Surgical Morbidity in Relation to the Surgical Approach for Olfactory Groove Meningiomas—A Pooled Analysis of 1016 Patients and Proposal of a New Reporting System
Abstract
1. Introduction
2. Methods
2.1. Data Sources
2.2. Eligibility Criteria
2.3. Data Extraction
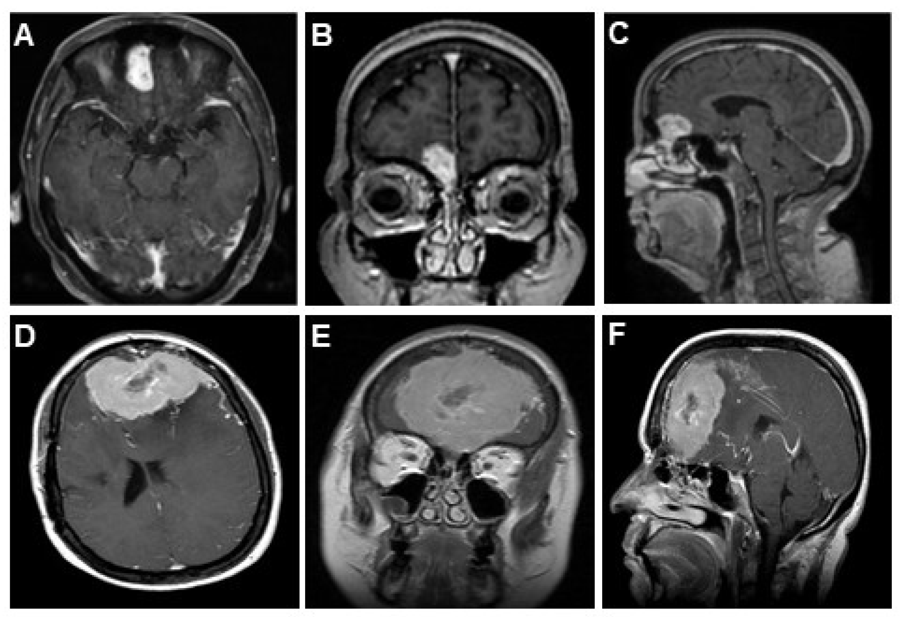
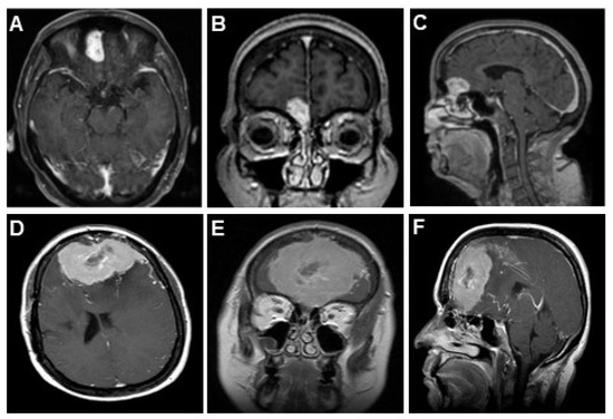
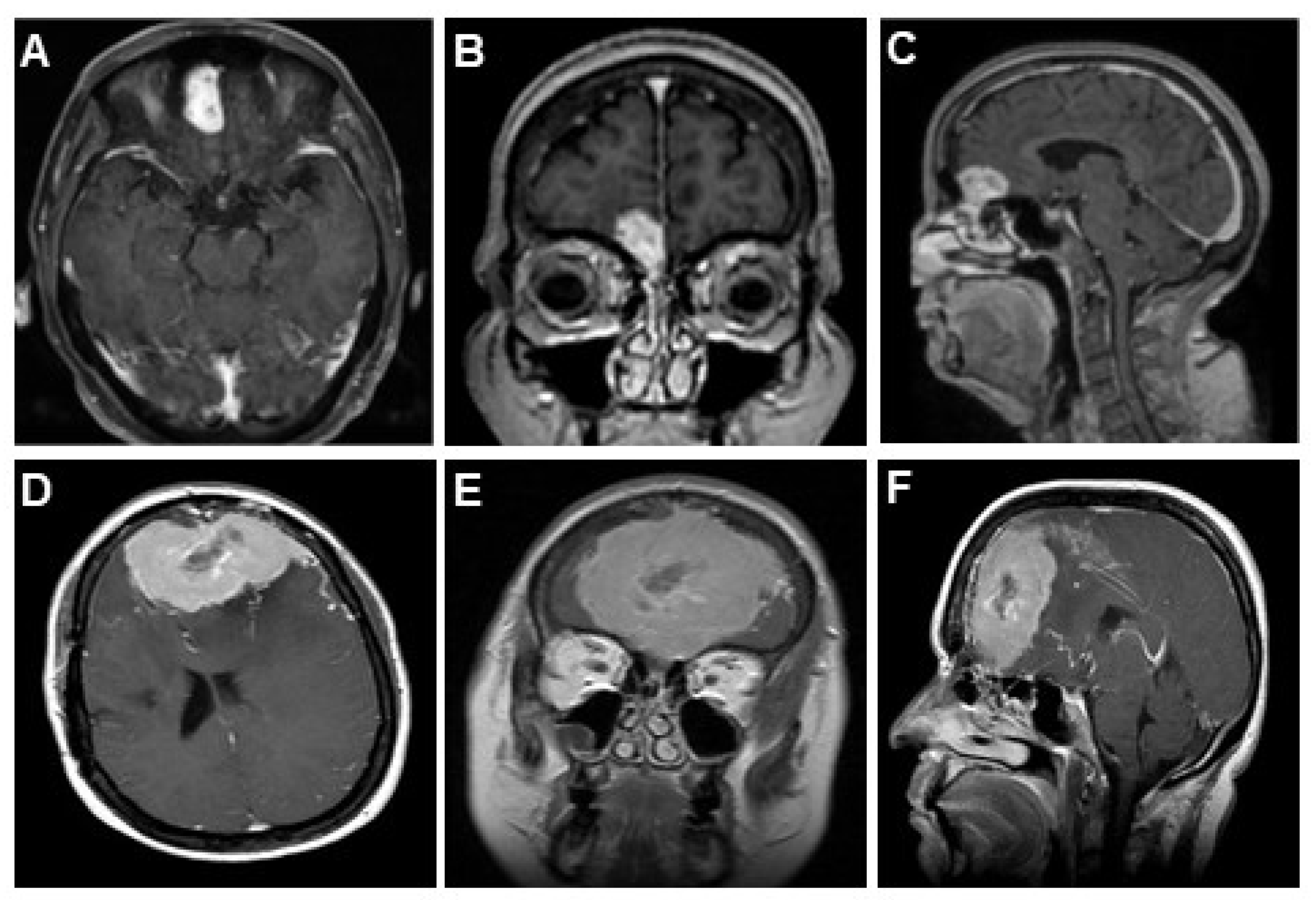
3. Results
3.1. Presenting Symptoms
3.2. Approaches Reported
3.3. Extent of Resection
- Interhemispheric (18/18 cases, 100%) [16]
3.4. Complications
- Major/life-threatening postsurgical hemorrhage occurred in 32/1016 patients in our cohort (3.1%). A debilitating ischemic infarct occurred in nine patients (0.88%), and malignant cerebral edema occurred in ten patients (1%). Mortality attributed to direct neurological causes was identified in 12 patients (1.18%). Overall mortality, including deaths from non-neurological causes in the peri-operative period, was reported for 22 patients (2.2%).
- Minor complications reported in the full pooled cohort included: 60 cases of CSF leaks (5.9%); 29 cases of infection, meningitis and/or osteomyelitis (2.85%); 49 cases of post-operative seizures (4.8%); and 23 cases of hydrocephalus (2.26%) requiring temporary external ventricular drainage or permanent CSF diversion. Non-life-threatening cerebral edema/brain contusion occurred in 30 cases (2.95%). Post-operative cranial nerve deficits, such as transient palsies and visual deficits, developed in 15 patients (1.47%).
- We excluded anosmia in this listing due to inconsistencies in reporting.
- Pterional approaches: Eleven of 13 studies (308 patients total) reported distinct complications, for a total of 298 patients (96.8%) [15,17,18,19,24,26,27,30,32,34,36,37,38]. Of these, minor complications were noted in 25 patients (8.3%), including anterior pituitary insufficiency (one case), infection (four cases), seizures (six cases), hydrocephalus (five cases), CSF leak (two cases), and brain contusion (two cases). Major complications occurred in five patients (1.6%), including: ischemic infarct (two cases) and hemorrhage (three cases). No mortality was noted using the pterional approach.
- Frontal approaches: Seventeen studies utilized a bifrontal (456 cases, 44.88%) or unilateral-frontal (66 cases, 6.49%) approach [1,20,21,22,24,25,26,27,28,31,32,33,35,36,37,38,39]. In the bifrontal group, four studies (74 cases) used a subcranial approach: Spektor (12 subcranial) [23], Pallini (22 orbitofrontobasal) [36], Pepper (19 subcranial) [31], and Barzaghi (21 trans-frontal sinus subcranial) [39]. Thirteen studies reported detailed complications with either bifrontal or non-descript “unifrontal” approaches in 410 patients. Of these, 101 patients had minor complications (24.6%), including cranial nerve palsies or deficits (ten cases), infection (17 cases), seizures (14 cases), hydrocephalus (nine cases), CSF leak (26 cases), cerebral edema (22 cases), and pneumocephalus (three cases). Major complications occurred in 29 patients (7%), including: ischemic infarct (four cases), hemorrhage (21 cases), and malignant cerebral edema (four cases). Ten mortalities (2.3%) from direct neurological causes were noted with this set of approaches. A separate analysis was done for the anterior interhemispheric approach, since only one substantial study, containing 18 patients, has been published using this approach at the time of the manuscript preparation [16]. One minor complication (infection), and one major complication (ischemic infarct of the medulla leading to coma and death four months later) occurred in this series (5.5%).
- Supraorbital or frontolateral approaches: Seven studies described the use of a frontolateral/supraorbital approach in a total of 168 patients (16.5%) [9,24,26,28,29,36,38]. Four studies exclusively reported their complications with this approach in 128 patients (76.2%). Minor complications occurred in 35 patients (27%), including subdural hygroma (six cases), hydrocephalus (four cases), cerebral edema (one case), seizures (four cases), CSF leak (11 cases), visual deficits (five cases), and infections (four cases). Major complications occurred in four patients (3.1%), including hemorrhage (three cases) and one case of ischemic infarct secondary to anterior cerebral artery (ACA) injury resulting in death (0.78%).
- Fronto-orbito-basal approach: 22 craniotomies out of 113 in one series were performed using this approach [36]. Minor complications were noted in ten (45.4%) patients (CSF Leak (4), wound infection (1), seizures (1), cerebral edema (4), hydrocephalus (1), and one major complication (hemorrhage)). No mortality occurred.
4. Discussion
4.1. Presenting Symptoms and Preoperative Radiographic Appearance
4.2. Resection Strategy
4.3. Intraoperative Brain Relaxation Strategies
4.4. Unilateral Approaches
4.4.1. Pterional Approach
4.4.2. Supraorbital/Frontolateral
4.5. Anterior Approaches
4.5.1. Bifrontal Surgeries
4.5.2. Extended Subcranial Approaches
4.5.3. Interhemispheric Approaches
4.6. Transnasal Approaches
4.7. Postoperative Complications in Relation to the Chosen Approach
5. Recurrence
5.1. Influence of World Health Organization Grading on Recurrence Rate
5.2. Limitations of This Study: Heterogeneity in Reporting of Tumor Size, Radiographic Characteristics, Details of Approaches, and Outcomes
5.3. Recommendation for Future Reporting and Proposal of New Classification System
6. Conclusions
Author Contributions
Funding
Institutional Review Board Statement
Informed Consent Statement
Data Availability Statement
Conflicts of Interest
References
- Tsikoudas, A.; Martin-Hirsch, D.P. Olfactory groove meningiomas. Clin. Otolaryngol. Allied Sci. 1999, 24, 507–509. [Google Scholar] [CrossRef]
- El Gindi, S. Olfactory groove meningioma: Surgical techniques and pitfalls. Surg. Neurol. 2000, 54, 415–417. [Google Scholar] [CrossRef] [PubMed]
- Tomasello, F.; Germanò, A. Francesco Durante: The history of intracranial meningiomas and beyond. Neurosurgery 2006, 59, 389–396, discussion 389–396. [Google Scholar] [CrossRef]
- Dandy, W.E. Ventriculography following the injection of air into the cerebral ventricles. Ann. Surg. 1918, 68, 5–11. [Google Scholar] [CrossRef] [PubMed]
- Olivecrona, H.; Urban, H. Uber Meningeome der Siebbeinplatte. Brun’s Beitr Klin Chir 1935, 161, 224–253. [Google Scholar]
- Tonnis, W. Zur Operation der Meningeome der Siebbeinplatte. Zent. Neurochir. 1938, 1, 1–7. [Google Scholar]
- Cushing, H.; Eisenhardt, L. The Olfactory Groove Meningiomas with Primary Anosmia; Charles C Thomas: Springfield, IL, USA, 1938. [Google Scholar]
- Dandy, W.E. Hirnchirurgie; Johann Ambrosius Barth: Leipzig, Germany, 1938. [Google Scholar]
- Romani, R.; Lehecka, M.; Gaal, E.; Toninelli, S.; Celik, O.; Niemelä, M.; Porras, M.; Jääskeläinen, J.; Hernesniemi, J. Lateral supraorbital approach applied to olfactory groove meningiomas: Experience with 66 consecutive patients. Neurosurgery 2009, 65, 39–52, discussion 52–53. [Google Scholar] [CrossRef]
- Hassler, D.; Zentner, C. Pterional approach for surgical treatment of olfactory groove meningiomas. Neurosurgery 1989, 25, 942–947. [Google Scholar] [CrossRef] [PubMed]
- Ojemann, R.G. Meningiomas: Clinical features and surgical management. In Neurosurgery; Wilkins, R.H., Rengachary, S.S., Eds.; McGraw-Hill: New York, NY, USA, 1985. [Google Scholar]
- Seeger, W. Microsurgery of the Cranial Base; Springer: New York, NY, USA, 1983. [Google Scholar]
- Montes de Oca, J.C.R.; Goncalves Estella, J.M.; Nieto-Librero, A.B.; Galindo, P. Olfactory Groove Meningiomas: Comprehensive assessment between the different microsurgical transcranial approaches and the Endoscopic Endonasal Approaches, systematic review and meta-analysis on behalf of the EANS skull base section. Brain Spine 2022, 2, 101661. [Google Scholar] [CrossRef]
- Dedeciusova, M.; Svoboda, N.; Benes, V.; Astl, J.; Netuka, D. Olfaction in Olfactory Groove Meningiomas. J. Neurol. Surg. A Cent. Eur. Neurosurg. 2020, 81, 310–317. [Google Scholar] [CrossRef]
- Schaller, C.; Rohde, V.; Hassler, W. Microsurgical Removal of Olfactory Groove Meningiomas via the Pterional Approach. Skull Base Surg. 1994, 4, 189–192. [Google Scholar] [CrossRef]
- Mayfrank, L.; Gilsbach, J.M. Interhemispheric approach for microsurgical removal of olfactory groove meningiomas. Br. J. Neurosurg. 1996, 10, 541–545. [Google Scholar] [CrossRef]
- d’Avella, D.; Salpietro, F.M.; Alafaci, C.; Tomasello, F. Giant olfactory meningiomas: The pterional approach and its relevance for minimizing surgical morbidity. Skull Base Surg. 1999, 9, 23–31. [Google Scholar] [CrossRef] [PubMed]
- Paterniti, S.; Fiore, P.; Levita, A.; La Camera, A.; Cambria, S. Venous saving in olfactory meningioma surgery. Clin. Neurol. Neurosurg. 1999, 101, 235–237. [Google Scholar] [CrossRef]
- Turazzi, S.; Cristofori, L.; Gambin, R.; Bricolo, A. The pterional approach for the microsurgical removal of olfactory groove meningiomas. Neurosurgery 1999, 45, 821–825, discussion 825–826. [Google Scholar] [CrossRef] [PubMed]
- Welge-Luessen, A.; Temmel, A.; Quint, C.; Moll, B.; Wolf, S.; Hummel, T. Olfactory function in patients with olfactory groove meningioma. J. Neurol. Neurosurg. Psychiatry 2001, 70, 218–221. [Google Scholar] [CrossRef]
- Hentschel, S.J.; DeMonte, F. Olfactory groove meningiomas. Neurosurg. Focus 2003, 14, e4. [Google Scholar] [CrossRef] [PubMed]
- Obeid, F.; Al-Mefty, O. Recurrence of olfactory groove meningiomas. Neurosurgery 2003, 53, 534–542, discussion 542–543. [Google Scholar] [CrossRef]
- Spektor, S.; Valarezo, J.; Fliss, D.M.; Gil, Z.; Cohen, J.; Goldman, J.; Umansky, F. Olfactory groove meningiomas from neurosurgical and ear, nose, and throat perspectives: Approaches, techniques, and outcomes. Neurosurgery 2005, 57 (Suppl. S4), 268–280, discussion 268–280. [Google Scholar] [CrossRef]
- Bassiouni, H.; Asgari, S.; Stolke, D. Olfactory groove meningiomas: Functional outcome in a series treated microsurgically. Acta Neurochir. 2007, 149, 109–121, discussion 121. [Google Scholar] [CrossRef]
- Colli, B.O.; Carlotti, C.G., Jr.; Assirati, J.A., Jr.; Santos, M.B.; Neder, L.; Santos, A.C.; Batagini, N.C. Olfactory groove meningiomas: Surgical technique and follow-up review. Arq. Neuropsiquiatr. 2007, 65, 795–799. [Google Scholar] [CrossRef] [PubMed]
- Nakamura, M.; Struck, M.; Roser, F.; Vorkapic, P.; Samii, M. Olfactory groove meningiomas: Clinical outcome and recurrence rates after tumor removal through the frontolateral and bifrontal approach. Neurosurgery 2007, 60, 844–852, discussion 844. [Google Scholar] [CrossRef] [PubMed]
- Gazzeri, R.; Galarza, M.; Gazzeri, G. Giant olfactory groove meningioma: Ophthalmological and cognitive outcome after bifrontal microsurgical approach. Acta Neurochir. 2008, 150, 1117–1125, discussion 1126. [Google Scholar] [CrossRef] [PubMed]
- Aguiar, P.H.; Tahara, A.; Almeida, A.N.; Simm, R.; Silva, A.N.; Maldaun, M.V.; Panagopoulos, A.T.; Zicarelli, C.A.; Silva, P.G. Olfactory groove meningiomas: Approaches and complications. J. Clin. Neurosci. 2009, 16, 1168–1173. [Google Scholar] [CrossRef]
- El-Bahy, K. Validity of the frontolateral approach as a minimally invasive corridor for olfactory groove meningiomas. Acta Neurochir. 2009, 151, 1197–1205. [Google Scholar] [CrossRef]
- Tomasello, F.; Angileri, F.F.; Grasso, G.; Granata, F.; De Ponte, F.S.; Alafaci, C. Giant olfactory groove meningiomas: Extent of frontal lobes damage and long-term outcome after the pterional approach. World Neurosurg. 2011, 76, 311–317, discussion 255–258. [Google Scholar] [CrossRef]
- Pepper, J.P.; Hecht, S.L.; Gebarski, S.S.; Lin, E.M.; Sullivan, S.E.; Marentette, L.J. Olfactory groove meningioma: Discussion of clinical presentation and surgical outcomes following excision via the subcranial approach. Laryngoscope 2011, 121, 2282–2289. [Google Scholar] [CrossRef] [PubMed]
- Ciurea, A.V.; Iencean, S.M.; Tascu, A.; Brehar, F.M.; Rizea, R.E. The incidence of cerebrospinal fluid fistula in 61 cases of olfactory groove meningiomas. Rom. J. Rhinol. 2012, 2, 36–39. [Google Scholar]
- Jang, W.Y.; Jung, S.; Jung, T.Y.; Moon, K.S.; Kim, I.Y. Preservation of olfaction in surgery of olfactory groove meningiomas. Clin. Neurol. Neurosurg. 2013, 115, 1288–1292. [Google Scholar] [CrossRef]
- Bitter, A.D.; Stavrinou, L.C.; Ntoulias, G.; Petridis, A.K.; Dukagjin, M.; Scholz, M.; Hassler, W. The Role of the Pterional Approach in the Surgical Treatment of Olfactory Groove Meningiomas: A 20-year Experience. J. Neurol. Surg. B Skull Base 2013, 74, 97–102. [Google Scholar] [CrossRef]
- Ashish, K.; Prasad, G.; Das, K.K.; Mehrotra, A.; Srivastava, A.K.; Sahu, R.N.; Jaiswal, S.; Behari, S.; Jaiswal, A.K. Olfactory groove meningioma: An analysis based on 24 cases. Int. J. Adv. Res. 2015, 3, 126–133. [Google Scholar]
- Pallini, R.; Fernandez, E.; Lauretti, L.; Doglietto, F.; D’Alessandris, Q.G.; Montano, N.; Capo, G.; Meglio, M.; Maira, G. Olfactory Groove Meningioma: Report of 99 Cases Surgically Treated at the Catholic University School of Medicine, Rome. World Neurosurg. 2015, 83, 219–231.e3. [Google Scholar] [CrossRef] [PubMed]
- Güdük, M.; Yener, U.; Sun, H.İ.; Hacihanefioğlu, M.; Özduman, K.; Pamir, M.N. Pterional and Unifrontal Approach for the Microsurgical Resection of Olfactory Groove Meningiomas: Experience with a Series of 61 Consecutive Patients. Turk. Neurosurg. 2016. epub ahead of print. [Google Scholar] [CrossRef] [PubMed]
- Nanda, A.; Tanmoy, K. Maiti Shyamal C Bir Subhas K Konar Bharat Guthikonda. Olfactory Groove Meningiomas: Comparison of Extent of Frontal Lobe Changes After Lateral and Bifrontal Approaches. World Neurosurg. 2016, 94, 211–221. [Google Scholar] [CrossRef] [PubMed]
- Barzaghi, L.R.; Spina, A.; Gagliardi, F.; Boari, N.; Mortini, P. Transfrontal-Sinus-Subcranial Approach to Olfactory Groove Meningiomas: Surgical Results and Clinical and Functional Outcome in a Consecutive Series of 21 Patients. World Neurosurg. 2017, 101, 315–324. [Google Scholar] [CrossRef]
- Banu, M.A.; Mehta, A.; Ottenhausen, M.; Fraser, J.F.; Patel, K.S.; Szentirmai, O.; Anand, V.K.; Tsiouris, A.J.; Schwartz, T.H. Endoscope-assisted endonasal versus supraorbital keyhole resection of olfactory groove meningiomas: Comparison and combination of 2 minimally invasive approaches. J. Neurosurg. 2016, 124, 605–620. [Google Scholar] [CrossRef]
- Zygourakis, C.C.; Sughrue, M.E.; Benet, A.; Parsa, A.T.; Berger, M.S.; McDermott, M.W. Management of planum/olfactory meningiomas: Predicting symptoms and postoperative complications. World Neurosurg. 2014, 82, 1216–1223. [Google Scholar] [CrossRef]
- Constanthin, P.E. Neuropsychological Outcomes after Surgery for Olfactory Groove Meningiomas. Cancers 2021, 13, 2520. [Google Scholar] [CrossRef]
- Yaşargil, M.G.; Krayenbühl, N.; Roth, P.; Hsu, S.P.; Yaşargil, D.C. The selective amygdalohippocampectomy for intractable temporal limbic seizures. J. Neurosurg. 2010, 112, 168–185. [Google Scholar] [CrossRef]
- Reisch, R.; Perneczky, A.; Filippi, R. Surgical technique of the supraorbital key-hole craniotomy. Surg. Neurol. 2003, 59, 223–227. [Google Scholar] [CrossRef]
- Krause, F. Chirurgie des Gehirns und Rückenmarks nach Eigenen Erfahrungen; Urban und Schwarzenberg: Berlin, Germany, 1908. [Google Scholar]
- Ojemann, R.G. Olfactory groove meningiomas. In Meningiomas; Al-Mefty, O., Ed.; Raven Press: New York, NY, USA, 1991; pp. 383–393. [Google Scholar]
- Feiz-Erfan, I.; Spetzler, R.F.; Horn, E.M.; Porter, R.W.; Beals, S.P.; Lettieri, S.C.; Joganic, E.F.; DeMonte, F. Proposed Classification for the Transbasal Approach and Its Modifications. Skull Base 2008, 18, 29–47. [Google Scholar] [CrossRef] [PubMed]
- Boari, N.; Gagliardi, F.; Roberti, F.; Barzaghi, L.R.; Caputy, A.J.; Mortini, P. The trans-frontal-sinus subcranial approach for removal of large olfactory groove meningiomas: Surgical technique and comparison to other approaches. J. Neurol. Surg. A Cent. Eur. Neurosurg. 2013, 74, 152–161. [Google Scholar] [CrossRef]
- Mahadevan, A.; Floyd, S.; Wong, E.; Chen, C.; Kasper, E.M. Clinical outcome after hypofractionation stereotactic radiotherapy (HSRT) for benign skull base tumors. Comput. Aided Surg. 2011, 16, 112–120. [Google Scholar] [CrossRef] [PubMed]
- de Almeida, J.R.; Carvalho, F.; Vaz Guimaraes Filho, F.; Kiehl, T.R.; Koutourousiou, M.; Su, S.; Vescan, A.D.; Witterick, I.J.; Zadeh, G.; Wang, E.W.; et al. Comparison of endoscopic endonasal and bifrontal craniotomy approaches for olfactory groove meningiomas: A matched pair analysis of outcomes and frontal lobe changes on MRI. J. Clin. Neurosci. 2015, 22, 1733–1741. [Google Scholar] [CrossRef] [PubMed]
- Mukherjee, S.; Thakur, B.; Corns, R.; Connor, S.; Bhangoo, R.; Ashkan, K.; Gullan, R. Resection of olfactory groove meningioma—A review of complications and prognostic factors. Br. J. Neurosurg. 2015, 29, 685–692. [Google Scholar] [CrossRef]
- Tuna, H.; Bozkurt, M.; Ayten, M.; Erdogan, A.; Deda, H. Olfactory groove meningiomas. J. Clin. Neurosci. 2005, 12, 664–668. [Google Scholar] [CrossRef]
- Simpson, D. The recurrence of intracranial meningiomas after surgical treatment. J. Neurol. Neurosurg. Psychiatry 1957, 20, 22–39. [Google Scholar] [CrossRef]
- Oya, S.; Kawai, K.; Nakatomi, H.; Saito, N. Significance of Simpson grading system in modern meningioma surgery: Integration of the grade with MIB-1 labeling index as a key to predict the recurrence of WHO Grade I meningiomas. J. Neurosurg. 2012, 117, 121–128. [Google Scholar] [CrossRef]
- Sughrue, M.E.; Kane, A.J.; Shangari, G.; Rutkowski, M.J.; McDermott, M.W.; Berger, M.S.; Parsa, A.T. The relevance of Simpson Grade I and II resection in modern neurosurgical treatment of World Health Organization Grade I meningiomas. J. Neurosurg. 2010, 113, 1029–1035. [Google Scholar] [CrossRef]
- Feng, A.Y.; Wong, S.; Saluja, S.; Jin, M.C.; Thai, A.; Pendharkar, A.V.; Jo, A.L.; Reddy, P.; Efron, A.D. Resection of Olfactory Groove Meningiomas Through Unilateral vs. Bilateral Approaches: A Systematic Review and Meta-Analysis. Front. Oncol. 2020, 10, 560706. [Google Scholar] [CrossRef]



| Study | No. of Pts. | Tumor Size | Pterional | Unilateral Subfrontal | Bilateral Subfrontal | Supraorbital/ Frontolateral | Interhemispheric | EOR | |
|---|---|---|---|---|---|---|---|---|---|
| 1 | Schaller (1994) [15] | 28 | 3.5–6 cm | 28 | GTR: 27 STR: 1 | ||||
| 2 | Mayfrank (1996) [16] | 18 | 1.5–7 cm | 18 Unilateral Frontal Interhemispheric | GTR: 18 | ||||
| 3 | D’Avella (1999) [17] | 6 | 6.5–9 cm | 6 | GTR: 6 | ||||
| 4 | Paterniti (1999) [18] | 20 | 20 | GTR: 20 | |||||
| 5 | Tsikoudas (1999) [1] | 13 | 3–6 cm | 2 | 11 | GTR: 13 | |||
| 6 | Turazzi (1999) [19] | 37 | 4–6 cm | 37 | GTR: 37 | ||||
| 7 | Welge (2001) [20] | 12 | 2–5.5 cm | 8 | 4 | GTR: 12 | |||
| 8 | Hentschel (2003) [21] | 13 | 3.5–8 cm | 13 | GTR: 11 STR: 2 | ||||
| 9 | Obeid (2003) [22] | 15 9: DeNovo 6: Recurrent | 15 | GTR: 14 STR: 1 | |||||
| 10 | Spektor (2005) [23] | 81 | 18 | 9 | 47 (12/47 Subcranial) | 7 | |||
| 11 | Bassiouni (2007) [24] | 56 | 13 | 4 | 36 | 3 | GTR: 56 | ||
| 12 | Colli (2007) [25] | 17 | 17 | GTR: 17 | |||||
| 13 | Nakamura (2007) [26] | 82 | 1.4–10 cm | 2 | 46 STR 3 | 34 STR 3 | GTR: 76 STR: 6 | ||
| 14 | Gazzeri (2008) [27] | 36 | 5.6–8 cm | 1 | 35 | GTR: 31 STR: 5 | |||
| 15 | Aguiar (2009) [28] | 21 | 3.6–5.4 | 11 | 7 | 3 | GTR: 13 STR: 8 | ||
| 16 | El-Bahy (2009) [29] | 18 | <4 cm (7) >4 cm (11) | 18 | GTR: 14 STR: 4 | ||||
| 17 | Romani (2009) [9] | 66 | <3–>6 | 66 | GTR: 60 STR: 6 | ||||
| 18 | Tomasello (2011) [30] | 18 | 18 | GTR: 17 STR: 1 | |||||
| 19 | Pepper (2011) [31] | 19 | 2–7 | 19 (subcranial) | GTR:12 STR:7 | ||||
| 20 | Ciurea (2012) [32] | 61 | 2–>6 cm | 9 | 13 | 39 | GTR: 53 STR: 8 | ||
| 21 | Jang (2013) [33] | 40 | 19 | 21 | GTR: 37 STR: 3 | ||||
| 22 | Bitter (2013) [34] | 61 | 61 | GTR: 60 STR: 1 | |||||
| 23 | Ashish (2015) [35] | 24 | 3–6 cm | 5 | 19 | GTR: 15 STR: 9 | |||
| 24 | Pallini (2015) [36] | 113 | <3–>6 cm <3 (15) 3–6 (33) >6 (51) | 21 | 92 (22/92 orbitofrontobasal) | GTR: 95 STR: 18 | |||
| 25 | Guduk (2016) [37] | 63 | 1.5–9 cm <3 (11) 3–6 (30) >6 (20) | 38 | 25 | GTR: 59 STR: 4 | |||
| 26 | Nanda (2016) [38] | 57 | 25 | 16 | 16 | GTR: 52 STR: 5 | |||
| 27 | Barzaghi (2017) [39] | 21 | 2.5–7 cm | 21 Trans-frontal sinus subcranial approach | GTR: 21 | ||||
| 1016 | 308 (30.3%) | 66 (6.49%) | 456 (74 subcranial variation) (44.88%) | 168 (16.5%) | 18 (1.77%) | GTR: 929 (91.4%) STR: 87 (8.6%) |
| Study | Approach | Complications | Overall Mortality | Recurrence | ||
|---|---|---|---|---|---|---|
| Minor | Major/Life Threatening | Non-Neurological | ||||
| Schaller (1994) [15] | Pterional | Hemorrhage (1) | Pulmonary Embolism & Death (1) | 1/28 (3.6%) | ||
| Mayfrank (1996) [16] | Unilateral Frontal Interhemispheric | Bone flap infection (1) | Persistent Coma, Ischemic infarct of the medulla (1) | |||
| D’Avella (1999) [17] | Pterional | None | ||||
| Paterniti (1999) [18] | Pterional | Death from non-neurological issues (2) | 1/20 (5%) | |||
| Tsikoudas (1999) [1] | Bifrontal | Complete Anosmia (3) CSF Rhinorrhea (3) [Resolved spontaneously] Meningitis (1) Seizures (1) Blindness (1) | Pneumonia (1) MI (1) | 4/13 | ||
| Turazzi (1999) [19] | Pterional | Death from non-neurological issues (1) | 1/37 (2.7%) | |||
| Welge (2001) [20] | Bifrontal | Death from Malignant cerebral edema (1) | 1/12 (8.3%) | |||
| Hentschel (2003) [21] | Bifrontal | None | ||||
| Obeid [22] (2003) | Bifrontal | CSF Rhinorrhea (3) Worsening vision (1) CN Palsies (2) Seizure (1) Symptomatic Pneumocephalus (2) | ||||
| Spektor (2005) [23] | ||||||
| Bassiouni (2007) [24] | Bifrontal Unifrontal Pterional Supraorbital | CSF Rhinorrhea (3) Worsening vision (1) CN Palsy (1) Seizures (1) (1.8%) one seizure preoperative, treated with Phenhydan Anterior pituitary insufficiency (1) None | Ischemic cerebral infarct from ACA injury (2) Venous infarction (1) Death (1) [Hemorrhagic infarction] Hemorrhage (1) | Death (2) [Pneumonia, Pulmonary embolism] | 3/56 (5.4%) | 5/36 |
| Colli (2007) [25] | Bifrontal | Wound infection (4) Transient monoparesis (1) Seizures (2) Cerebral edema (1) | Death (1) [Hemorrhage] | Death (1) [Pneumonia] | 2/17 (11.8%) | |
| Nakamura (2007) [26] | Bifrontal Frontolateral Pterional | Brain edema (7) Hydrocephalus (4) Subdural Hygroma (1) Seizure (2) CSF Leak (1) Infection (2) Subdural hygroma (6) Hydrocephalus (2) Cerebral Edema (1) Seizure (4) CSF Leak (2) Infection (1) | Hemorrhage (5) Deaths (3) [Malignant Cerebral Edema & Hemorrhage) Hemorrhage (1) | Death (1) [Pulmonary embolism] | 4/46 (8.7%) Bifrontal group only | 3/46 1/34 |
| Gazzeri (2008) [27] | Bifrontal Pterional | CSF Leak (2) Seizures (1) Visual field deficit (1) Delayed pneumocephalus (1) | Death (1) [Pulmonary embolism] | 1/36 (2.8%) | 2/36 | |
| Aguiar (2009) [28] | Bifrontal Frontolateral | Hydrocephalus (4) CSF leak (5) | Death (1) [Cerebral Edema] Hemorrhage (1) | 1/21 (4.8%) | 4/21 | |
| El-Bahy (2009) [29] | Frontolateral | CSF Leak (3) | Death (1) [ACA injury, ischemic infarct] Hemorrhage (1) | 1/18 (5.5%) | ||
| Romani (2009) [9] | Supraorbital | CSF Leak (6) Hydrocephalus (2) Visual deficit (5) Wound infections (4) | Hemorrhage (1) | 4/66 | ||
| Tomasello (2011) [30] | Pterional | None | 3/18 | |||
| Pepper (2011) [31] | Bifrontal | CSF leak (3) Meningitis (1) Cerebral edema (3) Tension pneumocephalus (1) | Hemorrhage (2) Ischemic Infarct (1) | 3/19 | ||
| Ciurea (2012) [32] | Bifrontal Unifrontal Pterional | Seizures (29) Transient motor deficits (6) CSF leak (8) | 7/61 | |||
| Jang (2013) [33] | Frontolateral Bifrontal | CSF leak (2) | Hemorrhage (2) | 3/40 | ||
| Bitter (2013) [34] | Pterional | Seizures (5) CSF leak (2) Hydrocephalus (1) SDH/Seroma (5) | Pneumonia (1) Death (1) [Pulmonary Embolism] | 1/61 (1.6%) | 3/61 | |
| Ashish (2015) [35] | Bifrontal Unifrontal | CSF rhinorrhea (4) CSF collection (6) Meningitis (2) | ||||
| Pallini (2015) [36] | Bifrontal Orbitobasalfrontal Pterional | Meningitis (1) Wound infection (2) Seizures (1) Cerebral Edema (12) Hydrocephalus (4) CSF Leak (4) Wound infection (1) Seizures (1) Cerebral Edema (4) Hydrocephalus (1) Wound infection (1) Seizures (1) Hydrocephalus (1) | Hemorrhage (9) Ischemic Infarct (1) Death (4) Hemorrhage (1) Hemorrhage (1) Ischemic Infarct (1) | 4/113 (3.5%) | ||
| Guduk (2016) [37] | Pterional Unifrontal | Brain contusion (2) CSF leak (1) Wound infection (1) Hydrocephalus (1) | Hemorrhage (2) | Ischemic Infarct (1) → Death | 1/63 (1.6%) | 2/63 |
| Nanda (2016) [38] | Pterional Frontolateral Bifrontal | Hydrocephalus (3) Wound infection (1) Meningitis (1) CSF leak (2) Meningitis (1) Wound infection (2) | 5/57 | |||
| Barzaghi (2017) [39] | TFSSA | Hemorrhage infarction (1) | 1/21 | |||
| 226 (22.2%) | 48 (4.7%) | 22 (2.2%) | 50 (4.9%) | |||
| Study | Almeida [50] | Banu [40] | Mukherjee [51] |
|---|---|---|---|
| Pts. | 20 | 19 | 33 |
| Open Approach | Bifrontal (10) | Pure EES (6) Supraorbital eyebrow—microscopic with endoscopic assistance (7) Combined EES with bicoronal or eyebrow microscopic approach (6) | Bifrontal 15 Unifrontal 12 |
| EES | 10 | 6 | |
| EOR | Bifrontal: GTR (9) STR (1) EES: GTR (7) STR (3) | Pure EES GTR (4) STR (2) Supraorbital with endoscopic assist GTR (7) Combined GTR (6) | GTR: 28 STR: 5 |
| Pre-op symptoms | Headaches (4) Olfactory (6) Improved (0/6) Cognitive (7) Seizures (2) Visual (4) Improved (4) | ||
| Post-operative symptoms | |||
| Recurrence | 2/20 (1 in each group) | 3 (2 in EES, 1 in combined) | 2/33 |
| Complications | Bifrontal: CSF Leak (1) Meningitis (1) EES CSF Leak (1) Meningitis (1) Abscess (1) | EES: CSF leak/pneumocephalus (1) Anosmia (6) Hemorrhage (2) Infection (2) Supraorbital Anosmia (4) Combined: Visual (1) Anosmia (6) Infection (1) | CSF Leak (7) [LD, 2 EES fix] Cerebral Edema (3) [Decompression] → Death in (1) Seizures (2) Wound Infection (2) Hydrocephalus (1) Hemorrhage (2) [Required Evacuation] |
Disclaimer/Publisher’s Note: The statements, opinions and data contained in all publications are solely those of the individual author(s) and contributor(s) and not of MDPI and/or the editor(s). MDPI and/or the editor(s) disclaim responsibility for any injury to people or property resulting from any ideas, methods, instructions or products referred to in the content. |
© 2023 by the authors. Licensee MDPI, Basel, Switzerland. This article is an open access article distributed under the terms and conditions of the Creative Commons Attribution (CC BY) license (https://creativecommons.org/licenses/by/4.0/).
Share and Cite
Kasper, E.M.; Mirza, F.A.; Kaya, S.; Walker, R.; Starnoni, D.; Daniel, R.T.; Nair, R.; Lam, F.C. Surgical Morbidity in Relation to the Surgical Approach for Olfactory Groove Meningiomas—A Pooled Analysis of 1016 Patients and Proposal of a New Reporting System. Brain Sci. 2023, 13, 896. https://doi.org/10.3390/brainsci13060896
Kasper EM, Mirza FA, Kaya S, Walker R, Starnoni D, Daniel RT, Nair R, Lam FC. Surgical Morbidity in Relation to the Surgical Approach for Olfactory Groove Meningiomas—A Pooled Analysis of 1016 Patients and Proposal of a New Reporting System. Brain Sciences. 2023; 13(6):896. https://doi.org/10.3390/brainsci13060896
Chicago/Turabian StyleKasper, Ekkehard M., Farhan A. Mirza, Serdar Kaya, Robert Walker, Daniele Starnoni, Roy T. Daniel, Ramesh Nair, and Fred C. Lam. 2023. "Surgical Morbidity in Relation to the Surgical Approach for Olfactory Groove Meningiomas—A Pooled Analysis of 1016 Patients and Proposal of a New Reporting System" Brain Sciences 13, no. 6: 896. https://doi.org/10.3390/brainsci13060896
APA StyleKasper, E. M., Mirza, F. A., Kaya, S., Walker, R., Starnoni, D., Daniel, R. T., Nair, R., & Lam, F. C. (2023). Surgical Morbidity in Relation to the Surgical Approach for Olfactory Groove Meningiomas—A Pooled Analysis of 1016 Patients and Proposal of a New Reporting System. Brain Sciences, 13(6), 896. https://doi.org/10.3390/brainsci13060896
