Splenial Callosal Disconnection in Right Hemianopic Patients Induces Right Visual-Spatial Neglect
Abstract
:1. Introduction
2. Materials and Methods
2.1. Neuroanatomical Processing
2.2. Neglect Testing
3. Results
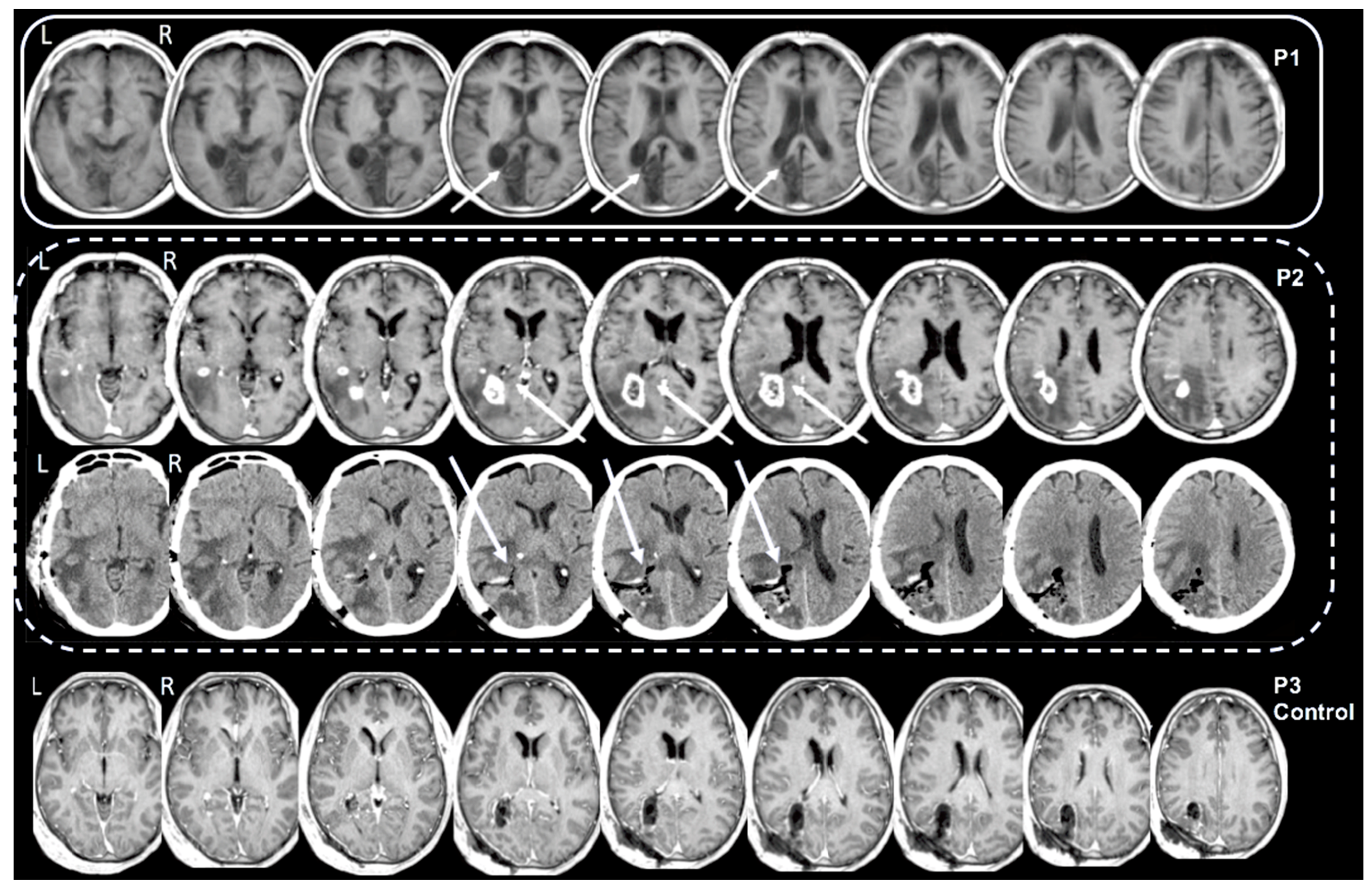
3.1. Localization of the Brain Lesions
3.2. Neglect Testing
4. Discussion
5. Conclusions
Author Contributions
Funding
Institutional Review Board Statement
Informed Consent Statement
Data Availability Statement
Acknowledgments
Conflicts of Interest
References
- Doricchi, F.; Tomaiuolo, F. The anatomy of neglect without hemianopia: A key role for parietal–frontal disconnection? Neuroreport 2003, 14, 2239–2243. [Google Scholar] [CrossRef] [PubMed]
- Thiebaut de Schotten, M.; Urbanski, M.; Duffau, H.; Volle, E.; Lévy, R.; Dubois, B.; Bartolomeo, P. Direct evidence for a parietal-frontal pathway subserving spatial awareness in humans. Science 2005, 309, 2226–2228. [Google Scholar] [CrossRef] [PubMed] [Green Version]
- Doricchi, F.; Thiebaut de Schotten, M.; Tomaiuolo, F.; Bartolomeo, P. White matter (dis)connections and gray matter (dys)functions in visual neglect: Gaining insights into the brain networks of spatial awareness. Cortex 2008, 44, 983–995. [Google Scholar] [CrossRef] [PubMed]
- Aiello, M.; Merola, S.; Doricchi, F. Small numbers in the right brain: Evidence from patients without and with spatial neglect. Cortex 2013, 49, 348–351. [Google Scholar] [CrossRef] [PubMed]
- Lecce, F.; Rotondaro, F.; Bonnì, S.; Carlesimo, A.; Thiebaut de Schotten, M.; Tomaiuolo, F.; Doricchi, F. Cingulate neglect in humans: Disruption of contralesional reward learning in right brain damage. Cortex 2015, 62, 73–88. [Google Scholar] [CrossRef]
- Silvetti, M.; Lasaponara, S.; Lecce, F.; Dragone, A.; Macaluso, E.; Doricchi, F. The Response of the left ventral attentional system to invalid targets and its implication for the spatial neglect syndrome: A multivariate fMRI investigation. Cereb. Cortex 2016, 26, 4551–4562. [Google Scholar] [CrossRef] [Green Version]
- Tomaiuolo, F.; Voci, L.; Bresci, M.; Cozza, S.; Posteraro, F.; Oliva, M.; Doricchi, F. Selective visual neglect in right brain damaged patients with splenial interhemispheric disconnection. Exp. Brain Res. 2010, 206, 209–217. [Google Scholar] [CrossRef]
- Bowen, A.; McKenna, K.; Tallis, R.C. Reasons for variability in the reported rate of occurrence of unilateral spatial neglect after stroke. Stroke 1999, 30, 1196–1202. [Google Scholar] [CrossRef] [Green Version]
- Beis, J.M.; Keller, C.; Morin, N.; Bartolomeo, P.; Bernati, T.; Chokron, S.; Leclercq, M.; Louis-Dreyfus, A.; Marchal, F.; Martin, Y.; et al. Right spatial neglect after left hemisphere stroke: Qualitative and quantitative study. Neurology 2004, 63, 1600–1605. [Google Scholar] [CrossRef]
- Bird, C.M.; Malhotra, P.; Parton, A.; Coulthard, E.; Rushworth, M.F.; Husain, M. Visual neglect after right posterior cerebral artery infarction. J. Neurol. Neurosurg. Psychiatry 2006, 77, 1008–1012. [Google Scholar] [CrossRef] [Green Version]
- Lunven, M.; Thiebaut de Schotten, M.; Bourlon, C.; Duret, C.; Migliaccio, R.; Rode, G.; Bartolomeo, P. White matter lesional predictors of chronic visual neglect: A longitudinal study. Brain 2015, 138, 746–760. [Google Scholar] [CrossRef] [PubMed]
- Park, K.C.; Lee, B.H.; Kim, E.J.; Shin, M.H.; Choi, K.M.; Yoon, S.S.; Kwon, S.U.; Chung, C.S.; Lee, K.H.; Heilman, K.M.; et al. Deafferentation-disconnection neglect induced by posterior cerebral artery infarction. Neurology 2006, 66, 56–61. [Google Scholar] [CrossRef] [PubMed]
- Tomaiuolo, F.; Campana, S.; Cecchetti, L.; Galli, R.; Zucco, G.M.; Lasaponara, S.; Doricchi, F. Concomitant recovery from left spatial neglect and inflammatory dysfunction of white-matter pathways in a case of acute disseminated encephalo-myelitis (ADEM). Cortex 2019, 119, 231–236. [Google Scholar] [CrossRef] [PubMed]
- Gaffan, D.; Hornak, J. Visual neglect in the monkey. Representation and disconnection. Brain 1997, 120, 1647–1657. [Google Scholar] [CrossRef] [Green Version]
- Lunven, M.; Thiebaut de Schotten, M.; Glize, B.; Migliaccio, R.; Jacquin-Courtois, S.; Cotton, F.; Bartolomeo, P.; Rode, G. Effector-dependent neglect and splenial disconnection: A spherical deconvolution tractography study. Exp. Brain Res. 2014, 232, 3727–3736. [Google Scholar] [CrossRef]
- Sperber, C.; Clausen, J.; Benke, T.; Karnath, H.O. The anatomy of spatial neglect after posterior cerebral artery stroke. Brain Communications 2020, 2, fcaa163. [Google Scholar] [CrossRef]
- Cocchini, G.; Beschin, N.; Jehkonen, M. The Fluff Test: A simple task to assess body representation neglect. Neuropsychol. Rehabil. 2001, 11, 17–31. [Google Scholar] [CrossRef]
- Teasdale, G.; Jennett, B. Assessment of coma and impaired consciousness. A practical scale. Lancet 1974, 2, 81–84. [Google Scholar] [CrossRef]
- Nasreddine, Z.S.; Phillips, N.A.; Bédirian, V.; Charbonneau, S.; Whitehead, V.; Collin, I.; Cummings, J.L.; Chertkow, H. The Montreal Cognitive Assessment, MoCA: A brief screening tool for mild cognitive impairment. J. Am. Geriatr. Soc. 2005, 53, 695–699. [Google Scholar] [CrossRef]
- Petrides, M. Atlas of the Morphology of the Human Cerebral Cortex on the Average MNI Brain; Academic Press: London, UK, 2019. [Google Scholar]
- Rorden, C.; Brett, M. Stereotaxic display of brain lesions. Behav. Neurol. 2000, 12, 191–200. [Google Scholar] [CrossRef]
- Petrides, M. Neuroanatomy of Language Regions of the Human Brain; Academic Press: London, UK, 2014. [Google Scholar]
- Azouvi, P.; Samuel, C.; Louis-Dreyfus, A.; Bernati, T.; Bartolomeo, P.; Beis, J.M.; Chokron, S.; Leclercq, M.; Marchal, F.; Martin, Y.; et al. Sensitivity of clinical and behavioural tests of spatial neglect after right hemisphere stroke. J. Neurol. Neurosurg. Psychiatry 2002, 73, 160–166. [Google Scholar] [CrossRef] [PubMed] [Green Version]
- Albert, M.L. A simple test of visual neglect. Neurology 1973, 23, 658–664. [Google Scholar] [CrossRef] [PubMed]
- Diller, L.; Weinberg, J.; Gordon, W.; Goodkin, R.; Gerstman, L.J.; Ben-Yishay, Y. Studies in Cognition and Rehabilitation in Hemiplegia; University Medical Center: New York, NY, USA, 1974; p. 50. [Google Scholar]
- Vallar, G.; Rusconi, M.L.; Fontana, S.; Musicco, M. Tre test di esplorazione visuo-spaziale: Taratura su 212 soggetti normali. Arch. Psicol. Neurol. Psichiatr. 1994, 55, 827–841. [Google Scholar]
- Folaron, M.; Strawbridge, R.; Samkoe, K.S.; Filan, C.; Roberts, D.W.; Davis, S.C. Elucidating the kinetics of sodium fluorescein for fluorescence-guided surgery of glioma. J. Neurosurg. 2018, 131, 724–734. [Google Scholar] [CrossRef] [Green Version]
- Hofer, S.; Frahm, J. Topography of the human corpus callosum revisited--comprehensive fiber tractography using diffusion tensor magnetic resonance imaging. NeuroImage 2006, 32, 989–994. [Google Scholar] [CrossRef]
- Krauzlis, R.J.; Lovejoy, L.P.; Zénon, A. Superior colliculus and visual spatial attention. Annu. Rev. Neurosci. 2013, 36, 165–182. [Google Scholar] [CrossRef] [Green Version]
- Nyffeler, T.; Kaufmann, B.C.; Cazzoli, D. Visual neglect after an isolated lesion of the superior colliculus. JAMA Neurol. 2021, 78, 1531–1533. [Google Scholar] [CrossRef]



| Neglect Testing | P1 | P2 | P3 (Control) | Cut-Off | |||
|---|---|---|---|---|---|---|---|
| Pre-Surgery | Post-Surgery | Pre-Surgery | Post-Surgery | ||||
| Line Bisection [23] (distance from the center of the line) | 100 mm | 1 | 0 | 8 | 0 | 0 | >3 mm |
| 200 mm | 28.6 | 2 | 53 | 0 | 0 | >6 mm | |
| Line Cancellation [24] | Left | 9/10 | 10/10 | 10/10 | 10/10 | 10/10 | |
| Right | 0/11 | 11/11 | 10/11 | 11/11 | 11/11 | ||
| (between-sides difference) | 9 | 0 | 1 | 0 | 0 | >0 | |
| Letter or Symbol Cancellation [26] | Left | 4/53 | - | 29/53 | 53/53 | 53/53 | |
| Right | 0/51 | - | 8/51 | 51/51 | 51/51 | ||
| (between-sides difference) | 4 | 21 | 0 | >3 | |||
| Room Inspection | Left | 5/5 | - | 5/5 | 5/5 | 5/5 | |
| Right | 2/5 | - | 2/5 | 5/5 | 5/5 | ||
| (between-sides difference) | 3 | 3 | 0 | >0 | |||
| Personal-body, Fluff test [17] | Left | 9/9 | - | 9/9 | - | 9/9 | |
| Right | 13/15 | - | 13/15 | - | 15/15 | <12 | |
Publisher’s Note: MDPI stays neutral with regard to jurisdictional claims in published maps and institutional affiliations. |
© 2022 by the authors. Licensee MDPI, Basel, Switzerland. This article is an open access article distributed under the terms and conditions of the Creative Commons Attribution (CC BY) license (https://creativecommons.org/licenses/by/4.0/).
Share and Cite
Tomaiuolo, F.; Raffa, G.; Campana, S.; Garufi, G.; Lasaponara, S.; Voci, L.; Cardali, S.M.; Germanò, A.; Doricchi, F.; Petrides, M. Splenial Callosal Disconnection in Right Hemianopic Patients Induces Right Visual-Spatial Neglect. Brain Sci. 2022, 12, 640. https://doi.org/10.3390/brainsci12050640
Tomaiuolo F, Raffa G, Campana S, Garufi G, Lasaponara S, Voci L, Cardali SM, Germanò A, Doricchi F, Petrides M. Splenial Callosal Disconnection in Right Hemianopic Patients Induces Right Visual-Spatial Neglect. Brain Sciences. 2022; 12(5):640. https://doi.org/10.3390/brainsci12050640
Chicago/Turabian StyleTomaiuolo, Francesco, Giovanni Raffa, Serena Campana, Giada Garufi, Stefano Lasaponara, Loredana Voci, Salvatore M. Cardali, Antonino Germanò, Fabrizio Doricchi, and Michael Petrides. 2022. "Splenial Callosal Disconnection in Right Hemianopic Patients Induces Right Visual-Spatial Neglect" Brain Sciences 12, no. 5: 640. https://doi.org/10.3390/brainsci12050640
APA StyleTomaiuolo, F., Raffa, G., Campana, S., Garufi, G., Lasaponara, S., Voci, L., Cardali, S. M., Germanò, A., Doricchi, F., & Petrides, M. (2022). Splenial Callosal Disconnection in Right Hemianopic Patients Induces Right Visual-Spatial Neglect. Brain Sciences, 12(5), 640. https://doi.org/10.3390/brainsci12050640

