Clinical Correlation Between Antihypercholesterolemic and Antihypertensive Drugs with Oral Lichenoid Lesions: Literature Review and Preliminary Retrospective Analysis
Abstract
1. Introduction
1.1. Literature Review
1.2. Theories
1.3. Hypotheses
2. Materials and Methods
2.1. Selection of Participants
2.2. Data Analysis
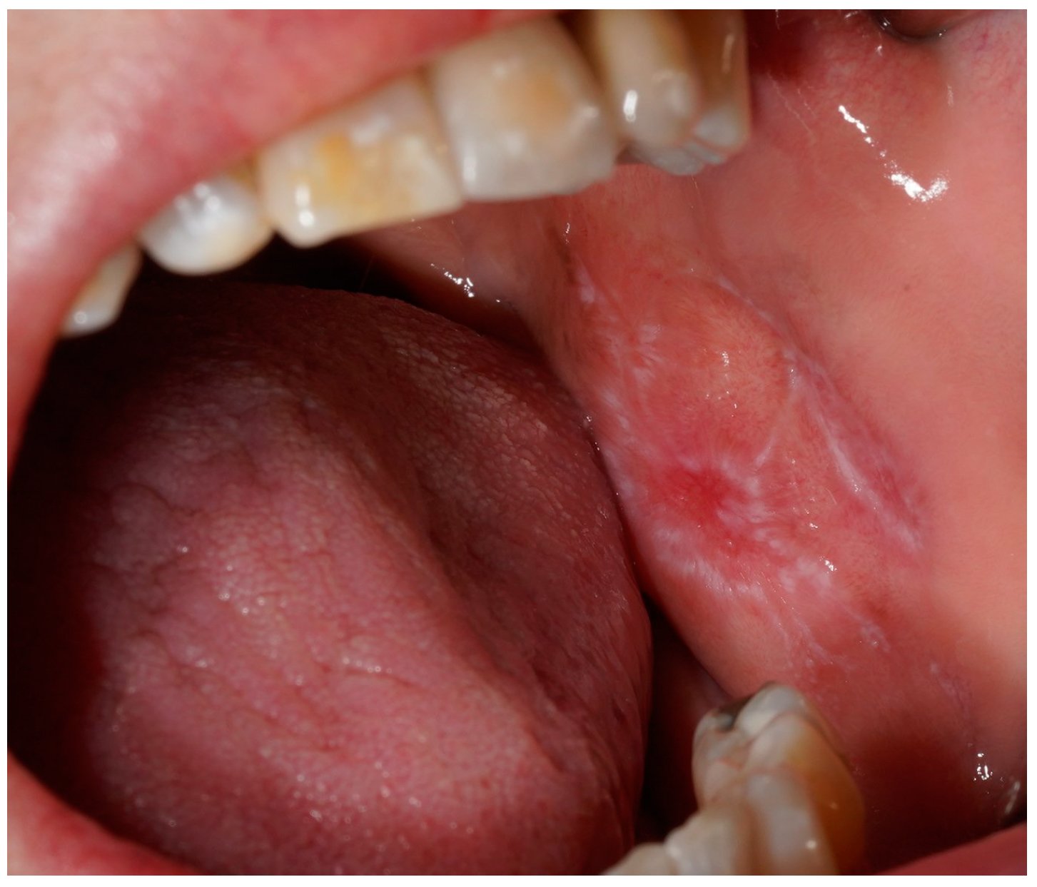
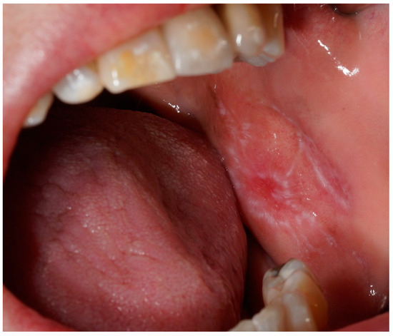
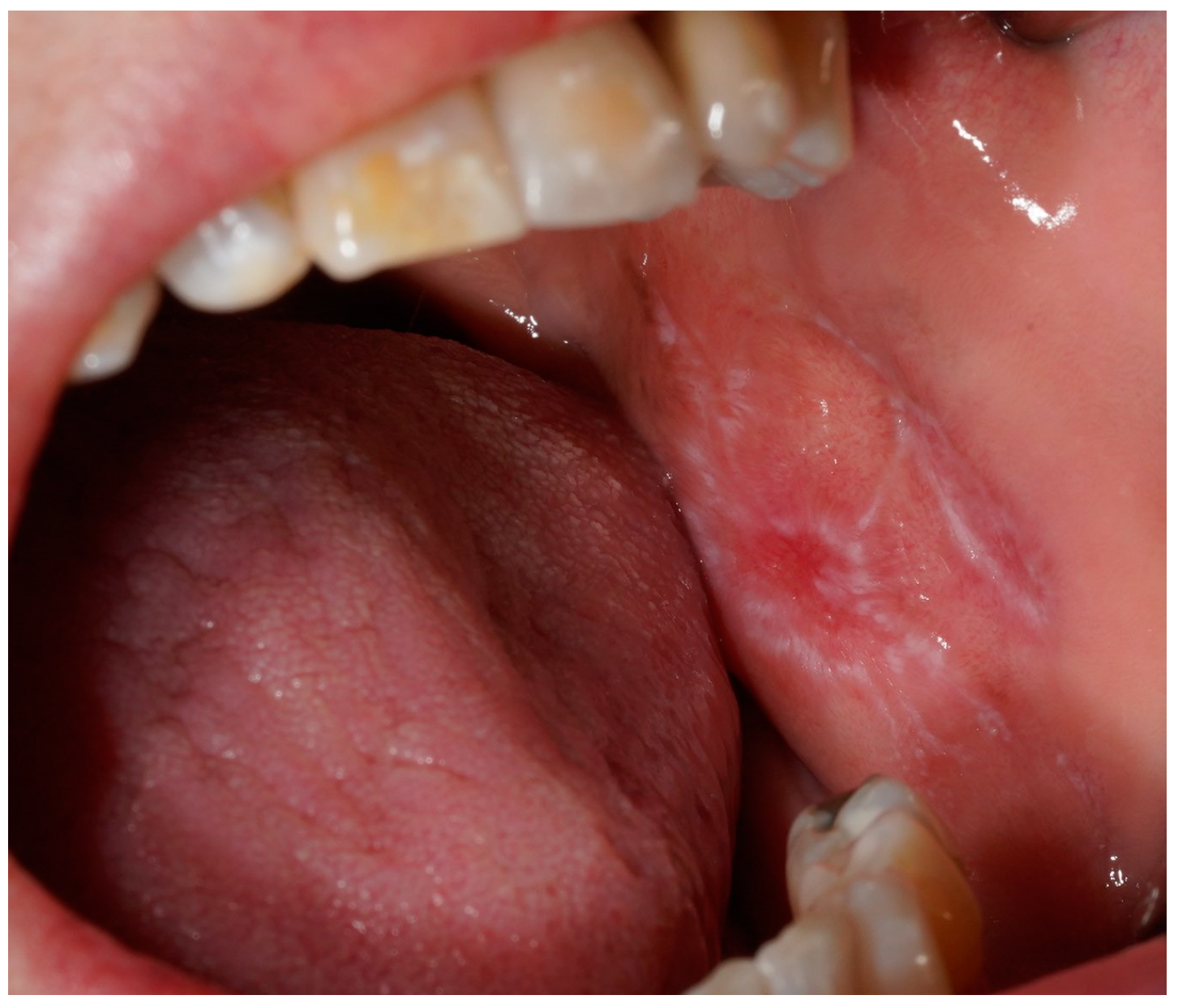
3. Results
4. Discussion
5. Conclusions
Author Contributions
Funding
Institutional Review Board Statement
Informed Consent Statement
Data Availability Statement
Conflicts of Interest
References
- Regezi, J.A. Oral Pathology: Clinical Pathologic Correlations: First South Asia Edition; Elsevier: New Delhi, India, 2016. [Google Scholar]
- Ismail, S.B.; Kumar, S.K.; Zain, R.B. Oral lichen planus and lichenoid reactions: Etiopathogenesis, diagnosis, management and malignant transformation. J. Oral Sci. 2007, 49, 89–106. [Google Scholar] [CrossRef] [PubMed]
- Yiannias, J.A.; El Azhary, R.A.; Hand, J.H.; Pakzad, S.Y.; Rogers, R.S., III. Relevant contact sensitivities in patients with the diagnosis of oral lichen planus. J. Am. Acad. Dermatol. 2000, 42, 177–178. [Google Scholar] [PubMed]
- Hietanen, J.; Pihlman, K.; Forstrom, L.; Linder, E.; Reunala, T. No evidence of hypersensitivity to dental restorative metals in oral lichen planus. Scand. J. Dent. Res. 1987, 95, 320–327. [Google Scholar] [CrossRef] [PubMed]
- Koch, P.; Bahmer, F.A. Oral lesions and symptoms related to metals used in dental restorations: A clinical, allergological, and histologic study. J. Am. Acad. Dermatol. 1999, 41, 422–430. [Google Scholar] [CrossRef]
- Thompson, D.F.; Skaehill, P.A. Drug-induced lichen planus. Pharmacotherapy 1994, 14, 561–571. [Google Scholar] [PubMed]
- McCartan, B.E.; McCreary, C.E. Oral lichenoid drug eruptions. Oral Dis. 1997, 3, 58–63. [Google Scholar] [CrossRef]
- Park, W.-B.; Moon, J.; Shin, S.; Hong, J.-Y. Oral Lichenoid Lesion following Dental Implant Placement and Successful Management with Free Gingival Graft: A Case Report with 10-Year Follow-Up. Medicina 2023, 59, 2188. [Google Scholar] [CrossRef]
- Roopashree, M.R.; Gondhalekar, R.V.; Shashikanth, M.C.; George, J.; Thippeswamy, S.H.; Shukla, A. Pathogenesis of oral lichen planus—A review. J. Oral Pathol. Med. 2010, 39, 729–734. [Google Scholar] [CrossRef] [PubMed]
- Burkhart, N.W.; Burkes, E.J.; Burker, E.J. Meeting the educational needs of patients with oral lichen planus. Gen. Dent. 1997, 45, 126–132. [Google Scholar] [PubMed]
- Scully, C.; Beyli, M.; Ferreiro, M.C.; Ficarra, G.; Gill, Y.; Griffiths, M.; Holmstrup, P.; Mutlu, S.; Porter, S.; Wray, D. Update on oral lichen planus: Etiopathogenesis and management. Crit. Rev. Oral Biol. Med. 1998, 9, 86–122. [Google Scholar] [CrossRef] [PubMed]
- Pergolini, D.; Palaia, G.; Stendardo, V.; Del Vecchio, A.; Tenore, G.; Rocchetti, F.; Rosaria, C.; Di Gioia, T.; Romeo, U. Whitish lesions of the oral mucosa. Dent. Cadmos 2023, 90, 5–6. Available online: https://www.dentalcadmos.com/lesioni-biancastre-della-mucosa-orale/ (accessed on 1 March 2023). [CrossRef]
- Eisen, D.; Carrozzo, M.; Bagan Sebastian, J.V.; Thongprasom, K. Oral lichen planus: Clinical features and management. Oral Dis. 2005, 11, 338–349. [Google Scholar] [CrossRef] [PubMed]
- Epstein, J.B.; Wan, L.S.; Gorsky, M.; Zhang, L. Oral lichen planus: Progress in understanding its malignant potential and the implications for clinical management. Oral Surg. Oral Med. Oral Pathol. Oral Radiol. Endod. 2003, 96, 32–37. [Google Scholar] [CrossRef] [PubMed]
- González-Moles, M.Á.; Ramos-García, P. An Evidence-Based Update on the Potential for Malignancy of Oral Lichen Planus and Related Conditions: A Systematic Review and Meta-Analysis. Cancers 2024, 16, 608. [Google Scholar] [CrossRef] [PubMed]
- Li, J.-W.; Li, K.Y.; Chan, B.W.A.; McGrath, C.P.; Zheng, L.-W. Rate of Malignant Transformation Differs Based on Diagnostic Criteria for Oral Lichenoid Conditions: A Systematic Review and Meta-Analysis of 24,277 Patients. Cancers 2023, 15, 2537. [Google Scholar] [CrossRef]
- Del Vecchio, A.; Palaia, G.; Grassotti, B.; Tenore, G.; Ciolfi, C.; Podda, G.; Impellizzeri, A.; Mohsen, A.; Galluccio, G.; Romeo, U. Effects of laser photobiomodulation in the management of oral lichen planus: A literature review. Clin. Ter. 2021, 172, 467–483. [Google Scholar]
- Del Vecchio, A.; Tenore, G.; Luzi, M.C.; Palaia, G.; Mohsen, A.; Pergolini, D.; Romeo, U. Laser photobiomodulation (PBM)—A possible new frontier for the treatment of oral cancer: A review of in vitro and in vivo studies. Healthcare 2021, 9, 134. [Google Scholar] [CrossRef]
- Farhi, D.; Dupin, N. Pathophysiology, etiologic factors, and clinical management of oral lichen planus, part I: Facts and controversies. Clin. Dermatol. 2010, 28, 100–108. [Google Scholar] [CrossRef] [PubMed]
- Scully, C.; Carrozzo, M. Oral mucosal disease: Lichen planus. Br. J. Oral Maxillofac. Surg. 2008, 46, 15–21. [Google Scholar] [CrossRef] [PubMed]
- Potts, A.J.; Hamburger, J.; Scully, C. The medication of patients with oral lichen planus and the association of nonsteroidal anti-inflammatory drugs with erosive lesions. Oral Surg. Oral Med. Oral Pathol. 1987, 64, 541–543. [Google Scholar]
- Robertson, W.D.; Wray, D. Ingestion of medication among patients with oral keratoses including lichen planus. Oral Surg. Oral Med. Oral Pathol. 1992, 74, 183–185. [Google Scholar] [PubMed]
- Fischoff, D.K.; Sternbach, S.; Gomez, J.; Shah, S.S. Medications Associated with Oral Lichenoid Lesions: A Single-Site Retrospective Cohort Study. N. Y. State Dent. J. 2022, 88, 16–21. [Google Scholar]
- Weitz-Schmidt, G.; Welzenbach, K.; Brinkmann, V.; Kamata, T.; Kallen, J.; Bruns, C.; Cottens, S.; Takada, Y.; Hommel, U. Statins selectively inhibit leukocyte function antigen-1 by binding to a novel regulatory integrin site. Nat. Med. 2001, 7, 687. [Google Scholar]
- Fehr, T.; Kahlert, C.; Fierz, W.; Joller-Jemelka, H.I.; Riesen, W.F.; Rickli, H.; Wüthrich, R.P.; Ammann, P. Statin-Induced Immunomodulatory Effects on Human T Cells in Vivo. Atherosclerosis 2004, 175, 83–90. [Google Scholar] [CrossRef]
- Bellosta, S.; Corsini, A. Statins: Drug Interactions and Related Adverse Reactions. Expert Opin. Drug Saf. 2012, 11, 933–946. [Google Scholar] [CrossRef] [PubMed]
- Pergolini, D.; Botticelli, A.; Fascetti, R.; Rocchetti, F.; Cirillo, A.; Tenore, G.; Palaia, G.; Polimeni, A.; Romeo, U. Oral Immune-Related Adverse Events Associated with PD-1 Inhibitor Treatment: A Case Series. Appl. Sci. 2022, 12, 12994. [Google Scholar] [CrossRef]
- Stoebner, P.E.; Michot, C.; Ligeron, C.; Durand, L.; Meynadier, J.; Meunier, L. Simvastatin-Induced Lichen Planus Pemphigoides. Ann. Dermatol. Venereol. 2003, 130, 187–190. [Google Scholar] [PubMed]
- Salem, C.B.; Chenguel, L.; Ghariani, N.; Denguezli, M.; Hmouda, H.; Bouraoui, K. Lichen Planus Pemphigoides Indotto da Captopril. Pharmacoepidemiol. Drug Saf. 2008, 17, 722–724. [Google Scholar] [PubMed]
- Dudhia, B.B.; Dudhia, S.B.; Patel, P.S.; Jani, Y.V. Oral Lichen Planus to Oral Lichenoid Lesions: Evolution or Revolution. J. Oral Med. Radiol. 2015, 19, 364. [Google Scholar] [CrossRef]
- Akram, Z.; Anwar, M.A.; Iqrar, S.; Noor, M.; Manji, S.N.; Arham, H. Oral Lichen Planus: Manifestation of Grinspan’s Syndrome or a Lichenoid Reaction to Medications. Pak. J. Med. Health Sci. 2023, 17, 523. [Google Scholar] [CrossRef]
- Kumar, P.; Mastan, K.M.K.; Chowdhary, R.; Shanmugam, K. Oral Manifestations in Hypertensive Patients: A Clinical Study. J. Oral Maxillofac. Pathol. 2012, 16, 215–221. [Google Scholar] [CrossRef] [PubMed]
- Sarafan, N.; Alipour, A.; Shariati, A. Drug-Induced Oral Lichenoid Reactions in Patients Consuming Antihypertensive Drugs. Cardiovasc. Biomed. J. 2022, 2, 3–10. [Google Scholar] [CrossRef]
- Gencoglan, G.; Ceylan, C.; Kazandi, A.C. Linear Lichenoid Drug Eruption Induced by Valsartan. Clin. Exp. Dermatol. 2009, 34, e334–e335. [Google Scholar] [CrossRef] [PubMed]
- Ministry of Health Malaysia. Malaysian Statistics on Medicines 2015–2016; Pharmaceutical Services Programme, Ministry of Health Malaysia: Kuala Lumpur, Malaysia, 2020.
- How, O.J.; Muhamad, R.; Muthusamy, R.; Rahman, F.A.; Zulkifli, M.M. Amlodipine-induced Lichenoid Drug Eruption: A Case Report. Bangladesh J. Med. Sci. 2023, 22, 229–233. [Google Scholar] [CrossRef]
- Sebök, B.; Tóth, M.; Anga, B.; Harangi, F.; Schneider, I. Lichenoid Drug Eruption with HMG-CoA Reductase Inhibitors (Fluvastatin and Lovastatin). Acta Derm. Venereol. 2004, 84, 229–230. [Google Scholar] [CrossRef]
- Wong, I.T.Y.; Huang, Y.; Zhou, Y. Drug Eruption to Rosuvastatin with Recurrence on Simvastatin: A Case Report. J. Cutan. Med. Surg. 2018, 22, 359–361. [Google Scholar] [CrossRef]





| Medicines | |||||
|---|---|---|---|---|---|
| Frequency | Percentage | Percentage Valid | Cumulative Percentage | ||
| Valid | No drugs | 1966 | 91.1 | 91.1 | 91.1 |
| Drugs yes | 192 | 8.9 | 8.9 | 100.0 | |
| Total | 2158 | 100.0 | 100.0 | ||
| Drugs, Statins or Sartans | |||||
|---|---|---|---|---|---|
| Frequency | Percentage | Percentage Valid | Cumulative Percentage | ||
| Valid | Other | 1966 | 91.1 | 91.1 | 91.1 |
| Statins | 123 | 5.7 | 5.7 | 96.8 | |
| Sartans | 69 | 3.2 | 3.2 | 100.0 | |
| Total | 2158 | 100.0 | 100.0 | ||
| OLL | |||||
|---|---|---|---|---|---|
| Frequency | Percentage | Percentage Valid | Cumulative Percentage | ||
| Valid | No OLL | 2040 | 94.5 | 94.5 | 94.5 |
| OLL | 118 | 5.5 | 5.5 | 100.0 | |
| Total | 2158 | 100.0 | 100.0 | ||
| Drugs, Statins or Sartans | |||||
|---|---|---|---|---|---|
| Frequency | Percentage | Percentage Valid | Cumulative Percentage | ||
| Valid | Other | 87 | 73.7 | 73.7 | 73.7 |
| Statins | 20 | 16.9 | 16.9 | 90.7 | |
| Sartans | 11 | 9.3 | 9.3 | 100.0 | |
| Total | 118 | 100.0 | 100.0 | ||
| Contingency Table | ||||
|---|---|---|---|---|
| Drugs | Total | |||
| No Drugs | Drugs Yes | |||
| No OLL | Tally | 1879 | 161 | 2040 |
| % within Drugs | 95.6% | 83.9% | 94.5% | |
| Residue stand. | 0.5 | −1.5 | ||
| OLL | Tally | 87 | 31 | 118 |
| % within Drugs | 4.4% | 16.1% | 5.5% | |
| Residue stand. | −2.0 | 6.3 | ||
| Total | Tally | 1966 | 192 | 2158 |
| % within Drugs | 100.0% | 100.0% | 100.0% | |
| Contingency Table | |||||
|---|---|---|---|---|---|
| Drugs | Total | ||||
| Other | Statins | Sartans | |||
| No OLL | Tally | 1879 | 103 | 58 | 2040 |
| % | 95.6% | 83.7% | 84.1% | 94.5% | |
| Residue stand. | 0.5 | −1.2 | −0.9 | ||
| OLL | Tally | 87 | 20 | 11 | 118 |
| % | 4.4% | 16.3% | 15.9% | 5.5% | |
| Residue stand. | −2.0 | 5.1 | 3.7 | ||
| Total | Tally | 1966 | 123 | 69 | 2158 |
| % | 100.0% | 100.0% | 100.0% | 100.0% | |
Disclaimer/Publisher’s Note: The statements, opinions and data contained in all publications are solely those of the individual author(s) and contributor(s) and not of MDPI and/or the editor(s). MDPI and/or the editor(s) disclaim responsibility for any injury to people or property resulting from any ideas, methods, instructions or products referred to in the content. |
© 2025 by the authors. Licensee MDPI, Basel, Switzerland. This article is an open access article distributed under the terms and conditions of the Creative Commons Attribution (CC BY) license (https://creativecommons.org/licenses/by/4.0/).
Share and Cite
Pergolini, D.; Mohsen, M.; Basile, F.; Marini Grassetti, F.; Palaia, G.; Tenore, G.; Romeo, U. Clinical Correlation Between Antihypercholesterolemic and Antihypertensive Drugs with Oral Lichenoid Lesions: Literature Review and Preliminary Retrospective Analysis. Appl. Sci. 2025, 15, 3750. https://doi.org/10.3390/app15073750
Pergolini D, Mohsen M, Basile F, Marini Grassetti F, Palaia G, Tenore G, Romeo U. Clinical Correlation Between Antihypercholesterolemic and Antihypertensive Drugs with Oral Lichenoid Lesions: Literature Review and Preliminary Retrospective Analysis. Applied Sciences. 2025; 15(7):3750. https://doi.org/10.3390/app15073750
Chicago/Turabian StylePergolini, Daniele, Mohamed Mohsen, Federica Basile, Flaminia Marini Grassetti, Gaspare Palaia, Gianluca Tenore, and Umberto Romeo. 2025. "Clinical Correlation Between Antihypercholesterolemic and Antihypertensive Drugs with Oral Lichenoid Lesions: Literature Review and Preliminary Retrospective Analysis" Applied Sciences 15, no. 7: 3750. https://doi.org/10.3390/app15073750
APA StylePergolini, D., Mohsen, M., Basile, F., Marini Grassetti, F., Palaia, G., Tenore, G., & Romeo, U. (2025). Clinical Correlation Between Antihypercholesterolemic and Antihypertensive Drugs with Oral Lichenoid Lesions: Literature Review and Preliminary Retrospective Analysis. Applied Sciences, 15(7), 3750. https://doi.org/10.3390/app15073750

