Evaluation of Ototoxic Effects of Cisplatin in a Rat Model: A Dose–Response Study
Abstract
1. Introduction
2. Materials and Methods
2.1. Animals and Treatment Groups
2.2. Auditory Brainstem Responses
2.3. Histology
2.4. Biometric Investigations
2.5. Immunohistochemistry
2.6. Statistical Analysis
3. Results
3.1. Body Weight
3.2. Auditory Function
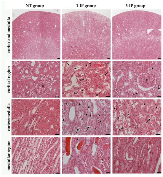
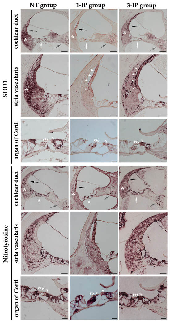
3.3. Morphological Damage to Cochlear Structures
3.4. Morphological Changes in Renal Structures
3.5. Oxidative Stress
4. Discussion
5. Conclusions
Author Contributions
Funding
Acknowledgments
Conflicts of Interest
References
- Bray, F.; Laversanne, M.; Sung, H.; Ferlay, J.; Siegel, R.L.; Soerjomataram, I.; Jemal, A. Global Cancer Statistics 2022: GLOBOCAN Estimates of Incidence and Mortality Worldwide for 36 Cancers in 185 Countries. CA Cancer J. Clin. 2024, 74, 229–263. [Google Scholar] [CrossRef] [PubMed]
- Astolfi, L.; Ghiselli, S.; Guaran, V.; Chicca, M.; Simoni, E.; Olivetto, E.; Lelli, G.; Martini, A. Correlation of Adverse Effects of Cisplatin Administration in Patients Affected by Solid Tumours: A Retrospective Evaluation. Oncol. Rep. 2013, 29, 1285–1292. [Google Scholar] [CrossRef]
- Rybak, L.P.; Ramkumar, V. Ototoxicity. Kidney Int. 2007, 72, 931–935. [Google Scholar] [CrossRef] [PubMed]
- Rademaker-Lakhai, J.M.; Crul, M.; Zuur, L.; Baas, P.; Beijnen, J.H.; Simis, Y.J.W.; van Zandwijk, N.; Schellens, J.H.M. Relationship Between Cisplatin Administration and the Development of Ototoxicity. J. Clin. Oncol. 2006, 24, 918–924. [Google Scholar] [CrossRef] [PubMed]
- Johnstone, T.C.; Suntharalingam, K.; Lippard, S.J. The Next Generation of Platinum Drugs: Targeted Pt(II) Agents, Nanoparticle Delivery, and Pt(IV) Prodrugs. Chem. Rev. 2016, 116, 3436–3486. [Google Scholar] [CrossRef]
- Gentilin, E.; Simoni, E.; Candito, M.; Cazzador, D.; Astolfi, L. Cisplatin-Induced Ototoxicity: Updates on Molecular Targets. Trends Mol. Med. 2019, 25, 1123–1132. [Google Scholar] [CrossRef]
- Rapoport, B.L.; Herrstedt, J.; Snow, R.C.; Radhakrishnan, V.; Saito, M.; Navari, R.M.; Smit, T. 2023 Updated MASCC/ESMO Consensus Recommendations: Prevention of Nausea and Vomiting Following Multiple-Day Chemotherapy, High-Dose Chemotherapy, and Breakthrough Nausea and Vomiting. Support. Care Cancer 2024, 32, 36. [Google Scholar] [CrossRef]
- Fetoni, A.R.; Astolfi, L. Cisplatin Ototoxicity and Role of Antioxidant on Its Prevention. Hear. Balance Commun. 2020, 18, 234–241. [Google Scholar] [CrossRef]
- Perez, E.R.; Libman, D.R.; van de Water, T.R. Local Drug Delivery for Inner Ear Therapy. Audiol. Med. 2012, 10, 1–20. [Google Scholar] [CrossRef]
- Paciello, F.; Fetoni, A.R.; Mezzogori, D.; Rolesi, R.; Di Pino, A.; Paludetti, G.; Grassi, C.; Troiani, D. The Dual Role of Curcumin and Ferulic Acid in Counteracting Chemoresistance and Cisplatin-Induced Ototoxicity. Sci. Rep. 2020, 10, 1063. [Google Scholar] [CrossRef]
- Astolfi, L.; Simoni, E.; Valente, F.; Ghiselli, S.; Hatzopoulos, S.; Chicca, M.; Martini, A. Coenzyme Q10 plus Multivitamin Treatment Prevents Cisplatin Ototoxicity in Rats. PLoS ONE 2016, 11, e0162106. [Google Scholar] [CrossRef]
- Ciorba, A.; Martini, A. Regeneration in the Mammalian Inner Ear: A Glimpse into the Future. Hear. Balance Commun. 2014, 12, 1–5. [Google Scholar] [CrossRef]
- Simoni, E.; Orsini, G.; Chicca, M.; Bettini, S.; Franceschini, V.; Martini, A.; Astolfi, L. Regenerative medicine in hearing recovery. Cytotherapy 2017, 19, 909–915. [Google Scholar] [CrossRef]
- Hartmann, J.T.; Kollmannsberger, C.; Kanz, L.; Bokemeyer, C. Platinum Organ Toxicity and Possible Prevention in Patients with Testicular Cancer. Int. J. Cancer 1999, 83, 866–869. [Google Scholar] [CrossRef]
- Bodnar, L.; Wcislo, G.; Gasowska-Bodnar, A.; Synowiec, A.; Szarlej-Wcisło, K.; Szczylik, C. Renal Protection with Magnesium Subcarbonate and Magnesium Sulphate in Patients with Epithelial Ovarian Cancer after Cisplatin and Paclitaxel Chemotherapy: A Randomised Phase II Study. Eur. J. Cancer 2008, 44, 2608–2614. [Google Scholar] [CrossRef]
- Madias, N.E.; Harrington, J.T. Platinum Nephrotoxicity. Am. J. Med. 1978, 65, 307–314. [Google Scholar] [CrossRef] [PubMed]
- Miller, R.P.; Tadagavadi, R.K.; Ramesh, G.; Reeves, W.B. Mechanisms of Cisplatin Nephrotoxicity. Toxins 2010, 2, 2490–2518. [Google Scholar] [CrossRef]
- Zeien, J.; Qiu, W.; Triay, M.; Dhaibar, H.A.; Cruz-Topete, D.; Cornett, E.M.; Urits, I.; Viswanath, O.; Kaye, A.D. Clinical Implications of Chemotherapeutic Agent Organ Toxicity on Perioperative Care. Biomed. Pharmacother. 2022, 146, 112503. [Google Scholar] [CrossRef]
- Katanić Stanković, J.S.; Selaković, D.; Rosić, G. Oxidative Damage as a Fundament of Systemic Toxicities Induced by Cisplatin—The Crucial Limitation or Potential Therapeutic Target? Int. J. Mol. Sci. 2023, 24, 14574. [Google Scholar] [CrossRef] [PubMed]
- Martemucci, G.; Costagliola, C.; Mariano, M.; D’andrea, L.; Napolitano, P.; D’Alessandro, A.G. Free Radical Properties, Source and Targets, Antioxidant Consumption and Health. Oxygen 2022, 2, 48–78. [Google Scholar] [CrossRef]
- Gentilin, E.; Cani, A.; Simoni, E.; Chicca, M.; Di Paolo, M.L.; Martini, A.; Astolfi, L. Hydrogen Peroxide Toxicity on Auditory Cells: An in Vitro Study. Chem. Biol. Interact. 2021, 345, 109575. [Google Scholar] [CrossRef] [PubMed]
- Miao, L.; St. Clair, D.K. Regulation of Superoxide Dismutase Genes: Implications in Disease. Free Radic. Biol. Med. 2009, 47, 344–356. [Google Scholar] [CrossRef] [PubMed]
- Tsang, C.K.; Liu, Y.; Thomas, J.; Zhang, Y.; Zheng, X.F.S. Superoxide Dismutase 1 Acts as a Nuclear Transcription Factor to Regulate Oxidative Stress Resistance. Nat. Commun. 2014, 5, 3446. [Google Scholar] [CrossRef]
- Nakazawa, H.; Fukuyama, N.; Takizawa, S.; Tsuji, C.; Yoshitake, M.; Ishida, H. Nitrotyrosine Formation and Its Role in Various Pathological Conditions. Free Radic. Res. 2000, 33, 771–784. [Google Scholar] [CrossRef]
- Cascella, V.; Giordano, P.; Hatzopoulos, S.; Petruccelli, J.; Prosser, S.; Simoni, E.; Astolfi, L.; Fetoni, A.R.; Skarżyński, H.; Martini, A. A New Oral Otoprotective Agent. Part 1: Electrophysiology Data from Protection against Noise-Induced Hearing Loss. Med. Sci. Monit. 2012, 18, BR1–BR8. [Google Scholar] [CrossRef] [PubMed][Green Version]
- Viberg, A.; Canlon, B. The Guide to Plotting a Cochleogram. Hear. Res. 2004, 197, 1–10. [Google Scholar] [CrossRef] [PubMed]
- Olivetto, E.; Simoni, E.; Guaran, V.; Astolfi, L.; Martini, A. Sensorineural Hearing Loss and Ischemic Injury: Development of Animal Models to Assess Vascular and Oxidative Effects. Hear. Res. 2015, 327, 58–68. [Google Scholar] [CrossRef]
- Rybak, L.P.; Mukherjea, D.; Jajoo, S.; Ramkumar, V. Cisplatin Ototoxicity and Protection: Clinical and Experimental Studies. Tohoku J. Exp. Med. 2009, 219, 177–186. [Google Scholar] [CrossRef]
- Hughes, A.L.; Hussain, N.; Pafford, R.; Parham, K. Dexamethasone Otoprotection in a Multidose Cisplatin Ototoxicity Mouse Model. Otolaryngol.–Head Neck Surg. 2014, 150, 115–120. [Google Scholar] [CrossRef] [PubMed]
- Nasr, A.Y.; Saleh, H.A. Aged Garlic Extract Protects against Oxidative Stress and Renal Changes in Cisplatin-Treated Adult Male Rats. Cancer Cell Int. 2014, 14, 92. [Google Scholar] [CrossRef] [PubMed]
- He, J.; Yin, S.; Wang, J.; Ding, D.; Jiang, H. Effectiveness of Different Approaches for Establishing Cisplatin-Induced Cochlear Lesions in Mice. Acta Otolaryngol. 2009, 129, 1359–1367. [Google Scholar] [CrossRef]
- Campbell, K.C.M.; Meech, R.P.; Klemens, J.J.; Gerberi, M.T.; Dyrstad, S.S.W.; Larsen, D.L.; Mitchell, D.L.; El-Azizi, M.; Verhulst, S.J.; Hughes, L.F. Prevention of Noise- and Drug-Induced Hearing Loss with d-Methionine. Hear. Res. 2007, 226, 92–103. [Google Scholar] [CrossRef]
- Noori, S.; Mahboob, T. Antioxidant Effect of Carnosine Pretreatment on Cisplatin-Induced Renal Oxidative Stress in Rats. Indian J. Clin. Biochem. 2010, 25, 86–91. [Google Scholar] [CrossRef]
- Yazici, Z.M.; Meric, A.; Midi, A.; Arınc, Y.V.; Kahya, V.; Hafız, G. Reduction of Cisplatin Ototoxicity in Rats by Oral Administration of Pomegranate Extract. Eur. Arch. Oto-Rhino-Laryngol. 2012, 269, 45–52. [Google Scholar] [CrossRef]
- Yao, X.; Panichpisal, K.; Kurtzman, N.; Nugent, K. Cisplatin Nephrotoxicity: A Review. Am. J. Med. Sci. 2007, 334, 115–124. [Google Scholar] [CrossRef]
- Arhoghro, E.M.; Anosike, E.O.; Uwakwe, A.A. Ocimum Gratissimum Aqueous Extract Enhances Recovery in Cisplatin-Induced Nephrotoxicity in Albino Wistar Rats. Indian J. Drugs Dis. 2012, 1, 129–142. [Google Scholar]
- Chattaraj, A.; Syed, M.P.; Low, C.A.; Owonikoko, T.K. Cisplatin-Induced Ototoxicity: A Concise Review of the Burden, Prevention, and Interception Strategies. JCO Oncol. Pract. 2023, 19, 278–283. [Google Scholar] [CrossRef]
- Ding, D.; Allman, B.L.; Salvi, R. Review: Ototoxic Characteristics of Platinum Antitumor Drugs. Anat. Rec. 2012, 295, 1851–1867. [Google Scholar] [CrossRef]
- Jamesdaniel, S.; Coling, D.; Hinduja, S.; Ding, D.; Li, J.; Cassidy, L.; Seigel, G.M.; Qu, J.; Salvi, R. Cisplatin-Induced Ototoxicity Is Mediated by Nitroxidative Modification of Cochlear Proteins Characterized by Nitration of Lmo4. J. Biol. Chem. 2012, 287, 18674–18686. [Google Scholar] [CrossRef]
- Crăciun, C.; Paşca, C. STRUCTURAL AND ULTRASTRUCTURAL DATA ON SIDE EFFECTS OF CISPLATIN IN SPLEEN, KIDNEY AND LIVER OF RATS. Acta Met.—MEEMB 2014, XI, 9–22. [Google Scholar]
- Rybak, L.P.; Husain, K.; Morris, C.; Whitworth, C.; Somani, S. Effect of Protective Agents against Cisplatin Ototoxicity. Am. J. Otol. 2000, 21, 513–520. [Google Scholar]
- Jamesdaniel, S.; Ding, D.; Kermany, M.H.; Davidson, B.A.; Knight, P.R., III; Salvi, R.; Coling, D.E. Proteomic Analysis of the Balance between Survival and Cell Death Responses in Cisplatin-Mediated Ototoxicity. J. Proteome Res. 2008, 7, 3516–3524. [Google Scholar] [CrossRef] [PubMed]
- Chirtes, F.; Albu, S. Prevention and Restoration of Hearing Loss Associated with the Use of Cisplatin. BioMed Res. Int. 2014, 2014, 925485. [Google Scholar] [CrossRef]
- Karasawa, T.; Steyger, P.S. An Integrated View of Cisplatin-Induced Nephrotoxicity and Ototoxicity. Toxicol. Lett. 2015, 237, 219–227. [Google Scholar] [CrossRef] [PubMed]
- Cardinaal, R.M.; de Groot, J.C.M.J.; Huizing, E.H.; Veldman, J.E.; Smoorenburg, G.F. Histological Effects of Co-Administration of an ACTH(4–9) Analogue, ORG 2766, on Cisplatin Ototoxicity in the Albino Guinea Pig. Hear. Res. 2000, 144, 157–167. [Google Scholar] [CrossRef]
- Huang, T.; Cheng, A.G.; Stupak, H.; Liu, W.; Kim, A.; Staecker, H.; Lefebvre, P.P.; Malgrange, B.; Kopke, R.; Moonen, G.; et al. Oxidative Stress-induced Apoptosis of Cochlear Sensory Cells: Otoprotective Strategies. Int. J. Dev. Neurosci. 2000, 18, 259–270. [Google Scholar] [CrossRef]
- Perin, P.; Voigt, F.F.; Bethge, P.; Helmchen, F.; Pizzala, R. iDISCO+ for the Study of Neuroimmune Architecture of the Rat Auditory Brainstem. Front. Neuroanat. 2019, 13, 15. [Google Scholar] [CrossRef]
- Perin, P.; Cossellu, D.; Vivado, E.; Batti, L.; Gantar, I.; Voigt, F.F.; Pizzala, R. Temporal bone marrow of the rat and its connections to the inner ear. Front. Neurol. 2024, 15, 1386654. [Google Scholar] [CrossRef]
- Neal, C.; Kennon-McGill, S.; Freemyer, A.; Shum, A.; Staecker, H.; Durham, D. Hair Cell Counts in a Rat Model of Sound Damage: Effects of Tissue Preparation & Identification of Regions of Hair Cell Loss. Hear. Res. 2015, 328, 120–132. [Google Scholar] [CrossRef] [PubMed]
- van Ruijven, M.W.M.; de Groot, J.C.M.J.; Klis, S.F.L.; Smoorenburg, G.F. The Cochlear Targets of Cisplatin: An Electrophysiological and Morphological Time-Sequence Study. Hear. Res. 2005, 205, 241–248. [Google Scholar] [CrossRef]
- Topdag, M.; Iseri, M.; Gelenli, E.; Yardimoglu, M.; Yazir, Y.; Ulubil, S.A.; Topdag, D.O.; Ustundag, E. Effect of Intratympanic Dexamethasone, Memantine and Piracetam on Cellular Apoptosis Due to Cisplatin Ototoxicity. J. Laryngol. Otol. 2012, 126, 1091–1096. [Google Scholar] [CrossRef]
- Kara, M.; Türkön, H.; Karaca, T.; Güçlü, O.; Uysal, S.; Türkyılmaz, M.; Demirtaş, S.; Dereköy, F.S. Evaluation of the Protective Effects of Hesperetin against Cisplatin-Induced Ototoxicity in a Rat Animal Model. Int. J. Pediatr. Otorhinolaryngol. 2016, 85, 12–18. [Google Scholar] [CrossRef] [PubMed]
- Alam, S.A.; Ikeda, K.; Oshima, T.; Suzuki, M.; Kawase, T.; Kikuchi, T.; Takasaka, T. Cisplatin-Induced Apoptotic Cell Death in Mongolian Gerbil Cochlea. Hear. Res. 2000, 141, 28–38. [Google Scholar] [CrossRef]
- Hamers, F.P.T.; Wijbenga, J.; Wolters, F.L.C.; Klis, S.F.L.; Sluyter, S.; Smoorenburg, G.F. Cisplatin Ototoxicity Involves Organ of Corti, Stria Vascularis and Spiral Ganglion: Modulation by AMSH and ORG 2766. Audiol. Neurotol. 2003, 8, 305–315. [Google Scholar] [CrossRef]
- Watanabe, K.; Jinnouchi, K.; Yagi, T. Detection of Single-Stranded DNA (SsDNA) in the Vestibule of Guinea Pigs after the Application of Cisplatinum (CDDP). Anticancer Res. 2001, 21, 1135–1138. [Google Scholar] [PubMed]
- Meech, R.P.; Campbell, K.C.M.; Hughes, L.P.; Rybak, L.P. A Semiquantitative Analysis of the Effects of Cisplatin on the Rat Stria Vascularis. Hear. Res. 1998, 124, 44–59. [Google Scholar] [CrossRef]
- Sluyter, S.; Klis, S.F.L.; de Groot, J.C.M.J.; Smoorenburg, G.F. Alterations in the Stria Vascularis in Relation to Cisplatin Ototoxicity and Recovery. Hear. Res. 2003, 185, 49–56. [Google Scholar] [CrossRef]
- Kapusuz, Z.; Özkırış, M.; Kala, M.; Saydam, L. Protective Role of Bilberry Extract Against Cisplatin Induced Ototoxicity in Rats. Indian J. Otolaryngol. Head Neck Surg. 2013, 65, 339–344. [Google Scholar] [CrossRef] [PubMed]
- Ernfors, P.; Van De Water, T.; Loring, J.; Jaenisch, R. Complementary Roles of BDNF and NT-3 in Vestibular and Auditory Development. Neuron 1995, 14, 1153–1164. [Google Scholar] [CrossRef] [PubMed]
- Takeno, S.; Wake, M.; Mount, R.J.; Harrison, R.V. Degeneration of Spiral Ganglion Cells in the Chinchilla AfterInner H Air Cell Loss Induced by Carboplatin. Audiol. Neurotol. 1998, 3, 281–290. [Google Scholar] [CrossRef] [PubMed]
- Tange, R.A.; Vuzevski, V.D. Changes in the Stria Vascularis of the Guinea Pig Due to Cis-Platinum. Arch. Otorhinolaryngol. 1984, 239, 41–47. [Google Scholar] [CrossRef]
- Kohn, S.; Pratt, H.; Robinson, E.; Nir, I.; Fradis, M.; Podoshin, L.; Zidan, J. Cisplatin Ototoxicity in Guinea Pigs with Special Reference to Toxic Effects in the Stria Vascularis. Laryngoscope 1988, 98, 865–871. [Google Scholar] [CrossRef] [PubMed]
- Lee, J.E.; Nakagawa, T.; Kim, T.S.; Endo, T.; Shiga, A.; Iguchi, F.; Lee, S.H.; Ito, J. Role of Reactive Radicals in Degeneration of the Auditory System of Mice Following Cisplatin Treatment. Acta Otolaryngol. 2004, 124, 1131–1135. [Google Scholar] [CrossRef] [PubMed]
- Lee, J.E.; Nakagawa, T.; Kita, T.; Kim, T.S.; Iguchi, F.; Endo, T.; Shiga, A.; Lee, S.H.; Ito, J. Mechanisms of Apoptosis Induced by Cisplatin in Marginal Cells in Mouse Stria Vascularis. ORL 2004, 66, 111–118. [Google Scholar] [CrossRef] [PubMed]
- Litterst, C.L.; Torres, I.J.; Guarino, A.M. Plasma Levels & Organ Distribution of Platinum in the Rat, Dog, & Dogfish Shark Following Single Intravenous Administration of Cis Dichlorodiammineplatinum(II). J. Clin. Hematol. Oncol. 1977, 7, 169–179. [Google Scholar]
- Safirstein, R.; Miller, P.; Guttenplan, J.B. Uptake and Metabolism of Cisplatin by Rat Kidney. Kidney Int. 1984, 25, 753–758. [Google Scholar] [CrossRef]
- Kuhlmann, M.; Burkhardt, G.; Kohler, H. Insights into Potential Cellular Mechanisms of Cisplatin Nephrotoxicity and Their Clinical Application. Nephrol. Dial. Transplant. 1997, 12, 2478–2480. [Google Scholar] [CrossRef]
- Portilla, D.; Li, S.; Nagothu, K.K.; Megyesi, J.; Kaissling, B.; Schnackenberg, L.; Safirstein, R.L.; Beger, R.D. Metabolomic Study of Cisplatin-Induced Nephrotoxicity. Kidney Int. 2006, 69, 2194–2204. [Google Scholar] [CrossRef]
- Dobyan, D.C.; Levi, J.; Jacobs, C.; Kosek, J.; Weiner, M.W. Mechanism of Cis-Platinum Nephrotoxicity: II. Morphologic Observations. J. Pharmacol. Exp. Ther. 1980, 213, 551–556. [Google Scholar]
- Arab, H.H.; Mohamed, W.R.; Barakat, B.M.; Arafa, E.-S.A. Tangeretin Attenuates Cisplatin-Induced Renal Injury in Rats: Impact on the Inflammatory Cascade and Oxidative Perturbations. Chem. Biol. Interact. 2016, 258, 205–213. [Google Scholar] [CrossRef]
- Bami, E.; Ozakpınar, O.B.; Ozdemir-Kumral, Z.N.; Köroglu, K.; Ercan, F.; Cirakli, Z.; Sekerler, T.; Izzettin, F.V.; Sancar, M.; Okuyan, B. Protective Effect of Ferulic Acid on Cisplatin Induced Nephrotoxicity in Rats. Environ. Toxicol. Pharmacol. 2017, 54, 105–111. [Google Scholar] [CrossRef]
- Mashhadi, M.A.; Arab, M.R.; Azizi, F.; Shahraki, M.R. Histological Study of Toxic Effects of Cisplatin Single Dose Injection on Rat Kidney. Gene Cell Tissue 2014, 1, e21536. [Google Scholar] [CrossRef]
- Farooqui, Z.; Ahmed, F.; Rizwan, S.; Shahid, F.; Khan, A.A.; Khan, F. Protective Effect of Nigella Sativa Oil on Cisplatin Induced Nephrotoxicity and Oxidative Damage in Rat Kidney. Biomed. Pharmacother. 2017, 85, 7–15. [Google Scholar] [CrossRef]
- Sadeghi, H.; Mansourian, M.; Panahi kokhdan, E.; Salehpour, Z.; Sadati, I.; Abbaszadeh-Goudarzi, K.; Asfaram, A.; Doustimotlagh, A.H. Antioxidant and Protective Effect of Stachys pilifera Benth against Nephrotoxicity Induced by Cisplatin in Rats. J. Food Biochem. 2020, 44, e13190. [Google Scholar] [CrossRef]
- Arany, I.; Safirstein, R.L. Cisplatin Nephrotoxicity. Semin. Nephrol. 2003, 23, 460–464. [Google Scholar] [CrossRef]
- Alibakhshi, T.; Khodayar, M.J.; Khorsandi, L.; Rashno, M.; Zeidooni, L. Protective Effects of Zingerone on Oxidative Stress and Inflammation in Cisplatin-Induced Rat Nephrotoxicity. Biomed. Pharmacother. 2018, 105, 225–232. [Google Scholar] [CrossRef]
- Urakami, Y.; Okuda, M.; Masuda, S.; Saito, H.; Inui, K.I. Functional Characteristics and Membrane Localization of Rat Multispecific Organic Cation Transporters, OCT1 and OCT2, Mediating Tubular Secretion of Cationic Drugs. J. Pharmacol. Exp. Ther. 1998, 287, 800–805. [Google Scholar] [CrossRef] [PubMed]
- Yokoo, S.; Yonezawa, A.; Masuda, S.; Fukatsu, A.; Katsura, T.; Inui, K.-I. Differential Contribution of Organic Cation Transporters, OCT2 and MATE1, in Platinum Agent-Induced Nephrotoxicity. Biochem. Pharmacol. 2007, 74, 477–487. [Google Scholar] [CrossRef]
- Filipski, K.K.; Loos, W.J.; Verweij, J.; Sparreboom, A. Interaction of Cisplatin with the Human Organic Cation Transporter 2. Clin. Cancer Res. 2008, 14, 3875–3880. [Google Scholar] [CrossRef]
- Choi, M.-K.; Song, I.-S. Organic Cation Transporters and Their Pharmacokinetic and Pharmacodynamic Consequences. Drug Metab. Pharmacokinet. 2008, 23, 243–253. [Google Scholar] [CrossRef]
- Hu, S.; Leblanc, A.; Gibson, A.; Hong, K.; Kim, J.; Janke, L.; Li, L.; Vasilyeva, A.; Finkelstein, D.; Sprowl, J.; et al. Identification of OAT1/OAT3 as Contributors to Cisplatin Toxicity. Clin. Transl. Sci. 2017, 10, 412–420. [Google Scholar] [CrossRef]
- Cullen, K.J.; Yang, Z.; Schumaker, L.; Guo, Z. Mitochondria as a Critical Target of the Chemotheraputic Agent Cisplatin in Head and Neck Cancer. J. Bioenerg. Biomembr. 2007, 39, 43–50. [Google Scholar] [CrossRef]
- Qian, W.; Nishikawa, M.; Haque, A.M.; Hirose, M.; Mashimo, M.; Sato, E.; Inoue, M. Mitochondrial Density Determines the Cellular Sensitivity to Cisplatin-Induced Cell Death. Am. J. Physiol.-Cell Physiol. 2005, 289, C1466–C1475. [Google Scholar] [CrossRef]
- Keithley, E.M.; Canto, C.; Zheng, Q.Y.; Wang, X.; Fischel-Ghodsian, N.; Johnson, K.R. Cu/Zn Superoxide Dismutase and Age-Related Hearing Loss. Hear. Res. 2005, 209, 76–85. [Google Scholar] [CrossRef] [PubMed]
- Gullans, S.R.; Mandel, L.J. Coupling of Energy Transport in Proximal and Distal Nephron. In The Kidney: Physiology and Pathophysiology, 3rd ed.; Seldin, D.W., Giebisch, G., Eds.; Lippincott Williams & Wilkins: Philadelphia, PA, USA, 2000; Volume 1, pp. 445–482. [Google Scholar]
- García-Berrocal, J.R.; Nevado, J.; Ramírez-Camacho, R.; Sanz, R.; González-García, J.A.; Sánchez-Rodríguez, C.; Cantos, B.; España, P.; Verdaguer, J.M.; Trinidad Cabezas, A. The Anticancer Drug Cisplatin Induces an Intrinsic Apoptotic Pathway inside the Inner Ear. Br. J. Pharmacol. 2007, 152, 1012–1020. [Google Scholar] [CrossRef]
- Radi, R. Protein Tyrosine Nitration: Biochemical Mechanisms and Structural Basis of Functional Effects. Acc. Chem. Res. 2013, 46, 550–559. [Google Scholar] [CrossRef]
- Domitrović, R.; Cvijanović, O.; Pugel, E.P.; Zagorac, G.B.; Mahmutefendić, H.; Škoda, M. Luteolin Ameliorates Cisplatin-Induced Nephrotoxicity in Mice through Inhibition of Platinum Accumulation, Inflammation and Apoptosis in the Kidney. Toxicology 2013, 310, 115–123. [Google Scholar] [CrossRef] [PubMed]
- Sturtz, L.A.; Diekert, K.; Jensen, L.T.; Lill, R.; Culotta, V.C. A Fraction of Yeast Cu,Zn-Superoxide Dismutase and Its Metallochaperone, CCS, Localize to the Intermembrane Space of Mitochondria. J. Biol. Chem. 2001, 276, 38084–38089. [Google Scholar] [CrossRef] [PubMed]
- Rarey, K.E.; Yao, X. Localization of Cu/Zn-SOD and Mn-SOD in the Rat Cochlea. Acta Otolaryngol. 1996, 116, 833–835. [Google Scholar] [CrossRef]
- Pierson, M.G.; Gray, B.H. Superoxide Dismutase Activity in the Cochlea. Hear. Res. 1982, 6, 141–151. [Google Scholar] [CrossRef] [PubMed]
- Staecker, H.; Zheng, Q.Y.; Van De Water, T.R. Oxidative Stress in Aging in the C57B16/J Mouse Cochlea. Acta Otolaryngol. 2001, 121, 666–672. [Google Scholar] [CrossRef]
- McFadden, S.L.; Ding, D.; Reaume, A.G.; Flood, D.G.; Salvi, R.J. Age-Related Cochlear Hair Cell Loss Is Enhanced in Mice Lacking Copper/Zinc Superoxide Dismutase. Neurobiol. Aging 1999, 20, 1–8. [Google Scholar] [CrossRef] [PubMed]
- Frederiks, W.M.; Bosch, K.S. Localization of Superoxide Dismutase Activity in Rat Tissues. Free Radic. Biol. Med. 1997, 22, 241–248. [Google Scholar] [CrossRef]
- Yu, C.; Dong, H.; Wang, Q.; Bai, J.; Li, Y.-N.; Zhao, J.-J.; Li, J.-Z. Danshensu Attenuates Cisplatin-Induced Nephrotoxicity through Activation of Nrf2 Pathway and Inhibition of NF-ΚB. Biomed. Pharmacother. 2021, 142, 111995. [Google Scholar] [CrossRef]
- Farrokh-Eslamlou, N.; Momtaz, S.; Niknejad, A.; Hosseini, Y.; Mahdaviani, P.; Ghasemnejad-Berenji, M.; Abdolghaffari, A.H. Empagliflozin Protective Effects against Cisplatin-Induced Acute Nephrotoxicity by Interfering with Oxidative Stress and Inflammation in Wistar Rats. Naunyn-Schmiedeberg’s Arch. Pharmacol. 2024, 397, 7061–7070. [Google Scholar] [CrossRef]
- Shanley, P.F.; Brezis, M.; Spokes, K.; Silva, P.; Epstein, F.H.; Rosen, S. Differential Responsiveness of Proximal Tubule Segments to Metabolic Inhibitors in the Isolated Perfused Rat Kidney. Am. J. Kidney Dis. 1986, 7, 76–83. [Google Scholar] [CrossRef] [PubMed]
- Shen, Y.; Zhu, Y.; Xiao, Z.; Zhang, Q.; Li, Y.; Li, C.; Ye, M.; Zhu, C.; Zhou, Y. NIR-excited imaging of drug-induced liver injury using a superoxide-activated ratiometric upconversion luminescence nanoprobe. Talanta 2024, 279, 126599. [Google Scholar] [CrossRef] [PubMed]
- Shin, Y.S.; Hwang, D.B.; Won, D.H.; Kim, S.Y.; Kim, C.; Park, J.W.; Jeon, Y.; Yun, J.W. The Wnt/β-catenin signaling pathway plays a role in drug-induced liver injury by regulating cytochrome P450 2E1 expression. Toxicol. Res. 2023, 39, 443–453. [Google Scholar] [CrossRef] [PubMed]
- Lee, C.H.; Lee, D.H.; Lee, S.M.; Kim, A.S.Y. Otoprotective Effects of Zingerone on Cisplatin-Induced Ototoxicity. Int. J. Mol. Sci. 2020, 21, 3503. [Google Scholar] [CrossRef] [PubMed]
- Lee, C.H.; Kim, K.W.; Lee, S.M.; Kim, S.Y. Dose-Dependent Effects of Resveratrol on Cisplatin-Induced Hearing Loss. Int. J. Mol. Sci. 2020, 22, 113. [Google Scholar] [CrossRef] [PubMed]
- So, H.; Kim, H.; Lee, J.H.; Park, C.; Kim, Y.; Kim, E.; Kim, J.K.; Yun, K.J.; Lee, K.M.; Lee, H.Y.; et al. Cisplatin cytotoxicity of auditory cells requires secretions of proinflammatory cytokines via activation of ERK and NF-kappaB. J. Assoc. Res. Otolaryngol. 2007, 8, 338–355. [Google Scholar] [CrossRef]
- Dai, D.; Chen, C.; Lu, C.; Guo, Y.; Li, Q.; Sun, C. Apoptosis, autophagy, ferroptosis, and pyroptosis in cisplatin-induced ototoxicity and protective agents. Front. Pharmacol. 2024, 15, 1430469. [Google Scholar] [CrossRef]
- Valente, F.; Simoni, E.; Gentilin, E.; Martini, A.; Zanoletti, E.; Marioni, G.; Nicolai, P.; Astolfi, L. Liquid Crystalline Nanoparticles Conjugated with Dexamethasone Prevent Cisplatin Ototoxicity In Vitro. Int. J. Mol. Sci. 2022, 23, 14881. [Google Scholar] [CrossRef]
- Dindelegan, M.G.; Blebea, C.M.; Perde-Schrepler, M.; Necula, V.; Maniu, A.A.; Pascalau, V.; Popa, C.; Susman, S.; Gherman, L.M.; Buzoianu, A.D. Hydrogel Matrix Containing Microcarriers for Dexamethasone Delivery to Protect Against Cisplatin-Induced Hearing Loss. Cureus 2024, 16, e71142. [Google Scholar] [CrossRef]
- Yokomizo, A.; Nakashima, K.; Iba, A.; Okita, K.; Wada, M.; Iino, K.; Akechi, T.; Iihara, H.; Imamura, C.K.; Okuyama, A.; et al. Efficacy and safety of dexamethasone sparing for the prevention of nausea and vomiting associated with highly emetogenic risk antineoplastic agents: A systematic review and meta-analysis of the Clinical Practice Guidelines for Antiemesis 2023 from the Japan Society of Clinical Oncology. Int. J. Clin. Oncol. 2024, 29, 1632–1640. [Google Scholar] [CrossRef] [PubMed]









| NT | 1-IP | 3-IP | |
|---|---|---|---|
| Apical region | 19.3 ± 4.1 | 16.4 ± 5.5 | 18.8 ± 4.0 |
| Medial region | 17.7 ± 3.3 | 18.7 ± 2.1 | 17.8 ± 2.8 |
| Basal region | 12.8 ± 2.0 | 15.1 ± 5.8 | 12.7 ± 2.4 |
| NT | 1-IP | 3-IP | |
|---|---|---|---|
| Area | 100 ± 22.73 | 105.2 ± 2.73 | 105.7 ± 349 |
| Thickness | 97 (77.6; 105) | 106 (93; 114) | 97 (91.4; 106.9) |
| Basal region | 12.8 ± 2.0 | 15.1 ± 5.8 | 12.7 ± 2.4 |
Disclaimer/Publisher’s Note: The statements, opinions and data contained in all publications are solely those of the individual author(s) and contributor(s) and not of MDPI and/or the editor(s). MDPI and/or the editor(s) disclaim responsibility for any injury to people or property resulting from any ideas, methods, instructions or products referred to in the content. |
© 2025 by the authors. Licensee MDPI, Basel, Switzerland. This article is an open access article distributed under the terms and conditions of the Creative Commons Attribution (CC BY) license (https://creativecommons.org/licenses/by/4.0/).
Share and Cite
Hellies, F.; Fracaro, S.; Pintus, G.; Simoni, E.; Gentilin, E.; Marioni, G.; Martini, A.; Nicolai, P.; Zanoletti, E.; Albertin, G.; et al. Evaluation of Ototoxic Effects of Cisplatin in a Rat Model: A Dose–Response Study. Appl. Sci. 2025, 15, 1090. https://doi.org/10.3390/app15031090
Hellies F, Fracaro S, Pintus G, Simoni E, Gentilin E, Marioni G, Martini A, Nicolai P, Zanoletti E, Albertin G, et al. Evaluation of Ototoxic Effects of Cisplatin in a Rat Model: A Dose–Response Study. Applied Sciences. 2025; 15(3):1090. https://doi.org/10.3390/app15031090
Chicago/Turabian StyleHellies, Filippo, Silvia Fracaro, Giovanni Pintus, Edi Simoni, Erica Gentilin, Gino Marioni, Alessandro Martini, Piero Nicolai, Elisabetta Zanoletti, Giovanna Albertin, and et al. 2025. "Evaluation of Ototoxic Effects of Cisplatin in a Rat Model: A Dose–Response Study" Applied Sciences 15, no. 3: 1090. https://doi.org/10.3390/app15031090
APA StyleHellies, F., Fracaro, S., Pintus, G., Simoni, E., Gentilin, E., Marioni, G., Martini, A., Nicolai, P., Zanoletti, E., Albertin, G., & Astolfi, L. (2025). Evaluation of Ototoxic Effects of Cisplatin in a Rat Model: A Dose–Response Study. Applied Sciences, 15(3), 1090. https://doi.org/10.3390/app15031090

