Deep Learning Realizes Photoacoustic Imaging Artifact Removal
Abstract
1. Introduction
2. Materials and Methods
2.1. Overview of the Framework
2.2. Deep Learning Algorithm for Photoacoustic Image Segmentation
2.3. Deep Learning Algorithm for Photoacoustic Image Artifact Removal
3. Results
3.1. Experimental Setup
3.2. Evaluation Metrics
3.3. Brain Tumor Dataset
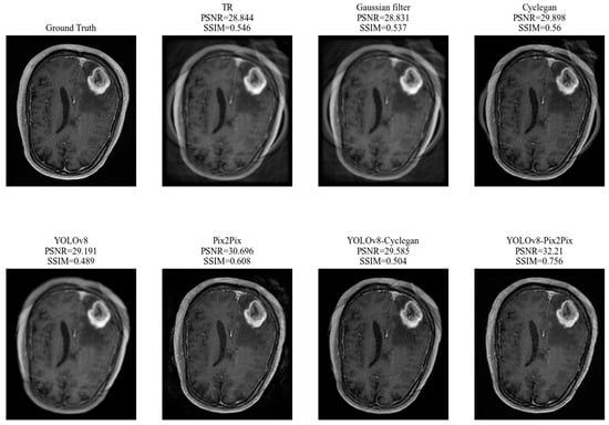
3.3.1. The Experimental Results and Analysis of the Removal of Artifacts
3.3.2. Photoacoustic Image Segmentation Experimental Results and Analysis
3.4. Photoacoustic Detection Experiment
3.4.1. Data Acquisition
3.4.2. The Experimental Results and Analysis of the Removal of Artifacts
4. Discussion
Author Contributions
Funding
Institutional Review Board Statement
Informed Consent Statement
Data Availability Statement
Acknowledgments
Conflicts of Interest
References
- Zhang, Y.; Glorieux, C.; Yang, S.; Gu, K.; Xia, Z.; Hou, R.; Hou, L.; Liu, X.; Xiong, J. Adaptive polarization photoacoustic computed tomography for biological anisotropic tissue imaging. Photoacoustics 2023, 32, 100543. [Google Scholar] [CrossRef]
- Hauptmann, A.; Cox, B. Deep learning in photoacoustic tomography: Current approaches and future directions. J. Biomed. Opt. 2020, 25, 112903. [Google Scholar] [CrossRef]
- Dadkhah, A.; Jiao, S. Integrating photoacoustic microscopy with other imaging technologies for multimodal imaging. Exp. Biol. Med. 2021, 246, 771–777. [Google Scholar] [CrossRef] [PubMed]
- Singh, M.K.A.; Xia, W. Portable and Affordable Light Source-Based Photoacoustic Tomography. Sensors 2020, 20, 6173. [Google Scholar] [CrossRef]
- Chen, Q.; Qin, W.; Qi, W.; Xi, L. Progress of clinical translation of handheld and semi-handheld photoacoustic imaging. Photoacoustics 2021, 22, 100264. [Google Scholar] [CrossRef] [PubMed]
- Zheng, Y.; Liu, M.; Jiang, L. Progress of photoacoustic imaging combined with targeted photoacoustic contrast agents in tumor molecular imaging. Front. Chem. 2022, 10, 1077937. [Google Scholar] [CrossRef] [PubMed]
- Han, S.; Ninjbadgar, T.; Kang, M.; Kim, C.; Kim, J. Recent advances in photoacoustic agents for theranostic applications. Nanomaterials 2023, 13, 695. [Google Scholar] [CrossRef] [PubMed]
- Yu, Y.; Feng, T.; Qiu, H.; Gu, Y.; Chen, Q.; Zuo, C.; Ma, H. Simultaneous photoacoustic and ultrasound imaging: A review. Ultrasonics 2024, 139, 107277. [Google Scholar] [CrossRef] [PubMed]
- Zhang, C.; Liu, G.; Xie, Z.; Shu, Z.; Ren, Z.; Yao, Q. Vascular recognition system based on photoacoustic detection. J. Laser Appl. 2021, 33, 012051. [Google Scholar] [CrossRef]
- Meng, J.; Yu, J.; Wu, Z.; Ma, F.; Zhang, Y.; Liu, C. WSA-MP-Net: Weak-signal-attention and multi-scale perception network for microvascular extraction in optical-resolution photoacoustic microcopy. Photoacoustics 2024, 37, 100600. [Google Scholar] [CrossRef]
- Guan, S.; Khan, A.A.; Sikdar, S.; Chitnis, P.V. Fully Dense UNet for 2-D Sparse Photoacoustic Tomography Artifact Removal. IEEE J. Biomed. Health Inform. 2020, 24, 568–576. [Google Scholar] [CrossRef] [PubMed]
- Shen, K.; Liu, S.; Feng, T.; Yuan, J.; Zhu, B.; Tian, C. Negativity artifacts in back-projection based photoacoustic tomography. J. Phys. D-Appl. Phys. 2021, 54, 074001. [Google Scholar] [CrossRef]
- Qi, Y.; Cao, H.; Yin, G.; Zhang, B.; Guo, J. Optimized Reconstruction Procedure of Photoacoustic Imaging for Reflection Artifacts Reduction. Ultrason. Imaging 2022, 44, 204–212. [Google Scholar] [CrossRef] [PubMed]
- Guo, M.; Lan, H.; Yang, C.; Liu, J.; Gao, F. AS-Net: Fast Photoacoustic Reconstruction with Multi-Feature Fusion from Sparse Data. IEEE Trans. Comput. Imaging 2022, 8, 215–223. [Google Scholar] [CrossRef]
- Nguyen, H.N.Y.; Steenbergen, W. Feasibility of identifying reflection artifacts in photoacoustic imaging using two-wavelength excitation. Biomed. Opt. Express 2020, 11, 5745–5759. [Google Scholar] [CrossRef] [PubMed]
- Huang, M.; Liu, W.; Sun, G.; Shi, C.; Liu, X.; Han, K.; Liu, S.; Wang, Z.; Xie, Z.; Guo, Q. Unveiling precision: A data-driven approach to enhance Photoacoust. imaging with sparse data. Biomed. Opt. Express 2024, 15, 28–43. [Google Scholar] [CrossRef] [PubMed]
- Lu, M.; Liu, X.; Liu, C.; Li, B.; Gu, W.; Jiang, J.; Ta, D. Artifact removal in photoacoustic tomography with an unsupervised method. Biomed. Opt. Express 2021, 12, 6284–6299. [Google Scholar] [CrossRef]
- Hakakzadeh, S.; Amjadian, M.; Zhang, Y.; Mostafavi, S.M.; Kavehvash, Z.; Wang, L. Signal restoration algorithm for photoacoustic imaging systems. Biomed. Opt. Express 2023, 14, 651–666. [Google Scholar] [CrossRef]
- Hakakzadeh, S.; Rajendran, P.; Nili, V.A.; Kavehvash, Z.; Pramanik, M. A Spatial-Domain Factor for Sparse-Sampling Circular-View Photoacoustic Tomography. IEEE J. Sel. Top. Quantum Electron. 2023, 29, 6800409. [Google Scholar] [CrossRef]
- Judith, A.M.; Priya, S.B.; Mahendran, R.K. Artifact Removal from EEG signals using Regenerative Multi-Dimensional Singular Value Decomposition and Independent Component Analysis. Biomed. Signal Process. Control 2022, 74, 103452. [Google Scholar] [CrossRef]
- Yang, Y.; Hui, H.J.; Zeng, L.L.; Zhao, Y.; Zhan, Y.Z.; Yan, T. Edge-Preserving Image Filtering Based on Soft Clustering. IEEE Trans. Circuits Syst. Video Technol. 2022, 32, 4150–4162. [Google Scholar] [CrossRef]
- Chen, W.; Tao, C.; Hu, Z.; Yuan, S.; Liu, Q.; Liu, X. Non-invasive and low-artifactin vivo brain imaging by using a scanning acoustic-photoacoustic dual mode microscopy. Chin. Phys. B 2022, 31, 044304. [Google Scholar] [CrossRef]
- Singh, M.K.A.; Jaeger, M.; Frenz, M.; Steenbergen, W. In vivo demonstration of reflection artifact reduction in photoacoustic imaging using synthetic aperture photoacoustic-guided focused ultrasound (PAFUSion). Biomed. Opt. Express 2016, 7, 2955–2972. [Google Scholar] [CrossRef]
- Godefroy, G.; Arnal, B.; Bossy, E. Compensating for visibility artefacts in photoacoustic imaging with a deep learning approach providing prediction uncertainties. Photoacoustics 2021, 21, 100218. [Google Scholar] [CrossRef]
- Shahid, H.; Khalid, A.; Yue, Y.; Liu, X.; Ta, D. Feasibility of a generative adversarial network for artifact removal in experimental photoacoustic imaging. Ultrasound Med. Biol. 2022, 48, 1628–1643. [Google Scholar] [CrossRef] [PubMed]
- Lan, H.; Jiang, D.; Yang, C.; Gao, F.; Gao, F. Y-Net: Hybrid deep learning image reconstruction for photoacoustic tomography in vivo. Photoacoustics 2020, 20, 100197. [Google Scholar] [CrossRef] [PubMed]
- Vu, T.; Li, M.; Humayun, H.; Zhou, Y.; Yao, J. A generative adversarial network for artifact removal in photoacoustic computed tomography with a linear-array transducer. Exp. Biol. Med. 2020, 245, 597–605. [Google Scholar] [CrossRef] [PubMed]
- Zhang, H.; Li, H.; Nyayapathi, N.; Wang, D.; Le, A.; Ying, L.; Xia, J. A New Deep Learning Network for Mitigating Limited-view and Under-sampling Artifacts in Ring-shaped Photoacoustic Tomography. Comput. Med. Imaging Graph. 2020, 84, 101720. [Google Scholar] [CrossRef]
- Guan, S.; Khan, A.A.; Sikdar, S.; Chitnis, P.V. Limited-View and Sparse Photoacoustic Tomography for Neuroimaging with Deep Learning. Sci. Rep. 2020, 10, 8510. [Google Scholar] [CrossRef]
- Liang, B.; Wang, S.; Shen, F.; Liu, Q.H.; Gong, Y.; Yao, J. Acoustic impact of the human skull on transcranial photoacoustic imaging. Biomed. Opt. Express 2021, 12, 1512–1528. [Google Scholar] [CrossRef]
- Kang, M.; Ting, C.-M.; Ting, F.F.; Phan, R.C.-W. Bgf-yolo: Enhanced yolov8 with multiscale attentional feature fusion for brain tumor detection. arXiv 2023, arXiv:2309.12585. [Google Scholar]
- Dong, C.; Du, G. An enhanced real-time human pose estimation method based on modified YOLOv8 framework. Sci. Rep. 2024, 14, 8012. [Google Scholar] [CrossRef]
- Reis, D.; Kupec, J.; Hong, J.; Daoudi, A. Real-time flying object detection with YOLOv8. arXiv 2023, arXiv:2305.09972. [Google Scholar]
- Zhang, J.; Gong, Q.; Zhang, H.; Wang, Y.; Wang, Y. A Novel Pix2Pix Enabled Traveling Wave-Based Fault Location Method. Sensors 2021, 21, 1633. [Google Scholar] [CrossRef]
- Xu, T.; Yan, H.; Yu, H.; Zhang, Z. Removing Time Dispersion from Elastic Wave Modeling with the pix2pix Algorithm Based on cGAN. Remote Sens. 2023, 15, 3120. [Google Scholar] [CrossRef]
- Karimipourfard, M.; Sina, S.; Mahani, H.; Karimkhani, S.; Sadeghi, M.; Alavi, M.; Faghihi, R. A Taguchi-optimized Pix2pix generative adversarial network for internal dosimetry in 18F-FDG PET/CT. Radiat. Phys. Chem. 2024, 218, 111532. [Google Scholar] [CrossRef]









| Type | Parameter |
|---|---|
| CPU | Intel(R) Core(TM) i7-10700 |
| RAM | 32 GB |
| GPU | NVIDIA Quadro P2200 |
| Programming language | Python 3.10 |
| Deep learning framework | PyTorch 2.2.1, CUDA 12.1 |
| Dependency library | Numpy 1.26.4, tqdm 4.66.2, tensorboard 2.16.2, opencv-python 4.9.0.80 |
| Network | Main Hyperparameters | Specific Values |
|---|---|---|
| YOLOv8 | Batch size | 16 |
| Image size | 640 | |
| Optimiser | Adam | |
| Momentum | 0.937 | |
| Initial learning rate | 0.01 | |
| epoch | 300 | |
| Pix2Pix | Batch_size | 1 |
| Momentum | 0.5 | |
| Optimiser | Adam | |
| Loss function | cGAN | |
| Initial learning rate | 0.0002 | |
| epoch | 200 |
| TR | Gaussian Filter | Cyclegan | Pix2Pix | YOLOv8 | YOLOv8-Cyclegan | YOLOv8-Pix2Pix | |
|---|---|---|---|---|---|---|---|
| PSNR | 28.918 | 28.821 | 29.998 | 30.421 | 29.113 | 29.568 | 31.459 |
| SSIM | 0.566 | 0.526 | 0.571 | 0.612 | 0.491 | 0.513 | 0.650 |
| Precision | Recall | Accuracy | IoU | Mean BFScore | Dice | ||
|---|---|---|---|---|---|---|---|
| Artifact Image | All | 0.915 | 0.852 | 0.961 | 0.773 | 0.863 | 0.864 |
| Brain tumor | 0.843 | 0.704 | 0.970 | 0.621 | 0.766 | 0.766 | |
| Brain | 0.986 | 1 | 0.952 | 0.924 | 0.961 | 0.961 | |
| Artifact-free Image | All | 0.955 | 0.932 | 0.986 | 0.946 | 0.972 | 0.973 |
| Brain tumor | 0.918 | 0.864 | 0.994 | 0.928 | 0.963 | 0.963 | |
| Brain | 0.992 | 1 | 0.978 | 0.964 | 0.982 | 0.982 |
| Phantom I | Phantom II | Phantom III | Phantom IV | ||
|---|---|---|---|---|---|
| Artifact Image | PSNR | 74.089 | 78.531 | 71.162 | 54.164 |
| SSIM | 0.993 | 0.995 | 0.985 | 0.646 | |
| Artifact-free Image | PSNR | 79.988 | 78.933 | 74.514 | 73.616 |
| SSIM | 0.998 | 0.997 | 0.996 | 0.992 |
Disclaimer/Publisher’s Note: The statements, opinions and data contained in all publications are solely those of the individual author(s) and contributor(s) and not of MDPI and/or the editor(s). MDPI and/or the editor(s) disclaim responsibility for any injury to people or property resulting from any ideas, methods, instructions or products referred to in the content. |
© 2024 by the authors. Licensee MDPI, Basel, Switzerland. This article is an open access article distributed under the terms and conditions of the Creative Commons Attribution (CC BY) license (https://creativecommons.org/licenses/by/4.0/).
Share and Cite
He, R.; Chen, Y.; Jiang, Y.; Lei, Y.; Yan, S.; Zhang, J.; Cao, H. Deep Learning Realizes Photoacoustic Imaging Artifact Removal. Appl. Sci. 2024, 14, 5161. https://doi.org/10.3390/app14125161
He R, Chen Y, Jiang Y, Lei Y, Yan S, Zhang J, Cao H. Deep Learning Realizes Photoacoustic Imaging Artifact Removal. Applied Sciences. 2024; 14(12):5161. https://doi.org/10.3390/app14125161
Chicago/Turabian StyleHe, Ruonan, Yi Chen, Yufei Jiang, Yuyang Lei, Shengxian Yan, Jing Zhang, and Hui Cao. 2024. "Deep Learning Realizes Photoacoustic Imaging Artifact Removal" Applied Sciences 14, no. 12: 5161. https://doi.org/10.3390/app14125161
APA StyleHe, R., Chen, Y., Jiang, Y., Lei, Y., Yan, S., Zhang, J., & Cao, H. (2024). Deep Learning Realizes Photoacoustic Imaging Artifact Removal. Applied Sciences, 14(12), 5161. https://doi.org/10.3390/app14125161
