You are currently viewing a new version of our website. To view the old version click .
Applied Sciences
  • Article
  • Open Access

19 March 2023

3D Evaluation of Upper Airway Morphological Changes in Growing Patients with Class II Malocclusion Using Sander Bite Jumping Appliance

,
,
,
,
,
,
and
1
Section of Oral and Maxillofacial Surgery, Department of Surgical Sciences, Dentistry, Gynecology and Pediatrics, University of Verona, 37124 Verona, Italy
2
Unit of Dental Hygiene, Section of Dentistry, Department of Clinical, Surgical, Diagnostic and Pediatric Sciences, University of Pavia, 27100 Pavia, Italy
3
Unit of Orthodontics and Pediatric Dentistry, Section of Dentistry, Department of Clinical, Surgical, Diagnostic and Pediatric Sciences, University of Pavia, 27100 Pavia, Italy
*
Authors to whom correspondence should be addressed.
This article belongs to the Special Issue Clinical Applications for Dentistry and Oral Health, 2nd Volume

Abstract

Class II malocclusion due to mandibular retrognathia is associated with a posterior positioning of the tongue and the hyoid bone, reducing the oropharyngeal volume. This could be a contributing factor to the development of respiratory and cardiovascular problems. This study evaluates the oropharyngeal volume variation in 13 patients with class II malocclusion undergoing functional orthopedic treatment with Sander Bite Jumping Appliance (SBJ). CBCT scans were performed before treatment (T0) and approximately after 12.5 months (T1): the retropalatal volume and retroglossal volume were quantified in mm3 using a segmentation software. At T1, the retropalatal volume increased in 2523 ± 2088 mm3, and the retroglossal volume increased in 2258 ± 1717 mm3. Both values were statistically significant (p < 0.05). This widening of the airways may allow prevention and treatment of sleep-disordered breathing, including obstructive sleep apnea syndrome.

1. Introduction

Class II malocclusion is a frequent malocclusion which orthodontists daily have to face. Eighty percent class II malocclusion is due to mandibular retrognathia rather than prognathism of the maxilla [1]. When the mandible is located in a retruded position, the soft tissues in relation to it are dislocated as well and they interfere with the airways. In particular, a posterior positioning of the tongue and the hyoid bone decreases the oropharyngeal volume; in this sense, oral and pharyngeal regions have a primary function in the maintenance of airway patency and in the swallowing process [2]. A retrognathic mandible is a contributing factor to the development of Obstructive Sleep Apnea Syndrome (OSAS) and other respiratory problems [3]. The incidence of Sleep-Disordered Breathing (SDB) in adolescents was estimated to be around 6%, and it is shown that patients suffering from it have a double incidence of excessive daytime sleepiness, lower academic grades, and attention deficit/hyperactivity [3]. Addition, SDB can predispose to systemic problems including cardiovascular and respiratory disorders [4]. It is hypothesized that mandibular advancement obtained through orthopedic-functional appliances can increase the oropharyngeal airway lumen. This study evaluated the oropharyngeal volume variation in patients with class II malocclusion undergoing functional orthodontic treatment with a Sander Bite Jumping Appliance. To the best of our knowledge, no extensive research has been performed to evaluate upper airway morphology changes specifically after the treatment with a Sander Bite Jumping Appliance. The values of initial and final volumes were obtained through cone beam computed tomography (CBCT), which has been shown to be an appropriate method for airway analysis and a fundamental tool in the diagnostic phase as well as in the clinical planning in dentistry [5].
Considering the lack of specific research on the Sander Bite Jumping Appliance, the present pilot study was designed. The primary null hypothesis of this pilot study is that no significant differences occur for the retropalatal volume.

2. Materials and Methods

2.1. Sample Selection

The study took place from January 2017 to December 2022. The study participants were selected according to the following inclusion criteria: bilateral class II molar relationship; class II skeletal relationship (ANB greater than 4 degrees) diagnosed by cephalometric analysis; and retruded mandible (SNB less than 78 degrees). The exclusion criteria were: worsening in the harmony of the profile with Frankel’s maneuver; tonsil/adenoid hypertrophy, or other obstacles in the upper airways; periodontal diseases; poor oral hygiene; orofacial inflammation conditions; congenital anomalies or endocrine pathologies that could influence the treatment; skeletal anomalies or significant facial asymmetries; obstructive sleep apnea syndrome; previous functional or orthodontic treatment; and lack of compliance on the part of the patient. Informed consent was obtained from the parents of all the patients who entered the study.
Twenty-one patients were initially screened to be recruited for the study. After excluding 8 participants who did not meet the inclusion criteria, the sample was made up of 13 patients (4 males and 9 females) with skeletal class II malocclusion. At the beginning of the functional orthopedic treatment, the mean age of the subjects was 10 years and 5 months with a standard deviation of 1 year and 2 months.
The initial documentation included: study models, intraoral and extraoral photographs, and CBCT. CBCT scans were performed before treatment (T0) and approximately after 12.5 months (T1) using the “NewTom VGi evo” device. During the scan, the subjects were standing with their chin supported by a craniostat, and the Frankfurt plane was parallel to the floor. The patients were recommended to hold their breath, not to swallow, to keep their teeth in maximum intercuspation, and to touch the palate with the tip of their tongue. Orthopantomography and latero-lateral teleradiography were obtained from the CBCT. These images were useful for completing the orthodontic diagnosis. All the patients then performed additional CBCT (T1) after the beginning of the orthopedic-functional therapy. This study was approved by the Clinical Investigation Ethics Committee of Verona and Rovigo, Italy (protocol number 70252). The procedures were in accordance with the Helsinki Declaration of 1975, as revised in 2000.

2.2. Volume Calculation

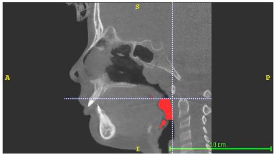
The CBCTs were used to perform digitized volumetric analysis using ITK-SNAP 3D segmentation software (Version 3.6.0, © 1998–2007, Paul A. Yushkevich, Guido Gerig). This software allows the user to select the space of the airways based on air radiological intensity values and then to delimit these spaces according to the anatomical landmarks considered, obtaining clear and precise limits. In this study, two volumes, delimited by a plane parallel to the Frankfurt plane, were defined and quantified:
Retropalatal volume (RPV), limited superiorly by a plane passing through posterior nasal spine and inferiorly by a plane passing through the most postero-inferior point of the soft palate (Figure 1);
Retroglossal volume (RGV), limited superiorly by a plane passing through the most postero-inferior point of the soft palate and inferiorly by a plane passing through the most postero-superior point of the epiglottis. This volume also included the volumetric portions facing the oral cavity between the soft palate and the lingual root and between the epiglottis and the lingual root (Figure 2).
Figure 1. Retropalatal Volume (RPV).
Figure 2. Retroglossal Volume (RGV).
The calculation of the airway volumes was performed by a single highly skilled head- and-neck radiologist. The operator was unaware of which radiological images corresponded to T0 and which to T1.

2.3. Sander Bite Jumping Appliance

This appliance aims at correcting skeletal and dental class II relationships. Before its application, a multibracket fixed orthodontic appliance was used when needed to obtain a tipping movement of the upper anterior sector, to create sufficient overjet for the correction of the dentoskeletal class. This first phase of the treatment has only a dental effect; therefore, it cannot have influenced other anatomical structures.
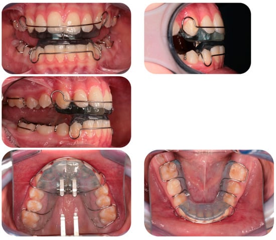
The Sander Bite Jumping Appliance consists of two resin plates. The upper plate has a median expansion screw and two stainless steel extensions (prongs) that form a 60° angle with the occlusal plane. The lower plate has an inclined plane parallel to the prongs. Both plates have two Adam’s clasps for the first molars and a vestibular anterior arch which reaches the canines. The lower plate also has an incisal resin coating, which aims at reducing the vestibularization of the lower anterior teeth (Figure 3) [6].
Figure 3. Sander Bite Jumping Appliance.
The lower incisors’ proclination must be managed carefully. To achieve the highest level of orthopedic correction without overly supporting the lower lip at the conclusion of therapy is one of the treatment’s objectives. The likelihood of orthopedic correction of mandibular retrusion decreases with each millimeter of dental compensation for the overjet caused by the proclination of the lower incisors or the retroclination of the upper incisors.
Mandibular propulsion is determined by the advancing construction bit and consequently by the jaws of the upper plate, which rest on the inclined plane of the lower plate [7].
Initially, mandibular propulsion occurs because of the active contraction of the propulsive muscles of the jaw. When the propulsive muscles lose their activation, the inclined plane of the lower equipment, resting on the legs, discharges a reaction force owing to the elastic effect of the retrusor muscles [7]. Therefore, it is essential to identify a line of action that is closest to the center of resistance of the upper jaw identified by Teuscher, near the so-called key ridge [8].
The main benefits of this type of biomechanics are a lower risk of jaw rotation phenomena, mandibular post-rotation, and control of maxillary growth [7].
This device provides an increase in jaw growth when worn for more than 14 h/day. It is important to underline the fact that the device is also active during the night, when the patient is in a resting position, owing to the clamp-inclined plane system that provides for a disclusion of up to 14 mm [9], but it is more active if the disclusion is limited to 3–4 mm [10]. This means that propulsion is also active during the night, which is very important because mouth breathing is frequent in younger patients [11].
Although the electromyographic activity of the masseters is reduced during the night [12], Yamada and Saeki demonstrated that night use benefits from a greater active bone turnover [13] and from the growth-promoting effect of the functional equipment during rest [14].
The BJA, like any other functional device, requires a construction bite that must determine the desired position of the jaw and develop a neuromuscular action to obtain the skeletal and dento-alveolar transformations necessary to correct the malocclusion. If the patient’s initial overjet was less than 7–8 mm, the initial activation we used was equal to the mm necessary to arrive at a head-to-head incisal relationship; if, on the other hand, the initial overjet was greater than 7–8 mm, the initial activation was 7 mm followed by a further activation.
Bite registration occurs in four stages.
  • The bite was prepared using five layers of wax (three layers of hard wax with two layers of soft wax in between).
  • The jaw of the patient, seated and in a relaxed position, was guided into the established position 3–4 times by manipulating the chin between the thumb and forefinger; the patient then repeated the same exercise while keeping the jaw in an advanced position for a few minutes.
  • The wax, once softened, was then placed in the patient’s mouth, and the mandible was guided into the desired closed position by checking the butt-to-butt incisal ratio, the Class I or overcorrected Class I molar ratio, and the midline.
  • The wax was removed, checked on the models, and the edges were trimmed, cooled, and checked again in the mouth.

2.4. Data Analysis

Descriptive statistics were used to examine the data. The mean and standard deviations of retropalatal and retroglossal volumetric values at T0 and T1 were calculated. For statistical significance evaluation of volumetric changes that occurred after treatment with the Sander Bite Jumping Appliance, the Student’s t-test for paired data was used. The significance level was set at p < 0.05. STATA® 15 Data Analysis and Statistical Software (StataCorp LLC, College Station, TX, USA) were used for the statistical analysis.

3. Results

The 13 patients selected for this study (4 males and 9 females) who satisfied the inclusion criteria had an average age of 10 years and 5 months (±1 year and 2 months); the reported results refer to an average treatment period of 12.5 months. The volumetric measures of RPV, RGV and VTOT at T0 (Table 1), T1 (Table 2), T0-T1 variation (Table 3) and mean values at T0, T1 and T0-T1 (Table 4) are here presented.
Table 1. Volumetric values in mm3 at T0: Retropalatal volume (RPV), Retroglossal Volume (RGV), Total volume (VTOT = RPV + RGV).
Table 2. Volumetric values in mm3 at T1: Retropalatal volume (RPV), Retroglossal Volume (RGV), Total volume (VTOT = RPV + RGV).
Table 3. Volumetric variations in mm3 between T0 and T1: Retropalatal volume (RPV), Retroglossal Volume (RGV), Total volume (VTOT = RPV + RGV). All values were positive.
Table 4. Comparison between mean values at T0 and T1; volumetric variation between T0 and T1; p-value. Retropalatal volume (RPV), Retroglossal Volume (RGV), and Total volume (VTOT = RPV + RGV). *: p < 0.05.
Retropalatal volume
RPV variation, analyzed by the Student’s t-test, was statistically significant. The p-value of the test was 0.0009; this value is below the significance limit of 0.05 (Figure 4).
Figure 4. Box and Whiskers Plot graph representing retropalatal volume (RPV) values at T0 (1) and at T1 (2).
Retroglossal volume
RGV variation, analyzed by the Student’s t-test, was statistically significant. The p-value of the test was equal to 0.0005; this value is below the significance limit of 0.05 (Figure 5).
Figure 5. Box and Whiskers Plot graph representing retroglossal volume (RGV) values at T0 (1) and at T1 (2).
Total volume
VTOT variation, analyzed by the Student’s t-test, was statistically significant. The p-value of the test was equal to 0.0005; this value is lower than the significance limit of 0.05 (Figure 6).
Figure 6. Box and Whiskers Plot graph representing total volume (VTOT) values at T0 (1) and at T1 (2).
RPV, RGV, and VTOT increased between T0 and T1: RPV increased in 2523 ± 2088 mm3, RGV increased in 2258 ± 1717 mm3, and VTOT increased in 4781 ± 3650 mm3. Every volumetric variation reached statistical significance.

4. Discussion

Class II malocclusion, classified on the basis of the relationship of the lower molar to the upper molar, affects a large group of individuals. It has been estimated that it involves about 14.7% of the US population, with the prevalence decreasing from 22.6% in the 8–11 years age group to 15.6% between 12 and 17 years old, ending up at 13.4% between 18 and 50 years old [15]. The National Center for Health Statistics reported that 20.4% of 6- to 11-year-olds have a bilateral class II molar relationship [16], while among 12- to 17-year-olds the prevalence drops to 14.5% [17]. Several studies have shown that there is no significant difference in the distribution of malocclusions between males and females [18]. Racial, national, and ethnic factors have a certain influence on the incidence of malocclusions and on the type of growth: a higher frequency of the dolichofacial type has been found in Caucasian subjects and a higher prevalence of the brachyfacial type in Black subjects [19]; class II malocclusions were found to be more frequent in Whites, especially of northern European origin, while class III prevailed in Asian populations [20].
In a recent study, Kim et al. demonstrated that children with skeletal class II malocclusion due to mandibular retrusion have reduced airway dimensions compared to children with class I malocclusion [21]. Similarly, Kerr reported that subjects with class II malocclusion show smaller nasopharyngeal dimensions than subjects with class I [22]. El and Palomo evaluated the oropharyngeal volumes of patients with different dentofacial skeletal patterns. The oropharyngeal airway volumes of patients with class II malocclusion were small compared with those of class I and class III patients. They therefore reported that the position of the mandible relative to the skull base influences the volume of the oropharyngeal airways [23].
In recent years, in order to perform a precise evaluation of the values of the initial and final upper airway volumes, cone beam computed tomography (CBCT) has been extensively used, representing an appropriate method for airway analysis, besides being a fundamental tool in the diagnostic phase as well as in the clinical planning in dentistry [5]. Grauer evaluated differences in airway shape and volume between growing subjects with different facial patterns, using CBCT. A statistically significant association was found between lower airway volume and the antero-posterior relationship of the maxillae, and between airway volume and facial size [24].
All these authors therefore demonstrated a statistically significant relationship between the position of the mandible and the dimensions of the naso-oropharyngeal airways. If no upper nasopharyngeal airway disease related to adenoid or tonsil hypertrophy or chronic respiratory problems is found, early correction of a skeletal class II could eliminate the possibility of having respiratory disorders during sleep, such as snoring [25]. With an appropriate treatment plan, an improvement in the sagittal mandibular position can favor an increase in the dimensions of the naso-oropharyngeal airways as well as improve the facial profile and dento-alveolar relationships [26].
Furthermore, the hyoid bone plays a key role in keeping the airways open during sleep. As already described in the literature, in subjects affected by obstructive sleep apnea, the hyoid bone is found on average in a lower and more retruded position than in healthy subjects [27]. Galvao compared the position of the hyoid bone in subjects with different malocclusions and demonstrated that the position of the hyoid bone varies according to the malocclusion [28]. The hyoid bone is positioned more supero-ventrally in individuals with class II malocclusion than in those with class I occlusion [29].
The upper respiratory tract is an anatomical space whose dimensions can be influenced by posture, sex, age, obesity, and body mass index [30]. The reduced size of the pharyngeal airways can cause respiratory problems, resulting in decreased growth hormone levels in children as well as obstructive sleep apnea syndrome (OSAS) [31,32]. OSAS is a serious health, social, and economic problem. The anatomical sites that can determine upper airway obstruction causing OSAS can be sought at various levels: nasal, oropharyngeal, and craniofacial. At the nasal level, the most frequent causes are: marked deviations of the septum, hypertrophy of the turbinates, and a reduced size of the anteroposterior diameter of the nasopharynx. At the oropharyngeal level, the most frequent causes are: tonsillar hypertrophy, hypertrophy, and hypotonia of the soft palate, and macroglossia with hypertrophy of the base of the tongue and the narrow anteroposterior diameter of the retropharyngeal space. Finally, the craniofacial conformation and in particular the post-rotation of the mandible and the low position of the hyoid bone should be mentioned. OSAS is a chronic disease; in children it manifests with hyperactivity, and the severity of the disorder correlates with learning difficulties and reduced attention span. Patients with OSAS associated with narrowed pharyngeal airways tend to exhibit characteristics typical of individuals with Angle class II malocclusion [33], namely, short and retrognathic mandible [34] and sagittal discrepancy [35]. Respiratory disorders cause abnormalities in maxillofacial growth, such as vertical facial development, anterior open bite, skeletal class II malocclusion, and posterior crossbite [36,37].
Functional appliances are used to correct the occlusal relationships early and thus stabilize the occlusion, which allows normal condylar growth [38].
How much orthopedic-functional treatment is able to influence the growth of the jaw is a controversial topic. The mandible has sites of secondary cartilage, which allow for the development of the condylar and coronoid processes; the condylar cartilage is replaced by bone by mid-fetal life, but its proximal end persists as proliferating cartilage beneath the fibrous joint lining until the third decade of life. The cartilage of the coronoid process disappears before birth [39]. Secondary cartilages are of the adaptive type: they do not directly guide growth, but a functional stimulus can promote growth, through cell division. In orthopedic-functional treatment, the condyles are brought forward into the glenoid fossa, and this should stimulate skeletal growth. If growth were genetically predetermined, functional appliances would have little effect on mandibular growth. If growth were instead driven by environmental factors, functional appliances should significantly increase growth.
Animal studies have demonstrated that when the mandible is habitually positioned in a protruded position, molecular and cellular changes occur, leading to remodeling of the condyle and glenoid fossa. Some authors argue that functional appliances have no long-term effects on mandibular growth, comparing the treated patients and the control group. Tulloch et al. in 2004 reported that patients treated at pre-adolescent age had poor success in terms of skeletal changes when analyzed following fixed orthodontic alignment treatment, also performed at pre-adolescent age [40]. Dolce et al. in 2007 observed that, while significant skeletal improvements were obtained following functional treatment alone, when the entire treatment period, including alignment, was considered, the only residual skeletal effects were less than 1 grade [41]. However, demonstrations from experiments on growing monkeys have made it possible to obtain a mandibular increase, and this increase is maintained even at the end of growth [42].
There exist several types of functional appliances designed over more than one hundred years by countless clinicians. The common goal is to bring the jaw forward.
The present study showed that the Sander Bite Jumping Appliance is able to modify in a statistically significant way the upper airways at retropalatal and at retroglossal level, according to what has been reported in the literature. The total volume variation (RPV + RGV) was lower than in Iwasaki’s study, which considered the effect of Herbst functional appliance on airway volume and found a volumetric increase of 4187 ± 3028 mm3 on retropalatal air volume (p-value = 0.052) and a volumetric increase of 5000 ± 3676 mm3 on retroglossal air volume (p-value = 0.015) between T0 and T1 [43]. Moreover, Rizk achieved a more important volumetric variation studying the effect of the MARA functional appliance: the oropharyngeal airway volume (which corresponds to total volume in the present study) increased of 5537 ± 4850 mm3 between T0 and T1 (p-value = 0.005) [44]. However, the values of volumetric variation obtained in this study were higher than in Li’s study, which analyzed the effect of a Twin-Block appliance on the upper airways [45]. Regarding the oropharyngeal volume, which corresponds to the total volume (RPV + RGV) of the present study, the volumetric increase was of 1726 ± 1205 mm3 (p-value = 0.028). The results obtained confirm that an anterior mandible repositioning increases the volume of the airways. Moreover, the oropharyngeal volumetric changes appear to be due to an anterior repositioning of the hyoid bone, which increases the sagittal dimensions of the airways. In fact, after the orthopedic functional treatment, the hyoid bone is brought to an anterior position together with the jaw by the suprahyoid muscles. The oropharyngeal volumetric increase allows a reduction in the mechanical impedance to the air flow; however, treatment with a Sander Bite Jumping Appliance alone cannot be sufficient for treating OSAS, as it is a multifactorial pathology [46].
Bidjan et al. published in 2020 a systematic literature review with meta-analysis on the effect on the upper airways of functional orthopedic treatment of class II malocclusions. He observed a statistically significant increase in nasopharyngeal volume, especially through the use of removable functional appliances, which appear to lead to a greater increase in airways than do fixed functional appliances [47].
Ganesh and Tripathi in 2021 published a scoping review of 18 studies and found that 72% of these reported an increase in oropharyngeal and hypopharyngeal airways using fixed functional appliances due to mandibular advancement [48].
Bariani et al. in 2022 published a literature review in which, on the contrary, it is concluded that there is too little evidence, due to too small samples and the absence of randomization, control group and long-term outcomes to support that functional equipment can be effective in treating OSAS in children [49].
A limitation of this study is represented by the fact that this is a pilot study and no sample size calculation was performed. Additionally, no control group was considered in the study protocol; this was owing to the fact that it is considered unethical from a radiological and therapeutic point of view to perform two CBCTs in less than a year and an orthodontic treatment on young patients who do not need them. However, this does not allow one to detect whether the increase in oropharyngeal spaces could be due even to the physiological growth of the patients, in addition to the usage of the appliance. For instance, Rongo et al. [50], as in the present study, evaluated the short-term effects of the Sander Bite Jumping Appliance on the pharyngeal airways in skeletal Class II malocclusion patients. By means of cephalometric evaluations, the authors found that the oropharyngeal region increased in the treated group, but the difference was not statistically different with respect to the control group. The authors concluded that the airway dimensions increased for both the control subjects and the Class II patients with the Sander Bite Jumping Appliance due to physiological growth. The appliance only induced a statistically significant change in the tongue and soft palate position, but the clinical relevance of these changes remains questionable.
In addition to the limitations mentioned above, the present study does not control gender, which could be a confounding factor. Past research, in fact, has produced contrasting results: according to some authors there seems to be a difference between male and female subjects [51], while others do not agree [52,53]. Abramson reported no such effect on measured airway parameters [52], whereas Tan detected larger oropharyngeal airway volumes in males [53]. It is clear that the compliance of the patients can influence the results.

5. Conclusions

This study shows that, even after a few months of orthopedic-functional treatment with a Sander Bite Jumping Appliance, there are positive results in class II malocclusion correction and in producing a significant increase in oropharyngeal volume at both retropalatal and retroglossal levels. This widening of the airways may allow prevention and treatment of sleep-disordered breathing, including obstructive sleep apnea syndrome. In the absence of adenotonsillar hypertrophy or other anatomical obstacles, the correction of mandibular retrusion allows the patient to achieve better respiratory function. CBCT has proved to be a valid method that is sensitive to volumetric variations of oropharyngeal airways. However, this radiological examination has some limitations, including the young age of the patients; this limitation has made the standardization of the exam more difficult, since not all the children have been able to remain immobile for the time necessary for its execution and to control respiration, swallowing, or lingual posture. Although positive effects have been found, the sample is limited, and for this reason additional patients will have to be selected so as to consolidate the obtained results; it is also necessary to study long-term efficacy of the therapy and to evaluate the long-term stability of the treatment.

Author Contributions

Conceptualization, P.F., S.B., M.A., and A.P.; methodology, P.F., S.B., M.A., and A.P.; software, A.S.; validation, A.B. and A.S.; formal analysis, A.P.; investigation, P.F., S.B., M.A., and A.P.; resources, A.B.; data curation, P.F., S.B., M.A., and A.P.; writing—original draft preparation, P.F., S.B., M.A., and A.P.; writing—review and editing, A.B., S.G., M.P., and A.S.; visualization, A.B., S.G., M.P., and A.S.; supervision, P.F., S.B., M.A., and A.P.; project administration, P.F., S.B., M.A., and A.P.; funding acquisition, P.F., S.B., M.A., and A.P. All authors have read and agreed to the published version of the manuscript..

Funding

This study received no external funding.

Institutional Review Board Statement

The study was approved by the Clinical Investigation Ethics Committee of Verona and Rovigo, Italy (protocol number 70252).

Data Availability Statement

Data will be available upon request to the corresponding authors.

Conflicts of Interest

The authors declare no conflict of interest.

References

  1. McLain, J.B.; Proffit, W.R. Oral health status in the United States: Prevalence of malocclusion. J. Dent. Educ. 1985, 49, 386–397. [Google Scholar] [CrossRef]
  2. Muto, T.; Yamazaki, A.; Takeda, S. A cephalometric evaluation of the pharyngeal airway space in patients with mandibular retrognathia and prognathia, and normal subjects. Int. J. Oral Maxillofac. Surg. 2008, 37, 228–231. [Google Scholar] [CrossRef]
  3. Johnson, E.O.; Roth, T. An epidemiologic study of sleep-disordered breathing symptoms among adolescents. Sleep 2006, 29, 1135–1142. [Google Scholar] [CrossRef]
  4. Sharabi, Y.; Dagan, Y.; Grossman, E. Sleep apnea as a risk factor for hypertension. Curr. Opin. Nephrol. Hypertens. 2004, 13, 359–364. [Google Scholar] [CrossRef] [PubMed]
  5. Merlone, A.; Tetè, G.; Cantile, N.; Manacorda, M.; Cattoni, F. Minimally invasive digital implant-prosthetic procedure in “all on 4” rehabilitation in patients with special needs: A three-year follow-up. J. Biol. Regul. Homeost. Agents 2021, 35, 71–85. [Google Scholar] [PubMed]
  6. Martina, R.; Cioffi, I.; Galeotti, A.; Tagliaferri, R.; Cimino, R.; Michelotti, A.; Valletta, R.; Farella, M.; Paduano, S. The efficacy of the Sander bite-jumping appliance in growing patients with mandibular retrusion: A randomized controlled trial. Orthod. Craniofac. Res. 2013, 16, 116–126. [Google Scholar] [CrossRef] [PubMed]
  7. Martina, R.; D’Antò, V.; Galeotti, A. La Terapia Funzionale delle Classi II con la Bite Jumping Appliance; Edizioni Martina Publ.: Bologna, Italy, 2012. [Google Scholar]
  8. Teuscher, U. An appraisal of growth and reacttion to extraoral anchorage. Simulation of orthodontic-orthopedic results. Am. J. Orthod. 1986, 89, 113–121. [Google Scholar] [CrossRef]
  9. Sander, F.G. Mouth opening and its influencing through the SII appliance during the night. J. Orofac. Orthop. 2001, 62, 133–145. [Google Scholar] [CrossRef]
  10. Michelotti, A.; Farella, M.; Vollaro, S.; Martina, R. Mandibular rest position and electrical activity of the masticatory muscles. J. Phrostet. Dent. 1997, 78, 48–53. [Google Scholar] [CrossRef]
  11. Schütz, T.C.; Dominguez, G.C.; Hallinan, M.P.; Cunha, T.C.; Tufik, S. Class II correction improves noctural breathing in adolescencents. Angle Orthod. 2011, 81, 222–228. [Google Scholar] [CrossRef]
  12. Miyamoto, K.; Ishizuka, Y.; Ueda, H.M.; Saifuddin, M.; Shikata, N.; Tanne, K. Masseter muscle activity during the whole day in children and young adults. J. Oral Rehalbil. 1999, 26, 858–864. [Google Scholar] [CrossRef]
  13. Yamada, S.; Saeki, S.; Takahashi, I.; Igarashi, K.; Shinoda, H.; Mitani, H. Diurnal variation in the response of the mandible to orthopedic force. J. Dent. Res. 2002, 81, 711–715. [Google Scholar] [CrossRef] [PubMed]
  14. Oudet, C.; Petrovic, A.; Stutzmann, J. Time-dependent effects of a functional’-type orthopedic appliance on the rat mandible growth. Chronobiol. Int. 1984, 1, 51–57. [Google Scholar] [CrossRef]
  15. Proffit, W.R. Prevalence of malocclusion and orthodontic treatment need in the United States: Estimates from the NHANCES III survey. Int. J. Adult Orthod. Orthognath. Surg. 1998, 13, 97–106. [Google Scholar]
  16. Kelly, J.E.; Sanchez, M.; Van Kirk, L.E. An Assessment of the Occlusion of the Teeth of Children: 6–11 Years, United States. Vital Health Stat. 1973, 1–60. [Google Scholar]
  17. Kelly, J.E.; Harvey, C.R. An Assessment of the Occlusion of the Teeth of Youths: 12–17 Years. Vital Health Stat. 1977, 1–65. [Google Scholar]
  18. Dimberg, L.; Lennartsson, B.; Arnrup, K.; Bondemark, L. Prevalence and change of malocclusions from primary to early permanent dentition: A longitudinal study. Angle Orthod. 2015, 85, 728–734. [Google Scholar] [CrossRef]
  19. Kuroe, K.; Rosas, A.; Molleson, T. Variation in the cranial base orientation and facial skeleton in dry skulls sampled from three major populations. Eur. J. Orthod. 2004, 26, 201–207. [Google Scholar] [CrossRef]
  20. Proffit, W.R.; Fields, H.W. Malocclusioni e Anomalie Dentofacciali Nella Società Contemporanea; Moderna, O., Cocconi, R., Bernini, S., Eds.; Masson Publ.: Milano, Italy, 2001; p. 13. [Google Scholar]
  21. Kim, Y.J.; Hong, J.S.; Hwang, Y.I.; Park, Y.H. Three-dimensional analysis of pharyngeal airway in preadolescent children with different anteroposterior skeletal patterns. Am. J. Orthod. Dentofac. Orthop. 2010, 137, 306.e1–306.e11. [Google Scholar] [CrossRef]
  22. Kerr, W.J. The nasopharynx, face height and overbite. Angle Orthod. 1985, 55, 31–36. [Google Scholar] [PubMed]
  23. El, H.; Palomo, J.M. Airway volume for different dentofacial skeletal patterns. Am. J. Orthod. Dentofac. Orthop. 2011, 139, e511–e521. [Google Scholar] [CrossRef]
  24. Grauer, D.; Cevidanes, L.S.; Styner, M.A.; Ackerman, J.L.; Proffit, W.R. Pharyngeal airway volume and shape from cone-beam computed tomography: Relationship to facial morphology. Am. J. Orthod. Dentofac. Orthop. 2009, 136, 805–814. [Google Scholar] [CrossRef]
  25. Ozbek, M.M.; Memikoglu, T.U.; Gögen, H.; Lowe, A.A.; Baspinar, E. Oropharyngeal airway dimensions and functional-orthopedic treatment in skeletal Class II cases. Angle Orthod. 1998, 68, 327–336. [Google Scholar] [PubMed]
  26. Uslu-Akcam, O. Pharyngeal airway dimensions in skeletal class II: A cephalometric growth study. Imaging Sci. Dent. 2017, 47, 1–9. [Google Scholar] [CrossRef] [PubMed]
  27. Bucchieri, A.; Mastrangelo, C.; Stella, R.; Poladas, E.G. Valutazione cefalometrica della posizione dell’osso ioide in soggetti affetti da apnea ostruttiva notturna. Minerva Stomatol. 2004, 53, 33–40. [Google Scholar] [PubMed]
  28. Galvao, C. Hyoid bone’s cephalometric positional study in normal occlusion and in malocclusion patients. Rev. Odont. UNESP 1983, 12, 143–152. [Google Scholar]
  29. Sloan, R.F.; Bench, R.W.; Mulick, J.F.; Ricketts, R.M.; Brummett, S.W.; Westover, J.L. The application of cephalometrics to cinefluorography: Comparative analysis of hyoid movement patterns during deglutition in Class I and Class II orthodontic patients. Angle Orthod. 1967, 37, 26–34. [Google Scholar] [PubMed]
  30. Martin, S.E.; Mathur, R.; Marshall, I.; Douglas, N.J. The effect of age, sex, obesity and posture on upper airway size. Eur. Respir. J. 1997, 10, 2087–2090. [Google Scholar] [CrossRef]
  31. Späth-Schwalbe, E.; Hundenborn, C.; Kern, W.; Fehm, H.L.; Born, J. Nocturnal wakefulness inhibits growth hormone (GH)-releasing hormone-induced GH secretion. J. Clin. Endocrinol. Metab. 1995, 80, 214–219. [Google Scholar] [PubMed]
  32. Born, J.; Muth, S.; Fehm, H.L. The significance of sleep onset and slow wave sleep for nocturnal release of growth hormone (GH) and cortisol. Psychoneuroendocrinology 1988, 13, 233–243. [Google Scholar] [CrossRef] [PubMed]
  33. Bollhalder, J.; Hanggi, M.P.; Schatzle, M.; Markic, G. Dentofacial and upper airway characteristics of mild and severe class II division 1 subjects. Eur. J. Orthod. 2013, 35, 447–453. [Google Scholar] [CrossRef] [PubMed]
  34. Battagel, J.M.; Johal, A.; Kotecha, B. A cephalometric comparison of subjects with snoring and obstructive sleep apnoea. Eur. J. Orthod. 2000, 22, 353–365. [Google Scholar] [CrossRef] [PubMed]
  35. Lowe, A.A.; Fleetham, J.A.; Adachi, S.; Ryan, C.F. Cephalometric and computed tomographic predictors of obstructive sleep apnoea severity. Am. J. Orthod. Dentofac. Orthop. 1995, 107, 589–595. [Google Scholar] [CrossRef] [PubMed]
  36. Agren, K.; Nordlander, B.; Linder-Aronsson, S.; Zettergren-Wijk, L.; Svanborg, E. Children with nocturnal upper airway obstruction: Postoperative orthodontic and respiratory improvement. Acta Otolaryngol. 1998, 118, 581–587. [Google Scholar]
  37. Pirilä-Parkkinen, K.; Pirttiniemi, P.; Nieminen, P.; Tolonen, U.; Pelttari, U.; Löppönen, H. Dental arch morphology in children with sleep-disordered breathing. Eur. J. Orthod. 2009, 31, 160–167. [Google Scholar] [CrossRef]
  38. Johnston, L.E. If wishes were horses: Functional appliances and growth modification. Prog. Orthod. 2005, 6, 36–47. [Google Scholar]
  39. Standring, S. Anatomia del Gray; Edra-Masson Publ.: Occhiobello, Italy, 2017. [Google Scholar]
  40. Tulloch, J.F.; Proffitt, W.R.; Philips, C. Outcomes in a 2-phase randomized clinical trial of early Class II treatment. Am. J. Orthod. Dentofac. Orthop. 2004, 125, 657–667. [Google Scholar] [CrossRef]
  41. Dolce, C.; McGorray, S.P.; Brazeau, L.; King, G.J.; Wheeler, T.T. Timing of Class II treatment: Skeletal changes comparing 1-phase and 2 phase treatment. Am. J. Orthod. Dentofac. Orthop. 2007, 132, 481–489. [Google Scholar] [CrossRef] [PubMed]
  42. McNamara, J.A., Jr.; Bryan, F.A. Long-term mandibular adaptations to protrusive function: An experimental study in Macaca mulatta. Am. J. Orthod. Dentofac. Orthop. 1987, 92, 98–108. [Google Scholar] [CrossRef]
  43. Iwasaki, T.; Takemoto, Y.; Inada, E.; Sato, H.; Saitoh, I.; Kakuno, E.; Kanomi, R.; Yamasaki, Y. Three-dimensional cone-beam computed tomography analysis of enlargement of the pharyngeal airway by the Herbst appliance. Am. J. Orthod. Dentofac. Orthop. 2014, 146, 776–785. [Google Scholar] [CrossRef]
  44. Rizk, S.; Kulbersh, V.P.; Al-Qawasmi, R. Changes in the oropharyngeal airway of Class II patients treated with the mandibular anterior repositioning appliance. Angle Orthod. 2016, 86, 955–961. [Google Scholar] [CrossRef] [PubMed]
  45. Li, L.; Liu, H.; Cheng, H.; Han, Y.; Wang, C.; Chen, Y.; Song, J.; Liu, D. CBCT Evaluation of the Upper Airway Morphological Changes in Growing Patients of Class II Division 1 Malocclusion with Mandibular Retrusion Using Twin Block Appliance: A Comparative Research. PLoS ONE 2014, 9, e94378. [Google Scholar] [CrossRef] [PubMed]
  46. Maspero, C.; Giannini, L.; Galbiati, G.; Rosso, G.; Farronato, G. Obstructive sleep apnea syndrome: A literature review. Minerva Stomatol. 2015, 64, 97–109. [Google Scholar] [PubMed]
  47. Bidjan, D.; Sallmann, R.; Eliades, T.; Papageorgiou, S.N. Orthopedic Treatment for Class II Malocclusion with Functional Appliances and Its Effect on Upper Airways: A Systematic Review with Meta-Analysis. J. Clin. Med. 2020, 9, 3806. [Google Scholar] [CrossRef]
  48. Ganesh, G.; Tripathi, T. Effect of fixed functional appliances on pharyngeal airway dimensions in Skeletal Class II individuals—A scoping review. J. Oral Biol. Craniofac. Res. 2021, 11, 511–523. [Google Scholar] [CrossRef]
  49. Bariani, R.; Bigliazzi, R.; Cappellette, M.; Moreira, G.; Fujita, R. Effectiveness of functional orthodontic appliances in obstructive sleep apnea treatment in children: Literature review. Braz. J. Otorhinolaryngol. 2022, 88, 263–278. [Google Scholar] [CrossRef]
  50. Rongo, R.; Martina, S.; Bucci, R.; Festa, P.; Galeotti, A.; Alessandri Bonetti, G.; Michelotti, A.; D’Antò, V. Short-term effects of the Sander bite-jumping appliance on the pharyngeal airways in subjects with skeletal Class II malocclusion: A retrospective case-control study. J. Oral Rehabil. 2020, 47, 1337–1345. [Google Scholar] [CrossRef] [PubMed]
  51. Mann, L.M.; Angus, S.A.; Doherty, C.J.; Dominelli, P.B. Evaluation of sex-based differences in airway size and the physiological implications. Eur. J. Appl. Physiol. 2021, 121, 2957–2966. [Google Scholar] [CrossRef]
  52. Abramson, Z.; Susarla, S.; Troulis, M.; Kaban, L. Age-related changes of the upper airway assessed by 3-dimensional computed tomography. J. Craniofac. Surg. 2009, 20 (Suppl. 1), 657–663. [Google Scholar] [CrossRef]
  53. Tan, R.; Pangrazio, V.; Kulbersh, R.; Al-Qawasmi, R. CBCT evaluation of changes in the total pharyngeal airway in subjects from seven to eighteen years. In Computed Tomography: New Research; Park, J., Ed.; Nova Science: New York, NY, USA, 2013; pp. 393–400. [Google Scholar]
Disclaimer/Publisher’s Note: The statements, opinions and data contained in all publications are solely those of the individual author(s) and contributor(s) and not of MDPI and/or the editor(s). MDPI and/or the editor(s) disclaim responsibility for any injury to people or property resulting from any ideas, methods, instructions or products referred to in the content.

Article Metrics

Citations

Article Access Statistics

Multiple requests from the same IP address are counted as one view.