Comprehensive Evaluation of Factors Affecting Tremor Relapse after MRgFUS Thalamotomy: A Case-Control Study
Abstract
:1. Introduction
2. Materials and Methods
2.1. Procedural Data Were Retrieved from Procedural Reports and Included
- Skull area (cm2), i.e., the cranial surface available to be crossed by active transducers (lower cut-off value 350 cm2);
- Active elements, i.e., the number of active transducers (lower cut-off value: 700)
- Sonications, i.e., the total number of sonications performed during the treatment;
- Target movements, i.e., the number of target coordinate shifts performed during the treatment;
- Maximum power (Watt), i.e., the maximum power level set during sonications;
- Maximum energy (Joule), i.e., the maximum energy level set during sonications;
- Mean temperature (°C), i.e., the highest value of mean temperature reached during sonications;
- Maximum sonication duration, i.e., duration of each sonication expressed in seconds.
2.2. Imaging Evaluation Included
- Measurement of the lesion size at the thalamus level, expressed in millimeters, measured as the maximum diameter of T2-weighted sequences in the axial plane. All examinations were performed using a 3-Tesla MR scanner (MR750w, GE Healthcare) with a 32-channel head coil. Acquisition parameters were: slice 3.0–0.3, TR 7854, freq. FOV 26, phase FOV 0.8. The same MRI protocol was applied for the follow-up examinations at 24 h, one month, six months, and 12 months after treatment. Thalamotomy lesions were manually measured on a PACS workstation (Vuemotion, Carestream Health) by two neuroradiologists (A.C., F.B., with 16 and 4 years of experience in neuroimaging, respectively) using a digital ruler tool. The slice at the thalamus level that showed the greatest extent of the lesion and edema was chosen.
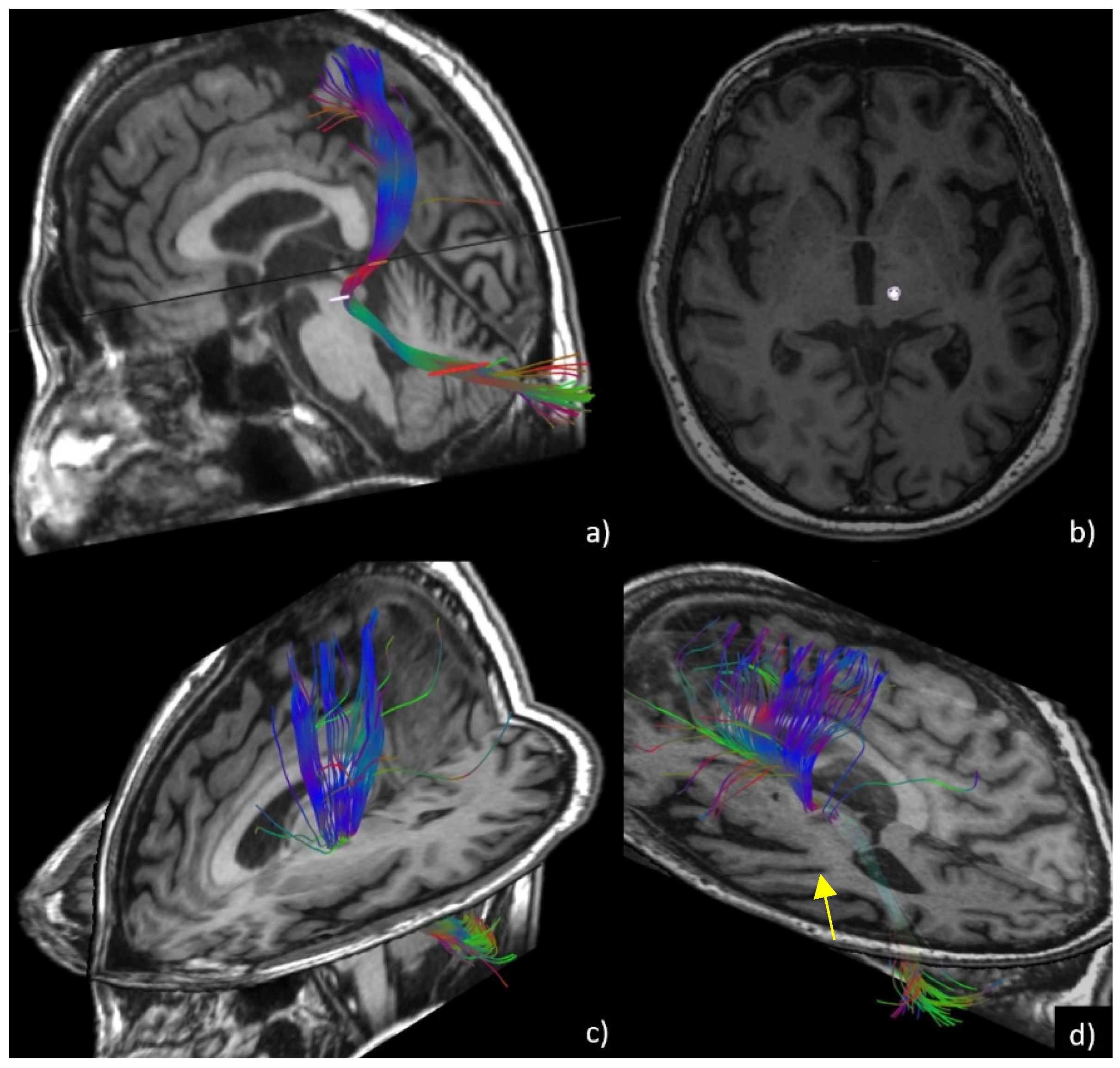
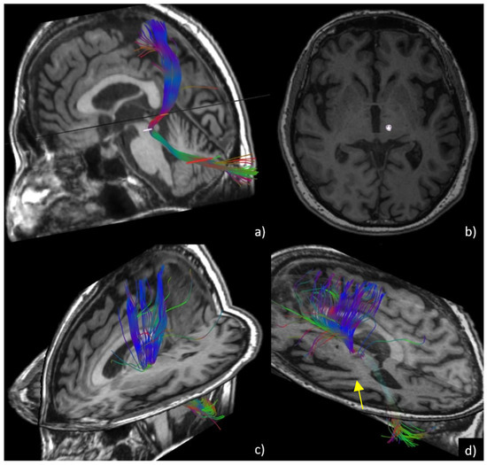
- Tractography evaluation of the dentato-rubro-thalamic tract (DRTt) before and six months after treatment. DTI sequences were acquired using the following parameters: 33 diffusion directions, TR 5700 ms, TE 98 ms, parallel imaging (acceleration factor two), 3 mm slice thickness, 39 slices, matrix 128 × 128, 230 mm FOV, b value 1000 s/mm2, acquisition time 4:01 min. A T1-weighted 3D IR FSPGR BRAVO sequence with multiplanar reconstructions was also acquired (parameters: FOV 24, slice thickness 1.6 mm, flip angle 20°, prep time 450, TE 3.2, matrix 256 × 192, NEX 3, duration 13 min). Probabilistic fiber tracking was performed using a dedicated software (Brainance MD, Advantis Medical Imaging, Eindhoven, NL). An EPI correction tool for distortion correction was applied before image analysis. The fractional anisotropy threshold was set at 0.15, minimum fiber length 0 mm, maximum fiber length 200 mm, angular threshold 27°, and step size 1 mm. The dentato-rubro-thalamic tract (DRTt) was obtained by manual definition of the following three regions of interest (ROIs) on axial images, as described in previous experiments [21]: the cerebellar dentate nucleus ipsilateral to the target, the ipsilateral red nucleus, and the supposed location of the ipsilateral Vim at the level of the thalamus on the AC-PC plane. We evaluated whether the bundle was eccentric or central with respect to the thalamotomy lesion using post-procedural images six months after treatment. Similar to the methods described by Miller et al. [9], the two neuroradiologists measured the amount of overlap between the thalamotomy lesions and the DRTts and classified the bundle position as central (overlap > 50%) or eccentric (overlap < 50%). Moreover, ADC and FA values at the thalamotomy level were measured using the ROI previously set for DRTt tractography (Figure 1).
2.3. Statistical Analysis
3. Results
3.1. Clinical and Demographic Parameters
3.1.1. Procedural Parameters
3.1.2. Imaging Parameters
4. Discussion
4.1. Clinical and Demographic Data
4.2. Technical and Procedural Parameters
4.3. Imaging Findings
5. Conclusions
Author Contributions
Funding
Institutional Review Board Statement
Informed Consent Statement
Data Availability Statement
Conflicts of Interest
References
- Bruno, F.; Catalucci, A.; Arrigoni, F.; Sucapane, P.; Cerone, D.; Cerrone, P.; Ricci, A.; Marini, C.; Masciocchi, C. An experience-based review of HIFU in functional interventional neuroradiology: Transcranial MRgFUS thalamotomy for treatment of tremor. Radiol. Med. 2020, 125, 877–886. [Google Scholar] [CrossRef] [PubMed]
- Quadri, S.A.; Waqas, M.; Khan, I.; Khan, M.A.; Suriya, S.S.; Farooqui, M.; Fiani, B. High-intensity focused ultrasound: Past, present, and future in neurosurgery. Neurosurg. Focus 2018, 44, E16. [Google Scholar] [CrossRef] [Green Version]
- Lee, E.J.; Fomenko, A.; Lozano, A.M. Magnetic Resonance-Guided Focused Ultrasound : Current Status and Future Perspectives in Thermal Ablation and Blood-Brain Barrier Opening. J. Korean Neurosurg. Soc. 2019, 62, 10–26. [Google Scholar] [CrossRef] [Green Version]
- Gallay, M.N.; Moser, D.; Jeanmonod, D. Safety and accuracy of incisionless transcranial MR-guided focused ultrasound functional neurosurgery: Single-center experience with 253 targets in 180 treatments. J. Neurosurg. 2018, 1–10. [Google Scholar] [CrossRef] [Green Version]
- Giammalva, G.R.; Gagliardo, C.; Marrone, S.; Paolini, F.; Gerardi, R.M.; Umana, G.E.; Yagmurlu, K.; Chaurasia, B.; Scalia, G.; Midiri, F.; et al. Focused Ultrasound in Neuroscience. State of the Art and Future Perspectives. Brain Sci. 2021, 11, 84. [Google Scholar] [CrossRef]
- Gagliardo, C.; Cannella, R.; D′Angelo, C.; Toia, P.; Salvaggio, G.; Feraco, P.; Marrale, M.; Iacopino, D.G.; D′Amelio, M.; La Tona, G.; et al. Transcranial Magnetic Resonance Imaging-Guided Focused Ultrasound with a 1.5 Tesla Scanner: A Prospective Intraindividual Comparison Study of Intraoperative Imaging. Brain Sci. 2021, 11, 46. [Google Scholar] [CrossRef]
- Ito, H.; Yamamoto, K.; Fukutake, S.; Odo, T.; Kamei, T. Two-year Follow-up Results of Magnetic Resonance Imaging-guided Focused Ultrasound Unilateral Thalamotomy for Medication-refractory Essential Tremor. Intern. Med. 2020, 59, 2481–2483. [Google Scholar] [CrossRef]
- Martinez-Fernandez, R.; Pineda-Pardo, J.A. Magnetic resonance-guided focused ultrasound for movement disorders: Clinical and neuroimaging advances. Curr. Opin. Neurol. 2020, 33, 488–497. [Google Scholar] [CrossRef] [PubMed]
- Miller, T.R.; Zhuo, J.; Eisenberg, H.M.; Fishman, P.S.; Melhem, E.R.; Gullapalli, R.; Gandhi, D. Targeting of the dentato-rubro-thalamic tract for MR-guided focused ultrasound treatment of essential tremor. Neuroradiol. J. 2019, 32, 401–407. [Google Scholar] [CrossRef] [PubMed]
- Seasons, G.M.; Mazerolle, E.L.; Sankar, T.; Martino, D.; Kiss, Z.H.T.; Pichardo, S.; Pike, G.B. Predicting high-intensity focused ultrasound thalamotomy lesions using 2D magnetic resonance thermometry and 3D Gaussian modeling. Med. Phys. 2019, 46, 5722–5732. [Google Scholar] [CrossRef]
- Wang, T.R.; Bond, A.E.; Dallapiazza, R.F.; Blanke, A.; Tilden, D.; Huerta, T.E.; Moosa, S.; Prada, F.U.; Elias, W.J. Transcranial magnetic resonance imaging-guided focused ultrasound thalamotomy for tremor: Technical note. Neurosurg. Focus 2018, 44, E3. [Google Scholar] [CrossRef] [Green Version]
- Gagliardo, C.; Cannella, R.; Filorizzo, G.; Toia, P.; Salvaggio, G.; Collura, G.; Pignolo, A.; Maugeri, R.; Napoli, A.; D′Amelio, M.; et al. Preoperative imaging findings in patients undergoing transcranial magnetic resonance imaging-guided focused ultrasound thalamotomy. Sci. Rep. 2021, 11, 2524. [Google Scholar] [CrossRef]
- Huang, Y.; Lipsman, N.; Schwartz, M.L.; Krishna, V.; Sammartino, F.; Lozano, A.M.; Hynynen, K. Predicting lesion size by accumulated thermal dose in MR-guided focused ultrasound for essential tremor. Med. Phys. 2018, 45, 4704–4710. [Google Scholar] [CrossRef]
- Lin, F.; Wu, D.; Yu, J.; Weng, H.; Chen, L.; Meng, F.; Chen, Y.; Ye, Q.; Cai, G. Comparison of efficacy of deep brain stimulation and focused ultrasound in parkinsonian tremor: A systematic review and network meta-analysis. J. Neurol. Neurosurg. Psychiatry 2021, 92, 434–443. [Google Scholar] [CrossRef]
- Pooja, N.A.; Pahuja, S.K.; Veer, K. Significance of MRI Guided Focused Ultrasound Thalamotomy for Parkinson′s Disease: A Review. Curr. Med. Imaging 2021, 17, 714–719. [Google Scholar] [CrossRef] [PubMed]
- Schlesinger, I.; Sinai, A.; Zaaroor, M. Assessing Tremor and Adverse Events in Patients With Tremor-Dominant Parkinson Disease Undergoing Focused Ultrasound Thalamotomy. JAMA Neurol. 2018, 75, 632–633. [Google Scholar] [CrossRef] [PubMed]
- Krishna, V.; Sammartino, F.; Cosgrove, R.; Ghanouni, P.; Schwartz, M.; Gwinn, R.; Eisenberg, H.; Fishman, P.; Chang, J.W.; Taira, T.; et al. Predictors of Outcomes After Focused Ultrasound Thalamotomy. Neurosurgery 2020, 87, 229–237. [Google Scholar] [CrossRef] [PubMed]
- Boutet, A.; Gwun, D.; Gramer, R.; Ranjan, M.; Elias, G.J.B.; Tilden, D.; Huang, Y.; Li, S.X.; Davidson, B.; Lu, H.; et al. The relevance of skull density ratio in selecting candidates for transcranial MR-guided focused ultrasound. J. Neurosurg. 2019, 132, 1785–1791. [Google Scholar] [CrossRef] [PubMed]
- Chang, K.W.; Park, Y.S.; Chang, J.W. Skull Factors Affecting Outcomes of Magnetic Resonance-Guided Focused Ultrasound for Patients with Essential Tremor. Yonsei Med. J. 2019, 60, 768–773. [Google Scholar] [CrossRef]
- Keil, V.C.; Borger, V.; Purrer, V.; Groetz, S.F.; Scheef, L.; Boecker, H.; Schild, H.H.; Kindler, C.; Schmitt, A.; Solymosi, L.; et al. MRI follow-up after magnetic resonance-guided focused ultrasound for non-invasive thalamotomy: The neuroradiologist′s perspective. Neuroradiology 2020, 62, 1111–1122. [Google Scholar] [CrossRef]
- Bruno, F.; Catalucci, A.; Varrassi, M.; Arrigoni, F.; Sucapane, P.; Cerone, D.; Pistoia, F.; Torlone, S.; Tommasino, E.; De Santis, L.; et al. Comparative evaluation of tractography-based direct targeting and atlas-based indirect targeting of the ventral intermediate (Vim) nucleus in MRgFUS thalamotomy. Sci. Rep. 2021, 11, 13538. [Google Scholar] [CrossRef]
- Chazen, J.L.; Sarva, H.; Stieg, P.E.; Min, R.J.; Ballon, D.J.; Pryor, K.O.; Riegelhaupt, P.M.; Kaplitt, M.G. Clinical improvement associated with targeted interruption of the cerebellothalamic tract following MR-guided focused ultrasound for essential tremor. J. Neurosurg. 2018, 129, 315–323. [Google Scholar] [CrossRef] [Green Version]
- Federau, C.; Goubran, M.; Rosenberg, J.; Henderson, J.; Halpern, C.H.; Santini, V.; Wintermark, M.; Butts Pauly, K.; Ghanouni, P. Transcranial MRI-guided high-intensity focused ultrasound for treatment of essential tremor: A pilot study on the correlation between lesion size, lesion location, thermal dose, and clinical outcome. J. Magn. Reson. Imaging 2018, 48, 58–65. [Google Scholar] [CrossRef] [PubMed]
- Schlesinger, I.; Sinai, A.; Zaaroor, M. MRI-Guided Focused Ultrasound in Parkinson’s Disease: A Review. Parkinsons Dis. 2017, 2017, 8124624. [Google Scholar] [CrossRef] [PubMed]
- Schlesinger, I.; Sinai, A.; Nassar, M.; Eran, A.; Zaaroor, M. Effect of Gender on Outcome of Treatment for Tremor with Mri Guided Focused Ultrasound. Harefuah 2019, 158, 343–346. [Google Scholar] [PubMed]
- Jameel, A.; Bain, P.; Nandi, D.; Jones, B.; Gedroyc, W. Device profile of exAblate Neuro 4000, the leading system for brain magnetic resonance guided focused ultrasound technology: An overview of its safety and efficacy in the treatment of medically refractory essential tremor. Expert Rev. Med. Devices 2021, 18, 429–437. [Google Scholar] [CrossRef]
- Tsai, K.W.; Chen, J.C.; Lai, H.C.; Chang, W.C.; Taira, T.; Chang, J.W.; Wei, C.Y. The Distribution of Skull Score and Skull Density Ratio in Tremor Patients for MR-Guided Focused Ultrasound Thalamotomy. Front Neurosci. 2021, 15, 612940. [Google Scholar] [CrossRef]
- Atkinson, J.D.; Collins, D.L.; Bertrand, G.; Peters, T.M.; Pike, G.B.; Sadikot, A.F. Optimal location of thalamotomy lesions for tremor associated with Parkinson disease: A probabilistic analysis based on postoperative magnetic resonance imaging and an integrated digital atlas. J. Neurosurg. 2002, 96, 854–866. [Google Scholar] [CrossRef] [Green Version]
- Kapadia, A.N.; Elias, G.J.B.; Boutet, A.; Germann, J.; Pancholi, A.; Chu, P.; Zhong, J.; Fasano, A.; Munhoz, R.; Chow, C.; et al. Multimodal MRI for MRgFUS in essential tremor: Post-treatment radiological markers of clinical outcome. J. Neurol. Neurosurg. Psychiatry 2020, 91, 921–927. [Google Scholar] [CrossRef]
- Zur, G.; Lesman-Segev, O.H.; Schlesinger, I.; Goldsher, D.; Sinai, A.; Zaaroor, M.; Assaf, Y.; Eran, A.; Kahn, I. Tremor Relief and Structural Integrity after MRI-guided Focused US Thalamotomy in Tremor Disorders. Radiology 2020, 294, 676–685. [Google Scholar] [CrossRef]


| Study Group | Control Group | |
|---|---|---|
| sex (m/f) | 8/3 | 8/3 | 
| pathology (et/pd) | 3/8 | 3/8 | 
| disease duration | 11.72 ± 8.03 (3–30) | 18.81 ± 7.44 (2–39) | 
| age | 61.81 ± 9.26 (47–74) | 67.36 ± 8.26 (57–78) | 
| ftm | 29.54 ± 7.96 (18–43) | 29.63 ± 11.53 (6–48) | 
| sdr | 0.47 ± 0.06 (0.35–0.57) | 0.43 ± 0.08 (0.27–0.57) | 
| Clinical Features | Study Group | Control Group | p-Value | 
|---|---|---|---|
| pd | 8 (72.7%) | 18 (43.7%) | <0.05 | 
| et | 3 (27.3%) | 23 (56.3%) | |
| Age (Years) | 61.8 ± 9.26 (47–74) | 67.1 ± 10.49 (48–85) | 0.144 | 
| Gender | 3 F; 8 M | 10 F; 31 M | 0.84 | 
| Disease Duration (Years) | 9.9 ± 5.57 (3–19) | 16.94 ± 8.53 (2–31) | 0.022 | 
| sdr | 0.48 ± 0.06 (0.35–0.57) | 0.43 ± 0.09 (0.27–0.57) | 0.001 | 
| Study Group | Control Group | p-Value | |
|---|---|---|---|
| Skull Area (mm2) | 330 ± 22.73 (302–384) | 327.64 ± 32.29 (289–378) | 0.979 | 
| Accumulated Thermal Dose (ATD) Area (mm2) | 26.54 ± 15.35 (6–50) | 16.18 ± 12.58 (1–41) | 0.001 | 
| Accumulated Thermal Dose (ATD) Temperature (°C) | 54.18 ± 2.2 (51–58) | 54.09 ± 2.35 (49–57) | 0.689 | 
| Elements (n) | 903 ± 53.07 (809–984) | 893 ± 29.09 (835–939) | 0.171 | 
| Sonications (n) | 12.82 ± 3.35 (7–19) | 12.27 ± 3.49 (7–18) | 0.715 | 
| Power (W) | 753.73 ± 128.76 (453–990) | 848 ± 132.51 (651–1100) | 0.002 | 
| Target Movements | 2.09 ± 2.47 (0–7) | 1.18 ± 1.61 (0–5) | 0.035 | 
| Energy (J) | 12,492.46 ± 5791.50 (5200–26,000) | 17,821.46 ± 7935.42 (8337–31,700) | 0.009 | 
| Temperature (°C) | 62.82 ± 2.93 (58–68) | 59.91 ± 3.14 (56–64) | 0.004 | 
| Sonication Duration (s) | 20.62 ± 7.78 (13–35) | 28 ± 12.88 (13–50) | 0.042 | 
| 1 Day | 1 Month | 6 Months | 1 Year | |
|---|---|---|---|---|
| Study Group | 7.68 ± 1.02 | 6.85 ± 1.60 | 4.12 ± 0.72 | 4.33 ± 0.51 | 
| Control Group | 7.81 ± 1.61 | 6.79 ± 2.59 | 6.21 ± 1.01 | 5.99 ± 1.48 | 
| p-value | 0.478 | 0.773 | 0.083 | 0.003 | 
| Study Group | Control Group | p Value | |
|---|---|---|---|
| Central | 55.56% | 72.73% | 0.017 | 
| Eccentric | 44.44% | 27.27% | 
| ADC Before Treatment | ADC After Treatment | FA Before Treatment | FA After Treatment | |
|---|---|---|---|---|
| Study Group | 8.11 × 10−4 ± 2.8 × 10−4 (4.77 × 10−4–1.38 × 10−3) | 6.9 × 10−4 ± 1.04 × 10−4 (5.74 × 10−4–8.59 × 10−4) | 0.41 ± 0.11 (0.28–0.65) | 0.20 ± 0.08 (0.08–0.34) | 
| Control Group | 7.27 × 10−4 ± 6.56 × 10−5 (5.99–8.02 × 10−4) | 7.05 × 10−4 ± 8.59 × 10−5 (6.09–8.74 × 10−4) | 0.38 ± 0.09 (0.24–0.51) | 0.21 ± 0.09 (0.10–0.39) | 
| p-value | 0.667 | 0.811 | 0.861 | 0.826 | 
| Publisher’s Note: MDPI stays neutral with regard to jurisdictional claims in published maps and institutional affiliations. | 
© 2021 by the authors. Licensee MDPI, Basel, Switzerland. This article is an open access article distributed under the terms and conditions of the Creative Commons Attribution (CC BY) license (https://creativecommons.org/licenses/by/4.0/).
Share and Cite
Bruno, F.; Catalucci, A.; Arrigoni, F.; Gagliardi, A.; Campanozzi, E.; Corridore, A.; Tommasino, E.; Pagliei, V.; Pertici, L.; Palumbo, P.; et al. Comprehensive Evaluation of Factors Affecting Tremor Relapse after MRgFUS Thalamotomy: A Case-Control Study. Brain Sci. 2021, 11, 1183. https://doi.org/10.3390/brainsci11091183
Bruno F, Catalucci A, Arrigoni F, Gagliardi A, Campanozzi E, Corridore A, Tommasino E, Pagliei V, Pertici L, Palumbo P, et al. Comprehensive Evaluation of Factors Affecting Tremor Relapse after MRgFUS Thalamotomy: A Case-Control Study. Brain Sciences. 2021; 11(9):1183. https://doi.org/10.3390/brainsci11091183
Chicago/Turabian StyleBruno, Federico, Alessia Catalucci, Francesco Arrigoni, Alessio Gagliardi, Elena Campanozzi, Antonella Corridore, Emanuele Tommasino, Valeria Pagliei, Leonardo Pertici, Pierpaolo Palumbo, and et al. 2021. "Comprehensive Evaluation of Factors Affecting Tremor Relapse after MRgFUS Thalamotomy: A Case-Control Study" Brain Sciences 11, no. 9: 1183. https://doi.org/10.3390/brainsci11091183
APA StyleBruno, F., Catalucci, A., Arrigoni, F., Gagliardi, A., Campanozzi, E., Corridore, A., Tommasino, E., Pagliei, V., Pertici, L., Palumbo, P., Sucapane, P., Cerone, D., Pistoia, F., Di Cesare, E., Barile, A., Ricci, A., Marini, C., Splendiani, A., & Masciocchi, C. (2021). Comprehensive Evaluation of Factors Affecting Tremor Relapse after MRgFUS Thalamotomy: A Case-Control Study. Brain Sciences, 11(9), 1183. https://doi.org/10.3390/brainsci11091183
 
         
                                                






 
       