Periodontal Perspectives in the Treatment of Tooth Fractures in Permanent Dentition: A Decision-Making Process
Abstract
1. Introduction
2. Materials and Methods
Relationship with the Periodontium
- Intrasulcular Supra-Attachment Level fracture (ISAL): fracture line within the gingival sulcus.
- Supracrestal Infra-Attachment Level fracture (SIAL): fracture line within the STA.
3. Decision-Making Process for Tooth Fractures
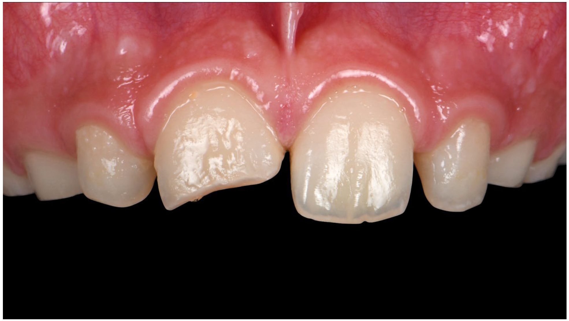
3.1. Horizontal Fractures
- A. No pulp involvement (Figure 5)
3.2. Treatment
Restoration with Adhesive Technique
3.3. Follow-Up
- B. Pulpal Involvement
3.3.1. Treatment
Pulp Management and Adhesive Technique Restoration
Follow-Up
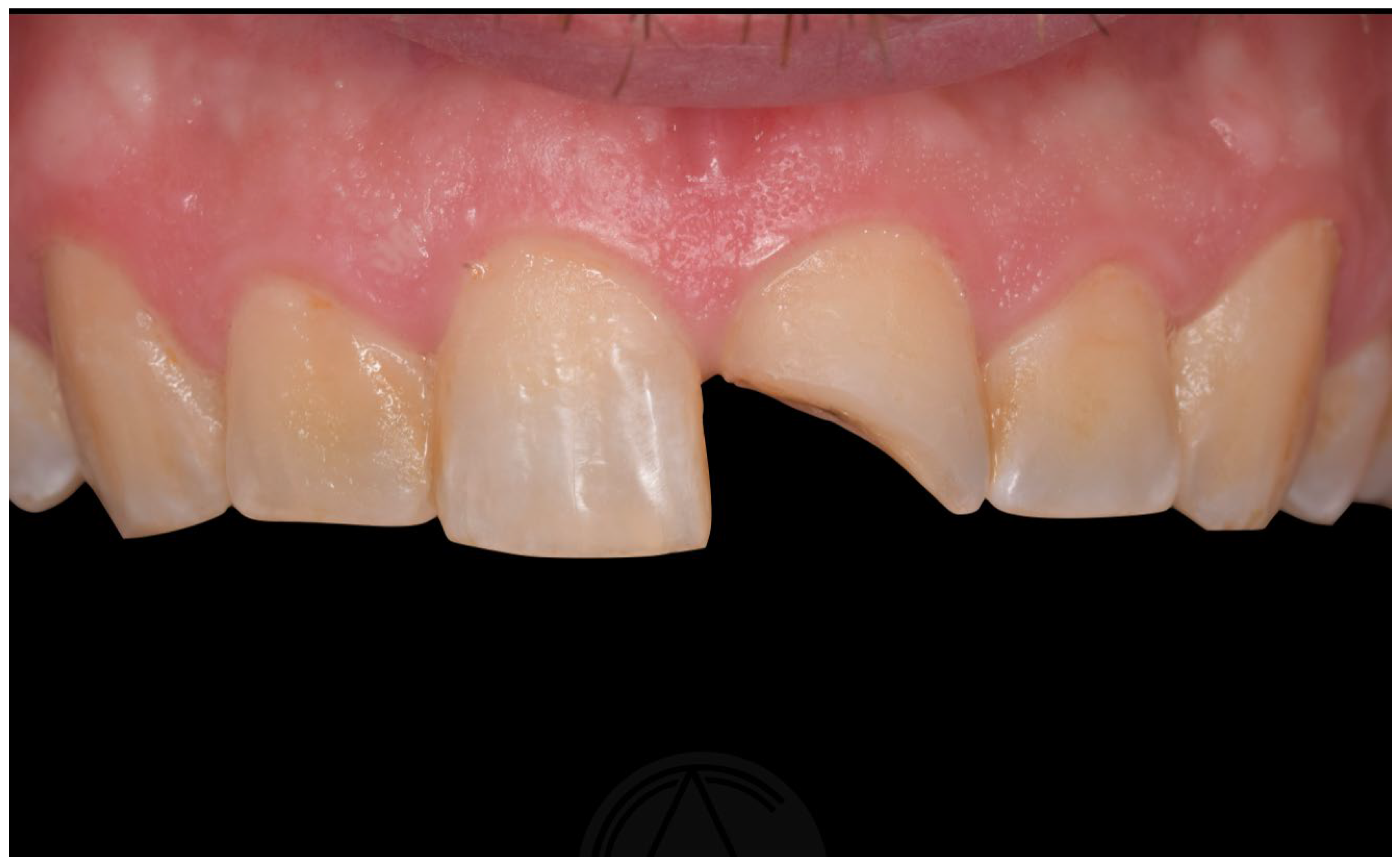
4. Subgingival Fractures
- 2.
- A. Intrasulcular Supra-Attachment Level fracture (ISAL)
4.1. Treatment
4.2. Follow-Up
- 2.
- B. Supracrestal Infra-attachment level fracture (SIAL)
4.3. Treatment
4.4. Follow-Up
- 3.
- Subcrestal Attachment Level fracture (SAL)
4.5. Treatment
- 3.
- A. Subcrestal Attachment Level fracture (SAL)—cervical third.
- Treatment options #2: Extraction and replacement with implant therapy or adhesive restoration
- 3.
- B. Subcrestal Attachment Level fracture (SAL)—middle third
- Treatment option #1: Monitoring
- Treatment option #2: Endodontic treatment of the coronal fragment
- Treatment option #3: Extraction of the apex and splint of the coronal fragment
4.6. Follow-Up
- 3.
- C. Subcrestal Attachment Level fracture (SAL)—apical third
5. Oblique Fractures
- 1.
- Supragingival
5.1. No Pulp Involvement
- Treatment option: Adhesive dentistry.
5.2. With Pulpal Involvement
- Treatment options: Endodontic Treatment and Adhesive dentistry.
- 2.
- Subgingival
- Suprabony
- 2.
- A. Suprabony—Coronal to CEJ
- Treatment option: Adhesive dentistry with or without endodontic therapy.
- 2.
- B. Suprabony—Apical to CEJ
- Treatment options: Crown lengthening (with or without orthodontic extrusion), adhesive dentistry and, if needed, endodontic therapy are required.
- Infrabony
- 3.
- A. Cervical third
- Treatment option #1: Endodontic therapy, Crown lengthening (with or without orthodontic extrusion) and Restoration.
- Treatment option #2: Extraction and implant placement.
- 3.
- B. Middle and 3. C. Apical Third
- Treatment options: Extraction and implant placement.
6. Vertical Fractures
- A long history of discomfort related to chronic infection with mild- to moderate-intensity pain, sometimes present during chewing.
- Symptoms persist even following a correctly performed RCT.
- Presence of swelling.
- Sinus tract probing: isolated, narrow and deep periodontal pockets, usually adjacent to the fracture line. Bilateral if the fracture extends on both sides of the root.
- Frequent dislodgment of pins/posts and crowns.
- Separation between the two fragments, with a fracture line along the root.
- Radiographic signs of fragment displacement or longitudinal radiolucencies.
6.1. Treatment Option: Extraction and Implant Placement
6.2. Subgingival Margin Positioning and Violation of the STA
7. Conclusions
Author Contributions
Funding
Conflicts of Interest
References
- Andreasen, J.O. Challenges in clinical dental traumatology. Endod. Dent. Traumatol. 1985, 1, 45–55. [Google Scholar] [CrossRef] [PubMed]
- Kaste, L.M.; Selwitz, R.H.; Oldakowski, R.J.; Brunelle, J.A.; Winn, D.M.; Brown, L.J. Coronal caries in the primary and permanent dentition of children and adolescents 1–17 years of age: United States, 1988–1991. J. Dent. Res. 1996, 75, 631–641. [Google Scholar] [CrossRef]
- Levin, L.; Day, P.F.; Hicks, L.; O’Connell, A.; Fouad, A.F.; Bourguignon, C.; Abbott, P.V. International Association of Dental Traumatology guidelines for the management of traumatic dental injuries: General introduction. Dent. Traumatol. 2020, 36, 309–313. [Google Scholar] [CrossRef] [PubMed]
- Bourguignon, C.; Cohenca, N.; Lauridsen, E.; Flores, M.T.; O’Connell, A.C.; Day, P.F.; Tsilingaridis, G.; Abbott, P.V.; Fouad, A.F.; Hicks, L.; et al. International Association of Dental Traumatology guidelines for the management of traumatic dental injuries: 1. Fractures and luxations. Dent. Traumatol. 2020, 36, 314–330. [Google Scholar] [CrossRef] [PubMed]
- Kois, J.C. The restorative-periodontal interface: Biological parameters. Periodontol. 2000 1996, 11, 29–38. [Google Scholar] [CrossRef] [PubMed]
- Amiri-Jezeh, M.; Rateitschak, E.; Weiger, R.; Walter, C. The impact of the margin of restorations on periodontal healthߞA review. Schweiz. Monatsschr. Zahnmed. 2006, 116, 606–613. [Google Scholar]
- Kosyfaki, P.; del Pilar Pinilla Martín, M.; Strub, J.R. Relationship between crowns and the periodontium: A literature update. Quintessence Int. 2010, 41, 109–126. [Google Scholar]
- Lang, N.P.; Kiel, R.A.; Anderhalden, K. Clinical and microbiological effects of subgingival restorations with overhanging or clinically perfect margins. J. Clin. Periodontol. 1983, 10, 563–578. [Google Scholar] [CrossRef]
- Schätzle, M.; Land, N.P.; Anerud, A.; Boysen, H.; Bürgin, W.; Löe, H. The influence of margins of restorations of the periodontal tissues over 26 years. J. Clin. Periodontol. 2001, 28, 57–64. [Google Scholar] [CrossRef]
- Jepsen, S.; Caton, J.G.; Albandar, J.M.; Bissada, N.F.; Bouchard, P.; Cortellini, P.; Demirel, K.; de Sanctis, M.; Ercoli, C.; Fan, J.; et al. Periodontal manifestations of systemic diseases and developmental and acquired conditions: Consensus report of workgroup 3 of the 2017 World Workshop on the Classification of Periodontal and Peri-Implant Diseases and Conditions. J. Clin. Periodontol. 2018, 45 (Suppl. 20), S219–S229. [Google Scholar] [CrossRef]
- Schmidt, J.C.; Sahrmann, P.; Weiger, R.; Schmidlin, P.R.; Walter, C. Biologic width dimensions—A systematic review. J. Clin. Periodontol. 2013, 40, 493–504. [Google Scholar] [CrossRef] [PubMed]
- Baldava, P.; Anup, N. Risk factors for traumatic dental injuries in an adolescent male population in India. J. Contemp. Dent. Pract. 2007, 8, 35–42. [Google Scholar] [CrossRef] [PubMed]
- Olsburgh, S.; Jacoby, T.; Krejci, I. Crown fractures in the permanent dentition: Pulpal and restorative considerations. Dent. Traumatol. 2002, 18, 103–115. [Google Scholar] [CrossRef] [PubMed]
- Rappelli, G.; Massaccesi, C.; Putignano, A. Clinical procedures for the immediate reattachment of a tooth fragment. Dent. Traumatol. 2002, 18, 281–284. [Google Scholar] [CrossRef]
- Browning, W.D.; Dennison, J.B. A survey of failure modes in composite resin restorations. Oper. Dent. 1996, 21, 160–166. [Google Scholar]
- Flores, M.T.; Andersson, L.; Andreasen, J.O.; Bakland, L.K.; Malmgren, B.; Barnett, F.; Bourguignon, C.; Diangelis, A.; Hicks, L.; Sigurdsson, A.; et al. Guidelines for the management of traumatic dental injuries. I. Fractures and luxations of permanent teeth. Dent. Traumatol. 2007, 23, 66–71. [Google Scholar] [CrossRef]
- Gomez-Sosa, J.F.; Granone-Ricella, M.; Rosciano-Alvarez, M.; Barrios-Rodriguez, V.D.; Goncalves-Pereira, J.; Caviedes-Bucheli, J. Determining Factors in the Success of Direct Pulp Capping: A Systematic Review. J. Contemp. Dent. Pract. 2024, 25, 392–401. [Google Scholar] [CrossRef] [PubMed]
- Bafail, A.S. Vital Pulp Therapy in Teeth with Symptomatic Irreversible Pulpitis: A Systematic Review. Oral Health Prev. Dent. 2024, 22, 433–442. [Google Scholar] [CrossRef] [PubMed]
- Oliveira, T.M.; Sakai, V.T.; Silva, T.C.; Santos, C.F.; Machado, M.A.; Abdo, R.C. Repair of furcal perforation treated with mineral trioxide aggregate in a primary molar tooth: 20-month follow-up. J. Dent. Child (Chic.) 2008, 75, 188–191. [Google Scholar]
- Reichardt, E.; Krug, R.; Bornstein, M.M.; Tomasch, J.; Verna, C.; Krastl, G. Orthodontic Forced Eruption of Permanent Anterior Teeth with Subgingival Fractures: A Systematic Review. Int. J. Environ. Res. Public Health 2021, 18, 12580. [Google Scholar] [CrossRef] [PubMed] [PubMed Central]
- Giachetti, L.; Bertini, F.; Rotundo, R. Crown-root reattachment of a severe subgingival tooth fracture: A 15-month periodontal evaluation. Int. J. Periodontics Restor. Dent. 2010, 30, 393–399. [Google Scholar]
- Calişkan, M.K.; Pehlivan, Y. Prognosis of root-fractured permanent incisors. Endod. Dent. Traumatol. 1996, 12, 129–136. [Google Scholar] [CrossRef] [PubMed]
- Andreasen, J.O.; Pitt Ford, T.R. A radiographic study of the effect of various retrograde fillings on periapical healing after replantation. Endod. Dent. Traumatol. 1994, 10, 276–281. [Google Scholar] [CrossRef]
- Andreasen, J.O.; Andreasen, F.M.; Andersson, L. Textbook and Color Atlas of Traumatic Injuries to the Teeth; John Wiley & Sons: Hoboken, NJ, USA, 2018. [Google Scholar]
- Nogueira Filho Gda, R.; Machion, L.; Teixeira, F.B.; Pimenta, L.A.; Sallum, E.A. Reattachment of an autogenous tooth fragment in a fracture with biologic width violation: A case report. Quintessence Int. 2002, 33, 181–184. [Google Scholar] [PubMed]
- Soliman, S.; Lang, L.M.; Hahn, B.; Reich, S.; Schlagenhauf, U.; Krastl, G.; Krug, R. Long-term outcome of adhesive fragment reattachment in crown-root fractured teeth. Dent. Traumatol. 2020, 36, 417–426. [Google Scholar] [CrossRef] [PubMed]
- Andersson, L.; Emami-Kristiansen, Z.; Högström, J. Single-tooth implant treatment in the anterior region of the maxilla for treatment of tooth loss after trauma: A retrospective clinical and interview study. Dent. Traumatol. 2003, 19, 126–131. [Google Scholar] [CrossRef]
- Kaitsas, R.; Paolone, M.G.; Paolone, G. Guided orthodontic regeneration: A tool to enhance conventional regenerative techniques in implant surgery. Int. Orthod. 2015, 13, 539–554. [Google Scholar] [CrossRef]
- Cvek, M.; Mejàre, I.; Andreasen, J.O. Healing and prognosis of teeth with intra-alveolar fractures involving the cervical part of the root. Dent. Traumatol. 2002, 18, 57–65. [Google Scholar] [CrossRef]
- Cvek, M.; Tsilingaridis, G.; Andreasen, J.O. Survival of 534 incisors after intra-alveolar root fracture in patients aged 7–17 years. Dent. Traumatol. 2008, 24, 379–387. [Google Scholar] [CrossRef]
- Andreasen, J.O.; Andreasen, F.M.; Mejàre, I.; Cvek, M. Healing of 400 intra-alveolar root fractures. 2. Effect of treatment factors such as treatment delay, repositioning, splinting type and period and antibiotics. Dent. Traumatol. 2004, 20, 203–211. [Google Scholar] [CrossRef]
- Westphalen, V.P.; de Sousa, M.H.; da Silva Neto, U.X.; Fariniuk, L.F.; Carneiro, E. Management of horizontal root-fractured teeth: Report of three cases. Dent. Traumatol. 2008, 24, e11–e15. [Google Scholar] [CrossRef] [PubMed]
- Versiani, M.A.; de Sousa, C.J.; Cruz-Filho, A.M.; Perez, D.E.; Sousa-Neto, M.D. Clinical management and subsequent healing of teeth with horizontal root fractures. Dent. Traumatol. 2008, 24, 136–139. [Google Scholar] [CrossRef] [PubMed]
- Sheikh-Nezami, M.; Mokhber, N.; Shamsian, K.; Saket, S. Management of a midroot and complicated crown fracture: A case report. Oral Surg. Oral Med. Oral Pathol. Oral Radiol. Endod. 2009, 107, e65–e67. [Google Scholar] [CrossRef]
- Andreasen, J.O.; Hjorting-Hansen, E. Intraalveolar root fractures: Radiographic and histologic study of 50 cases. J. Oral Surg. 1967, 25, 414–426. [Google Scholar] [PubMed]
- Cvek, M.; Mejàre, I.; Andreasen, J.O. Conservative endodontic treatment of teeth fractured in the middle or apical part of the root. Dent. Traumatol. 2004, 20, 261–269. [Google Scholar] [CrossRef]
- Brandini, D.A.; Poi, W.R.; Panzarini, S.R.; Sonoda, C.K.; De Castro, J.C.M.; Luvizuto, E.R.; Leal, C.R. Integrated treatment to resolve a horizontal root fracture. Dent. Traumatol. 2009, 25, e16–e20. [Google Scholar] [CrossRef]
- Kusgoz, A.; Yildirim, T.; Tanriver, M.; Yesilyurt, C. Treatment of horizontal root fractures using MTA as apical plug: Report of 3 cases. Oral Surg. Oral Med. Oral Pathol. Oral Radiol. Endod. 2009, 107, e68–e72. [Google Scholar] [CrossRef]
- Er, K.; Celik, D.; Taşdemir, T.; Yildirim, T. Treatment of horizontal root fractures using a triple antibiotic paste and mineral trioxide aggregate: A case report. Oral Surg. Oral Med. Oral Pathol. Oral Radiol. Endod. 2009, 108, e63–e66. [Google Scholar] [CrossRef]
- Eichelsbacher, F.; Denner, W.; Klaiber, B.; Schlagenhauf, U. Periodontal status of teeth with crown-root fractures: Results two years after adhesive fragment reattachment. J. Clin. Periodontol. 2009, 36, 905–911. [Google Scholar] [CrossRef]
- Koparal, E.; Ilgenli, T. Reattachment of a subgingivally fractured central incisor tooth fragment: Report of a case. J. Clin. Pediatr. Dent. 1999, 23, 113–115. [Google Scholar]
- Koyuturk, A.E.; Malkoc, S. Orthodontic extrusion of subgingivally fractured incisor before restoration. A case report: 3-years follow-up. Dent. Traumatol. 2005, 21, 174–178. [Google Scholar] [CrossRef] [PubMed]
- Moule, A.J.; Kahler, B. Diagnosis and management of teeth with vertical root fractures. Aust. Dent. J. 1999, 44, 75–87. [Google Scholar] [CrossRef] [PubMed]
- Dragoo, M.R. Resin-ionomer and hybrid-ionomer cements: Part II, human clinical and histologic wound healing responses in specific periodontal lesions. Int. J. Periodontics Restor. Dent. 1997, 17, 75–87. [Google Scholar]
- Villat, C.; Machtou, P.; Naulin-Ifi, C. Multidisciplinary approach to the immediate esthetic repair and long-term treatment of an oblique crown-root fracture. Dent. Traumatol. 2004, 20, 56–60. [Google Scholar] [CrossRef]












Disclaimer/Publisher’s Note: The statements, opinions and data contained in all publications are solely those of the individual author(s) and contributor(s) and not of MDPI and/or the editor(s). MDPI and/or the editor(s) disclaim responsibility for any injury to people or property resulting from any ideas, methods, instructions or products referred to in the content. |
© 2024 by the authors. Licensee MDPI, Basel, Switzerland. This article is an open access article distributed under the terms and conditions of the Creative Commons Attribution (CC BY) license (https://creativecommons.org/licenses/by/4.0/).
Share and Cite
Rotundo, R.; Mainas, G.; Coccia, C.A.; Paolone, G.; Bonafede, V.; Orlandi, M. Periodontal Perspectives in the Treatment of Tooth Fractures in Permanent Dentition: A Decision-Making Process. Appl. Sci. 2024, 14, 11370. https://doi.org/10.3390/app142311370
Rotundo R, Mainas G, Coccia CA, Paolone G, Bonafede V, Orlandi M. Periodontal Perspectives in the Treatment of Tooth Fractures in Permanent Dentition: A Decision-Making Process. Applied Sciences. 2024; 14(23):11370. https://doi.org/10.3390/app142311370
Chicago/Turabian StyleRotundo, Roberto, Giuseppe Mainas, Carlo Alberto Coccia, Gaetano Paolone, Vanessa Bonafede, and Marco Orlandi. 2024. "Periodontal Perspectives in the Treatment of Tooth Fractures in Permanent Dentition: A Decision-Making Process" Applied Sciences 14, no. 23: 11370. https://doi.org/10.3390/app142311370
APA StyleRotundo, R., Mainas, G., Coccia, C. A., Paolone, G., Bonafede, V., & Orlandi, M. (2024). Periodontal Perspectives in the Treatment of Tooth Fractures in Permanent Dentition: A Decision-Making Process. Applied Sciences, 14(23), 11370. https://doi.org/10.3390/app142311370

