Semantic Segmentation of the Prostate Based on Onefold and Joint Multimodal Medical Images Using YOLOv4 and U-Net
Abstract
1. Introduction
2. Related Work
2.1. MR-Based Solutions
2.2. CT-Based Solutions
2.3. Multi-Modal Solutions
2.4. Applications of the YOLO Detection Model for Medical Data
3. Datasets
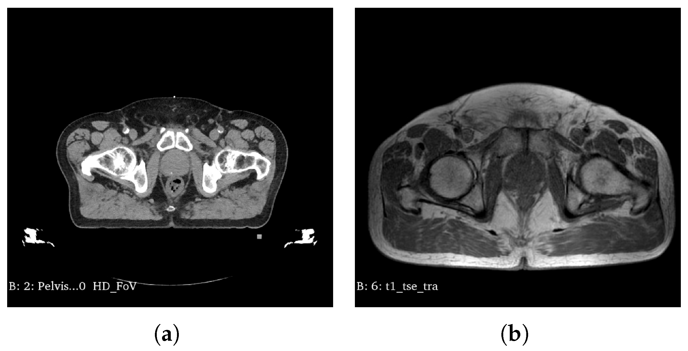
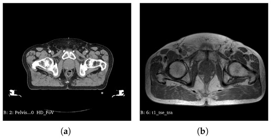
3.1. MR and CT Acquisition
3.2. Preparation Data for YOLO Network
4. Methods
4.1. Prostate Detection with YOLOv4
- Onefold modality (MRI)—The first experiment examined the performance of a model trained only on an MRI dataset. The dataset contains 666 training and 73 validation images. In Figure 6, the example validation image compares the predicted bounding box with the ground truth bounding box on the example validation image.
- Multimodal medical imagining (MRI and CT)—The training dataset was enlarged by adding CT scans. This approach was used to verify whether generalization is appropriately fitted to varying MRI data. The second experiment was based on 739 MR and 751 CT mixed images, where the validation dataset totals 149 images.
4.2. Semantic Segmentation with U-Net
- MRI segmentation: the dataset of 739 scans.
- MRI segmentation with augmented data: the dataset of 739 MRI scans with augmentation applied using Keras’s ImageDataGenerator class, which doubled the size of the dataset, resulting in 1478 MRI images.
- MRI mixed with CT segmentation: the dataset of 739 MRI and 751 CT scans.
- MRI mixed with CT segmentation with augmented data: the dataset of 739 MRI and 751 CT images was augmented using Keras’s ImageDataGenerator class, doubling the size of the dataset, resulting in 2980 images.
5. Results
5.1. YOLOv4 Detection
5.2. U-Net Segmentation
6. Conclusions and Future Work
Author Contributions
Funding
Institutional Review Board Statement
Informed Consent Statement
Data Availability Statement
Conflicts of Interest
References
- Bray, F.; Ferlay, J.; Soerjomataram, I.; Siegel, R.L.; Torre, L.A.; Jemal, A. Global cancer statistics 2018: GLOBOCAN estimates of incidence and mortality worldwide for 36 cancers in 185 countries. Cancer J. Clin. 2018, 68, 394–424. [Google Scholar] [CrossRef]
- Korevaar, S.; Tennakoon, R.; Page, M.; Brotchie, P.; Thangarajah, J.; Florescu, C.; Sutherland, T.; Kam, N.M.; Bab-Hadiashar, A. Incidental detection of prostate cancer with CT scans. Sci. Rep. 2021, 11, 7956. [Google Scholar] [CrossRef]
- Tikkinen, K.A.O.; Dahm, P.; Lytvyn, L.; Heen, A.F.; Vernooij, R.W.M.; Siemieniuk, R.A.C.; Wheeler, R.; Vaughan, B.; Fobuzi, A.C.; Blanker, M.H.; et al. Prostate cancer screening with prostate-specific antigen (PSA) test: A clinical practice guideline. BMJ 2018, 362, k3581. [Google Scholar] [CrossRef]
- Khan, Z.; Yahya, N.; Alsaih, K.; Ali, S.S.A.; Meriaudeau, F. Evaluation of Deep Neural Networks for Semantic Segmentation of Prostate in T2W MRI. Sensors 2020, 20, 3183. [Google Scholar] [CrossRef]
- Bell, N.; Gorber, S.C.; Shane, A.; Joffres, M.; Singh, H.; Dickinson, J.; Shaw, E.; Dunfield, L.; Tonelli, M.; Canadian Task Force on Preventive Health Care. Recommendations on screening for prostate cancer with the prostate-specific antigen test. CMAJ 2014, 186, 1225–1234. [Google Scholar] [CrossRef]
- Power, S.P.; Moloney, F.; Twomey, M.; James, K.; O’Connor, O.J.; Maher, M.M. Computed tomography and patient risk: Facts, perceptions and uncertainties. World J. Radiol. 2016, 8, 902–915. [Google Scholar] [CrossRef]
- Afshar-Oromieh, A.; Haberkorn, U.; Schlemmer, H.P.; Fenchel, M.; Eder, M.; Eisenhut, M.; Hadaschik, B.A.; Kopp-Schneider, A.; Röthke, M. Comparison of PET/CT and PET/MRI hybrid systems using a 68Ga-labelled PSMA ligand for the diagnosis of recurrent prostate cancer: Initial experience. Eur. J. Nucl. Med. Mol. Imaging 2014, 41, 887–897. [Google Scholar] [CrossRef]
- Greer, M.D.; Lay, N.; Shih, J.H.; Barrett, T.; Bittencourt, L.K.; Borofsky, S.; Kabakus, I.; Law, Y.M.; Marko, J.; Shebel, H.; et al. Computer-aided diagnosis prior to conventional interpretation of prostate mpMRI: An international multi-reader study. Eur. Radiol. 2018, 28, 4407–4417. [Google Scholar] [CrossRef]
- Wildeboer, R.R.; van Sloun, R.J.G.; Wijkstra, H.; Mischi, M. Artificial intelligence in multiparametric prostate cancer imaging with focus on deep-learning methods. Comput. Methods Programs Biomed. 2020, 189, 105316. [Google Scholar] [CrossRef]
- Bhandary, S.; Kuhn, D.; Babaiee, Z.; Fechter, T.; Benndorf, M.; Zamboglou, C.; Grosu, A.-L.; Grosu, R. Investigation and benchmarking of U-Nets on prostate segmentation tasks. Comput. Med. Imaging Graph. 2023, 107, 102241. [Google Scholar] [CrossRef]
- Rezaeijo, S.M.; Nesheli, S.J.; Serj, M.F.; Birgani, M.J.T. Segmentation of the prostate, its zones, anterior fibromuscular stroma, and urethra on the MRIs and multimodality image fusion using U-Net model. Quant. Imaging Med. Surg. 2022, 12, 4786–4804. [Google Scholar] [CrossRef]
- Aldoj, N.; Biavati, F.; Michallek, F.; Stober, S.; Dewey, M. Automatic prostate and prostate zones segmentation of magnetic resonance images using DenseNet-like U-net. Sci. Rep. 2020, 10, 14315. [Google Scholar] [CrossRef]
- Isaksson, L.; Pepa, M.; Summers, P.; Zaffaroni, M.; Vincini, M.G.; Corrao, G.; Mazzola, G.C.; Rotondi, M.; Presti, G.L.; Raimondi, S.; et al. Comparison of automated segmentation techniques for magnetic resonance images of the prostate. BMC Med. Imaging 2023, 23, 32. [Google Scholar] [CrossRef]
- Ren, C.; Guo, Z.; Ren, H.; Jeong, D.; Kim, D.-K.; Zhang, S. Prostate Segmentation in MRI Using Transformer Encoder and Decoder Framework. IEEE Access 2023, 11, 101630–101643. [Google Scholar] [CrossRef]
- Li, C.; Qiang, Y.; Sultan, R.I.; Bagher-Ebadian, H.; Khanduri, P.; Chetty, I.J.; Zhu, D. FocalUNETR: A Focal Transformer for Boundary-Aware Prostate Segmentation Using CT Images. In Medical Image Computing and Computer Assisted Intervention—MICCAI 2023, Proceedings of the MICCAI 2023: 26th International Conference, Vancouver, BC, Canada, 8–12 October 2023; Chengyin, L., Qiang, Y., Sultan, R.I., Bagher-Ebadian, H., Khanduri, P., Chetty, I.J., Zhu, D., Greenspan, H., Madabhushi, A., Mousavi, P., et al., Eds.; Lecture Notes in Computer Science; Springer: Berlin/Heidelberg, Germany, 2023. [Google Scholar]
- He, K.; Lian, C.; Zhang, B.; Zhang, X.; Cao, X.; Nie, D.; Gao, Y.; Zhang, J.; Shen, D. HF-UNet: Learning Hierarchically Inter-Task Relevance in Multi-Task U-Net for Accurate Prostate Segmentation in CT Images. IEEE Trans. Med. Imaging 2021, 40, 2118–2128. [Google Scholar] [CrossRef]
- Amjad, A.; Geoffrey, R.; Genz, D.; Horache, S.; Colombo, L.; Chen, X.; Paulson, E.S. Fast Tracking MR Only Adaptive Radiotherapy; Automatic Segmentation on Planning, Daily MRI and Synthetic CT. Int. J. Radiat. Oncol. Biol. Phys. 2024, 120, 158–159. [Google Scholar] [CrossRef]
- Ren, J.; Eriksen, J.G.; Nijkamp, J.; Korreman, S.S. Comparing different CT, PET and MRI multi-modality image combinations for deep learning-based head and neck tumor segmentation. Acta Oncol. 2021, 60, 1399–1406. [Google Scholar] [CrossRef]
- Rodrigues, N.M.; Silva, S.; Vanneschi, L.; Papanikolaou, N. A Comparative Study of Automated Deep Learning Segmentation Models for Prostate MRI. Cancers 2023, 15, 1467. [Google Scholar] [CrossRef]
- Wiratchawa, K.; Wanna, Y.; Cha-in, S.; Aphinives, C.; Aphinives, P.; Intharah, T. Training Deep CNN’s to Detect Prostate Cancer Lesion with Small Training Data. In Proceedings of the IEEE 37th International Technical Conference on Circuits/Systems, Computers and Communications (ITC-CSCC), Phuket, Thailand, 5–8 July 2022; pp. 227–230. [Google Scholar]
- Salman, M.E.; Çakar, G.Ç.; Azimjonov, J.; Kosem, M.; Cedimoglu, I.H. Automated prostate cancer grading and diagnosis system using deep learning-based Yolo object detection algorithm. Expert Syst. Appl. 2022, 201, 117148. [Google Scholar] [CrossRef]
- Fassia, M.K.; Balasubramanian, A.; Woo, S.; Vargas, H.A.; Hricak, H.; Konukoglu, E.; Becker, A.S. Deep Learning Prostate MRI Segmentation Accuracy and Robustness: A Systematic Review. Radiol. Artif. Intell. 2024, 6, e230138. [Google Scholar] [CrossRef]
- Jin, R.; Li, D.; Xiang, D.; Zhang, L.; Zhou, H.; Shi, F.; Zhu, W.; Cai, J.; Peng, T.; Chen, X. AI-based Automatic Segmentation of Prostate on Multi-modality Images: A Review. arXiv 2024, arXiv:2407.06612. [Google Scholar] [CrossRef]
- Masoudi, S.; Harmon, S.A.; Mehralivand, S.; Walker, S.M.; Raviprakash, H.; Bagci, U.; Choyke, P.L.; Turkbey, B. Quick guide on radiology image pre-processing for deep learning applications in prostate cancer research. J. Med. Imaging 2021, 1, 010901. [Google Scholar] [CrossRef]
- Ghafoor, S.; Burger, I.A.; Vargas, A.H. Multimodality imaging of prostate cancer. J. Nucl. Med. 2019, 10, 1350–1358. [Google Scholar] [CrossRef]
- Ghafoori, M.; Alavi, M.; Ghasabeh, M.A. MRI in prostate cancer. Iran Red Crescent Med. J. 2013, 15, e16620. [Google Scholar] [CrossRef][Green Version]
- Bochkovskiy, A.; Wang, C.; Liao, H.M. YOLOv4: Optimal Speed and Accuracy of Object Detection. arXiv 2020, arXiv:2004.10934. [Google Scholar]
- Goutte, C.; Gaussier, E. A Probabilistic Interpretation of Precision, Recall and F-Score, with Implication for Evaluation. Lect. Notes Comput. Sci. 2005, 3408, 345–359. [Google Scholar] [CrossRef]
- Gajowniczek, K.; Ząbkowski, T.; Szupiluk, R. Estimating the ROC curve and its significance for classification models assessment. Quant. Methods Econ. 2014, 2, 382–391. [Google Scholar]
- Rezatofighi, H.; Tsoi, N.; Gwak, J.; Sadeghian, A.; Reid, I.; Savarese, S. Generalized Intersection Over Union: A Metric and a Loss for Bounding Box Regression. In Proceedings of the IEEE/CVF Conference on Computer Vision and Pattern Recognition (CVPR), Long Beach, CA, USA, 15–20 June 2019; pp. 658–666. [Google Scholar] [CrossRef]
- Ronneberger, O.; Fischer, P.; Brox, T. U-Net: Convolutional Networks for Biomedical Image Segmentation. In Medical Image Computing and Computer-Assisted Intervention—MICCAI, Lecture Notes in Computer Science; Navab, N., Hornegger, J., Wells, W., Frangi, A., Eds.; Springer: Berlin/Heidelberg, Germany, 2015; Volume 9351. [Google Scholar]
- Li, S.T.; Zhang, L.; Guo, P.; Pan, H.; Chen, P.; Xie, H.; Xie, B.; Chen, J.; Lai, Q.; Li, Y.; et al. Prostate cancer of magnetic resonance imaging automatic segmentation and detection of based on 3D-Mask RCNN. J. Radiat. Res. Appl. Sci. 2023, 16, 100636. [Google Scholar] [CrossRef]












| Threshold | Dice Co-Eff | MR a | MR Aug b | MR with CT c | MR with CT Aug d |
|---|---|---|---|---|---|
| 0.36 | max | 0.9520 | 0.9463 | 0.9506 | 0.9537 |
| mean | 0.8365 | 0.8168 | 0.8315 | 0.8069 | |
| 0.38 | max | 0.9529 | 0.9456 | 0.9505 | 0.9552 |
| mean | 0.8365 | 0.8164 | 0.8339 | 0.8076 | |
| 0.40 | max | 0.9539 | 0.9472 | 0.9496 | 0.9570 |
| mean | 0.8366 | 0.8160 | 0.8361 | 0.8083 | |
| 0.42 | max | 0.9553 | 0.9490 | 0.9488 | 0.9586 |
| mean | 0.8365 | 0.8150 | 0.8380 | 0.8088 | |
| 0.44 | max | 0.9564 | 0.9496 | 0.9489 | 0.9595 |
| mean | 0.8364 | 0.8137 | 0.8398 | 0.8094 | |
| 0.46 | max | 0.9579 | 0.9514 | 0.9483 | 0.9615 |
| mean | 0.8361 | 0.8122 | 0.8416 | 0.8099 | |
| 0.48 | max | 0.9585 | 0.9535 | 0.9481 | 0.9625 |
| mean | 0.8358 | 0.8101 | 0.8430 | 0.8104 | |
| 0.50 | max | 0.9600 | 0.9555 | 0.9508 | 0.9629 |
| mean | 0.8354 | 0.8080 | 0.8444 | 0.8105 | |
| 0.52 | max | 0.9613 | 0.9576 | 0.9537 | 0.9638 |
| mean | 0.8350 | 0.8057 | 0.8456 | 0.8104 | |
| 0.54 | max | 0.9627 | 0.9594 | 0.9553 | 0.9656 |
| mean | 0.8343 | 0.8034 | 0.8465 | 0.8102 | |
| 0.56 | max | 0.9642 | 0.9603 | 0.9579 | 0.9665 |
| mean | 0.8336 | 0.8010 | 0.8471 | 0.8097 | |
| 0.58 | max | 0.9658 | 0.9609 | 0.9599 | 0.9677 |
| mean | 0.8328 | 0.7983 | 0.8475 | 0.8092 | |
| 0.60 | max | 0.9674 | 0.9630 | 0.9621 | 0.9685 |
| mean | 0.8318 | 0.7953 | 0.8478 | 0.8085 |
Disclaimer/Publisher’s Note: The statements, opinions and data contained in all publications are solely those of the individual author(s) and contributor(s) and not of MDPI and/or the editor(s). MDPI and/or the editor(s) disclaim responsibility for any injury to people or property resulting from any ideas, methods, instructions or products referred to in the content. |
© 2024 by the authors. Licensee MDPI, Basel, Switzerland. This article is an open access article distributed under the terms and conditions of the Creative Commons Attribution (CC BY) license (https://creativecommons.org/licenses/by/4.0/).
Share and Cite
Kot, E.; Les, T.; Krawczyk-Borysiak, Z.; Vykhodtsev, A.; Siwek, K. Semantic Segmentation of the Prostate Based on Onefold and Joint Multimodal Medical Images Using YOLOv4 and U-Net. Appl. Sci. 2024, 14, 9814. https://doi.org/10.3390/app14219814
Kot E, Les T, Krawczyk-Borysiak Z, Vykhodtsev A, Siwek K. Semantic Segmentation of the Prostate Based on Onefold and Joint Multimodal Medical Images Using YOLOv4 and U-Net. Applied Sciences. 2024; 14(21):9814. https://doi.org/10.3390/app14219814
Chicago/Turabian StyleKot, Estera, Tomasz Les, Zuzanna Krawczyk-Borysiak, Andrey Vykhodtsev, and Krzysztof Siwek. 2024. "Semantic Segmentation of the Prostate Based on Onefold and Joint Multimodal Medical Images Using YOLOv4 and U-Net" Applied Sciences 14, no. 21: 9814. https://doi.org/10.3390/app14219814
APA StyleKot, E., Les, T., Krawczyk-Borysiak, Z., Vykhodtsev, A., & Siwek, K. (2024). Semantic Segmentation of the Prostate Based on Onefold and Joint Multimodal Medical Images Using YOLOv4 and U-Net. Applied Sciences, 14(21), 9814. https://doi.org/10.3390/app14219814

