Cone Beam Computed Tomography Evaluation of Socket Healing After Third Molar Germ Extraction: A Case Series Study Including Adolescents with Osteogenesis Imperfecta Type I Treated with Bisphosphonates and Healthy Age-Matched Subjects
Abstract
1. Introduction
2. Materials and Methods
2.1. Study Design and Case Selection
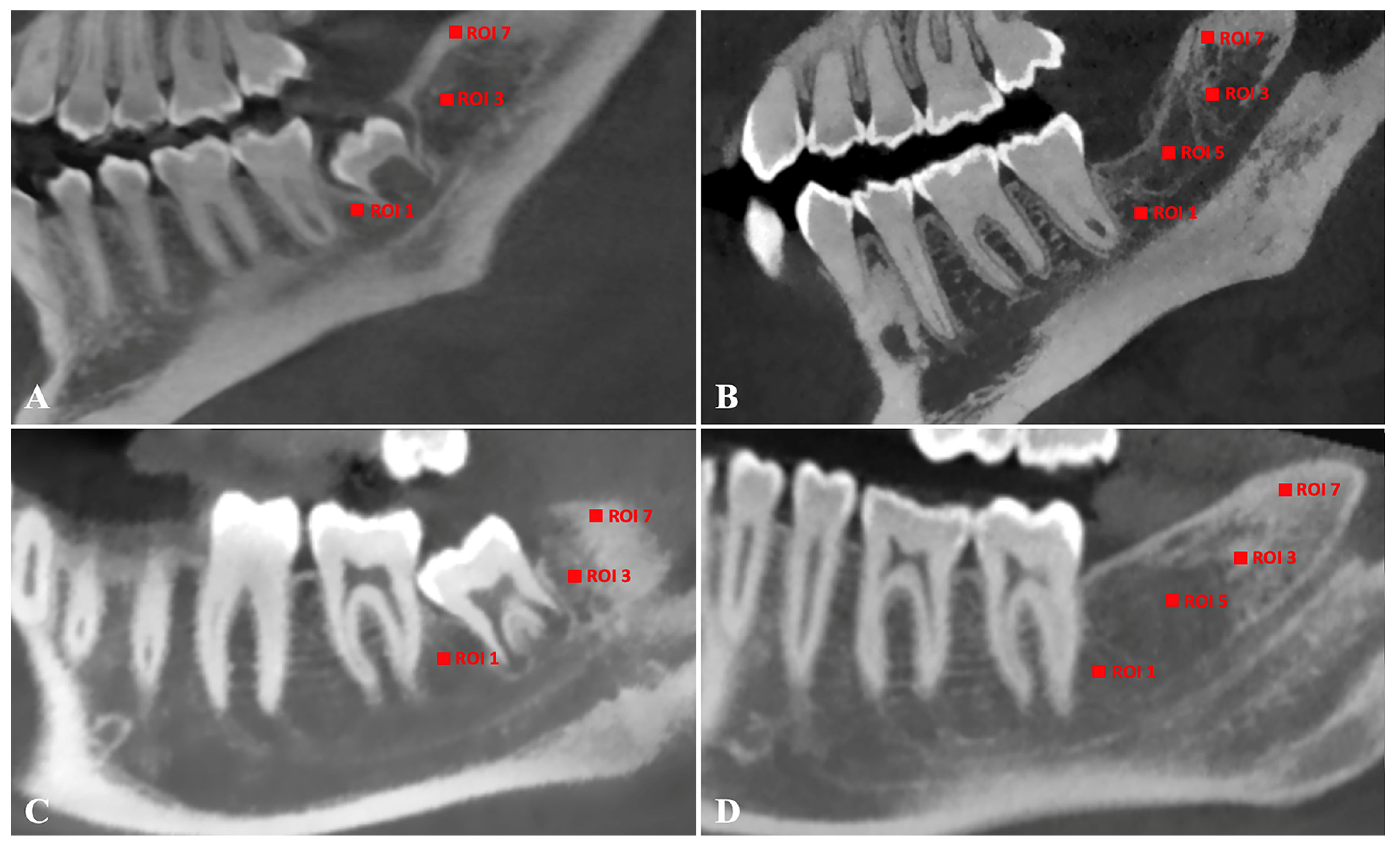
2.2. CBCT Evaluation
2.3. Statistical Analysis
3. Results
3.1. OI-I Patients and Age-Matched Healthy Subjects
3.2. CBCT Analysis
4. Discussion
5. Conclusions
Author Contributions
Funding
Institutional Review Board Statement
Informed Consent Statement
Data Availability Statement
Conflicts of Interest
References
- Sillence, D.O.; Senn, A.; Danks, D.M. Genetic heterogeneity in osteogenesis imperfecta. J. Med. Genet. 1979, 16, 101–116. [Google Scholar] [CrossRef] [PubMed]
- Besio, R.; Chow, C.W.; Tonelli, F.; Marini, J.C.; Forlino, A. Bone biology: Insights from osteogenesis imperfecta and related rare fragility syndromes. FEBS J. 2019, 286, 3033–3056. [Google Scholar] [CrossRef] [PubMed]
- Ralston, S.H.; Gaston, M.S. Management of Osteogenesis Imperfecta. Front. Endocrinol. 2020, 10, 924. [Google Scholar] [CrossRef] [PubMed]
- Ruggiero, S.L.; Dodson, T.B.; Aghaloo, T.; Carlson, E.R.; Ward, B.B.; Kademani, D. American Association of Oral and Maxillofacial Surgeons’ Position Paper on Medication-Related Osteonecrosis of the Jaws-2022 Update. J. Oral Maxillofac. Surg. 2022, 80, 920–943. [Google Scholar] [CrossRef] [PubMed]
- Bamias, A.; Kastritis, E.; Bamia, C.; Moulopoulos, L.A.; Melakopoulos, I.; Bozas, G.; Koutsoukou, V.; Gika, D.; Anagnostopoulos, A.; Papadimitriou, C.; et al. Osteonecrosis of the jaw in cancer after treatment with bisphosphonates: Incidence and risk factors. J. Clin. Oncol. 2005, 23, 8580–8587. [Google Scholar] [CrossRef]
- Grbic, J.T.; Landesberg, R.; Lin, S.Q.; Mesenbrink, P.; Reid, I.R.; Leung, P.C.; Casas, N.; Recknor, C.P.; Hua, Y.; Delmas, P.D.; et al. Health Outcomes and Reduced Incidence with Zoledronic Acid Once Yearly Pivotal Fracture Trial Research Group. Incidence of osteonecrosis of the jaw in women with postmenopausal osteoporosis in the health outcomes and reduced incidence with zoledronic acid once yearly pivotal fracture trial. J. Am. Dent. Assoc. 2008, 139, 32–40. [Google Scholar]
- Gaudin, E.; Seidel, L.; Bacevic, M.; Rompen, E.; Lambert, F. Occurrence and risk indicators of medication-related osteonecrosis of the jaw after dental extraction: A systematic review and meta-analysis. J. Clin. Periodontol. 2015, 42, 922–932. [Google Scholar] [CrossRef]
- Chahine, C.; Cheung, M.S.; Head, T.W.; Schwartz, S.; Glorieux, F.H.; Rauch, F. Tooth extraction socket healing in pediatric patients treated with intravenous pamidronate. J. Pediatr. 2008, 153, 719–720. [Google Scholar] [CrossRef]
- Hennedige, A.A.; Jayasinghe, J.; Khajeh, J.; Macfarlane, T.V. Systematic review on the incidence of bisphosphonate related osteonecrosis of the jaw in children diagnosed with osteogenesis imperfecta. J. Oral Maxillofac. Res. 2014, 4, e1. [Google Scholar] [CrossRef]
- Duarte, N.T.; Rech, B.O.; Martins, I.G.; Franco, J.B.; Ortega, K.L. Can children be affected by bisphosphonate-related osteonecrosis of the jaw? A systematic review. Int. J. Oral Maxillofac. Surg. 2020, 49, 183–191. [Google Scholar] [CrossRef]
- Neal, T.W.; Schlieve, T. Medication-Related Osteonecrosis of the Jaws in the Pediatric Population. J. Oral Maxillofac. Surg. 2022, 80, 1686–1690. [Google Scholar] [CrossRef] [PubMed]
- Rosales, H.D.; Garcia Guevara, H.; Requejo, S.; Jensen, M.D.; Acero, J.; Olate, S. Medication-Related Osteonecrosis of the Jaws (MRONJ) in Children and Young Patients-A Systematic Review. J. Clin. Med. 2023, 12, 1416. [Google Scholar] [CrossRef] [PubMed]
- Butzin, S. To prophylactically extract or not to extract partially erupted mesio-angularly impacted lower third molars? Br. Dent. J. 2021, 231, 445–448. [Google Scholar] [CrossRef] [PubMed]
- Al Ali, S.; Jaber, M. Correlation of panoramic high-risk markers with the cone beam CT findings in the preoperative assessment of the mandibular third molars. J. Dent. Sci. 2020, 15, 75–83. [Google Scholar] [CrossRef] [PubMed]
- Baqain, Z.H.; AlHadidi, A.; AbuKaraky, A.; Khader, Y. Does the Use of Cone-Beam Computed Tomography Before Mandibular Third Molar Surgery Impact Treatment Planning? J. Oral Maxillofac. Surg. 2020, 78, 1071–1077. [Google Scholar] [CrossRef]
- Reia, V.C.B.; de Toledo Telles-Araujo, G.; Peralta-Mamani, M.; Biancardi, M.R.; Rubira, C.M.F.; Rubira-Bullen, I.R.F. Diagnostic accuracy of CBCT compared to panoramic radiography in predicting IAN exposure: A systematic review and meta-analysis. Clin. Oral Investig. 2021, 25, 4721–4733. [Google Scholar] [CrossRef]
- Soundia, A.; Hadaya, D.; Mallya, S.M.; Aghaloo, T.L.; Tetradis, S. Radiographic predictors of bone exposure in patients with stage 0 medication-related osteonecrosis of the jaws. Oral Surg. Oral Med. Oral Pathol. Oral Radiol. 2018, 126, 537–544. [Google Scholar] [CrossRef]
- Gaêta-Araujo, H.; Vanderhaeghen, O.; Vasconcelos, K.F.; Coucke, W.; Coropciuc, R.; Politis, C.; Jacobs, R. Osteomyelitis, osteoradionecrosis, or medication-related osteonecrosis of the jaws? Can CBCT enhance radiographic diagnosis? Oral Dis. 2021, 27, 312–319. [Google Scholar] [CrossRef]
- Queiroz, P.M.; Fardim, K.C.; Costa, A.L.F.; Matheus, R.A.; Lopes, S.L.P.C. Texture analysis in cone-beam computed tomographic images of medication-related osteonecrosis of the jaw. Imaging Sci. Dent. 2023, 53, 109–115. [Google Scholar] [CrossRef]
- Yfanti, Z.; Tetradis, S.; Nikitakis, N.G.; Alexiou, K.E.; Makris, N.; Angelopoulos, C.; Tsiklakis, K. Radiologic findings of osteonecrosis, osteoradionecrosis, osteomyelitis and jaw metastatic disease with cone beam CT. Eur. J. Radiol. 2023, 165, 110916. [Google Scholar] [CrossRef]
- Campos, M.J.; de Souza, T.S.; Mota Júnior, S.L.; Fraga, M.R.; Vitral, R.W. Bone mineral density in cone beam computed tomography: Only a few shades of gray. World J. Radiol. 2014, 6, 607–612. [Google Scholar] [CrossRef] [PubMed]
- Parsa, A.; Ibrahim, N.; Hassan, B.; van der Stelt, P.; Wismeijer, D. Bone quality evaluation at dental implant site using multislice CT, micro-CT, and cone beam CT. Clin. Oral Implants Res. 2015, 26, e1–e7. [Google Scholar] [CrossRef] [PubMed]
- Selvaraj, A.; Jain, R.K.; Nagi, R.; Balasubramaniam, A. Correlation between gray values of cone-beam computed tomograms and Hounsfield units of computed tomograms: A systematic review and meta-analysis. Imaging Sci. Dent. 2022, 52, 133–140. [Google Scholar] [CrossRef] [PubMed]
- Park, C.S.; Kang, S.R.; Kim, J.E.; Huh, K.H.; Lee, S.S.; Heo, M.S.; Han, J.J.; Yi, W.J. Validation of bone mineral density measurement using quantitative CBCT image based on deep learning. Sci. Rep. 2023, 13, 11921. [Google Scholar] [CrossRef] [PubMed]
- Poiana, I.R.; Dobre, R.; Popescu, R.I.; Pituru, S.M.; Bucur, A. Utility of Cone-Beam Computed Tomography in the Detection of Low Bone Mass-A Systematic Review. J. Clin. Med. 2023, 12, 5890. [Google Scholar] [CrossRef]
- Yiğit, T.; Yüksel, H.T.; Evirgen, Ş.; Kaçmaz, I.; Türkmenoğlu, A. Evaluation of use of cone beam computed tomography in paediatric patients: A cross-sectional study. Int. J. Paediatr. Dent. 2023, 33, 468–476. [Google Scholar] [CrossRef]
- İşman, Ö.; Yılmaz, H.H.; Aktan, A.M.; Yilmaz, B. Indications for cone beam computed tomography in children and young patients in a Turkish subpopulation. Int. J. Paediatr. Dent. 2017, 27, 183–190. [Google Scholar] [CrossRef]
- Ismayılov, R.; Özgür, B. Indications and use of cone beam computed tomography in children and young individuals in a university-based dental hospital. BMC Oral Health 2023, 23, 1033. [Google Scholar] [CrossRef]
- D’Angeli, G.; Messineo, D.; Riminucci, M.; Corsi, A.; Celli, M.; Vozza, I.; Sfasciotti, G.L. The Characteristics of Adjacent Anatomy of Mandibular Third Molar Germs: A CBCT Pilot Study in Patients with Osteogenesis Imperfecta. Healthcare 2020, 8, 372. [Google Scholar] [CrossRef]
- Reznikov, N.; Dagdeviren, D.; Tamimi, F.; Glorieux, F.; Rauch, F.; Retrouvey, J.M. Cone-Beam Computed Tomography of Osteogenesis Imperfecta Types III and IV: Three-Dimensional Evaluation of Craniofacial Features and Upper Airways. JBMR Plus 2019, 3, e10124. [Google Scholar] [CrossRef]
- Messineo, D.; Luzzi, V.; Pepe, F.; Celli, L.; Turchetti, A.; Zambrano, A.; Celli, M.; Polimeni, A.; Ierardo, G. New 3D Cone Beam CT Imaging Parameters to Assist the Dentist in Treating Patients with Osteogenesis Imperfecta. Healthcare 2020, 8, 546. [Google Scholar] [CrossRef] [PubMed]
- European Commission. Directorate-General for Energy, Cone Beam CT for Dental and Maxillofacial Radiology—Evidence-Based Guidelines. Publications Office. 2012. Available online: https://op.europa.eu/en/publication-detail/-/publication/ec5936c7-5a29-4a93-9b3a-01a5d78d7b2e (accessed on 15 June 2024).
- Dula, K.; Benic, G.I.; Bornstein, M.; Dagassan-Berndt, D.; Filippi, A.; Hicklin, S.; Kissling-Jeger, F.; Luebbers, H.T.; Sculean, A.; Sequeira-Byron, P.; et al. SADMFR Guidelines for the Use of Cone-Beam Computed Tomography/Digital Volume Tomography. Swiss Dent. J. 2015, 125, 945–953. [Google Scholar] [CrossRef] [PubMed]
- Available online: https://databases.lovd.nl/shared/variants/COL1A1 (accessed on 9 December 2023).
- Carey, T.S.; Boden, S.D. A critical guide to case series reports. Spine 2003, 28, 1631–1634. [Google Scholar] [CrossRef] [PubMed]
- Barroso, M.; Arriola-Guillén, L.E.; Rodríguez-Cárdenas, Y.A.; Ruíz-Mora, G.A.; Guerrero, M.E.; Flores-Mir, C. Tridimensional assessment of the dental follicle dimensions of impacted mandibular third molars using cone-beam CT. J. Clin. Exp. Dent. 2018, 10, e726–e731. [Google Scholar] [CrossRef] [PubMed]
- Available online: https://medicinali.aifa.gov.it/it/#/it/dettaglio/0000034845 (accessed on 12 October 2024).
- Japanese Allied Committee on Osteonecrosis of the Jaw; Yoneda, T.; Hagino, H.; Sugimoto, T.; Ohta, H.; Takahashi, S.; Soen, S.; Taguchi, A.; Nagata, T.; Urade, M.; et al. Antiresorptive agent-related osteonecrosis of the jaw: Position Paper 2017 of the Japanese Allied Committee on Osteonecrosis of the Jaw. J. Bone Miner. Metab. 2017, 35, 6–19. [Google Scholar]
- Chavassieux, P.M.; Arlot, M.E.; Reda, C.; Wei, L.; Yates, A.J.; Meunier, P.J. Histomorphometric assessment of the long-term effects of alendronate on bone quality and remodeling in patients with osteoporosis. J. Clin. Investig. 1997, 100, 1475–1480. [Google Scholar] [CrossRef]
- Rauch, F.; Travers, R.; Plotkin, H.; Glorieux, F.H. The effects of intravenous pamidronate on the bone tissue of children and adolescents with osteogenesis imperfecta. J. Clin. Investig. 2002, 9, 1293–1299. [Google Scholar] [CrossRef]
- Rauch, F.; Munns, C.; Land, C.; Glorieux, F.H. Pamidronate in children and adolescents with osteogenesis imperfecta: Effect of treatment discontinuation. J. Clin. Endocrinol. Metab. 2006, 91, 1268–1274. [Google Scholar] [CrossRef]
- Reid, I.R. Bisphosphonates. Skeletal Radiol. 2007, 8, 711–714. [Google Scholar] [CrossRef]
- Russell, R.G.; Watts, N.B.; Ebetino, F.H.; Rogers, M.J. Mechanisms of action of bisphosphonates: Similarities and differences and their potential influence on clinical efficacy. Osteoporos. Int. 2008, 19, 733–759. [Google Scholar] [CrossRef]
- Boivin, G.Y.; Chavassieux, P.M.; Santora, A.C.; Yates, J.; Meunier, P.J. Alendronate increases bone strength by increasing the mean degree of mineralization of bone tissue in osteoporotic women. Bone 2000, 27, 687–694. [Google Scholar] [CrossRef] [PubMed]
- Boivin, G.; Meunier, P.J. Changes in bone remodeling rate influence the degree of mineralization of bone. Connect. Tissue Res. 2002, 2–3, 535–537. [Google Scholar] [CrossRef] [PubMed]
- Chavassieux, P.; Chapurlat, R. Interest of Bone Histomorphometry in Bone Pathophysiology Investigation: Foundation, Present, and Future. Front. Endocrinol. 2022, 13, 907914. [Google Scholar] [CrossRef] [PubMed]
- Lindahl, K.; Åström, E.; Rubin, C.J.; Grigelioniene, G.; Malmgren, B.; Ljunggren, Ö.; Kindmark, A. Genetic epidemiology, prevalence, and genotype-phenotype correlations in the Swedish population with osteogenesis imperfecta. Eur. J. Hum. Genet. 2015, 23, 1112. [Google Scholar] [CrossRef] [PubMed]
- Available online: https://www.aapd.org/research/oral-health-policies--recommendations/prescribing-dental-radiographs-for-infants-children-adolescents-and-individuals-with-special-health-care-needs/ (accessed on 15 June 2024).
- Oenning, A.C.; Jacobs, R.; Pauwels, R.; Stratis, A.; Hedesiu, M.; Salmon, B.; DIMITRA Research Group. Cone-beam CT in paediatric dentistry: DIMITRA project position statement. Pediatr. Radiol. 2018, 48, 308–316. [Google Scholar] [CrossRef]


| Id | Gender/Age | Ethnicity (Geographic Area) | Gene (Mutation) * | DI | Blu Sclerae | Fractures | Type of BP (Time of Treatment) | Discontinuation of BP Before Extraction |
|---|---|---|---|---|---|---|---|---|
| OI-I-1 | male/14 ys | Hispanic/Latino (Latin America, Chile) | COL1A1 (c.3235G>A) | + | - | + | alendronate (24 ms), then neridronate (15 ms) | 4 ms |
| OI-I-2 | male/17 ys | White/Caucasian (Europe, Italy) | COL1A1 (c.769G>A) | - | - | + | neridronate for 78 ms | 60 ms |
| OI-I-3 | female/17 ys | White/Caucasian (Europe, Italy) | COL1A1 (c.757C>T) | - | + | + | neridronate for 81 ms | 60 ms |
| OI-I-4 | female/13 ys | White/Caucasian (Europe, Italy) | COL1A1 (c.471+1G>C) | - | + | + | neridronate for 21ms | 66 ms |
| OI-I-5 | male/15 ys | White/Caucasian (Europe, Italy) | COL1A1 (c.1719_1720 insAC) | - | - | + | neridronate for 12 ms | 120 ms |
| Ctr-1 | female/16 ys | White/Caucasian (Europe, Italy) | No clinical indication for molecular analysis. | Negative personal and family clinical history. | ||||
| Ctr-2 | male/14 ys | White/Caucasian (Europe, Italy) | ||||||
| Ctr-3 | male/15 ys | White/Caucasian (Europe, Italy) | ||||||
| Ctr-4 | female/17 ys | White/Caucasian (Europe, Italy) | ||||||
| OI-I Mean ± SD (Minimum–Maximum) | HSs Mean ± SD (Minimum–Maximum) | |||||||
|---|---|---|---|---|---|---|---|---|
| N | Pre | N | Post | N | Pre | N | Post | |
| ROI-1 | 4 | 309.36 ± 211.21 (160.05–612.56) | 4 | 467.73 ± 194.53 (244.12–717.25) | 4 | 288.43 ± 65.90 (207.24–349.47) | 4 | 338.86 ± 135.68 (183.15–514.28) |
| ROI-2 | 5 | 265.03 ± 98.28 (157.67–418.77) | 5 | 441.77 ± 125.81 (337.57–640.03) | 4 | 243.32 ± 74.76 (176.18–310.62) | 4 | 307.85 ± 86.16 (206.24–417.03) |
| ROI-3 | 4 | 346.04 ± 248.57 (180.52–705.95) | 4 | 684.75 ± 120.65 (529.37–793.10) | 4 | 314.76 ± 75.25 (206.29–370.83) | 4 | 347,70 ± 46.64 (337.73–392.61) |
| ROI-4 | 5 | 337.49 ± 214.65 (161.22–680.85) | 5 | 605.44 ± 177.59 (349.71–772.23) | 4 | 303.15 ± 102,20 (206.62–398.88) | 4 | 426.58 ± 169.28 (237.00–615.32) |
| ROI-5 | - | NA | 4 | 214.60 ± 59.28 (165.73–289.16) | - | NA | 4 | 209.99 ± 36.88 (171.53–259.89) |
| ROI-6 | - | NA | 5 | 227.20 ± 111.81 (116.41–367.03) | - | NA | 4 | 262.74 ± 105.87 (160.98–380.42) |
| ROI-7 | 4 | 1580.87 ± 400.69 (1304.33–2162.02) | 4 | 1672.69 ± 197.85 (1498.86–1852.58) | 4 | 1373.90 ± 260.35 (990.65–1552.27) | 4 | 1360.09 ± 164.62 (1145.43–1512.30) |
| ROI-8 | 5 | 1659.02 ± 523.16 (1430.10–2.524.80) | 5 | 1703.78 ± 140.55 (1458.11–1797.58) | 4 | 1336.22 ± 88.68 (1267.89–1462.00) | 4 | 1434.86 ± 154.16 (1207.30–1549.45) |
Disclaimer/Publisher’s Note: The statements, opinions and data contained in all publications are solely those of the individual author(s) and contributor(s) and not of MDPI and/or the editor(s). MDPI and/or the editor(s) disclaim responsibility for any injury to people or property resulting from any ideas, methods, instructions or products referred to in the content. |
© 2024 by the authors. Licensee MDPI, Basel, Switzerland. This article is an open access article distributed under the terms and conditions of the Creative Commons Attribution (CC BY) license (https://creativecommons.org/licenses/by/4.0/).
Share and Cite
D’Angeli, G.; Zara, F.; Arienzo, F.; Messineo, D.; Celli, M.; Sfasciotti, G.L.; Vozza, I.; Riminucci, M.; Polimeni, A.; Corsi, A. Cone Beam Computed Tomography Evaluation of Socket Healing After Third Molar Germ Extraction: A Case Series Study Including Adolescents with Osteogenesis Imperfecta Type I Treated with Bisphosphonates and Healthy Age-Matched Subjects. Appl. Sci. 2024, 14, 10419. https://doi.org/10.3390/app142210419
D’Angeli G, Zara F, Arienzo F, Messineo D, Celli M, Sfasciotti GL, Vozza I, Riminucci M, Polimeni A, Corsi A. Cone Beam Computed Tomography Evaluation of Socket Healing After Third Molar Germ Extraction: A Case Series Study Including Adolescents with Osteogenesis Imperfecta Type I Treated with Bisphosphonates and Healthy Age-Matched Subjects. Applied Sciences. 2024; 14(22):10419. https://doi.org/10.3390/app142210419
Chicago/Turabian StyleD’Angeli, Giacomo, Francesca Zara, Francesca Arienzo, Daniela Messineo, Mauro Celli, Gian Luca Sfasciotti, Iole Vozza, Mara Riminucci, Antonella Polimeni, and Alessandro Corsi. 2024. "Cone Beam Computed Tomography Evaluation of Socket Healing After Third Molar Germ Extraction: A Case Series Study Including Adolescents with Osteogenesis Imperfecta Type I Treated with Bisphosphonates and Healthy Age-Matched Subjects" Applied Sciences 14, no. 22: 10419. https://doi.org/10.3390/app142210419
APA StyleD’Angeli, G., Zara, F., Arienzo, F., Messineo, D., Celli, M., Sfasciotti, G. L., Vozza, I., Riminucci, M., Polimeni, A., & Corsi, A. (2024). Cone Beam Computed Tomography Evaluation of Socket Healing After Third Molar Germ Extraction: A Case Series Study Including Adolescents with Osteogenesis Imperfecta Type I Treated with Bisphosphonates and Healthy Age-Matched Subjects. Applied Sciences, 14(22), 10419. https://doi.org/10.3390/app142210419

