Imaging and Hemodynamic Characteristics of Vulnerable Carotid Plaques and Artificial Intelligence Applications in Plaque Classification and Segmentation
Abstract
1. Introduction
2. Imaging Characteristics of Vulnerable Carotid Plaques
2.1. Qualitative Analysis of Vulnerable Carotid Plaques Based on VW-HRMRI
2.1.1. Lipid-Rich Necrotic Core and Thin Fibrous Cap
2.1.2. Intraplaque Hemorrhage
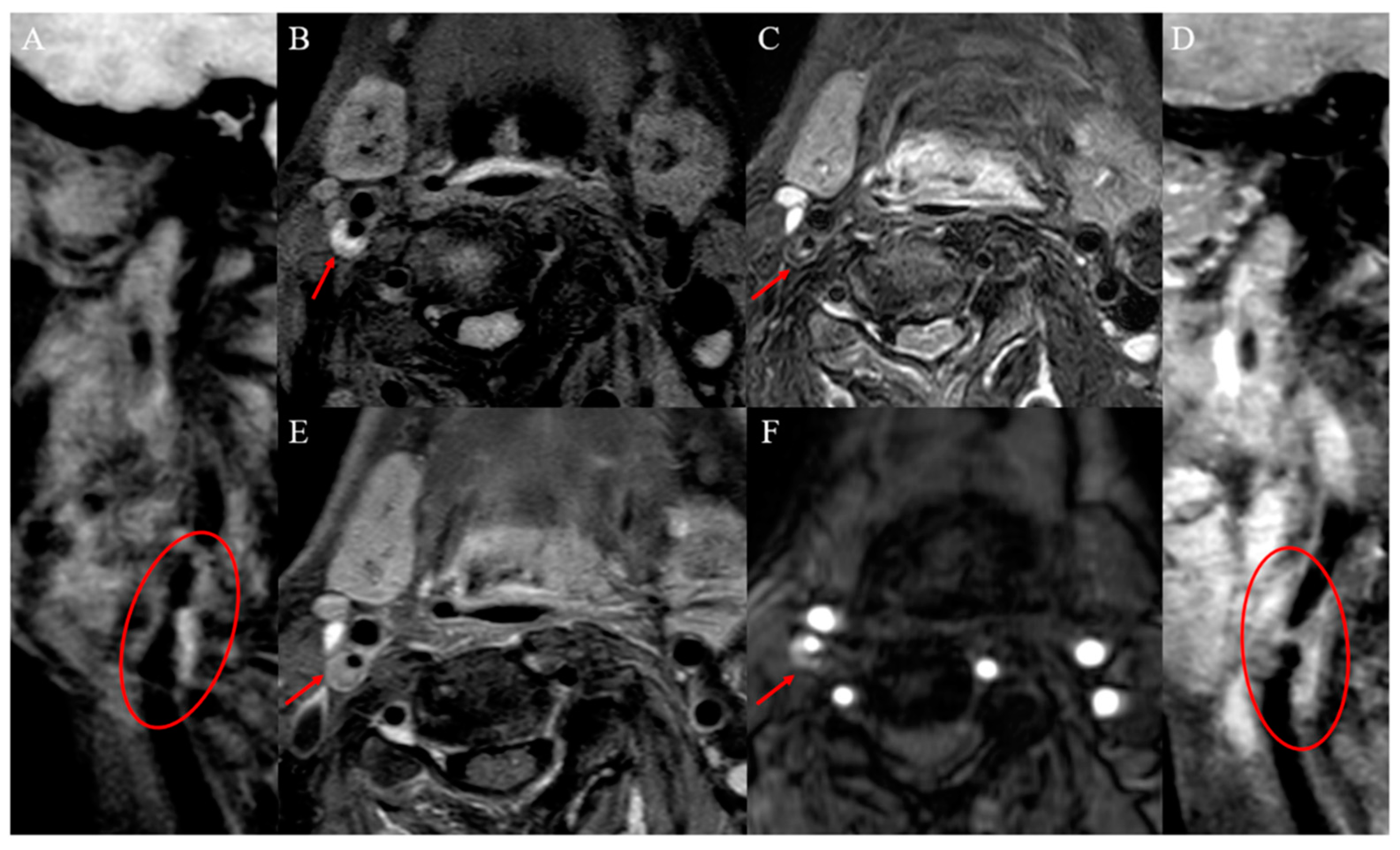
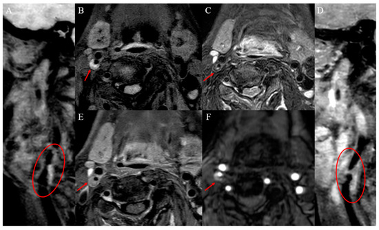
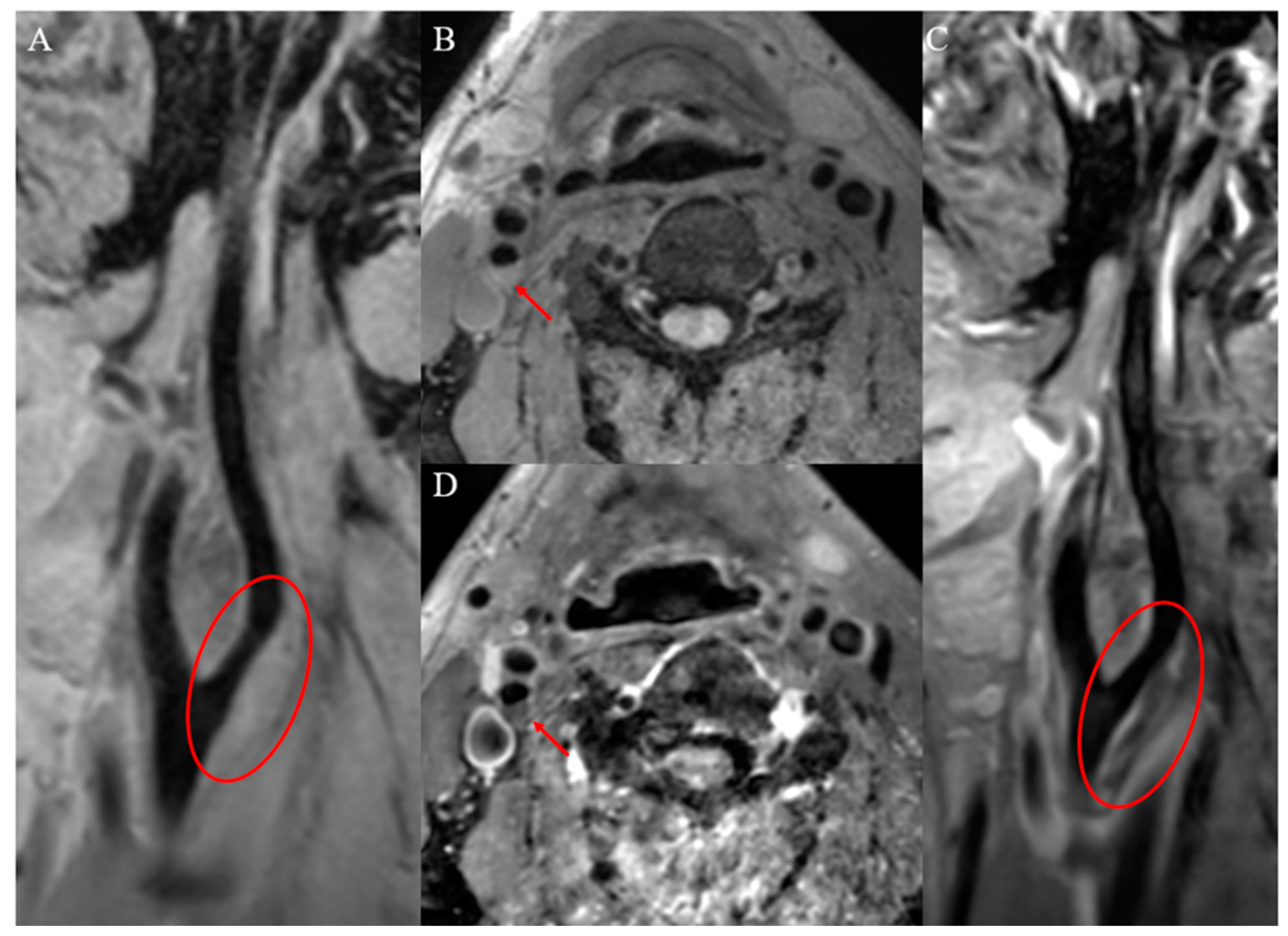
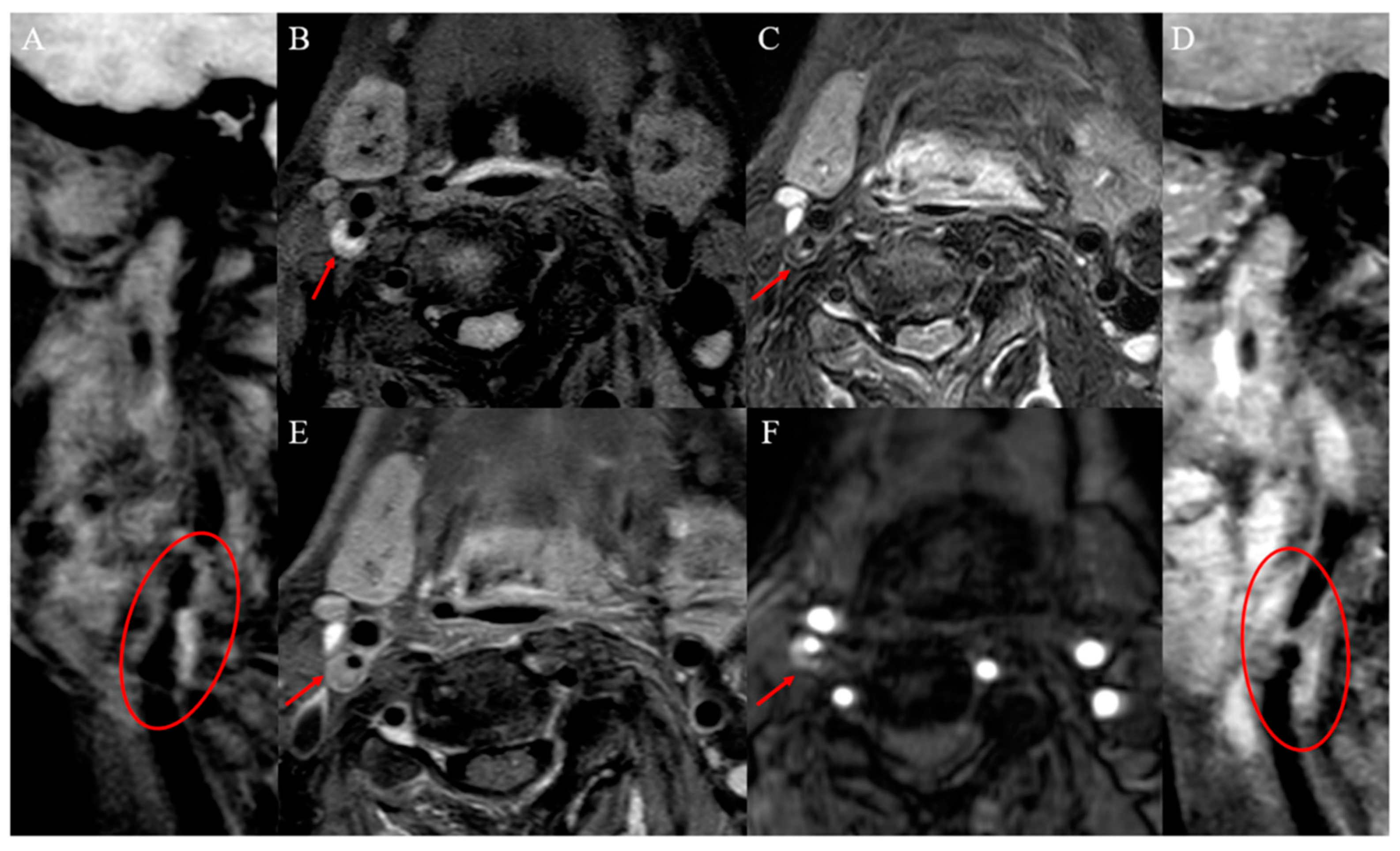
2.1.3. Intraplaque Inflammation and Neovascularization
2.1.4. Plaque Surface Ulceration
2.1.5. Positive Vascular Remodeling
2.2. Quantitative Analysis of Vulnerable Carotid Plaques Based on VW-HRMRI
2.2.1. Plaque Volume and Thickness
2.2.2. Plaque Normalized Wall Index
2.2.3. Plaque Remodeling Index and Vascular Stenosis Ratio
3. Hemodynamic Characteristics of Vulnerable Carotid Plaques
3.1. Hemodynamic Parameters and Formation of Carotid Plaques
3.1.1. WSS and Formation of Carotid Plaques
3.1.2. PG, EL and Carotid Plaque Formation
3.2. Hemodynamic Parameters and Vulnerable Carotid Plaques
3.2.1. WSS and Vulnerable Carotid Plaques
3.2.2. WSS and IPH, LRNC and Plaque Volume
3.2.3. WSS and Vascular Remodeling
3.2.4. PSS, PG and Vulnerable Carotid Plaques
4. Radiomic Research on Vulnerable Plaques
4.1. Radiomic Research on Basilar Artery Plaques
4.2. Radiomic Research on Middle Cerebral Artery and Basilar Artery Plaques
4.3. Radiomic Research on Carotid Artery Plaques
5. Automatic Segmentation of Carotid Atherosclerotic Plaques
6. Conclusions
Author Contributions
Funding
Institutional Review Board Statement
Informed Consent Statement
Conflicts of Interest
References
- Feigin, V.L.; Stark, B.A.; Johnson, C.O.; Roth, G.A.; Bisignano, C.; Abady, G.G.; Abbasifard, M.; Abbasi-Kangevari, M.; Abd-Allah, F.; Abedi, V. Global, regional, and national burden of stroke and its risk factors, 1990–2019: A systematic analysis for the Global Burden of Disease Study 2019. Lancet Neurol. 2021, 20, 795–820. [Google Scholar] [CrossRef] [PubMed]
- Sun, T.; Chen, S.; Wu, K.; Sun, M.; Zhang, X.; You, C. Trends in Incidence and Mortality of Stroke in China From 1990 to 2019. Front. Neurol. 2021, 12, 759221. [Google Scholar] [CrossRef] [PubMed]
- Ma, Y.; Cao, J.; Mubarik, S.; Bai, J.; Yang, D.; Zhao, Y.; Hu, Q.; Yu, C. Age–Period–Cohort Analysis of Long Trend of Mortality for Stroke and Subtypes Attributed to High SBP in Chinese Adults. Front. Neurol. 2022, 13, 710744. [Google Scholar] [CrossRef] [PubMed]
- Xing, L.; Li, R.; Zhang, S.; Li, D.; Dong, B.; Zhou, H.; Jing, L.; Tian, Y.; Liu, S. High burden of carotid atherosclerosis in rural Northeast China: A population-based study. Front. Neurol. 2021, 12, 597992. [Google Scholar] [CrossRef] [PubMed]
- Kurosaki, Y.; Yoshida, K.; Fukuda, H.; Handa, A.; Chin, M.; Yamagata, S. Asymptomatic carotid T1-high-intense plaque as a risk factor for a subsequent cerebrovascular ischemic event. Cerebrovasc. Dis. 2017, 43, 250–256. [Google Scholar] [CrossRef] [PubMed]
- Saba, L.; Yuan, C.; Hatsukami, T.; Balu, N.; Qiao, Y.; DeMarco, J.; Saam, T.; Moody, A.; Li, D.; Matouk, C. Carotid artery wall imaging: Perspective and guidelines from the ASNR vessel wall imaging study group and expert consensus recommendations of the American Society of Neuroradiology. Am. J. Neuroradiol. 2018, 39, E9–E31. [Google Scholar] [CrossRef]
- Fu, Q.; Wang, Y.; Zhang, Y.; Zhang, Y.; Guo, X.; Xu, H.; Yao, Z.; Wang, M.; Levitt, M.R.; Mossa-Basha, M. Qualitative and quantitative wall enhancement on magnetic resonance imaging is associated with symptoms of unruptured intracranial aneurysms. Stroke 2021, 52, 213–222. [Google Scholar] [CrossRef]
- Mandell, D.; Mossa-Basha, M.; Qiao, Y.; Hess, C.; Hui, F.; Matouk, C.; Johnson, M.; Daemen, M.; Vossough, A.; Edjlali, M. Intracranial vessel wall MRI: Principles and expert consensus recommendations of the American Society of Neuroradiology. Am. J. Neuroradiol. 2017, 38, 218–229. [Google Scholar] [CrossRef]
- Li, D.; Zhao, H.; Chen, X.; Chen, S.; Qiao, H.; He, L.; Li, R.; Xu, J.; Yuan, C.; Zhao, X. Identification of intraplaque haemorrhage in carotid artery by simultaneous non-contrast angiography and intraPlaque haemorrhage (SNAP) imaging: A magnetic resonance vessel wall imaging study. Eur. Radiol. 2018, 28, 1681–1686. [Google Scholar] [CrossRef]
- Lu, M.; Cui, Y.; Peng, P.; Qiao, H.; Cai, J.; Zhao, X. Shape and location of carotid atherosclerotic plaque and intraplaque hemorrhage: A high-resolution magnetic resonance imaging study. J. Atheroscler. Thromb. 2019, 26, 720–727. [Google Scholar] [CrossRef]
- Saba, L.; Saam, T.; Jäger, H.R.; Yuan, C.; Hatsukami, T.S.; Saloner, D.; Wasserman, B.A.; Bonati, L.H.; Wintermark, M. Imaging biomarkers of vulnerable carotid plaques for stroke risk prediction and their potential clinical implications. Lancet Neurol. 2019, 18, 559–572. [Google Scholar] [CrossRef] [PubMed]
- Zhang, R.; Zhang, Q.; Ji, A.; Lv, P.; Zhang, J.; Fu, C.; Lin, J. Identification of high-risk carotid plaque with MRI-based radiomics and machine learning. Eur. Radiol. 2021, 31, 3116–3126. [Google Scholar] [CrossRef] [PubMed]
- Zhou, T.; Jia, S.; Wang, X.; Wang, B.; Wang, Z.; Wu, T.; Li, Y.; Chen, Y.; Yang, C.; Li, Q. Diagnostic performance of MRI for detecting intraplaque hemorrhage in the carotid arteries: A meta-analysis. Eur. Radiol. 2019, 29, 5129–5138. [Google Scholar] [CrossRef] [PubMed]
- Brinjikji, W.; DeMarco, J.K.; Shih, R.; Lanzino, G.; Rabinstein, A.A.; Hilditch, C.A.; Nicholson, P.J.; Huston, J., III. Diagnostic accuracy of a clinical carotid plaque MR protocol using a neurovascular coil compared to a surface coil protocol. J. Magn. Reson. Imaging 2018, 48, 1264–1272. [Google Scholar] [CrossRef]
- Singh, N.; Moody, A.R.; Panzov, V.; Gladstone, D.J. Carotid intraplaque hemorrhage in patients with embolic stroke of undetermined source. J. Stroke Cerebrovasc. Dis. 2018, 27, 1956–1959. [Google Scholar] [CrossRef]
- Liu, Y.; Wang, M.; Zhang, B.; Wang, W.; Xu, Y.; Han, Y.; Yuan, C.; Zhao, X. Size of carotid artery intraplaque hemorrhage and acute ischemic stroke: A cardiovascular magnetic resonance Chinese atherosclerosis risk evaluation study. J. Cardiovasc. Magn. Reson. 2019, 21, 36. [Google Scholar] [CrossRef] [PubMed]
- Pletsch-Borba, L.; Selwaness, M.; van der Lugt, A.; Hofman, A.; Franco, O.H.; Vernooij, M.W. Change in carotid plaque components: A 4-year follow-up study with serial MR imaging. JACC Cardiovasc. Imaging 2018, 11, 184–192. [Google Scholar] [CrossRef]
- Wu, F.; Ma, Q.; Song, H.; Guo, X.; Diniz, M.A.; Song, S.S.; Gonzalez, N.R.; Bi, X.; Ji, X.; Li, D. Differential features of culprit intracranial atherosclerotic lesions: A whole-brain vessel wall imaging study in patients with acute ischemic stroke. J. Am. Heart Assoc. 2018, 7, e009705. [Google Scholar] [CrossRef]
- Johnsrud, K.; Skagen, K.; Seierstad, T.; Skjelland, M.; Russell, D.; Revheim, M.-E. 18F-FDG PET/CT for the quantification of inflammation in large carotid artery plaques. J. Nucl. Cardiol. 2019, 26, 883–893. [Google Scholar] [CrossRef]
- Hop, H.; de Boer, S.A.; Reijrink, M.; Kamphuisen, P.W.; de Borst, M.H.; Pol, R.A.; Zeebregts, C.J.; Hillebrands, J.-L.; Slart, R.H.; Boersma, H.H. 18F-sodium fluoride positron emission tomography assessed microcalcifications in culprit and non-culprit human carotid plaques. J. Nucl. Cardiol. 2019, 26, 1064–1075. [Google Scholar] [CrossRef]
- Wang, E.; Shao, S.; Li, S.; Yan, P.; Xiang, Y.; Wang, X.; Li, J.; Wang, G.; Sun, Q.; Du, Y. A high-resolution MRI study of the relationship between plaque enhancement and ischemic stroke events in patients with intracranial atherosclerotic stenosis. Front. Neurol. 2019, 9, 1154. [Google Scholar] [CrossRef] [PubMed]
- Lu, Y.; Ye, M.-F.; Zhao, J.-J.; Diao, S.-S.; Li, T.; Ding, D.-X.; Zhang, L.-L.; Yao, F.-R.; Kong, Y.; Xu, Z. Gadolinium enhancement of atherosclerotic plaque in the intracranial artery. Neurol. Res. 2021, 43, 1040–1049. [Google Scholar] [CrossRef] [PubMed]
- Yuan, X.-M.; Ward, L.J.; Forssell, C.; Siraj, N.; Li, W. Carotid atheroma from men has significantly higher levels of inflammation and iron metabolism enabled by macrophages. Stroke 2018, 49, 419–425. [Google Scholar] [CrossRef]
- Rafailidis, V.; Chryssogonidis, I.; Tegos, T.; Kouskouras, K.; Charitanti-Kouridou, A. Imaging of the ulcerated carotid atherosclerotic plaque: A review of the literature. Insights Into Imaging 2017, 8, 213–225. [Google Scholar] [CrossRef] [PubMed]
- Porambo, M.E.; DeMarco, J.K. MR imaging of vulnerable carotid plaque. Cardiovasc. Diagn. Ther. 2020, 10, 1019. [Google Scholar] [CrossRef]
- Yuan, J.; Makris, G.; Patterson, A.; Usman, A.; Das, T.; Priest, A.; Teng, Z.; Hilborne, S.; Prudencio, D.; Gillard, J. Relationship between carotid plaque surface morphology and perfusion: A 3D DCE-MRI study. Magn. Reson. Mater. Phys. Biol. Med. 2018, 31, 191–199. [Google Scholar] [CrossRef] [PubMed]
- Mitchell, C.; Korcarz, C.E.; Gepner, A.D.; Kaufman, J.D.; Post, W.; Tracy, R.; Gassett, A.J.; Ma, N.; McClelland, R.L.; Stein, J.H. Ultrasound carotid plaque features, cardiovascular disease risk factors and events: The Multi-Ethnic Study of Atherosclerosis. Atherosclerosis 2018, 276, 195–202. [Google Scholar] [CrossRef] [PubMed]
- Kuk, M.; Wannarong, T.; Beletsky, V.; Parraga, G.; Fenster, A.; Spence, J.D. Volume of carotid artery ulceration as a predictor of cardiovascular events. Stroke 2014, 45, 1437–1441. [Google Scholar] [CrossRef]
- Rafailidis, V.; Charitanti, A.; Tegos, T.; Rafailidis, D.; Chryssogonidis, I. Swirling of microbubbles: Demonstration of a new finding of carotid plaque ulceration on contrast-enhanced ultrasound explaining the arterio-arterial embolism mechanism. Clin. Hemorheol. Microcirc. 2016, 64, 245–250. [Google Scholar] [CrossRef]
- Sun, B.; Wang, L.; Li, X.; Zhang, J.; Zhang, J.; Liu, X.; Wu, H.; Mossa-Basha, M.; Xu, J.; Zhao, B. Intracranial atherosclerotic plaque characteristics and burden associated with recurrent acute stroke: A 3D quantitative vessel wall MRI study. Front. Aging Neurosci. 2021, 13, 706544. [Google Scholar] [CrossRef]
- Shi, Z.; Zhao, M.; Li, J.; Meddings, Z.; Shi, Y.; Jiang, T.; Liu, Q.; Deng, B.; Lu, J.; Teng, Z. Association of hypertension with both occurrence and outcome of symptomatic patients with mild intracranial atherosclerotic stenosis: A prospective higher resolution magnetic resonance imaging study. J. Magn. Reson. Imaging 2021, 54, 76–88. [Google Scholar] [CrossRef] [PubMed]
- Qiao, Y.; Anwar, Z.; Intrapiromkul, J.; Liu, L.; Zeiler, S.R.; Leigh, R.; Zhang, Y.; Guallar, E.; Wasserman, B.A. Patterns and implications of intracranial arterial remodeling in stroke patients. Stroke 2016, 47, 434–440. [Google Scholar] [CrossRef] [PubMed]
- Zhao, X.; Hippe, D.S.; Li, R.; Canton, G.M.; Sui, B.; Song, Y.; Li, F.; Xue, Y.; Sun, J.; Yamada, K. Prevalence and characteristics of carotid artery high-risk atherosclerotic plaques in Chinese patients with cerebrovascular symptoms: A Chinese atherosclerosis risk evaluation II study. J. Am. Heart Assoc. 2017, 6, e005831. [Google Scholar] [CrossRef] [PubMed]
- Anzidei, M.; Suri, J.S.; Saba, L.; Sanfilippo, R.; Laddeo, G.; Montisci, R.; Piga, M.; Argiolas, G.M.; Raz, E. Longitudinal assessment of carotid atherosclerosis after radiation therapy using computed tomography: A case control study. Eur. Radiol. 2016, 26, 72–78. [Google Scholar] [CrossRef]
- Lu, M.; Peng, P.; Cui, Y.; Qiao, H.; Li, D.; Cai, J.; Zhao, X. Association of progression of carotid artery wall volume and recurrent transient ischemic attack or stroke: A magnetic resonance imaging study. Stroke 2018, 49, 614–620. [Google Scholar] [CrossRef]
- Lin, G.-H.; Song, J.-X.; Fu, N.-X.; Huang, X.; Lu, H.-X. Quantitative and qualitative analysis of atherosclerotic stenosis in the middle cerebral artery using high-resolution magnetic resonance imaging. Can. Assoc. Radiol. J. 2021, 72, 783–788. [Google Scholar] [CrossRef]
- Zhao, X.; Li, R.; Hippe, D.S.; Hatsukami, T.S.; Yuan, C.; Investigators, C.-I. Chinese Atherosclerosis Risk Evaluation (CARE II) study: A novel cross-sectional, multicentre study of the prevalence of high-risk atherosclerotic carotid plaque in Chinese patients with ischaemic cerebrovascular events—Design and rationale. Stroke Vasc. Neurol. 2017, 2, 15–20. [Google Scholar] [CrossRef]
- Cao, X.; Yang, Q.; Tang, Y.; Pan, L.; Lai, M.; Yu, Z.; Geng, D.; Zhang, J. Normalized wall index, intraplaque hemorrhage and ulceration of carotid plaques correlate with the severity of ischemic stroke. Atherosclerosis 2020, 315, 138–144. [Google Scholar] [CrossRef]
- Lee, H.N.; Ryu, C.-W.; Yun, S.J. Vessel-wall magnetic resonance imaging of intracranial atherosclerotic plaque and ischemic stroke: A systematic review and meta-analysis. Front. Neurol. 2018, 9, 1032. [Google Scholar] [CrossRef]
- Yamada, K.; Yoshimura, S.; Shirakawa, M.; Uchida, K.; Maruyama, F.; Nakahara, S.; Nishida, S.; Iwamoto, Y.; Sato, Y.; Kawasaki, M. High intensity signal in the plaque on routine 3D-TOF MRA is associated with ischemic stroke in the patients with low-grade carotid stenosis. J. Neurol. Sci. 2018, 385, 164–167. [Google Scholar] [CrossRef]
- Cai, Y.; He, L.; Yuan, C.; Chen, H.; Zhang, Q.; Li, R.; Li, C.; Zhao, X. Atherosclerotic plaque features and distribution in bilateral carotid arteries of asymptomatic elderly population: A 3D multicontrast MR vessel wall imaging study. Eur. J. Radiol. 2017, 96, 6–11. [Google Scholar] [CrossRef] [PubMed]
- Chung, G.H.; Kwak, H.S.; Hwang, S.B.; Noh, S.J. Magnetic resonance imaging of intracranial atherosclerosis: Comparison of ex vivo 3T MRI and histologic findings. Eur. J. Radiol. 2017, 97, 110–114. [Google Scholar] [CrossRef] [PubMed]
- Huang, X.; Yin, X.; Xu, Y.; Jia, X.; Li, J.; Niu, P.; Shen, W.; Kassab, G.S.; Tan, W.; Huo, Y. Morphometric and hemodynamic analysis of atherosclerotic progression in human carotid artery bifurcations. Am. J. Physiol. -Heart Circ. Physiol. 2016, 310, H639–H647. [Google Scholar] [CrossRef] [PubMed]
- Sousa, L.C.; Castro, C.F.; António, C.C.; Sousa, F.; Santos, R.; Castro, P.; Azevedo, E. Computational simulation of carotid stenosis and flow dynamics based on patient ultrasound data–A new tool for risk assessment and surgical planning. Adv. Med. Sci. 2016, 61, 32–39. [Google Scholar] [CrossRef]
- Han, Y.F.; Liu, W.H.; Chen, X.L.; Xiong, Y.Y.; Yin, Q.; Xu, G.L.; Zhu, W.S.; Zhang, R.L.; Ma, M.M.; Li, M. Severity assessment of intracranial large artery stenosis by pressure gradient measurements: A feasibility study. Catheter. Cardiovasc. Interv. 2016, 88, 255–261. [Google Scholar] [CrossRef] [PubMed]
- Dyverfeldt, P.; Bissell, M.; Barker, A.J.; Bolger, A.F.; Carlhäll, C.-J.; Ebbers, T.; Francios, C.J.; Frydrychowicz, A.; Geiger, J.; Giese, D. 4D flow cardiovascular magnetic resonance consensus statement. J. Cardiovasc. Magn. Reson. 2015, 17, 72. [Google Scholar] [CrossRef]
- Soleimani, E.; Mokhtari-Dizaji, M.; Saberi, H. A novel non-invasive ultrasonic method to assess total axial stress of the common carotid artery wall in healthy and atherosclerotic men. J. Biomech. 2015, 48, 1860–1867. [Google Scholar] [CrossRef]
- Zhang, G.; Wang, Z.; Zhang, S.; Qin, Y.; Yao, Y.; Tang, X.; Li, L.; Zhou, Y.; Wu, D.; Chaudhary, N. Age and anatomical location related hemodynamic changes assessed by 4D flow MRI in the carotid arteries of healthy adults. Eur. J. Radiol. 2020, 128, 109035. [Google Scholar] [CrossRef]
- Callaghan, F.M.; Bannon, P.; Barin, E.; Celemajer, D.; Jeremy, R.; Figtree, G.; Grieve, S.M. Age-related changes of shape and flow dynamics in healthy adult aortas: A 4D flow MRI study. J. Magn. Reson. Imaging 2019, 49, 90–100. [Google Scholar] [CrossRef]
- Zhang, G.; Zhang, S.; Qin, Y.; Fang, J.; Tang, X.; Li, L.; Zhou, Y.; Wu, D.; Yan, S.; Liu, W.V. Differences in wall shear stress between high-risk and low-risk plaques in patients with moderate carotid artery stenosis: A 4D flow MRI study. Front. Neurosci. 2021, 982, 678358. [Google Scholar] [CrossRef]
- Zhang, B.; Gu, J.; Qian, M.; Niu, L.; Zhou, H.; Ghista, D. Correlation between quantitative analysis of wall shear stress and intima-media thickness in atherosclerosis development in carotid arteries. Biomed. Eng. Online 2017, 16, 137. [Google Scholar] [CrossRef] [PubMed]
- Sriram, K.; Laughlin, J.G.; Rangamani, P.; Tartakovsky, D.M. Shear-induced nitric oxide production by endothelial cells. Biophys. J. 2016, 111, 208–221. [Google Scholar] [CrossRef] [PubMed]
- Schober, A.; Nazari-Jahantigh, M.; Weber, C. MicroRNA-mediated mechanisms of the cellular stress response in atherosclerosis. Nat. Rev. Cardiol. 2015, 12, 361–374. [Google Scholar] [CrossRef] [PubMed]
- Lan, L.; Liu, H.; Ip, V.; Soo, Y.; Abrigo, J.; Fan, F.; Ma, S.H.; Ma, K.; Ip, B.; Liu, J. Regional high wall shear stress associated with stenosis regression in symptomatic intracranial atherosclerotic disease. Stroke 2020, 51, 3064–3073. [Google Scholar] [CrossRef]
- Li, C.-H.; Gao, B.-L.; Wang, J.-W.; Liu, J.-F.; Li, H.; Yang, S.-T. Hemodynamic factors affecting carotid sinus atherosclerotic stenosis. World Neurosurg. 2019, 121, e262–e276. [Google Scholar] [CrossRef]
- Hung, O.Y.; Brown, A.J.; Ahn, S.G.; Veneziani, A.; Giddens, D.P.; Samady, H. Association of wall shear stress with coronary plaque progression and transformation. Interv. Cardiol. Clin. 2015, 4, 491–502. [Google Scholar] [CrossRef]
- Roustaei, M.; Nikmaneshi, M.R.; Firoozabadi, B. Simulation of Low Density Lipoprotein (LDL) permeation into multilayer coronary arterial wall: Interactive effects of wall shear stress and fluid-structure interaction in hypertension. J. Biomech. 2018, 67, 114–122. [Google Scholar] [CrossRef]
- Sia, S.F.; Zhao, X.; Li, R.; Zhang, Y.; Chong, W.; He, L.; Chen, Y. Evaluation of the carotid artery stenosis based on minimization of mechanical energy loss of the blood flow. Proc. Inst. Mech. Eng. Part H J. Eng. Med. 2016, 230, 1051–1058. [Google Scholar] [CrossRef]
- Eshtehardi, P.; Brown, A.J.; Bhargava, A.; Costopoulos, C.; Hung, O.Y.; Corban, M.T.; Hosseini, H.; Gogas, B.D.; Giddens, D.P.; Samady, H. High wall shear stress and high-risk plaque: An emerging concept. Int. J. Cardiovasc. Imaging 2017, 33, 1089–1099. [Google Scholar] [CrossRef] [PubMed]
- Groen, H.C.; Gijsen, F.J.; Van Der Lugt, A.; Ferguson, M.S.; Hatsukami, T.S.; Van Der Steen, A.F.; Yuan, C.; Wentzel, J.J. Plaque rupture in the carotid artery is localized at the high shear stress region: A case report. Stroke 2007, 38, 2379–2381. [Google Scholar] [CrossRef]
- Wu, Z.; Yang, C.; Tang, D. In vivo serial MRI-based models and statistical methods to quantify sensitivity and specificity of mechanical predictors for carotid plaque rupture: Location and beyond. J. Biomech. Eng. 2011, 133, 064503. [Google Scholar] [CrossRef] [PubMed]
- Kernan, W.N.; Ovbiagele, B.; Black, H.R.; Bravata, D.M.; Chimowitz, M.I.; Ezekowitz, M.D.; Fang, M.C.; Fisher, M.; Furie, K.L.; Heck, D.V. Guidelines for the prevention of stroke in patients with stroke and transient ischemic attack: A guideline for healthcare professionals from the American Heart Association/American Stroke Association. Stroke 2014, 45, 2160–2236. [Google Scholar] [CrossRef] [PubMed]
- Bonati, L.H.; Dobson, J.; Featherstone, R.L.; Ederle, J.; van der Worp, H.B.; de Borst, G.J.; Willem, P.T.M.; Beard, J.D.; Cleveland, T.; Engelter, S.T. Long-term outcomes after stenting versus endarterectomy for treatment of symptomatic carotid stenosis: The International Carotid Stenting Study (ICSS) randomised trial. Lancet 2015, 385, 529–538. [Google Scholar] [CrossRef] [PubMed]
- Guala, A.; Teixido-Tura, G.; Dux-Santoy, L.; Granato, C.; Ruiz-Muñoz, A.; Valente, F.; Galian-Gay, L.; Gutiérrez, L.; González-Alujas, T.; Johnson, K. Decreased rotational flow and circumferential wall shear stress as early markers of descending aorta dilation in Marfan syndrome: A 4D flow CMR study. J. Cardiovasc. Magn. Reson. 2019, 21, 63. [Google Scholar] [CrossRef] [PubMed]
- Sotelo, J.; Dux-Santoy, L.; Guala, A.; Rodríguez-Palomares, J.; Evangelista, A.; Sing-Long, C.; Urbina, J.; Mura, J.; Hurtado, D.E.; Uribe, S. 3D axial and circumferential wall shear stress from 4D flow MRI data using a finite element method and a laplacian approach. Magn. Reson. Med. 2018, 79, 2816–2823. [Google Scholar] [CrossRef]
- Choi, G.; Lee, J.M.; Kim, H.-J.; Park, J.-B.; Sankaran, S.; Otake, H.; Doh, J.-H.; Nam, C.-W.; Shin, E.-S.; Taylor, C.A. Coronary artery axial plaque stress and its relationship with lesion geometry: Application of computational fluid dynamics to coronary CT angiography. Cardiovasc. Imaging 2015, 8, 1156–1166. [Google Scholar]
- Wang, Y.; Qiu, J.; Luo, S.; Xie, X.; Zheng, Y.; Zhang, K.; Ye, Z.; Liu, W.; Gregersen, H.; Wang, G. High shear stress induces atherosclerotic vulnerable plaque formation through angiogenesis. Regen. Biomater. 2016, 3, 257–267. [Google Scholar] [CrossRef]
- Tuenter, A.; Selwaness, M.; Lorza, A.A.; Schuurbiers, J.; Speelman, L.; Cibis, M.; van der Lugt, A.; de Bruijne, M.; van der Steen, A.; Franco, O.H. High shear stress relates to intraplaque haemorrhage in asymptomatic carotid plaques. Atherosclerosis 2016, 251, 348–354. [Google Scholar] [CrossRef]
- Wentzel, J.J.; Schuurbiers, J.; Lopez, G.; Gijsen, F.; van der Giessen, A.G.; Groen, H.C.; Dijkstra, J.; Garcia-Garcia, H.M.; Serruys, P.W. In vivo assessment of the relationship between shear stress and necrotic core in early and advanced coronary artery disease. EuroIntervention 2013, 9, 989–995; discussion 995. [Google Scholar] [CrossRef]
- Eshtehardi, P.; McDaniel, M.C.; Suo, J.; Dhawan, S.S.; Timmins, L.H.; Binongo, J.N.G.; Golub, L.J.; Corban, M.T.; Finn, A.V.; Oshinsk, J.N. Association of coronary wall shear stress with atherosclerotic plaque burden, composition, and distribution in patients with coronary artery disease. J. Am. Heart Assoc. 2012, 1, e002543. [Google Scholar] [CrossRef]
- Stone, P.H.; Coskun, A.U.; Kinlay, S.; Clark, M.E.; Sonka, M.; Wahle, A.; Ilegbusi, O.J.; Yeghiazarians, Y.; Popma, J.J.; Orav, J. Effect of endothelial shear stress on the progression of coronary artery disease, vascular remodeling, and in-stent restenosis in humans: In vivo 6-month follow-up study. Circulation 2003, 108, 438–444. [Google Scholar] [CrossRef] [PubMed]
- Stone, P.H.; Coskun, A.U.; Kinlay, S.; Popma, J.J.; Sonka, M.; Wahle, A.; Yeghiazarians, Y.; Maynard, C.; Kuntz, R.E.; Feldman, C.L. Regions of low endothelial shear stress are the sites where coronary plaque progresses and vascular remodelling occurs in humans: An in vivo serial study. Eur. Heart J. 2007, 28, 705–710. [Google Scholar] [CrossRef] [PubMed]
- Samady, H.; Eshtehardi, P.; McDaniel, M.C.; Suo, J.; Dhawan, S.S.; Maynard, C.; Timmins, L.H.; Quyyumi, A.A.; Giddens, D.P. Coronary artery wall shear stress is associated with progression and transformation of atherosclerotic plaque and arterial remodeling in patients with coronary artery disease. Circulation 2011, 124, 779–788. [Google Scholar] [CrossRef] [PubMed]
- Park, J.-B.; Choi, G.; Chun, E.J.; Kim, H.J.; Park, J.; Jung, J.-H.; Lee, M.-H.; Otake, H.; Doh, J.-H.; Nam, C.-W. Computational fluid dynamic measures of wall shear stress are related to coronary lesion characteristics. Heart 2016, 102, 1655–1661. [Google Scholar] [CrossRef] [PubMed]
- Douglas, G.R.; Brown, A.J.; Gillard, J.H.; Bennett, M.R.; Sutcliffe, M.P.; Teng, Z. Impact of fiber structure on the material stability and rupture mechanisms of coronary atherosclerotic plaques. Ann. Biomed. Eng. 2017, 45, 1462–1474. [Google Scholar] [CrossRef] [PubMed]
- Brown, A.J.; Teng, Z.; Calvert, P.A.; Rajani, N.K.; Hennessy, O.; Nerlekar, N.; Obaid, D.R.; Costopoulos, C.; Huang, Y.; Hoole, S.P. Plaque structural stress estimations improve prediction of future major adverse cardiovascular events after intracoronary imaging. Circ. Cardiovasc. Imaging 2016, 9, e004172. [Google Scholar] [CrossRef]
- Costopoulos, C.; Timmins, L.H.; Huang, Y.; Hung, O.Y.; Molony, D.S.; Brown, A.J.; Davis, E.L.; Teng, Z.; Gillard, J.H.; Samady, H. Impact of combined plaque structural stress and wall shear stress on coronary plaque progression, regression, and changes in composition. Eur. Heart J. 2019, 40, 1411–1422. [Google Scholar] [CrossRef]
- Mitchell, C.C.; Korcarz, C.E.; Gepner, A.D.; Nye, R.; Young, R.L.; Matsuzaki, M.; Post, W.S.; Kaufman, J.D.; McClelland, R.L.; Stein, J.H. Carotid artery echolucency, texture features, and incident cardiovascular disease events: The MESA study. J. Am. Heart Assoc. 2019, 8, e010875. [Google Scholar] [CrossRef]
- Huang, C.; He, Q.; Huang, M.; Huang, L.; Zhao, X.; Yuan, C.; Luo, J. Non-invasive identification of vulnerable atherosclerotic plaques using texture analysis in ultrasound carotid elastography: An in vivo feasibility study validated by magnetic resonance imaging. Ultrasound Med. Biol. 2017, 43, 817–830. [Google Scholar] [CrossRef]
- Shi, Z.; Zhu, C.; Degnan, A.J.; Tian, X.; Li, J.; Chen, L.; Zhang, X.; Peng, W.; Chen, C.; Lu, J. Identification of high-risk plaque features in intracranial atherosclerosis: Initial experience using a radiomic approach. Eur. Radiol. 2018, 28, 3912–3921. [Google Scholar] [CrossRef]
- Shi, Z.; Li, J.; Zhao, M.; Peng, W.; Meddings, Z.; Jiang, T.; Liu, Q.; Teng, Z.; Lu, J. Quantitative histogram analysis on intracranial atherosclerotic plaques: A high-resolution magnetic resonance imaging study. Stroke 2020, 51, 2161–2169. [Google Scholar] [CrossRef] [PubMed]
- Menchón-Lara, R.-M.; Sancho-Gómez, J.-L.; Bueno-Crespo, A. Early-stage atherosclerosis detection using deep learning over carotid ultrasound images. Appl. Soft Comput. 2016, 49, 616–628. [Google Scholar] [CrossRef]
- Long, J.; Shelhamer, E.; Darrell, T. Fully convolutional networks for semantic segmentation. In Proceedings of the 2015 IEEE Conference on Computer Vision and Pattern Recognition (CVPR), Boston, MA, USA, 7–12 June 2015; pp. 3431–3440. [Google Scholar]
- Ronneberger, O.; Fischer, P.; Brox, T. U-net: Convolutional networks for biomedical image segmentation. In Proceedings of the Medical Image Computing and Computer-Assisted Intervention—MICCAI 2015, 18th International Conference, Munich, Germany, 5–9 October 2015; pp. 234–241. [Google Scholar]
- Meshram, N.H.; Mitchell, C.C.; Wilbrand, S.; Dempsey, R.J.; Varghese, T. Deep learning for carotid plaque segmentation using a dilated U-Net architecture. Ultrason. Imaging 2020, 42, 221–230. [Google Scholar] [CrossRef] [PubMed]
- Xie, M.; Li, Y.; Xue, Y.; Huntress, L.; Beckerman, W.; Rahimi, S.A.; Ady, J.W.; Roshan, U.W. Two-stage and dual-decoder convolutional U-Net ensembles for reliable vessel and plaque segmentation in carotid ultrasound images. Proceedings of 2020 19th IEEE International Conference on Machine Learning and Applications (ICMLA), Miami, FL, USA, 14–17 December 2020; pp. 1376–1381. [Google Scholar]
- Jiang, M.; Spence, J.D.; Chiu, B. Segmentation of 3D ultrasound carotid vessel wall using U-Net and segmentation average network. Proceedings of 2020 42nd Annual International Conference of the IEEE Engineering in Medicine & Biology Society (EMBC), Montreal, QC, Canada, 20–24 July 2020; pp. 2043–2046. [Google Scholar]
- Dong, Y.; Pan, Y.; Zhao, X.; Li, R.; Yuan, C.; Xu, W. Identifying carotid plaque composition in MRI with convolutional neural networks. Proceedings of 2017 IEEE International Conference on Smart Computing (SMARTCOMP), Hong Kong, China, 29–31 May 2017; pp. 1–8. [Google Scholar]
- Peng, D.; Yu, X.; Peng, W.; Lu, J. DGFAU-Net: Global feature attention upsampling network for medical image segmentation. Neural Comput. Appl. 2021, 33, 12023–12037. [Google Scholar] [CrossRef]
- Liu, W.; Tian, T.; Xu, W.; Yang, H.; Pan, X. PHTrans: Parallelly Aggregating Global and Local Representations for Medical Image Segmentation. arXiv 2022, arXiv:2203.04568. [Google Scholar]



| Quantitative Indicators | Definition and Calculation Formula |
|---|---|
| Plaque volume | Total plaque volume = total wall area × (slice thickness + slice gap) |
| Plaque thickness | Plaque thickness = (the diameter of the outer wall of the lumen diameter of the inner wall of the lumen) at the plaque level. |
| Plaque normalized wall index (NWI) | NWI = wall area (WA)/[lumen area (LA) + wall area (WA)] |
| Plaque remodeling index (RI) | RI = vascular area at the slice with the narrowest lumen/vascular area at the adjacent slice with normal vascular wall |
| Vascular stenosis ratio | Stenosis ratio = (1 – [lumen area at the slice with the narrowest lumen/lumen area at the adjacent slice with normal vascular wall]) × 100% |
| Parameters | Significance |
|---|---|
| Volume | Blood flow volume through the section in unit time |
| Velocity | Blood flow velocity through the section in unit time |
| Wall shear stress (WSS) | The force of blood flow on the vessel wall along the tangent direction of the vessel |
| Energy loss (EL) | Ratio of lost energy to vessel volume in deformation cycle |
| Pressure gradient (PG) | Pressure change per unit distance |
| References | Segmentation Algorithm | 3D | Number of Samples | Segmentation Accuracy |
|---|---|---|---|---|
| Meshram et al. [85] (2020) | U-Net | No | 101 | Automatic: 0.48 Semiautomatic: 0.83 |
| Meshram et al. [85] (2020) | Dilated U-Net | No | 101 | Automatic: 0.55 Semiautomatic: 0.84 |
| Xie et al. [86] (2020) | U-Net | No | 226 | 0.67 |
| Xie et al. [86] (2020) | Dual-decoder convolutional U-Net | No | 226 | 0.69 |
| Jiang et al. [87] (2020) | Three-direction U-Net | Yes | 22 | 0.68 |
Disclaimer/Publisher’s Note: The statements, opinions and data contained in all publications are solely those of the individual author(s) and contributor(s) and not of MDPI and/or the editor(s). MDPI and/or the editor(s) disclaim responsibility for any injury to people or property resulting from any ideas, methods, instructions or products referred to in the content. |
© 2023 by the authors. Licensee MDPI, Basel, Switzerland. This article is an open access article distributed under the terms and conditions of the Creative Commons Attribution (CC BY) license (https://creativecommons.org/licenses/by/4.0/).
Share and Cite
Han, N.; Ma, Y.; Li, Y.; Zheng, Y.; Wu, C.; Gan, T.; Li, M.; Ma, L.; Zhang, J. Imaging and Hemodynamic Characteristics of Vulnerable Carotid Plaques and Artificial Intelligence Applications in Plaque Classification and Segmentation. Brain Sci. 2023, 13, 143. https://doi.org/10.3390/brainsci13010143
Han N, Ma Y, Li Y, Zheng Y, Wu C, Gan T, Li M, Ma L, Zhang J. Imaging and Hemodynamic Characteristics of Vulnerable Carotid Plaques and Artificial Intelligence Applications in Plaque Classification and Segmentation. Brain Sciences. 2023; 13(1):143. https://doi.org/10.3390/brainsci13010143
Chicago/Turabian StyleHan, Na, Yurong Ma, Yan Li, Yu Zheng, Chuang Wu, Tiejun Gan, Min Li, Laiyang Ma, and Jing Zhang. 2023. "Imaging and Hemodynamic Characteristics of Vulnerable Carotid Plaques and Artificial Intelligence Applications in Plaque Classification and Segmentation" Brain Sciences 13, no. 1: 143. https://doi.org/10.3390/brainsci13010143
APA StyleHan, N., Ma, Y., Li, Y., Zheng, Y., Wu, C., Gan, T., Li, M., Ma, L., & Zhang, J. (2023). Imaging and Hemodynamic Characteristics of Vulnerable Carotid Plaques and Artificial Intelligence Applications in Plaque Classification and Segmentation. Brain Sciences, 13(1), 143. https://doi.org/10.3390/brainsci13010143

