Acute Tongue Swelling as a Still Unexpected Manifestation of Internal Carotid Artery Dissection: A Case Report
Abstract
1. Introduction
2. Case Presentation
2.1. Patient
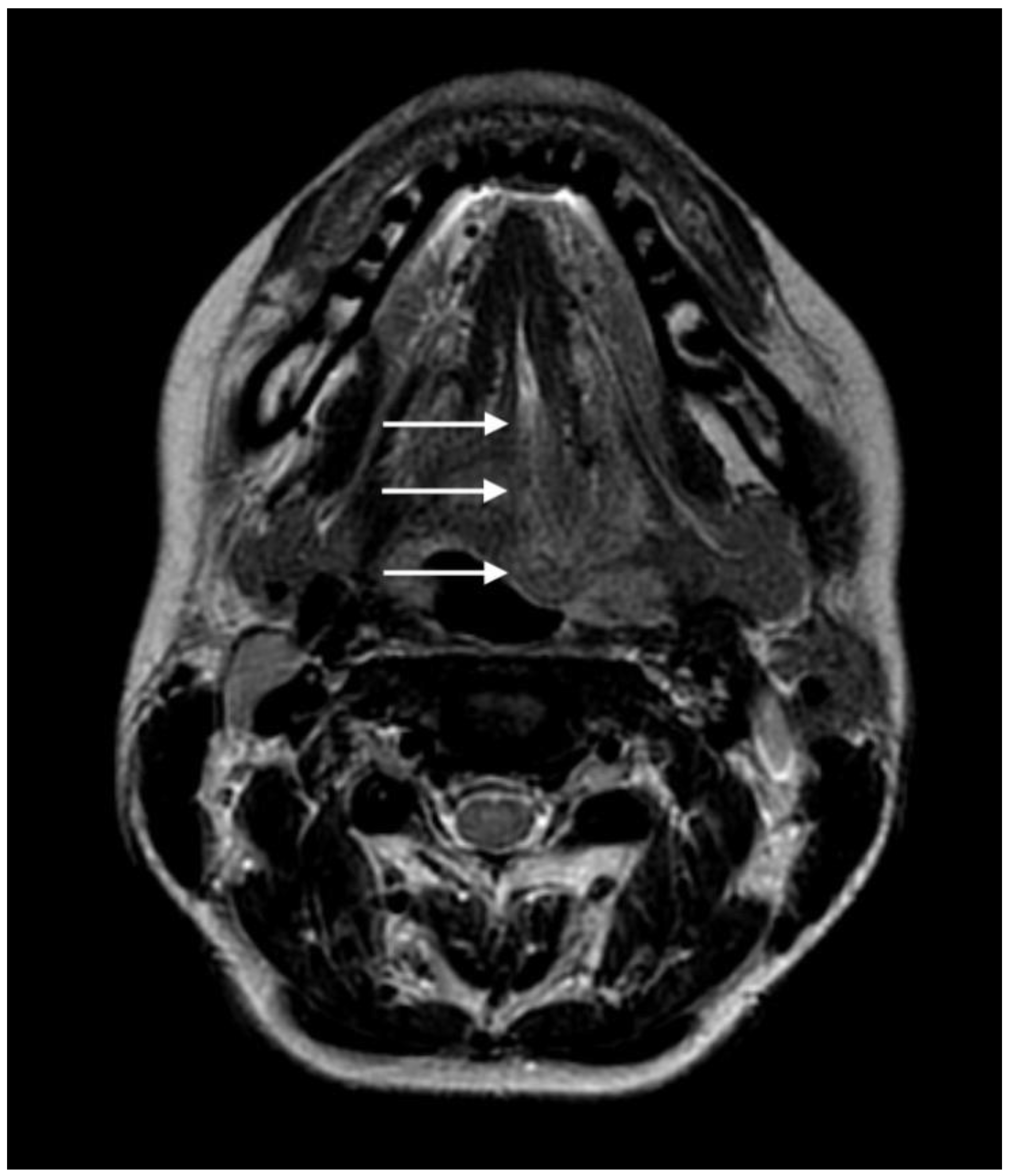
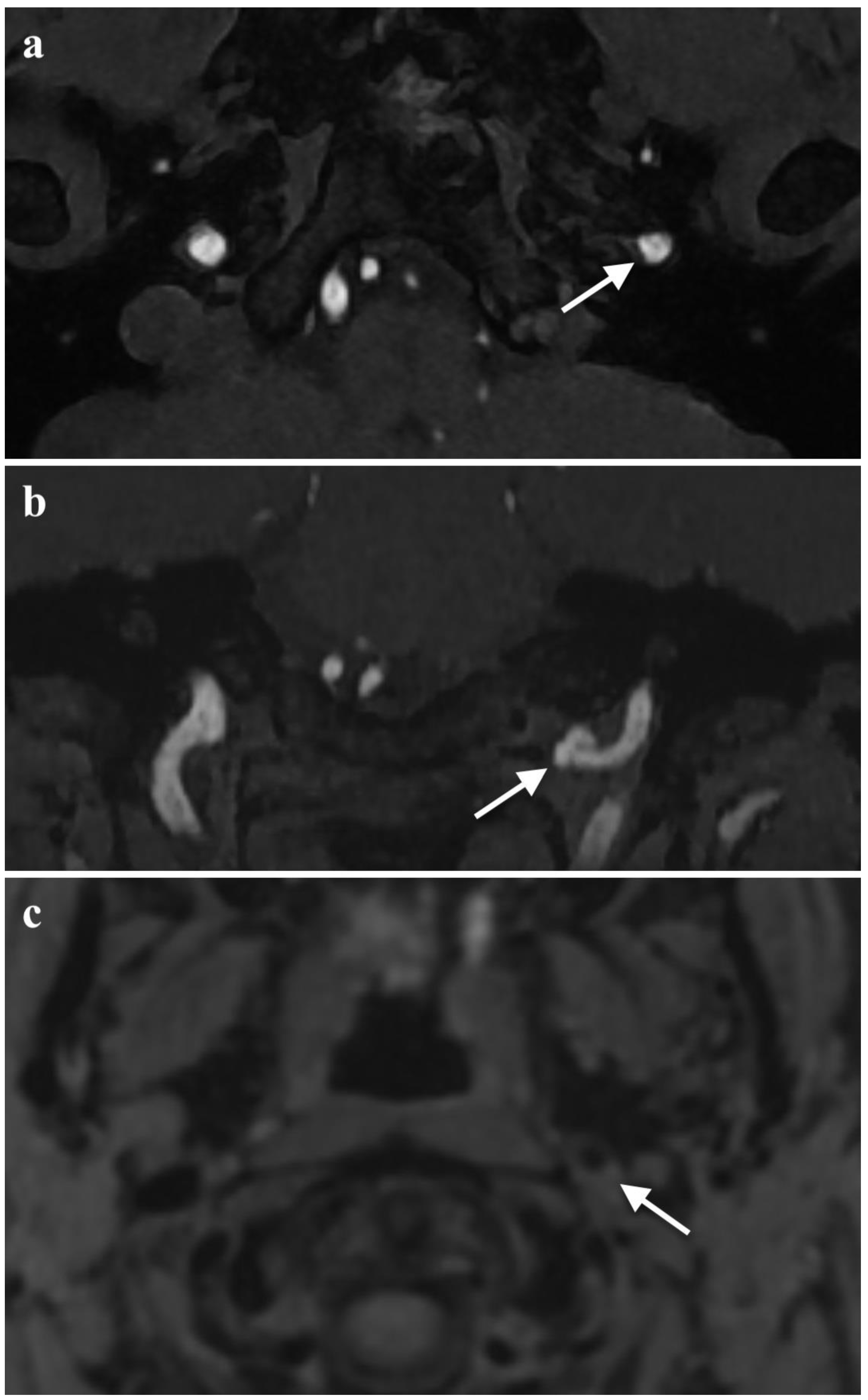
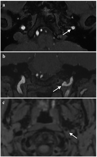
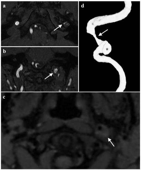
2.2. Diagnosis
2.3. Treatment
2.4. Possible Background and Risk Factors
2.5. Outcome and Follow Up
2.6. Neuro-Logopaedic Therapy
3. Discussion
4. Conclusions
Author Contributions
Funding
Institutional Review Board Statement
Informed Consent Statement
Data Availability Statement
Conflicts of Interest
References
- Lee, V.H.; Brown, R.D., Jr.; Mandrekar, J.N.; Mokri, B. Incidence and outcome of cervical artery dissection: A population-based study. Neurology 2006, 67, 1809–1812. [Google Scholar] [CrossRef]
- Schievink, W.I. Spontaneous dissection of carotid and vertebra arteries. N. Engl. J. Med. 2001, 344, 898–906. [Google Scholar] [CrossRef] [PubMed]
- Thanvi, B.; Munshi, S.K.; Dawson, S.L.; Robinson, T.G. Carotid and vertebral artery dissection syndromes. Postgrad. Med. J. 2005, 81, 383–388. [Google Scholar] [CrossRef] [PubMed]
- Biousse, V.; D’Anglejan-Chatillon, J.; Touboul, P.-J.; Amarenco, P.; Bousser, M.-G. Time course of symptoms in extracranial carotid artery dissection: A series of 80 patients. Stroke 1995, 26, 235–239. [Google Scholar] [CrossRef] [PubMed]
- Ryan, P.; Rehman, S.; Prince, S. Acute tongue swelling, the only manifestation of carotid artery dissection: A case report with differention of clinical picture. Ann. Vasc. Surg. 2015, 29, 365.e17–365.e18. [Google Scholar] [CrossRef]
- Siniscalchi, A.; Perrotta, P.; Lochner, P.; Gallelli, L. Carotid Artery Dissection Induced Acute Tongue Swelling in a Cocaine User. Psychopharmacol. Bull. 2020, 50, 44–47. [Google Scholar]
- Rajan, S.; Nair, D.G.; Borja, M.J. Tongue swelling as a sign of internal carotid dissection. Neurol. Clin. Neurosci. 2015, 3, 246–247. [Google Scholar] [CrossRef]
- Stübgen, J.-P. Unilateral macroglossia as a sole presenting manifestation of internal carotid artery dissection. ENT J. 2011, 90, 434–436. [Google Scholar] [CrossRef]
- Engelbarts, M.; Helling, K.; Tanyildizi, Y. Apparent Swelling of the Tongue. Dtsch. Arztebl. Int. 2017, 114, 738. [Google Scholar] [CrossRef]
- Kaushik, S.; Abhishek, K.; Sofi, U. Spontaneous dissection of internal carotid artery masquerading as angioedema. J. Gen. Intern. Med. 2009, 24, 126–128. [Google Scholar] [CrossRef]
- Athuraliya, N.; Miteff, F. Internal carotid artery dissection and Villeret’s syndrome. QJM 2017, 110, 751–753. [Google Scholar] [CrossRef] [PubMed][Green Version]
- Okpala, O.; Von Essen, A.; Cummins, G.; Manford, M. Teaching neuroimages: Internal carotid artery dissection presenting as Villaret syndrome. Neurology 2014, 82, 110–111. [Google Scholar] [CrossRef]
- Guillon, B.; Berthet, K.; Benslamia, L.; Bertrand, M.; Bousser, M.G.; Tzourio, C. Infection and the risk of spontaneous cervical artery dissection: A case-control study. Stroke 2003, 34, e79–e81. [Google Scholar] [CrossRef]
- Al-Banaa, K.; Alshaikhili, A.; Al-Hareeri, A.; Abdelhalim, M.; Al-Hillan, A.; Joshi, T. Arterial dissection in in antiphospholipid syndrome patients: Two case reports and a literature review. Eur. J. Case Rep. Intern. Med. 2021, 8, 002610. [Google Scholar] [PubMed]
- Henrard, C.; Belge, H.; Fastré, S.; Di Monaco, S.; Revencu, N.; Hammer, F.; Pasquet, A.; Persu, A. Cervical artery dissection: Fibromuscular dysplasia versus vascular Ehlers-Danlos syndrome. Blood Press. 2019, 28, 139–143. [Google Scholar] [CrossRef] [PubMed]
- Poppe, A.Y.; Minuk, J.; Glikstein, R.; Leventhal, M. Fibromuscular dysplasia with carotid artery dissection presenting as an isolated hemianopsia. J. Stroke Cereb. Dis. 2007, 16, 130–134. [Google Scholar] [CrossRef] [PubMed]
- Baldino, G.; Di Girolamo, C.; De Blasis, G.; Gori, A. Eagle Syndrome and Internal Carotid Artery Dissection: Description of five cases treated in two italian institutions and review of the literature. Ann. Vasc. Surg. 2020, 67, 565.e17–565.e24. [Google Scholar] [CrossRef]
- Engelter, S.T.; Traenka, C.; Grond-Ginsbach, C.; Brandt, T.; Hakimi, M.; Worrall, B.B.; Debette, S.; Pezzini, A.; Leys, D.; Tatlisumak, T.; et al. Cervical artery dissection and sports. Front Neurol. 2021, 12, 663830. [Google Scholar] [CrossRef]
- Galyfos, G.; Filis, K.; Sigala, F.; Sianou, A. Traumatic Carotid Artery Dissection: A Different Entity without Specific Guidelines. Vasc Specialist Int. 2016, 32, 1–5. [Google Scholar] [CrossRef]
- Chen, Y.; Mofatteh, M.; Nguyen, T.N.; Wellington, J.; Wei, W.; Liang, W.; Chen, G.; Hu, Z.; Ouyang, K.; Yang, S. Carotid Artery Dissection and Ischemic Stroke Following Cervical Chiropractic Manipulation: Two Case Reports. Vas. Endovasc. Surg. 2022, 56, 303–307. [Google Scholar] [CrossRef]
- Tveita, I.A.; Madsen, M.R.S.; Nielsen, E.W. Dissection of the internal carotid artery and stroke after mandibular fractures: A case report and review of the literature. J. Med. Case Reports. 2017, 11, 148. [Google Scholar] [CrossRef] [PubMed]
- Tai, M.-L.S.; Sia, S.F.; Kadir, K.A.A.; Idris, M.I.; Tan, K.S. Cough-induced extracranial internal carotid artery dissection. Case Rep. Neurol. 2020, 12, 149–155. [Google Scholar] [CrossRef] [PubMed]
- Torbus-Paluszczak, M.; Mucha, S.; Wawrzyńczyk, M.; Pierzchała, K.; Bartman, W.; Adamczyk-Sowa, M. Hypoglossal nerve palsy in the course of dissection of the internal carotid arteries—Case reports. Neurol. Neurochir. Pol. 2018, 2, 267–273. [Google Scholar] [CrossRef] [PubMed]
- Campos, C.R.; Calderaro, M.; Scaff, M.; Conforto, A.B. Primary headaches and painful spontaneous cervical artery dissection. J. Headache Pain. 2007, 8, 180–184. [Google Scholar] [CrossRef]
- Kwong, F.N.K.; Brodie, F.; McArthur, C.; MacGregor, F. A case report: Internal carotid artery dissection presenting as hoarseness secondary to vocal cord palsy. EMJ Neurol. 2021, 9, 66–71. [Google Scholar] [CrossRef]
- Thomas, L.C.; Rivett, D.A.; Attia, J.R.; Levi, C. Risk factors and clinical presentation of cervical arterial dissection: Preliminary results of a prospective case-control study. J. Orthop. Sports Phys. Ther. 2015, 45, 503–511. [Google Scholar] [CrossRef]
- Mirza, Z.; Hayward, P.; Hulbert, D. Spontaneous carotid artery dissection presenting as migraine—A diagnosis not to be missed. J. Accid. Emerg. Med. 1998, 15, 187–189. [Google Scholar] [CrossRef][Green Version]
- Donnelly, A.; Sinnott, B.; Boyle, R.; Rennie, I. Beware the middle-aged migraine: Internal carotid artery dissection mimicking migraine in the emergency department. BMJ Case Rep. 2017, 2017, bcr2017221774. [Google Scholar] [CrossRef]
- Olesen, J. The International Classification of Headache Disorders. Lancet Neurol. 2018, 17, 396–397. [Google Scholar] [CrossRef]
- Sturzenegger, M. Spontaneous internal carotid artery dissection: Early diagnosis and management in 44 patients. J. Neurol. 1995, 242, 231–238. [Google Scholar] [CrossRef]
- Mokri, B.; Silbert, P.L.; Schievink, W.I.; Piepgras, D.G. Cranial nerve palsy in spontaneous dissection of the extracranial internal carotid artery. Neurology 1996, 46, 356–359. [Google Scholar] [CrossRef] [PubMed]
- Jurkiewicz, M.T.; Stein, J.M.; Learned, K.O.; Nasrallah, I.M.; Loevner, L.A. Hypoglossal nerve palsy due to carotid artery dissection: An uncommon presentation of a common problem. Neuroradiol. J. 2019, 32, 123–126. [Google Scholar] [CrossRef] [PubMed]
- Majeed, A.; Ribeiro, N.P.; Ali, A.; Hijazi, M.; Farook, H. A rare presentation of spontaneous internal carotid artery dissection with Horner’s syndrome, VIIth, Xth and XIIth nerve palsies. Oxf. Med. Case Rep. 2016, 2016, omw078. [Google Scholar] [CrossRef]
- Joshi, P.; Bourke, D. Isolated hypoglossal nerve palsy due to internal carotid artery dissection. Pract. Neurol. 2017, 17, 233–234. [Google Scholar] [CrossRef]
- Finsterer, J.; Grisold, W. Disorders of the lower cranial nerves. J. Neurosci. Rural. Pract. 2015, 6, 377–391. [Google Scholar] [CrossRef]
- Boban, M.; Brinar, V.V.; Habek, M.; Radoš, M. Isolated hypoglossal nerve palsy: A diagnostic challenge. Eur. Neurol. 2007, 58, 177–181. [Google Scholar] [CrossRef]
- Long, B.J.; Koyfman, A.; Gottlieb, M. Evaluation and Management of Angioedema in the Emergency Department. West. J. Emerg. Med. 2019, 20, 587–600. [Google Scholar] [CrossRef]
- Shabab, R.; Savy, L.E.; Croft, C.B.; Hung, T. Isolated hypoglossal nerve palsy due to internal carotid artery dissection. J. Laryngol. Otol. 2001, 115, 587–589. [Google Scholar]







| Author and Year of Publication | Title | Type of the Study | Age of Described Subject | Gender of the Described Subject | Initial Symptoms of Internal Carotid Artery Dissection Present in the Described Subject | Subsequent Symptoms | Conclusions | |||
|---|---|---|---|---|---|---|---|---|---|---|
| Tongue Swelling | Headache | Horner’s Syndrome | Cranial Nerves Injury Signs | |||||||
| Ryan et al., 2015 [5] | Acute tongue swelling, the only initial manifestation of carotid artery dissection: a case report with differentiation of clinical picture | Case report | 52 y. o. | Male | + | − | − | − | right-side tongue weakness (XII nerve palsy) | Hypoglossal palsy caused by ICAD should be considered in the differential diagnosis of patients who present with acute tongue swelling. |
| Siniscalchi et al., 2020 [6] | Carotid artery dissection induced acute tongue swelling in a cocaine user | Case report | 42 y. o. | Male | + | − | − | − | left-sided tongue weakness and tongue atrophy on this side (XII cranial nerve palsy) | Arterial dissection was spontaneous and painless and this evidence combined with tongue swelling rather than the more expected weakness and atrophy led to the failure of recognition of the neurogenic nature of this swelling. |
| Engelbarts et al., 2017 [9] | Apparent swelling of the tongue | Clinical snapshot | 51 y. o. | Male | + | + | − | − | left-sided tongue weakness with fasciculations (XII cranial nerve palsy), ipsilateral VII nerve palsy and vocal fold immobility on this side (X nerve palsy) | Cranial nerve involvement in carotid dissection is rare but led to the correct diagnosis in this case. |
| Kaushik et al., 2009 [10] | Spontaneous dissection of internal carotid artery masquerading as angioedema | Case report | 44 y. o. | Male | + | − | − | − | slurred speech, left-sided tongue weakness (XII nerve palsy) | ICA dissection should be considered in the differential diagnosis of patients presenting with isolated hypoglossal nerve palsy and swelling of the tongue, although most cases present with local signs and ischemic stroke-like symptoms. |
| Shahab et al., 2001 [38] | Isolated hypoglossal nerve palsy due to internal carotid artery dissection | Case report | 46 y. o. | Male | + | − | − | − | slurred speech, left-sided tongue weakness with fasciculations (XII cranial nerve) | The rare phenomenon of isolated hypoglossal nerve palsy with tongue swelling can be the result of one of many pathologies that can affect the 12th nerve along its course from the brain stem to the tongue, in this case, a non-traumatic dissecting aneurysm of the internal carotid artery. |
Disclaimer/Publisher’s Note: The statements, opinions and data contained in all publications are solely those of the individual author(s) and contributor(s) and not of MDPI and/or the editor(s). MDPI and/or the editor(s) disclaim responsibility for any injury to people or property resulting from any ideas, methods, instructions or products referred to in the content. |
© 2023 by the authors. Licensee MDPI, Basel, Switzerland. This article is an open access article distributed under the terms and conditions of the Creative Commons Attribution (CC BY) license (https://creativecommons.org/licenses/by/4.0/).
Share and Cite
Pawlukowska, W.; Mross, K.; Jankowska, M.; Zwarzany, Ł.; Poncyljusz, W.; Masztalewicz, M. Acute Tongue Swelling as a Still Unexpected Manifestation of Internal Carotid Artery Dissection: A Case Report. Brain Sci. 2023, 13, 603. https://doi.org/10.3390/brainsci13040603
Pawlukowska W, Mross K, Jankowska M, Zwarzany Ł, Poncyljusz W, Masztalewicz M. Acute Tongue Swelling as a Still Unexpected Manifestation of Internal Carotid Artery Dissection: A Case Report. Brain Sciences. 2023; 13(4):603. https://doi.org/10.3390/brainsci13040603
Chicago/Turabian StylePawlukowska, Wioletta, Krystian Mross, Marta Jankowska, Łukasz Zwarzany, Wojciech Poncyljusz, and Marta Masztalewicz. 2023. "Acute Tongue Swelling as a Still Unexpected Manifestation of Internal Carotid Artery Dissection: A Case Report" Brain Sciences 13, no. 4: 603. https://doi.org/10.3390/brainsci13040603
APA StylePawlukowska, W., Mross, K., Jankowska, M., Zwarzany, Ł., Poncyljusz, W., & Masztalewicz, M. (2023). Acute Tongue Swelling as a Still Unexpected Manifestation of Internal Carotid Artery Dissection: A Case Report. Brain Sciences, 13(4), 603. https://doi.org/10.3390/brainsci13040603

