Histological Bone-Healing Evaluation of Critical-Size Defects Filled with β-Tricalcium Phosphate in Rat Tibiae
Abstract
1. Introduction
2. Materials and Methods
2.1. Experimental Models
2.2. Surgical Procedures
2.3. Sample Collection
2.4. Histomorphometric Analysis
2.5. Statistical Analyses
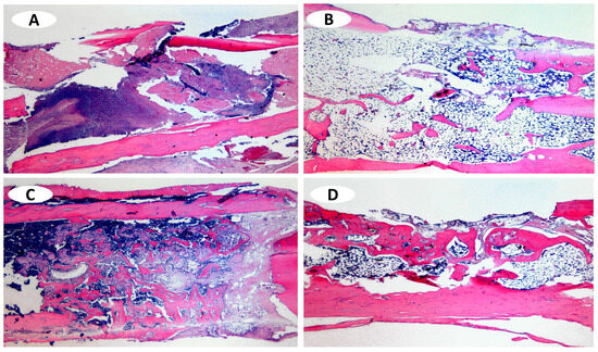
3. Results
3.1. Control 30 Days
3.2. Control 90 Days
3.3. RTR® 30 Days
3.4. RTR® 90 Days
4. Discussion
5. Conclusions
Author Contributions
Funding
Institutional Review Board Statement
Informed Consent Statement
Data Availability Statement
Conflicts of Interest
References
- Zerbo, I.R.; Zijderveld, S.A.; de Boer, A.; Bronckers, A.L.; de Lange, G.; ten Bruggenkate, C.M.; Burger, E.H. Histomorphometry of human sinus floor augmentation using a porous beta-tricalcium phosphate: A prospective study. Clin. Oral. Implant. Res. 2004, 15, 724–732. [Google Scholar] [CrossRef] [PubMed]
- Wu, W.; Chen, X.; Mao, T.; Chen, F.; Feng, X. Bone marrow-derived osteoblasts seeded into porous beta-tricalcium phosphate to repair segmental defect in canine’s mandibula. Ulus Travma Acil Cerrahi Derg 2006, 12, 268–276. [Google Scholar] [PubMed]
- Sava-Rosianu, R.; Podariu, A.C.; Popovici, R.A.; Tanasie, G.; Iliuta, L.; Oancea, R. Alveolar bone repair using mesenchymal stem cells placed on granular scaffolds in a rat model. Dig. J. Nanomater. Biostructures DJNB 2013, 8, 303–311. [Google Scholar]
- Sarnadas, M.; Marques, J.A.; Baptista, I.P.; Santos, J.M. Impact of Periodontal Attachment Loss on the Outcome of Endodontic Microsurgery: A Systematic Review and Meta-Analysis. Medicina 2021, 57, 922. [Google Scholar] [CrossRef] [PubMed]
- Mazzoneto, R.; Netto, H.D.; Nascimento, F.F. Biomateriais: Conceitos e aplicações. In Enxertos ósseos em Implantodontia, 1st ed.; Napoleão Quitessence: Nova Odessa, Brazil; Volume 1, pp. 78–104, ISBN 9788560842322.
- Nassr, A.; Khan, M.H.; Ali, M.H.; Espiritu, M.T.; Hanks, S.E.; Lee, J.Y.; Donaldson, W.F.; Kang, J.D. Donor-site complications of autogenous nonvascularized fibula strut graft harvest for anterior cervical corpectomy and fusion surgery: Experience with 163 consecutive cases. Spine J. 2009, 9, 893–898. [Google Scholar] [CrossRef] [PubMed]
- Szabó, G.; Suba, Z.; Hrabák, K.; Barabás, J.; Németh, Z. Autogenous bone versus beta-tricalcium phosphate graft alone for bilateral sinus elevations (2- and 3-dimensional computed tomographic, histologic, and histomorphometric evaluations): Preliminary results. Int. J. Oral. Maxillofac. Implant. 2001, 16, 681–692. [Google Scholar]
- Sequeira, D.B.; Diogo, P.; Gomes, B.P.F.A.; Peça, J.; Santos, J.M.M. Scaffolds for Dentin–Pulp Complex Regeneration. Medicina 2024, 60, 7. [Google Scholar] [CrossRef] [PubMed]
- Damlar, I.; Erdoğan, Ö.; Tatli, U.; Arpağ, O.F.; Görmez, U.; Üstün, Y. Comparison of osteoconductive properties of three different β-tricalcium phosphate graft materials: A pilot histomorphometric study in a pig model. J. Cranio-Maxillofac. Surg. 2015, 43, 175–180. [Google Scholar] [CrossRef] [PubMed]
- Leventis, M.D.; Fairbairn, P.; Dontas, I.; Faratzis, G.; Valavanis, K.D.; Khaldi, L.; Kostakis, G.; Eleftheriadis, E. Biological response to β-tricalcium phosphate/calcium sulfate synthetic graft material: An experimental study. Implant Dent. 2014, 23, 37–43. [Google Scholar] [CrossRef] [PubMed]
- Herrera, D.; Lodoso-Torrecilla, I.; Ginebra, M.P.; Rappe, K.; Franch, J. Osteogenic differentiation of adipose-derived canine mesenchymal stem cells seeded in porous calcium-phosphate scaffolds. Front. Vet. Sci. 2023, 10, 1149413. [Google Scholar] [CrossRef] [PubMed]
- Sumii, J.; Nakasa, T.; Kato, Y.; Miyaki, S.; Adachi, N. The Subchondral Bone Condition During Microfracture Affects the Repair of the Osteochondral Unit in the Cartilage Defect in the Rat Model. Am. J. Sports Med. 2023, 51, 2472–2479. [Google Scholar] [CrossRef] [PubMed]
- Amaral, S.S.; Lima, B.S.D.S.; Avelino, S.O.M.; Spirandeli, B.R.; Campos, T.M.B.; Thim, G.P.; Trichês, E.D.S.; Prado, R.F.D.; Vasconcellos, L.M.R.D. β-TCP/S53P4 Scaffolds Obtained by Gel Casting: Synthesis, Properties, and Biomedical Applications. Bioengineering 2023, 10, 597. [Google Scholar] [CrossRef] [PubMed]
- Akçay, H.; Tatar, B.; Kuru, K.; Ünal, N.; Şimşek, F.; Ulu, M.; Karaman, O. Comparison of Particulate, Block and Putty Forms of β-tricalcium Phosphate-Based Synthetic Bone Grafts on Rat Calvarium Model. J. Maxillofac. Oral. Surg. 2023, 22, 296–303. [Google Scholar] [CrossRef] [PubMed]
- Akbari, S.; Saberi, E.A.; Fakour, S.R.; Heidari, Z. Immediate to short-term inflammatory response to biomaterial implanted in calvarium of mice. Eur. J. Transl. Myol. 2022, 33, 10785. [Google Scholar] [CrossRef] [PubMed]
- Gupta, A.K.; Arora, K.S.; Aggarwal, P.; Kaur, K.; Mohapatra, S.; Pareek, S. Evaluation of biphasic hydroxapatite and β-tricalcium phosphate as a bone graft material in the treatment of periodontal vertical bony defects—A clinical and digital radiological measurement study. Indian J. Dent. Res. 2022, 33, 152–157. [Google Scholar] [PubMed]
- Pinipe, J.; Mandalapu, N.B.; Manchala, S.R.; Mannem, S.; Gottumukkala, N.V.; Koneru, S. Comparative evaluation of clinical efficacy of β-tri calcium phosphate (Septodont-RTR)™ alone and in combination with platelet rich plasma for treatment of intrabony defects in chronic periodontitis. J. Indian Soc. Periodontol. 2014, 18, 346–351. [Google Scholar] [PubMed]
- Brkovic, B.; Prasad, H.S.; Konandreas, G.; Milan, R.; Antunovic, D.; Sándor, G.K.; Rohrer, M.D. Simple preservation of a maxillary extraction socket using beta-tricalcium phosphate with type I collagen: Preliminary clinical and histomorphometric observations. J. Can. Dent. Assoc. 2008, 74, 523–528. [Google Scholar] [PubMed]
- Hirota, M.; Matsui, Y.; Mizuki, N.; Kishi, T.; Watanuki, K.; Ozawa, T.; Fukui, T.; Shoji, S.; Adachi, M.; Monden, Y.; et al. Combination with allogenic bone reduces early absorption of beta-tricalcium phosphate (beta-TCP) and enhances the role as a bone regeneration scaffold. Experimental animal study in rat mandibular bone defects. Dent. Mater. J. 2009, 28, 153–161. [Google Scholar] [CrossRef]
- Bernabé, P.F.; Melo, L.G.; Cintra, L.T.; Gomes-Filho, J.E.; Dezan, E., Jr.; Nagata, M.J. Bone healing in critical-size defects treated with either bone graft, membrane, or a combination of both materials: A histological and histometric study in rat tibiae. Clin. Oral. Implant. Res. 2012, 23, 384–388. [Google Scholar]
- Schmitz, J.P.; Hollinger, J.O. The critical size defect as an experimental model for craniomandibulofacial nonunions. Clin. Orthop. Relat. Res. 1986, 205, 299–308. [Google Scholar] [CrossRef]
- Xu, J.; Shen, J.; Sun, Y.; Wu, T.; Sun, Y.; Chai, Y.; Kang, Q.; Rui, B.; Li, G. In vivo prevascularization strategy enhances neovascularization of β-tricalcium phosphate scaffolds in bone regeneration. J. Orthop. Transl. 2022, 37, 143–151. [Google Scholar] [CrossRef] [PubMed]
- Yoshino, Y.; Miyaji, H.; Nishida, E.; Kanemoto, Y.; Hamamoto, A.; Kato, A.; Sugaya, T.; Akasaka, T. Periodontal tissue regeneration by recombinant human collagen peptide granules applied with β-tricalcium phosphate fine particles. J. Oral. Biosci. 2023, 65, 62–71. [Google Scholar] [CrossRef] [PubMed]
- Tian, Y.; Ma, H.; Yu, X.; Feng, B.; Yang, Z.; Zhang, W.; Wu, C. Biological response of 3D-printedβ-tricalcium phosphate bioceramic scaffolds with the hollow tube structure. Biomed. Mater. 2023, 18, 034102. [Google Scholar] [CrossRef] [PubMed]
- Luvizuto, E.R.; Queiroz, T.P.; Margonar, R.; Panzarini, S.R.; Hochuli-Vieira, E.; Okamoto, T.; Okamoto, R. Osteoconductive properties of β-tricalcium phosphate matrix, polylactic and polyglycolic acid gel, and calcium phosphate cement in bone defects. J. Craniofac. Surg. 2012, 23, e430–e433. [Google Scholar] [CrossRef] [PubMed]
- Jeong, C.H.; Kim, J.; Kim, H.S.; Lim, S.Y.; Han, D.; Huser, A.J.; Lee, S.B.; Gim, Y.; Ji, J.H.; Kim, D.; et al. Acceleration of bone formation by octacalcium phosphate composite in a rat tibia critical-sized defect. J. Orthop. Transl. 2022, 37, 100–112. [Google Scholar] [CrossRef] [PubMed]
- Li, J.; Li, J.; Yang, Y.; He, X.; Wei, X.; Tan, Q.; Wang, Y.; Xu, S.; Chang, S.; Liu, W. Biocompatibility and osteointegration capability of β-TCP manufactured by stereolithography 3D printing: In vitro study. Open Life Sci. 2023, 18, 20220530. [Google Scholar] [CrossRef] [PubMed]
- Samavedi, S.; Whittington, A.R.; Goldstein, A.S. Calcium phosphate ceramics in bone tissue engineering: A review of properties and their influence on cell behavior. Acta Biomater. 2013, 9, 8037–8045. [Google Scholar] [CrossRef] [PubMed]
- Cheng, L.; Shi, Y.; Ye, F.; Bu, H. Osteoinduction of calcium phosphate biomaterials in small animals. Mater. Sci. Eng. C Mater. Biol. Appl. 2013, 33, 1254–1260. [Google Scholar] [CrossRef] [PubMed]
- Bueno, C.R.E.; Cintra, L.T.A.; Benetti, F.; Dal Fabbro, R.; Jacinto, R.C.; Dezan-Junior, E. Bioceramic Materials. In Bioactive Materials in Dentistry: Remineralization and Biomineralization; Benetti, F., Ed.; Nova Science Publishers, Inc.: New York, NY, USA, 2019; pp. 45–92. [Google Scholar]
- Truedsson, A.; Wang, J.S.; Lindberg, P.; Gordh, M.; Sunzel, B.; Warfvinge, G. Bone substitute as an on-lay graft on rat tibia. Clin. Oral. Implant. Res. 2010, 21, 424–429. [Google Scholar] [CrossRef]
- Ghanaati, S.; Barbeck, M.; Orth, C.; Willershausen, I.; Thimm, B.W.; Hoffmann, C.; Rasic, A.; Sader, R.A.; Unger, R.E.; Peters, F.; et al. Influence of β-tricalcium phosphate granule size and morphology on tissue reaction in vivo. Acta Biomater. 2010, 6, 4476–4487. [Google Scholar] [CrossRef] [PubMed]
- Martinez, A.; Balboa, O.; Gasamans, I.; Otero-Cepeda, X.L.; Guitian, F. Deproteinated bovine bone vs. beta-tricalcium phosphate as bone graft substitutes: Histomorphometric longitudinal study in the rabbit cranial vault. Clin. Oral. Implant. Res. 2015, 26, 623–632. [Google Scholar] [CrossRef] [PubMed]
- Benetti, F.; Bueno, C.R.E.; Reis-Prado, A.H.D.; Souza, M.T.; Goto, J.; Camargo, J.M.P.D.; Duarte, M.A.H.; Dezan-Júnior, E.; Zanotto, E.D.; Cintra, L.T.A. Biocompatibility, Biomineralization, and Maturation of Collagen by RTR®, Bioglass and DM Bone® Materials. Braz. Dent. J. 2020, 31, 477–484. [Google Scholar] [CrossRef] [PubMed]
- Yamaguchi, M.; Shimizu, N.; Shibata, Y.; Abiko, Y. Effects of different magnitudes of tension-force on alkaline phosphatase activity in periodontal ligament cells. J. Dent. Res. 1996, 75, 889–894. [Google Scholar] [CrossRef] [PubMed]
- Fathima, H. Osteostimulatory effect of bone grafts on fibroblast cultures. J. Nat. Sci. Biol. Med. 2015, 6, 291–294. [Google Scholar] [CrossRef]
- Wancket, L.M. Animal Models for Evaluation of Bone Implants and Devices: Comparative Bone Structure and Common Model Uses. Vet. Pathol. 2015, 52, 842–850. [Google Scholar] [CrossRef]
- Niederauer, G.G.; Niederauer, G.M.; Cullen, L.C., Jr.; Athanasiou, K.A.; Thomas, J.B.; Niederauer, M.Q. Correlation of cartilage stiffness to thickness and level of degeneration using a handheld indentation probe. Ann. Biomed. Eng. 2004, 32, 352–359. [Google Scholar] [CrossRef] [PubMed]
- Cardoso, H.F. Epiphyseal union at the innominate and lower limb in a modern Portuguese skeletal sample, and age estimation in adolescent and young adult male and female skeletons. Am. J. Phys. Anthropol. 2008, 135, 161–170. [Google Scholar] [CrossRef] [PubMed]
- Kunert-Keil, C.; Scholz, F.; Gedrange, T.; Gredes, T. Comparative study of biphasic calcium phosphate with beta-tricalcium phosphate in rat cranial defects--A molecular-biological and histological study. Ann. Anat. 2015, 199, 79–84. [Google Scholar] [CrossRef] [PubMed]
- Borrasca, A.G.; Aranega, A.M.; Filho, O.M.; Timóteo, C.A. Bone repair of surgical defects filled with autogenous bone and covered with demineralized bone matrix membrane or polytetrafluoroethylene membrane in rats. Int. J. Oral. Maxillofac. Implant. 2015, 30, 442–449. [Google Scholar] [CrossRef] [PubMed][Green Version]
- Ribeiro, L.L.; Bosco, A.F.; Nagata, M.J.; de Melo, L.G. Influence of bioactive glass and/or acellular dermal matrix on bone healing of surgically created defects in rat tibiae: A histological and histometric study. Int. J. Oral. Maxillofac. Implant. 2008, 23, 811–817. [Google Scholar]
- Mendes, S.M.; Fonseca, C.E.; Bassi, A.P.F.; Ponzoni, D. Carvalho PSP. Histologic and histomorphometric evaluation of heterogenous demineralized bone or compound bone with and without bone morphogenetic protein (bmp) in rat tíbia. Rev. Odontológica Araçatuba 2006, 27, 34–40. [Google Scholar]
- Cunha, L.R.; Balducci-Roslindo, E.; Minarelli-Gaspar, A.M. Efeito do fosfato tricálcio na reparação de defeito ósseo em tíbias de ratos. Rev. Odontol. UNESP 2007, 36, 293–298. [Google Scholar]
- Yuan, J.; Cui, L.; Zhang, W.J.; Liu, W.; Cao, Y. Repair of canine mandibular bone defects with bone marrow stromal cells and porous beta-tricalcium phosphate. Biomaterials 2007, 28, 1005–1013. [Google Scholar] [CrossRef]



| Groups | 30 Days | 90 Days | |||
|---|---|---|---|---|---|
| Mean (%) | SD | Mean (%) | SD | ||
| Control | NBA NCA | 2.46 A 0.09 a | ±0.43 ±0.09 | 15.10 A 22.01 a | ±1.83 ±2.75 |
| RTR® | NBA NCA | 31.31 B 34.95 b | ±3.88 ±5.01 | 36.80 B 42.84 b | ±5.87 ±5.50 |
Disclaimer/Publisher’s Note: The statements, opinions and data contained in all publications are solely those of the individual author(s) and contributor(s) and not of MDPI and/or the editor(s). MDPI and/or the editor(s) disclaim responsibility for any injury to people or property resulting from any ideas, methods, instructions or products referred to in the content. |
© 2024 by the authors. Licensee MDPI, Basel, Switzerland. This article is an open access article distributed under the terms and conditions of the Creative Commons Attribution (CC BY) license (https://creativecommons.org/licenses/by/4.0/).
Share and Cite
Vasques, A.M.V.; Bueno, C.R.E.; Guimarães, M.R.F.d.S.G.; Valentim, D.; da Silva, A.C.R.; Benetti, F.; Santos, J.M.M.; Cintra, L.T.A.; Dezan Junior, E. Histological Bone-Healing Evaluation of Critical-Size Defects Filled with β-Tricalcium Phosphate in Rat Tibiae. Appl. Sci. 2024, 14, 3821. https://doi.org/10.3390/app14093821
Vasques AMV, Bueno CRE, Guimarães MRFdSG, Valentim D, da Silva ACR, Benetti F, Santos JMM, Cintra LTA, Dezan Junior E. Histological Bone-Healing Evaluation of Critical-Size Defects Filled with β-Tricalcium Phosphate in Rat Tibiae. Applied Sciences. 2024; 14(9):3821. https://doi.org/10.3390/app14093821
Chicago/Turabian StyleVasques, Ana Maria Veiga, Carlos Roberto Emerenciano Bueno, Maria Rosa Felix de Souza Gomide Guimarães, Diego Valentim, Ana Cláudia Rodrigues da Silva, Francine Benetti, João Miguel Marques Santos, Luciano Tavares Angelo Cintra, and Eloi Dezan Junior. 2024. "Histological Bone-Healing Evaluation of Critical-Size Defects Filled with β-Tricalcium Phosphate in Rat Tibiae" Applied Sciences 14, no. 9: 3821. https://doi.org/10.3390/app14093821
APA StyleVasques, A. M. V., Bueno, C. R. E., Guimarães, M. R. F. d. S. G., Valentim, D., da Silva, A. C. R., Benetti, F., Santos, J. M. M., Cintra, L. T. A., & Dezan Junior, E. (2024). Histological Bone-Healing Evaluation of Critical-Size Defects Filled with β-Tricalcium Phosphate in Rat Tibiae. Applied Sciences, 14(9), 3821. https://doi.org/10.3390/app14093821

