Analysis of Risk Factors for White Matter Hyperintensity in Older Adults without Stroke
Abstract
1. Introduction
2. Methods
2.1. Study Population
2.2. Data Collection and Evaluation
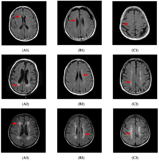
2.3. Acquisition and Analysis of MRI
2.4. Statistical Analysis
3. Results
3.1. Risk Factors of Prevalence of WMH
3.2. Risk Factors for the Severity of WMH
3.3. Risk Factors for the Severity of PWMH
3.4. Risk factors for the Severity of DWMH
4. Discussion
5. Strength and Limitations
6. Conclusions
Author Contributions
Funding
Institutional Review Board Statement
Informed Consent Statement
Data Availability Statement
Conflicts of Interest
References
- Chen, X.; Wang, J.; Shan, Y.; Cai, W.; Liu, S.; Hu, M.; Liao, S.; Huang, X.; Zhang, B.; Wang, Y.; et al. Cerebral small vessel disease: Neuroimaging markers and clinical implication. J. Neurol. 2019, 266, 2347–2362. [Google Scholar] [CrossRef] [PubMed]
- Shindo, A.; Ishikawa, H.; Ii, Y.; Niwa, A.; Tomimoto, H. Clinical Features and Experimental Models of Cerebral Small Vessel Disease. Front. Aging Neurosci. 2020, 12, 109. [Google Scholar] [CrossRef] [PubMed]
- Wang, M.L.; Zhang, X.X.; Yu, M.M.; Li, W.B.; Li, Y.H. Prevalence of White Matter Hyperintensity in Young Clinical Patients. AJR Am. J. Roentgenol. 2019, 213, 667–671. [Google Scholar] [CrossRef] [PubMed]
- de Leeuw, F.E.; de Groot, J.C.; Achten, E.; Oudkerk, M.; Ramos, L.M.; Heijboer, R.; Hofman, A.; Jolles, J.; van Gijn, J.; Breteler, M.M. Prevalence of cerebral white matter lesions in elderly people: A population based magnetic resonance imaging study. The Rotterdam Scan Study. J. Neurol. Neurosurg. Psychiatry 2001, 70, 9–14. [Google Scholar] [CrossRef]
- Graff-Radford, J.; Aakre, J.A.; Knopman, D.S.; Schwarz, C.G.; Flemming, K.D.; Rabinstein, A.A.; Gunter, J.L.; Ward, C.P.; Zuk, S.M.; Spychalla, A.J.; et al. Prevalence and Heterogeneity of Cerebrovascular Disease Imaging Lesions. Mayo Clin. Proc. 2020, 95, 1195–1205. [Google Scholar] [CrossRef]
- Rost, N.S.; Rahman, R.M.; Biffi, A.; Smith, E.E.; Kanakis, A.; Fitzpatrick, K.; Lima, F.; Worrall, B.B.; Meschia, J.F.; Brown, R.D., Jr.; et al. White matter hyperintensity volume is increased in small vessel stroke subtypes. Neurology 2010, 75, 1670–1677. [Google Scholar] [CrossRef]
- Markus, H.S.; de Leeuw, F.E. Cerebral small vessel disease: Recent advances and future directions. Int. J. Stroke 2023, 18, 4–14. [Google Scholar] [CrossRef]
- Kuller, L.H.; Longstreth, W.T., Jr.; Arnold, A.M.; Bernick, C.; Bryan, R.N.; Beauchamp, N.J., Jr. White matter hyperintensity on cranial magnetic resonance imaging: A predictor of stroke. Stroke 2004, 35, 1821–1825. [Google Scholar] [CrossRef]
- Ryu, W.S.; Woo, S.H.; Schellingerhout, D.; Jang, M.U.; Park, K.J.; Hong, K.S.; Jeong, S.W.; Na, J.Y.; Cho, K.H.; Kim, J.T.; et al. Stroke outcomes are worse with larger leukoaraiosis volumes. Brain 2017, 140, 158–170. [Google Scholar] [CrossRef]
- Hu, H.Y.; Ou, Y.N.; Shen, X.N.; Qu, Y.; Ma, Y.H.; Wang, Z.T.; Dong, Q.; Tan, L.; Yu, J.T. White matter hyperintensities and risks of cognitive impairment and dementia: A systematic review and meta-analysis of 36 prospective studies. Neurosci. Biobehav. Rev. 2021, 120, 16–27. [Google Scholar] [CrossRef]
- Hilal, S.; Biesbroek, J.M.; Vrooman, H.; Chong, E.; Kuijf, H.J.; Venketasubramanian, N.; Cheng, C.Y.; Wong, T.Y.; Biessels, G.J.; Chen, C. The Impact of Strategic White Matter Hyperintensity Lesion Location on Language. Am. J. Geriatr. Psychiatry 2021, 29, 156–165. [Google Scholar] [CrossRef] [PubMed]
- Carvalho de Abreu, D.C.; Pieruccini-Faria, F.; Sarquis-Adamson, Y.; Black, A.; Fraser, J.; Van Ooteghem, K.; Cornish, B.; Grimes, D.; Jog, M.; Masellis, M.; et al. White matter hyperintensity burden predicts cognitive but not motor decline in Parkinson’s disease: Results from the Ontario Neurodegenerative Diseases Research Initiative. Eur. J. Neurol. 2023, 30, 920–933. [Google Scholar] [CrossRef] [PubMed]
- Zhao, L.; Wong, A.; Luo, Y.; Liu, W.; Chu, W.W.C.; Abrigo, J.M.; Lee, R.K.L.; Mok, V.; Shi, L. The Additional Contribution of White Matter Hyperintensity Location to Post-stroke Cognitive Impairment: Insights from a Multiple-Lesion Symptom Mapping Study. Front. Neurosci. 2018, 12, 290. [Google Scholar] [CrossRef] [PubMed]
- Bonkhoff, A.K.; Hong, S.; Bretzner, M.; Schirmer, M.D.; Regenhardt, R.W.; Arsava, E.M.; Donahue, K.; Nardin, M.; Dalca, A.; Giese, A.K.; et al. Association of Stroke Lesion Pattern and White Matter Hyperintensity Burden with Stroke Severity and Outcome. Neurology 2022, 99, e1364–e1379. [Google Scholar] [CrossRef]
- Valdes Hernandez, M.D.C.; Grimsley-Moore, T.; Chappell, F.M.; Thrippleton, M.J.; Armitage, P.A.; Sakka, E.; Makin, S.; Wardlaw, J.M. Post-stroke Cognition at 1 and 3 Years Is Influenced by the Location of White Matter Hyperintensities in Patients With Lacunar Stroke. Front. Neurol. 2021, 12, 634460. [Google Scholar] [CrossRef]
- De Groot, J.C.; De Leeuw, F.E.; Oudkerk, M.; Van Gijn, J.; Hofman, A.; Jolles, J.; Breteler, M.M. Periventricular cerebral white matter lesions predict rate of cognitive decline. Ann. Neurol. 2002, 52, 335–341. [Google Scholar] [CrossRef]
- Cees De Groot, J.; De Leeuw, F.E.; Oudkerk, M.; Van Gijn, J.; Hofman, A.; Jolles, J.; Breteler, M.M. Cerebral white matter lesions and cognitive function: The Rotterdam Scan Study. Ann. Neurol. 2000, 47, 145–151. [Google Scholar] [CrossRef]
- Kim, S.; Choi, S.H.; Lee, Y.M.; Kim, M.J.; Kim, Y.D.; Kim, J.Y.; Park, J.H.; Myung, W.; Na, H.R.; Han, H.J.; et al. Periventricular white matter hyperintensities and the risk of dementia: A CREDOS study. Int. Psychogeriatr. 2015, 27, 2069–2077. [Google Scholar] [CrossRef]
- Liou, L.M.; Chen, C.F.; Guo, Y.C.; Cheng, H.L.; Lee, H.L.; Hsu, J.S.; Lin, R.T.; Lin, H.F. Cerebral white matter hyperintensities predict functional stroke outcome. Cerebrovasc. Dis. 2010, 29, 22–27. [Google Scholar] [CrossRef]
- Arba, F.; Leigh, R.; Inzitari, D.; Warach, S.J.; Luby, M.; Lees, K.R. Blood-brain barrier leakage increases with small vessel disease in acute ischemic stroke. Neurology 2017, 89, 2143–2150. [Google Scholar] [CrossRef]
- D’Agostino Sr, R.B.; Vasan, R.S.; Pencina, M.J.; Wolf, P.A.; Cobain, M.; Massaro, J.M.; Kannel, W.B. General cardiovascular risk profile for use in primary care: The Framingham Heart Study. Circulation 2008, 117, 743–753. [Google Scholar] [CrossRef] [PubMed]
- Unger, T.; Borghi, C.; Charchar, F.; Khan, N.A.; Poulter, N.R.; Prabhakaran, D.; Ramirez, A.; Schlaich, M.; Stergiou, G.S.; Tomaszewski, M.; et al. 2020 International Society of Hypertension Global Hypertension Practice Guidelines. Hypertension 2020, 75, 1334–1357. [Google Scholar] [CrossRef] [PubMed]
- American Diabetes, A. 2. Classification and Diagnosis of Diabetes: Standards of Medical Care in Diabetes-2018. Diabetes Care 2018, 41, S13–S27. [Google Scholar] [CrossRef] [PubMed]
- Cravedi, P.; Ruggenenti, P.; Remuzzi, G. Proteinuria should be used as a surrogate in CKD. Nat. Rev. Nephrol. 2012, 8, 301–306. [Google Scholar] [CrossRef] [PubMed]
- Han, F.; Zhai, F.F.; Wang, Q.; Zhou, L.X.; Ni, J.; Yao, M.; Li, M.L.; Zhang, S.Y.; Cui, L.Y.; Jin, Z.Y.; et al. Prevalence and Risk Factors of Cerebral Small Vessel Disease in a Chinese Population-Based Sample. J. Stroke 2018, 20, 239–246. [Google Scholar] [CrossRef]
- Lin, Q.; Huang, W.Q.; Ma, Q.L.; Lu, C.X.; Tong, S.J.; Ye, J.H.; Lin, H.N.; Gu, L.; Yi, K.H.; Cai, L.L.; et al. Incidence and risk factors of leukoaraiosis from 4683 hospitalized patients: A cross-sectional study. Medicine 2017, 96, e7682. [Google Scholar] [CrossRef]
- Jin, H.; Ding, Z.; Lian, S.; Zhao, Y.; He, S.; Zhou, L.; Zhuoga, C.; Wang, H.; Xu, J.; Du, A.; et al. Prevalence and Risk Factors of White Matter Lesions in Tibetan Patients without Acute Stroke. Stroke 2020, 51, 149–153. [Google Scholar] [CrossRef]
- Guan, J.; Yan, C.; Gao, Q.; Li, J.; Wang, L.; Hong, M.; Zheng, X.; Song, Z.; Li, M.; Liu, M.; et al. Analysis of risk factors in patients with leukoaraiosis. Medicine 2017, 96, e6153. [Google Scholar] [CrossRef]
- Rudilosso, S.; Mena, L.; Esteller, D.; Olivera, M.; Mengual, J.J.; Montull, C.; Castrillo, L.; Urra, X.; Gomez-Choco, M. Higher Cerebral Small Vessel Disease Burden in Patients with White Matter Recent Small Subcortical Infarcts. J. Stroke Cerebrovasc. Dis. 2021, 30, 105824. [Google Scholar] [CrossRef]
- Xiao, C.Y.; Ma, Y.H.; Ou, Y.N.; Zhao, B.; Hu, H.Y.; Wang, Z.T.; Tan, L. Association between Kidney Function and the Burden of Cerebral Small Vessel Disease: An Updated Meta-Analysis and Systematic Review. Cerebrovasc. Dis. 2023, 1–11. [Google Scholar] [CrossRef]
- Vemuri, P.; Davey, C.; Johansen, K.L.; Zuk, S.M.; Reid, R.I.; Thostenson, K.B.; Reddy, A.L.; Jack, C.R., Jr.; Knopman, D.S.; Murray, A.M. Chronic Kidney Disease Associated with Worsening White Matter Disease and Ventricular Enlargement. J. Alzheimers Dis. 2021, 83, 1729–1740. [Google Scholar] [CrossRef] [PubMed]
- King, K.S.; Peshock, R.M.; Rossetti, H.C.; McColl, R.W.; Ayers, C.R.; Hulsey, K.M.; Das, S.R. Effect of normal aging versus hypertension, abnormal body mass index, and diabetes mellitus on white matter hyperintensity volume. Stroke 2014, 45, 255–257. [Google Scholar] [CrossRef] [PubMed]
- Moura, A.R.; Lee, S.; Habeck, C.; Razlighi, Q.; Stern, Y. The relationship between white matter hyperintensities and cognitive reference abilities across the life span. Neurobiol. Aging 2019, 83, 31–41. [Google Scholar] [CrossRef] [PubMed]
- van Dijk, E.J.; Breteler, M.M.; Schmidt, R.; Berger, K.; Nilsson, L.G.; Oudkerk, M.; Pajak, A.; Sans, S.; de Ridder, M.; Dufouil, C.; et al. The association between blood pressure, hypertension, and cerebral white matter lesions: Cardiovascular determinants of dementia study. Hypertension 2004, 44, 625–630. [Google Scholar] [CrossRef] [PubMed]
- Guevarra, A.C.; Ng, S.C.; Saffari, S.E.; Wong, B.Y.X.; Chander, R.J.; Ng, K.P.; Kandiah, N. Age Moderates Associations of Hypertension, White Matter Hyperintensities, and Cognition. J. Alzheimers Dis. 2020, 75, 1351–1360. [Google Scholar] [CrossRef]
- Zhang, B.; Wang, Y.; Wang, B.; Chu, Y.H.; Jiang, Y.; Cui, M.; Wang, H.; Chen, X. MRI-Based Investigation of Association Between Cerebrovascular Structural Alteration and White Matter Hyperintensity Induced by High Blood Pressure. J. Magn. Reson. Imaging 2021, 54, 1516–1526. [Google Scholar] [CrossRef]
- Huang, C.J.; Zhou, X.; Yuan, X.; Zhang, W.; Li, M.X.; You, M.Z.; Zhu, X.Q.; Sun, Z.W. Contribution of Inflammation and Hypoperfusion to White Matter Hyperintensities-Related Cognitive Impairment. Front. Neurol. 2021, 12, 786840. [Google Scholar] [CrossRef]
- Kang, P.; Ying, C.; Chen, Y.; Ford, A.L.; An, H.; Lee, J.M. Oxygen Metabolic Stress and White Matter Injury in Patients with Cerebral Small Vessel Disease. Stroke 2022, 53, 1570–1579. [Google Scholar] [CrossRef]
- Khan, U.; Crossley, C.; Kalra, L.; Rudd, A.; Wolfe, C.D.; Collinson, P.; Markus, H.S. Homocysteine and its relationship to stroke subtypes in a UK black population: The south London ethnicity and stroke study. Stroke 2008, 39, 2943–2949. [Google Scholar] [CrossRef]
- Undas, A.; Brozek, J.; Szczeklik, A. Homocysteine and thrombosis: From basic science to clinical evidence. Thromb. Haemost. 2005, 94, 907–915. [Google Scholar] [CrossRef]
- Nam, K.W.; Kwon, H.M.; Jeong, H.Y.; Park, J.H.; Kwon, H.; Jeong, S.M. Serum homocysteine level is related to cerebral small vessel disease in a healthy population. Neurology 2019, 92, e317–e325. [Google Scholar] [CrossRef] [PubMed]
- Feng, L.; Isaac, V.; Sim, S.; Ng, T.P.; Krishnan, K.R.; Chee, M.W. Associations between elevated homocysteine, cognitive impairment, and reduced white matter volume in healthy old adults. Am. J. Geriatr. Psychiatry 2013, 21, 164–172. [Google Scholar] [CrossRef] [PubMed]
- Cao, L.; Guo, Y.; Zhu, Z. Effects of hyperhomocysteinemia on ischemic cerebral small vessel disease and analysis of inflammatory mechanisms. Int. J. Neurosci. 2021, 131, 362–369. [Google Scholar] [CrossRef] [PubMed]
- Strickland, A.L.; Rossetti, H.C.; Peshock, R.M.; Weiner, M.F.; Nakonezny, P.A.; McColl, R.W.; Hulsey, K.M.; Das, S.R.; King, K.S. Urinary albumin to creatinine ratio as potential biomarker for cerebral microvascular disease. Curr. Neurovasc. Res. 2014, 11, 242–247. [Google Scholar] [CrossRef] [PubMed]
- Weiner, D.E.; Bartolomei, K.; Scott, T.; Price, L.L.; Griffith, J.L.; Rosenberg, I.; Levey, A.S.; Folstein, M.F.; Sarnak, M.J. Albuminuria, cognitive functioning, and white matter hyperintensities in homebound elders. Am. J. Kidney Dis. 2009, 53, 438–447. [Google Scholar] [CrossRef]
- Yamasaki, K.; Hata, J.; Furuta, Y.; Hirabayashi, N.; Ohara, T.; Yoshida, D.; Hirakawa, Y.; Nakano, T.; Kitazono, T.; Ninomiya, T. Association of Albuminuria with White Matter Hyperintensities Volume on Brain Magnetic Resonance Imaging in Elderly Japanese—The Hisayama Study. Circ. J. 2020, 84, 935–942. [Google Scholar] [CrossRef]
- Kim, S.H.; Yun, J.M.; Jeong, S.M.; Kim, S.; Yoo, T.G.; Lee, J.E.; Lim, J.S.; Jeong, H.Y.; Nam, K.W.; Kwon, H.M.; et al. Kidney Dysfunction Impact on White Matter Hyperintensity Volume in Neurologically Healthy Adults. Sci. Rep. 2019, 9, 8596. [Google Scholar] [CrossRef]
- Toyoda, K. Cerebral small vessel disease and chronic kidney disease. J. Stroke 2015, 17, 31–37. [Google Scholar] [CrossRef]

| Characteristic | Total Participants (n = 655) |
|---|---|
| Age, y | 67 (62, 72) |
| Male, n (%) | 315 (48.1) |
| WMH, n (%) | 574 (87.6) |
| Hypertension, n (%) | 319 (48.7) |
| SBP, mmHg | 134.7 ± 18.8 |
| DBP, mmHg | 79.9 ± 10.9 |
| Diabetes, n (%) | 85 (13.0) |
| Fasting glucose, mmol/L | 5.48 ± 1.39 |
| Smoking history, n (%) | 136 (20.8) |
| hs-CRP, mg/L | 0.9 (0.5, 2.3) |
| Total cholesterol, mmol/L | 4.07 ± 0.98 |
| LDL, mmol/L | 2.50 ± 0.81 |
| HDL, mmol/L | 1.13 ± 0.29 |
| Triglycerides, mmol/L | 1.09 (0.82, 1.53) |
| Alkaline phosphatase, U/L | 68.0 ± 21.1 |
| Cystatin C, mg/L | 1.08 ± 0.27 |
| Homocysteine, μmol/L | 12.3 (9.9, 12.5) |
| Uric acid, μmol/L | 302.50 ± 86.83 |
| HsTnI, pg/mL | 3.7 (2.2, 7.6) |
| Proteinuria, n (%) | 87 (13.3) |
| FHS | 15.49 ± 4.50 |
| Characteristic | Control (n = 81) | WMH (n = 574) | p |
|---|---|---|---|
| Age, year | 64.0 (61.0, 68.5) | 67 (63, 72) | 0.001 |
| Male, n (%) | 36 (44.4) | 279 (48.6) | 0.483 |
| Hypertension, n (%) | 23 (28.4) | 296 (51.6) | <0.001 |
| SBP, mmHg | 132.95 ± 16.24 | 134.97 ± 19.12 | 0.365 |
| DBP, mmHg | 79.37 ± 10.63 | 79.99 ± 10.91 | 0.633 |
| Diabetes, n (%) | 7 (8.6) | 78 (13.6) | 0.215 |
| FBG, mmol/L | 5.52 ± 1.32 | 5.47 ± 1.40 | 0.748 |
| Smoking, n (%) | 16 (19.8) | 120 (20.9) | 0.811 |
| hs-CRP, mg/L | 0.90 (0.50, 2.55) | 0.90 (0.50, 2.20) | 0.957 |
| TC, mmol/L | 4.24 ± 0.93 | 4.05 ± 0.99 | 0.106 |
| LDL, mmol/L | 2.58 ± 0.84 | 2.49 ± 0.81 | 0.347 |
| HDL, mmol/L [11] | 1.15 ± 0.33 | 1.12 ± 0.29 | 0.512 |
| Triglycerides, mmol/L | 1.16 (0.89, 1.49) | 1.08 (0.80, 1.54) | 0.385 |
| Alkaline phosphatase, U/L | 67.91 ± 17.52 | 68.03 ± 21.60 | 0.961 |
| Cystatin C, mg/L | 1.02 ± 0.23 | 1.09 ± 0.27 | 0.039 |
| Homocysteine, μmol/L | 11.80 (9.20, 13.85) | 12.40 (9.90, 15.40) | 0.074 |
| Uric acid, μmol/L | 309.92 ± 94.16 | 301.41 ± 85.78 | 0.409 |
| HsTnI, pg/mL | 2.80 (1.90, 6.10) | 3.75 (2.20, 7.60) | 0.085 |
| Proteinuria, n (%) | 8 (9.9) | 79 (13.8) | 0.335 |
| FHS | 14.36 ± 4.15 | 15.65 ± 0.19 | 0.015 |
| Characteristic | Mild WMH (n = 338) | Moderate WMH (n = 177) | Severe WMH (n = 59) | p |
|---|---|---|---|---|
| Age, year | 65.0 (62.0, 70.0) | 69.0 (65.0, 73.5) | 72.0 (67.0, 80.0) | <0.001 |
| Male, n (%) | 160 (47.3) | 80 (45.2) | 39 (66.1) | 0.016 |
| Smoking, n (%) | 63 (17.8) | 37 (20.9) | 20 (33.9) | 0.029 |
| Hypertension, n (%) | 157 (46.4) | 100 (56.5) | 39 (64.4) | 0.006 |
| TC, mmol/L | 4.13 ± 1.01 | 3.85 ± 0.90 | 4.17 ± 1.05 | 0.005 |
| LDL, mmol/L | 2.54 ± 0.82 | 2.35 ± 0.77 | 2.57 ± 0.83 | 0.032 |
| Cystatin C, mg/L | 1.01 (0.88, 1.19) | 1.05 (0.92, 1.25) | 1.13 (0.96, 1.34) | 0.001 |
| HsTnI, pg/mL | 3.60 (2.10, 7.40) | 3.90 (2.30, 7.50) | 4.60 (3.10, 10.00) | 0.005 |
| Proteinuria, n (%) | 34 (10.1) | 33 (18.6) | 12 (20.3) | 0.008 |
| HCY, μmol/L | 11.95 (9.60, 14.80) | 12.80 (10.25, 15.65) | 15.20 (11.40, 20.20) | <0.001 |
| FHS | 14.98 ± 4.50 | 16.11 ± 4.32 | 18.14 ± 4.38 | <0.001 |
| Characteristic | Mild PWMH (n = 336) | Moderate PWMH (n = 168) | Severe PWMH (n = 35) | p |
|---|---|---|---|---|
| Age, year | 66.0 (62.0, 71.0) | 70 (65.0, 75.0) | 70.0 (65.0, 77.0) | <0.001 |
| Male, n (%) | 160 (47.6) | 74 (44.0) | 26 (74.3%) | 0.005 |
| Smoking, n (%) | 64 (19.0) | 37 (22.0) | 14 (40) | 0.015 |
| Hypertension, n (%) | 160 (47.6) | 105 (62.5) | 21 (60) | 0.005 |
| Cystatin C, mg/L | 1.01 (0.89, 1.17) | 1.05 (0.91, 1.28) | 1.14 (1.02, 1.33) | 0.002 |
| HCY, μmol/L | 12.00 (9.80, 14.80) | 13.10 (10.23, 16.75) | 14.80 (10.80, 18.90) | 0.005 |
| FHS | 15.07 ± 0.24 | 16.55 ± 0.38 | 17.91 ± 0.63 | <0.001 |
| Characteristic | Mild DWMH (n = 407) | Moderate DWMH (n = 110) | Severe DWMH (n = 50) | p |
|---|---|---|---|---|
| Age, year | 66.0 (62.0, 71.0) | 69.0 (65.0, 74.0) | 74.0 (67.0, 82.3) | <0.001 |
| Smoking, n (%) | 76 (18.7%) | 25 (22.7%) | 17 (34.0%) | 0.036 |
| Hypertension, n (%) | 197 (48.4%) | 63 (57.3%) | 34 (68.0%) | 0.015 |
| Cystatin C, mg/L | 1.02 (0.89, 1.20) | 1.05 (0.91, 1.29) | 1.15 (1.04, 1.35) | 0.001 |
| HCY, μmol/L | 12.30 (9.80, 14.90) | 12.50 (9.90, 15.85) | 15.20 (11.55, 20.05) | 0.002 |
| HsTnI, pg/mL | 3.50 (2.10, 7.40) | 4.50 (2.50, 8.55) | 4.80 (3.33, 9.48) | 0.001 |
| Proteinuria, n (%) | 43 (10.6%) | 24 (21.8%) | 11 (22.0%) | 0.002 |
| Uric acid, μmol/L | 295.15 ± 4.00 | 318.13 ± 9.38 | 313.89 ± 13.50 | 0.025 |
| FHS | 15.10 ± 0.22 | 16.39 ± 0.38 | 18.44 ± 0.64 | <0.001 |
Disclaimer/Publisher’s Note: The statements, opinions and data contained in all publications are solely those of the individual author(s) and contributor(s) and not of MDPI and/or the editor(s). MDPI and/or the editor(s) disclaim responsibility for any injury to people or property resulting from any ideas, methods, instructions or products referred to in the content. |
© 2023 by the authors. Licensee MDPI, Basel, Switzerland. This article is an open access article distributed under the terms and conditions of the Creative Commons Attribution (CC BY) license (https://creativecommons.org/licenses/by/4.0/).
Share and Cite
Zheng, K.; Wang, Z.; Chen, X.; Chen, J.; Fu, Y.; Chen, Q. Analysis of Risk Factors for White Matter Hyperintensity in Older Adults without Stroke. Brain Sci. 2023, 13, 835. https://doi.org/10.3390/brainsci13050835
Zheng K, Wang Z, Chen X, Chen J, Fu Y, Chen Q. Analysis of Risk Factors for White Matter Hyperintensity in Older Adults without Stroke. Brain Sciences. 2023; 13(5):835. https://doi.org/10.3390/brainsci13050835
Chicago/Turabian StyleZheng, Kai, Zheng Wang, Xi Chen, Jiajie Chen, Yu Fu, and Qin Chen. 2023. "Analysis of Risk Factors for White Matter Hyperintensity in Older Adults without Stroke" Brain Sciences 13, no. 5: 835. https://doi.org/10.3390/brainsci13050835
APA StyleZheng, K., Wang, Z., Chen, X., Chen, J., Fu, Y., & Chen, Q. (2023). Analysis of Risk Factors for White Matter Hyperintensity in Older Adults without Stroke. Brain Sciences, 13(5), 835. https://doi.org/10.3390/brainsci13050835

