Explainable AI for Alzheimer Detection: A Review of Current Methods and Applications
Abstract
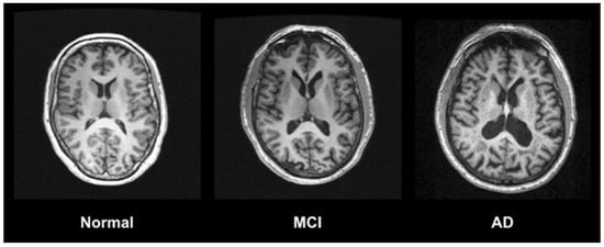
1. Introduction
1.1. Artificial Intelligence in Alzheimer’s Disease Detection
1.2. The Need for XAI in Clinical Settings
1.3. Advancing XAI for Enhanced Clinical Decision-Making
2. Techniques in Alzheimer’s Disease Detection
2.1. Conventional Machine Learning
2.1.1. Support Vector Machine (SVM)
2.1.2. Random Forest (RF)
2.2. Deep Learning Models
2.2.1. Convolutional Neural Network (CNN)
2.2.2. Attention Networks
2.2.3. Recurrent Neural Networks (RNNs)
2.3. Ensembles Learning in AD
2.4. XAI Methods Applied to Alzheimer’s Detection
2.4.1. SHAP (Shapley Additive exPlanations)
2.4.2. Local Interpretable Model-Agnostic Explanations (LIME)
2.4.3. Granular Neuron-Level Explainer (LAVA)
2.5. Summary & Future Directions in AD Detection Techniques
3. Overview of Explainable Artificial Intelligence (XAI)
3.1. Types of XAI Methods
3.1.1. Model-Specific Techniques in XAI
3.1.2. Drawbacks of Model-Specific XAI
3.1.3. Model-Agnostic Techniques in XAI
3.1.4. Challenges in Model-Agnostic XAI
3.1.5. Model-Specific vs. Model-Agnostic Techniques
3.2. Challenges in Implementing XAI
4. Role of XAI in Alzheimer’s Disease Detection
5. Critical Review of Existing Methods
6. Future Directions and Research Opportunities
6.1. Development of Feature-Augmented
6.2. Advancements in Multimodal AI Interpretability
6.3. Addressing Implementation Challenges in Clinical Settings
7. Summary and Challenges
8. Conclusions
Author Contributions
Funding
Institutional Review Board Statement
Informed Consent Statement
Data Availability Statement
Acknowledgments
Conflicts of Interest
Correction Statement
References
- Fabrizio, C.; Termine, A.; Caltagirone, C.; Sancesario, G. Artificial Intelligence for Alzheimer’s Disease: Promise or Challenge? Diagnostics 2021, 11, 1473. [Google Scholar] [CrossRef]
- Majd, S.; Power, J.; Majd, Z. Alzheimer’s Disease and Cancer: When Two Monsters Cannot Be Together. Front. Neurosci. 2019, 13, 155. [Google Scholar] [CrossRef] [PubMed]
- Vrahatis, A.G.; Skolariki, K.; Krokidis, M.G.; Lazaros, K.; Exarchos, T.P.; Vlamos, P. Revolutionizing the Early Detection of Alzheimer’s Disease Through Non-Invasive Biomarkers: The Role of Artificial Intelligence and Deep Learning. Sensors 2023, 23, 4184. [Google Scholar] [CrossRef] [PubMed]
- Villain, N.; Fouquet, M.; Baron, J.C.; Mézenge, F.; Landeau, B.; de La Sayette, V.; Viader, F.; Eustache, F.; Desgranges, B.; Chételat, G. Sequential Relationships Between Grey Matter and White Matter Atrophy and Brain Metabolic Abnormalities in Early Alzheimer’s Disease. Brain 2010, 133, 3301–3314. [Google Scholar] [CrossRef]
- Al Olaimat, M.; Martinez, J.; Saeed, F.; Bozdag, S.; Initiative, A.D.N. PPAD: A Deep Learning Architecture to Predict Progression of Alzheimer’s Disease. Bioinformatics 2023, 39, i149–i157. [Google Scholar] [CrossRef] [PubMed]
- Arafa, D.A.; Moustafa, H.E.D.; Ali-Eldin, A.M.T.; Ali, H.A. Early Detection of Alzheimer’s Disease Based on the State-of-the-Art Deep Learning Approach: A Comprehensive Survey. Multimed. Tools Appl. 2022, 81, 23735–23776. [Google Scholar] [CrossRef]
- Martínez-Murcia, F.; Górriz, J.; Ramírez, J.; Puntonet, C.; Salas-González, D. Computer Aided Diagnosis Tool for Alzheimer’s Disease Based on Mann–Whitney–Wilcoxon U-Test. Expert Syst. Appl. 2012, 39, 9676–9685. [Google Scholar] [CrossRef]
- Woodbright, M.D.; Morshed, A.; Browne, M.; Ray, B.; Moore, S. Toward Transparent AI for Neurological Disorders: A Feature Extraction and Relevance Analysis Framework. IEEE Access 2024, 12, 37731–37743. [Google Scholar] [CrossRef]
- Chandra, A.; Dervenoulas, G.; Politis, M. Magnetic resonance imaging in Alzheimer’s disease and mild cognitive impairment. J. Neurol. 2018, 266, 1293–1302. [Google Scholar] [CrossRef]
- Alarjani, M. Alzheimer’s Disease Detection Based on Brain Signals Using Computational Modeling. In Proceedings of the 2024 Seventh International Women in Data Science Conference at Prince Sultan University (WiDS PSU), Riyadh, Saudi Arabia, 3–4 March 2024. [Google Scholar] [CrossRef]
- Ting, C.P.; Ma, M.C.; Chang, H.I.; Huang, C.W.; Chou, M.C.; Chang, C.C. Diet Pattern Analysis in Alzheimer’s Disease Implicates Gender Differences in Folate–B12–Homocysteine Axis on Cognitive Outcomes. Nutrients 2024, 16, 733. [Google Scholar] [CrossRef]
- Bazarbekov, I.; Razaque, A.; Ipalakova, M.; Yoo, J.; Assipova, Z.; Almisreb, A. A Review of Artificial Intelligence Methods for Alzheimer’s Disease Diagnosis: Insights from Neuroimaging to Sensor Data Analysis. Biomed. Signal Process. Control 2024, 92, 106023. [Google Scholar] [CrossRef]
- Rehman, S.U.; Tarek, N.; Magdy, C.; Kamel, M.; Abdelhalim, M.; Melek, A.; Mahmoud, L.N.; Sadek, I. AI-Based Tool for Early Detection of Alzheimer’s Disease. Heliyon 2024, 10, e29375. [Google Scholar] [CrossRef] [PubMed]
- Yilmaz, D. Development and Evaluation of an Explainable Diagnostic AI for Alzheimer’s Disease. In Proceedings of the 2023 International Conference on Artificial Intelligence Science and Applications in Industry and Society (CAISAIS), Galala, Egypt, 3–5 September 2023. [Google Scholar] [CrossRef]
- Mansouri, D.; Echtioui, A.; Khemakhem, R.; Hamida, A.B. Explainable AI Framework for Alzheimer’s Diagnosis Using Convolutional Neural Networks. In Proceedings of the 2024 IEEE 7th International Conference on Advanced Technologies, Signal and Image Processing (ATSIP), Sousse, Tunisia, 11–13 July 2024. [Google Scholar] [CrossRef]
- Umeda-Kameyama, Y.; Kameyama, M.; Tanaka, T.; Son, B.K.; Kojima, T.; Fukasawa, M.; Iizuka, T.; Ogawa, S.; Iijima, K.; Akishita, M. Screening of Alzheimer’s Disease by Facial Complexion Using Artificial Intelligence. Aging 2021, 13, 1765. [Google Scholar] [CrossRef] [PubMed]
- Arnold, T.C.; Freeman, C.W.; Litt, B.; Stein, J.M. Low-Field MRI: Clinical Promise and Challenges. J. Magn. Reson. Imaging 2023, 57, 25–44. [Google Scholar] [CrossRef]
- Srikrishna, M.; Heckemann, R.A.; Pereira, J.B.; Volpe, G.; Zettergren, A.; Kern, S.; Westman, E.; Skoog, I.; Schöll, M. Comparison of Two-Dimensional and Three-Dimensional-Based U-Net Architectures for Brain Tissue Classification in One-Dimensional Brain CT. Front. Comput. Neurosci. 2021, 15, 785244. [Google Scholar] [CrossRef]
- Yao, Z.; Wang, H.; Yan, W.; Wang, Z.; Zhang, W.; Wang, Z.; Zhang, G. Artificial Intelligence-Based Diagnosis of Alzheimer’s Disease with Brain MRI Images. Eur. J. Radiol. 2023, 165, 110934. [Google Scholar] [CrossRef] [PubMed]
- Arya, A.D.; Verma, S.S.; Chakarabarti, P.; Chakrabarti, T.; Elngar, A.A.; Kamali, A.M.; Nami, M. A Systematic Review on Machine Learning and Deep Learning Techniques in the Effective Diagnosis of Alzheimer’s Disease. Brain Inform. 2023, 10, 17. [Google Scholar] [CrossRef]
- Krishnamoorthy, P.; Swetha, D.; Geetha, P.S.; Karunambiga, K.; Ayyasamy, R.K.; Kiran, A. Revolutionizing Medical Diagnostics: Exploring Creativity in AI for Biomedical Image Analysis. In Proceedings of the 2024 International Conference on Signal Processing, Computation, Electronics, Power and Telecommunication (IConSCEPT), Karaikal, India, 4–5 July 2024. [Google Scholar] [CrossRef]
- Khan, P.; Kader, M.F.; Islam, S.M.R.; Rahman, A.B.; Kamal, M.S.; Toha, M.U.; Kwak, K.S. Machine Learning and Deep Learning Approaches for Brain Disease Diagnosis: Principles and Recent Advances. IEEE Access 2021, 9, 37622–37655. [Google Scholar] [CrossRef]
- Ben Hassen, S.; Neji, M.; Hussain, Z.; Hussain, A.; Alimi, A.M.; Frikha, M. Deep Learning Methods for Early Detection of Alzheimer’s Disease Using Structural MR Images: A Survey. Neurocomputing 2024, 576, 127325. [Google Scholar] [CrossRef]
- Achilleos, K.; Leandrou, S.; Prentzas, N.; Kyriacou, P.; Kakas, A.; Pattichis, C. Extracting Explainable Assessments of Alzheimer’s disease via Machine Learning on brain MRI imaging data. In Proceedings of the 2020 IEEE 20th International Conference on Bioinformatics and Bioengineering (BIBE), Cincinnati, OH, USA, 26–28 October 2020. [Google Scholar] [CrossRef]
- Jahan, S.; Taher, K.A.; Kaiser, M.S.; Mahmud, M.; Rahman, M.S.; Hosen, A.S.M.S.; Ra, I.H. Explainable AI-Based Alzheimer’s Prediction and Management Using Multimodal Data. PLoS ONE 2023, 18, e0294253. [Google Scholar] [CrossRef]
- Guan, H.; Wang, C.; Cheng, J.; Jing, J.; Liu, T. A parallel attention-augmented bilinear network for early magnetic resonance imaging-based diagnosis of Alzheimer’s disease. Hum. Brain Mapp. 2022, 43, 760–772. [Google Scholar] [CrossRef] [PubMed]
- Haddada, K.; Khedher, M.I.; Jemai, O.; Khedher, S.I.; El-Yacoubi, M.A. Assessing the Interpretability of Machine Learning Models in Early Detection of Alzheimer’s Disease. In Proceedings of the 2024 16th International Conference on Human System Interaction (HSI), Paris, France, 8–11 July 2024. [Google Scholar] [CrossRef]
- Shad, H.A.; Rahman, Q.A.; Asad, N.B.; Bakshi, A.Z.; Mursalin, S.; Reza, M.T.; Parvez, M.Z. Exploring Alzheimer’s Disease Prediction with XAI in Various Neural Network Models. In Proceedings of the TENCON 2021-2021 IEEE Region 10 Conference (TENCON), Auckland, New Zealand, 7–10 December 2021. [Google Scholar] [CrossRef]
- Tima, J.; Wiratkasem, C.; Chairuean, W.; Padongkit, P.; Pangkhiao, K.; Pikulkaew, K. Early Detection of Alzheimer’s Disease: A Deep Learning Approach for Accurate Diagnosis. In Proceedings of the 2024 21st International Joint Conference on Computer Science and Software Engineering (JCSSE), Phuket, Thailand, 19–22 June 2024. [Google Scholar] [CrossRef]
- Yousefzadeh, N.; Tran, C.; Ramirez-Zamora, A.; Chen, J.; Fang, R.; Thai, M.T. Neuron-Level Explainable AI for Alzheimer’s Disease Assessment from Fundus Images. Sci. Rep. 2024, 14, 7710. [Google Scholar] [CrossRef] [PubMed]
- Vimbi, V.; Shaffi, N.; Mahmud, M. Interpreting Artificial Intelligence Models: A Systematic Review on the Application of LIME and SHAP in Alzheimer’s Disease Detection. Brain Inform. 2024, 11, 10. [Google Scholar] [CrossRef] [PubMed]
- Viswan, V.; Shaffi, N.; Mahmud, M.; Subramanian, K.; Hajamohideen, F. Explainable Artificial Intelligence in Alzheimer’s Disease Classification: A Systematic Review. Cogn. Comput. 2023, 16, 1–44. [Google Scholar] [CrossRef]
- Yokoi, T. Alzheimer’s Disease is a Disorder of Consciousness. Gerontol. Geriatr. Med. 2023, 9, 2. [Google Scholar] [CrossRef]
- Sadegh-Zadeh, S.A.; Fakhri, E.; Bahrami, M.; Bagheri, E.; Khamsehashari, R.; Noroozian, M.; Hajiyavand, A.M. An Approach Toward Artificial Intelligence Alzheimer’s Disease Diagnosis Using Brain Signals. Diagnostics 2023, 13, 477. [Google Scholar] [CrossRef]
- Savarala, C.; Charan, S.S.; Vemula, S.; Palaniswamy, S.; Pati, P.B. A Novel Approach for Alzheimer’s Disease Detection Using XAI and Grad-CAM. In Proceedings of the 2023 4th IEEE Global Conference for Advancement in Technology (GCAT), Bangalore, India, 6–8 October 2023. [Google Scholar] [CrossRef]
- AlMohimeed, A.; Saad, R.M.A.; Mostafa, S.; El-Rashidy, N.M.; Farrag, S.; Gaballah, A.; Elaziz, M.A.; El-Sappagh, S.; Saleh, H. Explainable Artificial Intelligence of Multi-Level Stacking Ensemble for Detection of Alzheimer’s Disease Based on Particle Swarm Optimization and the Sub-Scores of Cognitive Biomarkers. IEEE Access 2023, 11, 123173–123193. [Google Scholar] [CrossRef]
- Alvarado, M.; Gómez, D.; Nuñez, A.; Robles, A.; Marecos, H.; Ticona, W. Implementation of an Early Detection System for Neurodegenerative Diseases Through the Use of Artificial Intelligence. In Proceedings of the 2023 IEEE XXX International Conference on Electronics, Electrical Engineering and Computing (INTERCON), Lima, Peru, 2–4 November 2023. [Google Scholar] [CrossRef]
- Abadir, P.; Oh, E.; Chellappa, R.; Choudhry, N.; Demiris, G.; Ganesan, D.; Karlawish, J.; Marlin, B.; Li, R.M.; Dehak, N.; et al. Artificial Intelligence and Technology Collaboratories: Innovating aging research and Alzheimer’s care. Alzheimer’s Dement. 2024, 20, 3074–3079. [Google Scholar] [CrossRef]
- Fabietti, M.; Mahmud, M.; Lotfi, A.; Leparulo, A.; Fontana, R.; Vassanelli, S.; Fasolato, C. Early Detection of Alzheimer’s Disease From Cortical and Hippocampal Local Field Potentials Using an Ensembled Machine Learning Model. IEEE Trans. Neural Syst. Rehabil. Eng. 2023, 31, 2839–2848. [Google Scholar] [CrossRef]
- Battista, P.; Salvatore, C.; Berlingeri, M.; Cerasa, A.; Castiglioni, I. Artificial Intelligence and Neuropsychological Measures: The Case of Alzheimer’s Disease. Neurosci. Biobehav. Rev. 2020, 114, 211–228. [Google Scholar] [CrossRef]
- de la Fuente Garcia, S.; Ritchie, C.W.; Luz, S. Artificial Intelligence, Speech, and Language Processing Approaches to Monitoring Alzheimer’s Disease: A Systematic Review. J. Alzheimer’s Dis. 2020, 78, 1547–1574. [Google Scholar] [CrossRef] [PubMed]
- Eke, C.S.; Jammeh, E.; Li, X.; Carroll, C.; Pearson, S.; Ifeachor, E. Early Detection of Alzheimer’s Disease with Blood Plasma Proteins Using Support Vector Machines. IEEE J. Biomed. Health Inform. 2021, 25, 218–226. [Google Scholar] [CrossRef] [PubMed]
- Brusini, L.; Cruciani, F.; Dall’Aglio, G.; Zajac, T.; Galazzo, I.B.; Zucchelli, M.; Menegaz, G. XAI-Based Assessment of the AMURA Model for Detecting Amyloid-β and Tau Microstructural Signatures in Alzheimer’s Disease. IEEE J. Transl. Eng. Health Med. 2024, 12, 569–579. [Google Scholar] [CrossRef] [PubMed]
- Khater, T.; Ansari, S.; Alatrany, A.S.; Alaskar, H.; Mahmoud, S.; Turky, A.; Tawfik, H.; Almajali, E.; Hussain, A. Explainable Machine Learning Model for Alzheimer Detection Using Genetic Data: A Genome-Wide Association Study Approach. IEEE Access 2024, 12, 95091–95105. [Google Scholar] [CrossRef]
- Syed, M.R.; Kothari, N.; Joshi, Y.; Gawade, A. EADDA: Towards Novel and Explainable Deep Learning for Early Alzheimer’s Disease Diagnosis Using Autoencoders. J. Intell. Syst. Appl. Eng. 2023, 11, 234–246. [Google Scholar]
- Kim, J.; Lee, M.; Lee, M.K.; Wang, S.M.; Kim, N.Y.; Kang, D.W.; Um, Y.H.; Na, H.R.; Woo, Y.S.; Lee, C.U.; et al. Development of Random Forest Algorithm Based Prediction Model of Alzheimer’s Disease Using Neurodegeneration Pattern. Psychiatry Investig. 2021, 18, 69. [Google Scholar] [CrossRef]
- Rashmi, U.; Singh, T.; Ambesange, S. MRI Image-Based Ensemble Voting Classifier for Alzheimer’s Disease Classification with Explainable AI Technique. In Proceedings of the 2023 IEEE 8th International Conference for Convergence in Technology (I2CT), Lonavla, India, 7–9 April 2023. [Google Scholar] [CrossRef]
- Weber, C.J.; Carrillo, M.C.; Jagust, W.; Jack, C.R.; Shaw, L.M.; Trojanowski, J.Q.; Saykin, A.J.; Beckett, L.A.; Sur, C.; Rao, N.P.; et al. The Worldwide Alzheimer’s Disease Neuroimaging Initiative: ADNI-3 Updates and Global Perspectives. Alzheimer’s Dement. Transl. Res. Clin. Interv. 2021, 7, e12226. [Google Scholar] [CrossRef]
- LaMontagne, P.J.; Benzinger, T.L.S.; Morris, J.C.; Keefe, S.; Hornbeck, R.; Xiong, C.; Grant, E.; Hassenstab, J.; Moulder, K.; Vlassenko, A.G.; et al. OASIS-3: Longitudinal Neuroimaging, Clinical, and Cognitive Dataset for Normal Aging and Alzheimer Disease. medRxiv 2019, 1. [Google Scholar] [CrossRef]
- Qu, Y.; Wang, P.; Liu, B.; Song, C.; Wang, D.; Yang, H.; Zhang, Z.; Chen, P.; Kang, X.; Du, K.; et al. AI4AD: Artificial Intelligence Analysis for Alzheimer’s Disease Classification Based on a Multisite DTI Database. Brain Disord. 2021, 1, 100005. [Google Scholar] [CrossRef]
- Al-Andoli, M.; Cheah, W.P.; Tan, S.C. Deep Learning-Based Community Detection in Complex Networks with Network Partitioning and Reduction of Trainable Parameters. J. Ambient. Intell. Humaniz. Comput. 2020, 12, 2527–2545. [Google Scholar] [CrossRef]
- Srikrishna, M.; Ashton, N.J.; Moscoso, A.; Pereira, J.B.; Heckemann, R.A.; van Westen, D.; Volpe, G.; Simrén, J.; Zettergren, A.; Kern, S.; et al. CT-Based Volumetric Measures Obtained Through Deep Learning: Association with Biomarkers of Neurodegeneration. Alzheimer’s Dement. 2024, 20, 629–640. [Google Scholar] [CrossRef] [PubMed]
- Srikrishna, M.; Pereira, J.B.; Heckemann, R.A.; Volpe, G.; van Westen, D.; Zettergren, A.; Kern, S.; Wahlund, L.O.; Westman, E.; Skoog, I.; et al. Deep Learning from MRI-Derived Labels Enables Automatic Brain Tissue Classification on Human Brain CT. NeuroImage 2021, 244, 118606. [Google Scholar] [CrossRef] [PubMed]
- Al-Andoli, M.N.; Tan, S.C.; Sim, K.S.; Lim, C.P.; Goh, P.Y. Parallel Deep Learning with a Hybrid BP-PSO Framework for Feature Extraction and Malware Classification. Appl. Soft Comput. 2022, 131, 109756. [Google Scholar] [CrossRef]
- Shukla, A.; Upadhyay, S.; Bachan, P.R.; Bera, U.N.; Kshirsagar, R.; Nathani, N. Dynamic Explainability in AI for Neurological Disorders: An Adaptive Model for Transparent Decision-Making in Alzheimer’s Disease Diagnosis. In Proceedings of the 2024 IEEE 13th International Conference on Communication Systems and Network Technologies (CSNT), Jabalpur, India, 6–7 April 2024. [Google Scholar] [CrossRef]
- Mahim, S.M.; Ali, M.S.; Hasan, M.O.; Nafi, A.A.N.; Sadat, A.; Hasan, S.A.; Shareef, B.; Ahsan, M.M.; Islam, M.K.; Miah, M.S.; et al. Unlocking the Potential of XAI for Improved Alzheimer’s Disease Detection and Classification Using a ViT-GRU Model. IEEE Access 2024, 12, 8390–8412. [Google Scholar] [CrossRef]
- Deshmukh, A.; Kallivalappil, N.; D’souza, K.; Kadam, C. AL-XAI-MERS: Unveiling Alzheimer’s Mysteries with Explainable AI. In Proceedings of the 2024 Second International Conference on Emerging Trends in Information Technology and Engineering (ICETITE), Vellore, India, 22–23 February 2024. [Google Scholar] [CrossRef]
- Jain, V.; Nankar, O.; Jerrish, D.J.; Gite, S.; Patil, S.; Kotecha, K. A Novel AI-Based System for Detection and Severity Prediction of Dementia Using MRI. IEEE Access 2021, 9, 154324–154346. [Google Scholar] [CrossRef]
- Guo, M.H.; Lu, C.Z.; Liu, Z.N.; Cheng, M.M.; Hu, S.M. Visual Attention Network. Comput. Vis. Media 2023, 9, 733–752. [Google Scholar] [CrossRef]
- Zhu, W.; Sun, L.; Huang, J.; Han, L.; Zhang, D. Dual Attention Multi-Instance Deep Learning for Alzheimer’s Disease Diagnosis With Structural MRI. IEEE Trans. Med. Imaging 2021, 40, 2354–2366. [Google Scholar] [CrossRef]
- Illakiya, T.; Ramamurthy, K.; Siddharth, M.V.; Mishra, R.; Udainiya, A. AHANet: Adaptive Hybrid Attention Network for Alzheimer’s Disease Classification Using Brain Magnetic Resonance Imaging. Bioengineering 2023, 10, 714. [Google Scholar] [CrossRef]
- Nguyen, M.; He, T.; An, L.; Alexander, D.C.; Feng, J.; Yeo, B.T. Predicting Alzheimer’s Disease Progression Using Deep Recurrent Neural Networks. NeuroImage 2020, 222, 117203. [Google Scholar] [CrossRef]
- Fujita, K.; Katsuki, M.; Takasu, A.; Kitajima, A.; Shimazu, T.; Maruki, Y. Development of an Artificial Intelligence-Based Diagnostic Model for Alzheimer’s Disease. Aging Med. 2022, 5, 167–173. [Google Scholar] [CrossRef]
- Ganaie, M.; Hu, M.; Malik, A.; Tanveer, M.; Suganthan, P. Ensemble Deep Learning: A Review. Eng. Appl. Artif. Intell. 2022, 115, 105151. [Google Scholar] [CrossRef]
- Zhang, Y.; Liu, T.; Lanfranchi, V.; Yang, P. Explainable Tensor Multi-Task Ensemble Learning Based on Brain Structure Variation for Alzheimer’s Disease Dynamic Prediction. IEEE J. Transl. Eng. Health Med. 2023, 11, 1–12. [Google Scholar] [CrossRef] [PubMed]
- Kamal, M.S.; Chowdhury, L.; Nimmy, S.F.; Rafi, T.H.H.; Chae, D.K. An Interpretable Framework for Identifying Cerebral Microbleeds and Alzheimer’s Disease Severity Using Multimodal Data. In Proceedings of the 2023 45th Annual International Conference of the IEEE Engineering in Medicine & Biology Society (EMBC), Sydney, Australia, 24–27 July 2023. [Google Scholar] [CrossRef]
- Xu, X.; Yan, X. A Convenient and Reliable Multi-Class Classification Model Based on Explainable Artificial Intelligence for Alzheimer’s Disease. In Proceedings of the 2022 IEEE International Conference on Advances in Electrical Engineering and Computer Applications (AEECA), Dalian, China, 20–21 August 2022. [Google Scholar] [CrossRef]
- Zhao, X.; Ang, C.K.E.; Acharya, U.R.; Cheong, K.H. Application of Artificial Intelligence Techniques for the Detection of Alzheimer’s Disease Using Structural MRI Images. Biocybern. Biomed. Eng. 2021, 41, 456–473. [Google Scholar] [CrossRef]
- González-Alday, R.; García-Cuesta, E.; Kulikowski, C.A.; Maojo, V. A Scoping Review on the Progress, Applicability, and Future of Explainable Artificial Intelligence in Medicine. Appl. Sci. 2023, 13, 778. [Google Scholar] [CrossRef]
- Al-Andoli, M.N.; Tan, S.C.; Cheah, W.P. Distributed Parallel Deep Learning with a Hybrid Backpropagation-Particle Swarm Optimization for Community Detection in Large Complex Networks. Inf. Sci. 2022, 600, 94–117. [Google Scholar] [CrossRef]




| AD | Alzheimer’s Disease |
| AI | Artificial Intelligence |
| XAI | Explainable Artificial Intelligence |
| SVM | Support Vector Machine |
| RF | Random Forest |
| CNN | Convolutional Neural Network |
| ML | Machine Learning |
| DL | Deep Learning |
| SHAP | SHapley Additive exPlanations |
| LIME | Local Interpretable Model-Agnostic Explanations |
| Grad-CAM | Gradient-weighted Class Activation Mapping |
| LAVA | Granular Neuron-level Explainer |
| PDA | Pixel Density Analysis |
| PGM | Probabilistic Graphical Model |
| MRI | Magnetic Resonance Imaging |
| CT | Cortical Thickness |
| DT | Decision Tree |
| XGB | Extreme Gradient Boosting |
| ADNI | Alzheimer’s Disease Neuroimaging Initiative |
| OASIS | Open Access Series of Imaging Studies |
| MCI | Mild Cognitive Impairment |
| DPE | Deep Parallel Ensembles |
| KNN | K-Nearest Neighbors |
| HC | Healthy Control |
| DSM-5 | Diagnostic and Statistical Manual of Mental Disorders, 5th Edition |
| Author | Dataset | Data Type | Models Used | Explanation (Model-Agnostic) | Explanation (Model-Specific) | Highest Accuracy |
|---|---|---|---|---|---|---|
| [16] | Participants | Facial images | Xception, SENet50, ResNet50, VGG16, simple CNN | - | Keras, TensorFlow | 92.56% |
| [30] | UK Biobank | Fundus image | CNN | LAVA | - | 71.4% |
| [45] | ADNI | MRI | SVM, RF, ETC, XGB, and MLP | - | - | 86.57% |
| [13] | ADNI | MRI | VGG16 | non | non | 98.17% |
| [25] | OASIS | Clinical data, MRI | RF, LR, DT, MLP, KNN, GB, AdaB, SVM, and NB | SHAP | DT | 98.81% |
| [50] | Participants | DTI | SVM, logistic regression, CNN, and XGB | non | non | 82.35% |
| [24] | ADNI | MRI | DT, CNNs, and RF | - | DT | 91% |
| [26] | ADNI | sMRI | ResNet-based 3D, CNN | Score-CAM | - | 89.02% |
| [14] | Kaggle, OASIS | MRI | KNN, SVM, and CNN | SHAP | - | 99.9% |
| [15] | Kaggle | MRI | CNN | Grad-CAM | - | 93.82% |
| [28] | Kaggle | MRI | Resnet50, VGG16 and Inception v3 | LIME | - | 86.82% |
| [29] | Kaggle, UNBC | MRI | DenseNet, GoogLeNet, ResNet18, EfficientNet, and RegNet | Grad-CAM | - | 88.4% |
| [27] | OASIS-3 | MRI | CNN | SHAP | - | 89% |
| [10] | ADNI | fMRI | CNN, DT and a KNN | non | DT | 98% |
| [37] | OASIS | MRI | DT, RF, and AdaBoost | - | DT | 86.84% |
| References | Model Used | Limitations | Advantages |
|---|---|---|---|
| [10,14,15,16,26,27,30,50] | CNN | Insufficient Explanation | Achieved high accuracy in extracting key features from MRI. |
| [14,25,45,50] | SVM | Insufficient Explanation | Demonstrated strong performance in handling high-dimensional data with smaller sample sizes. |
| [5] | RNNs | Insufficient Explanation | Effectively captured temporal dependencies, improving prediction reliability. |
| [16,28] | ResNet50 | Insufficient Explanation | Allowed deeper architecture while avoiding vanishing gradient issues. |
| [16] | Xception | Insufficient Explanation | Efficiently captured complex spatial features from MRI data. |
| [16] | SENet50 | Insufficient Explanation | Enhanced the detection accuracy through channel-wise attention mechanisms in the articles. |
| [24,25,37,45] | RF | Insufficient Explanation | Robust against overfitting. |
| [10,24,25,37] | DT | Insufficient Explanation | Capable of capturing non-linear relationships between features relevant to Alzheimer’s progression. |
| [10,14,25] | KNN | Insufficient Explanation | Adaptability in both classification and regression tasks. |
| [45,50,63] | XGB | Insufficient Explanation | Showed superior predictive performance through boosting. |
| [13,16,28] | VGG16 | Insufficient Explanation | Provided consistent feature extraction for hierarchical image structures in MRI analysis. |
| [25,37] | AdaBoost | Insufficient Explanation | Improved prediction accuracy by combining multiple classifiers. |
Disclaimer/Publisher’s Note: The statements, opinions and data contained in all publications are solely those of the individual author(s) and contributor(s) and not of MDPI and/or the editor(s). MDPI and/or the editor(s) disclaim responsibility for any injury to people or property resulting from any ideas, methods, instructions or products referred to in the content. |
© 2024 by the authors. Licensee MDPI, Basel, Switzerland. This article is an open access article distributed under the terms and conditions of the Creative Commons Attribution (CC BY) license (https://creativecommons.org/licenses/by/4.0/).
Share and Cite
Hasan Saif, F.; Al-Andoli, M.N.; Bejuri, W.M.Y.W. Explainable AI for Alzheimer Detection: A Review of Current Methods and Applications. Appl. Sci. 2024, 14, 10121. https://doi.org/10.3390/app142210121
Hasan Saif F, Al-Andoli MN, Bejuri WMYW. Explainable AI for Alzheimer Detection: A Review of Current Methods and Applications. Applied Sciences. 2024; 14(22):10121. https://doi.org/10.3390/app142210121
Chicago/Turabian StyleHasan Saif, Fatima, Mohamed Nasser Al-Andoli, and Wan Mohd Yaakob Wan Bejuri. 2024. "Explainable AI for Alzheimer Detection: A Review of Current Methods and Applications" Applied Sciences 14, no. 22: 10121. https://doi.org/10.3390/app142210121
APA StyleHasan Saif, F., Al-Andoli, M. N., & Bejuri, W. M. Y. W. (2024). Explainable AI for Alzheimer Detection: A Review of Current Methods and Applications. Applied Sciences, 14(22), 10121. https://doi.org/10.3390/app142210121

