Potent Effect of Phlorotannins Derived from Sargassum linifolium as Antioxidant and Antidiabetic in a Streptozotocin-Induced Diabetic Rats Model
Abstract
1. Introduction
2. Materials and Methods
2.1. Studied Brown Alga
2.2. Phlorotannins Extraction
2.3. Characterization of Extracted Phlorotannins
2.3.1. Antioxidant Activity of Phlorotannins In Vitro
2.3.2. Determination of the Cytotoxicity of Phlorotannins with MTT Assay
2.4. Experimental Animals
2.4.1. Diabetes Induction
2.4.2. Animal Groups
2.4.3. Biochemical Parameters
2.4.4. Quantitative Real-Time RT-PCR for AMP-Activated Protein Kinase
2.4.5. Histological Examination
2.5. Statistical Analysis
3. Results and Discussion
3.1. UV Spectrophotometer
3.2. FT-IR Spectroscopy Analysis
3.3. Determination of Total Phlorotannins Content by DMBA Assay
3.4. Antioxidant Activity of Phlorotannins Extracted from S. linifolium Brown Alga
3.4.1. DPPH Radical Scavenging Activity
3.4.2. Radical Scavenging Assay (ABTS+)
3.5. Cytotoxicity Assay
3.6. In Vivo Study
3.7. Effect of Phlorotannin Extracts on AMP-Activated Protein Kinase (AMPK) Expression
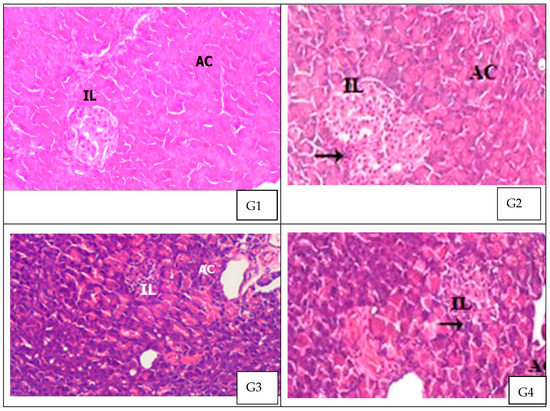
3.8. Histopathological Findings
4. Conclusions
Author Contributions
Funding
Institutional Review Board Statement
Informed Consent Statement
Data Availability Statement
Acknowledgments
Conflicts of Interest
References
- Ghosh, S.; Bhattacharyya, S.; Rashid, K.; Sil, P.C. Curcumin protects rat liver from streptozotocin-induced diabetic pathophysiology by counteracting reactive oxygen species and inhibiting the activation of p53 and MAPKs. Toxicol. Rep. 2015, 2, 365–376. [Google Scholar] [CrossRef]
- El Barky, A.R.; Hussein, S.A.; Alm-Eldeen, A.A.; Hafez, Y.A.; Mohamed, T.M. Anti-diabetic activity of Holothuria thomasi saponin. Biomed. Pharmacother. 2016, 84, 1472–1487. [Google Scholar] [CrossRef] [PubMed]
- Rayapu, L.; Chakraborty, K.; Valluru, L. Marine Algae as a Potential Source for Anti-diabetic Compounds—A Brief Review. Curr. Pharm. Des. 2021, 27, 789–801. [Google Scholar] [CrossRef]
- Gunathilaka, T.L.; Samarakoon, K.; Ranasinghe, P.; Peiris, L.D.C. Antidiabetic Potential of Marine Brown Algae—A Mini Review. J. Diabetes Res. 2020, 2020, 1230218. [Google Scholar] [CrossRef] [PubMed]
- Unnikrishnan, P.S.; Jayasri, M.A. Marine Algae as a Prospective Source For Antidiabetic Compounds—A Brief Review. Curr. Diabetes Rev. 2018, 14, 237–245. [Google Scholar] [CrossRef] [PubMed]
- Venkatesan, J.; Keekan, K.K.; Anil, S.; Bhatnagar, I.; Kim, S.K. Phlorotannins. Encycl. Food Chem. 2019, 3, 515–527. [Google Scholar]
- Ferreres, F.; Lopes, G.; Gil-Izquierdo, A.; Andrade, P.B.; Sousa, C.; Mouga, T.; Valentão, P. Phlorotannin extracts from Fucales characterized by HPLC-DAD-ESI-MSn: Approaches to hyaluronidase inhibitory capacity and antioxidant properties. Mar. Drugs 2012, 10, 2766–2781. [Google Scholar] [CrossRef] [PubMed]
- Negara, B.F.S.P.; Sohn, J.H.; Kim, J.S.; Choi, J.S. Effects of Phlorotannins on Organisms: Focus on the Safety, Toxicity, and Availability of Phlorotannins. Foods 2021, 19, 452. [Google Scholar] [CrossRef]
- Saurav, K.; Costantino, V.; Venturi, V.; Steindler, L. Quorum sensing inhibitors from the sea discovered using bacterial N-acyl-homoserine lactone-based biosensors. Mar. Drugs 2017, 15, 53. [Google Scholar] [CrossRef]
- Schoenwaelder, M.E.A.; Clayton, M.N. Physode formation in embryos of Phyllospora comosa and Hormosira banksii (Phaeopbyceae). Phycologia 2000, 39, 1–9. [Google Scholar] [CrossRef]
- Koivikko, R.; Loponen, J.; Honkanen, T.; Jormalainen, V. Contents of soluble, cell-wall-bound and exuded phlorotannins in the brown alga Fucus vesiculosus, with implications on their ecological functions. J. Chem. Ecol. 2005, 31, 195–212. [Google Scholar] [CrossRef] [PubMed]
- Hidayati, J.R.; Yudiati, E.; Pringgenies, D.; Arifin, Z.; Oktaviyanti, D.T. Antioxidant activities, total phenolic compound and pigment contents of tropical Sargassum sp. extract, macerated in different solvents polarity. J. Kelaut. Trop. 2019, 22, 73–80. [Google Scholar] [CrossRef]
- Hodhodi, A.; Babakhani, A.; Rostamzad, H. Effect of different extraction conditions on phlorotannin content and antioxidant activity of extract from brown algae (Sargassum angustifolium). J. Food Process. Preserv. 2022, 46, e16307. [Google Scholar] [CrossRef]
- Ismail, G.A.; Gheda, S.F.; Abo-shady, A.M.; Abdel-karim, O.H. In vitro potential activity of some seaweeds as antioxidants and inhibitors of diabetic enzymes. Food Sci. Technol. 2019, 40, 681–691. [Google Scholar] [CrossRef]
- Abdel-Karim, O.H.; Abo-Shady, A.M.; Ismail, G.A.; Gheda, S.F. Potential effect of Turbinaria decurrens acetone extract on the biochemical and histological parameters of alloxan-induced diabetic rats. Int. J. Environ. Health Res. 2022, 32, 1447–1468. [Google Scholar] [CrossRef] [PubMed]
- Iken, K.; Amsler, C.D.; Hubbard, J.M.; McClintock, J.B.; Baker, B.J. Allocation patterns of phlorotannins in Antarctic brown algae. Phycologia 2007, 46, 386–395. [Google Scholar] [CrossRef]
- Parys, S.; Kehraus, S.; Pete, R.; Küpper, F.C.; Glombitza, K.W.; König, G.M. Seasonal variation of polyphenolics in Ascophyllum nodosum (Phaeophyceae). Eur. J. Phycol. 2009, 44, 331–338. [Google Scholar] [CrossRef]
- Aleem, A. The marine algae of the Alexandria, Egypt. Privately published, Alexandria, Egypt, 139p. Adv. Appl. Sci. Res. 1993, 5, 74–81. [Google Scholar]
- Jha, B.; Reddy, C.R.K.; Thakur, M.C.; Rao, M.U. Seaweeds India: The Diversity and Distribution of Seaweeds of the Gujarat Coast; Springer: Dordrecht, The Netherlands, 2009; Volume 3, 215p. [Google Scholar] [CrossRef]
- Koivikko, R.; Loponen, J.; Pihlaja, K.; Jormalainen, V. High-performance liquid chromatographic analysis of phlorotannins from the brown alga Fucus vesiculosus. Phytochem. Anal. 2007, 18, 326–332. [Google Scholar] [CrossRef]
- Stern, J.L.; Hagerman, A.E.; Steinberg, P.D.; Winter, F.C.; Estes, J.A. A new assay for quantifying brown algal phlorotannins and comparisons to previous methods. J. Chem. Ecol. 1996, 7, 1273–1293. [Google Scholar] [CrossRef] [PubMed]
- Esmaeilzadeh Kenari, R.; Mohsenzadeh, F.; Amiri, Z.R. Antioxidant activity and total phenolic compounds of Dezful sesame cake extracts obtained by classical and ultrasound-assisted extraction methods. Food Sci. Nutr. 2014, 2, 426–435. [Google Scholar] [CrossRef] [PubMed]
- Montero, L.; Herrero, M.; Ibanez, E.; Cifuentes, A. Separation and characterization of phlorotannins from brown alga Cystoseira abies-marina by comprehensive two-dimensional liquid chromatography. Electrophoresis 2014, 35, 1644–1651. [Google Scholar] [CrossRef]
- Lien, E.J.; Ren, S.; Bui, H.-H.; Wang, R. Quantitative structure-activity relationship analysis of phenolic antioxidants. Free. Radic. Biol. Med. 1999, 26, 285–294. [Google Scholar] [CrossRef]
- Tariq, M.; Masoud, M.S.; Mehmood, A.; Khan, S.N.; Riazuddin, S. Stromal cell derived factor-1alpha protects stem cell derived insulin-producing cells from glucotoxicity under high glucose conditions in-vitro and ameliorates drug induced diabetes in rats. J. Transl. Med. 2013, 11, 115. [Google Scholar] [CrossRef] [PubMed]
- Cheng, D.; Liang, B.; Li, Y. Antihyperglycemic effect of Ginkgo biloba extract in streptozotocin-induced diabetes in rats. Biomed. Res. Int. 2013, 2013, 162724. [Google Scholar] [CrossRef]
- Jung, Y.S.; Cho, Y.-H.; Han, C.H. Anti-nflammatory effect of phlorotannin on chronic nonbacterial prostatitis in a rat model. Korean J. Urogenit. Tract Infect. Inflamm. 2014, 9, 86–92. [Google Scholar] [CrossRef]
- Wu, A. Tietz Clinical Guide to Laboratory Tests, 4th ed.; Saunders: Philadelphia, PA, USA, 2006; p. 1816. ISBN 9781437719871. [Google Scholar]
- Winn-Deen, E.S.; David, H.; Sigler, G.; Chavez, R. Development of a direct assay for alpha-amylase. Clin. Chem. 1988, 34, 2005–2008. [Google Scholar] [CrossRef]
- Thilagam, E.; Parimaladevi, B.; Kumarappan, C.; Chandra Mandal, S. α-Glucosidase and α-amylase inhibitory activity of Senna surattensis. J. Acupunct. Meridian Stud. 2013, 6, 24–30. [Google Scholar] [CrossRef]
- Tietz, N.W. (Ed.) Textbook of Clinical Chemistry; Sauders: Philadelphia, PA, USA, 1986; pp. 1271–1281. [Google Scholar] [CrossRef]
- Stein, E.A. Lipids, lipoproteins, and apolipoproteins. In Fundamentals of Clinical Chemistry, 3rd ed.; Tietz, N.W., Ed.; WB Saunders: Philadelphia, PA, USA, 1987; p. 448. [Google Scholar]
- Zhang, J.; Shen, H.; Wang, X.; Wu, J.; Xue, Y. Effects of chronic exposure of 2,4-dichlorophenol on the antioxidant system in liver of freshwater fish Carassius auratus. Chemosphere 2004, 55, 167–174. [Google Scholar] [CrossRef] [PubMed]
- Beutler, E.; Duron, O.; Kelly, B.M. Improved method for the determination of blood glutathione. J. Lab. Clin. Med. 1963, 61, 882–888. [Google Scholar]
- Koracevic, D.; Koracevic, G.; Djordjevic, V.; Andrejevic, S.; Cosic, V. Method for the measurement of antioxidant activity in human fluids. J. Clin. Pathol. 2001, 54, 356–361. [Google Scholar] [CrossRef] [PubMed]
- Guan, H.; Yang, K. RNA isolation and real-time quantitative RT-PCR. Methods Mol. Biol. J. 2008, 456, 259–270. [Google Scholar] [CrossRef]
- Pavia, H.; Cervin, G.; Lindgren, A.; Åberg, P. Effects of UV-B radiation and simulated herbivory on phlorotannins in the brown alga Ascophyllum nodosum. Mar. Ecol. Prog. Ser. 1997, 157, 139–146. [Google Scholar] [CrossRef]
- Kamal, M.; Gheda, S.; Abdel Hamid, A.; Mohamed, T.M. Antibacterial and antioxidant activities of Phlorotannins extracted from Sargassum linifolium brown alga. Delta J. Sci. 2020, 41, 32–38. [Google Scholar] [CrossRef]
- Oh, S.Y.; Yoo, D.I.; Shin, Y.; Kim, H.C.; Kim, H.Y.; Chung, Y.S.; Youk, J.H. Crystalline structure analysis of cellulose treated with sodium hydroxide and carbon dioxide by means of X-ray diffraction and FTIR spectroscopy. Carbohydr. Res. 2005, 340, 2376–2391. [Google Scholar] [CrossRef] [PubMed]
- Coward, J.L. FTIR spectroscopy of synthesized racemic nonacosan-10-ol: A model compound for plant epicuticular waxes. J. Biol. Phys. 2010, 36, 405–425. [Google Scholar] [CrossRef]
- Kecskés, T.; Raskó, J.; Kiss, J. FTIR and mass spectrometric study of HCOOH interaction with TiO2 supported Rh and Au catalysts. Appl. Catal. A Gen. 2004, 268, 9–16. [Google Scholar] [CrossRef]
- Breto, J.; Burie, J.R.; Berthomieu, C.; Berger, G.; Nabedryk, E. The binding sites of quinones in photosynthetic bacterial reaction centers investigated by light-induced FTIR difference spectroscopy: Assignment of the QA vibrations in Rhodobacter sphaeroides using 18O-or 13C-labeled ubiquinones and vitamin K1. Biochemistry 1994, 33, 4953–4965. [Google Scholar] [CrossRef]
- Ling, F.T.; Post, J.E.; Heaney, P.J.; Kubicki, J.D.; Santelli, C.M. Fourier-transform infrared spectroscopy (FTIR) analysis of triclinic and hexagonal birnessites. Spectrochim. Acta Part A Mol. Biomol. Spectrosc. 2017, 178, 32–46. [Google Scholar] [CrossRef]
- Das, K.; Kendall, C.; Isabelle, M.; Fowler, C.; Christie-Brown, J.; Stone, N. FTIR of touch imprint cytology: A novel tissue diagnostic technique. J. Photochem. Photobiol. B Biol. 2008, 92, 160–164. [Google Scholar] [CrossRef]
- Baek, S.H.; Cao, L.; Jeong, S.J.; Kim, H.R.; Nam, T.J.; Lee, S.G. The comparison of total phenolics, total antioxidant, and anti-tyrosinase activities of Korean Sargassum species. J. Food Qual. 2021, 2021, 6640789. [Google Scholar] [CrossRef]
- Budhiyanti, S.A.; Raharjo, S.; Marseno, D.W.; Lelana, I.Y. Antioxidant activity of brown algae Sargassum species extracts from the coastline of java island. Am. J. Agric. Biol. Sci. 2012, 7, 337–346. [Google Scholar] [CrossRef]
- Pramesti, R.; Setyati, W.A.; Pringgenies, D.; Zainuddin, M. Phenol Content and Antioxidative Activity in the Extract of Multiple Sargassum Species. Ann. Biol. Sci. 2019, 7, 7–15. [Google Scholar]
- Li, Y.; Fu, X.; Duan, D.; Liu, X.; Xu, J.; Gao, X. Extraction and identification of phlorotannins from the brown alga, Sargassum fusiforme (Harvey) Setchell. Mar. Drugs 2017, 15, 49. [Google Scholar] [CrossRef]
- Boi, V.N.; Trang, N.T.M.; Cuong, D.X.; Ha, H.T. Antioxidant phlorotannin from brown algae Sargassum dupplicatum: Enzyme-assissted extraction and purification. World 2020, 4, 62–68. [Google Scholar]
- Ibrahim, M.R.; Hamouda, R.A.; Tayel, A.A.; Al-Saman, M.A. Anti-cholesterol and antioxidant activities of independent and combined microalgae aqueous extracts in vitro. Waste Biomass Valorization 2021, 12, 4845–4857. [Google Scholar] [CrossRef]
- He, L. Alpha-glucosidase inhibitors as agents in the treatment of diabetes. Diabetes Rev. 1998, 6, 132–145. [Google Scholar]
- Krentz, A.J.; Bailey, C.J. Oral Antidiabetic Agents. Drugs 2005, 65, 385–411. [Google Scholar] [CrossRef]
- Lopes, G.; Andrade, P.B.; Valentão, P. Phlorotannins: Towards New Pharmacological Interventions for Diabetes Mellitus Type 2. Molecules 2016, 30, 56. [Google Scholar] [CrossRef]
- Lee, J.Y.; Kim, S.M.; Jung, W.-S.; Song, D.-G.; Um, B.-H.; Son, J.-K.; Pan, C.-H. Phlorofucofuroeckol-A, a potent inhibitor of aldo-keto reductase family 1 member B10, from the edible brown alga Eisenia bicyclis. J. Korean Soc. Appl. Biol. Chem. 2012, 55, 721–727. [Google Scholar] [CrossRef]
- Park, M.-H.; Heo, S.-J.; Park, P.-J.; Moon, S.-H.; Sung, S.-H.; Jeon, B.-T.; Lee, S.-H. 6,6′-Bieckol Isolated from Ecklonia cava Protects Oxidative Stress Through Inhibiting Expression of ROS and Proinflammatory Enzymes in High-Glucose-Induced Human Umbilical Vein Endothelial Cells. Appl. Biochem. Biotechnol. 2014, 174, 632–643. [Google Scholar] [CrossRef]
- Kawamura-Konishi, Y.; Watanabe, N.; Saito, M.; Nakajima, N.; Sakaki, T.; Katayama, T.; Enomoto, T. Isolation of a new phlorotannin, a potent inhibitor of carbohydrate-hydrolyzing enzymes, from the brown alga Sargassum patens. J. Agric. Food Chem. 2012, 60, 5565–5570. [Google Scholar] [CrossRef]
- Gheda, S.; Naby, M.A.; Mohamed, T.; Pereira, L.; Khamis, A. Antidiabetic and antioxidant activity of phlorotannins extracted from the brown seaweed Cystoseira compressa in streptozotocin-induced diabetic rats. Environ. Sci. Pollut. Res. Int. 2021, 28, 22886–22901. [Google Scholar] [CrossRef] [PubMed]
- Lee, S.H.; Jeon, Y.J. Anti-diabetic effects of brown algae derived phlorotannins, marine polyphenols through diverse mechanisms. Fitoterapia 2013, 86, 129–136. [Google Scholar] [CrossRef]
- Moon, H.E.; Islam, N.; Ahn, B.R.; Chowdhury, S.S.; Sohn, H.S.; Jung, H.A.; Choi, J.S. Protein tyrosine phosphatase 1B and α-glucosidase inhibitory Phlorotannins from edible brown algae, Ecklonia stolonifera and Eisenia bicyclis. Biosci. Biotechnol. Biochem. 2011, 75, 1472–1480. [Google Scholar] [CrossRef] [PubMed]
- Juma, A.A.; Ngeranwa, J.J.; Njagi, E.N. Reference values for some renal function parameters for adult population in north-rift valley, kenya. Indian J. Clin. Biochem. 2012, 27, 40–45. [Google Scholar] [CrossRef]
- Sun, J.E.; Ao, Z.H.; Lu, Z.M.; Xu, H.Y.; Zhang, X.M.; Dou, W.F.; Xu, Z.H. Antihyperglycemic and antilipidperoxidative effects of dry matter of culture broth of Inonotus obliquus in submerged culture on normal and alloxan-diabetes mice. J. Ethnopharmacol. 2008, 118, 7–13. [Google Scholar] [CrossRef] [PubMed]
- Punithavathi, V.R.; Anuthama, R.; Prince, P.S. Combined treatment with naringin and vitamin C ameliorates streptozotocin-induced diabetes in male Wistar rats. J. Appl. Toxicol. 2008, 28, 806–813. [Google Scholar] [CrossRef]
- Atangwho, I.J.; Ebong, P.E.; Eteng, M.U.; Eyong, E.U.; Obi, A.U. Effect of Vernonia amygdalina del leaf on kidney function of diabetic rats. Int. J. Pharmacol. 2007, 3, 143–148. [Google Scholar] [CrossRef]
- Aboulthana, W.M.; El-Feky, A.M.; El-Sayed, A.B.; Ibrahim, N.E.; Sahu, R.K.; Mishra, A. Evaluation of the pancreatoprotective effect of Nannochloropsis oculata Extract against streptozotocin-induced diabetes in rats. J. Appl. Pharm. Sci. 2018, 8, 46–58. [Google Scholar] [CrossRef]
- Sewani-Rusike, C.R.; Jumbam, D.N.; Chinhoyi, L.R.; Nkeh-Chungag, B.N. Investigation of hypogycemic and hypolipidemic effects of an aqueous extract of Lupinus albuslegume seed in Streptozotocin-induced type I diabetic rats. Afr. J. Tradit. Complement. Altern. Med. 2015, 12, 36. [Google Scholar] [CrossRef]
- Walker, C.G.; Zariwala, M.G.; Holness, M.J.; Sugden, M.C. Diet, obesity and diabetes: A current update. Clin. Sci. 2007, 112, 93–111. [Google Scholar] [CrossRef] [PubMed]
- Mathe, D. Dyslipidemia and diabetes: Animal models. Diabetes Metab. 1995, 21, 106–111. [Google Scholar]
- García-Casal, M.N.; Ramírez, J.; Leets, I.; Pereira, A.C.; Quiroga, M.F. Antioxidant capacity, polyphenol content and iron bioavailability from algae (Ulva sp., Sargassum sp. and Porphyra sp.) in human subjects. Br. J. Nutr. 2009, 101, 79–85. [Google Scholar] [CrossRef]
- Heo, S.J.; Hwang, J.Y.; Choi, J.I.; Han, J.S.; Kim, H.J.; Jeon, Y.J. Diphlorethohydroxycarmalol isolated from Ishige okamurae, a brown algae, a potent alpha-glucosidase and alpha-amylase inhibitor, alleviates postprandial hyperglycemia in diabetic mice. Eur. J. Pharmacol. 2009, 615, 252–256. [Google Scholar] [CrossRef] [PubMed]
- Queguineur, B.; Goya, L.; Ramos, S.; Martin, M.A.; Mateos, R.; Bravo, L. Phloroglucinol: Antioxidant properties and effects on cellular oxidative markers in human HepG2 cell line. Food Chem. Toxicol. 2012, 50, 2886–2893. [Google Scholar] [CrossRef]
- Fauziah, F.; Aulanni’am, A.A.; Mahdi1, C. A study on brown seaweed therapy (Sargassum sp.) toward MDA levels and histological improvement on rat foot suffering rheumatoid arthritis. Pure Appl. Chem. Res. 2013, 2, 102–107. [Google Scholar] [CrossRef]
- Al-Saman, M.A.; Doleib, N.M.; Ibrahim, M.R.; Nasr, M.Y.; Tayel, A.A.; Hamouda, R.A. In vitro and in vivo hypolipidemic properties of the aqueous extract of Spirulina platensis, cultivated in colored flasks under artificial illumination. PeerJ 2020, 8, e10366. [Google Scholar] [CrossRef]
- Hamouda, R.A.; Hussein, M.H.; El-Naggar, N.E.A.; Karim-Eldeen, M.A.; Alamer, K.H.; Saleh, M.A.; El-Azeem, R.M.A. Promoting Effect of Soluble Polysaccharides Extracted from Ulva spp. on Zea mays L. growth. Molecules 2022, 27, 1394. [Google Scholar] [CrossRef]
- Aldakheel, R.K.; Rehman, S.; Almessiere, M.A.; Khan, F.A.; Gondal, M.A.; Mostafa, A.; Baykal, A. Bactericidal and in vitro cytotoxicity of moringa oleifera seed extract and its elemental analysis using laser-induced breakdown spectroscopy. Pharmaceuticals 2020, 13, 193. [Google Scholar] [CrossRef]
- Taqvi, S.; Bhat, E.A.; Sajjad, N.; Sabir, J.S.; Qureshi, A.; Rather, I.A.; Rehman, S. Protective effect of vanillic acid in hydrogen peroxide-induced oxidative stress in D. Mel-2 cell line. Saudi J. Biol. Sci. 2021, 28, 1795–1800. [Google Scholar] [CrossRef] [PubMed]
- Coughlan, K.A.; Valentine, R.J.; Ruderman, N.B.; Saha, A.K. AMPK activation: A therapeutic target for type 2 diabetes? Diabetes Metab. Syndr. Obes. 2014, 7, 241–253. [Google Scholar] [CrossRef]
- Kojima-Yuasa, A. Biological and pharmacological effects of polyphenolic compounds from Ecklonia cava. In Polyphenols: Mechanisms of Action in Human Health and Disease; Academic Press: Cambridge, MA, USA, 2018; pp. 41–52. [Google Scholar] [CrossRef]
- Ko, S.C.; Lee, M.; Lee, J.H.; Lee, S.H.; Lim, Y.; Jeon, Y.J. Dieckol, a phlorotannin isolated from a brown seaweed, Ecklonia cava, inhibits adipogenesis through AMP-activated protein kinase (AMPK) activation in 3T3-L1 preadipocytes. Environ. Toxicol. Pharmacol. 2013, 36, 1253–1260. [Google Scholar] [CrossRef]
- Hamouda, R.A.; Hamza, H.A.; Salem, M.L.; Kamal, S.; Alhasani, R.H.; Alsharif, I.; Abdella, A. Synergistic Hypolipidemic and Immunomodulatory Activity of Lactobacillus and Spirulina platensis. Fermentation 2022, 8, 220. [Google Scholar] [CrossRef]
- Fau, A.S.; Amin, H.A.; Fau, A.H.; Abdel-Hamid, G.A.; Abdel-Hamid, G.A. A histological and immunohistochemical study of beta cells in streptozotocin diabetic rats treated with caffeine. Med. Histol. 2014, 1, 1897–5631. [Google Scholar]
- Abo-Shady, A.M.; Gheda, S.F.; Ismail, G.A.; Cotas, J.; Pereira, L.; Abdel-Karim, O.H. Antioxidant and antidiabetic activity of algae. Life 2023, 13, 460. [Google Scholar] [CrossRef] [PubMed]
- Nagy, M.A.; Amin, K.A. Biochemical and histopathological analysis of Cystoseira myrica aqueous extract on alloxan induced diabetic rats. Indian J. Clin. Biochem. 2015, 9, 081–091. [Google Scholar]
- Akbarzadeh, S.; Farzadinia, P.; Daneshi, A.; Ramavandi, B.; Moazzeni, A.; Keshavarz, M.; Bargahi, A. Anti-diabetic effects of Sargassum oligocystum on streptozotocin-induced diabetic rat. Iran. J. Basic Med. Sci. 2018, 21, 342. [Google Scholar] [CrossRef] [PubMed]
- Tatar, M.; Qujeq, D.; Feizi, F.; Parsian, H.; Sohan Faraji, A.; Halalkhor, S.; Abassi, R.; Abedian, Z.; Pourbagher, R.; Aghajanpour Mir, S.M.; et al. Effects of Teucrium Polium Aerial Parts extract on oral glucose tolerance tests and pancreas histopathology in Streptozocin-induced diabetic rats. Int. J. Mol. Cell. Med. 2012, 1, 44–49. [Google Scholar] [PubMed]
- Gheda, S.F.; Abo-Shady, A.M.; Abdel-Karim, O.H.; Ismail, G.A. Antioxidant and Antihyperglycemic Activity of Arthrospira platensis (Spirulina platensis) Methanolic Extract: In vitro and in vivo study. Egypt. J. Bot. 2021, 61, 71–93. [Google Scholar] [CrossRef]






| Wavenumber cm−1 | Functional Groups | References |
|---|---|---|
| 3352 | hydroxyl group (OH) | [39] |
| 2936 | (C-H) alkyl group | [40] |
| 1771 | C=O | [41] |
| 1407 | methyl groups | [42,43] |
| 1037 | C-OH | [44] |
| Total Phenolic (mg/g GA) | Total Phlorotannin Content (mg/g Dry Weight) |
|---|---|
| 22.19 ± 3.42 | 10.87 |
| Animal Group | Glucose (mg/dL) | Insulin (µLU/mL) |
|---|---|---|
| Control normal (CN) | 130.75 b ± 5.56 | 5.302 a ±1.336 |
| CN + S. linifolium extract | 111.25 b ± 9.25 | 5.80 a ± 0.97 |
| Control diabetic (CD) | 596 a ± 76.64 | 0.58 b ±0.17 |
| CD + S. linifolium extract | 159.25 b ± 20.22 | 5.03 a ± 1.43 |
| Animal Groups | Glucosidase µmol/min/g Tissue | Alpha Amylase uL/mL | Glutathione mg/g Tissue | Catalase Level (µmol/min/g Tissue) |
|---|---|---|---|---|
| Control normal (CN) | 0.11 b ± 0.097 | 420.5 b ±13 | 11.27 ab ± 3.3 | 8.01 a ± 1.31 |
| CN + S. linifolium | 0.022 c ± 0.017 | 395.75 b ± 43.2 | 13.62 ab ± 3.8 | 8.53 a ± 2.13 |
| Control diabetic (CD) | 0.27 a ± 0.07 | 866.5 a ± 168.2 | 7.91 b ± 1.64 | 4.61 b ± 0.76 |
| CD + S. linifolium | 0.04 c ± 0.016 | 184.75 c ± 55.24 | 12.78 ab ± 2.1 | 11.28 a ± 1.74 |
| Animal Group | Urea (mg/dL) | Creatinine (mg/dL) |
|---|---|---|
| Control normal (CN) | 48.25 c ± 2.5 | 0.6 b ± 0.09 |
| CN + S. linifolium extract | 32.25 c ± 5.18 | 0.61 b ± 0.07 |
| Control diabetic (CD) | 133 a ± 44.2 | 0.84 a ± 0.04 |
| CD + S. linifolium extract | 79 b ± 17.79 | 0.55 b ± 0.04 |
| Animal Group | Cholesterol (mg/dL) | Triglyceride (mg/dL) |
|---|---|---|
| Control normal (CN) | 62.25 bc ± 7.3 | 50 c ± 14.94 |
| CN + S. linifolium | 72.5 b ± 6.6 | 46.25 c ± 5.96 |
| Control diabetic (CD) | 100.75 a ± 13.2 | 178.5 a ± 8.1 |
| CD + S. linifolium | 72.5 b ± 8.58 | 51.5 c ± 12.23 |
| Animal Groups | Total Antioxidant (mM/g Tissue) | MDA Level (nmol/g Tissue) |
|---|---|---|
| Control normal (CN) | 0.51 a ± 0.165 | 5.02 c ± 0.43 |
| CN + S. linifolium | 0.59 a ± 0.078 | 9.65 b ± 2.54 |
| Control diabetic (CD) | 0.37 a ± 0.076 | 13.26 a ± 1.6 |
| CD + S. linifolium | 0.76 a ± 0.284 | 7.3 bc ± 2.54 |
| No | Sample | CT | IC.CT | ΔCT | ΔΔCT | Relative Expression |
|---|---|---|---|---|---|---|
| 1- | Control normal | 22.76 | 13.36 | 9.4 | 0 | 1 |
| 2- | CN + S. linifolium | 18.86 | 11.91 | 6.95 | −2.45 | 5.64 |
| 3- | Control diabetic | 22.45 | 12.18 | 10.27 | 0.87 | 0.549 |
| 4- | CD + S. linifolium Rat1 | 22.62 | 14.06 | 8.56 | −0.84 | 1.79 |
| 5- | CD + S. linifolium Rat2 | 21.67 | 14.91 | 6.76 | −2.64 | 6.2 |
Disclaimer/Publisher’s Note: The statements, opinions and data contained in all publications are solely those of the individual author(s) and contributor(s) and not of MDPI and/or the editor(s). MDPI and/or the editor(s) disclaim responsibility for any injury to people or property resulting from any ideas, methods, instructions or products referred to in the content. |
© 2023 by the authors. Licensee MDPI, Basel, Switzerland. This article is an open access article distributed under the terms and conditions of the Creative Commons Attribution (CC BY) license (https://creativecommons.org/licenses/by/4.0/).
Share and Cite
Gheda, S.; Hamouda, R.A.; Naby, M.A.; Mohamed, T.M.; Al-Shaikh, T.M.; Khamis, A. Potent Effect of Phlorotannins Derived from Sargassum linifolium as Antioxidant and Antidiabetic in a Streptozotocin-Induced Diabetic Rats Model. Appl. Sci. 2023, 13, 4711. https://doi.org/10.3390/app13084711
Gheda S, Hamouda RA, Naby MA, Mohamed TM, Al-Shaikh TM, Khamis A. Potent Effect of Phlorotannins Derived from Sargassum linifolium as Antioxidant and Antidiabetic in a Streptozotocin-Induced Diabetic Rats Model. Applied Sciences. 2023; 13(8):4711. https://doi.org/10.3390/app13084711
Chicago/Turabian StyleGheda, Saly, Ragaa A. Hamouda, Mai Abdel Naby, Tarek M. Mohamed, Turki M. Al-Shaikh, and Abeer Khamis. 2023. "Potent Effect of Phlorotannins Derived from Sargassum linifolium as Antioxidant and Antidiabetic in a Streptozotocin-Induced Diabetic Rats Model" Applied Sciences 13, no. 8: 4711. https://doi.org/10.3390/app13084711
APA StyleGheda, S., Hamouda, R. A., Naby, M. A., Mohamed, T. M., Al-Shaikh, T. M., & Khamis, A. (2023). Potent Effect of Phlorotannins Derived from Sargassum linifolium as Antioxidant and Antidiabetic in a Streptozotocin-Induced Diabetic Rats Model. Applied Sciences, 13(8), 4711. https://doi.org/10.3390/app13084711

