Posterior Reversible Encephalopathy Syndrome after Lenvatinib Therapy in a Patient with Olfactory Neuroblastoma
Abstract
1. Introduction
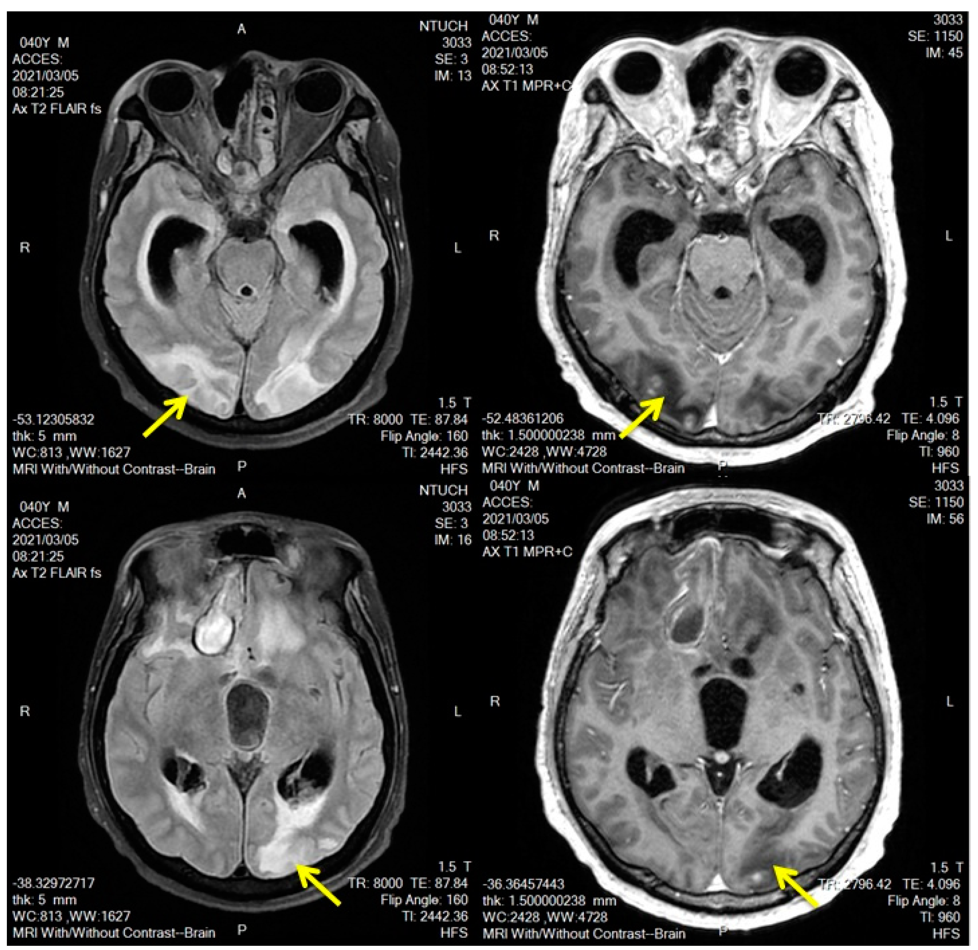
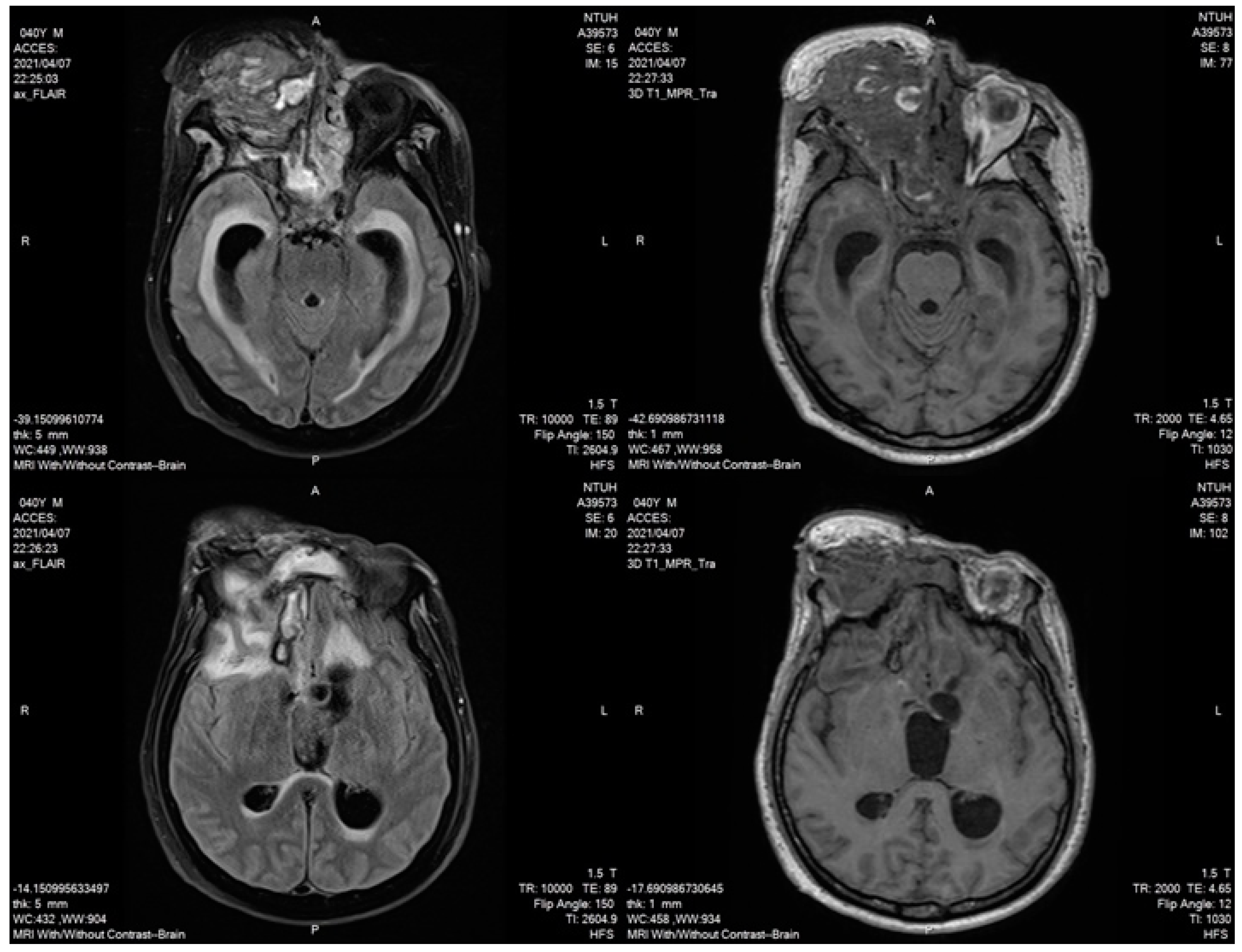
2. Case Description
3. Discussion
4. Conclusions
Author Contributions
Funding
Institutional Review Board Statement
Informed Consent Statement
Conflicts of Interest
References
- Fugate, J.E.; Rabinstein, A.A. Posterior reversible encephalopathy syndrome: Clinical and radiological manifestations, pathophysiology, and outstanding questions. Lancet Neurol. 2015, 14, 914–925. [Google Scholar] [CrossRef] [PubMed]
- Buchhanolla, P.; Bir, S.; Angelette, A.; Lewis, A.; Kandregula, S.; Guthikonda, B.; Javalkar, V.; Chernyshev, O.; Kelley, R. Determination of Prevalence of Posterior Reversible Encephalopathy Syndrome (PRES) and Its Association with Cerebral Infarction, and Outcome in the Nationwide Inpatient Sample, 2016–2018 (P16-10.002). Neurology 2022, 98 (Suppl. 18), 3555. [Google Scholar]
- Covarrubias, D.J.; Luetmer, P.H.; Campeau, N.G. Posterior Reversible Encephalopathy Syndrome: Prognostic Utility of Quantitative Diffusion-Weighted MR Images. Am. J. Neuroradiol. 2002, 23, 1038–1048. [Google Scholar] [PubMed]
- Shah, R.R. Anti-Angiogenic Tyrosine Kinase Inhibitors and Reversible Posterior Leukoencephalopathy Syndrome: Could Hypomagnesaemia Be the Trigger? Drug Saf. 2017, 40, 373–386. [Google Scholar] [CrossRef]
- Lenvima (lenvatinib) Product Monograph; Eisai Co., Ltd.: Mississauga, ON, Canada, 2020; Available online: https://ca.eisai.com/-/media/Files/CanadaEisai/LENVIMA-Product-Monograph-EN.pdf (accessed on 7 November 2022).
- Thawani, R.; Kim, M.S.; Arastu, A.; Feng, Z.; West, M.T.; Taflin, N.F.; Thein, K.Z.; Li, R.; Geltzeiler, M.; Lee, N.; et al. The contemporary management of cancers of the sinonasal tract in adults. CA Cancer J. Clin. 2022. [Google Scholar] [CrossRef]
- Agarwal, M.; Thareja, N.; Benjamin, M.; Akhondi, A.; Mitchell, G.D. Tyrosine Kinase Inhibitor-Induced Hypertension. Curr. Oncol. Rep. 2018, 20, 65. [Google Scholar] [CrossRef]
- Fischer, M.; Schmutzhard, E. Posterior reversible encephalopathy syndrome. J. Neurol. 2017, 264, 1608–1616. [Google Scholar] [CrossRef]
- Morbidelli, L.; Chang, C.H.; Douglas, J.G.; Granger, H.J.; Ledda, F.; Ziche, M. Nitric oxide mediates mitogenic effect of VEGF on coronary venular endothelium. Am. J. Physiol. Circ. Physiol. 1996, 270, 411–415. [Google Scholar] [CrossRef]
- Bartynski, W.S. Posterior Reversible Encephalopathy Syndrome, Part 2: Controversies Surrounding Pathophysiology of Vasogenic Edema. Am. J. Neuroradiol. 2008, 29, 1043–1049. [Google Scholar] [CrossRef]
- Osawa, Y.; Gozawa, R.; Koyama, K.; Nakayama, T.; Sagoh, T.; Sunaga, H. Posterior Reversible Encephalopathy Syndrome after Lenvatinib Therapy in a Patient with Anaplastic Thyroid Carcinoma. Intern. Med. 2018, 57, 1015–1019. [Google Scholar] [CrossRef]
- US Department of Health and Human Services. Common Terminology Criteria for Adverse Events (CTCAE) v5.0; US Department of Health and Human Services: Washington, DC, USA, 2017. Available online: https://ctep.cancer.gov/protocoldevelopment/electronic_applications/docs/ctcae_v5_quick_reference_5x7.pdf (accessed on 7 November 2022).
- Ay, H.; Buonanno, F.S.; Schaefer, P.W.; Le, D.A.; Wang, B.; Gonzalez, R.G.; Koroshetz, W.J. Posterior leukoencephalopathy without severe hypertension: Utility of diffusion-weighted MRI. Neurology 1998, 51, 1369–1376. [Google Scholar] [CrossRef] [PubMed]
- Hinchey, J.; Chaves, C.; Appignani, B.; Breen, J.; Pao, L.; Wang, A.; Pessin, M.S.; Lamy, C.; Mas, J.-S.; Caplan, L.R. A reversible posterior leukoencephalopathy syndrome. New Engl. J. Med. 1996, 334, 494–500. [Google Scholar] [CrossRef] [PubMed]
- Strandgaard, S.; Paulson, O.B. Cerebral Autoregulation. Stroke 1984, 15, 413–416. [Google Scholar] [CrossRef] [PubMed]
- Böhm, F.; Pernow, J. The importance of endothelin-1 for vascular dysfunction in cardiovascular disease. Cardiovasc. Res. 2007, 76, 8–18. [Google Scholar] [CrossRef]
- Lenvima (lenvatinib) [prescribing information]. Eisai Inc.: Nutley, NJ, USA, 2022. Available online: https://www.lenvima.com/-/media/Project/EIsai/Lenvima/PDF/prescribing-information.pdf (accessed on 7 November 2022).
- Maitland, M.L.; Bakris, G.L.; Black, H.R.; Chen, H.X.; Durand, J.-B.; Elliott, W.J.; Ivy, S.P.; Leier, C.V.; Lindenfeld, J.; Liu, G.; et al. Initial Assessment, Surveillance, and Management of Blood Pressure in Patients Receiving Vascular Endothelial Growth Factor Signaling Pathway Inhibitors. J. Natl. Cancer Inst. 2010, 102, 596–604. [Google Scholar] [CrossRef]
- Singhal, A.B.; Hajj-Ali, R.A.; Topcuoglu, M.A.; Fok, J.; Bena, J.; Yang, D.; Calabrese, L.H. Reversible cerebral vasoconstriction syndromes: Analysis of 139 cases. Arch. Neurol. 2011, 68, 1005–1012. [Google Scholar] [CrossRef]
- Abhishek, M.; Renuka, A.; Ujjwal, A.; Amit, C.; Vijay, P.; Vanita, N.; Nandini, M.; Kumar, P. Atypical posterior reversible encephalopathy syndrome associated with Lenvatinib therapy in a patient with metastatic thyroid cancer—A case report. Cancer Rep. 2022, 5, e1605. [Google Scholar] [CrossRef]
- Nan, D.; Yin, X.; Ma, D.; Jiang, X.; Wu, B.; Feng, J. Posterior Reversible Encephalopathy Syndrome Associated With Anlotinib: A Case Report and Literature Review. Front. Neurol. 2021, 12, 546481. [Google Scholar] [CrossRef]
- Li, X.; Chai, J.; Wang, Z.; Lu, L.; Zhao, Q.; Zhou, J.; Ju, F. Reversible posterior leukoencephalopathy syndrome induced by apatinib: A case report and literature review. OncoTargets Ther. 2018, 11, 4407–4411. [Google Scholar] [CrossRef]
- Lv, Y.; Zhang, Y.; Zhang, J.; Liang, N.; Liu, F.; Liu, R. Reversible posterior leukoencephalopathy syndrome following apatinib for gastric cancer in an adult: A case report and a review of the literature. Medicine 2019, 98, e17787. [Google Scholar] [CrossRef]
- Levy, A.; Benmoussa, L.; Ammari, S.; Albiges, L.; Escudier, B. Reversible posterior leukoencephalopathy syndrome induced by axitinib. Clin. Genitourin. Cancer 2014, 12, 33–34. [Google Scholar] [CrossRef] [PubMed]
- Nakamura, K.; Saiki, H.; Muramatsu, H.; Morinaga, S.; Kobayashi, I.; Kajikawa, K.; Nishikawa, G.; Kato, Y.; Watanabe, M.; Kanao, K.; et al. Axitinib-induced reversible posterior leukoencephalopathy syndrome in a patient with metastatic renal cell carcinoma. Int. Cancer Conf. J. 2017, 6, 197–199. [Google Scholar] [CrossRef] [PubMed]
- Patwari, A.; Bhatlapenumarthi, V.; Pascual, S.K. Atypical Posterior Reversible Encephalopathy Syndrome due to Oral Tyrosine Kinase Inhibitor Cabozantinib: First Case Report. Case Rep. Oncol. 2020, 13, 1013–1019. [Google Scholar] [CrossRef]
- Kim, C.A.K.; Price-Hiller, J.; Chu, Q.S.; Tankel, K.; Hennig, R.; Sawyer, M.B.; Spratlin, J.L. Atypical reversible posterior leukoencephalopathy syndrome (RPLS) induced by cediranib in a patient with metastatic rectal cancer. Investig. New Drugs 2014, 32, 1036–1045. [Google Scholar] [CrossRef]
- Campbell, N.P.; Kunnavakkam, R.; Leighl, N.; Vincent, M.D.; Gandara, D.R.; Koczywas, M.; Gitlitz, B.J.; Agamah, E.; Thomas, S.P.; Stadler, W.M.; et al. Cediranib in patients with malignant mesothelioma: A phase II trial of the University of Chicago Phase II Consortium. Lung Cancer 2012, 78, 76–80. [Google Scholar] [CrossRef] [PubMed]
- Kieran, M.W.; Chi, S.; Goldman, S.; Onar-Thomas, A.; Poussaint, T.Y.; Vajapeyam, S.; Fahey, F.; Wu, S.; Turner, D.C.; Stewart, C.F.; et al. A phase I trial and PK study of cediranib (AZD2171), an orally bioavailable pan-VEGFR inhibitor, in children with recurrent or refractory primary CNS tumors. Child’s Nerv. Syst. 2015, 31, 1433–1445. [Google Scholar] [CrossRef] [PubMed]
- Palma, J.-A.; Gomez-Ibañez, A.; Martin, B.; Urrestarazu, E.; Gil-Bazo, I.; Pastor, M.A. Nonconvulsive Status Epilepticus Related to Posterior Reversible Leukoencephalopathy Syndrome Induced by Cetuximab. Neurologist 2011, 17, 273–275. [Google Scholar] [CrossRef] [PubMed]
- Chelis, L.; Souftas, V.; Amarantidis, K.; Xenidis, N.; Chamalidou, E.; Dimopoulos, P.; Michailidis, P.; Christakidis, E.; Prassopoulos, P.; Kakolyris, S. Reversible posterior leukoencephalopathy syndrome induced by pazopanib. BMC Cancer 2012, 12, 489. [Google Scholar] [CrossRef]
- Foerster, R.; Welzel, T.; Debus, J.; Gruellich, C.; Jaeger, D.; Potthoff, K. Posterior reversible leukoencephalopathy syndrome associated with pazopanib. Case Rep. Oncol. 2013, 6, 204–208. [Google Scholar] [CrossRef]
- Asaithambi, G.; Peters, B.R.; Hurliman, E.; Moran, B.P.; Khan, A.S.; Taylor, R.A. Posterior reversible encephalopathy syndrome induced by pazopanib for renal cell carcinoma. J. Clin. Pharm. Ther. 2013, 38, 175–176. [Google Scholar] [CrossRef]
- Miaris, N.; Maltezou, M.; Papaxoinis, G.; Visvikis, A.; Samantas, E. Posterior Reversible Encephalopathy Syndrome With Concurrent Nephrotic Syndrome in a Patient Treated With Pazopanib for Metastatic Renal Cell Carcinoma: Case Report and Review of the Literature. Clin. Genitourin. Cancer 2017, 15, 99–103. [Google Scholar] [CrossRef] [PubMed]
- Miller-Patterson, C.; Fehnel, C.R. Pazopanib-associated posterior reversible encephalopathy syndrome with intracerebral haemorrhage. BMJ Case Rep. 2017, 2017, 218221. [Google Scholar] [CrossRef] [PubMed]
- Arslan, B.M.; Bajrami, A.; Demir, E.; Çabalar, M.; Yayla, V. Pazopanib induced unilateral posterior reversible encephalopathy syndrome. Ideggyogy. Szle. 2017, 70, 140–144. [Google Scholar] [CrossRef] [PubMed]
- Deguchi, S.; Mitsuya, K.; Nakasu, Y.; Hayashi, N.; Katagiri, H.; Murata, H.; Wasa, J.; Takahashi, M.; Endo, M. Posterior reversible encephalopathy syndrome (PRES) induced by pazopanib, a multi-targeting tyrosine kinase inhibitor, in a patient with soft-tissue sarcoma: Case report and review of the literature. Investig. New Drugs 2018, 36, 346–349. [Google Scholar] [CrossRef]
- Tatsumichi, T.; Tanaka, H.; Okazaki, T.; Takahashi, K.; Suzuki, K.; Kawakita, K.; Houchi, H.; Kuroda, Y.; Kosaka, S. Uterine sarcoma with posterior reversible encephalopathy syndrome associated with pazopanib. J. Clin. Pharm. Ther. 2021, 46, 223–226. [Google Scholar] [CrossRef]
- Myint, Z.W.; Sen, J.M.; Watts, N.L.; Druzgal, T.J.; Nathan, B.R.; Ward, M.D.; Boyer, J.E.; Fracasso, P.M. Reversible posterior leukoencephalopathy syndrome during regorafenib treatment: A case report and literature review of reversible posterior leukoencephalopathy syndrome associated with multikinase inhibitors. Clin. Color. Cancer 2014, 13, 127–130. [Google Scholar] [CrossRef]
- Aanes, S.G.; Nieder, C.; Prytz, J.; Odeh, F. A man in his 50s with neurological symptoms during cancer treatment. Tidsskr. Den Nor. Laegeforening 2018, 138. (In Norwegian) [Google Scholar] [CrossRef]
- Van Pelt, Q.; Stragier, E.; Roelandt, P.; Van Cutsem, E. Posterior reversible encephalopathy syndrome secondary to oxaliplatin-based chemotherapy and regorafenib in metastastic colorectal cancer: Case reports and literature review. Acta Gastro-Enterol. Belg. 2020, 83, 47–50. [Google Scholar]
- Shanthosh Kumar, S.; Nagesh, V.K.; Sivakolundu, K.P.; Ali, B.; Sange, I. Posterior Reversible Encephalopathy Syndrome (PRES) in a Patient With Primary Myelofibrosis on Ruxolitinib. Cureus 2021, 13, e17944. [Google Scholar] [CrossRef]
- Govindarajan, R.; Adusumilli, J.; Baxter, D.L.; El-Khoueiry, A.; Harik, S.I. Reversible posterior leukoencephalopathy syndrome induced by RAF kinase inhibitor BAY 43-9006. J. Clin. Oncol. 2006, 24, e48. [Google Scholar] [CrossRef]
- Dogan, E.; Aksoy, S.; Arslan, C.; Dede, D.S.; Altundag, K. Probable sorafenib-induced reversible encephalopathy in a patient with hepatocellular carcinoma. Med. Oncol. 2009, 27, 1436–1437. [Google Scholar] [CrossRef] [PubMed]
- Tavil, B.; Isgandarova, F.; Bayhan, T.; Unal, S.; Kuskonmaz, B.; Gumruk, F.; Cetin, M. Sorafenib-induced Posterior Reversible Encephalopathy Syndrome in a Child With FLT3-ITD-positive Acute Myeloid Leukemia. J. Pediatr. Hematol. Oncol. 2016, 38, 240–242. [Google Scholar] [CrossRef] [PubMed]
- Furubayashi, N.; Negishi, T.; Iwai, H.; Nagase, K.; Nakamura, M. Sorafenib-induced reversible posterior leukoencephalopathy in patients with renal cell carcinoma: A report of two cases. Mol. Clin. Oncol. 2017, 7, 281–284. [Google Scholar] [CrossRef] [PubMed]
- Laruelle, M.; Filleul, B.; Duprez, T.; Machiels, J.-P. Posterior Reversible Encephalopathy Syndrome Associated with Sorafenib and Successful Retreatment. Urol. Int. 2018, 100, 357–360. [Google Scholar] [CrossRef] [PubMed]
- Martín, G.; Bellido, L.; Cruz, J.J. Reversible posterior leukoencephalopathy syndrome induced by sunitinib. J. Clin. Oncol. 2007, 25, 3559. [Google Scholar] [CrossRef]
- Cumurciuc, R.; Martinez-Almoyna, L.; Henry, C.; Husson, H.; de Broucker, T. Posterior reversible encephalopathy syndrome during sunitinib therapy. Rev. Neurol. 2008, 164, 605–607. [Google Scholar] [CrossRef]
- Chen, A.; Agarwal, N. Reversible posterior leucoencephalopathy syndrome associated with sunitinib. Intern. Med. J. 2009, 39, 341–342. [Google Scholar] [CrossRef]
- Padhy, B.M.; Shanmugam, S.P.; Gupta, Y.K.; Goyal, A. Reversible posterior leucoencephalopathy syndrome in an elderly male on sunitinib therapy. Br. J. Clin. Pharmacol. 2011, 71, 777–779. [Google Scholar] [CrossRef]
- Hadj, J.O.; Braven, R.D.; Tillier, C.; Schrijver, H.M.; Verheul, H.M.; van der Vliet, H.J. Reversible posterior leukoencephalopathy syndrome during sunitinib therapy for metastatic renal cell carcinoma. Oncol. Lett. 2012, 3, 1293–1296. [Google Scholar] [CrossRef]
- Khan, K.H.; Fenton, A.; Murtagh, E.; McAleer, J.J.; Clayton, A. Reversible posterior leukoencephalopathy syndrome following sunitinib therapy: A case report and review of the literature. Tumori J. 2012, 98, 139–142. [Google Scholar] [CrossRef]
- Duchnowska, R.; Miciuk, B.; Bodnar, L.; Waśniewski, L.; Szczylik, C. Severe neurological symptoms in a patient with advanced renal cell carcinoma treated with sunitinib. J. Oncol. Pharm. Pract. 2013, 19, 186–189. [Google Scholar] [CrossRef] [PubMed]
- Costa, R.; Costa, R.; Costa, R.; de Brito Junior, G.M.; Cartaxo, H.Q.; De Barros, A.C. Reversible Posterior Encephalopathy Syndrome Secondary to Sunitinib. Case Rep. Oncol. Med. 2014, 2014, 952624. [Google Scholar] [CrossRef] [PubMed]
- Saraceno, L.; Ricigliano, V.A.G.; Cavalli, M.; Meola, G. Posterior reversible encephalopathy syndrome after long-term treatment with low-dose sunitinib: A case report. Neurol. Sci. 2017, 38, 1119–1121. [Google Scholar] [CrossRef] [PubMed]
- Fukui, S.; Toyoshima, Y.; Inoue, T.; Kagebayashi, Y.; Samma, S. Reversible Posterior Leukoencephalopathy Syndrome Developing After Restart of Sunitinib Therapy for Metastatic Renal Cell Carcinoma. Case Rep. Med. 2016, 2016, 6852951. [Google Scholar] [CrossRef]
- Rifino, N.; Mantero, V.; Filizzolo, M.G.; Basilico, P.; Scaccabarozzi, C.; Arnoffi, J.; Salmaggi, A. Sunitinib associated posterior reversible encephalopathy syndrome in a patient treated for GIST. Acta Neurol. Belg. 2020, 120, 995–997. [Google Scholar] [CrossRef] [PubMed]
- Boukari, F.; Dugourd, P.M.; Chassang, M.; Mondot, L.; Passeron, T.; Lacour, J.; Montaudie, H. Posterior reversible encephalopathy syndrome due to combination of vemurafenib and cobimetinib for metastatic melanoma. Pigment Cell Melanoma Res. 2017, 30, 262–264. [Google Scholar] [CrossRef]
- Khurana, A.; Dasanu, C.A. Posterior reversible encephalopathy syndrome due to targeted agents: Vemurafinib among suspects! J. Oncol. Pharm. Pract. 2015, 21, 443–450. [Google Scholar] [CrossRef]
- Engel, S.; Luessi, F.; Henning, B.; Bittner, S.; Loquai, C.; Zipp, F. Vemurafenib and cobimetinib combination therapy for BRAFV600E-mutated melanoma favors posterior reversible encephalopathy syndrome. Ann. Oncol. 2019, 30, 1014–1016. [Google Scholar] [CrossRef]
- Chae, Y.K.; Chiec, L.; Adney, S.K.; Waitzman, J.; Costa, R.; Carneiro, B.; Matsangou, M.; Agulnik, M.; Kopp, P.; Giles, F. Posterior reversible encephalopathy syndrome and takotsubo cardiomyopathy associated with lenvatinib therapy for thyroid cancer: A case report and review. Oncotarget 2018, 9, 28281–28289. [Google Scholar] [CrossRef]




| No. of Patients Reported | Targets | Hypertension before Medication (%) | Range of Onset Times(Months) | Symptoms | Hypertension after Medication (%) | Range of Recovery after Discontinuing (Symptoms, Days/Image, Months) | References | |
|---|---|---|---|---|---|---|---|---|
| Anlotinib | 1 | VEGFR, Kit, PDGFR-α, FGFR. | 0% | 6 | Headache, vomiting, mental confusion, and slurred speech. | 100% | 5/3 | [21] |
| Apatinib | 2 | VEGFR2, Kit, and c-SRC. | 0% | 0.42–3 | Dizziness, hseadache, blurred vision, diplopia, nausea and vomiting, lower limb weakness, and seizure. | 100% | 7/1–6 | [22,23] |
| Axitinib | 2 | VEGFR, KIT PDGFR, and BCR-ABL. | 50% | 0.5–0.6 | Headache, nausea, seizure, and loss of consciousness. | 100% | 7/0.25 | [24,25] |
| Cabozantinib | 1 | AXL, FLT-3, KIT, MER, MET, RET, ROS1, TIE-2, TRKB, TYRO3, and VEGFR. | 100% | 0.75 | Nausea, vomiting, confusion, and seizures. | 100% | 2/-- | [26] |
| Cediranib | 3 | VEGFR1, VEGFR2, VEGFR3, and Flt-1. | 33%* | 2.5 * | Abdominal pain, obstipation, vomiting acute respiratory decompensation, and confusion. * | 33% * | --/0.5 * | [27,28,29] |
| Cetuximab | 1 | EGFR, HER1, c-ErbB-1. | 0% | 2 h later | Headache, altered mental status, and generalized tonic-clonic seizures. | 100% | 3/2 | [30] |
| Pazopanib | 8 | VEGFR, PDGFR-α, PDGFR-β, FGFR-1, FGFR-3, KIT, Lck, and c-Fms. | 29% | 0.1–2 | Headache, nausea, vomiting, impaired vision, gait instability, pitting edema, seizure, impaired consciousness, and s status epilepticus. | 100% | 2–7/0.5–3 | [31,32,33,34,35,36,37,38] |
| Regorafenib | 3 | VEGF, KIT, PDGFR, RET, FGFR, TIE2, DDR2, TrkA, Eph2A, RAF-1. BRAF, BRAFV600E, SAPK2, PTK5, and Abl. | 33% | 0.1–3 | Agitation, headache, vomiting, mental status changes, reduced hand coordination and dexterity, a homonymous inferior quadrantanopia, and seizures. | 67% | 7/1 * | [39,40,41] |
| Ruxolitinib | 1 | JAK 1 and JAK 2. | 0% | 12 | Altered mental status, focal seizure, bowel incontinence, and unsteady gait. | 100% | 2/-- | [42] |
| Sorafenib | 6 | CRAF, BRAF, VEGFR, PDGFR-β, KIT, FLT-3, RET, and RET. | 50% | 0.25–4 | Headache, vertigo, loss of vision, hallucinations, hypersalivation, seizure, and loss of consciousness. | 83% | 1–33/0.25–1.2 | [43,44,45,46,47] |
| Sunitinib | 11 | PDGFR, VEGFR, FLT-3, CSF-1R, and RET. | 36% | 0.25-over 4 years | Headache, vision loss, gait unsteadiness, dizziness, weakness, optic ataxia, abdominal pain, seizure, and lack of consciousness. | 100% | 2–21/0.25–2 | [48,49,50,51,52,53,54,55,56,57,58] |
| Vemurafenib | 3 | BRAF/MEK. | 0% | 0.4–2 | Confusion, headache, nausea, vomiting, altered mental status, impaired speech, and seizure. | 67% | 7/0.36–2.5 | [59,60,61] |
| Lenvatinib | 7 (including our case) | VEGFR, FGFR, FGFR 4, PDGFR-α, KIT, and RET. | 75% | 2 h–7 | Headache, visual field defect, forgetfulness, incoherent speech, restlessness mimicking dementia, and seizures | 100% | 1–14/0.25–1 | [11,17,20,62] |
Disclaimer/Publisher’s Note: The statements, opinions and data contained in all publications are solely those of the individual author(s) and contributor(s) and not of MDPI and/or the editor(s). MDPI and/or the editor(s) disclaim responsibility for any injury to people or property resulting from any ideas, methods, instructions or products referred to in the content. |
© 2022 by the authors. Licensee MDPI, Basel, Switzerland. This article is an open access article distributed under the terms and conditions of the Creative Commons Attribution (CC BY) license (https://creativecommons.org/licenses/by/4.0/).
Share and Cite
Tseng, Y.-J.; Chen, C.-N.; Hong, R.-L.; Kung, W.-M.; Huang, A.P.-H. Posterior Reversible Encephalopathy Syndrome after Lenvatinib Therapy in a Patient with Olfactory Neuroblastoma. Brain Sci. 2023, 13, 33. https://doi.org/10.3390/brainsci13010033
Tseng Y-J, Chen C-N, Hong R-L, Kung W-M, Huang AP-H. Posterior Reversible Encephalopathy Syndrome after Lenvatinib Therapy in a Patient with Olfactory Neuroblastoma. Brain Sciences. 2023; 13(1):33. https://doi.org/10.3390/brainsci13010033
Chicago/Turabian StyleTseng, Yu-Ju, Chun-Nan Chen, Ruey-Long Hong, Woon-Man Kung, and Abel Po-Hao Huang. 2023. "Posterior Reversible Encephalopathy Syndrome after Lenvatinib Therapy in a Patient with Olfactory Neuroblastoma" Brain Sciences 13, no. 1: 33. https://doi.org/10.3390/brainsci13010033
APA StyleTseng, Y.-J., Chen, C.-N., Hong, R.-L., Kung, W.-M., & Huang, A. P.-H. (2023). Posterior Reversible Encephalopathy Syndrome after Lenvatinib Therapy in a Patient with Olfactory Neuroblastoma. Brain Sciences, 13(1), 33. https://doi.org/10.3390/brainsci13010033

