Staging of Orthodontic Tooth Movement in Clear Aligner Treatment: Macro-Staging and Micro-Staging—A Narrative Review
Abstract
1. Introduction
2. Aim and Objectives
3. Methods
4. Results and Discussion
4.1. Definition and Concept
4.2. Basic Principles of Clear Aligners
- A closed system.
- Push surfaces.
- Differential anchorage.
4.3. Macro-Staging and Micro-Staging
4.3.1. Macro-Staging
- Define the general biomechanics of malocclusion correction.
- Create the necessary conditions to make these biomechanics as predictable as possible.
- Establish the distribution and sources of anchorage.
Define the General Biomechanics of Malocclusion Correction
Create the Necessary Conditions to Make These Biomechanics as Predictable as Possible
Establish the Distribution and Sources of Anchorage
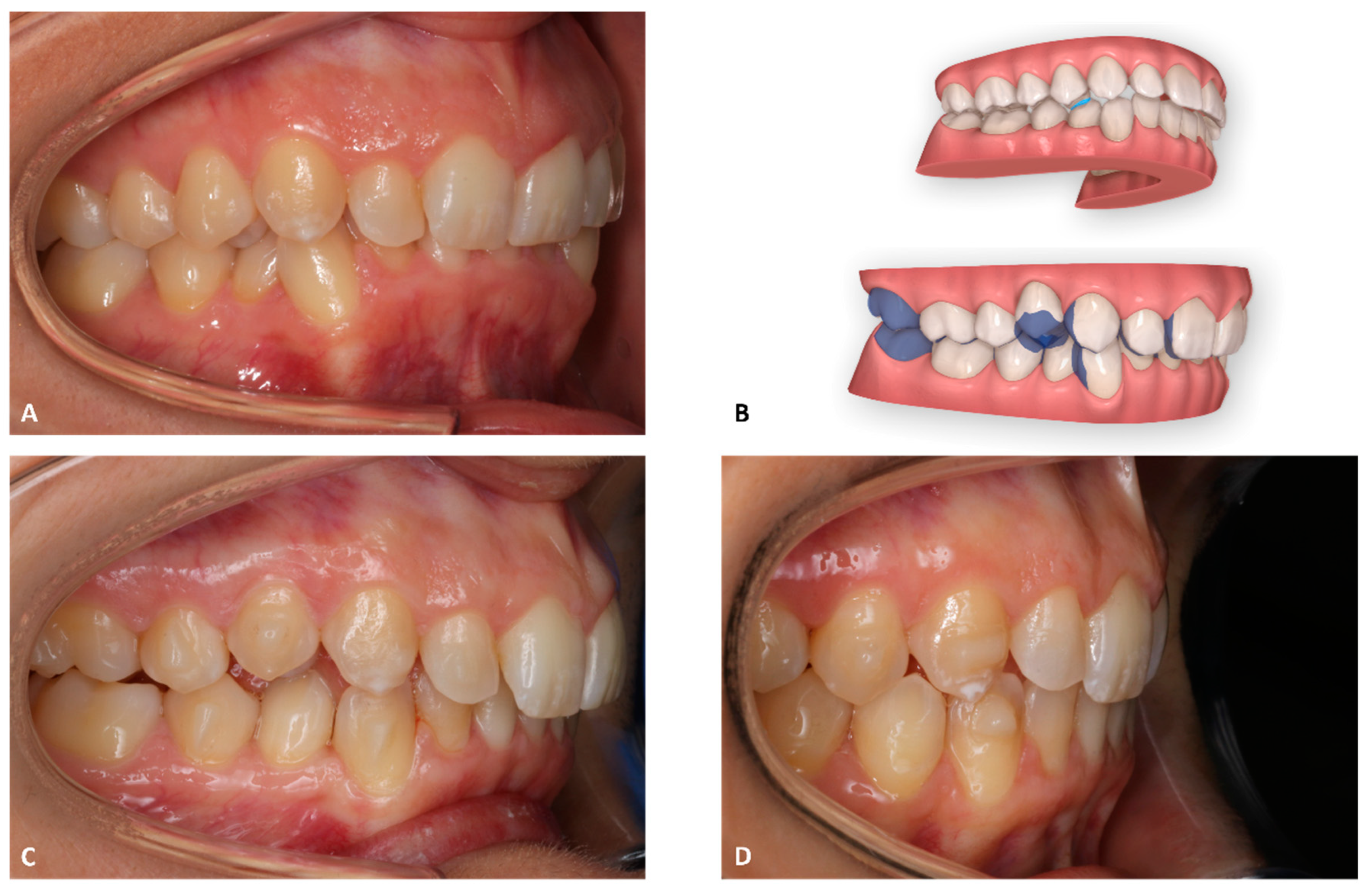
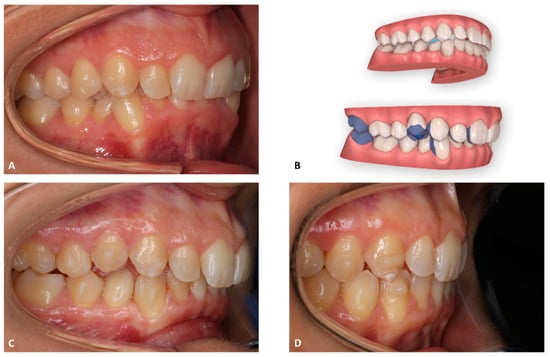
- The first phase of alignment and anchorage preparation creates space in the anterior segment, alleviates crowding, and isolates absolute vertical movement for the final stage. It also allows the apex of the incisors to be relocated away from the cortical bone to avoid possible dehiscence or blockages during intrusion [51,52]. Additionally, the anchorage provided by rotated or compressed posterior segments is less than that provided if they are correctly aligned and leveled.
- Separating the intrusion movement of canines and incisors enhances the intrusive force on the target teeth and reduces the extrusive counterforce on anchor teeth. This is reflected in the study by Liu and Hu [53], which demonstrated greater intrusive efficacy in models where only lower canines were intruded or only lower incisors were intruded.
- Simultaneously requesting premolar extrusion with canine intrusion enhances both movements.
- This scheme allows the use of rotation attachments, expansion control, or root control attachments on canines and/or premolars for the first phase of movement, to be replaced by retentive attachments when vertical movements begin.
4.3.2. Micro-Staging
- Define the individual biomechanics of each tooth.
- Determine the need for spacing movements (priority of movements).
- Identify interproximal friction points and facilitate plastic push.
- Observe precontact or overlaps during movement.
Define the Individual Biomechanics of Each Tooth
Determine the Need for Spacing Movements
Identify Interproximal Friction Points and Facilitate Plastic Push
Observe Precontacts or Overlaps during Movement
4.4. Limitations of the Study
5. Conclusions
Author Contributions
Funding
Institutional Review Board Statement
Informed Consent Statement
Data Availability Statement
Conflicts of Interest
References
- Livas, C.; Pazhman, F.S.; Ilbeyli, Z.; Pandis, N. Perceived esthetics and value of clear aligner therapy systems: A survey among dental school instructors and undergraduate students. Dent. Press J. Orthod. 2023, 28, e232225. [Google Scholar] [CrossRef] [PubMed]
- Raghavan, S.; Abu Alhaija, E.S.; Duggal, M.S.; Narasimhan, S.; Al-Maweri, S.A. White spot lesions, plaque accumulation and salivary caries-associated bacteria in clear aligners compared to fixed orthodontic treatment. A systematic review and meta-analysis. BMC Oral Health 2023, 23, 599. [Google Scholar] [CrossRef] [PubMed]
- Ali Baeshen, H.; El-Bialy, T.; Alshehri, A.; Awadh, W.; Thomas, J.; Dhillon, H.; Patil, S. The effect of clear aligners on speech: A systematic review. Eur. J. Orthod. 2023, 45, 11–19. [Google Scholar] [CrossRef] [PubMed]
- Kundal, S.; Shokeen, T. Aligners, the science of clear orthodontics. Int. J. Dent. Med. Spec. 2020, 7, 38–42. [Google Scholar] [CrossRef]
- Joffe, L. Invisalign: Early experiences. J. Orthod. 2003, 30, 348–352. [Google Scholar] [CrossRef] [PubMed]
- Rossini, G.; Parrini, S.; Deregibus, A.; Castroflorio, T. Controlling orthodontic tooth movement with clear aligners. An update systematic review. J. Align. Orthod. 2017, 1, 7–20. [Google Scholar]
- Papadimitriou, A.; Mousoulea, S.; Gkantidis, N.; Kloukos, D. Clinical effectiveness of Invisalign orthodontic treatment: A systematic review. Prog. Orthod. 2018, 19, 37. [Google Scholar] [CrossRef]
- Galan-Lopez, L.; Barcia-Gonzalez, J.; Plasencia, E. A systematic review of the accuracy and efficiency of dental movements with Invisalign. Korean J. Orthod. 2019, 49, 140–149. [Google Scholar] [CrossRef] [PubMed]
- Haouili, N.; Kravitz, N.D.; Vaid, N.R.; Ferguson, D.J.; Makki, L. Has Invisalign improved? A prospective follow-up study on the efficacy of tooth movement with Invisalign. Am. J. Orthod. Dent. Orthop. 2020, 158, 420–425. [Google Scholar] [CrossRef]
- Bilello, G.; Fazio, M.; Amato, E.; Crivello, L.; Galvano, A.; Currò, G. Accuracy evaluation of orthodontic movements with aligners: A prospective observational study. Prog. Orthod. 2022, 23, 12. [Google Scholar] [CrossRef]
- D’Antò, V.; Bucci, R.; De Simone, V.; Huanca Ghislanzoni, L.; Michelotti, A.; Rongo, R. Evaluation of Tooth Movement Accuracy with Aligners: A Prospective Study. Materials 2022, 15, 2646. [Google Scholar] [CrossRef] [PubMed]
- Charalampakis, O.; Iliadi, A.; Ueno, H.; Oliver, D.R.; Kim, K.B. Accuracy of clear aligners: A retrospective study of patients who needed refinement. Am. J. Orthod. Dentofac. Orthop. 2018, 154, 47–54. [Google Scholar] [CrossRef] [PubMed]
- Oliveira, A.C.; Rocha, A.S.; Leitão, R.; Maia, M.; Pinho, T. Coronal Repercussions of the Maxillary Central Incisor Torque in the First Set of Aligners: A Retrospective Study. Dent. J. 2023, 11, 186. [Google Scholar] [CrossRef] [PubMed]
- Xie, X. [Torque control of anterior teeth by clear aligners]. Chin. J. Stomatol. 2024, 59, 290–294. [Google Scholar]
- Chisari, J.R.; McGorray, S.P.; Nair, M.; Wheeler, T.T. Variables affecting orthodontic tooth movement with clear aligners. Am. J. Orthod. Dentofac. Orthop. 2014, 145 (Suppl. S4), S82–S91. [Google Scholar] [CrossRef] [PubMed]
- Martínez, D.; Castellanos, D. Configuración y análisis biomecánico de los ataches en la ortodoncia invisible. Una revisión narrativa. Ortod. Esp. 2023, 61, 93–115. [Google Scholar]
- Dalaie, K.; Ghaffari, S. Importance of attachments in treatment with clear aligners: A narrative review. J. Dent. Sch. 2020, 38, 41–47. [Google Scholar]
- Al-Nadawi, M.; Kravitz, N.D.; Hansa, I.; Makki, L.; Ferguson, D.J.; Vaid, N.R. Effect of clear aligner wear protocol on the efficacy of tooth movement. Angle Orthod. 2021, 91, 157–163. [Google Scholar] [CrossRef] [PubMed]
- Zhao, R.; Mei, L.; Long, H.; Jian, F.; Lai, W. Changing clear aligners every 10 days or 14 days? A randomised controlled trial. Aust. Orthod. J. 2023, 39, 1–12. [Google Scholar] [CrossRef]
- Palone, M.; Pignotti, A.; Morin, E.; Pancari, C.; Spedicato, G.A.; Cremonini, F.; Lombardo, L. Analysis of overcorrection to be included for planning clear aligner therapy: A retrospective study. Angle Orthod. 2023, 93, 11–18. [Google Scholar] [CrossRef]
- Mehta, S.; Patel, D.; Yadav, S. Staging orthodontic aligners for complex orthodontic tooth movement. Turk. J. Orthod. 2021, 34, 202–206. [Google Scholar] [CrossRef]
- Ravera, S.; Castroflorio, T.; Garino, F.; Daher, S.; Cugliari, G.; Deregibus, A. Maxillary molar distalization with aligners in adult patients: A multicenter retrospective study. Prog. Orthod. 2016, 17, 12. [Google Scholar] [CrossRef] [PubMed]
- Patterson, B.D.; Foley, P.F.; Ueno, H.; Mason, S.A.; Schneider, P.P.; Kim, K.B. Class II malocclusion correction with Invisalign: Is it possible? Am. J. Orthod. Dentofac. Orthop. 2021, 159, e41–e48. [Google Scholar] [CrossRef] [PubMed]
- Taffarel, I.A.; Gasparello, G.G.; Mota-Júnior, S.L.; Pithon, M.M.; Taffarel, I.P.; Meira, T.M.; Tanaka, O.M. Distalization of maxillary molars with Invisalign aligners in nonextraction patients with Class II malocclusion. Am. J. Orthod. Dentofac. Orthop. 2022, 162, e176–e182. [Google Scholar] [CrossRef]
- Sterental, R. Staging. In The Invisalign System; Tuncay, O.C., Ed.; Quintessence Books: Berlin, Germany, 2006. [Google Scholar]
- Castroflorio, T.; Sedran, A.; Parrini, S.; Garino, F.; Reverdito, M.; Capuozzo, R.; Mutinelli, S.; Grybauskas, S.; Vaitiekūnas, M.; Deregibus, A. Predictability of orthodontic tooth movement with aligners: Effect of treatment design. Prog. Orthod. 2023, 24, 2. [Google Scholar] [CrossRef]
- Morton, J.; Derakhshan, M.; Kaza, S.; Li, C. Design of the Invisalign system performance. Semin. Orthod. 2017, 23, 3–11. [Google Scholar] [CrossRef]
- Upadhyay, M.; Arqub, S.A. Biomechanics of clear aligners: Hidden truths & first principles. J. World Fed. Orthod. 2022, 11, 12–21. [Google Scholar]
- Brezniak, N. The clear plastic appliance: A biomechanical point of view. Angle Orthod. 2008, 78, 381–382. [Google Scholar] [CrossRef] [PubMed]
- Barone, S.; Paoli, A.; Razionale, A.V.; Savignano, R. Computational design and engineering of polymeric orthodontic aligners. Int. J. Numer. Methods Biomed. Eng. 2017, 33, e2839. [Google Scholar] [CrossRef]
- Gomez, J.P.; Peña, F.M.; Martínez, V.; Giraldo, D.C.; Cardona, C.I. Initial force systems during bodily tooth movement with plastic aligners and composite attachments: A three-dimensional finite element analysis. Angle Orthod. 2015, 85, 454–460. [Google Scholar] [CrossRef]
- Hahn, W.; Engelke, B.; Jung, K.; Dathe, H.; Fialka-Fricke, J.; Kubein-Meesenburg, D.; Sadat-Khonsari, R. Initial forces and moments delivered by removable thermoplastic appliances during rotation of an upper central incisor. Angle Orthod. 2010, 80, 239–246. [Google Scholar] [CrossRef] [PubMed]
- Rivero, J.C.; Yeste, F.; Nogal, A. Tratamiento de las maloclusiones con ortodoncia transparente. RCOE 2017, 22, 87–96. [Google Scholar]
- Tai, S. A comparison between edgewise appliances and clear aligners. In Clear Aligner Technique; Tai, S., Ed.; Quintessence Publishing: Berlin, Germany, 2018. [Google Scholar]
- Nabbout, F.; Baron, P. Anchorage in Orthodontics: Three-dimensional Scanner Input. J. Int. Soc. Prev. Community Dent. 2018, 8, 6–11. [Google Scholar] [CrossRef] [PubMed]
- Loberto, S.; Paoloni, V.; Pavoni, C.; Cozza, P.; Lione, R. Anchorage loss evaluation during maxillary molars distalization performed by clear aligners: A retrospective study on 3D digital casts. Appl. Sci. 2023, 13, 3646. [Google Scholar] [CrossRef]
- Kaur, H.; Truong, J.; Heo, G.; Mah, J.K.; Major, P.W.; Romanyk, D.L. An in vitro evaluation of orthodontic aligner biomechanics around the maxillary arch. Am. J. Orthod. Dentofac. Orthop. 2021, 160, 401–409. [Google Scholar] [CrossRef] [PubMed]
- Sarver, D.M. David M Sarver. Rev. Dent. Press Ortodon. Ortop. Facial. 2007, 12, 25–31. [Google Scholar] [CrossRef]
- Sarver, D.M.; Ackerman, M.B. Dynamic smile visualization and quantification and its impact on orthodontic diagnosis and treatment planning. In The Art of Smile: Integrating Prosthodontics, Orthodontics, Periodontics, Dental Technology and Plastic Surgery; Quintessence: Chicago, IL, USA, 2005; pp. 99–139. [Google Scholar]
- Castroflorio, T.; Rossini, G.; Parrini, S. Theoretical and practical considerations in planning an orthodontic treatment with clear aligners. In Principles and Biomechanics of Aligner Treatment; Nanda, R., Castroflorio, T., Garino, F., Ojima, K., Eds.; Elsevier: St. Louis, MO, USA, 2021. [Google Scholar]
- Caruso, S.; Nota, A.; Ehsani, S.; Maddalone, E.; Ojima, K.; Tecco, S. Impact of molar teeth distalization with clear aligners on occlusal vertical dimension: A retrospective study. BMC Oral Health 2019, 19, 182. [Google Scholar] [CrossRef] [PubMed]
- Palma, S. Distalización simultánea usando TADs y técnica Invisalign. Consideraciones biomecánicas de los alineadores. Ortod. Esp. 2021, 1, 89–103. [Google Scholar]
- Shi, X.; Mao, J.; Liu, Y. [Clinical efficacy and influencing factors of molar distalization with clear aligners]. Chin. J. Stomatol. 2022, 57, 762–768. [Google Scholar]
- Daher, S.D. Sam Daher’s Techniques for Class II Correction with Invisalign and Elastics; Align Technology: Santa Clara, CA, USA, 2011. [Google Scholar]
- Vlaskalic, V.; Samoto, H. Class II correction with weekly changes of computer-generated aligners: Distalize or jump. J. Clin. Orthod. 2018, 52, 684–700. [Google Scholar]
- Al-Balaa, M.; Li, H.; Mohamed, A.M.; Xia, L.; Liu, W.; Chen, Y.; Omran, T.; Li, S.; Hua, X. Predicted and actual outcome of anterior intrusion with Invisalign assessed with cone-beam computed tomography. Am. J. Orthod. Dentofac. Orthop. 2021, 159, e275–e280. [Google Scholar] [CrossRef] [PubMed]
- Karkow, K. Efficacy of Invisalign: A Retrospective Case Series of Intrusion, Extrusion, and Rotation with Trend Analysis. Masters’ Thesis, Marquette University, Milwaukee, MI, USA, 2020. [Google Scholar]
- Goh, S.; Dreyer, C.; Weir, T. The predictability of the mandibular curve of Spee leveling with the Invisalign appliance. Am. J. Orthod. Dentofac. Orthop. 2022, 162, 193–200. [Google Scholar] [CrossRef] [PubMed]
- Lim, Z.W.; Meade, M.J.; Weir, T. The predictability of maxillary curve of Spee leveling with the Invisalign appliance. Angle Orthod. 2023, 93, 638–643. [Google Scholar] [CrossRef] [PubMed]
- Martínez, D. Corrección vertical y sagital sin TADs de un paciente con mordida profunda y Clase II tratado con ortodoncia transparente. A propósito de un caso. Ortod. Esp. 2022, 60, 55–71. [Google Scholar]
- Gracco, A.; Gemelli, S.; Lombardo, L.; Siciliani, G. Upper incisor intrusion: An anatomical analysis via CBCT. Int. Orthod. 2011, 9, 210–223. [Google Scholar] [CrossRef] [PubMed]
- Li, Y.; Xiao, S.; Jin, Y.; Zhu, C.; Li, R.; Zheng, Y.; Chen, R.; Xia, L.; Fang, B. Stress and movement trend of lower incisors with different IMPA intruded by clear aligner: A three-dimensional finite element analysis. Prog. Orthod. 2023, 24, 5. [Google Scholar] [CrossRef] [PubMed]
- Liu, Y.; Hu, W. Force changes associated with different intrusion strategies for deep-bite correction by clear aligners. Angle Orthod. 2018, 88, 771–778. [Google Scholar] [CrossRef] [PubMed]
- Machado, R.M. Space closure using aligners. Dent. Press J. Orthod. 2020, 25, 85–100. [Google Scholar] [CrossRef] [PubMed]
- Feng, X.; Jiang, Y.; Zhu, Y.; Hu, L.; Wang, J.; Qi, Y.; Ma, S. Comparison between the designed and achieved mesiodistal angulation of maxillary canines and posterior teeth and influencing factors: First premolar extraction treatment with clear aligners. Am. J. Orthod. Dentofac. Orthop. 2022, 162, e63–e70. [Google Scholar] [CrossRef]
- Samoto, H.; Vlaskalic, V. A customized staging procedure to improve the predictability of space closure with sequential aligners. J. Clin. Orthod. 2014, 48, 359–367. [Google Scholar]
- Chang, S.; Schupp, W.; Haubrich, J.; Yeh, W.C.; Tsai, M.S.; Tabancis, M. Aligner therapy in treating bimaxillary dentoalveolar protrusión. J. Align. Orthod. 2019, 3, 277–301. [Google Scholar]
- Ho, C.-T.; Huang, Y.-T.; Chao, C.-W.; Huang, T.-H.; Kao, C.-T. Effects of different aligner materials and attachments on orthodontic behavior. J. Dent. Sci. 2021, 16, 1001–1009. [Google Scholar] [CrossRef]
- Yao, S.; Jiang, W.; Wang, C.; He, Y.; Wang, C.; Huang, L. Improvements of tooth movement efficiency and torque control in expanding the arch with clear aligners: A finite element analysis. Front. Bioeng. Biotechnol. 2023, 11, 1120535. [Google Scholar] [CrossRef]
- Kravitz, N.D.; Kusnoto, B.; Agran, B.; Viana, G. Influence of attachments and interproximal reduction on the accuracy of canine rotation with Invisalign. A prospective clinical study. Angle Orthod. 2008, 78, 682–687. [Google Scholar] [CrossRef] [PubMed]
- Stephens, C.; Weir, T.; Llewellyn, S.; Freer, E.; Kerr, B. Clinical expression of programmed mandibular canine rotation using various attachment protocols and 1- vs 2-week wear protocols with Invisalign SmartTrack aligners: A retrospective cohort study. Am. J. Orthod. Dentofac. Orthop. 2022, 162, e103–e115. [Google Scholar] [CrossRef] [PubMed]
- Lione, R.; Paoloni, V.; De Razza, F.C.; Pavoni, C.; Cozza, P. Analysis of Maxillary First Molar Derotation with Invisalign Clear Aligners in Permanent Dentition. Life 2022, 12, 1495. [Google Scholar] [CrossRef]
- Cao, Y.; Wang, Z.W.; Chen, D.; Liu, L.; Li, D.X.; Li, N.; Ying, S.Q.; Liu, X.; Jin, F. The effect of space arrangement between anterior teeth on their retraction with clear aligners in first premolar extraction treatment: A finite element study. Prog. Orthod. 2023, 24, 39. [Google Scholar] [CrossRef]










Disclaimer/Publisher’s Note: The statements, opinions and data contained in all publications are solely those of the individual author(s) and contributor(s) and not of MDPI and/or the editor(s). MDPI and/or the editor(s) disclaim responsibility for any injury to people or property resulting from any ideas, methods, instructions or products referred to in the content. |
© 2024 by the authors. Licensee MDPI, Basel, Switzerland. This article is an open access article distributed under the terms and conditions of the Creative Commons Attribution (CC BY) license (https://creativecommons.org/licenses/by/4.0/).
Share and Cite
Martínez-Lozano, D.; Castellanos-Andrés, D.; López-Jiménez, A.-J. Staging of Orthodontic Tooth Movement in Clear Aligner Treatment: Macro-Staging and Micro-Staging—A Narrative Review. Appl. Sci. 2024, 14, 6690. https://doi.org/10.3390/app14156690
Martínez-Lozano D, Castellanos-Andrés D, López-Jiménez A-J. Staging of Orthodontic Tooth Movement in Clear Aligner Treatment: Macro-Staging and Micro-Staging—A Narrative Review. Applied Sciences. 2024; 14(15):6690. https://doi.org/10.3390/app14156690
Chicago/Turabian StyleMartínez-Lozano, David, David Castellanos-Andrés, and Alberto-José López-Jiménez. 2024. "Staging of Orthodontic Tooth Movement in Clear Aligner Treatment: Macro-Staging and Micro-Staging—A Narrative Review" Applied Sciences 14, no. 15: 6690. https://doi.org/10.3390/app14156690
APA StyleMartínez-Lozano, D., Castellanos-Andrés, D., & López-Jiménez, A.-J. (2024). Staging of Orthodontic Tooth Movement in Clear Aligner Treatment: Macro-Staging and Micro-Staging—A Narrative Review. Applied Sciences, 14(15), 6690. https://doi.org/10.3390/app14156690

