Next Article in Journal
D*-KDDPG: An Improved DDPG Path-Planning Algorithm Integrating Kinematic Analysis and the D* Algorithm
Previous Article in Journal
Anomaly Detection for Charging Voltage Profiles in Battery Cells in an Energy Storage Station Based on Robust Principal Component Analysis
Previous Article in Special Issue
Orthodontic Treatment in Pediatric Patients with Autism Spectrum Disorder: Compliance and Satisfaction: Pilot Study
 
 
Font Type:
Arial Georgia Verdana
Font Size:
Aa Aa Aa
Line Spacing:
Column Width:
Background:
Case Report

A Rare Case: Adenomatoid Odontogenic Tumor Mimicking Follicular Cyst in a Young Patient

by
Giulia Petroni
1,
Fabrizio Zaccheo
1,*,
Cira Rosaria Tiziana Di Gioia
2,
Flavia Adotti
2 and
Andrea Cicconetti
1
1
Department of Oral and Maxillo-Facial Sciences, Sapienza University of Rome, 00185 Rome, Italy
2
Department of Radiological, Oncological and Pathological Sciences, Sapienza University of Rome, 00185 Rome, Italy
*
Author to whom correspondence should be addressed.
Appl. Sci. 2024, 14(17), 7554; https://doi.org/10.3390/app14177554
Submission received: 23 July 2024 / Revised: 21 August 2024 / Accepted: 23 August 2024 / Published: 27 August 2024
(This article belongs to the Special Issue Vulnerability in Dentistry: Prevention and Treatment)

Abstract

The objective of this study is to present an uncommon case of adenomatoid odontogenic tumor (AOT) with an impacted maxillary canine, initially mimicking a follicular cyst. AOT is a rare odontogenic tumor, accounting for approximately 1% to 9% of all odontogenic tumors. It primarily occurs in the maxilla and is often associated with an unerupted permanent tooth. Follicular cysts, also known as dentigerous cysts, are benign odontogenic cysts that encase the crown of an unerupted or impacted tooth. We describe a case of AOT occurring in a 14-year-old male. Both the follicular cyst and adenomatoid odontogenic tumor (AOT) can exhibit similar clinical and radiographic presentations. It is crucial to accurately differentiate between the two to ensure appropriate treatment and prognosis.

1. Introduction

Lesions of the jawbones encompass a wide spectrum of pathologies leading to challenges in differential diagnosis. These lesions can originate from tumors or cysts, and while most are benign, accurate differentiation is crucial.
From a histological perspective, odontogenic tumors are classified based on their tissue of origin into three categories: epithelial, mesenchymal, and mixed epithelial and mesenchymal [1].
The symptoms of these lesions are variable; they can exhibit different growth patterns, sizes, and levels of aggressiveness. Many odontogenic tumors are asymptomatic or have minimal symptoms and are therefore often diagnosed during routine radiographic examinations [2].
Odontogenic cysts are pathological cavities originating from odontogenic tissues that occur in the tooth-bearing regions of the maxilla and mandible. These cysts have developmental or inflammatory origins. The four most common odontogenic cysts are periapical cysts, dentigerous cysts, residual cysts, and odontogenic keratocysts. These lesions are more frequently observed in males, typically between the fourth and sixth decades of life. The most affected area is the maxillary anterior region, followed by the mandibular molar region [3].
From a histological perspective, odontogenic tumors and cysts derive from the rests of Serres and Malassez. These remnants can remain quiescent or become activated by inflammatory or genetic factors. Their activation can lead to the formation of odontogenic cysts and tumors. The only tool we have for an accurate and definitive diagnosis is histological examination [4]. Clinical misdiagnoses between tumors and cysts are possible due to the similar clinical and radiological presentations of these lesions.
The adenomatoid odontogenic tumor (AOT) is a rare, benign epithelial tumor characterized by its asymptomatic nature, noninvasive behavior, and slow growth. It was initially identified by Steensland in 1905 [5]. This tumor is more frequently observed in females, primarily during the second decade of life, and often associated with a permanent tooth that has not erupted. Typically, it manifests as a well-defined radiolucent lesion with expansile properties, predominantly located in the maxilla (70%). Additionally, these lesions may exhibit variable amounts of punctate calcifications. There are three recognized clinical and radiographic variants of AOT: (a) follicular, (b) extrafollicular, and (c) peripheral (or extraosseous) [6].
The 5th edition of the World Health Organization (WHO) Classification of Head and Neck Tumors (2022) introduces significant updates that align with rapid advancements in sophisticated molecular investigations. These updates include interpretations that already impact therapy strategies [7]. Recent studies suggest that approximately 70% of sporadic adenomatoid tumors have a KRAS gene mutation. However, these mutations have not yet been precisely correlated with the clinical and pathological characteristics of the tumor [8]. Alongside AOTs, other oral manifestations include dental abnormalities, giant cell lesions of the jaws, and papillary lesions in the oral mucosa [9]. This interesting tumor often mimics other odontogenic lesions, earning it the name, “master of disguise”, as exemplified in our case [5]. The radiographic features of AOT often resemble those of other odontogenic lesions, including follicular cysts, calcifying odontogenic cysts, calcifying odontogenic tumors, globule-maxillary cysts, ameloblastoma, odontogenic keratocysts, and periapical disease [10]. AOT commonly presents in association with unerupted permanent teeth, particularly canines, in about two-thirds of cases [11]. Unerupted permanent canines are frequently linked to another form of lesion known as the follicular cyst. Clinical misdiagnosis can occur due to similarities in both clinical presentation and radiological signs among many of these cysts.
A follicular cyst, also known as a dentigerous cyst, was initially described by Paget in 1863 [12]. Follicular cysts typically appear as radiolucent lesions surrounding the crown of an unerupted tooth, originating from the cervical area of the tooth itself. From an etiological perspective, they are classified as developmental odontogenic cysts. Histologically, they consist of an epithelial lining surrounded by a wall of loose fibrous tissue. Embryonically, they originate from remnants of reduced enamel epithelium that undergo cystic degeneration, resulting in fluid accumulation in the central area of the lesion, which remains attached at the cementoenamel junction [13].
The most common odontogenic cyst is the radicular cyst, with the follicular cyst ranking second, representing 20% of all epithelium-lined cysts found in the jawbones. The peak occurrence of follicular cyst is observed during the second and third decades of life, showing a slight preference for males [14]. Typically, a follicular cyst encases the crown of an impacted tooth, with the mandibular posterior region being the most prevalent site. Apart from mandibular third molars, other relatively frequent locations, in decreasing order, include the maxillary canine, maxillary third molar, and mandibular second premolar [15]. This lesion is often incidentally detected during routine radiographic examinations or clinically as an asymptomatic swelling. Typically, its radiographic appearance is characterized by a well-defined, single-chambered, symmetric radiolucent area around the crown of an impacted tooth. However, the radiographic depiction of the cyst’s relationship with the crown may vary. The central variant, most commonly observed, involves the cyst enveloping the tooth’s crown, with the crown protruding into the cystic cavity, while the root(s) remain exterior to the cyst [16]. Large follicular cysts may have a radiographic appearance that may be comparable to other pathological conditions [17]. The correct diagnosis of follicular cysts or adenomatoid odontogenic tumor is essential as the surgical treatment and follow-up are different.
Due to the general lack of data in the literature, the aim of this study was to describe a rare case of adenomatoid odontogenic tumor that mimicked a follicular cyst with an impacted maxillary canine. The study delved into diagnostic considerations and treatment modalities regarding these lesions.

2. Case Description

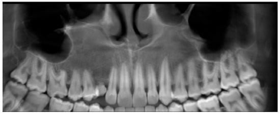
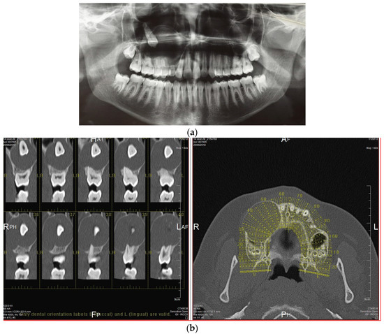
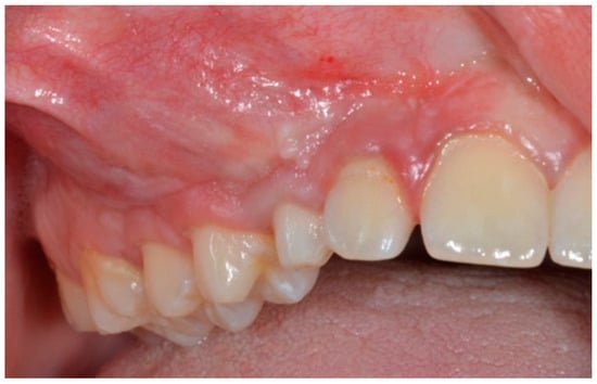
The AOT case refers to 2018 when a 14-year-old male patient was referred to the Department of Oral and Maxillo-Facial Sciences of the Sapienza University of Rome with pain and swelling in the right maxilla. Clinical examinations showed a single 4 × 4 cm swelling on the labial aspect of the right maxillary alveolus in relation to teeth 12 to 17. The overlying mucosa was normal (Figure 1). On palpation, the swelling was bony, hard and non-tender. Radiographic examinations such as panoramic X-ray and computed tomography scan (Figure 2) showed a demarcated unilocular radiolucent lesion extending from 1.2 to 1.7 with a permanent canine embedded within the lesion and pushed away from its normal position. The possibilities of follicular cyst or odontogenic tumor were considered clinically.
Conservative surgical enucleation was the treatment modality of choice.
The treatment plan included the cystectomy and the surgical extraction of the impacted canine with the elevation of a full-thickness flap. The surgery was scheduled for local anesthesia. The complications of the surgery included communication with the maxillary sinus. Routine preoperative laboratory tests including a full blood count, blood clotting tests, azotemia, glycemia and creatinine levels were conducted. Additionally, a cardiologic evaluation, including an electrocardiogram, was performed. The patient was briefed on the potential risks and benefits associated with the surgical procedure. Informed consent was obtained, and the surgery was scheduled accordingly. After local anesthesia with three carpules of articaine hydrochloride + adrenaline 1:100,000, a full-thickness flap with a mesial release incision to the lateral incisor and distal to the first molar was performed by using a Bard–Parker #15 scalped blade. The flap was raised and held in place using a Langenbeck retractor (Figure 3), and the lesion was completely enucleated along with the impacted right maxillary canine (Figure 4). The permanent canine was entirely within the lesion. The tooth and lesion were removed together. Figure 5 shows the clinical aspect of the lesion. The lesion was entirely benign and encapsulated which allowed the roots of the involved dental elements (1.2, 5.3, 1.4, 1.5, 1.6) to be easily isolated during the enucleation. Saline solution rinses and closure with Vicryl 3.0 sutures were performed.
An absorbable suture was used because the patient, for personal reasons, could not return for removal. Vicryl 3.0 was chosen because its copolymer provides excellent strength, handling, and knot security. This suture ensures maximum retention strength during the critical period of healing.
After the operation, the lesion was referred to the pathologist for histological examination. The postoperative course was uneventful. On clinical examination with electric test at 1, 3, 6 and 12 months the teeth involved are still vital. The six months radiograph shows complete healing (Figure 6).
The provisional diagnosis was follicular cyst with differentials adenomatoid odontogenic tumor or ameloblastoma. The histopathologic diagnosis was AOT.
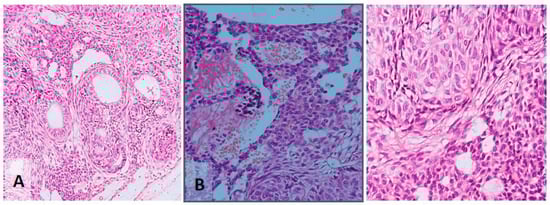
Histological examination showed a cystic lesion with a fibroconnectival wall lined by odontogenic epithelium. The lumen was occupied by a solid multinodular epithelial proliferation composed of medium-sized pale cells, with focal whorled arrangement, alternating with cribriform areas represented by small cuboidal cells. In this context, single-layered columnar cells with tubular structures, duct-like and with a pseudo-rosettes pattern were observed. Hemorrhage and small calcification were also detected. Necrosis and significant cytoarchitectural atipia were absent (Figure 7 and Figure 8).

3. Discussion

AOT is a rare benign epithelial odontogenic tumor and can mimic a follicular or odontogenic cyst. This type of tumor affects women more frequently (1.9:1) in their second decade of life [18]. It usually occurs in the anterior portion of the upper jaw and the most common site is the canine region. An impacted canine is associated with follicular AOTs in almost 70% of cases [19]. There are three clinicopathologic variants of AOT, and despite their different locations, the histological appearance of these three lesions remains the same.
The follicular type of AOT typically presents as a round or ovoid unilocular radiolucency with well-defined contours associated with the crown of an unerupted tooth, resembling a dentigerous or follicular cyst.
In contrast, the extrafollicular intraosseous AOT lacks any association with an unerupted tooth. However, it is often found situated between, above, or adjacent to the roots of erupted teeth.
The peripheral variant of AOT manifests as a gingival fibroma or epulis connected to the labial gingiva.
Histologically, it is characterized by sheets of polygonal cells within a fibrous connective tissue matrix. This matrix contains mesenchymal cell populations that produce type I and III collagen, hence classifying AOT as a mixed odontogenic tumor [20,21,22].
Common features of this tumor include KRAS mutations and activation of the mitogen-activated protein kinases pathway, which are also found in certain cancer types [8]. The diagnosis of AOT is essentially morphology-based, considering its typical histologic features, which aids mostly differential diagnosis with other benign epithelial odontogenic tumors. Immunohistochemistry does not represent a valid diagnostic tool. In cases of morphology overlapping with other entities of this category, the correlation with clinical and radiologic appearance plays a pivotal role.
Treatment for most lesions typically involves enucleation. While some cases of recurrence have been reported in the literature, only one has been well documented [23].
The follicular cyst and the odontogenic adenomatoid tumor can both appear clinically and radiographically in a similar manner.
This case was particularly challenging due to the difficulty in establishing a diagnosis based on the radiographic and clinical findings. Both dentigerous cysts and AOT are benign, encapsulated lesions, making enucleation relatively straightforward.
Despite the lesion’s considerable size, the outcome was favorable, with excellent healing and no recurrence observed.

4. Conclusions

In this case, reaching a final diagnosis was challenging without a microscopic examination. The follicular cyst and adenomatoid odontogenic tumor (AOT) can exhibit similar clinical and radiographic presentations. For this reason, an initial differential diagnosis was made, but the final diagnosis was obtained through histological examination. The histological analysis revealed the typical characteristics of an adenomatoid odontogenic tumor. Histopathological analysis is crucial for diagnosing an adenomatoid odontogenic tumor (AOT). While the tumor behavior of AOT is typically non-aggressive, and recurrence is infrequent, it is essential to maintain a high level of clinical suspicion and consider appropriate diagnostic measures to ensure accurate management.
Early diagnosis and enucleation play a crucial role in preventing excessive bone destruction and eventual recurrences cases.
Due to the rarity of this tumor, it is vital that all cases are thoroughly described to contribute valuable insights to the literature.

Author Contributions

Conceptualization, G.P. and A.C.; methodology, F.Z. and C.R.T.D.G.; software, F.Z.; validation, G.P. and A.C.; formal analysis, G.P.; investigation, G.P. and F.A.; resources, A.C.; data curation, G.P.; writing—original draft preparation, G.P.; writing—review and editing, A.C.; visualization, F.Z.; supervision, A.C.; project administration, A.C. All authors have read and agreed to the published version of the manuscript.

Funding

This research received no external funding.

Institutional Review Board Statement

The study was conducted in accordance with the Declaration of Helsinki, and approved by the Institutional Review Board of the Sapienza University of Rome (protocol code 0001284, 27 June 2024).

Informed Consent Statement

Informed consent was obtained from all subjects involved in the study.

Data Availability Statement

The original contributions presented in the study are included in the article, further inquiries can be directed to the corresponding author.

Conflicts of Interest

The authors declare no conflicts of interest.

References

  1. WHO. Classification of Tumours Editorial Board. Head and Neck Tumours, 5th ed.; WHO Classification of Tumours Series; International Agency for Research on Cancer: Lyon, France, 2022; Volume 9, Available online: https://publications.iarc.fr/ (accessed on 20 August 2024).
  2. Abrahams, J.M.; McClure, S.A. Pediatric Odontogenic Tumors. Oral Maxillofac. Surg. Clin. N. Am. 2016, 28, 45–58. [Google Scholar] [CrossRef] [PubMed]
  3. Tamiolakis, P.; Thermos, G. Demographic and clinical characteristics of 5294 jaw cysts: A retrospective study of 38 years. Head Neck Pathol. 2019, 13, 587–596. [Google Scholar] [CrossRef] [PubMed]
  4. McLean, A.C.; Vargas, P.A. Cystic Lesions of the Jaws: The Top 10 Differential Diagnoses to Ponder. Head. Neck Pathol. 2023, 17, 85–98. [Google Scholar] [CrossRef] [PubMed] [PubMed Central]
  5. Steensland, H.S. Epithelioma adamantinum. J. Exper Med. 1905, 6, 377–389. [Google Scholar] [CrossRef] [PubMed]
  6. WHO; El-Naggar, A.K.; Chan, J.K.C.; Grandis, J.R.; Takata, T.; Slootweg, P.J. (Eds.) World Health Organization Classification of Head and Neck Tumours; IARC Press: Lyon, France, 2017; p. 348. [Google Scholar]
  7. Vered, M.; Wright, J.M. Update from the 5th Edition of the World Health Organization Classification of Head and Neck Tumors: Odontogenic and Maxillofacial Bone Tumours. Head. Neck Pathol. 2022, 16, 63–75. [Google Scholar] [CrossRef] [PubMed] [PubMed Central]
  8. Coura, B.P.; Bernardes, V.F.; de Sousa, S.F.; França, J.A.; Pereira, N.B.; Pontes, H.A.R.; Batista, A.C.; da Cruz Perez, D.E.; Albuquerque, R.L.C., Jr.; de Souza, L.B.; et al. KRAS mutations drive adenomatoid odontogenic tumor and are independent of clinicopathological features. Mod. Pathol. 2019, 32, 799–806. [Google Scholar] [CrossRef] [PubMed]
  9. Chaves, R.R.M.; Júnior, A.A.C.P.; Gomes, C.C.; de Castro, W.H.; Gomez, R.S. Multiple adenomatoid odontogenic tumors in a patient with Schimmelpenning syndrome. Oral Surg. Oral Med. Oral Pathol. Oral Radiol. 2020, 129, e12–e17. [Google Scholar] [CrossRef]
  10. Konouchi, H.; Asaumi, J.; Yanagi, Y.; Hisatomi, M.; Kishi, K. Adenomatoid odontogenic tumor: Correlation of MRI with histopathological findings. Eur. J. Rad. 2002, 44, 19–23. [Google Scholar] [CrossRef]
  11. Ide, F.; Muramatsu, T.; Ito, Y.; Kikuchi, K.; Miyazaki, Y.; Saito, I.; Kusama, K. An expanded and revised early history of the adenomatoid odontogenic tumor. Oral Surg. Oral Med. Oral Pathol. Oral Radiol. 2013, 115, 646–651. [Google Scholar] [CrossRef]
  12. Scholl, R.J.; Kellett, H.M.; Neumann, D.P.; Lurie, A.G. Cysts and cystic lesions of the mandible: Clinical and radiologic-histopathologic review. Radiographics 1999, 19, 1107–1124. [Google Scholar] [CrossRef]
  13. Speight, P.; Fantasia, F.E.; Neville, B.W. Dentigerous cyst. In WHO Classification of Head and Neck Tumours, 4th ed.; El-Naggar, A.K., Chan, J.K.C., Grandis, J.R., Takata, T., Slootweg, P.J., Eds.; International Agency for Research on Cancer: Lyon, France, 2017; pp. 234–235. [Google Scholar]
  14. Jones, A.; Craig, G.; Franklin, C. Range and demographics of odontogenic cysts diagnosed in a UK population over a 30-year period. J. Oral Pathol. Med. 2006, 35, 500–507. [Google Scholar] [CrossRef] [PubMed]
  15. Hajj, R.; Dagher, J.; Nasseh, I. Infrequent radiological features of a dentigerous cyst—A case report. Int. Dent. Med. J. Adv. Res. 2019, 5, 1–5. [Google Scholar]
  16. McKinney, S.L.; Lukes, S.M. Dentigerous cyst in a young child: A case report. Can. J. Dent. Hyg. 2021, 55, 177–181. [Google Scholar] [PubMed] [PubMed Central]
  17. Tuwirqi, A.A.; Khzam, N. What do we know about dentigerous cysts in children: A review of literature. J. Res. Med. Dent. Sci. 2017, 5, 67–79. [Google Scholar] [CrossRef]
  18. Philipsen, H.P.; Reichart, P.A. Adenomatoid odontogenic tumour: Facts and figures. Oral Oncol. 1999, 35, 125–131. [Google Scholar] [CrossRef] [PubMed]
  19. Chrcanovic, B.R.; Gomez, R.S. Adenomatoid odontogenic tumor: An updated analysis of the cases reported in the literature. J. Oral Pathol. Med. 2019, 48, 10–16. [Google Scholar] [CrossRef]
  20. Batra, P.; Prasad, S.; Parkash, H. Adenomatoid odontogenic tumour: Review and case report. J. Can. Dent. Assoc. 2005, 71, 250–253. [Google Scholar] [PubMed]
  21. Prakasam, M.; Tiwari, S.; Satpathy, M.; Banda, V.R. Adenomatoid odontogenic tumour. BMJ Case Rep. 2013, 27, bcr2013010212. [Google Scholar] [CrossRef]
  22. Barnts, K.; Feng, J.Q.; Qin, C.; Zhang, H.; Cheng, Y.L. Adenomatoid odontogenic tumor: Evidence for a mixed odontogenic tumor. Oral Surg. Oral Med. Oral Pathol. Oral Radiol. 2022, 133, 675–683. [Google Scholar] [CrossRef]
  23. Zhou, C.-X.; Gao, Y. Adenomatoid odontogenic tumor: A report of a rare case with recurrence. J. Oral Pathol. Med. 2007, 36, 440–443. [Google Scholar]
Figure 1. Expansion of buccal cortical bone.
Figure 1. Expansion of buccal cortical bone.
Applsci 14 07554 g001
Figure 2. Radiographic examinations, such as panoramic X-ray (a) and computed tomography scan (b), reveal a well-defined, single-chambered radiolucent lesion spanning from 1.2 to 1.7, with a permanent canine embedded within the lesion and displaced from its usual position.
Figure 2. Radiographic examinations, such as panoramic X-ray (a) and computed tomography scan (b), reveal a well-defined, single-chambered radiolucent lesion spanning from 1.2 to 1.7, with a permanent canine embedded within the lesion and displaced from its usual position.
Applsci 14 07554 g002
Figure 3. Detachment of the full thickness flap.
Figure 3. Detachment of the full thickness flap.
Applsci 14 07554 g003
Figure 4. Complete enucleation of the lesion.
Figure 4. Complete enucleation of the lesion.
Applsci 14 07554 g004
Figure 5. Clinical aspects of the lesion and crown of tooth.
Figure 5. Clinical aspects of the lesion and crown of tooth.
Applsci 14 07554 g005
Figure 6. The six months radiograph shows complete healing.
Figure 6. The six months radiograph shows complete healing.
Applsci 14 07554 g006
Figure 7. (H&E stain): (A) cystic fibroconnectival wall lined by odontogenic epithelium with intraluminal solid epithelial proliferation (2×); (B) cribriform peripheral areas alternating with solid pale nests (10×); (C) multinodular epithelial proliferation admixed with hemorrhagic areas.
Figure 7. (H&E stain): (A) cystic fibroconnectival wall lined by odontogenic epithelium with intraluminal solid epithelial proliferation (2×); (B) cribriform peripheral areas alternating with solid pale nests (10×); (C) multinodular epithelial proliferation admixed with hemorrhagic areas.
Applsci 14 07554 g007
Figure 8. (H&E stain): (A) tubular structure lined by single-layered tubular epithelium (20×); (B) small intralesional foci of calcification and hemorrhage (40×); duct-like structure lined by cuboidal cells and pseudo-rosettes pattern (40×).
Figure 8. (H&E stain): (A) tubular structure lined by single-layered tubular epithelium (20×); (B) small intralesional foci of calcification and hemorrhage (40×); duct-like structure lined by cuboidal cells and pseudo-rosettes pattern (40×).
Applsci 14 07554 g008
Disclaimer/Publisher’s Note: The statements, opinions and data contained in all publications are solely those of the individual author(s) and contributor(s) and not of MDPI and/or the editor(s). MDPI and/or the editor(s) disclaim responsibility for any injury to people or property resulting from any ideas, methods, instructions or products referred to in the content.

Share and Cite

MDPI and ACS Style

Petroni, G.; Zaccheo, F.; Di Gioia, C.R.T.; Adotti, F.; Cicconetti, A. A Rare Case: Adenomatoid Odontogenic Tumor Mimicking Follicular Cyst in a Young Patient. Appl. Sci. 2024, 14, 7554. https://doi.org/10.3390/app14177554

AMA Style

Petroni G, Zaccheo F, Di Gioia CRT, Adotti F, Cicconetti A. A Rare Case: Adenomatoid Odontogenic Tumor Mimicking Follicular Cyst in a Young Patient. Applied Sciences. 2024; 14(17):7554. https://doi.org/10.3390/app14177554

Chicago/Turabian Style

Petroni, Giulia, Fabrizio Zaccheo, Cira Rosaria Tiziana Di Gioia, Flavia Adotti, and Andrea Cicconetti. 2024. "A Rare Case: Adenomatoid Odontogenic Tumor Mimicking Follicular Cyst in a Young Patient" Applied Sciences 14, no. 17: 7554. https://doi.org/10.3390/app14177554

APA Style

Petroni, G., Zaccheo, F., Di Gioia, C. R. T., Adotti, F., & Cicconetti, A. (2024). A Rare Case: Adenomatoid Odontogenic Tumor Mimicking Follicular Cyst in a Young Patient. Applied Sciences, 14(17), 7554. https://doi.org/10.3390/app14177554

Note that from the first issue of 2016, this journal uses article numbers instead of page numbers. See further details here.

Article Metrics

Back to TopTop