Abstract
Much of the fascination surrounding Egyptian civilization is linked to the practice of mummification. In fact, to ensure the preservation of the body, the ancient Egyptians mummified both human and animal subjects. However, mummified animal remains are less well studied, although they represent a significant part of the material culture and history of ancient Egypt. The introduction of non-invasive imaging methods has allowed researchers to study the material hidden within the wrappings of mummies. In this article, the cat mummy currently exhibited at the Museo Etnologico Missionario di San Francesco di Fiesole (Florence, Italy), originating from Luxor and legally acquired during an expedition in the 20th century, was analyzed using computed tomography (CT). The CT enabled the identification of the casing content, showing the presence of an entire cat skeleton. The cat had several fractures, some of which were identified in the cervical region, possibly related to the cause of death. Furthermore, the zooarcheological analysis allowed the identification of the age at death of the cat, providing further information about the story of the mummy. This research provides a further contribution to the analysis of mummies, with a case study of a cat mummy that emphasizes the importance of CT scans in humanistic studies and museum environments.
1. Introduction
The practice of preserving a body as a mummy is widespread across the globe and throughout time. Many civilizations have practiced some type of mummification, using different methods and rituals [1].
Incan, Australian Aboriginal, Aztec, African, ancient European, and other civilizations used specific procedures, but some mummies formed by accident, due to extreme heat or to the presence of geological stores of chemicals, which caused a natural process of mummification. Rapid heat drying has been the most common method of mummification, but permanent freezing can also produce a mummy [1].
Each culture had its own reason for preserving their dead; artificial mummification was a practical response to the desire to preserve the corpse for all eternity and is part of the metamorphosis from a secular to a sacred being [2,3], but recently it is believed to have been intended to direct the deceased towards divinity [4].
The mummification process is primarily understood through the writings of ancient authors, which, despite their limited detail, provide valuable insights. Modern archeological and specialist research continues to expand and deepen knowledge of this ancient practice.
Mummification offers an extraordinary insight into the life and living of people who lived centuries ago. Every mummy provides clues on its age, health, cause of death, and lifestyle, but also on the beliefs of past civilizations from an anthropological–cultural point of view.
The primary objective of this study is to present the detailed findings from the computed tomography (CT) scan conducted on an Egyptian cat mummy, currently housed at the Museo Etnologico Missionario di San Francesco di Fiesole, Florence, Italy. This non-invasive imaging method allowed for a comprehensive exploration of the anatomical features concealed within the mummy’s wrappings, providing key insights into the cat’s physical condition at the time of its mummification. The analysis focused on bioarcheological parameters such as the age at death of the cat, which was determined through the examination of its skeletal development and the identification of pathological conditions like fractures or other skeletal anomalies.
Additionally, the study aimed to shed light on the preservation state of the cat skeleton and investigate the potential cause of death, with particular attention to its cervical fractures. By leveraging the precision of CT technology, this research enhances our ability to analyze mummies non-invasively, underscoring the importance of such techniques in museum conservation and bioarcheological research, while adding valuable knowledge to the underexplored field of animal mummification.
2. Egyptian Mummification
Ancient Egyptians are perhaps the best-known mummy-makers, thanks to the wealth of available sources and the charm of Egyptian culture, which has always increased studies; the current development of imaging and AI techniques now make it possible to also study Egyptian mummies without being invasive or destroying the outer casings [5].
Ancient Egyptians believed that the preservation of a dead body from decay contributed to the well-being of the soul throughout eternity [6].
A limited amount of information concerning the mechanics of the process has been handed down through Classical authors. The process of mummification started more than 4500 years ago [7]. The basic principle was to achieve dehydration in order to avoid putrefaction, which is responsible for the progression of decomposition [8]. Mummification was not only used to preserve humans, but also animals [9]. Animal mummies fall into many different categories: pets, food, sacred, votive, and ‘other’ [9,10]. The ancient Egyptians believed that different animals were associated with specific deities and could either be worshiped as manifestations of a deity or given as votive offerings [9,11,12].
Cats, in particular, were worshiped and sacrificed to the feline goddess Bastet, who was the symbol of beauty, fertility, and love and a fierce protector of women and children [13]. Therefore, cats were sacrificed and presented as mummies to Bastet to gain her support for eternity. Archeological evidence points to the use of both wild and domestic forms of Felis silvestris, Schreber, 1777, as well as of the jungle cat (Felis chaus, Schreber, 1777) for mummies [14,15]. In addition, the presence of the sand cat, Felis margarita, Loche, 1858, cannot be excluded in Egypt, even if it is rare in the area and has not been identified when large samples of cat remains have been investigated (e.g., [16]).
One of the earliest methods to study mummies was autopsy, unwrapping or cutting through the bandages to reveal the hidden contents [17]. While informative, this was destructive. While radiography was employed on mummies at the outset of its inception, the cost and difficulties involved made it a rarity [18]. Currently, medical imaging such as radiography and computed tomography (CT) have transformed the methods of the analysis of Egyptian mummies [11,19,20,21,22,23,24]. Alongside these lines of research, the applications of CT imaging to the study of zooarcheological remains has improved methodologically in the past years, building solid protocols to gain as much information as possible from ancient skeletal remains in a non-destructive way [25,26,27,28,29,30,31,32,33].
The first CTs of animal mummies were performed around 1987 [20,34,35], and one of the most ardent supporters of this method was Falke and his colleagues [20]. They used CT imaging to reveal a mummified cat within a sarcophagus. This technology allowed them to identify the bones and to conduct an in-depth analysis of both the cat mummy and its container. Subsequent research has continued to demonstrate the importance of using non-destructive methods to analyze mummy bundles [19,34,35].
CT is useful not only for species identification but also for the identification of fractures, the internal collapse of skulls, age-related skeletal markers, dentition, amulets, bandage layers, and resins used for mummification. Furthermore, it is also a crucial tool for distinguishing between real mummies and pseudo or ‘false’ mummies, where the content is different from their external appearance [9,10,24,36].
There is no doubt that CT technology has significantly advanced mummy research, allowing for deeper insights while preserving these valuable artifacts [11,19,34,35,37].
3. Materials and Methods
3.1. The Cat Mummy
The Museo Etnologico Missionario di San Francesco di Fiesole, located in Florence, Italy, is housed within the convent of San Francesco, situated on the site of the ancient Etruscan acropolis that later became Roman Faesulae. The museum’s collection began with Etrusco-Roman artifacts discovered in early 20th century excavations around the convent. The formal establishment of the museum is credited to Father Ambrogio Ridolfi, who, in 1920, initiated the collection of diverse artifacts from global Franciscan missions. The museum’s Egyptian collection includes approximately 240 items acquired between 1923 and 1929, notably from Thebes, with contributions from the excavations in 1914 at Gebelein and Aswan, in Upper Egypt, from the prominent Egyptologist Ernesto Schiaparelli.
Among the highlights of the museum’s Egyptian collection is the cat mummy (catalog number: 09/00274967; inventory number: 186). The mummy lacks any feature indicating a possible chronological range (e.g., peculiar wrapping style, painted markings) and was laterally fixed on a wooden stand with a screw. It measures 38 cm in length and 10.3 cm in width. This mummy exemplifies the ancient Egyptian practice of animal mummification [7,8,9].
According to the museum’s records, the cat mummy was discovered by Ernesto Schiaparelli in the early 20th century in Thebes, an ancient Egyptian city known for its necropolis and religious importance. This find was part of a larger effort to collect religious and cultural artifacts, many of which, including the mummy, were later brought to Italy and donated to the museum.
The mummy arrived in Italy in 1923, and since then it has been preserved and exhibited at the museum, which specializes in showcasing objects tied to missionary activities and non-European cultures. This particular mummy provides insight into the ritualistic and symbolic significance of animal preservation in ancient Egypt (Figure 1).
Figure 1.
The cat mummy currently exhibited at the Museo Etnologico Missionario di San Francesco di Fiesole (Florence, Italy), measuring 38 cm in length and 10.3 cm in width.
3.2. CT Scanning
Given the mummy’s fragility and cultural importance, invasive methods like unwrapping were ruled out to protect its structural integrity. Instead, a non-invasive approach using a Siemens SOMATOM go. Top CT scanner was chosen to examine the mummy’s internal composition without causing any physical damage. This technique is particularly effective for mummy research, offering detailed insights into the internal morphology and condition of the specimen while preserving its conservation status.
The scanning process started with the acquisition of a topogram to precisely determine the positioning of the specimen, serving as a guide for the subsequent detailed imaging. Then, a high-resolution helical scan was conducted with a 1 mm slice thickness, with a spiral pitch factor of 0.8, using a peak tube voltage of 70 kVp and a tube current of 58 mA, along with a Br64f/3 convolution kernel, which captured comprehensive data on the internal structures of the mummy.
The CT scanner generated a DICOM-format dataset comprising 512 × 512 pixel 2D slice images, providing a detailed visualization of both the skeletal and soft tissue components. These images facilitated an in-depth investigation of the mummy’s internal structures. Parallel orthogonal slices resulting from the CT scanning were used to build a 3D model using AVIZO 3D Pro 2022 software (Thermo Fisher Scientific Inc., Waltham, MA, USA), enabling further elaborations. A semi-automatic threshold-based segmentation was used to separate some of the bones from the bandages and soft tissues [38,39,40]. Measurements were recorded using AVIZO software on 3D models of the bones following von den Driesch (1979) [41]. The sagittal reconstruction (Figure 2a) clearly outlines the skeletal features, offering a non-invasive approach to assess the preservation of the bones and detect any potential anomalies or pathological conditions. Additionally, the three-dimensional volume-rendered (VR) model (Figure 2b) offers a comprehensive reconstruction of the mummy, enabling the examination of the wrapping patterns and the identification of any artifacts placed inside during the mummification process. The age at death was established considering the epiphyseal fusion and teeth’s eruption, following available data in the literature [42,43,44,45].
Figure 2.
(a) CT scan (MRP sagittal reconstruction) and (b) three-dimensional reconstructed model of the cat mummy.
These high-resolution CT images prove invaluable for studying the preservation techniques utilized by ancient Egyptian embalmers. They not only provide insight into the materials and methods used but also allow comparisons with other animal mummies from similar time periods and regions. This enriches our understanding of the role animals played in ancient Egyptian religious and burial practices.
4. Results
The CT data reveal a complete skeleton of the cat (Figure 2a). Like most other case studies [15,46,47,48], the mummified cat is in a sitting position: its forelimbs are stretched out along its body, while its hind limbs are flexed and pushed in toward its belly. Lastly, the tail is folded between its hind and fore legs, lying along the belly.
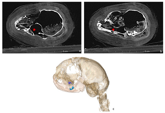
The scans revealed unerupted permanent teeth within both the mandible and maxilla (Figure 3). The canines shown in the figure are deciduous, and the permanent teeth have yet to erupt. In the maxilla, the fourth premolar remains unerupted (Figure 3a), while in the mandible, the first molar is still inside its chamber (Figure 3b). This helps in establishing the age at death.
Figure 3.
Axial CT scan of the cat’s dentition. (a) The unerupted fourth premolar in the maxilla is indicated by a red arrow. (b) The molar in the mandible remains enclosed within its chamber (red arrow). (c) 3D rendering of the skull and mandibles with the gems of the upper fourth premolar (in purple) and lower first molar (in blue) still in the alveoli.
In the hind legs, the femurs’ distal epiphyses were unfused, as were the proximal epiphyses of the tibiae, which appeared to be unfused, with the line between the epiphyses and the shafts being very clear (Figure 4b–e). The proximal epiphysis of the humerus, the ulna, and the distal radius were also not fully developed (Figure 4d,f,g). These provide further evidence of the animal’s age. The epiphyseal status is reported in Table 1.
Figure 4.
(a) The figure presents a coronal view of the right side of the cat’s skeleton. (b) Zooming into the red panel of Figure 4a, it shows the unfused distal epiphysis of the right femur and the proximal epiphysis of the right tibia. (c) Similarly, in the yellow panel, the right proximal ulna physis is open (red arrow). (d) A coronal view of the cat skeleton (left side). (e) Zooming in on the red panel from Figure 4d, this image highlights the unfused distal femoral and proximal tibial epiphyses with a red arrow. (f) Further enlargement (orange panel) within the figure focuses on the incomplete distal epiphysis of the radius. (g) The proximal epiphysis of the right humerus is completely separated.
Table 1.
Status (fused/unfused) of the main ossification centers. Abbreviations and symbols: p.: proximal; d.: distal; +: registered data; −: unclear data.
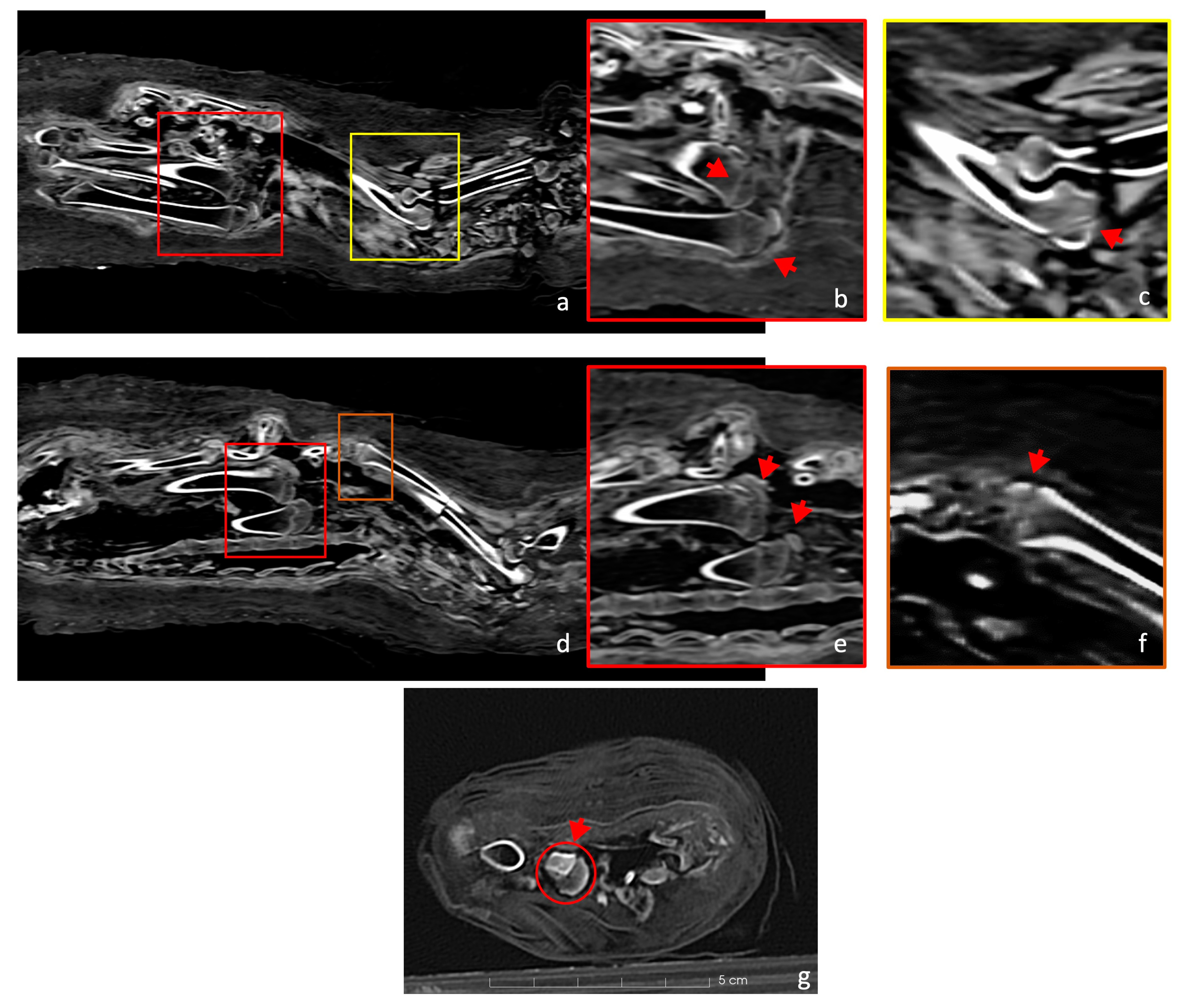
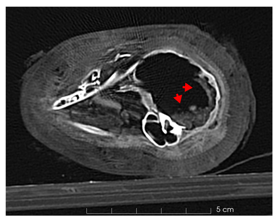
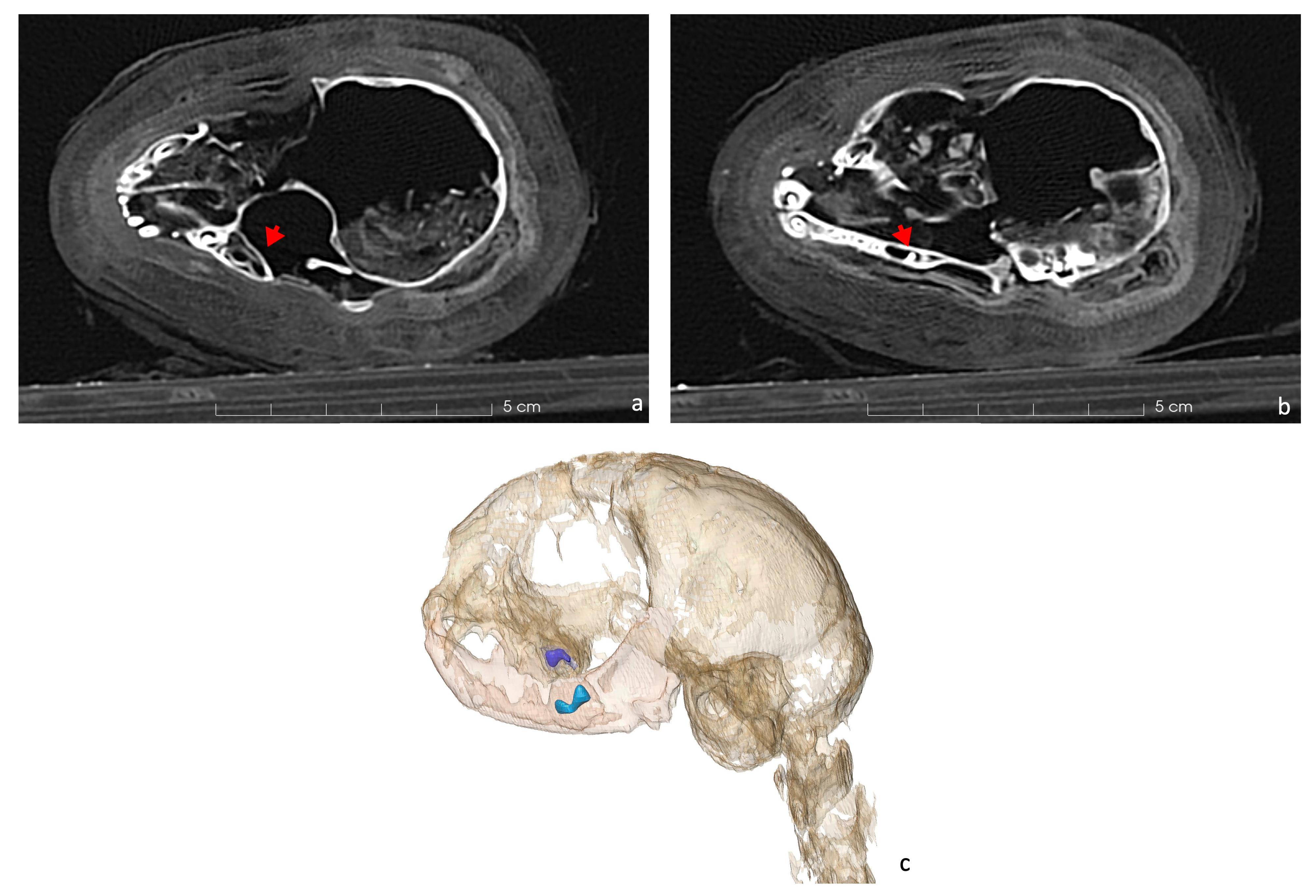
Deeper analyses revealed several bone fractures. The cranial region showed a significant fracture. The sides of the foramen magnum and the first cervical vertebra appeared discontinuous and damaged; additionally, the atlas had a clear fracture in the ventral side, where the arch of the vertebra is separated from the rest of it (Figure 5a,b).
Figure 5.
The head of the cat mummy. (a) Axial CT of the foramen magnum depicts a discontinuity of the occipital bone compatible with the fracture of the atlas (b), where the ventral arch is separated from the rest of the body (red arrow, axial CT scan). (c) Axial CT scan of the foramen in the occipital bone (2 mm). (d) 3D rendering of the skull with the foramen.
Furthermore, the occipital bone of the cat’s skull featured a centrally located posterior rounded foramen measuring 2 mm in diameter (Figure 5c).
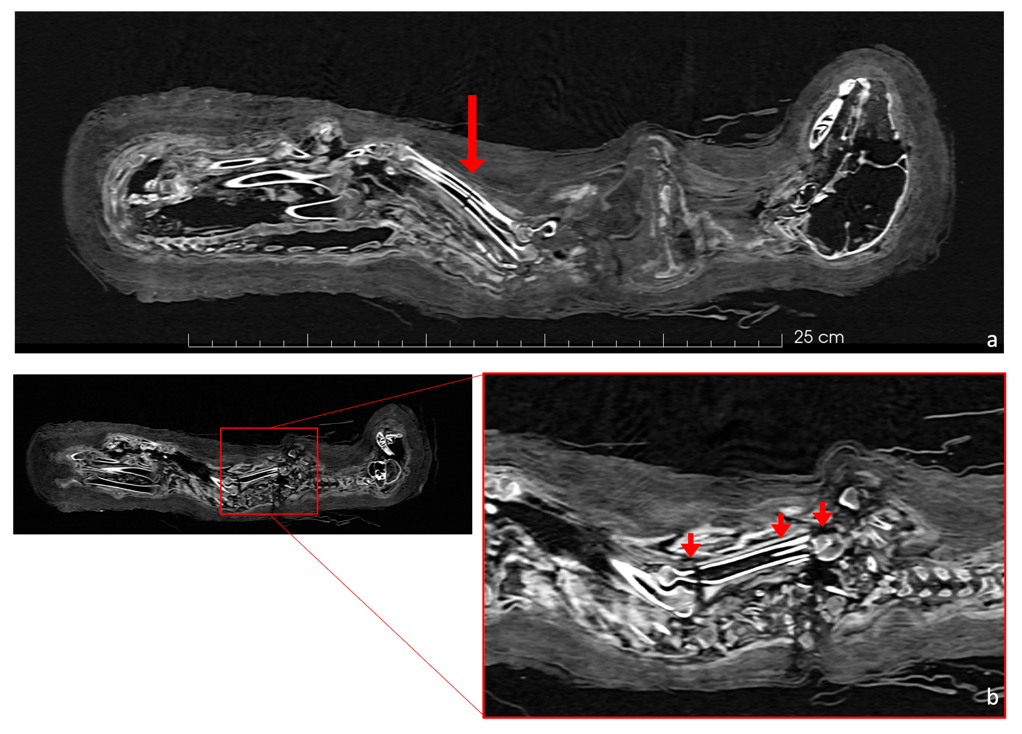
Several significant fractures were present in the postcranial skeleton. The forelimbs were damaged; the left humerus had a dislocation in the proximal epiphysis, the left ulna and radius showed a break in the middle of the diaphysis (Figure 6a), and the right humerus had three separate fractures: a dislocation in the proximal diaphysis, a detachment of a shrapnel fragment that moved into the medullary cavity, and a separation of the distal part of the bone (Figure 6b).
Figure 6.
Coronal view of specific fractures in the cat skeleton. (a) The red arrow indicates the fractures of the left ulna and left radius (left side). (b) Three fractures of the humerus are marked by red arrows: (from left to right) a fracture of the distal epiphysis; the presence of a shrapnel fragment in the humerus; and a 90-degree dislocation and rotation of the proximal head.
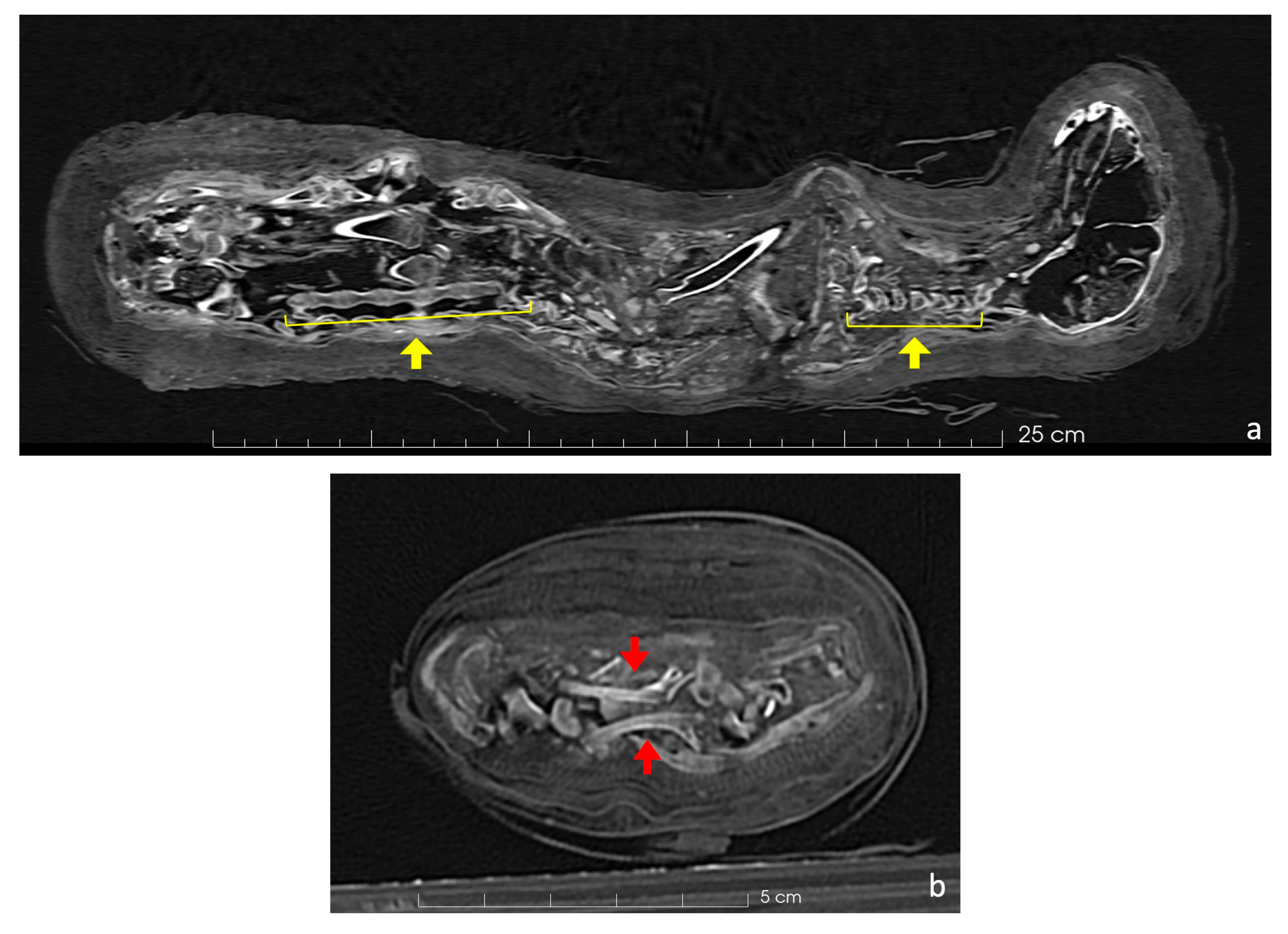
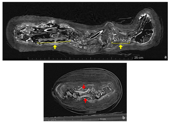
The central part of the body was severely damaged, with all the ribs and several vertebrae displaced from their normal positions. The last cervical vertebra (C7) and the thoracic vertebrae were completely fragmented, while the remaining cervical, lumbar, and caudal vertebrae had experienced less damage and remained in their correct positions (Figure 7a). The first ribs were visible and showed minimal fracturing, even though they appeared rotated by 180 degrees (Figure 7b), contrarily to the other ribs, which were extensively damaged.
Figure 7.
In the coronal view (a), the skeleton shows the cervical and lumbar vertebrae correctly positioned (highlighted by yellow arrows). However, the thoracic vertebrae are severely dislocated and fragmented. In the axial CT scan (b), attention is drawn to two first ribs that are rotated 180 degrees from their normal position (highlighted by red arrows).
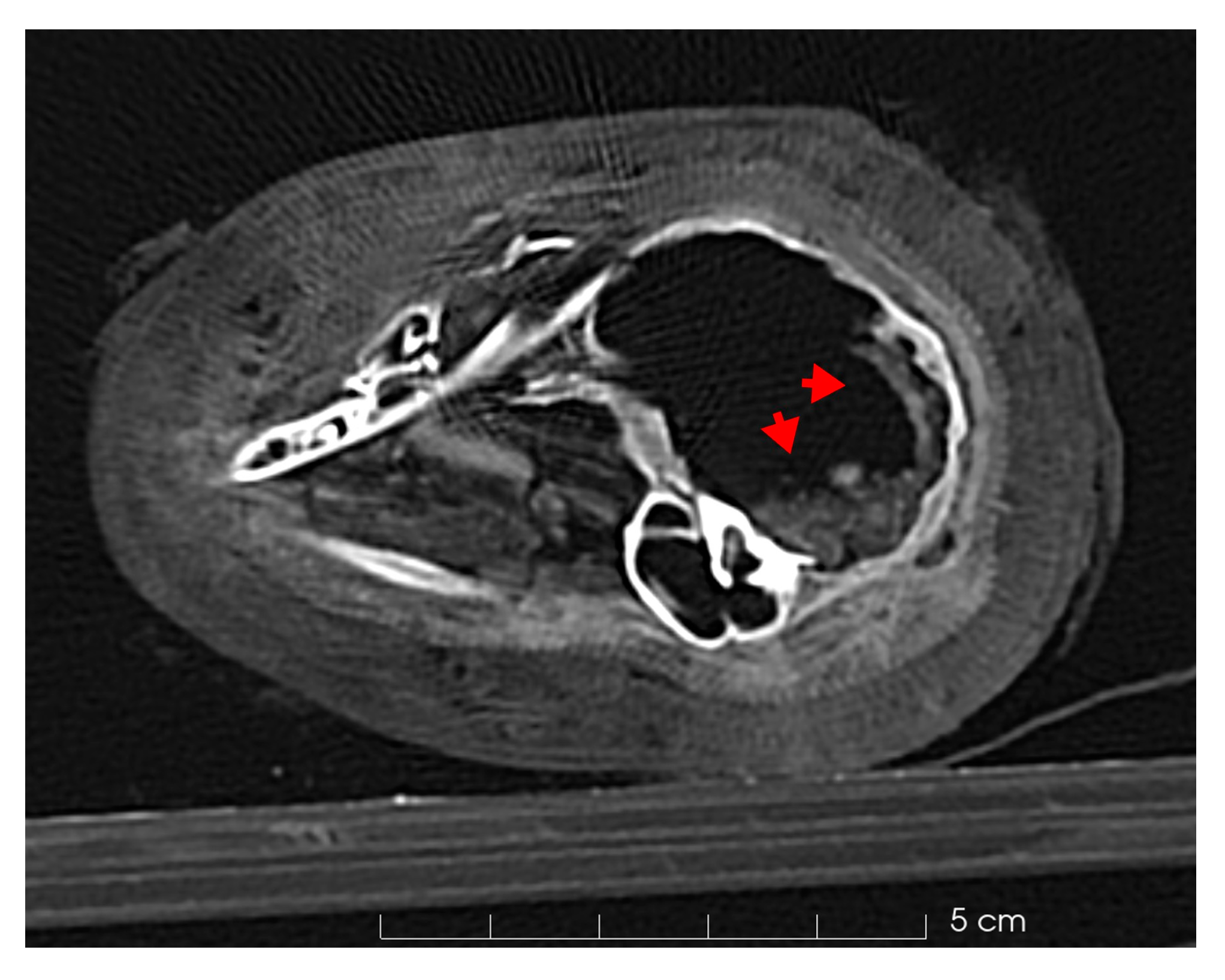
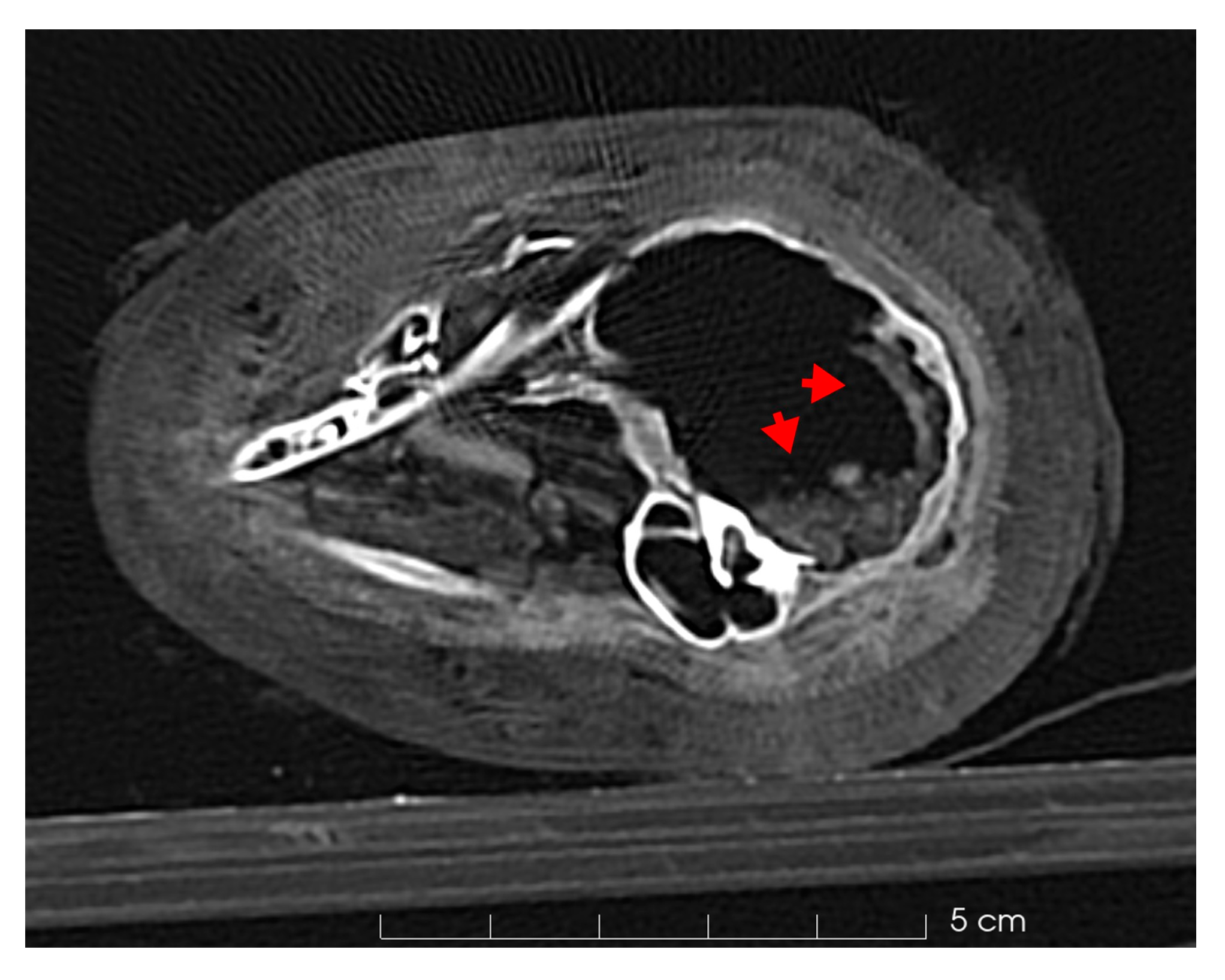
Moreover, the CT scans indicated the presence of materials within the cranium, resembling small bone fragments and the remnants of brain tissue (Figure 8).
Figure 8.
Axial CT scan reveals the evidence of possible brain tissue and tiny bone fragments inside the skull, which are lying on the left side of the mummy (red arrow).
The 3D model generated from the CT scan data provides a detailed reconstruction of both the external and internal shapes of the cat mummy. Using the open-source software Slicer 3D v.5.6.2 (https://www.slicer.org/ accessed on 28 October 2024), two distinct volume reconstructions were created from the DICOM data: one representing external shape of the mummy and another detailing the internal structure. This model, illustrated in Figure 9, offers valuable insights into the preservation techniques and anatomical details of the cat mummy.
Figure 9.
Volume reconstructions of the cat mummy obtained from CT scan data using Slicer 3D software (v. 5.6.2). (a) External volume rendering showing the detailed preservation of the mummy’s wrappings. (b) Internal volume rendering revealing the arrangement within, including the complete skeleton of the cat mummy.
5. Discussion
Research on ancient Egyptian mummies has been significantly aided by technological advances in imaging, particularly CT. Our research provides a case study of a cat mummy from Thebes to add to the extant literature concerning animal mummies and radiological investigations [11,12,19,23,34,36,37,48,49].
The scans show that the distal epiphyses of the femurs were unfused, as were the proximal epiphyses of the tibiae (Figure 8). Regarding the forelimbs, the proximal epiphyses of the right humerus and the right ulna were unfused, as well as the distal epiphysis of the right radius. All these findings are an indicator of an immature individual [42,43]. The young age is a problem for its taxonomic identification, as the diagnostic skeletal features are not fully developed and biometry is limited to certain skeletal elements. The distal breadth of the humerus (Bd, following von den Driesch, 1979) is 15.8 mm. The humerus was chosen as the distal epiphyses was already fully ossified. Even if a possible slight further growth of the bone cannot be excluded, the size is in line with the variation of Felis silvestris and looks to be too small for the jungle cat Felis chaus [14]. The size overlaps with that of the sand cat Felis margarita [14], but this species is considered to be much rarer and looks to be uncommon in the zooarcheological record in Egypt [16]. If we hypothesize the attribution to Felis silvestris, common amongst votive mummies [47,48], the individual was almost certainly younger than 9 months [43,44]. Furthermore, the dentition was still composed of deciduous teeth, while the permanent molars were unerupted (Figure 3b) and the fourth premolar of the maxilla was still within the chamber (Figure 3a). Since molars erupt at 5 or 6 months, and the eruption of permanent premolars occurs between 4 and 6 months [45], it is possible to hypothesize that the animal was probably less than about 5 months old at death. This age is very common among cat mummies, as other mummies prove [47,48,50].
Previous research on mummified cats has shown that a common method to sacrifice young cats was to break their necks by twisting them or hitting them on their head [46,48,51]. These procedures left prominent marks near the cervical vertebrae and occipital portion of the skull [48]. Based on a comparison between our cat mummy and cases reported in the literature [19,46,48], it is feasible to conclude that the death may be attributed to a neck dislocation with visible fractures, as shown in Figure 5a,b.
Additionally, the CT scans highlighted the presence of a perfectly rounded and symmetric foramen in the occipital bone (Figure 5c,d). Various hypotheses have been proposed regarding its origin, suggesting it may be related to a traumatic injury, such as a small perforation by a small tool, given its 2 mm dimension, or it could represent an anatomical feature of the skull that occasionally forms. However, the exact nature of this foramen cannot be definitively ascertained from the CT scan alone, as it requires more detailed analysis for a thorough understanding.
Most of the postcranial elements have evident fractures, such as those indicated in Figure 4. The breaks on the limb bones seem to have occurred post-mortem, unlike the fractures on the skull and vertebrae. For example, the proximal part of the humerus is separated and rotated by 90 degrees in relation to the bone’s diaphysis (Figure 6b). The manipulation, embalming process, and positioning of the skeleton may have compromised the structural integrity of the bones, as did its burial and subsequent transport, since there is no evidence for bone repair/growth.
An intriguing observation in the skull is the presence of various materials within the cranial cavity. There are tiny bone fragments, probably originating from the cribriform plate and the medial wall of the right orbit, which could be a consequence of the desiccation process, which could have compromised their structural integrity and made them highly fragile, causing them to break with minimal handling. Additionally, the possible remnants of brain tissue are observed, located on the left side of the temporal and occipital bone regions (refer to Figure 8). Several studies have reported the appearance of brain residues inside animal skulls due to the dehydration caused by the mummification process [36,52]. Although this could be a possible explanation for the presence of this material, further analysis is needed to clarify the issue.
6. Conclusions
This study has demonstrated the value of non-invasive imaging techniques, specifically computed tomography (CT), in providing detailed insights into the physical and pathological conditions of mummified remains, with a focus on an Egyptian cat mummy from the Museo Etnologico Missionario di San Francesco di Fiesole. By utilizing CT, we were able to assess the internal structure of the mummy, revealing the critical anatomical features, age at death, and evidence of fractures that may indicate the cause of death. These findings contribute significantly to our understanding of the role and treatment of animals in ancient Egyptian society, particularly in religious and votive practices.
The application of CT allowed for a thorough analysis without compromising the integrity of the mummy, demonstrating that such non-invasive techniques are crucial for preserving cultural heritage while advancing scientific knowledge. The identification of the age at death through dental and skeletal markers, as well as the detection of pathological conditions like cervical fractures, highlights the importance of radiological methods in bioarcheological research. Furthermore, this case study exemplifies the broader potential for CT scans to uncover valuable data from mummified animal remains, providing insights into ancient preservation techniques, burial customs, and the religious significance of animals in ancient Egypt.
Future studies could build on this work by employing additional analytical techniques such as isotope analysis or molecular biology tools to further investigate the life history and environmental conditions of the mummified animal. Additionally, cross-comparative studies with other animal mummies could enhance our understanding of regional variations in mummification practices.
In conclusion, this research emphasizes the importance of interdisciplinary collaboration between Egyptologists, radiologists, and bioarcheologists in the study of mummified remains. The use of advanced imaging technologies like CT not only preserves the integrity of ancient artifacts but also enhances our ability to explore their historical and cultural significance. This case study of the cat mummy serves as a model for future investigations into animal mummification, contributing to the growing body of literature on ancient Egyptian funerary practices and the role of animals in their spiritual life.
Author Contributions
Conceptualization, A.B. (Andrea Barucci) and M.A.; methodology, A.B. (Andrea Barucci), C.P., F.B., M.A. and S.I.; software, A.B. (Andrea Barucci), A.B. (Andrea Baucon), C.P., F.B. and M.A.; validation, C.C., F.A. and S.I.; formal analysis, C.Z. and R.C.; investigation, M.A., S.I., C.P. and F.B.; resources, A.B. (Andrea Barucci) and V.F.; data curation, C.C. and F.A.; writing—original draft preparation, A.B. (Andrea Barucci), D.L., M.A. and S.I.; writing—review and editing, C.P., D.L., F.B., M.A. and S.I.; visualization, C.C. and F.A.; supervision, A.B. (Andrea Barucci) and A.B. (Andrea Baucon); project administration, A.B. (Andrea Barucci). All authors have read and agreed to the published version of the manuscript.
Funding
This research received no external funding.
Institutional Review Board Statement
Not applicable.
Informed Consent Statement
Not applicable.
Data Availability Statement
The data used and analyzed in the current study are available from the corresponding authors on reasonable request.
Acknowledgments
We acknowledge the support of Frate Maria Michele Pini and the Museo Etnologico Missionario di San Francesco di Fiesole (Florence, Italy), Michele Bueno, for “Soprintendenza Archeologia, Belle Arti e Paesaggio per la città metropolitana di Firenze e le province di Pistoia e Prato”, Sandra Fiore from CNR (Italy), and “Fondazione Santa Maria Nuova ETS” (Azienda USL Toscana Centro).
Conflicts of Interest
The authors declare no conflicts of interest.
References
- Pettigrew, T.J. A History of Egyptian Mummies: And an Account of the Worship and Embalming of the Sacred Animals by the Egyptians: With Remarks on the Funeral Ceremonies of Different Nations, and Observations on the Mummies of the Canary Islands, of the Ancient Peruvians, Burman Priests, etc.; Longman, Rees, Orme, Brown, Green, and Longman. 1834. Available online: https://wellcomecollection.org/works/x7py4ugc/items?canvas=116 (accessed on 27 October 2024).
- Ikram, S.; Dodson, A. The Mummy in Ancient Egypt; Equipping the Dead for Eternity: London, UK, 1998; pp. 210–215. [Google Scholar]
- Ikram, S. Death and Burial in Ancient Egypt; The American University in Cairo Press: Cairo, Egypt, 2015. [Google Scholar]
- Price, C.; Nicholson, P.; Chamberlain, A.; Forshaw, R. Mummies, Magic and Medicine in Ancient Egypt: Multidisciplinary Essays for Rosalie David; Manchester University Press: Manchester, UK, 2016. [Google Scholar]
- Buikstra, J.E.; Nystrom, K.C. History of Mummy Studies. In The Handbook of Mummy Studies: New Frontiers in Scientific and Cultural Perspectives; Springer: Berlin/Heidelberg, Germany, 2021; pp. 3–39. [Google Scholar]
- Ikram, S. Mummification. UCLA Encyclopedia of Egyptology, Version 1. 2010. Available online: https://escholarship.org/uc/item/0gn7x3ff (accessed on 27 October 2024).
- David, A.R. Egyptian Mummies and Modern Science; Cambridge University Press: Cambridge, UK, 2008. [Google Scholar]
- Gryglewski, R.W. Medical and religious aspects of mummification in Ancient Egypt. Organon 2002, 31, 128–148. [Google Scholar]
- Ikram, S. Divine Creatures: Animal Mummies in Ancient Egypt; Cairo: Online edn, Cairo Scholarship Online, 19 January 2012; American University in Cairo Press: Cairo, Egypt, 2005. [Google Scholar] [CrossRef]
- Ikram, S. Wrapping it Up: Animal Mummy Studies in 2022. In Animals in the Religion, Economy, and Daily Life of Ancient Egypt and the Middle Nile; Serie Egittologica No. 4; Pirelli, R., Pubblico, M.D., Ikram, S., Eds.; UniOr Press: Naples, Italy, 2023; pp. 225–234. [Google Scholar]
- McKnight, L.M.; Adams, J.E.; Chamberlain, A.; Atherton-Woolham, S.D.; Bibb, R. Application of clinical imaging and 3D printing to the identification of anomalies in an ancient Egyptian animal mummy. J. Archaeol. Sci. Rep. 2015, 3, 328–332. [Google Scholar] [CrossRef]
- McKnight, L.M.; Atherton-Woolham, S.D.; Adams, J.E. Imaging of Ancient Egyptian Animal Mummies. RadioGraphics 2015, 35, 2108–2120. [Google Scholar] [CrossRef]
- Zivie, A.; Lichtenberg, R. The Cats of the Goddess Bastet. In Divine Creatures: Animal Mummies in Ancient Egypt; Ikram, S., Ed.; American University in Cairo Press: Cairo, Egypt, 2005. [Google Scholar] [CrossRef]
- Van Neer, W.; Linseele, V.; Friedman, R.; De Cupere, B. More evidence for cat taming at the Predynastic elite cemetery of Hierakonpolis (Upper Egypt). J. Archaeol. Sci. 2014, 45, 103–111. [Google Scholar] [CrossRef]
- Ikram, S.; Iskander, N. Catalogue Général of Egyptian Museum: Non-Human Mummies; Supreme Council of Antiquities Press: Cairo, Egypt, 2002. [Google Scholar]
- Ginsburg, L. La domestication du chat. In Les Chats Divins d’Egypte: Un Air Subtil, un Dangereux Parfum; Peeters: Leuven, Belgium, 1991; pp. 17–21. [Google Scholar]
- Blumenbach, J.F. Observations on some Egyptian mummies opened in London. Philos. Trans. R. Soc. Lond. 1794, 84, 177–195. [Google Scholar]
- Lynnerup, N.; Ruhli, F. Short Review: The Use of Conventional X-rays in Mummy Studies. Anat. Rec. 2015, 298, 1085–1087. [Google Scholar] [CrossRef]
- Malgora, S.; Gibelli, D.; Floridi, C.; Martinenghi, C.; McKnight, L.; Ikram, S.; Elias, J.; Milani, C.; Oliva, G.; Cellina, M. CT examination and 3D analysis of Egyptian animal mummies. Radiol. Med. 2020, 125, 943–950. [Google Scholar] [CrossRef]
- Falke, T.H.M.; Zweypfenning-Snijders, M.C.; Zweypfenning, R.C.V.J.; James, A.E., Jr. Computed Tomography of an Ancient Egyptian Cat. J. Comput. Assist. Tomogr. 1987, 11, 745–747. [Google Scholar] [CrossRef]
- Harwood-Nash, D.C. Computed tomography of ancient Egyptian mummies. J. Comput. Assist. Tomogr. 1979, 3, 768–773. [Google Scholar] [CrossRef]
- Marx, M.; D’Auria, S.H. CT examination of eleven Egyptian mummies. RadioGraphics 1986, 6, 321–330. [Google Scholar] [CrossRef]
- Gaugne, R.; Porcier, S.; Nicolas, T.; Coulon, F.; Hays, O.; Gouranton, V. A digital introspection of a mummy cat. In Proceedings of the 2018 3rd Digital Heritage International Congress (DigitalHERITAGE) Held Jointly with 2018 24th International Conference on Virtual Systems & Multimedia (VSMM), San Francisco, CA, USA, 26–30 October 2018; IEEE: San Francisco, CA, USA, 2018; pp. 1–8. [Google Scholar] [CrossRef]
- Atherton-Woolham, S.D.; McKnight, L.M. Post-mortem restorations in ancient Egyptian animal mummies using imaging. Pap. Anthropol. 2014, 23, 9–17. [Google Scholar] [CrossRef][Green Version]
- Boschin, F.; Zanolli, C.; Bernardini, F.; Princivalle, F.; Tuniz, C. A Look from the Inside: MicroCT Analysis of Burned Bones. Ethnobiol. Lett. 2015, 6, 258–266. [Google Scholar] [CrossRef]
- Boschin, F.; Bernardini, F.; Zanolli, C.; Tuniz, C. Micro CT Imaging of Red fox Talus: A Non-Invasive Approach to Evaluate Age at Death. Archaeometry 2015, 57, 194–211. [Google Scholar] [CrossRef]
- Bello, S.M.; De Groote, I.; Delbarre, G. Application of 3-dimensional microscopy and micro-CT scanning to the analysis of Magdalenian portable art on bone and antler. J. Archaeol. Sci. 2013, 40, 2464–2476. [Google Scholar] [CrossRef]
- Boschin, F.; Bernardini, F.; Pilli, E.; Vai, S.; Zanolli, C.; Tagliacozzo, A.; Fico, R.; Fedi, M.; Corny, J.; Dreossi, D.; et al. The first evidence for Late Pleistocene dogs in Italy. Sci. Rep. 2020, 10, 13313. [Google Scholar] [CrossRef]
- Lefebvre, A.; Rochefort, G.Y.; Santos, F.; Le Denmat, D.; Salmon, B.; Pétillon, J.-M. A Non-Destructive Method for Distinguishing Reindeer Antler (Rangifer tarandus) from Red Deer Antler (Cervus elaphus) Using X-ray Micro-Tomography Coupled with SVM Classifiers. PLoS ONE 2016, 11, e0149658. [Google Scholar] [CrossRef]
- Harbers, H.; Zanolli, C.; Theil, J.-C.; Ortiz, K.; Blanc, B.; Locatelli, Y.; Schafberg, R.; Lecompte, F.; Baly, I.; Laurens, F.; et al. Investigating the impact of captivity and domestication on limb bone cortical morphology: An experimental approach using a wild boar model. Sci. Rep. 2020, 10, 19070. [Google Scholar] [CrossRef]
- Niinimäki, S.; Härkönen, L.; Puolakka, H.-L.; Van Den Berg, M.; Salmi, A.-K. Cross-sectional properties of reindeer long bones and metapodials allow identification of activity patterns. Archaeol. Anthropol. Sci. 2021, 13, 146. [Google Scholar] [CrossRef]
- Pelletier, M.; Kotiaho, A.; Niinimäki, S.; Salmi, A.-K. Identifying early stages of reindeer domestication in the archaeological record: A 3D morphological investigation on forelimb bones of modern populations from Fennoscandia. Archaeol. Anthropol. Sci. 2020, 12, 169. [Google Scholar] [CrossRef]
- Pelletier, M.; Kotiaho, A.; Niinimäki, S.; Salmi, A.-K. Impact of selection and domestication on hindlimb bones of modern reindeer populations: Archaeological implications for early reindeer management by Sámi in Fennoscandia. Hist. Biol. 2022, 34, 802–820. [Google Scholar] [CrossRef]
- Gimeno, F.J.T. Radiological identification of an ibis mummy. Misc. Zool. 1997, 20, 133–138. [Google Scholar]
- Wiese, D.; Holdsworth, D.W.; Thomas, M.D.A. Non-Destructive Evaluation And Three Dimensional Visualization Of An Ancient Egyptian Artifact With Applications To Modern Engineering Materials. In Proceedings of the 10th EEGS Symposium on the Application of Geophysics to Engineering and Environmental Problems, Reno, NV, USA, 23–26 March 1997. [Google Scholar] [CrossRef]
- McKnight, L.M. Imaging Applied to Animal Mummification in Ancient Egypt; University of Michigan Press: Ann Arbor, MI, USA, 2010. [Google Scholar] [CrossRef]
- Romell, J.; Vågberg, W.; Romell, M.; Häggman, S.; Ikram, S.; Hertz, H.M. Soft-Tissue Imaging in a Human Mummy: Propagation-based Phase-Contrast CT. Radiology 2018, 289, 670–676. [Google Scholar] [CrossRef] [PubMed]
- Coleman, M.N.; Colbert, M.W. Technical note: CT thresholding protocols for taking measurements on three-dimensional models. Am. J. Phys. Anthropol. 2007, 133, 723–725. [Google Scholar] [CrossRef]
- Fajardo, R.J.; Ryan, T.M.; Kappelman, J. Assessing the accuracy of high-resolution x-ray computed tomography of primate trabecular bone by comparisons with histological sections. Am. J. Phys. Anthropol. 2002, 118, 1–10. [Google Scholar] [CrossRef]
- Bouxsein, M.L.; Boyd, S.K.; Christiansen, B.A.; Guldberg, R.E.; Jepsen, K.J.; Müller, R. Guidelines for assessment of bone microstructure in rodents using micro–computed tomography. J. Bone Miner. Res. 2010, 25, 1468–1486. [Google Scholar] [CrossRef]
- Von Den Driesch, A. A Guide to the Measurement of Animal Bones from Archaeological Sites; Peabody Museum Press: Cambridge, MA, USA, 1976; Volume 1. [Google Scholar]
- Perry, K.L.; Fordham, A.; Arthurs, G.I. Effect of neutering and breed on femoral and tibial physeal closure times in male and female domestic cats. J. Feline Med. Surg. 2014, 16, 149–156. [Google Scholar] [CrossRef]
- Smith, R.N. Fusion of Ossification Centres in the Cat. J. Small Anim. Pract. 1969, 10, 523–530. [Google Scholar] [CrossRef]
- Habermehl, K.-H. Die Altersbestimmung bei Haus- und Labortieren; 2., Vollständig Neubearb. Aufl.; Parey Berlin: Berlin, Germany, 1975. [Google Scholar]
- Orsini, P.; Hennet, P. Anatomy of the Mouth and Teeth of the Cat. Vet. Clin. North Am. Small Anim. Pract. 1992, 22, 1265–1277. [Google Scholar] [CrossRef]
- Ikram, S. (Ed.) Egyptian Bioarchaeology: Humans, Animals, and the Environment; Sidestone Press: Leiden, The Netherlands, 2015. [Google Scholar]
- Ikram, S.; Aicardi, S.; Facchetti, F. The Animal Mummies of the Museo Egizio, Turin; SMET: Modena, Italy, 2024. [Google Scholar]
- Armitage, P.L.; Clutton-Brock, J. A radiological and histological investigation into the mummification of cats from Ancient Egypt. J. Archaeol. Sci. 1981, 8, 185–196. [Google Scholar] [CrossRef]
- Amendola, M.; Lippi, D.; Argenti, F.; Carpi, R.; Cucci, C.; Ikram, S.; Landi, G.; Mori, T.; Riga, A.; Zini, C.; et al. Application of CT Imaging to Humanistic Studies: The Case of an Egyptian Cat Mummy. In Proceedings of the 2023 8th IEEE History of Electrotechnology Conference (HISTELCON), Florence, Italy, 7–9 September 2023; IEEE: Florence, Italy, 2023; pp. 121–124. [Google Scholar] [CrossRef]
- Ikram, S.; Bertini, L. The Fauna. In The Catacombs of Anubis at North Saqqara: An Archaeological Perspective, British Museum Publications in Egypt and Sudan 12; Nicholson, P., Ed.; Peeters: Leuven, Belgium, 2021; pp. 135–188. [Google Scholar]
- Malek, J. The Cat in Ancient Egypt; British Museum Press: London, UK, 1993. [Google Scholar]
- Johnston, R.; Thomas, R.; Jones, R.; Graves-Brown, C.; Goodridge, W.; North, L. Evidence of diet, deification, and death within ancient Egyptian mummified animals. Sci. Rep. 2020, 10, 14113. [Google Scholar] [CrossRef]
Disclaimer/Publisher’s Note: The statements, opinions and data contained in all publications are solely those of the individual author(s) and contributor(s) and not of MDPI and/or the editor(s). MDPI and/or the editor(s) disclaim responsibility for any injury to people or property resulting from any ideas, methods, instructions or products referred to in the content. |
© 2024 by the authors. Licensee MDPI, Basel, Switzerland. This article is an open access article distributed under the terms and conditions of the Creative Commons Attribution (CC BY) license (https://creativecommons.org/licenses/by/4.0/).








