Next Article in Journal
Breakthrough and Challenging Application: Mixed Reality-Assisted Intracardiac Surgery
Next Article in Special Issue
A Gene Ontology-Based Pipeline for Selecting Significant Gene Subsets in Biomedical Applications
Previous Article in Journal
Evaluating Rock Brittleness Through a Novel Statistical Damage Theory-Based Index: A Case Study on Sandstones
Previous Article in Special Issue
Exploring the Association between Pro-Inflammation and the Early Diagnosis of Alzheimer’s Disease in Buccal Cells Using Immunocytochemistry and Machine Learning Techniques
 
 
Font Type:
Arial Georgia Verdana
Font Size:
Aa Aa Aa
Line Spacing:
Column Width:
Background:
Article

Enhanced Magnetic Resonance Imaging-Based Brain Tumor Classification with a Hybrid Swin Transformer and ResNet50V2 Model

1
Department of Scientific Services Courses, Yarmouk University, Irbid 211633, Jordan
2
Faculty of Computer Studies, Arab Open University, P.O. Box 84901, Riyadh 11681, Saudi Arabia
3
Department of Computer Science, Faculty of Information Technology, Zarqa University, Zarqa 13110, Jordan
4
Department of Information Technology and Computer Sciences, Yarmouk University, Irbid 211633, Jordan
5
Department of Medical Laboratory Sciences, Al Balqa Applied University, Salt 11134, Jordan
*
Authors to whom correspondence should be addressed.
Appl. Sci. 2024, 14(22), 10154; https://doi.org/10.3390/app142210154
Submission received: 18 September 2024 / Revised: 9 October 2024 / Accepted: 16 October 2024 / Published: 6 November 2024
(This article belongs to the Special Issue Advances in Bioinformatics and Biomedical Engineering)

Abstract

Brain tumors can be serious; consequently, rapid and accurate detection is crucial. Nevertheless, a variety of obstacles, such as poor imaging resolution, doubts over the accuracy of data, a lack of diverse tumor classes and stages, and the possibility of misunderstanding, present challenges to achieve an accurate and final diagnosis. Effective brain cancer detection is crucial for patients’ safety and health. Deep learning systems provide the capability to assist radiologists in quickly and accurately detecting diagnoses. This study presents an innovative deep learning approach that utilizes the Swin Transformer. The suggested method entails integrating the Swin Transformer with the pretrained deep learning model Resnet50V2, called (SwT+Resnet50V2). The objective of this modification is to decrease memory utilization, enhance classification accuracy, and reduce training complexity. The self-attention mechanism of the Swin Transformer identifies distant relationships and captures the overall context. Resnet 50V2 improves both accuracy and training speed by extracting adaptive features from the Swin Transformer’s dependencies. We evaluate the proposed framework using two publicly accessible brain magnetic resonance imaging (MRI) datasets, each including two and four distinct classes, respectively. Employing data augmentation and transfer learning techniques enhances model performance, leading to more dependable and cost-effective training. The suggested model achieves an impressive accuracy of 99.9% on the binary-labeled dataset and 96.8% on the four-labeled dataset, outperforming the VGG16, MobileNetV2, Resnet50V2, EfficientNetV2B3, ConvNeXtTiny, and convolutional neural network (CNN) algorithms used for comparison. This demonstrates that the Swin transducer, when combined with Resnet50V2, is capable of accurately diagnosing brain tumors. This method leverages the combination of SwT+Resnet50V2 to create an innovative diagnostic tool. Radiologists have the potential to accelerate and improve the detection of brain tumors, leading to improved patient outcomes and reduced risks.

1. Introduction

The human brain, encased within a rigid cranium, is a vital organ responsible for the process of creating decisions. A brain tumor is an aggregate of atypically developed brain cells. Any expansion in this sector will lead to highly disastrous consequences. According to [1], malignant gliomas are the most common and deadly type of brain tumors globally, posing a significant health risk. Glioma, a prevalent primary tumor of the brain, occurs when glial cells in the brain and spinal cord undergo malignant transformation. Tumor growth, whether benign or malignant, results in elevated intracranial pressure. The presence of the tumor causes brain impairment, which may ultimately end in mortality. A total of 86,000 newly diagnosed cases of brain tumors were reported in 2019. Around 17,000 individuals have passed away from this disease since 2019 [2]. Brain tumors have been investigated by scientists and researchers, who have created innovative diagnostic techniques and treatments. Computed tomography (CT) and magnetic resonance imaging (MRI) are two commonly employed methods for identifying abnormalities in the position, dimensions, or configuration of brain tissue. Medical professionals prefer MRI over other diagnostic procedures, and there is an increasing emphasis on research in this area. Three different forms of cancer are visible in the MRI scan in Section 4.
Brain tumors are a serious health concern, posing significant risks to human life. They can lead to various neurological impairments, and if left untreated, they can be fatal. The early detection and accurate classification of brain tumors are crucial for effective treatment and improved patient outcomes.
Researchers have used traditional machine learning techniques to analyze medical images, including brain MRI scans, for tumor detection. However, these methods often struggle to capture the complex patterns and features present in medical images. Deep learning, a subset of machine learning, has emerged as a powerful tool for analyzing complex data and has shown promising results in various medical imaging applications.
Machine learning is commonly employed in predicting pandemics [3,4], analyzing health data [5], and modeling complex plants [6]. Machine learning has produced significant advancements in the medical profession. Ref. [7] employed well-designed convolutional networks to automatically detect COVID-19. Furthermore, a number of machine learning-related research studies have been conducted to categorize brain tumors using MRI [8,9,10]. Medical image processing has two fundamental elements. The initial stage, preprocessing, involves performing augmentation, filter application, feature selection, and segmentation. The subsequent stage, postprocessing, focuses on identification and/or classification [11]. In order to achieve these goals, it is possible to use a combination of deep learning and classic machine learning methods. The most significant discoveries can be efficiently derived from images using a traditional machine learning method and manual identification of unique features. Deep learning differs from traditional machine learning in that it can extract results from images without the need for manual feature extraction. To achieve the desired outcome, it is necessary to design a model that incorporates the appropriate number of layers, integration, activation functions, and occasionally, pretrained models. A deep learning strategy is distinguished by its superior precision and robustness compared to traditional machine learning methods, despite the former being faster. Several research studies have been carried out to explore the use of machine learning algorithms in diagnosing brain cancers using MRI images.
Recent advancements in deep learning have led to significant breakthroughs in the field of medical image analysis. Convolutional neural networks (CNNs), a type of deep learning model, have been particularly effective in extracting features from medical images and classifying diseases. For instance, the authors in [12] provide an improved classification of the brain tumor types using the deep learning technique known as residual networks (ResNets). Based on the advantages of ResNets, their model can capture feature of brain MRI images and distinguish between various types of tumors with high accuracy. They evaluated their model on a comprehensive benchmark dataset containing 3064 MRI images of three common brain tumor types: masses, or tumors, specific to the meninges, brain, and pituitary gland, respectively. The model obtained nearly 99% classification accuracy. The researchers in [13] utilized convolutional neural networks (CNNs) to extract features from brain tumor images. After extracting features, the minimum redundancy maximum relevance (mRMR) approach selects the most optimal deep features. Ultimately, a support vector machine (SVM) is given the deep features that were chosen in the classification module. The Black Widow Optimization Algorithm (BWOA) was utilized to enhance the parameter modifications of the CNN and SVM in this study. Clustering algorithms aid in the identification of the precise form of cancer. Ref. [14] presented a novel approach called the Deep Embedding Clustering technique based on Contractive Autoencoder (DECCA) for automatic article clustering. The present optimization problem was resolved by integrating deterministic backpropagation with mild stochastic gradient descent. Furthermore, they prevented disconnected groupings by applying an adequate loss function. Ref. [15] devised an innovative approach for displaying information using a combination of low-rank and sparse techniques, which relies on three-way clustering. Finally, a technique called low-rank sparse representation is utilized to establish a novel objective function that ensures consistency between different perspectives. The enhanced Lagrange coefficient algorithms are then used to optimize this function. Various methodologies have been employed in the literature to accurately and efficiently determine the precise boundary contours of brain tumors in medical pictures. The models can be categorized into three groups: deep learning methods, machine learning techniques, and multi-atlas registration (MAS) algorithms.
We provide a definition of MAS as the process of assigning labels and merging multiple standard brain atlases into a novel way of visual representation. The performance of these MAS algorithms has been insufficient for applications that demand high speed. Handcrafted (or predefined) features serve as the essential method for categorizing machine learning systems [16]. Before training a model to differentiate between tumors and normal tissue, significant data are obtained from the input image using a range of feature extraction approaches. Classifiers commonly used in machine learning (ML) techniques include random forest [17], support vector machines (SVMs) [18], and fuzzy clustering [19]. The process of extracting attributes, edge information, and other essential data using designed methodologies and attribute extraction algorithms requires a significant amount of time. Moreover, when there is ambiguity or lack of clarity in distinguishing between healthy tissues and malignancies, these techniques demonstrate poor performance. Significant features are automatically extracted by deep learning algorithms. These strategies have produced significant outcomes in many different industries. Several research studies have been conducted to determine the exact position of the tumor. One significant study by [20] employed segmentation techniques for this purpose. Several scholars have adjusted manually the hyperparameters of the model. In the study conducted by [21], a cancer diagnostic accuracy of 90% was attained using a combination of trial and error and manual correction. Nevertheless, conventional methods failed to provide optimal precision and results. Meta-heuristic algorithms can enhance classification accuracy in both traditional and deep learning methods.
Moreover, vision transformers, which are a distinct type of architecture compared to CNNs, have demonstrated positive results in other domains, such as diseases related to brain tumors [22,23,24]. To effectively represent complicated visual patterns, vision transformers apply an attention mechanism to capture connections and long-range mutual dependence among image patches. Computer vision applications have recently expressed interest in this architecture because of its outstanding efficiency in natural language processing applications [25,26]. Vision transformers showed the ability to gather both global and local image information, providing more comprehensive and accurate analysis in brain tumor classification. Due to their ability to produce significant representations directly from unprocessed data, they are a promising candidate for analyzing medical images, perhaps leading to advancements in the detection of brain tumors [27]. Further exploration and evaluation of vision transformers’ potential in brain tumor classification systems could significantly enhance their accuracy and effectiveness.
Traditional machine learning approaches for brain tumor identification typically involve two steps: the lesion segmentation and feature extraction processes. Segmentation, a time-consuming process, has imperfections that arise from variations in image quality, and these imperfections lead to errors in classification. While feature extraction has its use in extracting usable information from images, some procedures may need the use of specific knowledge in a certain image processing field. Moreover, reliance only on the qualitative characteristics of the tumors during their classification can be problematic because the various forms of tumors look very similar to each other; such an approach was used in [8,9,10,13]. These limitations explain the necessity for high-level systems to be able to identify discriminative features autonomously and tackle the complexity of brain tumor detection.
This study highlights the importance of early detection for effective therapy and presents a novel approach to addressing challenges in diagnosing brain tumors. The objective of this study is to employ deep learning-based transfer learning methods to rapidly and precisely detect brain cancers. This is achieved by implementing the Swin Transformer architecture, which has demonstrated effectiveness in visual tasks, and modifying it for brain tumor diagnosis.
The primary contributions of this study are as follows:
We propose a new hybrid approach, Swin Transformer and Resnet50V2 (SwT+Resnet50V2), for detecting various types of brain tumors and distinguishing them from healthy tissues.
The concept of deep transfer learning is applied to the proposed model to enhance brain tumor classification performance.
The proposed method achieves superior classification accuracy compared to other recent methods, including the VGG16, MobileNetV2, Resnet50V2, EfficientNetV2B3, ConvNeXtTiny, and CNN models.
Data augmentation techniques, such as vertical flip, horizontal flip, scaling, and brightness adjustments, are used to prevent overfitting.
The remainder of this paper is organized as follows: Section 2 reviews the relevant literature, Section 3 details the dataset and the proposed method’s architecture, and Section 4 discusses the experiments, evaluation results, and implications. Finally, Section 5 concludes this paper.

2. Related Work

Efficient detection and classification of brain tumors using magnetic resonance imaging (MRI) are essential for determining the best course of treatment. Various methodologies have been developed for using MRI to detect brain tumors. In a study by [28], a convolutional neural network (CNN) with maximum and minimum normalization was used to classify 3260 MRI images into meningioma, pituitary, glioma, and no tumor categories. The study proposed a modified version of EfficientNet, which achieved a training accuracy of 99.97% and a testing accuracy of 98.78%.
The study [29] focused on classifying MRI images as normal or abnormal using the LeNet architecture. The model included age and gender factors and performed better than the CNN-DNN and SVM models, achieving 88% accuracy, an 8% improvement over CNN-DNN and a 6% improvement over SVM. It also surpassed the AlexNet model, which had a 64% accuracy rate.
In [30], a hybrid model called DeepTumorNet was introduced to classify pituitary, glioma, and meningioma brain tumors. The model, which extended the GoogLeNet architecture by adding 15 layers, achieved 99.6% accuracy, 99.67% precision, 99.66% F1 score, and 100% recall. It compared several pretrained models, including ResNet50, MobileNetV2, and AlexNet. Another study [31] used multi-phase support vector machines (M-SVM) to classify pituitary adenoma, meningioma, and glioma tumors. Their model, which included a 17-layer deep neural network for tumor segmentation and feature extraction using a modified MobileNetV2, achieved 97.47% accuracy on the BraTS 2018 dataset and 98.92% on the Figshare dataset.
Similarly, ref. [32] developed a hybrid model combining GoogLeNet and CNN for bilateral brain tumor classification. By modifying both networks, the model achieved 99.51% precision, 99% recall, 98.90% F1 score, and 98.50% accuracy, outperforming models like VGG-16, MobileNetV2, and ResNet.
Another study [33] classified glioma tumors using support vector machines (SVMs) for classification and convolutional neural networks (CNNs) for feature extraction. The model achieved 96.19% accuracy for high-grade glioma (HGG) and 95% for low-grade glioma (LGG) based on features like necrosis and edema. In [34], CNNs with log-polar transforms (LPTs) were used to distinguish between malignant and benign tumors. The model, incorporating LPTs to handle image distortion, achieved around 96% success in classifying brain MRI images with rotation and scale invariance.
Lastly, ref. [35] proposed a multi-class classification approach using MRI data to distinguish between pituitary adenoma, meningioma, glioma, and non-cancer cases. Their multi-scale CNN model outperformed ResNet and AlexNet in both accuracy and efficiency while requiring fewer computational resources, achieving an F1 score of 91% and an accuracy of 91.2%. The authors also introduced ResNet DL, a binary tumor classification model, which achieved a 99.33% accuracy. The TumorResNet model outperformed several state-of-the-art frameworks on a shared dataset.
In [36], transfer learning (TL) was applied to categorize brain tumors (BT) into subtypes such as glioma, pituitary, and meningioma. By adjusting neural weights, the TL model adapted a 22-layer CNN designed for binary classification (tumor or no tumor), achieving an accuracy of 95.75%. Another example of TL implementation is [37], which used the Xception model to extract features and classify MRI images into three tumor types, with an accuracy of 99.06%. Similarly, ref. [38] used a pretrained Google Neural Network for feature extraction and employed k-nearest neighbors (KNN) and support vector machines (SVMs) for classification, achieving a 98% accuracy rate. Ref. [39] proposed a methodology combining deep learning and machine learning for classifying real MRI images from King Abdullah Founder Hospital, achieving a remarkable 99.9% accuracy. Additionally, ref. [40] used the Cancer Genome Atlas (TCGA) dataset to classify gliomas using SVM, AdaBoost, neural networks, and decision trees, achieving a 99% accuracy rate.
While prior research has shown that deep learning approaches efficiently detect and classify brain tumors, as shown in Table 1, there are still gaps in the literature. Furthermore, many existing techniques are based on single-model architecture, which may limit their generalizability. We propose combining cutting-edge machine learning algorithms with extensive data preparation and augmentation to solve these restrictions. By incorporating a Swin Transformer to extract features, we aim to give a more accurate and robust solution for brain tumor categorization.

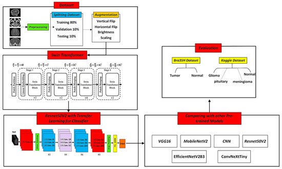
3. Methodology

The proposed methodology for brain tumor classification involves integrating state-of-the-art machine learning techniques with comprehensive data preparation and augmentation. The first stage of this approach involves preprocessing the MRI scans to improve their quality and ensure that the data are clean enough for model training. In order to ensure a balanced evaluation of the model performance, the dataset undergoes preprocessing and is divided into training, validation, and testing sets, with proportions of 80%, 10%, and 10%, respectively. Different augmentation techniques are used to enhance the efficiency and diversity of the dataset. To enhance the model’s ability to apply acquired knowledge to unknown data, it is exposed to a variety of adjustments applied to the original images, including brightness adjustments, volume changes, and vertical and horizontal flipping.
We use a Swin Transformer to extract features, which enables the model to effectively collect local and global information by processing image patches in several stages. The Swin Transformer architecture consists of linear modulation, patch modulation, and several Swin Transformer blocks. These components improve the accuracy and depth of the feature map and continually improve the feature representation over time. The ResNet50V2 model is used along with transfer learning to extract additional features in combination with the Swin Transformer. The deep convolutional layers of ResNet50V2 consist of meta- and convolutional blocks that effectively capture hierarchical information from images. This enhances the model’s ability to distinguish between different forms of brain tumors.
The evaluation of our methodology is performed using two datasets: the Kaggle dataset, which consists of glioma, pituitary, meningioma, and normal categories, and the BraTS 2021 dataset, which comprises tumor and normal categories. This dual evaluation ensures the robustness and adaptability of our method across different brain tumor datasets. To demonstrate the effectiveness of our proposed methodology, we perform a comparative analysis between its results and those of various well-trained models, such as VGG16, MobileNetV2, and traditional CNNs. This comparison highlights the superior performance of using a Swin Transformer and ResNet50V2 together for feature extraction in the field of brain tumor classification. It emphasizes the improvements our technology offers in terms of accuracy and stability in the classification of brain tumors.
This work provides an innovative architecture for the classification of images that integrates the benefits of ResNet 50V2 and the Swin Transformer. In the initial phase of deep feature extraction, the robust self-attention mechanism of the Swin Transformer allows it to effectively represent both local and global relationships within the input data. The Swin Transformer divides the input image into non-overlapping patches using a hierarchical approach, then employs shifting window-based multi-head self-attention to derive feature representations at various scales. This method produces a comprehensive, high-dimensional feature set by providing meticulous feature extraction that discovers complex relationships within the image.
ResNet50V2, acting as a classifier within this architecture, receives deep features extracted by the Swin Transformer. Here, we employ ResNet not for its traditional role as a feature extractor but for its powerful feature refining and classification capabilities. While processing the high-level features given by the Swin Transformer, the Res-Net50V2 network uses residual blocks to make these representations better. The classifier part of ResNet50V2, composed of fully connected layers, finally provides the final classification based on the enhanced feature set. This sequential combination leverages the strengths of ResNet in classification tasks and enhanced global contextual awareness of the Swin Transformer, implementing ResNet50V2 for classification after feature extraction. This technique has significantly improved robust classification performance and the capacity to capture complex features.

3.1. Preprocessing MRI Images

Both datasets underwent multiple preprocessing processes to ensure optimal accuracy before each image was transformed into the proposed structure. The preprocessing methods are written in Python 3.10 and run on the Visual Studio 1.94 version platform. Pytorch is used. This platform makes use of a professional graphics card, the NVIDIA GTX-1660TI-4 GB (Santa Clara, CA, USA).
As illustrated in Figure 1, this study recommends prepping the dataset with the following methods: resizing, labeling, and data augmentation (horizontal flip, vertical flip, and brightness). As a result, position augmentation techniques like horizontal flip, vertical flip, and scaling were employed. Another strategy for enhancing color was brightness. Preprocessing approaches like this were discussed in [41]. The dataset’s MR images vary in dimension; for optimal results, it is recommended to standardize their height and width through cropping. The input specifications of various models vary. The pretrained models require an input size of 224 × 224. All brain tumor images were resized to 224 × 224 using the resize function to ensure compatibility with the architecture employed in this work.
Data augmentation, on the other hand, is a critical data strategy for addressing issues of data scarcity and uneven distribution. This method has been used in several studies on categorizing brain tumors and includes geometric operations such as brightness, horizontal flip, vertical flip, and scaling. This is the torch vision module that was also created using the transforms function. The rotation parameter proposes three functions. Rotation range is among them. This parameter helps to determine the degree range for arbitrary picture rotations. Horizontal flip is an additional augmentation that is used to rotate images. The inputs are randomly flipped horizontally. Finally, the brightness level of the images was changed to identify the tumor more efficiently using the brightness range parameter, resulting in a fluctuation in the random brightness intensity across all images in the collection. Table 2 lists the suggested preprocessing settings for CNN models. Please be mindful that utilizing more parameters than these could make the training more challenging.
The proposed model (SwT+Resnet50V2) employed three data augmentation techniques: contrast modification, horizontal flipping, and vertical flipping. Each image underwent a random contrast of 45 degrees, with the possibility of up to 0.5 flips in either the horizontal or vertical direction. The datasets were divided into different groups: testing (10%), training (80%), and validation (10%).

3.2. The Proposed Approach (SwT+Resnet50V2)

The Swin Transformer is a robust computer vision tool that serves as a modified version of the vision transformer. Figure 2 displays a block diagram of the Swin converter [42]. The drawing displays four distinct architectural components. The patch partition layer divides the input image into patches. Subsequently, the linear embedding layer and the oscillating transformer block are both subjected to modification. Each of the four stages in the basic structure consists of a linear embedding layer that is repeated multiple times, along with an oscillating transformer block. The Swin Transformer is constructed using a modified self-attention model and a block that includes layer normalization (LN), a multi-layer perceptron (MLP), and multi-vertex self-attention (MSA). To address the challenges of classification and accurate identification of tumors and normal tissues, we employed the Swin Transformer in this study. Self-attention, the basic structure of the transformer, multiplies the input features by the WQ, WK, and WV matrices, the parameters of which are subject to learning. This indicates that the three token matrices produced by multiplication are Q, K, and V. V represents the information obtained, K denotes the response, and Q signifies the inquiry. The contribution of all other pixels to a specific pixel is determined by multiplying the q token of that pixel by the k tokens of all other pixels. The overall contribution value of the pixel is determined by multiplying the normalized light by the corresponding pixel values and summing the resulting values. This is the equation:
A t t e n t i o n ( Q , K , V ) = S o f t m a x ( Q K T d k ) v
After multiplying each pixel in the image by every other pixel, the total is lighted. A rise in channels and picture size results in a more complex algorithm. The temporal complexity is O(N²) for N pixels. Consequently, most transformers reduce self-attention to a limited window to minimize processing demands. However, this results in an unexpected decrease in the global feature collection ability for self-attention; even if the method is confined to a brief duration, the computational cost remains at a high level.
Figure 3 shows the block design of the ResNet50 architecture. It ranked first in the ILSVRC 2015 classification competition based on ImageNet. In ref. [43], the architecture was explained. Nowadays, they are utilized for many different tasks related to machine vision. The remaining networks and ResNet50 have 50 layers. The syntax can be modified to use an input size of (256 × 256) instead of (224 × 224). ResNets use direct access connections to extend beyond a number of network layers. This omission results in accelerated learning during network compression. There is a correlation between the feature inference and the residual network. ResNets address the problem of decreasing accuracy. The transfer learning model used in this study is ResNet50. Adaptable learning transfer and image identification are performed directly using the trained model. The dataset used in this study is used to train the model.
The combination of the Swin Transformer and ResNet50V2 is an enhanced model to contribute to enhancing feature extraction and improving classification accuracy. The Swin Transformer model skillfully captures local and global features of images, allowing the model to create a broad and rich representation of the extracted features. After extracting these features, they are fed to the Resnet50V2 model, which leads to deeper extraction and further enhancement through deep convolutional layers. The fourth section shows the strength and efficiency of the proposed model in terms of accuracy in diagnosing and distinguishing between different brain tumors

3.3. Transfer Learning Approaches

In our study, deep learning technology was used with pretrained deep learning models due to its ability to transfer pretrained information from the ImageNet dataset [44]. Transfer learning is recognized for its capacity to reuse previously acquired knowledge, making it a cost-effective and time-saving method for researchers. It contributes to investing time in learning, which does not require a huge dataset. It gained a strong reputation and received great attention in studies. We leveraged the knowledge acquired by a pretrained model on a large-scale dataset to enhance the performance of our model on a more specific task. We chose two pretrained models to test their performance regarding tumor detection and ultimately compared these results with our proposed model. Transfer learning proved to be a valuable tool in our research, enabling us to achieve superior performance and efficiency with those pretrained models. By leveraging the knowledge from a pretrained model, we were able to effectively compare the results gained from our proposed models. Deep learning is used in our work in two different deep learning models and provides a new approach by combining Resnet50V2 and a Swin Transformer, where the primary goal is to enhance performance in detecting brain tumors.

3.3.1. MobileNet

By replacing conventional 2D convolutional layers with an inverted bottleneck, the MobileNet architecture was specifically developed to decrease the computational expense of convolutional neural networks [45]. The structure of MobileNetV2 consists of image inputs of size 224 × 224 × 3. Following a 2D convolutional layer and additional bottleneck layers, the images possess dimensions of 7 × 7 × 320. After passing through the average pooling layer and a final 2D convolutional layer, it reaches the end stage with a size of 1 × 1 × 1280. The SSD Light was created to minimize the procedure’s expenses by decreasing the number of parameters. SSD Light and MobileNetV2 achieved comparable accuracy with a reduced number of parameters.

3.3.2. Visual Geometry Group (VGGNet)

The VGG16 is derived from the Visual Geometry Group (VGG) of the University of Oxford [43], who first suggested this concept in 2014 [46]. Their convolutional neural network, pretrained with 16 layers and trained on 14 million training images from the ImageNet dataset, is available for immediate usage. With a total of 138 million parameters, it is extensive. When used for several image categorization tasks, it developed strong competitive performance abilities. VGG16 outperformed AlexNet by transforming our data into 224 × 224 images using a sequence of smaller 3 × 3 filters. These images were then entered into both VGG16 and VGG19. To align with our binary classification problem, which aims to determine the reliability of input cash images, the last dense layer was activated using a sigmoid function.

3.3.3. EfficientNetV2B3

EfficientNetV2B3 convolutional neural network architecture, a part of the EfficientNetV2 family, optimizes computational efficiency while achieving superior accuracy. It accepts input images with three color channels (RGB) and a resolution of 300 by 300 pixels. The network possesses considerable depth, comprising around 12.3 million parameters over many layers. EfficientNetV2B3 employs a compound scaling method to balance model size and performance by consistently adjusting depth, width, and resolution. Besides its scalability, EfficientNetV2B3 is especially beneficial for medical applications, where accuracy is crucial, but processing resources may be limited [47].

3.3.4. ConvNeXtTiny

ConvNeXtTiny is a modern convolutional neural network that preserves the efficacy of traditional CNNs while also incorporating architectural enhancements inspired by vision transformers. The design of ConvNeXtTiny aimed to improve image classification tasks, such as tumor detection. It employs three color channels to analyze 224 by 224-pixel input images. Despite its “Tiny” classification, the model possesses considerable depth, with over 28 million parameters across multiple levels. This depth enhances its capacity to extract complex and nuanced features from medical images. Inverted bottleneck architectures and layer normalization are two design elements that are built into ConvNeXtTiny that make feature extraction and model performance better overall. Due to its efficient architecture, it can manage the necessity for precise tumor classification with computational requirements, making it suitable for applications that demand high accuracy and rapidity [48].

3.4. Performance Evaluation Methods

The quantitative evaluation of each of the six models relies on parameters such as accuracy, sensitivity (or recall), specificity (precision), and positive predictive value (PPV). The accuracy (1), specificity (2), sensitivity (3), and F-score (4) are calculated using samples of true-positive (TP), false-positive (FP), true-negative (TN), and false-negative (FN) cases. Recall, also known as sensitivity, refers to the model’s capacity to accurately detect and classify all relevant instances in a specific dataset. Dividing the overall number of positive outcomes yields the true positive to false negative ratio. The research showcases the capacity to correctly identify individuals diagnosed with the condition. In the field of medical diagnostics, diseases are typically classified as positive. Disregarding this advantageous classification may result in adverse outcomes, such as delays in providing medical attention due to an incorrect diagnosis. Diagnosing medical images requires a high level of recall or sensitivity. Positive predictive value (PPV), also known as specificity, is a measure that quantifies the proportion of positive examples that are correctly identified as positive. The quantity of genuine positives can be properly determined by dividing the PPV by the sum of true positives and false positives. Medical imaging necessitates a considerable degree of accuracy. The F1 score is derived by utilizing the sensitivity and specificity of each model. The F1 score, accuracy, specificity, and sensitivity can be computed using the following formulas:
A c c u r a c y = T P + T N T P + T N + F P + F N
S p e c i f i c i t y = T N T N + F p
P r e c i s i o n = T p T p + F p
S e n s i t i v i t y = T p T P + F N
F 1 S c o r e = 2 × p r e c i s i o n × S e n s i t i v i t y P r e c i s i o n + S e n s i t i v i t y

4. Result Analysis and Discussion

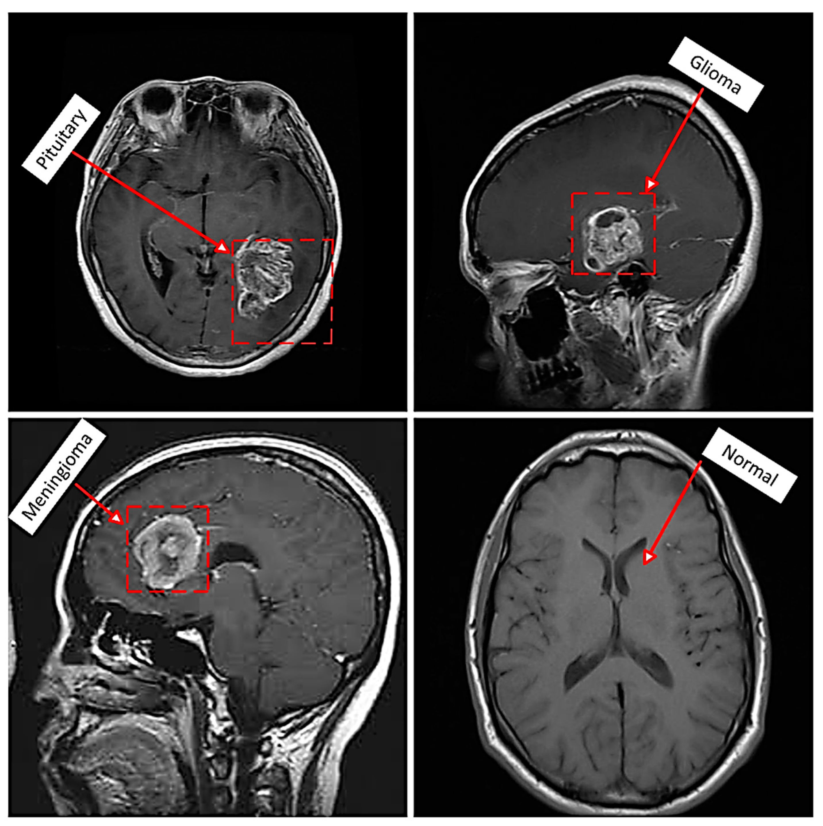
This study validates the effectiveness of the SwT+Resnet50V2 model by evaluating its performance on the Br35H and Kaggle datasets. The Br35H dataset [49] categorizes 3000 images into two groups: normal and tumor. Furthermore, the second dataset contains T1-weighted contrast images of several types of brain tumors [50]. The collection has 926 images categorized as gliomas, 937 as meningiomas, 901 as pituitary tumors, and 396 as normal, as shown in Figure 4. The present research partitions the dataset into three subsets and relies on the following proportion of testing and training data: 80% for training, 10% for validation, and 10% for testing. Table 3 shows the hyperparameter combinations employed to simulate the proposed model using a Python application. ReLU was applied as an activation function, with batch sizes of 32, 25, and 50 epochs, a learning rate of 0.0001, and a dropout rate of 0.5. Initial testing, which systematically evaluated various values to enhance the model’s performance, influenced the selection of these hyperparameters. For instance, we evaluated different learning rates (from 0.001 to 0.00001) and batch sizes (16, 32, and 64), selecting the most effective combination based on validation accuracy and loss. Throughout the training, a learning rate of 0.0001 and a batch size of 32 continuously achieved outstanding convergence, avoiding overfitting and ensuring dependable gradient updates. We selected a dropout rate of 0.5 to regularize the model and prevent overfitting. To avoid overfitting and underfitting, we used epochs of 25 and 50. The ReLU activation function was chosen because it works well for allowing gradient propagation in deep learning applications.
In Table 3, the specified hyperparameters are well balanced about training the model. We also introduced a relatively small batch size of 32 to prevent overfitting of the data. The learning rate equals 0.0001, which ensures that the convergence process will be slow and prevents the model from diverging. The best-suited optimizer for this purpose is the Adam optimizer, which is a popular choice due to its optimization capacity, robustness, and stable performance. The ReLU activation function helps prevent the vanishing gradient issue, and the 0.5 dropout rate adds a level of randomness to the network, reducing the likelihood of overfitting. Many deep learning applications find the 25–50 epochs optimal as they enable the learning of complex patterns without requiring the model to undergo an extended learning cycle. Finally, the choice of hyperparameters also depends on the specific problem; Softmax is better suited for multi-class problems, while sigmoid is more appropriate for binary problems; broadly, all these hyperparameters show good knowledge of deep learning methods and an aspiration to achieve maximum performance.

4.1. Comparison Between Models

In the beginning, four pretrained models were used on two datasets throughout the initial phase. All these models are compared using the same hyperparameter values. Every model performed 25 epochs of training, and the statistical results for the initial dataset are presented in Figure 4. Based on accuracy, the Resnet50V2 model is our best candidate. It is 0.7% larger and has an accuracy of 99%, sensitivity of 99.2%, specificity of 99%, and F1-score of 99.1%. Considering the highest level of accuracy achieved in the instance, this model was selected for enhancement.
We suggest a hybrid model, SwT+Resnet50V2, which combines the Swin Transformer and Resnet50V2. This model leverages the strengths of both components to extract optimal features and achieve superior performance. The technique of transfer learning was employed in this study. Initially, the model was trained for 15 epochs. Subsequently, the last 30 layers of the Resnet50V2 model were fixed, and the learning rate was adjusted to improve the results for an additional 15 epochs.
This model achieved an accuracy of 99.9%, sensitivity 99.8%, specificity 99.9%, and F1 score 99.9% as shown in Figure 5. The improvement rate was 0.9% compared to the initial Resnet50V2 model. The VGG16 model achieved an accuracy of 98.3%, sensitivity of 99.6%, specificity of 98%, and F1 score of 99.9%. Following the VGG16 model, the CNN model achieved an accuracy of 98.2%, a sensitivity of 99.4%, a specificity of 97.4%, and an F1 score of 98.3%. The MobileNetV2 model achieved the lowest accuracy of 98%, sensitivity of 99%, specificity of 97%, and F1 score of 98%, placing it in last place. Also, a comparison was made with two models, EfficientNetV2B3 and ConvNeXtTiny, where the accuracy was achieved up to 94.6% for the ConvNeXtTiny model and the worst accuracy was for the EfficientNetV2B3 model at 71.3%. It was shown that the modern models did not achieve high performance compared to the famous models and the proposed model SwT+Resnet50V.
Figure 6 shows the ultimate enhanced accuracy and reduction in errors of the suggested model (SwT+Resnet50V2) through the validation and training phases. A more effective approach to comparing models is by analyzing their confusion matrices. A confusion matrix is a summary of accurate and inaccurate predictions. The results of the confusion matrices appear in Figure 7.
In the next stage, based on the second dataset consisting of three types of tumors and normal tissue, the same previous pretrained models were used. All these models are compared using the same hyperparameter values. Each model performed 25 epochs of training, and the statistical results on the raw dataset are shown in Figure 6. Based on accuracy, the Resnet50V2 model is also our best candidate. It is 1.6% larger, has an accuracy of 91.1%, a sensitivity of 91%, a specificity of 91.2%, and an F1 score of 91.1%. Given the highest level of accuracy achieved in this example, this model was chosen for optimization.
The proposed model (SwT+Resnet50V2) was used, which combines a Swin Transformer and Resnet50V2. The model was trained for 15 epochs. Then, the last 30 layers of the Resnet50V2 model were fixed, and the learning rate was adjusted to improve the results for an additional 15 epochs. Accuracy reached 96.8%, sensitivity reached 97%, specificity reached 97%, and F1 score reached 97% as shown in Figure 8. The improvement rate was 5.7% compared to the initial Resnet50V2 model. The MobileNetV2 model achieved an accuracy of 89.6%, sensitivity of 90%, specificity of 90.2%, and F1 score of 90%. Following the MobileNetV2 model, the CNN model achieved an accuracy of 86.7%, a sensitivity of 85.1%, a specificity of 84.9%, and an F1 score of 86%. The VGG16 model achieved an accuracy of 70.9%, sensitivity of 68%, specificity of 68%, and F1 score of 68%, scoring it in last place. The worst accuracy was for the ConvNeXtTiny and EfficientNetV2B3 models, where an accuracy of 69% and 34% was achieved, respectively. Figure 9 shows the final improved accuracy and error reduction in the proposed model (SwT+Resnet50V2) during the training and validation phases. Figure 10 shows the confusion matrices for the five models, where the (SwT+Resnet50V2) model outperformed the others by achieving correct predictions and a few incorrect predictions. The confusion matrix is a summary of accurate and inaccurate predictions.

4.2. Statistical Analysis

SwT+Resnet50V2 achieved the highest accuracy of 99.9%, outperforming the other models (Resnet50V2, VGG16, MobileNetV2, and CNN) by an accuracy margin of 0.9% to 1.9%, as demonstrated in Table 4. The confidence intervals for these differences provide additional information about their significance. The 95% confidence interval for the difference between Resnet50V2 and VGG16 ranges from 0.15% to 1.65%, indicating that the actual difference is unlikely to be of practical significance and is therefore insignificant. MobileNetV2 shows a 1.9% decrease in accuracy and a wider confidence interval of 1.15% to 2.65%, indicating a more significant variation in performance. The CNN model has a small variance of 1.3%, with a confidence range of 0.55% to 2.05%.
Overall, the results showed that SwT+Resnet50V2 performed slightly better than the other models, but the small confidence intervals for Resnet50V2 and VGG16 suggest that these differences might not be significant in real-world applications. However, MobileNetV2 shows a larger and more significant difference in accuracy. The confidence intervals provide a useful measure of the uncertainty around these differences, allowing for a more accurate interpretation of the comparative performance of the models. Compared to SwT+Resnet50V2, ConvNeXtTiny displays a more significant accuracy difference of 5.2%, with a 95% confidence interval of 4.22% to 6.18%, indicating a moderate change in performance. Compared to SwT+Resnet50V2, EfficientNetV2B3 exhibits the largest accuracy difference, measuring 28.6%, with a wide confidence range spanning from 27.62% to 29.58%. This suggests a significant difference in performance.
SwT+Resnet50V2 is the top-performing model in the accuracy comparison, with an accuracy of 96.8% and a 95% confidence interval of (84.72%, 108.88%) as shown in Table 5. This demonstrates the model’s robust and consistent performance. Resnet50V2 has an accuracy of 91.1%, behind SwT+Resnet50V2 by only 5.7%. Its confidence interval (79.02%, 103.18%) suggests some performance overlap. MobileNetV2 performs well within the confidence interval (77.52%, 101.68%), with an accuracy of 89.6% and a 7.2% difference. The CNN performs a bit worse than the other two, with an accuracy of 86.7% and a difference of 10.1%, as indicated by a confidence interval of 74.62% to 98.78%. Finally, VGG16 performs worse than SwT+Resnet50V2, with an accuracy of 70.9%, indicating a 25.9% difference. The confidence interval (58.82%, 82.98%) reflects the lower and less consistent performance. Overall, the confidence intervals show that while SwT+Resnet50V2 is the best model, Resnet50V2 and the other models, with VGG16 being an obvious outlier, perform rather well. ConvNeXtTiny, with an accuracy of 69%, has a 27.8% difference compared to SwT+Resnet50V2. The confidence interval (56.92%, 81.08%) demonstrates considerable variability, indicating a moderate performance difference. On the other hand, EfficientNetV2B3 has the lowest accuracy at 34%, a significant disparity of 62.8% compared to SwT+Resnet50V2. In comparison to SwT+Resnet50V2, its confidence interval (21.92%, 46.08%) indicates significantly lower and more volatile performance. The confidence intervals indicate that Resnet50V2, VGG16, and EfficientNetV2B3 are outliers, showing varying levels of accuracy, with SwT+Resnet50V2 being the superior model overall.

4.3. Comparison with Other Studies

By comparing our study’s findings to those of previous studies, we can observe that the technique we suggested, which involves combining the Swin Transformer (SwT) with ResNet50V2, achieves superior performance. Our approach achieved an outstanding accuracy of 99.9% when evaluated on the Br35H and Kaggle datasets as shown in Table 6, exceeding previous results. On the Kaggle dataset, ref. [51] achieved a 96% accuracy rate using a CNN, whereas [52] obtained a comparable accuracy rate of 95.7% using a similar approach. The experiments conducted with the Br35H dataset showed different success rates. In study [53], a convolutional neural network (CNN) achieved a success rate of 99.3%. Study [32] combined a CNN with GoogleNet and achieved a success rate of 99.5%. In study [54], EfficientNetb0 and VGG-19 were used, resulting in a success rate of 99.7%. In addition, ref. [55] utilized the InceptionV3 model with the Figshare dataset and obtained an accuracy score of 97.12%. In addition, our results surpass the findings of [56], a research study that utilized convolutional neural networks (CNNs) on the Br35H dataset and achieved an accuracy of 99.3%. The effectiveness of the Swin Transformer, when used together with ResNet50V2, is demonstrated by the significant improvement in accuracy shown in our investigation. This indicates that the Swin Transformer holds significant promise as an accurate option for image classification tasks in the field of medical imaging. The comprehensive evaluation demonstrates that our approach outperformed all previous studies, reaching a new standard for the accuracy of brain tumor classification.
In addition, with proper validation and regulatory approval, such models could be integrated into routine imaging analysis software, facilitating earlier detection and personalized treatment planning. This approach significantly reduces patient burden by minimizing unnecessary biopsies and supplementary imaging. Future research may investigate the model’s efficacy across diverse clinical environments and evaluate its compatibility with additional imaging techniques for enhanced applicability. This model could serve as an additional reader or assistive diagnostic tool, especially in high-volume clinical environments. Automating parts of the classification process may help reduce diagnostic errors, expedite clinical workflows, and prioritize cases requiring urgent intervention.

4.4. Ethical Considerations

The adoption of AI models in medical diagnostics presents several significant ethical concerns. Primarily, securing patient privacy and data security is essential, particularly when handling sensitive medical information. This study conforms to ethical requirements by thoroughly anonymizing and keeping all data used for model training and testing secure. This will prevent any misuse or breaches of patient confidentiality.
Secondly, AI models may reflect the biases included in the training data, potentially leading to disparities in diagnostic outcomes among different demographic groups. Ongoing validation and monitoring of the model across diverse demographics are essential to reduce these biases and ensure fair treatment.
AI should not replace medical expertise in diagnosis, despite its significant assistance. Our model highlights that healthcare practitioners must maintain control and decision-making authority to prevent undue reliance on algorithmic outcomes. Enhancing confidence in AI-generated diagnoses requires guaranteeing model interpretability or clarity in the decision-making process. Lastly, ethical norms were used to compose this work, emphasizing the importance of moral principles.

4.5. Limitation

This study’s limitation is that it is difficult to find an appropriate dataset for the classification problem. Obtaining current medical information is tough; however, databases such as Kaggle effectively maintain study data. On the other hand, computational complexity is present. Leveraging cloud-based technology, such as the complimentary edition of Google Colab, could simplify these tasks. Buying a pro version and optimizing time and resources is possible; however, conducting this study required a high-performance workplace. Also, future work may address the latest transformer methodologies in the event of a higher GPU due to the high computational complexity required.

5. Conclusions

This study used an advanced deep learning technique called the Swin Transformer to accurately detect brain tumors. We combined the Resnet 50V2 and Swin Transformer models to address issues such as poor image quality and specifically detect different types of tumors. Our proposed technique achieved superior results compared to previous models, with a maximum recognition accuracy of 99.9% on the brain MRI dataset. Incorporating a pretrained model from the ImageNet dataset significantly improved the accuracy and efficiency of the Swin Transformer. Transfer learning and data adaptability of the model were enhanced to improve training speed, parameter efficiency, and accuracy. The proposed integration of deep learning methodologies and the Swin Transformer with MRI images has great potential for clinical imaging. Radiologists can use it as an alternative tool to enhance diagnostic efficiency, contributing to rapid and accurate initial tumor detection. The new diagnostic technique, SwT+Resnet50V2, described in this research study has significant implications for the field of deep learning and its applications in medical imaging. Our study aims to improve patient care by laying the foundation for future studies and advancing the application of deep learning methods to enhance diagnostic capabilities in neuroimaging. In future work, we can use large datasets to perform additional analyses on the type of brain tumors, considering gender and appropriate age groups as variables, and to ensure the generalizability and reliability of the model, further validation will be required using additional datasets and realistic clinical scenarios. This will provide a higher level of accuracy compared to more general classification. Also, the latest transformer algorithms with advanced encoders and decoders will be used to accurately locate the tumor through segmentation.

Author Contributions

Conceptualization, A.F.A.B., G.S., R.A. and A.N.; Methodology, H.K., A.N. and H.G.; Software, A.N. and H.G.; Validation, H.K., G.S., A.N., A.B. and H.G.; Formal analysis, A.N., A.F.A.B., K.M.O.N., H.K., R.A. and W.D.; Resources, A.F.A.B., R.A. and A.B.; Data curation, K.M.O.N., G.S., A.N. and A.B.; Writing—original draft, A.F.A.B., A.N. and A.B.; Writing—review & editing, A.N., K.M.O.N., H.K., G.S., H.G. and W.D.; Visualization, K.M.O.N., A.N., A.B. and W.D.; Supervision, K.M.O.N. and G.S.; Project administration, A.F.A.B.; Funding acquisition, H.K., G.S. and R.A. All authors have read and agreed to the published version of the manuscript.

Funding

This research is funded by the Deanship of Research in Zarqa University/Jordan.

Institutional Review Board Statement

Not applicable.

Informed Consent Statement

Not applicable.

Data Availability Statement

The original contributions presented in the study are included in the article, further inquiries can be directed to the corresponding authors.

Conflicts of Interest

The authors declare no conflict of interest.

References

  1. Van Meir, E.G.; Hadjipanayis, C.G.; Norden, A.D.; Shu, H.; Wen, P.Y.; Olson, J.J. Exciting new advances in neuro-oncology: The avenue to a cure for malignant glioma. CA Cancer J. Clin. 2010, 60, 166–193. [Google Scholar] [CrossRef]
  2. Rehman, A.; Khan, M.A.; Saba, T.; Mehmood, Z.; Tariq, U.; Ayesha, N. Microscopic brain tumor detection and classification using 3D CNN and feature selection architecture. Microsc. Res. Tech. 2021, 84, 133–149. [Google Scholar] [CrossRef]
  3. Ahmadian, S.; Jalali, S.M.J.; Islam, S.M.S.; Khosravi, A.; Fazli, E.; Nahavandi, S. A novel deep neuroevolution-based image classification method to diagnose coronavirus disease (COVID-19). Comput. Biol. Med. 2021, 139, 104994. [Google Scholar] [CrossRef]
  4. Ahmadian, S.; Jalali, S.M.J.; Raziani, S.; Chalechale, A. An efficient cardiovascular disease detection model based on multilayer perceptron and moth-flame optimization. Expert Syst. 2022, 39, e12914. [Google Scholar] [CrossRef]
  5. Ravì, D.; Wong, C.; Deligianni, F.; Berthelot, M.; Andreu-Perez, J.; Lo, B.; Yang, G.Z. Deep learning for health informatics. IEEE J. Biomed. Health Inform. 2016, 21, 4–21. [Google Scholar] [CrossRef]
  6. Mehnatkesh, H.; Alasty, A.; Boroushaki, M.; Khodsiani, M.H.; Hasheminasab, M.R.; Kermani, M.J. Estimation of water coverage ratio in low temperature PEM-fuel cell using deep neural network. IEEE Sens. J. 2020, 20, 10679–10686. [Google Scholar] [CrossRef]
  7. Goel, T.; Murugan, R.; Mirjalili, S.; Chakrabartty, D.K. OptCoNet: An optimized convolutional neural network for an automatic diagnosis of COVID-19. Appl. Intell. 2021, 51, 1351–1366. [Google Scholar] [CrossRef]
  8. Kaur, P.; Singh, G.; Kaur, P. Classification and validation of MRI brain tumor using optimised machine learning approach. In Proceedings of the ICDSMLA 2019: Proceedings of the 1st International Conference on Data Science, Machine Learning and Applications; Springer: Berlin/Heidelberg, Germany, 2020; pp. 172–189. [Google Scholar]
  9. Pandiselvi, T.; Maheswaran, R. Efficient framework for identifying, locating, detecting and classifying MRI brain tumor in MRI images. J. Med. Syst. 2019, 43, 189. [Google Scholar] [CrossRef]
  10. Tiwari, A.; Srivastava, S.; Pant, M. Brain tumor segmentation and classification from magnetic resonance images: Review of selected methods from 2014 to 2019. Pattern Recognit. Lett. 2020, 131, 244–260. [Google Scholar] [CrossRef]
  11. Bankman, I. Handbook of Medical Image Processing and Analysis; Elsevier: Amsterdam, The Netherlands, 2008. [Google Scholar]
  12. Ismael, S.A.A.; Mohammed, A.; Hefny, H. An enhanced deep learning approach for brain cancer MRI images classification using residual networks. Artif. Intell. Med. 2020, 102, 101779. [Google Scholar] [CrossRef]
  13. Khan, A.N.; Nazarian, H.; Golilarz, N.A.; Addeh, A.; Li, J.P.; Khan, G.A. Brain tumor classification using efficient deep features of MRI scans and support vector machine. In Proceedings of the 2020 17th International Computer Conference on Wavelet Active Media Technology and Information Processing (ICCWAMTIP), Chengdu, China, 18–20 December 2020; pp. 314–318. [Google Scholar]
  14. Tang, Z.; Ahmad, S.; Yap, P.-T.; Shen, D. Multi-atlas segmentation of MR tumor brain images using low-rank based image recovery. IEEE Trans. Med. Imaging 2018, 37, 2224–2235. [Google Scholar] [CrossRef]
  15. Diallo, B.; Hu, J.; Li, T.; Khan, G.A.; Liang, X.; Zhao, Y. Deep embedding clustering based on contractive autoencoder. Neurocomputing 2021, 433, 96–107. [Google Scholar] [CrossRef]
  16. Le, Q.; Mikolov, T. Distributed representations of sentences and documents. In Proceedings of the International Conference on Machine Learning, PMLR, Beijing, China, 21–26 June 2014; pp. 1188–1196. [Google Scholar]
  17. Chen, G.; Li, Q.; Shi, F.; Rekik, I.; Pan, Z. RFDCR: Automated brain lesion segmentation using cascaded random forests with dense conditional random fields. Neuroimage 2020, 211, 116620. [Google Scholar] [CrossRef]
  18. Jalalifar, A.; Soliman, H.; Ruschin, M.; Sahgal, A.; Sadeghi-Naini, A. A brain tumor segmentation framework based on outlier detection using one-class support vector machine. In Proceedings of the 2020 42nd Annual International Conference of the IEEE Engineering in Medicine & Biology Society (EMBC), Montreal, QC, Canada, 20–24 July 2020; pp. 1067–1070. [Google Scholar]
  19. Khosravanian, A.; Rahmanimanesh, M.; Keshavarzi, P.; Mozaffari, S. Fast level set method for glioma brain tumor segmentation based on Superpixel fuzzy clustering and lattice Boltzmann method. Comput. Methods Programs Biomed. 2021, 198, 105809. [Google Scholar] [CrossRef]
  20. Havaei, M.; Davy, A.; Warde-Farley, D.; Biard, A.; Courville, A.; Bengio, Y.; Pal, C.; Jodoin, P.M.; Larochelle, H. Brain tumor segmentation with deep neural networks. Med. Image Anal. 2017, 35, 18–31. [Google Scholar] [CrossRef]
  21. Chato, L.; Latifi, S. Machine learning and deep learning techniques to predict overall survival of brain tumor patients using MRI images. In Proceedings of the 2017 IEEE 17th International Conference on Bioinformatics and Bioengineering (BIBE), Washington, DC, USA, 23–25 October 2017; pp. 9–14. [Google Scholar]
  22. Zulfiqar, F.; Bajwa, U.I.; Mehmood, Y. Multi-class classification of brain tumor types from MR images using EfficientNets. Biomed. Signal Process. Control 2023, 84, 104777. [Google Scholar] [CrossRef]
  23. Mehnatkesh, H.; Jalali, S.M.J.; Khosravi, A.; Nahavandi, S. An intelligent driven deep residual learning framework for brain tumor classification using MRI images. Expert Syst. Appl. 2023, 213, 119087. [Google Scholar] [CrossRef]
  24. Shamshad, F.; Khan, S.; Zamir, S.W.; Khan, M.H.; Hayat, M.; Khan, F.S.; Fu, H. Transformers in medical imaging: A survey. Med. Image Anal. 2023, 88, 102802. [Google Scholar] [CrossRef]
  25. Akinyelu, A.A.; Zaccagna, F.; Grist, J.T.; Castelli, M.; Rundo, L. Brain tumor diagnosis using machine learning, convolutional neural networks, capsule neural networks and vision transformers, applied to MRI: A survey. J. Imaging 2022, 8, 205. [Google Scholar] [CrossRef]
  26. Celard, P.; Iglesias, E.L.; Sorribes-Fdez, J.M.; Romero, R.; Vieira, A.S.; Borrajo, L. A survey on deep learning applied to medical images: From simple artificial neural networks to generative models. Neural Comput. Appl. 2023, 35, 2291–2323. [Google Scholar] [CrossRef]
  27. Ali, S.; Li, J.; Pei, Y.; Khurram, R.; Rehman, K.U.; Mahmood, T. A comprehensive survey on brain tumor diagnosis using deep learning and emerging hybrid techniques with multi-modal MR image. Arch. Comput. methods Eng. 2022, 29, 4871–4896. [Google Scholar] [CrossRef]
  28. Nayak, D.R.; Padhy, N.; Mallick, P.K.; Zymbler, M.; Kumar, S. Brain Tumor Classification Using Dense Efficient-Net. Axioms 2022, 11, 34. [Google Scholar] [CrossRef]
  29. Wahlang, I.; Maji, A.K.; Saha, G.; Chakrabarti, P.; Jasinski, M.; Leonowicz, Z.; Jasinska, E. Brain Magnetic Resonance Imaging Classification Using Deep Learning Architectures with Gender and Age. Sensors 2022, 22, 1766. [Google Scholar] [CrossRef]
  30. Raza, A.; Ayub, H.; Khan, J.A.; Ahmad, I.; Salama, A.S.; Daradkeh, Y.I.; Javeed, D.; Ur Rehman, A.; Hamam, H. A Hybrid Deep Learning-Based Approach for Brain Tumor Classification. Electronics 2022, 11, 1146. [Google Scholar] [CrossRef]
  31. Maqsood, S.; Damaševičius, R.; Maskeliūnas, R. Multi-Modal Brain Tumor Detection Using Deep Neural. Medicina 2022, 58, 1090. [Google Scholar] [CrossRef]
  32. Amran, G.A.; Alsharam, M.S.; Blajam, A.O.A.; Hasan, A.A.; Alfaifi, M.Y.; Amran, M.H.; Gumaei, A.; Eldin, S.M. Brain Tumor Classification and Detection Using Hybrid Deep Tumor Network. Electronics 2022, 11, 3457. [Google Scholar] [CrossRef]
  33. Latif, G.; Brahim, G.B.; Iskandar, D.N.F.A.; Bashar, A.; Alghazo, J. Glioma Tumors ’ Classification Using Deep-Neural-Network-Based Features with SVM Classifier. Diagnostics 2022, 12, 1018. [Google Scholar] [CrossRef]
  34. Jibon, F.A.; Khandaker, M.U.; Miraz, M.H.; Thakur, H.; Rabby, F.; Tamam, N.; Sulieman, A.; Itas, Y.S.; Osman, H. Cancerous and Non-Cancerous Brain MRI Classification Method Based on Convolutional Neural Network and Log-Polar Transformation. Healthcare 2022, 10, 1801. [Google Scholar] [CrossRef]
  35. Yazdan, S.A.; Ahmad, R.; Iqbal, N.; Rizwan, A.; Khan, A.N.; Kim, D. An Efficient Multi-Scale Convolutional Neural Network Based Multi-Class Brain MRI Classification for SaMD. Tomography 2022, 8, 1905–1927. [Google Scholar] [CrossRef]
  36. Alanazi, M.F.; Ali, M.U.; Hussain, S.J.; Zafar, A.; Mohatram, M.; Irfan, M.; AlRuwaili, R.; Alruwaili, M.; Ali, N.H.; Albarrak, A.M. Brain Tumor/Mass Classification Framework Using Magnetic-Resonance-Imaging-Based Isolated and Developed Transfer Deep-Learning Model. Sensors 2022, 22, 372. [Google Scholar] [CrossRef]
  37. Hamza, M.A.; Abdullah Mengash, H.; Alotaibi, S.S.; Hassine, S.B.H.; Yafoz, A.; Althukair, F.; Othman, M.; Marzouk, R. Optimal and Efficient Deep Learning Model for Brain Tumor Magnetic Resonance Imaging Classification and Analysis. Appl. Sci. 2022, 12, 7953. [Google Scholar] [CrossRef]
  38. Deepak, S.; Ameer, P.M. Brain tumor classi fi cation using deep CNN features via transfer learning. Comput. Biol. Med. 2019, 111, 103345. [Google Scholar] [CrossRef]
  39. Gharaibeh, M.; Abedalaziz, W.; Alawad, N.A.; Gharaibeh, H.; Nasayreh, A.; El-Heis, M.; Altalhi, M.; Forestiero, A.; Abualigah, L. Optimal Integration of Machine Learning for Distinct Classification and Activity State Determination in Multiple Sclerosis and Neuromyelitis Optica. Technologies 2023, 11, 131. [Google Scholar] [CrossRef]
  40. Al Mamlook, R.E.; Nasayreh, A.; Gharaibeh, H.; Shrestha, S. Classification Of Cancer Genome Atlas Glioblastoma Multiform (TCGA-GBM) Using Machine Learning Method. In Proceedings of the 2023 IEEE International Conference on Electro Information Technology (eIT), Romeoville, IL, USA, 18–20 May 2023; pp. 265–270. [Google Scholar] [CrossRef]
  41. Xie, Y.; Zaccagna, F.; Rundo, L.; Testa, C.; Agati, R.; Lodi, R.; Manners, D.N.; Tonon, C. Convolutional neural network techniques for brain tumor classification (from 2015 to 2022): Review, challenges, and future perspectives. Diagnostics 2022, 12, 1850. [Google Scholar] [CrossRef]
  42. Liu, Z.; Lin, Y.; Cao, Y.; Hu, H.; Wei, Y.; Zhang, Z.; Lin, S.; Guo, B. Swin transformer: Hierarchical vision transformer using shifted windows. In Proceedings of the IEEE/CVF International Conference on Computer Vision, Montreal, BC, Canada, 11–17 October 2021; pp. 10012–10022. [Google Scholar]
  43. He, K.; Zhang, X.; Ren, S.; Sun, J. Deep residual learning for image recognition. In Proceedings of the IEEE Conference on Computer Vision and Pattern Recognition, Las Vegas, NV, USA, 27–30 June 2016; pp. 770–778. [Google Scholar]
  44. Zhuang, F.; Qi, Z.; Duan, K.; Xi, D.; Zhu, Y.; Zhu, H.; Xiong, H.; He, Q. A comprehensive survey on transfer learning. Proc. IEEE 2020, 109, 43–76. [Google Scholar] [CrossRef]
  45. Sandler, M.; Howard, A.; Zhu, M.; Zhmoginov, A.; Chen, L.-C. Mobilenetv2: Inverted residuals and linear bottlenecks. In Proceedings of the IEEE Conference on Computer Vision and Pattern Recognition, Salt Lake City, UT, USA, 18–23 June 2018; pp. 4510–4520. [Google Scholar]
  46. Simonyan, K.; Zisserman, A. Very deep convolutional networks for large-scale image recognition. arXiv 2014, arXiv:1409.1556. [Google Scholar]
  47. Tan, M.; Le, Q. Efficientnetv2: Smaller models and faster training. In Proceedings of the International Conference on Machine Learning, Virtual, 18–24 July 2021; pp. 10096–10106. [Google Scholar]
  48. Liu, Z.; Mao, H.; Wu, C.Y.; Feichtenhofer, C.; Darrell, T.; Xie, S. A convnet for the 2020s. In Proceedings of the IEEE/CVF Conference on Computer Vision and Pattern Recognition, New Orleans, LA, USA, 18–24 June 2022; pp. 11976–11986. [Google Scholar]
  49. Hamada, A. Br35H:: Brain Tumor Detection 2020. Available online: https://www.kaggle.com/datasets/ahmedhamada0/brain-tumor-detection (accessed on 15 October 2024).
  50. Nickparvar, M. Brain Tumor MRI Dataset. Available online: https://www.kaggle.com/datasets/masoudnickparvar/brain-tumor-mri-dataset (accessed on 15 October 2024).
  51. Gürüler, H.; Khan, F.; Hussain, J. Multiple Brain Tumor Classification with Dense CNN Architecture Using Brain MRI Images. Life 2023, 13, 349. [Google Scholar] [CrossRef]
  52. Ali, M.U.; Hussain, S.J.; Zafar, A.; Bhutta, M.R.; Lee, S.W. WBM-DLNets: Wrapper-Based Metaheuristic Deep Learning Networks Feature Optimization for Enhancing Brain Tumor Detection. Bioengineering 2023, 10, 475. [Google Scholar] [CrossRef]
  53. Chhatre, F.; Deshpande, S.; Malik, S.; Yan, G. Brain Tumor Detection Using Convolutional Neural Network. J. Stud. Res. 2023, 12. [Google Scholar] [CrossRef]
  54. Bourennane, M. Deep Feature Extraction with Cubic-SVM for Classification of Brain Tumor Extração de características profundas com Cubic-SVM para classificação de Tumor Cerebral. Stud. Eng. Exact Sci. 2024, 5, 19–35. [Google Scholar] [CrossRef]
  55. Gómez-Guzmán, M.A.; Jiménez-Beristaín, L.; García-Guerrero, E.E.; López-Bonilla, O.R.; Tamayo-Perez, U.J.; Esqueda-Elizondo, J.J.; Palomino-Vizcaino, K.; Inzunza-González, E. Classifying Brain Tumors on Magnetic Resonance Imaging by Using Convolutional Neural Networks. Electronics 2023, 12, 955. [Google Scholar] [CrossRef]
  56. Regmi, L.N.; Chaulagain, I.P.; Khadka, S.R.; Subedi, H.; Pandey, A. Brain Tumor Identification in MRI Images Utilizing Deep Features. ICAEIC 2023, 10, 122–129. [Google Scholar]
Figure 1. Workflow diagram of the proposed brain tumor detection method.
Figure 1. Workflow diagram of the proposed brain tumor detection method.
Applsci 14 10154 g001
Figure 2. Architecture of Swin Transformer.
Figure 2. Architecture of Swin Transformer.
Applsci 14 10154 g002
Figure 3. Architecture of Resnet50V2.
Figure 3. Architecture of Resnet50V2.
Applsci 14 10154 g003
Figure 4. Instances of the types of brain tumor in MRI images.
Figure 4. Instances of the types of brain tumor in MRI images.
Applsci 14 10154 g004
Figure 5. Performance evaluation on Bra35H dataset.
Figure 5. Performance evaluation on Bra35H dataset.
Applsci 14 10154 g005
Figure 6. Training and validation metrics (accuracy and loss) for (SwT+Resnet50V2) on Bra35H dataset.
Figure 6. Training and validation metrics (accuracy and loss) for (SwT+Resnet50V2) on Bra35H dataset.
Applsci 14 10154 g006
Figure 7. Comparison of confusion matrices for all models using the Bra35H dataset.
Figure 7. Comparison of confusion matrices for all models using the Bra35H dataset.
Applsci 14 10154 g007
Figure 8. Performance evaluation on Kaggle dataset.
Figure 8. Performance evaluation on Kaggle dataset.
Applsci 14 10154 g008
Figure 9. Training and validation metrics (accuracy and loss) for (SwT+Resnet50V2) on Kaggle dataset.
Figure 9. Training and validation metrics (accuracy and loss) for (SwT+Resnet50V2) on Kaggle dataset.
Applsci 14 10154 g009
Figure 10. Comparison of confusion matrices for all models using the Kaggle dataset.
Figure 10. Comparison of confusion matrices for all models using the Kaggle dataset.
Applsci 14 10154 g010
Table 1. Literature summary of the previous studies on brain tumor classification.
Table 1. Literature summary of the previous studies on brain tumor classification.
AuthorDatasetMethodHighest Accuracy
[28]3260 MRI imagesModified version of EfficientNet98.78%
[29]-LeNet architecture88%
[30]-DeepTumorNet99.6%
[31]Figshare dataset, BraTS 2018 datasetMulti-phase support vector machines (M-SVMs)98.92% on Figshare dataset
[32]-Combining GoogLeNet and CNN99.51%
[33]-Support vector machines (SVMs)96.19% on HGG
[34]Brain MRI imagesLog-polar transforms (LPTs)96%
[35]MRI dataTumorResNet model, ResNet DL99.33% using ResNet DL
[36]-Transfer learning (TL) models95.75%
[37]MRI imagesXception model99.06%
[38]-(KNN) and (SVM), and Genetic ANFIS Classification98%
[39]MRI images from King Abdullah Founder HospitalCombining deep learning and machine learning99.9%
[40]Cancer Genome Atlas (TCGA) datasetSVM, AdaBoost, neural networks, and decision trees99% using AdaBoost
Table 2. Parameters used during the preprocessing phase for each CNN model.
Table 2. Parameters used during the preprocessing phase for each CNN model.
ParameterValue
Rescale1.0/255
Horizontal flipTrue
Vertical flipTrue
Brightness range0.8–1.2
Labeling2 labels
4 labels
Table 3. Hyperparameters Values for Training the Proposed Model and Other Models.
Table 3. Hyperparameters Values for Training the Proposed Model and Other Models.
HyperparameterValue
Batch size32
Learning rate0.0001
OptimizerAdam
Activation functionReLU
Dropout0.5
Epochs25
50
Output activation functionSoftmax
Sigmoid
Table 4. Comparing the model’s accuracy with variations from SwT+Resnet50V2 and 95% confidence intervals for Bra35H dataset.
Table 4. Comparing the model’s accuracy with variations from SwT+Resnet50V2 and 95% confidence intervals for Bra35H dataset.
ModelAccuracy (%)Difference from
SwT+Resnet50V2
95% Confidence Interval
Resnet50V2990.9(0.15, 1.65)
VGG16990.9(0.15, 1.65)
MobileNetV2981.9(1.15, 2.65)
CNN98.61.3(0.55, 2.05)
ConvNeXtTiny94.65.2(4.22, 6.18)
EfficientNetV2B371.328.6(27.62, 29.58)
Table 5. Comparing the models’ accuracy with variations from SwT+Resnet50V2 and 95% confidence intervals for Kaggle dataset.
Table 5. Comparing the models’ accuracy with variations from SwT+Resnet50V2 and 95% confidence intervals for Kaggle dataset.
ModelAccuracy (%)Difference from
SwT+Resnet50V2
95% Confidence Interval
Resnet50V291.15.7(79.02, 103.18)
VGG1670.925.8(58.82, 82.98)
MobileNetV289.67.2(77.52, 101.68)
CNN86.710.(74.62, 108.88)
ConvNeXtTiny6927.8(56.92, 81.08)
EfficientNetV2B33462.8(21.92, 46.08)
Table 6. Comparison with related studies.
Table 6. Comparison with related studies.
Author and YearDatasetMethodAccuracy (%)
[51]KaggleCNN96
[52]KaggleCNN95.7
[53]Br35HCNN99.3
[32]Br35HCNN+GoogleNet99.5
[54]Br35HEfficientnetb0, VGG-1999.7
[55]Fighshare SARTAJ
Br35H
InceptionV397.12
[56]Br35HCNN99.3
This StudyBr35H
Kaggle
SwT+Resnet50V299.9
Disclaimer/Publisher’s Note: The statements, opinions and data contained in all publications are solely those of the individual author(s) and contributor(s) and not of MDPI and/or the editor(s). MDPI and/or the editor(s) disclaim responsibility for any injury to people or property resulting from any ideas, methods, instructions or products referred to in the content.

Share and Cite

MDPI and ACS Style

Al Bataineh, A.F.; Nahar, K.M.O.; Khafajeh, H.; Samara, G.; Alazaidah, R.; Nasayreh, A.; Bashkami, A.; Gharaibeh, H.; Dawaghreh, W. Enhanced Magnetic Resonance Imaging-Based Brain Tumor Classification with a Hybrid Swin Transformer and ResNet50V2 Model. Appl. Sci. 2024, 14, 10154. https://doi.org/10.3390/app142210154

AMA Style

Al Bataineh AF, Nahar KMO, Khafajeh H, Samara G, Alazaidah R, Nasayreh A, Bashkami A, Gharaibeh H, Dawaghreh W. Enhanced Magnetic Resonance Imaging-Based Brain Tumor Classification with a Hybrid Swin Transformer and ResNet50V2 Model. Applied Sciences. 2024; 14(22):10154. https://doi.org/10.3390/app142210154

Chicago/Turabian Style

Al Bataineh, Abeer Fayez, Khalid M. O. Nahar, Hayel Khafajeh, Ghassan Samara, Raed Alazaidah, Ahmad Nasayreh, Ayah Bashkami, Hasan Gharaibeh, and Waed Dawaghreh. 2024. "Enhanced Magnetic Resonance Imaging-Based Brain Tumor Classification with a Hybrid Swin Transformer and ResNet50V2 Model" Applied Sciences 14, no. 22: 10154. https://doi.org/10.3390/app142210154

APA Style

Al Bataineh, A. F., Nahar, K. M. O., Khafajeh, H., Samara, G., Alazaidah, R., Nasayreh, A., Bashkami, A., Gharaibeh, H., & Dawaghreh, W. (2024). Enhanced Magnetic Resonance Imaging-Based Brain Tumor Classification with a Hybrid Swin Transformer and ResNet50V2 Model. Applied Sciences, 14(22), 10154. https://doi.org/10.3390/app142210154

Note that from the first issue of 2016, this journal uses article numbers instead of page numbers. See further details here.

Article Metrics

Back to TopTop