Factors Affecting MARPE Success in Adults: Analysis of Age, Sex, Maxillary Width, and Midpalatal Suture Bone Density
Abstract
1. Introduction
2. Materials and Methods
2.1. Design and Participants
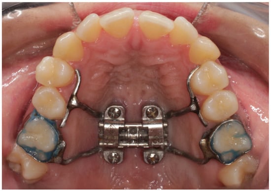
2.2. Procedure and Measurements
2.3. Statistical Analysis
3. Results
3.1. Method Errors
3.2. Descriptive Analyses
3.3. Differences in Bone Density (ANS, MNS, and PNS)
3.4. Success in the Opening of the Midpalatal Suture
4. Discussion
5. Conclusions
Author Contributions
Funding
Institutional Review Board Statement
Informed Consent Statement
Data Availability Statement
Conflicts of Interest
References
- Moon, W. An interview with Won Moon. Dent. Press J. Orthod. 2013, 18, 12–28. [Google Scholar]
 - Winsauer, H.; Vlachojannis, J.; Winsauer, C.; Ludwig, B.; Walter, A. A bone-borne appliance for rapid maxillary expansion. J. Clin. Orthod. 2013, 47, 375–388. [Google Scholar] [PubMed]
 - Canan, S.; Şenışık, N.E. Comparison of the treatment effects of different rapid maxillary expansion devices on the maxilla and the mandible. Part 1: Evaluation of dentoalveolar changes. Am. J. Orthod. Dentofac. Orthop. 2017, 151, 1125–1138. [Google Scholar] [CrossRef] [PubMed]
 - Bazzani, M.; Cevidanes, L.H.S.; Al Turkestani, N.N.; Annarumma, F.; McMullen, C.; Ruellas, A.C.O.; Massaro, C.; Rego, M.V.N.N.; Yatabe, M.S.; Kim-Berman, H.; et al. Three-dimensional comparison of bone-borne and tooth-bone-borne maxillary expansion in young adults with maxillary skeletal deficiency. Orthod. Craniofac. Res. 2022, 26, 151–162. [Google Scholar] [CrossRef]
 - Echarri-Nicolás, J.; González-Olmo, M.J.; Echarri-Labiondo, P.; Romero, M. Changes in Molar Tipping and Surrounding Alveolar Bone with Different Designs of Skeletal Maxillary Expanders. Biomedicines 2023, 11, 2380. [Google Scholar] [CrossRef]
 - Echarri-Nicolás, J.; González-Olmo, M.J.; Echarri-Lobiondo, P.; Lagravère, M.; Romero, M. Tooth-Bone-Borne vs Bone-Borne Rapid Maxillary Expanders on Dentoskeletal Changes. J. Multidiscip. Healthc. 2024, 17, 1877–1886. [Google Scholar] [CrossRef]
 - Echarri-Nicolás, J.; González-Olmo, M.J.; Echarri-Labiondo, P.; Romero, M. Short-term outcomes in the upper airway with tooth-bone-borne vs bone-borne rapid maxillary expanders. BMC Oral Health 2023, 23, 714. [Google Scholar] [CrossRef]
 - Mah, P.; Reeves, T.E.; McDavid, W.D. Deriving Hounsfield units using grey levels in cone beam computed tomography. Dentomaxillofac. Radiol. 2010, 39, 323–335. [Google Scholar] [CrossRef]
 - Pauwels, R.; Jacobs, R.; Singer, S.R.; Mupparapu, M. CBCT-based bone quality assessment: Are Hounsfield units applicable. In Dentomaxillofacial Radiology; British Institute of Radiology: London, UK, 2015; Volume 44. [Google Scholar]
 - Norton, M.R.; Gamble, C. Bone classification: An objective scale of bone density using the computerized tomography scan. Clin. Oral Impl. Res. 2001, 12, 79–84. [Google Scholar] [CrossRef]
 - Razi, T.; Niknami, M.; Alavi Ghazani, F. Relationship between Hounsfield Unit in CT Scan and Gray Scale in CBCT. J Dent Res Dent Clin Dent Prospect. 2014, 8, 107–110. [Google Scholar]
 - Cohen, J.M. Statistical Power Analysis for the Behavioral Sciences; Lawrence Eribaum Associates Publishers: New York, NY, USA, 1988. [Google Scholar]
 - Meirelles, C.M.; Ferreira, R.M.; Suzuki, H.; Oliveira, C.B.; de Jesus, A.S.; Garcez, A.S.; Suzuki, S.S. Analysis of factors associated with the success of microimplant-assisted rapid palatal expansion. Am. J. Orthod. Dentofac. Orthop. 2023, 164, 67–77. [Google Scholar] [CrossRef] [PubMed]
 - Oliveira, C.B.; Ayub, P.; Angelieri, F.; Murata, W.H.; Suzuki, S.S.; Ravelli, D.B.; Santos-Pinto, A. Evaluation of factors related to the success of miniscrew-assisted rapid palatal expansion. Angle Orthod. 2021, 91, 187–194. [Google Scholar] [CrossRef] [PubMed]
 - Angelieri, F.; Cevidanes, L.H.S.; Franchi, L.; Gonçalves, J.R.; Benavides, E.; McNamara, J.A. Midpalatal suture maturation: Classification method for individual assessment before rapid maxillary expansion. Am. J. Orthod. Dentofac. Orthop. 2013, 144, 759–769. [Google Scholar] [CrossRef]
 - Melsen, B.; Melsen, F. The postnatal development of the palatomaxillary region studied on human autopsy material. Am. J. Orthod. 1982, 82, 329–342. [Google Scholar] [CrossRef] [PubMed]
 - Handelman, C.S. Nonsurgical rapid maxillary alveolar expansion in adults: A clinical evaluation. Angle Orthod. 1997, 67, 291–308. [Google Scholar] [PubMed]
 - Silva, I.; Miranda, F.; Bastos, J.C.d.C.; Garib, D. Comparison of alveolar bone morphology after expansion with hybrid and conventional Hyrax expanders. Angle Orthod. 2024, 94, 414–420. [Google Scholar] [CrossRef]
 - Cantarella, D.; Dominguez-Mompell, R.; Mallya, S.M.; Moschik, C.; Pan, H.C.; Miller, J.; Moon, W. Changes in the midpalatal and pterygopalatine sutures induced by micro-implant-supported skeletal expander, analyzed with a novel 3D method based on CBCT imaging. Prog. Orthod. 2017, 18, 34. [Google Scholar] [CrossRef]
 - Korbmacher, H.; Schilling, A.; Püschel, K.; Amling, M.; Kahl-Nieke, B. Age-dependent three-dimensional micro-computed tomography analysis of the human midpalatal suture. J. Orofac. Orthop. 2007, 68, 364–376. [Google Scholar] [CrossRef]
 - Gueutier, A.; Paré, A.; Joly, A.; Laure, B.; de Pinieux, G.; Goga, D. Expansion rapide des maxillaires chez l’adulte: Le scanner peut-il aider à choisir entre traitement orthopédique et chirurgical? Rev. Stomatol. Chir. Maxillofac. Chir. Orale. 2016, 117, 327–334. [Google Scholar]
 - Grünheid, T.; Larson, C.E.; Larson, B.E. Midpalatal suture density ratio: A novel predictor of skeletal response to rapid maxillary expansion. Am. J. Orthod. Dentofac. Orthop. 2017, 151, 267–276. [Google Scholar] [CrossRef]
 - Jimenez-Valdivia, L.M.; Malpartida-Carrillo, V.; Rodríguez-Cárdenas, Y.A.; Dias-Da Silveira, H.L.; Arriola-Guillén, L.E. Midpalatal suture maturation stage assessment in adolescents and young adults using cone-beam computed tomography. Prog. Orthod. 2019, 20, 38. [Google Scholar] [CrossRef] [PubMed]
 - Brunetto, D.P.; Sant’Anna, E.F.; Machado, A.W.; Moon, W. Non-surgical treatment of transverse deficiency in adults using Microimplant-assisted Rapid Palatal Expansion (MARPE). Dent. Press J. Orthod. 2017, 22, 110–125. [Google Scholar] [CrossRef] [PubMed]
 - Liu, S.Y.; Xu, T.M.; Zou, W. Effects of rapid maxillary expansion on the midpalatal suture: A systematic review. Eur. J. Orthod. 2015, 37, 651–655. [Google Scholar] [CrossRef] [PubMed]
 

| Indicator (Acronym) | Description | |
|---|---|---|
| MxW | Maxillary width | Distance between the most external points of the maxillary cortical bone at the level of the upper right and left first molar furcas | 
| EM | Expansion morphology | Shape of expansion of midpalatal suture; parallel, most anterior, or most posterior | 
| HUs ANS | Hounsfield units in 1st region | Hounsfield units in the anterior nasal spine | 
| HUs MNS | Hounsfield units in 2nd region | Hounsfield units in the junction between the midpalatal suture and transverse palatal suture (medium nasal spine) | 
| HUs PNS | Hounsfield units in 3rd region | Hounsfield units in the posterior nasal spine | 
| ICC | |
|---|---|
| MxWT0 (mm) | 0.999 | 
| MxWT1 (mm) | 0.993 | 
| MxWT0T1 (mm) | 0.999 | 
| ANS (HUs) | 0.988 | 
| MNS (HUs) | 0.991 | 
| PNS (HUs) | 0.972 | 
| Mean (SD) Sample n = 30  | |
|---|---|
| Age (years) | 23.90 (4.89) | 
| MxWT0 (mm) | 55.45 (4.70) | 
| MxWT1 (mm) | 58.05 (5.46) | 
| MxWT0T1 | 2.61 ± 1.93 | 
| HUs ANS | 970.83 (234.74) | 
| HUs MNS | 743.63 (297.44) | 
| HUs PNS | 810.47 (224.49) | 
| M | SD | t | p | |
|---|---|---|---|---|
| HUs ANS-HUs MNS | 227.20 | 265.38 | 4.689 | 0.000 | 
| HUs ANS-HUs PNS | 160.37 | 228.12 | 3.850 | 0.001 | 
| HUs MNS-HUs PNS | −66.83 | 271.01 | −1.351 | 0.187 | 
| Opening of the Midpalatal Suture | |||||
|---|---|---|---|---|---|
| Mean (SD) Success n = 15  | Mean (SD) Failure n = 15  | t | p | d | |
| Age (years) | 22.13 (4.58) | 25.66 (4.67) | −2.092 | 0.046 * | 0.76 | 
| MxWT0 (mm) | 57.01 (3.01) | 53.88 (6.60) | 1.904 | 0.067 | 0.69 | 
| MxWT1 (mm) | 60.12 (3.37) | 55.98 (6.42) | 2.211 | 0.035 * | 0.81 | 
| MxWT0T1 | 3.11 (1.56) | 2.09 (2.18) | 1.460 | 0.156 | 0.53 | 
| ANS (HUs) | 898.33 (231.24) | 1043.33 (222.26) | −1.751 | 0.901 | 0.63 | 
| MNS (HUs) | 621.80 (143.55) | 865.46 (361.73) | −2.425 | 0.022 ** | 0.88 | 
| PNS (HUs) | 722.01 (211.01) | 898.93 (207.61) | −2.315 | 0.028 ** | 0.84 | 
Disclaimer/Publisher’s Note: The statements, opinions and data contained in all publications are solely those of the individual author(s) and contributor(s) and not of MDPI and/or the editor(s). MDPI and/or the editor(s) disclaim responsibility for any injury to people or property resulting from any ideas, methods, instructions or products referred to in the content.  | 
© 2024 by the authors. Licensee MDPI, Basel, Switzerland. This article is an open access article distributed under the terms and conditions of the Creative Commons Attribution (CC BY) license (https://creativecommons.org/licenses/by/4.0/).
Share and Cite
Javier, E.-N.; María José, G.-O.; Pablo, E.-L.; Marta, O.-V.; Martín, R. Factors Affecting MARPE Success in Adults: Analysis of Age, Sex, Maxillary Width, and Midpalatal Suture Bone Density. Appl. Sci. 2024, 14, 10590. https://doi.org/10.3390/app142210590
Javier E-N, María José G-O, Pablo E-L, Marta O-V, Martín R. Factors Affecting MARPE Success in Adults: Analysis of Age, Sex, Maxillary Width, and Midpalatal Suture Bone Density. Applied Sciences. 2024; 14(22):10590. https://doi.org/10.3390/app142210590
Chicago/Turabian StyleJavier, Echarri-Nicolás, González-Olmo María José, Echarri-Labiondo Pablo, Olmos-Valverde Marta, and Romero Martín. 2024. "Factors Affecting MARPE Success in Adults: Analysis of Age, Sex, Maxillary Width, and Midpalatal Suture Bone Density" Applied Sciences 14, no. 22: 10590. https://doi.org/10.3390/app142210590
APA StyleJavier, E.-N., María José, G.-O., Pablo, E.-L., Marta, O.-V., & Martín, R. (2024). Factors Affecting MARPE Success in Adults: Analysis of Age, Sex, Maxillary Width, and Midpalatal Suture Bone Density. Applied Sciences, 14(22), 10590. https://doi.org/10.3390/app142210590
        
