Inactivation of Anisakis simplex Allergens in Fish Viscera by Acid Autolysis †
Abstract
1. Introduction
2. Materials and Methods
2.1. Hake Viscera
2.2. Silage Experiments
2.3. Anisakis Mortality
2.4. Patient Sera
2.5. Enzyme-Linked Immunosorbent Assay (ELISA)
2.6. Allergen Characterization
2.7. Presence of Anisakis in the Products
2.8. Amino Acid Profile
2.9. Molecular Size Profiling
3. Results and Discussion
3.1. Silage Evolution
3.2. Anisakis Survival
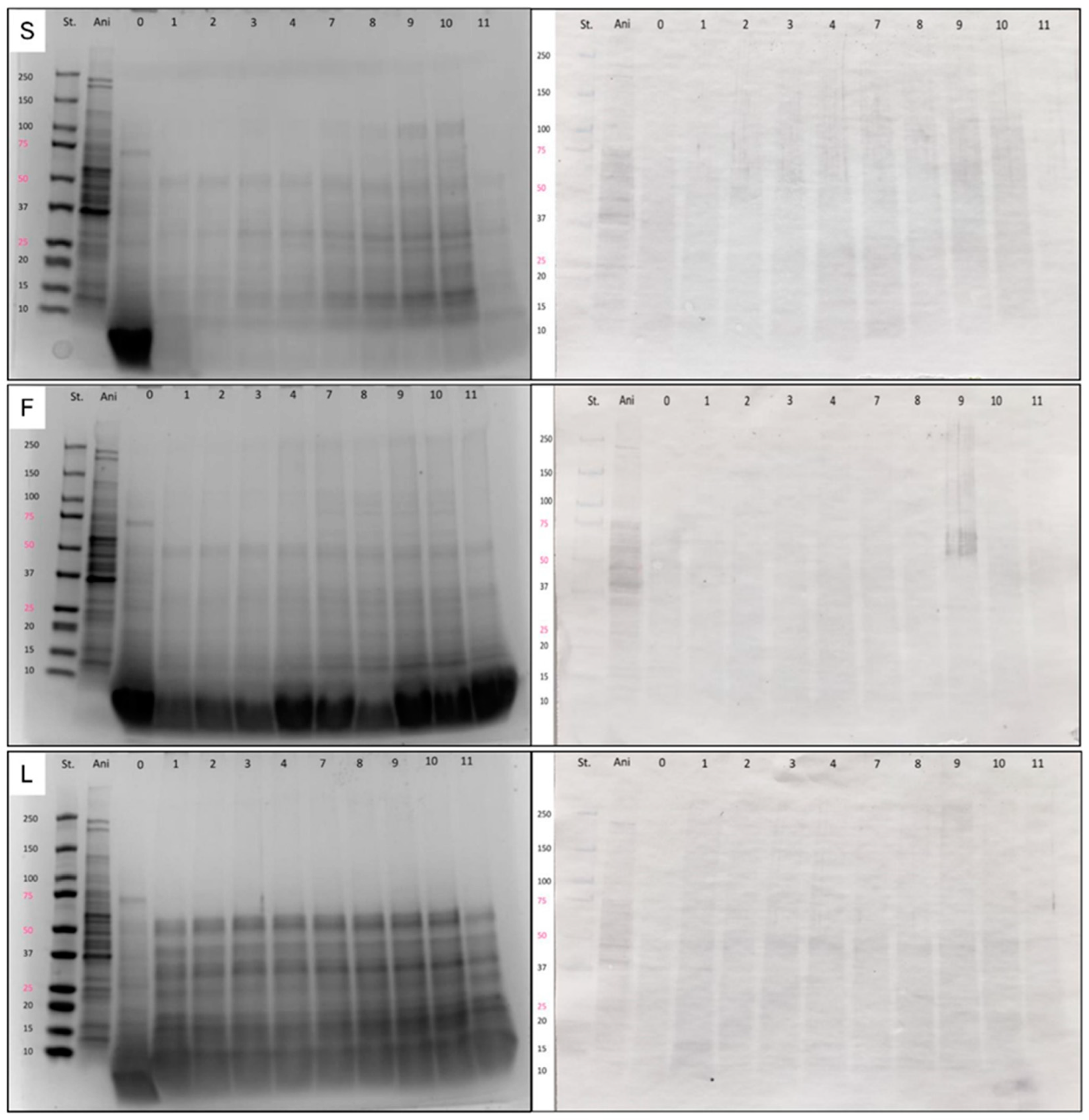
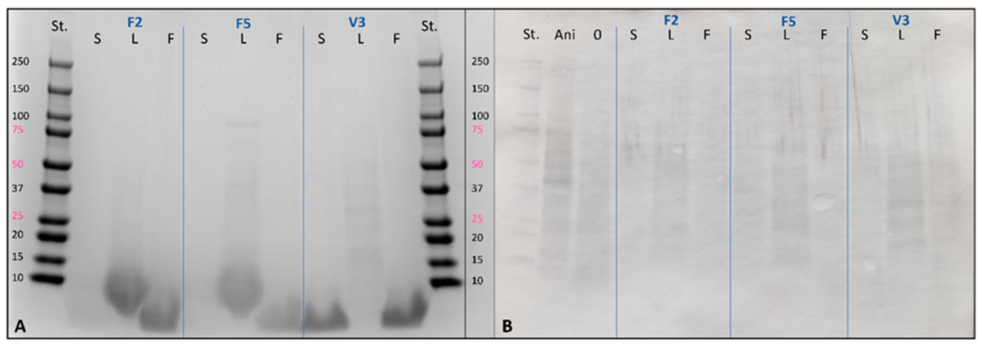
3.3. Presence of Anisakis allergens
3.4. Allergen Characterization and Amino Acid Profile
4. Conclusions
Author Contributions
Funding
Institutional Review Board Statement
Informed Consent Statement
Data Availability Statement
Acknowledgments
Conflicts of Interest
References
- ICES. Anisakis Larvae (“herringworm”; Nematoda) in Fish. Revised and Updated by Matt Longshaw. ICES Identification Leaflets for Diseases and Parasites of Fish and Shellfish. Leaflet No. 8. 2012. 5p. Available online: https://ices-library.figshare.com/articles/report/Anisakis_larvae_herringworm_Nematoda_in_fish/18628763?file=33408002 (accessed on 20 September 2024).
 - Diez, G.; Artetxe, I. Estudio de la Parasitación por Nemátodos de las Especies de Peces de Mayor Interés Comercial; Internal Report of AZTI for the Department of Agriculture Fisheries and Food of the Basque Government (DAPA); AZTI: Sukarrieta, Spain, 2000; 45p. [Google Scholar]
 - Buchmann, K.; Mehrdana, F. Effects of Anisakidae nematodes Anisakis simplex (s.l.), Pseudoterranova decipiens (s.l.) and Contracaecum osculatum (s.l.) on fish and consumer health. Food Waterborne Parasitol. 2016, 4, 13–22. [Google Scholar] [CrossRef]
 - Debenedetti, Á.L.; Madrid, E.; Trelis, M.; Codes, F.J.; Gil-Gómez, F.; Sáez-Durán, S.; Fuentes, M.V. Prevalence and Risk of Anisakidae Larvae in Fresh Fish Frequently Consumed in Spain: An Overview. Fishes 2019, 4, 13. [Google Scholar] [CrossRef]
 - Rodríguez, H.; Abollo, E.; González, A.F.; Pascual, S.; Abaunza, P. Scoring the parasite risk in highly valuable fish species from southern ICES areas. Fish. Res. 2018, 202, 134–139. [Google Scholar] [CrossRef]
 - Levsen, A.; Svanevik, C.S.; Cipriani, P.; Mattiucci, S.; Gay, M.; Hastie, L.C.; Bušelić, I.; Mladineo, I.; Karl, H.; Ostermeyer, U.; et al. A survey of zoonotic nematodes of commercial key fish species from major European fishing grounds—Introducing the FP7 PARASITE exposure assessment study. Fish. Res. 2018, 202, 4–21. [Google Scholar] [CrossRef]
 - Pascual, S.; González, A.F. The fish nematode problem in major European fish stocks. Fish. Res. 2018, 202, 1–3. [Google Scholar] [CrossRef]
 - Sakanari, J.A.; McKerrow, J.H. Identification of the secreted neutral proteases from Anisakis simplex. J. Parasitol. 1990, 76, 625–630. [Google Scholar] [CrossRef] [PubMed]
 - Sabater, E.I.L.; Sabater, C.J.L. Health hazards related to occurrence of parasites of the genera Anisakis and Pseudoterranova in fish. Food Sci. Technol. Int. 2000, 6, 183–195. [Google Scholar] [CrossRef]
 - Iglesias, R.; Ubeira, F.M. Riesgos y medidas preventivas en relación con el consumo de pescado parasitado por Anisakis. Alimentaria 2008, 389, 62–68. Available online: https://www.researchgate.net/publication/284723089 (accessed on 20 September 2024).
 - Nagasawa, K. The biology of Contracaecum osculatum sensu lato and C. osculatum A (Nematoda: Anisakidae) in Japanese waters: A review. Biosph. Sci. 2012, 51, 61–69. Available online: https://www.hiroshima-u.ac.jp/system/files/7855/07nagasawa.pdf (accessed on 2 May 2024).
 - Bao, M.; Pierce, G.J.; Strachan, N.J.C.; Martínez, C.; Fernández, R.; Theodossiou, I. Consumers’ attitudes and willingness to pay for Anisakis -free fish in Spain. Fish. Res. 2018, 202, 149–160. [Google Scholar] [CrossRef]
 - Audicana, M.; Fernández de Corres, L.F.; Muñoz, D.; Fernández, E.; Navarro, J.A.; Dolores del Pozo, M. Recurrent anaphylaxis caused by Anisakis simplex parasitizing fish. J. Allergy Clin. Immunol. 1995, 96, 558–560. [Google Scholar] [CrossRef] [PubMed]
 - Audicana, M.; Ansótegui, I.J.; De Corres, L.F.; Kennedy, M.W. Anisakis simplex: Dangerous-dead and alive? Trends Parasitol. 2002, 18, 20–25. [Google Scholar] [CrossRef] [PubMed]
 - Audicana, M.; Kennedy, M.W. Anisakis simplex: From obscure infectious worm to inducer of immune hypersensitivity. Clin. Microbiol. Rev. 2008, 21, 360–379. [Google Scholar] [CrossRef]
 - Del Pozo, M.D.; Audicana, M.; Díez, J.M.; Muñoz, D.; Ansótegui, I.J.; Fernández, E.; García, M.; Etxenagusia, M.; Moneo, I.; De Corres, L.F. Anisakis simplex, a relevant etiologic factor in acute urticaria. Allergy 1997, 52, 576–579. [Google Scholar] [CrossRef]
 - Šimat, V.; Miletić, J.; Bogdanović, T.; Poljak, V.; Mladineo, I. Role of biogenic amines in the post-mortem migration of Anisakis pegreffii (Nematoda: Anisakidae Dujardin; 1845) larvae into fish fillets. Int. J. Food Microbiol. 2015, 2, 179–186. [Google Scholar] [CrossRef] [PubMed]
 - Abollo, E.; Gestal, C.; Pascual, S. Anisakis infestation in marine fish and cephalopods from Galician waters: An updated perspective. Parasitol. Res. 2001, 87, 492–499. [Google Scholar] [CrossRef] [PubMed]
 - Mattiucci, S.; Giulietti, L.; Paoletti, M.; Cipriani, P.; Gay, M.; Levsen, A.; Klapper, R.; Karl, H.; Bao, M.; Pierce, G.J.; et al. Population genetic structure of the parasite Anisakis simplex (s.s.) collected in Clupea harengus L. from North-East Atlantic fishing grounds. Fish. Res. 2018, 202, 103–111. [Google Scholar] [CrossRef]
 - Martell, D.J.; McClelland, G. Transmission of Pseudoterranova decipiens (Nematoda: Ascaridoidea) via benthic macrofauna to sympatric flatfishes (Hippoglossoides platessoides; Pleuronectes ferrugineus; P. americanus) on Sable Island Bank; Canada. Mar. Biol. 1995, 122, 129–135. [Google Scholar] [CrossRef]
 - Díez, G.; Briaudeau, T.; Santurtún, M.; Aboitiz, X.; Mendibil, I.; Maceira, A.; Bilbao, E.; Abaroa, C.; Izagirre, U.; Soto, M. Infection Rate in Seabasses Fed with Viscera Parasitised by Anisakidae Larvae. Acta Parasitol. 2022, 67, 835–841. [Google Scholar] [CrossRef]
 - Ferri, E.R.; Sáez, A.C.; Rodriguez, L.D.; Esteban, M.M.; Fernandez, M.A.; Suárez, V.M. Informe del Comité Científico de la Agencia Española de Seguridad Alimentaria y Nutrición (AESAN) Sobre la Incidencia de la Eliminación del Pescado o Partes del Mismo en Relación con la Reducción de la Prevalencia de la Anisakiosis Humana. AESAN-2009-007. 2009. pp. 1–7. Available online: https://www.aesan.gob.es/AECOSAN/docs/documentos/seguridad_alimentaria/evaluacion_riesgos/informes_comite/REDUCCION_PREVALENCIA_ANISAKIOSIS.pdf (accessed on 20 September 2024).
 - EUMOFA. The EU Fish Market. Directorate-General for Maritime Affairs and Fisheries, B-1049 Brussels. 2022. Available online: https://op.europa.eu/en/publication-detail/-/publication/9ab6d1c4-71f2-11ed-9887-01aa75ed71a1 (accessed on 20 September 2024).
 - Fæste, C.K.; Plassen, C.; Løvberg, K.E.; Moen, A.; Egaas, E. Detection of Proteins from the Fish Parasite Anisakis simplex in Norwegian Farmed Salmon and Processed Fish Products. Food Anal. Methods 2015, 8, 1390–1402. [Google Scholar] [CrossRef]
 - Fæste, C.K.; Levsen, A.; Linb, A.H.; Larsen, N.; Plassen, C.; Moen, A.; Van Do, T.; Egaas, E. Fish feed as source of potentially allergenic peptides from the fish parasite Anisakis simplex (s.l.). Anim. Feed. Sci. Technol. 2015, 202, 52–61. [Google Scholar] [CrossRef]
 - ICES. Working Group for the Bay of Biscay and the Iberian Waters Ecoregion (WGBIE). ICES Sci. Rep. 2021, 3, 1101. [Google Scholar] [CrossRef]
 - Díez, G. Conocimiento de la ecología y minimización de la carga parasitaria de nematodos anisakidos en especies comerciales, desde la extracción a la comercialización. In Informe Interno de AZTI para DAPA, EUSKO JAURLARITZA—GOBIERNOVASCO, Ekonomiaren Garapen eta Azpiegitura Saila—Departamento de Desarrollo Económico e Infraestructuras, Nekazaritza; Arrantza eta Eli. Politika sail—Vice. de Agricultura; Pesca y Política Alimentaria; Dirección de Pesca y Acuicultura; AZTI: Sukarrieta, Spain, 2021; 166p. [Google Scholar]
 - Cipriani, P.; Smaldone, G.; Acerra, V.; D’Angelo, L.; Anastasio, A.; Bellisario, B.; Palma, G.; Nascetti, G.; Mattiucci, S. Genetic identification and distribution of the parasitic larvae of Anisakis pegreffii and Anisakis simplex (s. s.) in European hake Merluccius merluccius from the Tyrrhenian Sea and Spanish Atlantic coast: Implications for food safety. Int. J. Food Microbiol. 2015, 198, 1–8. [Google Scholar] [CrossRef]
 - Díez, G.; Chust, G.; Andonegi, E.; Santurtún, M.; Abaroa, C.; Bilbao, E.; Maceira, A.; Mendibil, I. Analysis of potential drivers of spatial and temporal changes in Anisakidae larvae infection levels in European hake; Merluccius merluccius (L.); from the North-East Atlantic fishing grounds. Parasitol. Res. 2022, 121, 1903–1920. [Google Scholar] [CrossRef]
 - Caballero, M.L.; Moneo, I. Several allergens from Anisakis simplex are highly resistant to heat and pepsin treatments. Parasitol. Res. 2004, 93, 248–251. [Google Scholar] [CrossRef]
 - Sánchez-Alonso, I.; Carballeda-Sangiao, N.; Rodríguez, S.; Tejada, M.; Navas, A.; Arcos, S.C.; González-Muñoz, M.; Careche, M. Anisakis simplex (s.l.) resistance to the action of gastric enzymes depends upon previous treatments applied to infected fish mince and affects antigen release. J. Sci. Food Agric. 2021, 101, 3908–3916. [Google Scholar] [CrossRef] [PubMed]
 - Morris, S.R.; Sakanari, J.A. Characterization of the Serine Protease and Serine Protease Inhibitor from the tissue-penetrating Nematode Anisakis simplex. J. Biol. Chem. 1994, 44, 27650–27656. [Google Scholar] [CrossRef] [PubMed]
 - Olsen, R.L.; Toppe, J. Fish silage hydrolysates: Not only a feed nutrient; but also a useful feed additive. Trends Food Sci. Technol. 2017, 66, 93–97. [Google Scholar] [CrossRef]
 - Vannabun, A.; Ketnawa, S.; Phongthai, S.; Benjakul, S.; Rawdkuen, S. Characterization of acid and alkaline proteases from viscera of farmed giant catfish. Food Biosci. 2014, 6, 9–16. [Google Scholar] [CrossRef]
 - Gutierrez, M.; San Martin, D.; Ibarruri, J.; Foti, G.; Bald, C.; Goienetxea, N.; Zufia, J.; Iñarra, B. Recovery of savory compounds from mussel cooking side stream as circular economy solution. Environ. Chall. 2024, 14, 100840. [Google Scholar] [CrossRef]
 - Bhaskar, N.; Benila, T.; Radha, C.; Lalitha, R.G. Optimization of enzymatic hydrolysis of visceral waste proteins of Catla (Catla catla) for preparing protein hydrolysate using a commercial protease. Bioresour. Technol. 2008, 99, 335–343. [Google Scholar] [CrossRef] [PubMed]
 - Kochanowski, M.; Różycki, M.; Dąbrowska, J.; Bełcik, A.; Karamon, J.; Sroka, J.; Cencek, T. Proteomic and Bioinformatic Investigations of Heat-Treated Anisakis simplex Third-Stage Larvae. Biomolecules 2020, 10, 1066. [Google Scholar] [CrossRef]
 - Caballero, M.L.; Moneo, I. Specific IgE determination to Ani s 1, a major allergen from Anisakis simplex, is a useful tool for diagnosis. Ann. Allergy; Asthma Immunol. 2002, 89, 74–77. [Google Scholar] [CrossRef] [PubMed]
 - Ivanović, J.; Baltić, M.Z.; Bošković, M.; Kilibarda, N.; Dokmanović, M.; Marković, R.; Janjić, J.; Baltić, B. Anisakis allergy in human. Trends Food Sci, Technol. 2017, 59, 25–29. [Google Scholar] [CrossRef]
 - Haaland, H.; Njaa, L.R. Total volatile nitrogen—A quality criterion for fish silage? Aquaculture 1989, 79, 311–316. [Google Scholar] [CrossRef]
 - van’t Land, M.; Vanderperren, E.; Raes, K. The effect of raw material combination on the nutritional composition and stability of four types of autolyzed fish silage. Anim. Feed Sci. Technol. 2017, 234, 284–294. [Google Scholar] [CrossRef]
 - Opheim, M.; Šližytė, R.; Sterten, H.; Provan, F.; Larssen, E.; Kjos, N.P. Hydrolysis of Atlantic salmon (Salmo salar) rest raw materials—Effect of raw material and processing on composition, nutritional value, and potential bioactive peptides in the hydrolysates. Process Biochem. 2015, 50, 1247–1257. [Google Scholar] [CrossRef]
 - NRC. National Research Council—Nutrient Requirements of Fish; National Academy of Sciences: Washington, DC, USA, 1993; 124p. [Google Scholar]
 - Arason, S. Production of fish silage. In Fisheries Processing—Biotechnological Applications, 1st ed.; Martin, A.M., Ed.; Chapman & Hall: St. Johns, UK, 1994; pp. 244–272. [Google Scholar]
 - Bald, C.; Lavilla, M.; Abaroa, C.; Aboitiz, X.; Díez, G.; Iñarra, B. Inactivation of Anisakis simplex in hake viscera by acid autolysis. In Proceedings of the 10th International Conference on Sustainable Solid Waste Management, Chania, Greece, 21–24 June 2023. [Google Scholar]
 




) and liquid fraction (●). The vertical bars correspond to the SDs (n = 6).
  
) and liquid fraction (●). The vertical bars correspond to the SDs (n = 6).



| Category | Value | Description | 
|---|---|---|
| Live | 1 | Vigorous motility without needle stimulation | 
| Reduced motility | 0.5 | Motility requiring needle stimulation | 
| Dead | 0 | Null motility when stimulated with the needle | 
| Mortality (%) | Untreated Viscera | Silage Viscera | ||
|---|---|---|---|---|
| Initial | 5% | 249 L + 12 D | 50% | 10 RM | 
| 24 h | 0% | 10 L | 100% | 10 D | 
| 48 h | 85% | 7 D + 3 RM | 100% | 10 D | 
| 72 h | 95% | 9 D + 1 RM | 100% | 10 D | 
| 96 h | 100% | 10 D | 100% | 10 D | 
| F2 | F5 | V3 | |
|---|---|---|---|
| >10 kDa | 0.27 | 0.74 | 0.00 | 
| 10 > 6 kDa | 2.10 | 2.13 | 0.00 | 
| 6 > 3 kDa | 13.44 | 14.18 | 0.00 | 
| 3 > 1 kDa | 52.19 | 52.88 | 35.76 | 
| 1 > 0.3 kDa | 25.34 | 23.45 | 38.07 | 
| <0.3 kDa | 6.66 | 6.72 | 26.17 | 
| Average mw (kDa) | 1.98 | 2.02 | 0.96 | 
| V3 | F2 | F5 | Reference * | |
|---|---|---|---|---|
| Essential amino acids | ||||
| Histidine | 3.3 | 3.3 | 3.2 | 2.1 | 
| Threonine | 5.2 | 5.2 | 5.1 | 3.9 | 
| Arginine | 6.4 | 6.8 | 6.9 | 1.3 | 
| Valine | 6.1 | 5.5 | 5.2 | 3.6 | 
| Methionine | 3.2 | 2.9 | 2.9 | 3.1 | 
| Phenylalanine | 4.2 | 4.0 | 3.8 | 6.5 | 
| Isoleucine | 5.3 | 4.4 | 4.3 | 2.5 | 
| Leucine | 8.2 | 7.5 | 7.0 | 3.3 | 
| Lysine | 9.2 | 8.3 | 8.0 | 5.7 | 
| Tryptophan | 0.25 | <0.010 | <0.010 | 0.8 | 
| Non-essential amino acids | ||||
| Aspartic | 9.7 | 9.7 | 9.7 | |
| Glutamic | 14.2 | 13.7 | 13.8 | |
| Serine | 5.0 | 5.4 | 5.3 | |
| Glycine | 6.3 | 5.4 | 7.2 | |
| Alanine | 6.6 | 6.5 | 6.6 | |
| Tyrosine | 1.1 | 3.8 | 3.9 | |
| Hydroxyproline | 0.9 | 1.1 | 1.5 | |
| Proline | 4.9 | 5.3 | 5.4 | |
| EAA (g/100 g silage DM) | 29.35 | 20.83 | 20.44 | |
| NEAA (g/100 g silage DM) | 27.96 | 22.77 | 23.36 | |
| TAA (g/100 g silage DM) | 57.31 | 43.60 | 43.80 | |
| FAA (g/100 g silage DM) | 48.88 | 10.75 | 12.29 | 
Disclaimer/Publisher’s Note: The statements, opinions and data contained in all publications are solely those of the individual author(s) and contributor(s) and not of MDPI and/or the editor(s). MDPI and/or the editor(s) disclaim responsibility for any injury to people or property resulting from any ideas, methods, instructions or products referred to in the content.  | 
© 2024 by the authors. Licensee MDPI, Basel, Switzerland. This article is an open access article distributed under the terms and conditions of the Creative Commons Attribution (CC BY) license (https://creativecommons.org/licenses/by/4.0/).
Share and Cite
Bald, C.; Lavilla, M.; Abaroa, C.; Aboitiz, X.; Díez, G.; Iñarra, B. Inactivation of Anisakis simplex Allergens in Fish Viscera by Acid Autolysis. Appl. Sci. 2024, 14, 10650. https://doi.org/10.3390/app142210650
Bald C, Lavilla M, Abaroa C, Aboitiz X, Díez G, Iñarra B. Inactivation of Anisakis simplex Allergens in Fish Viscera by Acid Autolysis. Applied Sciences. 2024; 14(22):10650. https://doi.org/10.3390/app142210650
Chicago/Turabian StyleBald, Carlos, María Lavilla, Carmen Abaroa, Xabier Aboitiz, Guzmán Díez, and Bruno Iñarra. 2024. "Inactivation of Anisakis simplex Allergens in Fish Viscera by Acid Autolysis" Applied Sciences 14, no. 22: 10650. https://doi.org/10.3390/app142210650
APA StyleBald, C., Lavilla, M., Abaroa, C., Aboitiz, X., Díez, G., & Iñarra, B. (2024). Inactivation of Anisakis simplex Allergens in Fish Viscera by Acid Autolysis. Applied Sciences, 14(22), 10650. https://doi.org/10.3390/app142210650
        
