.7) |
| Initial clinical diagnosis | n (%) |
| PD | 123 (82) |
| Atypical | 27 (18) |
| PSP | 11 (7.4) |
| DLB | 7 (4.7) |
| MSA-C | 2 (1.3) |
| MSA-P | 4 (2.7) |
| CBD | 3 (2.0) |
| Dual PET/CT | |||||||
|---|---|---|---|---|---|---|---|
| Initial Clinical Diagnosis | PD | DLB | PSP | MSA-C | MSA-P | CBD | Total |
| PD | 95 (94.1) | 4 (40) | 7 (46.7) | 6 (75) | 7 (70) | 4 (66.7) | 123 |
| DLB | 0 | 6 (60) | 1 (6.7) | 0 | 0 | 0 | 7 |
| PSP | 3 (3) | 0 | 7 (46.7) | 0 | 1 (10) | 0 | 11 |
| MSA-C | 0 | 0 | 0 | 2 (25) | 0 | 0 | 2 |
| MSA-P | 2 (2) | 0 | 0 | 0 | 2 (20) | 0 | 4 |
| CBD | 1 (1) | 0 | 0 | 0 | 0 | 2 (33.3) | 4 |
| Total | 101 | 10 | 15 | 8 | 10 | 6 | 150 |
| Initial Clinical Diagnosis | Dual PET/CT Diagnosis | Follow-up Clinical Diagnosis (n = 43) | Changes in Follow-up Diagnosis Based on PET/CT Findings (n = 15) |
|---|---|---|---|
| PD (n = 40) | PD | 29 | - |
| DLB | 2 | 2 | |
| PSP | - | 2 | |
| MSA-C | - | 2 | |
| MSA-P | - | 2 | |
| CBD | - | 1 | |
| DLB (n = 6) | DLB | 4 | - |
| PSP | - | 2 | |
| PSP (n = 5) | PSP | 3 | - |
| PD | - | 1 | |
| MSA-P | - | 1 | |
| MSA-C (n = 2) | MSA-C | 2 | - |
| MSA-P (n = 4) | MSA-P | 2 | - |
| PD | - | 2 | |
| CBD (n = 1) | CBD | 1 | - |
Disclaimer/Publisher’s Note: The statements, opinions and data contained in all publications are solely those of the individual author(s) and contributor(s) and not of MDPI and/or the editor(s). MDPI and/or the editor(s) disclaim responsibility for any injury to people or property resulting from any ideas, methods, instructions or products referred to in the content. |
© 2024 by the authors. Licensee MDPI, Basel, Switzerland. This article is an open access article distributed under the terms and conditions of the Creative Commons Attribution (CC BY) license (https://creativecommons.org/licenses/by/4.0/).
Share and Cite
Sinisterra Solís, F.A.; Romero Castellanos, F.R.; Cortés Mancera, E.A.; Calderón Ávila, A.L.; González Rueda, S.D.; Rosales García, J.S.; Kerik Rotenberg, N.E.; Tristán Samaniego, D.P.; Bonilla Navarrete, A.M. Brain Evaluation by Dual PET/CT with [18F] FDOPA and [18F] FDG in Differential Diagnosis of Parkinsonian Syndromes. Brain Sci. 2024, 14, 930. https://doi.org/10.3390/brainsci14090930
Sinisterra Solís FA, Romero Castellanos FR, Cortés Mancera EA, Calderón Ávila AL, González Rueda SD, Rosales García JS, Kerik Rotenberg NE, Tristán Samaniego DP, Bonilla Navarrete AM. Brain Evaluation by Dual PET/CT with [18F] FDOPA and [18F] FDG in Differential Diagnosis of Parkinsonian Syndromes. Brain Sciences. 2024; 14(9):930. https://doi.org/10.3390/brainsci14090930
Chicago/Turabian StyleSinisterra Solís, Fabio Andrés, Francisco Rubén Romero Castellanos, Emilly Alejandra Cortés Mancera, Ana L. Calderón Ávila, Sofía Denisse González Rueda, Juan Salvador Rosales García, Nora Estela Kerik Rotenberg, Dioselina Panamá Tristán Samaniego, and Andrés Mauricio Bonilla Navarrete. 2024. "Brain Evaluation by Dual PET/CT with [18F] FDOPA and [18F] FDG in Differential Diagnosis of Parkinsonian Syndromes" Brain Sciences 14, no. 9: 930. https://doi.org/10.3390/brainsci14090930
APA StyleSinisterra Solís, F. A., Romero Castellanos, F. R., Cortés Mancera, E. A., Calderón Ávila, A. L., González Rueda, S. D., Rosales García, J. S., Kerik Rotenberg, N. E., Tristán Samaniego, D. P., & Bonilla Navarrete, A. M. (2024). Brain Evaluation by Dual PET/CT with [18F] FDOPA and [18F] FDG in Differential Diagnosis of Parkinsonian Syndromes. Brain Sciences, 14(9), 930. https://doi.org/10.3390/brainsci14090930

